一例犬上颌犬齿侧向脱位复合固定术的病例报告
A Case Report on Composite Fixation for Lateral Luxation of a Maxillary Canine Tooth in a Dog
DOI: 10.12677/acrpvm.2026.151001, PDF, HTML, XML,   
作者: 袁 征:芭比堂动物医疗中心牙科中心,江苏 南京
关键词: 犬齿牙外伤侧向脱位树脂夹板环扎钢丝Canine Tooth Dental Trauma Lateral Luxation Composite Resin Splint Circumdental Wire
摘要: 本文报告一例犬上颌犬齿外伤性侧向脱位病例的诊治过程。患者为一只7岁6个月龄、8.6 kg的中华田园犬“豆子”,因与其他犬只打斗造成左上颌犬齿(204)外伤性脱位并伴牙槽骨裂。经影像学及口腔检查确认为牙齿结构完整的侧向脱位。在呼吸麻醉与浸润麻醉下进行手术复位,并采用“8”字形环扎钢丝与树脂夹板进行固定。树脂材料使用3M冠桥树脂,并在复位前于根面涂布米诺环素软膏以促进口腔组织愈合。术后给予头孢泊肟脂与非罗考昔口服5天。术后12周拆除固定装置,牙齿位置稳定、颜色正常,仅树脂接触区出现轻度牙龈炎。本病例显示,环扎钢丝联合树脂夹板是一种有效且微创的犬牙外伤固定方法,能良好维持牙齿稳定性并保留牙髓活力。
Abstract: This article reports the diagnosis and treatment process of a case of traumatic lateral luxation of the maxillary canine tooth in a dog. The patient was a 7-year-6-month-old, 8.65 kg Chinese mongrel dog named “Douzi”, who suffered traumatic luxation of the right maxillary canine tooth (204) accompanied by an alveolar bone fracture due to a fight with another dog. Imaging and oral examination confirmed lateral luxation with an intact tooth structure. Reduction was performed under general anesthesia and local anesthesia, followed by fixation using a figure-of-eight circumdental wire and a composite resin splint. The resin material used was 3M crown and bridge resin, and minocycline ointment was applied to the root surface before reduction to promote the healing of oral tissues. Postoperatively, cefpodoxime and firocoxib were administered orally for 5 days. The fixation device was removed 12 weeks postoperatively, at which time the tooth position was stable, the color was normal, and only mild gingivitis was observed at the resin contact area. This case demonstrates that a circumdental wire combined with a composite resin splint is an effective and minimally invasive fixation method for traumatic dental injuries in dogs, capable of maintaining good tooth stability and preserving pulp vitality.
文章引用:袁征. 一例犬上颌犬齿侧向脱位复合固定术的病例报告[J]. 亚洲兽医病例研究, 2026, 15(1): 1-7. https://doi.org/10.12677/acrpvm.2026.151001

1. 引言

犬牙是犬只咀嚼与防御的重要牙齿,其根长、牙周膜丰富,具有较强的固位能力。然而在打斗、咬合硬物、跌落或交通事故中,犬齿常因直接外力导致牙周膜断裂及牙槽骨损伤,从而出现脱位或脱出。文献显示,在犬口腔创伤病例中,犬齿外伤占比超过30%,其中以侧向脱位和挤出性脱位最为常见[1]

外伤性脱位的处理目标包括:① 尽早复位以恢复牙齿与牙槽窝的解剖关系;② 稳定牙齿位置以利牙周膜再附着;③ 维持牙髓活力并防止继发感染。复位后若无有效固定,牙齿易因咀嚼应力或舌压导致再脱位或牙周膜坏死。传统固定方式如正畸丝或单纯缝线在犬口腔中稳定性有限。近年来,环扎钢丝与复合树脂联合固定逐渐成为首选方案[2] [3]

环扎钢丝可提供强度与张力,复合树脂则通过包埋和粘结邻牙进一步强化固位。Guzu与Hennet (2017)在犬下颌骨骨折修复中证实,钢丝结合树脂夹板能有效分散咬合应力,显著提高固定成功率[4]。本研究旨在报告一例犬上颌犬齿外伤性侧向脱位,通过环扎钢丝与树脂夹板修复的病例,探讨其临床操作要点与预后评价。

