鞋钉样亚型甲状腺乳头状癌3例临床病理特征分析及文献复习
Clinicopathological Features of Hobnail Variant of Papillary Thyroid Carcinoma: A Report of 3 Cases and Review of the Literature
摘要: 目的:探讨鞋钉样亚型甲状腺乳头状癌(hobnail variant of papillary thyroid carcinoma, HVPTC)的临床病理特征、诊断及鉴别诊断及预后。方法:回顾性分析3例HVPTC的临床特点、病理学特征、免疫表型及治疗预后,并复习相关文献。结果:HVPTC镜下为乳头、微乳头结构,表面覆盖着立方形或椭圆形上皮细胞,胞浆嗜酸,核质比高,细胞核位于顶部或偏心,向表面突起似鞋钉样,表达CK19、Galectin-3、TROP2、TTF1、PAX8等免疫组化标记,需与多种具有乳头/微乳头状结构的肿瘤相鉴别。结论:HVPTC临床少见,具有侵袭性,确诊需结合镜下特点和免疫表型。
Abstract: Objective: To explore the clinicopathological features, diagnosis, differential diagnosis, and prognosis of hobnail variant of papillary thyroid carcinoma (HVPTC). Methods: The clinical features, pathological features, immunophenotype, and prognosis in 3 cases of HVPTC were retrospectively analyzed, and related literature was reviewed. Result: HVPTC was characterized by papillary and micropapillary structure under microscope. The surface of HVPTC was covered with cuboid or oval epithelial cells. The cytoplasm was acidophilic, and the ratio of nucleus to cytoplasm was high. The nucleus was located at the top or eccentric and protruded to the surface like a nail. The expression of CK-19, Galectin-3, TROP-2, TTF-1, PAX-8, and other immunohistochemical markers should be differentiated from many tumors with papillary and micropapillary structures. Conclusions: HVPTC is rare in clinic and invasive. The diagnosis of HVPTC should be made according to the microscopic characteristics and immunophenotype.
文章引用:史成良, 武亚娟, 杨佳璐, 袁雅玲, 涂宁芳. 鞋钉样亚型甲状腺乳头状癌3例临床病理特征分析及文献复习[J]. 医学诊断, 2026, 16(1): 28-33. https://doi.org/10.12677/md.2026.161005

1. 引言

甲状腺乳头状癌(papillary thyroid carcinoma, PTC)起源于滤泡上皮细胞,是甲状腺最多见的恶性肿瘤,近年来发病趋势明显上升[1]。第五版WHO分类将PTC分为惰性与侵袭性两大类,前者包括经典型、滤泡亚型、嗜酸细胞亚型等,预后良好,大多数PTC属于此类亚型。但少数PTC包括高细胞亚型、柱状细胞亚型与鞋钉样亚型的侵袭性强,恶性程度高,预后相对较差,临床上容易诊断为其他高度恶性的肿瘤或以惰性PTC的方式治疗[2]。为了提高诊断HVPTC的认识水平,进一步规范治疗措施,本研究回顾性分析了近一年来我院收治的3例HVPTC临床病理特征、免疫表型并复习相关文献,现报道如下。

2. 材料与方法

2.1. 材料

收集孝感市第一人民医院2024年7月至2025年7月3例确诊为HVPTC的完整病例资料,纳入标准为镜下超过30%的肿瘤细胞呈鞋钉样形态(该研究已获得伦理批复,批件编号为伦审(2024)第018号)。3例均为女性,年龄19~63岁,平均年龄为40岁。

2.2. 方法

所有标本10%中性福尔马林固定,常规脱水、石蜡包埋、组织切片、HE染色和免疫组织化学Envision染色。使用的所有试剂均购自武汉伽源生物医学工程有限公司,主要试剂包括TG、TTF1、PAX8、CK19、HBME-1、TROP2、BRAF、CyclinD-1、Galectin-3、Ki-67等,严格按照试剂盒说明书进行染色,仪器为DAKO全自动免疫组化染色仪,用PBS缓冲液代替一抗作阴性对照,已知的阳性标本作阳性对照。

3. 结果

3.1. 临床特征

例1:女性,19岁,颈部CT平扫结果显示:甲状腺左侧叶见片状稍低密度影,边缘欠清,包膜欠光整;右侧叶见结节状稍低密度影;颈部淋巴结增多、增大,左侧明显。例2:女性,37岁,颈部CT平扫结果显示:甲状腺右侧叶见低密度结节,内见钙化灶,周围软组织界限清楚。双侧淋巴结未见明显增大、增多。例3:女性,63岁,颈部CT平扫结果显示:甲状腺右侧叶见片状稍低密度影,边界欠清,内见小片状钙化影,左侧叶及淋巴结无明显异常。

