子宫肌瘤合并下肢静脉血栓及肺栓塞1例
Uterine Myoma Associated with Deep Venous Thrombosis and Pulmonary Embolism: A Case Report and Literature Review
DOI: 10.12677/md.2024.142024, PDF, HTML, XML,   
作者: 林 雨*, 李 囡#, 王晓玉#:暨南大学附属第一医院妇产科,广州,广东
关键词: 子宫肌瘤肺栓塞子宫肌瘤剔除术Myoma Pulmonary Embolism Myomectomy
摘要: 目的:探讨巨大子宫肌瘤合并血栓栓塞性疾病的可能及保留其生育能力的可能性。方法:对暨南大学附属第一医院1例37岁患者进行全面检查,明确诊断后行手术治疗。结果:通过个体化治疗保留了该患者的子宫和生育能力。结论:巨大的子宫肌瘤应考虑到可能存在血栓栓塞性等并发症的可能性。对于年轻女性,我们在治疗过程中也应考虑保存其生育能力。
Abstract: Objective: To investigate the possibility of giant uterine fibroids complicated with thromboembolic diseases and the possibility of their fertility preservation. Methods: After undergoing a comprehensive examination, a 37-year-old patient from the First Affiliated Hospital of Jinan University received the surgery. Results: The patient’s uterus and fertility were preserved through individualized treatment. Conclusion: Giant uterine myoma should consider the possibility of complications such as thromboembolic diseases. Fertility preservation should be considered in young women as well.
文章引用:林雨, 李囡, 王晓玉. 子宫肌瘤合并下肢静脉血栓及肺栓塞1例[J]. 医学诊断, 2024, 14(2): 162-166. https://doi.org/10.12677/md.2024.142024

1. 引文

临床上,子宫肌瘤很少出现急性并发症。然而随着肌瘤的增大,压迫症状随之变得更加明显,并且患深静脉血栓形成(DVT)和肺栓塞(PE)的风险也更高。有关子宫肌瘤合并深静脉血栓和肺栓塞的病例很少被文献报道,并且在治疗过程中很少能保留这些患者的生育能力。我们报告了一位37岁女性(未婚未育),被诊断为子宫肌瘤、深静脉血栓形成和肺栓塞,并通过个体化治疗保留了她的子宫和生育能力。

2. 病例资料

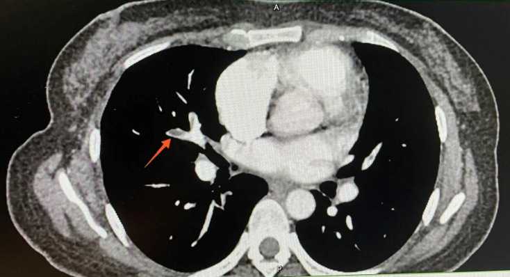
患者女,37岁,因“左下肢肿胀1天”于2021年07月10日入中山大学第一附属医院。中山大学第一附属医院下肢血管彩超提示双下肢静脉提示深静脉血栓形成,肺动脉CT可见双肺多发血栓形成(图1)。患者经抗凝溶栓治疗1个月后,于2021年08月04日出现大量阴道流血,并于2天后于家中昏迷,遂于2021年8月6日入暨南大学第一附属医院,诊断为子宫肌瘤。患者近期无外伤史、无输血史、无血液系统疾病史,无吸烟、吸毒史,近期无口服短效避孕药史,未婚未育,2年来有月经增多、经期延长、痛经史(月经周期28天,经期9~10天),体重正常,BMI 21.6 kg/m2。查体:生命体征平稳,贫血貌,宫底平脐上二横指,表面光滑,质硬,边界清,活动性差;双附件未触及。左下肢均匀凹陷性水肿,伴轻微疼痛,左下肢周径分别为左小腿39.5 cm (右侧37 cm),膝盖47 cm (右侧42.5 cm),大腿59 cm (右侧55.5 cm)。双下肢彩超提示:左侧大隐静脉根部及左侧股总、股浅、腘静脉血栓形成(图2)。B超提示:子宫体积增大,切面内径175 mm × 118 mm × 140 mm,实质回声欠均匀。内膜显示不清。宫腔内见一不均质低回声团,大小约117 mm × 146 mm × 117 mm,边界尚清。宫底肌层见一个实性低回声团,大小约44 mm × 56 mm × 48 mm,形状呈椭圆形,内部为低回声,分布均质,边缘清楚。盆腔MR提示:子宫后壁肌层见巨大类圆形异常信号影,大小约14.9 cm × 9.8 cm × 14.2 cm,病灶与子宫后壁肌层分界不清,增强扫描呈明显不均匀强化,考虑子宫平滑肌瘤与子宫平滑肌肉瘤相鉴别(图3)。血浆D-二聚体定量4270 ng/ml,血红蛋白HGB 61.30 g/L,蛋白S17.7%,抗磷脂抗体未见明显异常。入院后予缩宫素促进子宫收缩、促性腺激素释放激素激动剂(Gn-RHa)止血、生血宁纠正贫血、补液、输血、抗凝等对症处理后转介入科治疗血栓。于2021年8月16日行左下肢静脉造影 + 下腔静脉滤器植入术(图4)。DSA显示:左下肢股静脉、股总静脉上段、髂静脉、下腔静脉未见显影,股、髂静脉周围可见大量侧枝循环形成。术后予利伐沙班10 mg qd口服、升血宝15 ml tid + 红源达1片bid口服。患者病情稳定后复查CT示双肺肺动脉内多发血栓基本吸收,超声示肌瘤体积减小。遂于2021年8月30日在腰麻下行腹式子宫肌瘤剔除术,术中见子宫均匀增大如孕4月大小,质硬,表面光滑,宫底部见一带蒂浆膜下肌瘤,大小约60 mm × 50 mm × 50 mm。子宫及卵巢表面见炎性粘连带。术中病理冰冻结果:子宫平滑肌瘤伴玻璃样变性。手术顺利,两个肌瘤(总重量约900 g)在手术中被完全切除,未穿透子宫腔,术中出血约500 ml,患者未诉特殊不适。术后常规预防感染,低分子肝素抗凝治疗,复查患者血浆d-二聚体浓度降至670 ng/ml。术后4天取出下腔静脉滤器,患者活动后无不适出院,予利伐沙班口服半年预防血栓复发,并予Gn-RHa连续治疗3个周期,定期随访有无新发血栓形成。