2. 病例经过

2.1. 病例基本信息

中华田园犬“豆子”,雌性,7岁6个月,体重8.65 kg,体况评分3/5。因与邻犬打斗后出现左上颌犬齿松动、流血、进食困难而就诊。宠主报告受伤后约6小时内送医。

2.2. 临床检查

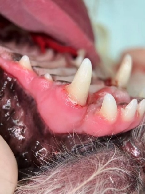
口腔检查见左上犬齿(204)明显向唇侧偏移约1 cm,牙龈撕裂并伴少量出血(图1)。探诊无明显牙冠裂纹或崩损,牙齿未见明显变色。结合病史,诊断为犬齿外伤性侧向脱位伴牙槽骨裂。经过细致且全面的沟通后,宠主意向选择固定术保留患齿,并知悉全部操作流程及可能存在的并发症。

Figure 1. Preoperative appearance of lateral luxation of the tooth in the affected dog

1. 患犬术前牙齿侧向脱位外观

2.3. 手术准备与麻醉

术前行全身体检与基础血液学检查,未见明显异常。麻醉方案为丙泊酚诱导(6 mg/kg, IV)后接异氟烷吸入维持。术区行2%利多卡因局部浸润麻醉。牙齿及周围软组织彻底冲洗去血凝块。

2.4. 复位与固定过程

首先轻柔牵引犬齿向腭侧方向复位,直至牙冠位置恢复至邻牙高度并保持咬合关系正常。确认牙齿

Figure 2. Postoperative appearance after reduction and fixation in the affected dog

2. 患犬复位固定术后外观

Figure 3. Postoperative dental radiograph after reduction and fixation in the affected dog

3. 患犬复位固定术后牙片

回入牙槽后,使用0.02%浓度的氯己定溶液及生理盐水清洗创口。为促进牙周膜再附着,于暴露根面涂布米诺环素软膏(Minocycline ointment),具有抗菌及刺激牙周细胞活性的作用。

随后采用0.5 mm不锈钢丝进行“8”字形环扎:钢丝依次穿绕复位牙与上颌对侧犬齿,通过加力旋紧形成初步固位。再于钢丝外层包覆3M冠桥复合树脂(ESPE Protemp),自固化后形成连续夹板,与对侧犬齿形成稳固支撑(图2)。树脂厚度约2 mm,以保证结构强度同时避免影响咬合。术中注意保留牙龈边缘,防止压迫软组织。

术中复位时间约15分钟。复位后立即拍摄牙片确认牙根位置正常、牙槽间隙恢复(图3)。

2.5. 术后处理与护理

术后给予头孢泊肟脂(5 mg/kg, q12h, PO)及非罗考昔(5 mg/kg, q24h, PO)连续5天。建议术后7天内进食软食,避免咬硬物。主人每日以氯己定冲洗树脂与牙龈交界区域。

2.6. 复查与随访

术后2周复查:牙齿位置稳定,牙龈轻度肿胀;

Figure 4. Appearance before removal of the fixation device

4. 固定物拆除前外观

Figure 5. Appearance after removal of the fixation device

5. 固定物拆除后外观

术后4周复查:牙齿位置稳定,无疼痛反应;

术后8周复查:牙龈恢复正常,牙齿颜色未变;

术后12周:拆除钢丝及树脂夹板,牙齿稳固无变色(图4),树脂接触区有轻度牙龈炎(图5),经洁治与口腔冲洗后改善。术后影像显示牙槽骨密度恢复良好,无根吸收或透亮影。