3.2. 病理检查

大体肉眼观:例1左侧甲状腺切开可见直径2.5 cm的灰白色结节,右侧切开见直径0.5 cm的灰白色结节;例2右侧甲状腺切开可见直径3 cm的灰白色结节,左侧无明显结节;例3左侧甲状腺切开可见直径2.5 cm的灰黄色结节,右侧甲状腺无明显结节。

3.3. 镜检

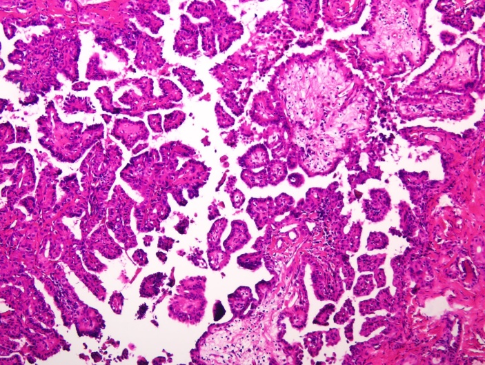
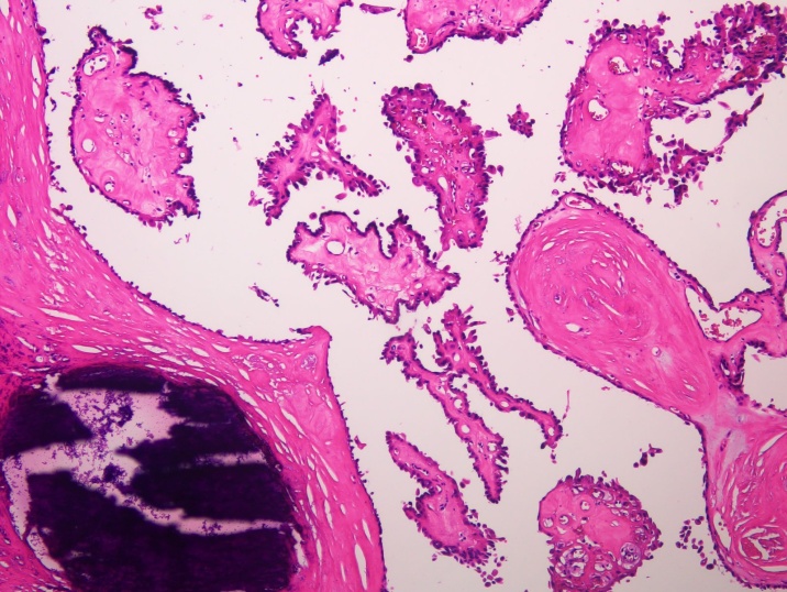
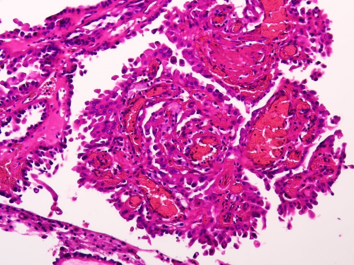
肿瘤细胞呈乳头状、微乳头状排列(图1),部分失去黏附性,极性紊乱,胞浆嗜酸性,细胞核位于顶部或偏心,突向表面呈鞋钉样排列(图2),偶见核分裂象。例1背景为桥本氏甲状腺炎,左侧为HVPTC,右侧为经典型PTC;例3可见高细胞移行区域。1例间质纤维化、钙化(图3),3例均见包膜侵犯。例1中央区淋巴结可见癌转移(7/14),淋巴结转移病灶6枚为经典型形态,1枚转移形态为鞋钉样亚型;例2中央区淋巴结3枚未见癌转移;例3送检淋巴结为纤维血管脂肪组织,未见确切淋巴结。

Figure 1. Nipple and micropapillary structure seen under microscope (HE staining ×100)

1. 镜下见乳头、微乳头结构(HE染色×100)

Figure 2. Obvious spike-like structure under microscope, cytoplasmic eosinophilic (HE staining ×200)

2. 可见明显的鞋钉样结构,胞浆嗜酸(HE染色×200)

Figure 3. Interstitial fibrosis and calcification (HE staining ×100)

3. 间质纤维化、钙化(HE染色×100)

3.4. 免疫表型

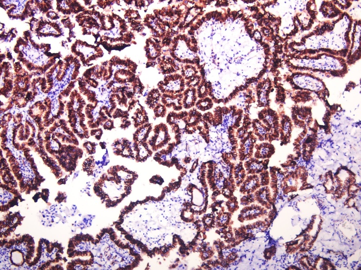
肿瘤细胞TG、TTF1、PAX8、CK19、Galectin-3、cyclinD1、TROP2 (图4)均阳性表达,3例Ki-67为1%~5%,1例HBME-1阳性,2例BRAF阳性。

