小肠肿瘤误诊为急性阑尾炎的临床分析
Clinical Analysis of Small Bowel Adenocarcinoma Misdiagnosed as Acute Appendicitis
摘要: 目的:分析小肠肿瘤的临床特征及诊断要点,提高术前诊断率,以减少临床工作中的误诊误治。方法:回顾性分析2023年1例小肠肿瘤误诊为急性阑尾炎患者的临床资料,并复习相关文献资料。结果:患者因间断右下腹痛1月余就诊于当地医院,考虑急性阑尾炎,给予行腹腔镜下阑尾切除术,术中发现阑尾与小肠黏连致密,完整切除困难,给予行阑尾部分切除,术后病理示因组织碎,无法明确浸润存次,少量游离组织考虑癌变。为进一步治疗转入我科,给予完善增强CT等检查,行多学科会诊,考虑患者为阑尾肿瘤合并小肠肿瘤可能性大,给予再次行手术治疗,术后病理证实患者原发肿瘤来自小肠。结论:小肠肿瘤发生率低,临床无特异性表现,诊断困难,对可疑患者应及时完善相关检查,联系多学科会诊,术中仔细探查,必要时术中送冰冻病理检查,以避免发生误诊。
Abstract: Objective: To analyze the clinical characteristics and diagnostic points of small bowel adenocarcinoma, improve the preoperative diagnosis rate, and reduce the misdiagnosis and mistreatment in clinical work. Methods: The clinical data of a case of small bowel adenocarcinoma misdiagnosed as acute appendicitis in 2023 were retrospectively analyzed, and the relevant literature was reviewed. Results: The patient was treated in a local hospital for intermittent right lower abdominal pain for more than a month. Considering acute appendicitis, laparoscopic appendectomy was performed. During the operation, it was found that the appendix was densely attached to the small intestine, making complete resection difficult, and partial appendectomy was performed. For further treatment, she was transferred to our department and given enhanced CT and other examinations and multi-disciplinary consultation. Considering that the patient had a high probability of appendiceal tumor complicated with small bowel adenocarcinoma, she was given another surgical treatment, and the postoperative pathology confirmed that the primary tumor of the patient came from the small bowel. Conclusion: The incidence of small bowel adenocarcinoma is low, there is no specific clinical manifestation, and diagnosis is difficult. For suspicious patients, relevant examinations should be improved in time, multi-disciplinary consultation should be contacted, intraoperative careful exploration should be conducted, and intraoperative frozen pathological examination should be sent when necessary to avoid misdiagnosis.
文章引用:冯立宗, 王顺正, 李广昊, 梁国刚, 陈玉, 王龙辉, 孙国志, 周云鹏. 小肠肿瘤误诊为急性阑尾炎的临床分析[J]. 临床医学进展, 2026, 16(1): 2291-2300. https://doi.org/10.12677/acm.2026.161287

1. 引言

小肠占消化道总长度大约75%,占消化道表面积的90%以上,但小肠肿瘤(small bowel adenocarcinoma, SBA)却非常罕见,占所有胃肠道肿瘤不到5%。其中55%~82%的病变位于十二指肠,其次是空肠11%~5%,只有7%~17%的病变发生在回肠[1]。根据流行病学数据,从20世纪90年代至今,小肠肿瘤发病率在逐步上升[2]。由于小肠肿瘤发病率低,缺乏大量的病因、临床表现和病理学数据,因此诊断、治疗和预防该疾病仍然具有挑战性,故临床上易发生误诊[3]-[5]。本文回顾性分析1例小肠肿瘤误诊为急性阑尾炎患者的临床资料并复习相关文献,总结该病的发病特点、诊断治疗方法及误诊的原因,以期提高本病确诊率。

