下腔静脉CT血管成像在Ⅱ、Ⅲ期子宫静脉内平滑肌瘤病中的临床应用
Clinical Application of Inferior Vena Cava CT Angiography in the Diagnosis of Stage II and III Uterine Intravenous Leiomyomatosis
DOI: 10.12677/acm.2025.15123552, PDF, HTML, XML,    国家自然科学基金支持
作者: 钱海珍, 徐景景, 岳 梅, 于 昊*:济宁医学院附属医院医学影像科,山东 济宁;钱秋翠:济宁医学院附属医院麻醉科,山东 济宁
关键词: 子宫平滑肌瘤病下腔静脉计算机体层成像Uterus Leiomyomatosis Inferior Vena Cava Computed Tomography
摘要: 本研究旨在评估下腔静脉CT血管成像技术对Ⅱ、Ⅲ期子宫静脉内平滑肌瘤病的诊断效能。通过对13例经病理确诊的IVL病例进行回顾性分析,系统研究了患者的临床资料及影像学特征,特别关注下腔静脉血管成像的典型表现。影像学检查显示,所有病例均存在子宫及宫旁不均匀强化肿块,下腔静脉成像清晰呈现病变沿髂静脉或卵巢静脉向心性延伸的条索状、蠕虫样改变,其中2例累及右心房,4例呈现特征性的“血管内血管征”。病例分期显示Ⅱ期占69.2%,Ⅲ期占30.8%,病变延伸路径以右卵巢静脉和右髂静脉为主。值得注意的是,84.6%的患者有妇科手术史,其中69.2%曾接受子宫肌瘤手术,76.9%有子宫肌瘤病史。研究证实,下腔静脉CT血管成像可准确显示Ⅱ、Ⅲ期IVL的病变范围及延伸路径,为临床诊断、分期及治疗决策提供重要影像学依据。
Abstract: The study explored the clinical application value of inferior vena cava CT angiography in the diagnosis of stage II and III uterine intravenous leiomyomatosis (IVL). The data of 13 patients with uterine IVL confirmed by surgery and pathology were collected, and their clinical and imaging findings were retrospectively analyzed, with emphasis on summarizing the imaging features after inferior vena cava angiography. All 13 patients underwent inferior vena cava CT angiography. In all patients, uneven and significantly enhanced masses were observed in the uterus and parametrial regions. Inferior vena cava CT angiography clearly demonstrated that the lesions extended along the iliac veins or ovarian veins to the inferior vena cava, presenting cord-like or worm-like patterns. Lesions in 2 patients extended to the right atrium area. Enhanced vascular shadows were detected within the venous lesions in 4 patients, showing the “intravascular vessel sign”. Case staging showed that stage II accounted for 69.2% and stage III for 30.8%, with the lesion extending primarily along the right ovarian vein and right iliac vein. Notably, 84.6% of patients had a history of gynecological surgery, of which 69.2% had undergone uterine fibroid surgery, and 76.9% had a history of uterine fibroids. The study confirmed that inferior vena cava CT angiography can accurately display the extent and extension pathway of stage II and III IVL lesions, providing important imaging evidence for clinical diagnosis, staging, and treatment decisions.
文章引用:钱海珍, 徐景景, 钱秋翠, 岳梅, 于昊. 下腔静脉CT血管成像在Ⅱ、Ⅲ期子宫静脉内平滑肌瘤病中的临床应用[J]. 临床医学进展, 2025, 15(12): 1452-1457. https://doi.org/10.12677/acm.2025.15123552

1. 引言

子宫静脉内平滑肌瘤病作为一种罕见的子宫平滑肌肿瘤特殊亚型,其特征性表现为肿瘤组织突破子宫范围,通过髂静脉或卵巢静脉侵入下腔静脉系统。在疾病进展至Ⅱ、Ⅲ期时,病灶可沿下腔静脉向心性延伸至右心房及心室水平,其广泛侵袭性可累及多器官系统,并因瘤体机械性压迫周围脏器或阻塞重要血管及心脏瓣膜结构,导致严重循环功能障碍,临床可表现为晕厥乃至猝死等危急情况[1] [2]。值得注意的是,Ⅱ、Ⅲ期IVL患者往往首诊于非妇科专科,加之常规影像学检查仅能显示局部病变特征,极易导致误诊发生。本研究通过回顾性分析13例IVL病例的下腔静脉CT血管成像特征,并结合文献系统综述,以期为临床提高术前诊断准确性及优化治疗决策提供依据。