Figure 1. Pulmonary artery CT: Multiple pulmonary thrombosis

1. 肺动脉CT:双肺多发血栓形成

Figure 2. Color ultrasound of both lower limbs: thrombosis of the left saphenous vein root and the left common femoral, superficial femoral and popliteal veins

2. 双下肢彩超:左侧大隐静脉根部及左侧股总、股浅、腘静脉血栓形成

Figure 3. Pelvic MR: A large circular abnormal signal shadow is seen in the muscle layer of the posterior wall of the uterus, which compresses the iliac vein

3. 盆腔MR:子宫后壁肌层见巨大类圆形异常信号影,压迫髂静脉

Figure 4. DSA: Inferior vena cava filter

4. DSA:下腔静脉滤器

3. 讨论

子宫肌瘤是女性生殖系统最常见的良性肿瘤,由平滑肌组织的增生形成。有子宫肌瘤的女性可无明显症状,而出现症状的多表现为经量增多、经期延长,痛经,继发性贫血,压迫症状等[1]。随着肌瘤的增长,压迫症状会越发明显,而对周围静脉的压迫会导致血栓栓塞性疾病风险的上升。尽管肌瘤很少引起肺栓塞一类的急性并发症[2],但是此类并发症一旦发病,将显著地影响患者的生活质量、甚至威胁患者的生命。Virchow提出血栓形成有三大要素,分别为静脉壁损伤、血液高凝状态、血流缓慢,此外,年龄、肥胖、高血压、糖尿病、吸烟史等都会增加深静脉血栓(DVT)的风险[3]。本病例患者为青年女性,凝血功能正常,患者巨大子宫肌瘤长期压迫周围静脉导致血液瘀滞,可能是深静脉血栓形成的重要原因。患者日常工作常需久坐,亦可能为造成深静脉血栓形成的危险因素之一。