2. 病例资料

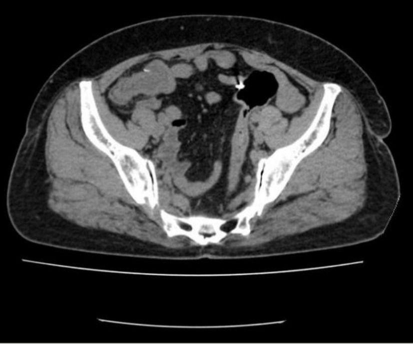
患者,女,56岁。2024年3月因“间断右下腹痛1月余”就医。患者1月余前无明显诱因开始出现右下腹痛,呈阵发性钝痛,无恶心、呕吐,无腹胀、腹泻,无畏寒、发热,无呕血、黑便,行B超示:右下腹阑尾区不均质低回声团,阑尾炎可能性大,给予对症抗感染治疗,症状有所缓解,但仍反复疼痛,为求进一步治疗收入当地医院。既往有高血压病史,16年前因肠套叠行结肠切除手术。查体:心肺检查未见明显异常,腹部平坦,无腹壁静脉曲张,腹部可见陈旧手术瘢痕,腹软,右下腹压痛,无反跳痛及肌紧张,腹部未触及明显肿块,叩诊呈清音,移动性浊音阴性,肠鸣音3次/分,未闻及血管杂音。入院后完善血常规:白细胞6.61*10^9/L (3.5~9.5)、消化系统肿瘤标记物:癌胚抗原2.4 ng/ml (13~150),甲胎蛋白3.87 ng/ml (≤7),类抗原19-9 31.9 ng/ml (≤34)均正常。腹部CT示:腹腔内部分小肠积液。右下腹局部见管状影,壁钙化。回盲部见多发微小结节,乙状结肠内见高密度灶(见图1(a)~(d))。肠镜示:回盲瓣呈唇状,阑尾肿大,开口处黏膜粗糙糜烂,蠕动可(见图2)。给予行腹腔镜下阑尾切除术,术中探查见:阑尾端侧与临近小肠致密黏连,无法分离,完整切除阑尾困难,为避免损伤黏连小肠,剪刀贴近黏连处将阑尾浆膜剪开,剥离阑尾,部分浆膜残留于小肠,距离阑尾根部0.5 cm结扎,切除阑尾。术后病理:送检破碎阑尾组织,部分管腔上皮呈高级别上皮内瘤变,少量破碎游离组织内见数个异型腺体浸润性生长,考虑癌变,高分化腺癌。组织碎,浸润层次不明确,阑尾肌层及浆膜层见多量无细胞黏液及炎症反应(见图3(a)图3(b))。患者术后5天顺利出院。

(a) (b)

(c) (d)

Figure 1. Abdominal CT (Before the first surgery)

1. 腹部CT(第一次手术前)

Figure 2. Colonoscopy

2. 肠镜

(a) (b)

Figure 3. Postoperative pathology of the appendix (HE×100)

3. 阑尾术后病理(HE×100)

出院后患者为行扩大根治手术,来我院就诊。给进一步完善相关检查,腹部增强CT示:

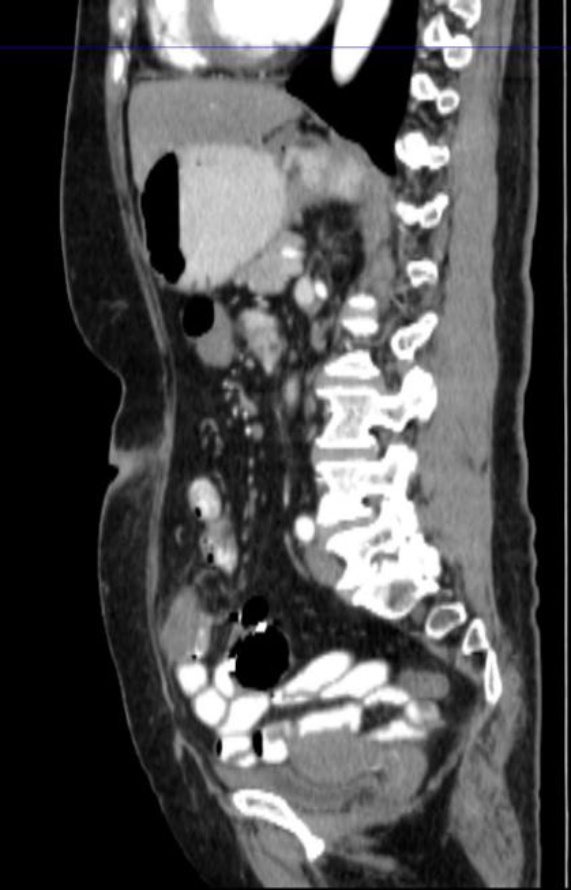
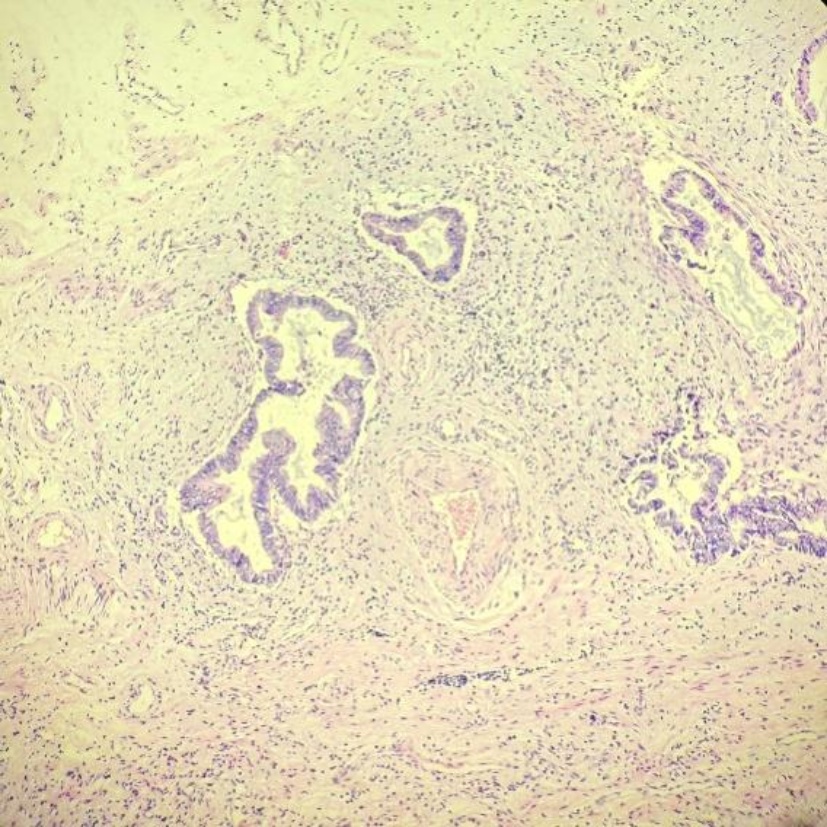
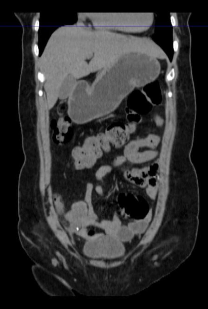
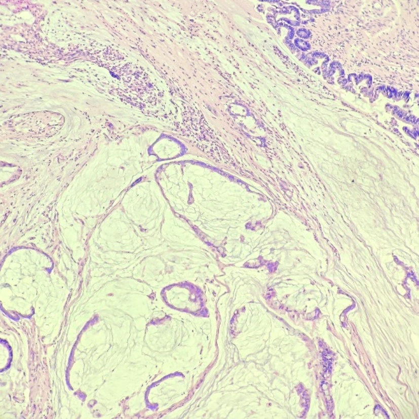
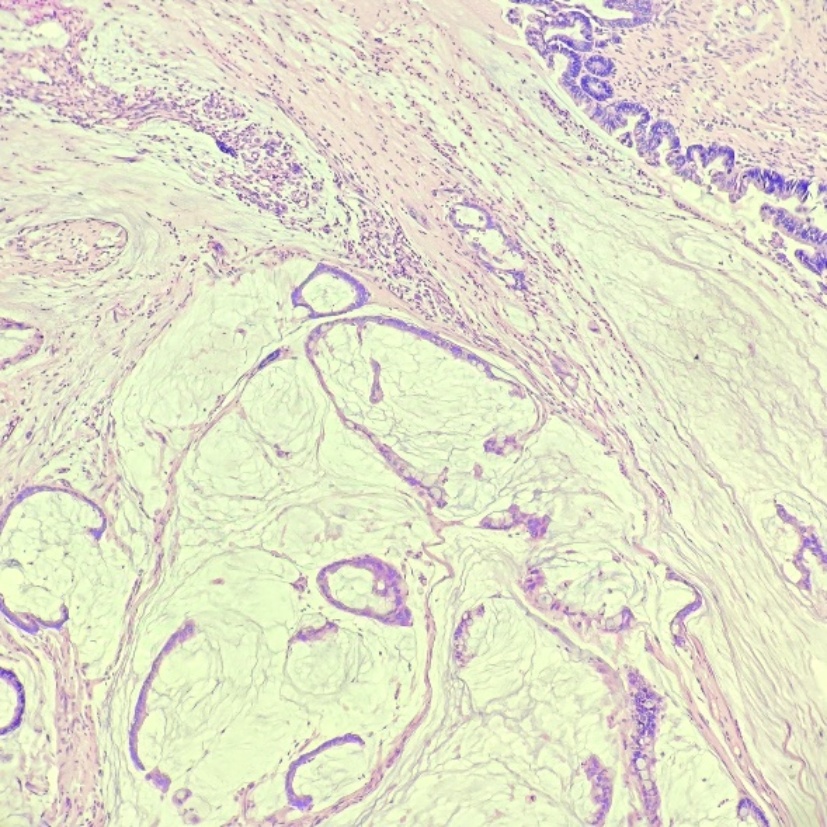
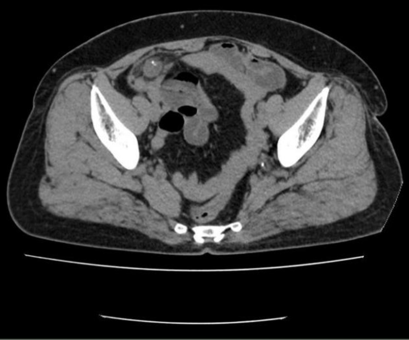
患者阑尾未见明确显示,相应区短条状高密度影,周围条片及淋巴结影,边欠清,部分轻度强化征象,局部肠壁模糊,右下腹肠系膜及大网膜条片影,边欠清。区段小肠肠壁明显增厚,考虑肿瘤可能性大(见图4(a)图4(b))。经多学科讨论后,考虑患者阑尾肿瘤合并小肠肿瘤可能性大,各项术前检查未见明显转移征象,建议再次行手术探查。术中见:肝周及盆底血性积液,量约100 ml,部分小肠黏连与腹壁原切口下方,顿性分离黏连肠管,部分小肠、大网膜黏连固定于右下腹回盲部,松解黏连后,见回盲部、临近小肠系膜、大网膜及右侧腹壁触及质硬结节,距回盲部2 m处小肠肠管明显增粗、质硬,肝脏表面光滑,无明显占位。