拆除术后两个月随访,左侧上颌犬齿的牙龈及拆除时医源性刺激导致轻度出血的上颚软组织已经恢复正常,牙齿位置稳定,无颜色改变。

3. 临床讨论

犬的牙齿外伤在临床实践中并不少见,其中犬齿因其长度、突出于口外、在咬合与防御中的重要作用而更易受到外力损伤。常见致伤原因包括打斗、交通事故及咬硬物等机械外力。本病例中,患者为一只7岁6个月的中华田园犬,因与其他犬打斗造成204牙齿(左上颌犬齿)侧向脱位并伴牙槽骨裂。该损伤类型属于典型的牙外伤性脱位,既破坏了牙周膜的完整性,又可能影响牙槽骨支持。及时而适当的复位与固定是保存牙体及恢复功能的关键。

3.1. 复位时机与操作

复位时机对预后影响显著。研究指出,在脱位后6小时内复位的牙齿,其牙周膜再附着成功率可达80%以上;若超过24小时,坏死与吸收风险明显上升[2]。本病例在外伤6小时内进行复位,为良好预后创造了条件。

复位操作应轻柔,避免进一步撕裂牙周膜。可使用指压配合钳辅助复位,术中通过牙龈与牙冠对位判断位置是否正确。

3.2. 固定方法比较

在动物牙科领域,牙外伤的处理思路基本参考人类牙科的创伤管理原则。根据国际牙外伤学会(IADT)指南[5],脱位病例应尽早进行手法复位,并使用非刚性或半刚性固定方式维持2~4周,使牙周膜纤维再附着、牙槽骨重建。本病例中选择使用“8字环扎钢丝”联合“树脂夹板”固定属于半刚性复位方式,其优势在于:① 环扎钢丝可提供较强的机械稳定性,限制牙齿的再次移位;② 树脂夹板(3M冠桥树脂)可快速固化,形成坚固但略具弹性的支撑体系;③ 手术操作简便,术后可维持较好的口腔卫生。

根据Ulbricht等(2004)的研究,钢丝树脂夹板能在保证强度的同时允许微小生理活动,有助于牙周再生[3]。本病例采用“8”字环扎结合树脂固定,不仅能分散受力,还避免单侧拉力造成的牙齿旋转,是一种在兽医临床中常用且稳定的方案。

3.3. 固定时长

对于仅有牙周膜损伤的单纯脱位,人医指南[5]常建议2~4周的非刚性固定以利于生理微动和纤维再附着;但当存在明显的牙槽骨裂或颌骨骨折时,兽医文献多倾向延长固定期以允许骨愈合与骨密度恢复。近期的病例报告中[6]提到固定期多在6~10周,中位约8周,该研究中主要是下颌体/牙槽骨相关创伤,显示在伴骨损伤时6~10周可获得满意的骨愈合与功能恢复。

本病例中原计划在6~10周时进行影像学复查确定是否可以拆除固定,宠主因担心患犬年龄较大,且固定物对于患犬的日常生活没有影响,要求推迟到最长时间12周进行拆除手术。

3.4. 根管治疗的必要性

在治疗策略的选择上,犬牙脱位后是否进行根管治疗是一个需要平衡的关键问题。若牙体结构完整、牙髓未暴露且短期内无变色,一般可先行保守治疗,观察牙髓活力再决定是否根管处理。本病例中牙体结构完好、无明显颜色改变,因此未立即实施根管治疗。这一决策符合循证医学的观点:不必要的根管治疗可能增加手术创伤、延长恢复期。

根据Guzu & Hennet (2017)的研究,部分轻中度脱位犬齿在稳定复位后可维持长期活髓状态,其存活率高达80%以上[4]。本病例在12周随访时牙齿无变色、无根尖影像异常,进一步验证了这一结论。若后期出现牙髓坏死或牙齿变色,则需进行根管处理。报告中[3]部分犬齿在术后6个月仍保持活力,提示早期复位对牙髓保留具有重要意义。

3.5. 并发症与预防

关于药物干预方面,术中使用米诺环素软膏进行根面活化(root surface conditioning)可减少细菌侵入、促进牙周膜细胞再附着;术后使用头孢泊肟脂与非罗考昔进行抗炎与镇痛处理,有助于降低感染风险与疼痛反应[7]。这一方案与Ulbricht (2004)提出的犬牙固定术后药物管理建议一致。术后出现轻度牙龈炎,多考虑与树脂边缘接触及局部清洁不充分相关,是树脂夹板固定常见的轻度并发症,通常通过局部冲洗与牙龈护理即可改善[8]