2. 资料与方法

2.1. 一般资料

本研究对本单位2015年7月至2025年7月期间收治的13例经病理确诊的Ⅱ、Ⅲ期子宫静脉内平滑肌瘤病手术患者进行了回顾性分析,患者年龄范围为36~60岁,平均年龄为(44.2 ± 2.1)岁。所有病例均接受了下腔静脉CT血管成像检查,临床症状表现为腹痛者10例,胸闷气短2例,另有1例为无症状体检发现。在既往史方面,11例患者具有妇科手术史,其中9例为子宫肌瘤手术史,2例无手术史;此外,10例患者存在子宫肌瘤病史。实验室检查结果显示,全部患者的血清甲胎蛋白、癌胚抗原、CA199及CA125等肿瘤标志物检测结果均为阴性。

2.2. 检查方法

本研究采用西门子SOMATOM Definition Flash螺旋CT扫描系统实施影像学检查,扫描技术采用间接成像模式。受检者取标准仰卧位,扫描范围覆盖全腹部区域,上界定位在气管分叉水平以下,下界延伸至耻骨联合下方3 cm处。检查方案包括常规平扫及三期增强扫描,经静脉快速注射碘普罗胺或碘海醇对比剂,分别在对比剂注射后25~30秒、60~70秒及3分钟进行全腹部扫描。技术参数设置为:管电压120 kV,管电流300 mA,层厚5 mm。获取的原始数据经Syingo VIA图像后处理工作站进行多平面重建和最大密度投影处理,以评估下腔静脉及病灶的显影特征。

2.3. 图像分析

本研究由两位具有15年以上影像诊断经验的资深医师分别对所有影像学资料进行回顾性分析,重点评估病灶的解剖定位、形态学特征、密度变化及强化模式,同时详细记录病变的扩散途径和浸润范围,不一致病例通过讨论最终达成诊断共识,两评估者间Kappa值约0.87。

3. 结果

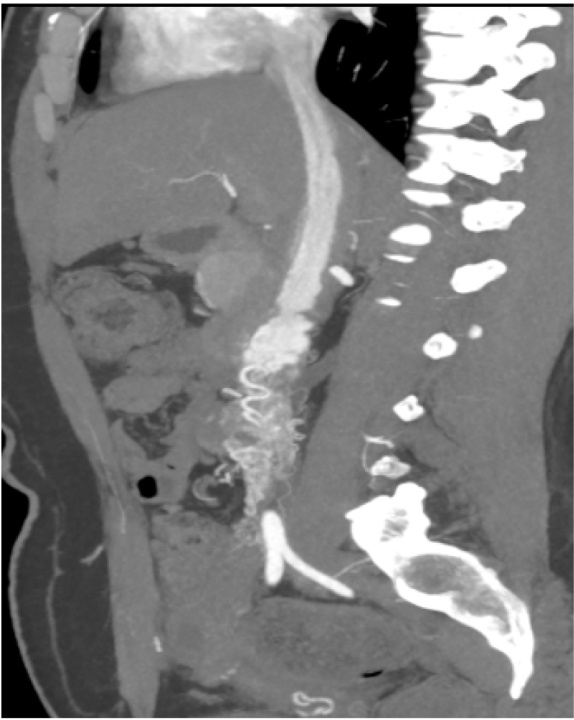
CT平扫检查结果显示,所有病例均存在子宫体积增大及子宫内、宫旁不规则肿块表现,其中1例病灶呈现密度不均特征并伴有囊变及坏死区域,5例患者出现下腔静脉管径增宽现象,2例合并右心房扩大伴心腔内低密度。增强扫描可见子宫病灶呈现不均匀强化特征,宫旁肿块则表现为串珠状、腊肠样及蠕虫样改变,肿块内部及周边区域均观察到多发迂曲扩张的血管影。病灶沿腹盆腔静脉系统连续延伸,4例呈现典型的“血管内血管征”(图1(a)~(d))。临床分期显示Ⅱ期9例,Ⅲ期4例;病灶蔓延路径分析表明:4例沿右卵巢静脉向心性延伸,3例沿右髂静脉扩展,2例同时累及右卵巢静脉和右髂静脉,1例沿左髂静脉发展,2例沿左卵巢静脉延伸,1例涉及双侧髂静脉系统。值得注意的是,2例病灶侵袭至右心房区域,并呈现特征性的“拐杖头”样形态改变(图1(e)图1(f))。