给予切除距回盲部远端10 cm升结肠及近端10 cm回肠,行回肠及升结肠吻合。切除距回盲部2 m处病变小肠,行小肠吻合。术后病理示:(距回盲部2 m处小肠):黏液癌(隆起型,3 × 2 cm),肿瘤侵透浆膜,脉管癌栓(−),神经侵犯(+),两侧手术切缘未见癌累及,肠周淋巴结内未见癌转移(0/2) (见图5图6)。(回盲部小肠):送检小肠组织,黏膜慢性炎,浆膜面及肠系膜内出血、纤维组织及间皮增生并见少许无上皮黏液,两侧切缘未见癌累及,肠周淋巴结内未见癌转移(0/10)。病理分期:pT4bN0Mx。(右半结肠)送检肠管组织,浆膜面见少量异型腺体浸润,意见为癌。周围组织呈异物肉芽肿性炎,两侧手术切缘未见癌累及,肠周淋巴结内未见癌转移(0/21)。(腹膜结节)送检组织内纤维组织结节状增生。(大网膜)网膜组织内见多处纤维组织增生伴异物巨细胞反应。经多学科会诊讨论后,考虑患者诊断原发肿瘤来自小肠,阑尾肿瘤为小肠侵犯所致。术后患者于肿瘤科行3周期Xelox方案化疗:奥沙利铂130 mg/m2,静脉输注2 h,第1天。卡培他滨每次1000 mg/m2,每日2次,第1~14天。患者术后随访至今未见异常。