Figure 4. TROP2 positive immunohistochemistry (Envision two-step method staining ×100)

4. TROP2阳性免疫组化(Envision两步法染色×100)

3.5. 随访

截止2025年8月,患者随访时间9~12个月,预后均良好。

4. 讨论

4.1. 临床特征

HVPTC是一种少见的甲状腺恶性肿瘤,占比不足甲状腺肿瘤的1%。2009年于Motosugi等首先发现并报道[3]。王冬海等的研究表明,男女发病比例相近[4],而谭志会等的研究表明,女性发病率较高,约为男性发病率的2倍[5]。由于病例罕见,仍需要更多病例报道。分子机制方面,约70%的HVPTC患者携带BRAF突变,其他还包括TP53、PIK3A、TERT、CTNNB1等分子遗传学改变,揭示了HVPTC的复杂发病机制,可能成为HVPTC侵袭性特征的关键因素[6] [7]

4.2. 病理学特征

瘤体最大径约为1~5 cm,平均直径约3 cm,与本研究相近,偶有报道直径达10 cm,可见包膜,切面呈灰黄色[8]。镜下肿瘤细胞黏附性较差,失去极性,排列紊乱,呈微乳头结构,即缺乏真正的纤维血管轴心;肿瘤细胞表面覆盖着立方形或椭圆形上皮细胞,细胞核质比增大且无胶质,胞浆嗜酸明显,产生顶浆分泌样的胞浆凸起,似大汗腺形态,细胞核位于顶部或偏心,向表面突起似鞋钉样。此外,HVPTC具有严格的诊断标准,如超过30%的肿瘤细胞呈鞋钉样形态,常伴复杂的乳头/微乳头结构,细胞核异型性较PTC更明显[9]。当HVPTC出现肿瘤性坏死,核分裂象 ≥ 5个/2 mm2,应归为高级别分化型甲状腺癌这一大类中。

4.3. 免疫组化特征

肿瘤细胞来源于滤泡上皮,表达TG、TTF1、PAX8、CK19、Galectin-3、TROP2等免疫组化标记。TROP2作为新兴的PTC标记物,Kılınc等对270例甲状腺肿瘤患者进行TROP2免疫组化检测,研究表明,TROP2是PTC浸润性和侵袭性特征的标志物,而非恶性肿瘤的特异性标志。该指标检测结果呈阳性,则提示存在恶性肿瘤;若呈阴性,则可能提示需要进一步研究的前驱病变。本研究3例TROP2均阳性,与报道相符合[10]。利用免疫组化方法进行BRAF基因突变初步检测,具有经济、快捷、简便等优势,如免疫组化阳性,建议行实时荧光定量PCR或二代测序明确BRAF基因状态。Ki-67作为增殖活性重要的标志物,在PTC的病理分级及预后评估中具有一定的价值[11]。本研究3例Ki-67均<5%,属于低增殖状态。此外,HVPTC还不同程度表达HBME-1、cyclinD1等免疫组化标记,有助于辅助病理诊断。

4.4. 鉴别诊断

HBPTC应与以下镜下形态出现乳头状结构的疾病相鉴别。1) 结节性甲状腺肿伴有乳头状结构增生:乳头状结构大多数出现在结节性甲状腺肿伴出血囊性变病灶中,乳头增生活跃时可见纤维血管轴心,细胞核呈圆形,染色质均匀,大小一致,排列整齐,无明显异型性。2) Warthin瘤亚型甲状腺乳头状癌:该亚型镜下可见微乳头结构,胞质嗜酸性,但乳头轴心充满大量淋巴细胞浸润,缺乏鞋钉样细胞,以此鉴别[12]。3) 肺/乳腺来源的微乳头型腺癌:属于高级别腺癌亚型,具有极强的侵袭性,需要结合临床病史并寻找原发灶。肺腺癌免疫组化TTF-1、NapsinA阳性,乳腺来源TRPS-1、GATA-3标记常阳性,甲状腺来源标记阴性[13]。4) 高级别浆液性癌:患者为女性需警惕高级别浆液性癌转移,镜下可见乳头状结构,但上皮细胞未见鞋钉样结构,通常免疫组化WT1阳性,P53为突变型,还需结合病史及相关实验室检查鉴别。此外,与具有鞋钉样形态的其他PTC亚型鉴别时,要重点关注呈鞋钉样形态的肿瘤细胞是否超过30%,以及细胞核的异型性情况。