急性肺栓塞(APE)具有高致残率、高致死率和高误诊率[4],在临床工作中又常常因为症状无特异性容易被忽视。肺栓塞通常继发于深静脉血栓,据报道,约90%的肺栓塞患者有深静脉血栓相关的疾病史[5]。而随着子宫肌瘤的进展和肌瘤重量的增加,发生深静脉血栓的风险显著上升[6]。在国内外报道的16例子宫肌瘤合并深静脉血栓及肺栓塞的患者中[7] [8] [9],多为巨大子宫肌瘤,患者年龄从29岁到60岁不等,但40岁以下仅有2例报道[10] [11]。除3例由肺栓塞或全身血栓栓塞导致死亡的患者外,13例患者均采取了子宫切除术或次全子宫切除术。本例患者虽有双肺多发血栓形成,但无明显肺栓塞相关临床症状,以下肢肿胀为首发症状。此外,本病例中解除压迫是缓解血栓栓塞并发症的主要治疗方法。因此,Gn-RHa被用于加速止血并减小肌瘤的大小(8月6日超声提示肌瘤的大小为117 mm × 146mm × 117 mm, 8月27日为115 mm × 77mm × 113 mm)。在使用下腔静脉滤器降低血栓脱落风险的同时,因患者为有生育要求的未婚育龄女性,应尽早行子宫肌瘤剔除术,并保留其生育力。且由于术后仍需持续抗凝治疗,故术后持续使用Gn-RHa治疗以减少恢复期抗凝治疗所导致的经量增多,并促进子宫恢复,降低未来子宫破裂的风险。文献回顾显示,子宫肌瘤合并肺栓塞和深静脉血栓在年轻女性中相对罕见,在已报道的文献中这些病例患者的子宫和生育力通常无法被保留。不同手术入路的围手术期风险评估仍需进一步研究,但针对如本例患者的有生育需求的育龄期女性,仍需结合患者病情进行个体化治疗,考虑对其生育力进行保留。下腔静脉滤器置入可以增加围手术期的安全性,降低急性肺栓塞的可能性。该患者的治疗增加了对巨大子宫肌瘤合并肺栓塞和深静脉血栓的患者的生育保护的信心和成功经验。

4. 结论

妇科医师遇到巨大子宫肌瘤时,应警惕其并发深静脉血栓的可能,并结合患者病情考虑是否保留生育力。

NOTES

*第一作者。

#通讯作者。

参考文献

[1] 郎景和. 子宫肌瘤的诊治中国专家共识[J]. 中华妇产科杂志, 2017, 52(12): 793-800.
[2] Gupta, S. and Manyonda, I.T. (2009) Acute Complications of Fibroids. Best Practice & Research Clinical Obstetrics & Gynaecology, 23, 609-617. [Google Scholar] [CrossRef] [PubMed]
[3] 丁洁, 郭晓纲. 肺栓塞危险因素与预后评价的研究进展[J]. 中华危重症医学杂志(电子版), 2016, 9(1): 58-66.
[4] 柳志红. 2019欧洲心脏病学会《急性肺栓塞诊断和治疗指南》解读[J]. 中国循环杂志, 2019, 34(12): 1155-1157.
[5] Kurakazu, M., Ueda, T., Matsuo, K., Ishikura, H., Kumagai, N., Yoshizato, T. and Miyamoto, S. (2012) Percutaneous Cardiopulmonary Support for Pulmonary Thromboembolism Caused by Large Uterine Leiomyomata. Taiwanese Journal of Obstetrics and Gynecology, 51, 639-642. [Google Scholar] [CrossRef] [PubMed]
[6] Shiota, M., Kotani, Y., Umemoto, M., Tobiume, T., Tsuritani, M., Shimaoka, M. and Hoshiai, H. (2011) Deep-Vein Thrombosis Is Associated with Large Uterine Fibroids. The Tohoku Journal of Experimental Medicine, 224, 87-89. [Google Scholar] [CrossRef] [PubMed]
[7] Khademvatani, K., Rezaei, Y., Kerachian, A., Seyyed-Mohammadzad, M.H., Eskandari, R. and Rostamzadeh, A. (2014) Acute Pulmonary Embolism Caused by Enlarged Uterine Leiomyoma: A Rare Presentation. American Journal of Case Reports, 15, 300-303. [Google Scholar] [CrossRef
[8] 闫洪亮, 尚玉敏, 胡同秀, 高楠, 马静姝, 李杨,靳翠平, 宫晓锦, 黄梅. 巨大子宫肌瘤合并深静脉血栓及肺栓塞一例并文献复习[J]. 中国妇产科临床杂志, 2020, 21(3): 314-315.
[9] Ibrahim, R., et al. (2018) Pulmonary Embolism Secondary to Uterine Fibroid: A Case Report of a Rare Presentation. Journal of Phlebology and Lymphology, 11, 13-15.
[10] Fernandes, F.L., Dinardo, C.L. and Terra-Filho, M. (2014) Uterine Myoma as a Cause of Iliac Vein Thrombosis and Pulmonary Embolism: Common Disease, Rare Complication. Respirology Case Reports, 2, 132-134. [Google Scholar] [CrossRef] [PubMed]
[11] Falcone, M. and Serra, P. (2005) Massive Pulmonary Embolism in a Woman with Leiomyomatous Uterus Causing Pelvic Deep Venous Thrombosis. Annali Italiani Di Medicina Interna, 20, 104-107.