本研究纳入的所有患者均接受了手术切除治疗,其中仅1例Ⅲ期病例因术前误诊为右心房粘液瘤而先行实施了心脏手术,其余病例均采用同期手术方案进行治疗。

组织病理学检查结果显示,肌壁间、子宫旁组织及血管内均存在结节状或蠕虫样病变组织,其切面呈灰白色且质地坚韧,具有典型的编织状结构特征。镜下观察可见大量呈漩涡状排列的梭形细胞增生,部分细胞呈现向血管壁浸润性生长的特点,同时在扩张的静脉腔内亦观察到显著增生的平滑肌细胞群。

4. 讨论

静脉内平滑肌瘤病(IVL)作为一种罕见的特殊类型平滑肌细胞肿瘤,其生物学行为具有显著侵袭性特征。根据肿瘤累及范围,临床分期系统将其划分为Ⅰ至Ⅳ期[3]:Ⅰ期病变局限于盆腔并穿透子宫静脉壁;Ⅱ期肿瘤扩展至腹腔,累及卵巢静脉或髂静脉,甚至延伸至下腔静脉但未达肾静脉平面;Ⅲ期病变进展至肾静脉及以上水平,可侵犯右心房及心室但未累及肺动脉;Ⅳ期则表现为肺动脉受累。在Ⅰ期IVL的诊断中,超声与磁共振成像具有重要临床价值[4],而Ⅱ期及以上病变因累及范围扩展至腹腔乃至胸腔,需采用覆盖范围更广的影像学检查方法。下腔静脉CT血管成像凭借其扫描时间短、胸腹腔脏器覆盖全面等优势,结合多平面重建(MPR)、最大密度投影(MIP)及容积再现(VR)等多种后处理技术,可全面评估病变范围、蔓延途径、形态特征、密度表现及周围组织关系。但是本研究也有一定局限性,单中心研究、样本量不足,使结果有一定偏差,此外下腔静脉脉CT血管成像存在电离辐射,对人体有潜在累积损伤风险,需注射含碘对比剂,部分人可能出现过敏反应,甚至过敏性休克等严重不良反应。本研究纳入的13例病例中,Ⅱ期9例、Ⅲ期4例,除1例Ⅲ期患者术前误诊为右心房粘液瘤先行心脏手术外,其余病例术前均行下腔静脉CT血管成像检查。影像学表现主要包括子宫内外结节样或肿块样病变,静脉系统内呈现特征性的蠕虫状或串珠状改变,并伴有明显不均匀强化,其中4例静脉内病变可见“血管内血管”征象,2例右心房受累病例重建图像显示典型的“拐杖头”样形态改变,与文献报道相符[5]-[9]。现有研究表明IVL主要沿两条路径侵袭[10] [11]:其一为子宫静脉→髂内静脉→髂总静脉→下腔静脉→右心房;其二为左卵巢静脉→左肾静脉→下腔静脉→右心房或右卵巢静脉→下腔静脉→右心房。本组病例分析显示,肿瘤沿右卵巢静脉近心端延伸者4例,沿右髂静脉延伸者3例,同时累及右卵巢静脉和右髂静脉者2例,沿左髂静脉和左卵巢静脉延伸者分别为1例和2例,另有1例表现为双髂静脉受累。