4.5. 治疗预后

与传统的PTC相比,HVPTC预示着预后不佳,肿瘤直径更大,更容易发生淋巴结转移,复发几率高,死亡率也较高,诊断后应积极治疗。尽管文献报道中HVPTC总体预后不佳,但在本研究的9~12个月的随访期内,未见复发或转移迹象,提示仍需进行长期密切随访从而评估预后。根据甲状腺癌诊疗指南(2022年版),HVPTC治疗方式建议行全/近全甲状腺切除术,同时清扫患侧淋巴结[14] [15]

基金项目

2024年孝感市自然科学计划项目(项目编号:XGKJ2024010021)。

NOTES

*第一作者。

#通讯作者。

参考文献

[1] 殷德涛, 赵乾. 全球及中国甲状腺癌的发病特征及趋势[J]. 中国普外基础与临床杂志, 2025, 32(6): 687-693.
[2] 刘志艳, 刘书佚, 王馨培, 等. 第5版WHO甲状腺滤泡源性肿瘤分类解读[J]. 中华病理学杂志, 2023, 52(1): 7-12.
[3] Motosugi, U., Murata, S., Nagata, K., Yasuda, M. and Shimizu, M. (2009) Thyroid Papillary Carcinoma with Micropapillary and Hobnail Growth Pattern: A Histological Variant with Intermediate Malignancy? Thyroid, 19, 535-537. [Google Scholar] [CrossRef] [PubMed]
[4] 王冬海, 马晓磊, 郑吉春, 等. 鞋钉样亚型甲状腺乳头状癌7例临床病理特征[J]. 临床与实验病理学杂志, 2021, 37(5): 612-615.
[5] 谭志会, 贾浩, 唐雪峰. 鞋钉亚型甲状腺乳头状癌临床病理特征分析(附25例) [J]. 现代肿瘤医学, 2025, 33(4): 648-652.
[6] Ambrosi, F., Righi, A., Ricci, C., Erickson, L.A., Lloyd, R.V. and Asioli, S. (2017) Hobnail Variant of Papillary Thyroid Carcinoma: A Literature Review. Endocrine Pathology, 28, 293-301. [Google Scholar] [CrossRef] [PubMed]
[7] Donaldson, L.B., Yan, F., Morgan, P.F., Kaczmar, J.M., Fernandes, J.K., Nguyen, S.A., et al. (2021) Hobnail Variant of Papillary Thyroid Carcinoma: A Systematic Review and Meta-Analysis. Endocrine, 72, 27-39. [Google Scholar] [CrossRef] [PubMed]
[8] Asioli, S., Erickson, L.A., Sebo, T.J., Zhang, J., Jin, L., Thompson, G.B., et al. (2010) Papillary Thyroid Carcinoma with Prominent Hobnail Features: A New Aggressive Variant of Moderately Differentiated Papillary Carcinoma. a Clinicopathologic, Immunohistochemical, and Molecular Study of Eight Cases. American Journal of Surgical Pathology, 34, 44-52. [Google Scholar] [CrossRef] [PubMed]
[9] 陈春燕, 刘志艳. 甲状腺乳头状癌少见亚型临床病理特征[J]. 中国实用外科杂志, 2025, 45(9): 996-1000.
[10] Kilinc, E., Gunes, P. and Doganer, A. (2022) TROP2 Is a Good Indicator for Infiltrative Nature of Carcinoma Rather than Diagnosing Malignancy in Thyroid. Indian Journal of Otolaryngology and Head & Neck Surgery, 74, 2560-2568. [Google Scholar] [CrossRef] [PubMed]
[11] 孔祥雨, 朱茜茜, 李志辉, 等. Ki-67在甲状腺乳头状癌中的表达及其临床病理意义研究[J]. 中国普外基础与临床杂志, 2025, 32(8): 1011-1014.
[12] 王冬海, 李腾, 高海丽, 等. Warthin瘤样甲状腺乳头状癌的临床病理观察[J]. 诊断病理学杂志, 2021, 28(2): 101-104.
[13] 薛治乾, 范长玲, 潘中军, 等. 乳腺浸润性微乳头状癌术后双侧甲状腺及峡部转移1例[J]. 中国现代普通外科进展, 2023, 26(10): 836-837.
[14] 甲状腺癌诊疗指南(2022年版) [J]. 中国实用外科杂志, 2022, 42(12): 1343-1357+1363.
[15] 田文, 刘军言. 中国甲状腺外科近十年成就[J]. 西安交通大学学报(医学版), 2024, 45(1): 1-8.