(a) (b)

Figure 4. Abdominal CT (Before the second surgery)

4. 腹部CT(第二次手术前)

Figure 5. Postoperative pathology of the appendix (HE×100)

5. 小肠术后病理(HE×100)

Figure 6. Postoperative pathology of the appendix (HE×400)

6. 小肠术后病理(HE×400)

3. 讨论

3.1. 疾病概述

小肠是人体主要的消化、吸收及分泌的场所,包括十二指肠、空肠及回肠三部分组成,是人体最长的消化器官,总长度约4~6 m。但原发性小肠肿瘤发生率却较低,约占全身所有肿瘤的0.2%,占胃肠道肿瘤的5%,其中小肠恶性肿瘤约占3/4,良性肿瘤约占1/4 [6]。导致小肠肿瘤发病率较低的因素可能包括:1) 小肠含有高浓度的苯丙芘羟化酶,可以消除潜在致癌物的毒性;2) 小肠分泌大量的碱性液体稀释对黏膜有刺激性的物质;3) 小肠的快速蠕动,不利于致癌物质的长期存留;4) 小肠内的肠道菌群比大肠低,产生的致癌代谢产物较少;5) 小肠含有大量的淋巴免疫系统和分泌免疫球蛋白A,具有免疫监视和免疫中和作用[7] [8]。小肠肿瘤组织来源有上皮、淋巴、血管、神经及平滑肌等,其中以腺癌最为常见,约占40%,其次分别是神经内分泌肿瘤、间质瘤、腺瘤及恶性淋巴瘤[1] [9]。有调查报道显示我国小肠恶性肿瘤的发病率呈现逐步上升的趋势。小肠肿瘤与大多数肿瘤发病机制一样,是多种因素工作作用导致的,其中包括:不良的饮食习惯、体重指数过高、吸烟、饮酒、糖尿病、炎性肠病病史等[10]

3.2. 临床表现及诊断

小肠肿瘤的早期症状多不明显,随着疾病进展,当肿瘤体积较大时,可出现腹痛、腹胀,恶心、呕吐,呕血、黑便,体重减轻等症状,但特异性较低。大多数患者就医时肿瘤分期已偏晚,比如肿瘤侵犯血管时出现消化道出血[5],肿瘤增长引起管腔狭窄导致肠梗阻等[11]

由于小肠解剖结构的特殊性,发病部位较深且具有隐匿性,临床早期不易诊断。实验室检查方面目前尚无特异性指标,有部分研究表明小肠恶性肿瘤患者CEA及CA19-9升高明显,但仍缺乏循证学依据[12] [13]。影像学检查包括腹部超声、腹部CT及MRI。腹部超声受肠道气体及肠蠕动影响,定位不准确,成像模糊,诊断准确率较低。多排螺旋CT结合造影剂来判断肠壁及系膜血运情况,可较准确进行病灶定位,对小肠肿瘤的诊断率较高[14]。此患者因小肠肿瘤侵犯阑尾致阑尾增粗,导致对小肠病变遗漏而未进一步检查。当存在CT禁忌症时,可以考虑腹部MRI检查。内镜检查主要包括食管胃十二指肠镜、胶囊内镜及双气囊小肠镜检查。食管胃十二指肠镜检查可以发现十二指肠降部以上小肠肿瘤,并且可行活检明确诊断,但对于更远部位小肠肿瘤无法诊断。胶囊内镜具有无创性、患者耐受性好,可以对小肠肿瘤外观、大小和位置进行评估,但无法进行病理活检,且容易漏诊[15]。双气囊小肠镜有较高的诊断率,可以直观、清晰地进行整个消化道的检查,对病变部位亦可进行活检及治疗,是较为理想的检查方法。但因技术及设备要求较高,价格高昂,使其在临床开展受限[14]

3.3. 鉴别诊断

3.3.1. 克罗恩病

克罗恩病为慢性肉芽肿性疾病,好发于末端回肠及临近结肠,呈节段性、跳跃性分布,且病程较长,易反复发作。临床表现都可有腹痛、腹胀、排便习惯改变、发热等症状,但克罗恩病会对人口腔到肛门的各个部位都会有所影响,包括口腔溃疡、肠道炎症、肛瘘等。CT表现小肠壁不同程度增厚,双晕征或靶征,肠腔狭窄,周围脂肪间隙模糊,肠系膜肥厚,病变肠襻与正常肠襻分离,肠间距增大,增强扫描可见“梳样征”,随病情进展,可出现肠瘘及腹腔脓肿。临床上主要以内镜、病理及影像学检查进行经验性诊断[11] [16]

3.3.2. 肠结核

肠结核是结核分枝杆菌引起的肠道慢性特异性肉芽肿性疾病。回盲部是肠结核最常见的受累部位。患者可有腹痛、腹泻、便秘及恶心、呕吐等表现,伴低热、盗汗。肠结核患者一般都有肺结核病史。实验室检查可见血沉增快,CT表现为回盲部黏膜增厚,盲肠肠壁不对性增厚,周围肠系膜淋巴结肿大。内镜下见病变多位于回盲部,黏膜充血、水肿,溃疡多为环形,边缘不规则,肠管环形狭窄,回盲部变形持续开放呈鱼嘴样。病理活检找到干酪样坏死性肉芽肿或抗酸杆菌有确诊意义[16] [17]