3.6. 局限性

本病例报告存在若干局限。首先,本研究为单例报告,病例成功并不等同于该术式对所有同类损伤均适用。其次,本病例随访目前仅达拆除固定术后两个月,尚不足以完全评估长期并发症(如根吸收、牙髓坏死、牙体牙周融合等)的发生率;长期(≥12个月)影像学与临床随访将更可靠地反映预后。第三,本病例中主要依赖临床观察与颜色变化判断牙髓状态,这可能低估或延迟发现隐匿性牙髓病变。第四,术后并发症(如牙龈炎)的评估受主观因素与家属口腔护理执行情况影响,可能影响对材料耐受性与边缘卫生的判定。最后,尽管我们参考了现有的病例系列与方法学研究,但兽医牙外伤领域缺乏高质量的随机对照研究,因此对于固定材料、固定时长与并发症发生率之间的因果关系仍存在不确定性。基于以上局限,建议后续研究采用多中心病例队列或前瞻性设计,并延长随访时间以提供更具说服力的循证依据。

4. 结论

环扎钢丝联合树脂夹板是一种稳定、微创、可逆的犬牙外伤固定技术。通过合理的术前评估、及时复位、科学固定及术后护理,可有效恢复牙齿功能并维持牙髓活力。本病例在复查和后续随访中表现出良好的临床及影像学愈合效果,为犬齿外伤性脱位的治疗提供了有价值的参考。

致 谢

感谢本院团队在病例诊断和治疗过程中提供的专业支持。感谢畜主对患犬的精心照料和对治疗方案的配合。

参考文献

[1] Zacher, A.M. and Marretta, S.M. (2013) Oral and Maxillofacial Surgery in Dogs and Cats. Veterinary Clinics of North America: Small Animal Practice, 43, 609-649. [Google Scholar] [CrossRef] [PubMed]
[2] Startup, S. (2010) Wire-Composite Splint for Luxation of the Maxillary Canine Tooth. Journal of Veterinary Dentistry, 27, 198-202. [Google Scholar] [CrossRef] [PubMed]
[3] Ulbricht, R.D., Marretta, S.M. and Klippert, L.S. (2004) Mandibular Canine Tooth Luxation Injury in a Dog. Journal of Veterinary Dentistry, 21, 77-83. [Google Scholar] [CrossRef] [PubMed]
[4] Guzu, M. and Hennet, P.R. (2017) Mandibular Body Fracture Repair with Wire-Reinforced Interdental Composite Splint in Small Dogs. Veterinary Surgery, 46, 1068-1077. [Google Scholar] [CrossRef] [PubMed]
[5] Levin, L., Day, P.F., Hicks, L., O’Connell, A., Fouad, A.F., Bourguignon, C., et al. (2020) International Association of Dental Traumatology Guidelines for the Management of Traumatic Dental Injuries: General Introduction. Dental Traumatology, 36, 309-313. [Google Scholar] [CrossRef] [PubMed]
[6] Pakula, J., Freeman, A. and Perry, A. (2025) Clinical Outcomes of Mandibular Body Fracture Management Using Wire-Reinforced Intraoral Composite Splints in 15 Cats. Frontiers in Veterinary Science, 12, Article 1552682. [Google Scholar] [CrossRef] [PubMed]
[7] Niemiec, B., Gawor, J., Nemec, A., Clarke, D., McLeod, K., Tutt, C., et al. (2020) World Small Animal Veterinary Association Global Dental Guidelines. Journal of Small Animal Practice, 61, 395-403. [Google Scholar] [CrossRef] [PubMed]
[8] Snyder, C.J. (2020) Maxillofacial Fracture Repair Using Noninvasive Techniques. In: Oral and Maxillofacial Surgery in Dogs and Cats, Elsevier, 297-308. [Google Scholar] [CrossRef