(a) 为VR后面观 (b) 冠状位MPR图像 (c) 斜矢状位MPR图像

(d) VR图像 (e) 斜矢状位MIP图像 (f) 斜冠状位MPR图像

(a)、(b),一例Ⅱ期子宫静脉内平滑肌瘤病,VR重建后面观图像及冠状位MPR图像清晰显示子宫右侧区域存在边界不清的强化肿块,该病灶呈现特征性蠕虫样形态,沿右侧卵巢静脉走行并最终汇入下腔静脉;值得注意的是,下腔静脉腔内可见异常强化血管影,形成典型的“血管内血管”征象。(c)、(d) 另一例Ⅱ期病例显示,斜矢状位MPR图像和VR重建图像中可见子宫右侧肿块内存在多发结节状、蠕虫状及条索状显著强化病灶,这些病灶沿右侧髂内静脉延伸至下腔静脉,同时下腔静脉内再次观察到具有诊断价值的“血管内血管”征。(e)、(f),在Ⅲ期病例的影像表现中,斜矢状位MIP图像与斜冠状位MPR图像共同证实病变已进展至右心房区域,并呈现特征性的“拐杖头”形态。

Figure 1. Stage Ⅱ and Ⅲ uterine intravenous leiomyomatosis (IVL)

1. Ⅱ、Ⅲ期子宫静脉内平滑肌瘤病

本研究纳入的36~60岁患者群体平均年龄为(44.2 ± 2.1)岁,以绝经前女性为主,这一人口学特征与文献[12]报道相符。值得注意的是,约35%的静脉内平滑肌瘤病(IVL)患者缺乏典型临床症状[13],而本研究中76.9% (10/13)病例表现为腹痛,15.4% (2/13)出现胸闷气短症状,仅7.7% (1/13)为体检偶然发现,这种症状分布差异可能与本研究样本均为Ⅱ-Ⅲ期病变、病灶已扩展至盆腔外并累及腹腔及心脏有关。病史资料显示84.6% (11/13)患者具有妇科手术史,其中69.2% (9/13)曾接受子宫肌瘤手术,15.4% (2/13)无手术史;此外76.9% (10/13)患者存在子宫肌瘤病史,这与既往研究关于IVL与子宫肌瘤密切相关的结论相一致[1] [4]

子宫静脉内平滑肌瘤病在Ⅱ、Ⅲ期需与下腔静脉瘤栓/血栓、右心房黏液瘤以及原发或继发性下腔静脉恶性肿瘤进行鉴别诊断:下腔静脉平滑肌肉瘤好发于上1/3段,其特征性表现为病变对静脉壁及周围组织的浸润性生长,病灶范围较IVL更为局限,且缺乏子宫或宫旁肿块的连续性表现[14];静脉内血栓在增强CT上表现为无强化的充盈缺损影;静脉内瘤栓患者通常具有明确的恶性肿瘤病史,当出现下腔静脉瘤栓时,原发肿瘤体积多已较大,常伴有远处转移,其强化特征与原发灶一致,此点可与IVL相鉴别;右心房粘液瘤多局限于右心房内,典型表现为附着于房间隔,不向下腔静脉延伸[15]。值得注意的是,无论原发或继发的下腔静脉恶性肿瘤均具有血管壁浸润的生物学特性,而IVL病灶则保持血管壁完整性,呈现游离性生长特征,部分病例可观察到特征性的“血管内血管征”[16]。此外,IVL患者多伴有子宫肌瘤病史或妇科手术史[4] [12],这一临床特征在鉴别诊断中具有重要参考价值。

针对Ⅱ、Ⅲ期静脉内平滑肌瘤病的临床治疗,现有研究表明该病变具有沿静脉系统向心性生长的生物学特性,且病灶累及范围较为广泛,目前手术完整切除病灶被视为唯一有效的治疗手段。在影像学评估方面,下腔静脉CT血管成像技术凭借其快速扫描、大范围覆盖的优势,结合多平面重建、容积再现等多种后处理技术,可清晰呈现病灶的起源部位、终止点以及完整的静脉内延伸路径,这一技术显著提升了Ⅱ、Ⅲ期IVL的术前诊断准确率及临床分期精确性,为制定个体化手术方案及建立系统化术后随访体系提供了重要的影像学依据。