3.3.3. 肠憩室

小肠憩室是指因肠腔内压力的影响或胚胎时期发育不良使小肠壁薄弱处向外膨出形成的盲囊。多位于十二指肠降部内侧、空肠上段和回肠下段。小肠憩室常无特异性临床表现,仅在发生感染、出血、嵌顿等情况下才会出现症状,如腹痛、腹胀、恶心、呕吐及畏寒、发热等。对于小肠憩室诊断,消化道钡餐是最常用的检查手段[18] [19]

3.4. 治疗及预后

手术是目前主要的治疗选择,切除的类型取决于肿瘤的位置[20]。一般来说,十二指肠肿瘤通常需要行胰十二指肠切除术,对于位于空肠或回肠的肿瘤,建议进行节段性切除并淋巴结清扫,行空肠–空肠或回肠–回肠吻合,而对于累及回盲瓣的肿瘤,建议进行回盲部切除术或右半结肠切除术。一般来说,手术治疗的原则是切除肿瘤远端和近端至少5 cm,切缘阴性,同时进行充分的局部区域淋巴结清扫[1] [21]

SBA (尤其是位于十二指肠的SBA)预后较差,5年生存期为26%~41%,III期和IV期预后明显更差[22] [23]。在根治性切除SBA的患者中,大约22%~42%的患者接受辅助化疗,通常行FOLFOX方案(奥沙利铂:85 mg/m2,第一天给药。亚叶酸钙:400 mg/m2,第一天给药。5-氟尿嘧啶:400 mg/m2作为快速静脉注射(1~5分钟内输注),随后为2400 mg/m2通过持续静脉输注46~48小时,每2周重复一次)或XELOX方案(奥沙利铂:130 mg/m2,第一天给药。卡培他滨:1000 mg/m2,每天分两次,餐后半小时内服用,每日总剂量为2000 mg/m2,从第1天至第14天,每3周重复一次。) [24] [25]。然而,与不接受辅助化疗的患者相比,接受辅助放化疗的患者没有生存优势(中位OS: 48.9个月对43.5个月[HR, 1.04; 95% CI 0.88~1.22 (p = 0.669)]),即使在高危病例(切缘阳性、T4、淋巴结分期不充分、淋巴结阳性或组织学分化差),依然没有获益[26]。因此,考虑到化疗的有效性,只有在经过多学科讨论后选定的病例中才应考虑化疗。

3.5. 误诊原因分析

3.5.1. 对小肠肿瘤的认知不足,警惕性不高

小肠肿瘤发病率低,尤其是回肠、空肠部位发生率更低,所以临床医生接触该疾病较少,尤其是基层医院及年轻医师。另外本病临床症状不典型,缺乏特异性表现,早期可无任何临床表现,多数患者是因出现并发症而就诊。本例患者以右下腹痛为主要症状就诊,查体主要为右下腹压痛,无反跳痛,是因为小肠肿瘤侵犯阑尾而导致出现阑尾炎表现,因此临床上仅凭症状与体征很难鉴别。

3.5.2. 未进行进一步检查

小肠肿瘤在实验室检查方面目前尚无特异性指标,普通CT对早期病变灵敏度低,多层螺旋CT结合静脉造影可准确进行病灶定位,清晰显示肿瘤边界,对早期的小肠肿瘤的诊断率较高。双气囊小肠镜可以直观、清晰地进行整个消化道的检查,对病变部位亦可进行活检及治疗。本例患者行普通CT提示:右下腹局部见管状影,增粗阑尾?回盲部见多发微小结节。在尚未明确诊断的情况下,未进一步完善增强CT及小肠镜等检查,导致术前误诊。

3.5.3. 疑难病例未及时组织多学科会诊(Multi-Disciplinary Team, MDT)

患者病史长,抗感染治疗效果不佳,症状反复发作,与急性阑尾炎表现不符,在完善普通腹部CT及肠镜后,仍无法明确诊断,未及时行MDT,讨论手术必要性及可行性,便匆匆行手术探查,导致术中手术难度加大,发生了漏诊。

3.5.4. 术中未及时会诊及行冰冻病理检查

患者术中探查发现阑尾端侧与临近小肠黏连致密,无法分离,完整切除阑尾困难。在手术难度超过预期的情况下,未及时联系高年资医师术中会诊,协助手术,亦未及时送冰冻病理检查,结果术后证实为恶性肿瘤,导致患者行二次手术。

3.6. 防范措施

3.6.1. 提高对小肠肿瘤的认知

临床医师应加强自我学习,提高对小肠肿瘤的认知,加强对该疾病的诊断水平,临床工作中对有疑虑的病例要提高警惕性,不要盲目下诊断、治疗,及时请教上级医师。科室应定期组织科内学习,由高年资医师分享临床诊治经验,提高年轻医师整体业务水平。

3.6.2. 完善进一步检查

临床中对诊断不明确患者,要及时完善进一步检查,如小肠肿瘤患者可完善增强CT及小肠镜等检查,以期在诊断明确的前提下进行治疗及手术,避免盲目进行手术探查,导致“开错刀及二次手术”等情况发生。

3.6.3. 及时组织MDT

个人的经验总是有局限性的,在临床诊疗工作中存在疑惑时,要及时组织MDT,它是一种规范化诊疗模式,由多个学科相关专家,提出适合患者的最佳治疗方案,从而保证高质量的诊治建议和最佳的治疗计划,避免过度医疗和误诊误治,使患者受益最大化。患者转入我科后便及时组织多学科会诊,经放射科专家阅片后及时发现患者存在小肠肿瘤情况,避免了漏诊的情况,肿瘤科专家会诊为患者后续治疗提供诊疗思路。

3.6.4. 术中仔细探查并及时送冰冻病理检查

临床工作中对手术患者要积极完善术前讨论,避免流于形式,术前要对手术中情况有所预期,当术中探查情况与预期不一致时,要仔细探查,在手术超过能力范围时要及时请高年资及时术中会诊,协助手术。对术后病理结果会影响手术方式时,要及时完善术中冰冻病理检查,避免二次手术。

4. 结论

综上所述,小肠肿瘤发病率低,临床表现缺乏特异性,早期诊断困难,术前极易误诊。临床医师在工作中,遇到此类诊断不明确患者,及时完善进一步检查,组织MDT,以期有针对性行手术治疗,避免盲目开刀,术中及时完善冰冻病理检查,避免二次手术。

声 明

本研究经青岛市第八人民医院伦理委员会审批申请免除知情同意:利用以往临床诊疗中获得的病历/生物标本的研究。

基金项目

山东第二医科大学附属医院科技发展项目资助(2024FYQ041)。

NOTES

*通讯作者。

参考文献

[1] Teufel, A., Meindl-Beinker, N.M., Hösel, P., Gerken, M., Roig, A., Ebert, M.P., et al. (2022) Characteristics and Outcome of Patients with Small Bowel Adenocarcinoma (SBA). Journal of Cancer Research and Clinical Oncology, 149, 4579-4590. [Google Scholar] [CrossRef] [PubMed]
[2] Aparicio, T., Zaanan, A., Svrcek, M., Laurent-Puig, P., Carrere, N., Manfredi, S., et al. (2014) Small Bowel Adenocarcinoma: Epidemiology, Risk Factors, Diagnosis and Treatment. Digestive and Liver Disease, 46, 97-104. [Google Scholar] [CrossRef] [PubMed]
[3] 仇长敬, 耿鹏. 小肠肿瘤误诊为急性阑尾炎1例报告[J]. 山东医药, 2014, 54(39): 18.
[4] 信延山, 曹清乐, 赵金明, 等. 误诊为炎症性肠病的小肠肿瘤一例[J]. 临床外科杂志, 2022, 30(9): 888-889.
[5] 支江平, 焦俊英. 以出血为首发症状的小肠肿瘤误诊分析[J]. 临床误诊误治, 2004(3): 188-189.
[6] 赵丹. 小肠恶性肿瘤患者临床特征分析[D]: [硕士学位论文]. 大连: 大连医科大学, 2020.
[7] Weiss, N.S. and Yang, C.P. (1987) Incidence of Histologic Types of Cancer of the Small Intestine. Journal of the National Cancer Institute, 78, 653-656.
[8] Chow, W., Linet, M.S., McLaughlin, J.K., Hsing, A.W., Co Chien, H.T. and Blot, W.J. (1993) Risk Factors for Small Intestine Cancer. Cancer Causes and Control, 4, 163-169. [Google Scholar] [CrossRef] [PubMed]
[9] de Bree, E., Rovers, K.P., Stamatiou, D., Souglakos, J., Michelakis, D. and de Hingh, I.H. (2018) The Evolving Management of Small Bowel Adenocarcinoma. Acta Oncologica, 57, 712-722. [Google Scholar] [CrossRef] [PubMed]
[10] 张硕文, 顾于蓓. 2023年小肠疾病诊治进展[J]. 诊断学理论与实践, 2024, 23(2): 119-125.
[11] 曲娟, 杨继志. 小肠克罗恩病误诊为小肠肿瘤1例[J]. 疑难病杂志, 2012, 11(4): 311.
[12] 俞利结, 李淑德, 傅传刚, 等. 小肠恶性肿瘤625例临床特征分析[J]. 肿瘤, 2012, 32(10): 811-818.
[13] 刘以俊, 谢文勇, 郑晟旻, 等. 血清CEA和CA19-9与原发性十二指肠癌临床病理特征及预后的关系[J]. 中华普通外科杂志2017, 32(8): 702-705.
[14] 叶红柔, 陈春晓. 双气囊小肠镜和多层螺旋CT对小肠肿瘤的诊断价值[J]. 浙江大学学报(医学版), 2017, 46(5): 557-562.
[15] 张婷, 朱佳慧, 廖专. 小肠胶囊内镜的临床应用价值[J]. 中国实用内科杂志, 2022, 42(1): 8-12.
[16] 万承凤, 张萍萍, 曾炳亮. CT小肠造影对克罗恩病与肠结核的鉴别诊断价值[J]. 实用临床医学, 2018, 19(10): 66-69, 108.
[17] 王勋. 肠结核与原发性小肠淋巴瘤的临床、内镜及CT特点的分析[J]. 现代中西医结合杂志, 2014, 23(27): 3035-3036, 3049.
[18] 贾国顺. 小肠憩室病7例误诊分析[J]. 青海医药杂志, 2019, 49(2): 65-66.
[19] 李成坤, 常旭东, 曹荣蓉, 等. 经双气囊小肠镜诊断小肠憩室内镜下表现及临床特点分析[J]. 临床军医杂志, 2023, 51(9): 892-895, 900.
[20] Vashistha, N. and Singhal, D. (2021) Current Oncologic Standards for Surgery of Small Bowel Cancers. Journal of Gastrointestinal Cancer, 53, 434-438. [Google Scholar] [CrossRef] [PubMed]
[21] Gelsomino, F., Balsano, R., De Lorenzo, S. and Garajová, I. (2022) Small Bowel Adenocarcinoma: From Molecular Insights to Clinical Management. Current Oncology, 29, 1223-1236. [Google Scholar] [CrossRef] [PubMed]
[22] Young, J.I., Mongoue-Tchokote, S., Wieghard, N., Mori, M., Vaccaro, G.M., Sheppard, B.C., et al. (2016) Treatment and Survival of Small-Bowel Adenocarcinoma in the United States. Diseases of the Colon & Rectum, 59, 306-315. [Google Scholar] [CrossRef] [PubMed]
[23] Falcone, R., Romiti, A., Filetti, M., Roberto, M., Righini, R., Botticelli, A., et al. (2019) Impact of Tumor Site on the Prognosis of Small Bowel Adenocarcinoma. Tumori Journal, 105, 524-528. [Google Scholar] [CrossRef] [PubMed]
[24] Ecker, B.L., McMillan, M.T., Datta, J., Mamtani, R., Giantonio, B.J., Dempsey, D.T., et al. (2015) Efficacy of Adjuvant Chemotherapy for Small Bowel Adenocarcinoma: A Propensity Score-Matched Analysis. Cancer, 122, 693-701. [Google Scholar] [CrossRef] [PubMed]
[25] Bilimoria, K.Y., Bentrem, D.J., Wayne, J.D., Ko, C.Y., Bennett, C.L. and Talamonti, M.S. (2009) Small Bowel Cancer in the United States: Changes in Epidemiology, Treatment, and Survival over the Last 20 Years. Annals of Surgery, 249, 63-71. [Google Scholar] [CrossRef] [PubMed]
[26] Ecker, B.L., McMillan, M.T., Datta, J., Lee, M.K., Karakousis, G.C., Vollmer, C.M., et al. (2016) Adjuvant Chemotherapy versus Chemoradiotherapy in the Management of Patients with Surgically Resected Duodenal Adenocarcinoma: A Propensity Score‐Matched Analysis of a Nationwide Clinical Oncology Database. Cancer, 123, 967-976. [Google Scholar] [CrossRef] [PubMed]