伦理声明

本研究获得济宁医学院附属医院伦理委员会批准(审批号:2025-08-C023)。

基金项目

济宁市重点研发计划项目(2024YXNS065);国家自然科学基金项目(82001805);齐鲁卫生与健康领军人才工程-杰出青年人才(QLJQ-2021-009)。

NOTES

*通讯作者。

参考文献

[1] Lian, C., Yin, S., Qiu, J., Cui, J., Hu, Z., Chang, G., et al. (2021) Experience in the Diagnosis and Treatment of Intravenous Leiomyomatosis Involving the Inferior Vena Cava and/or Right Cardiac Chambers. Journal of Vascular Surgery: Venous and Lymphatic Disorders, 9, 452-460. [Google Scholar] [CrossRef] [PubMed]
[2] 范金晓, 周洁, 王宇容, 等. 累及心脏的子宫静脉平滑肌瘤病诊治分析[J]. 心肺血管病杂志, 2019, 38(3): 274-278.
[3] Ma, G., Miao, Q., Liu, X., Zhang, C., Liu, J., Zheng, Y., et al. (2016) Different Surgical Strategies of Patients with Intravenous Leiomyomatosis. Medicine, 95, e4902. [Google Scholar] [CrossRef] [PubMed]
[4] 夏星璐, 李娟清, 林俊. 病灶局限在盆腔的静脉平滑肌瘤病81例临床分析[J]. 中华妇产科杂志, 2022, 57(1): 39-45.
[5] Akinseye, O.A., Nayyar, M. and Das, P. (2019) Uterine Intravenous Leiomyomatosis with Femoral Vein, Intracaval, Intracardiac and Pulmonary Artery Extension. Future Cardiology, 16, 27-32. [Google Scholar] [CrossRef] [PubMed]
[6] Han, Z., Hou, S., Chen, Y., Chen, Z. and Sun, Z. (2025) Climber in the Cardiovascular System: Intravenous Leiomyomatosis. Circulation: Cardiovascular Imaging, 18, e17305. [Google Scholar] [CrossRef] [PubMed]
[7] Volfson, E., Moshkovich, M., Koen, J., Cusimano, R. and Kim, R.S. (2025) Management of Intravenous Leiomyomatosis: A Comprehensive Review of Surgical and Perioperative Considerations. International Journal of Gynecological Cancer, 35, Article ID: 102009. [Google Scholar] [CrossRef] [PubMed]
[8] Wang, Q., Liu, H. and Feng, W. (2023) Unraveling the Challenges of Intravenous Leiomyomatosis: A Retrospective Analysis of 11 Cases. Archives of Gynecology and Obstetrics, 309, 621-629. [Google Scholar] [CrossRef] [PubMed]
[9] Lim, W.H., Lamaro, V.P. and Sivagnanam, V. (2022) Manifestation and Management of Intravenous Leiomyomatosis: A Systematic Review of the Literature. Surgical Oncology, 45, Article ID: 101879. [Google Scholar] [CrossRef] [PubMed]
[10] Mathey, M.P., Duc, C. and Huber, D. (2021) Intravenous Leiomyomatosis: Case Series and Review of the Literature. International Journal of Surgery Case Reports, 85, Article ID: 106257. [Google Scholar] [CrossRef] [PubMed]
[11] 李瑞娟, 孟艳红. 盆腔内静脉内平滑肌瘤病5例并文献复习[J]. 中国医师杂志, 2023, 25(1): 120-122.
[12] 中国医师协会妇产科医师分会妇科肿瘤学组. 盆腔静脉内平滑肌瘤病临床诊治中国专家共识[J]. 中华妇产科杂志, 2023, 58(4): 252-258.
[13] 温瑜林, 马国涛, 苗齐. 静脉内平滑肌瘤病的诊疗现状[J]. 中华外科杂志, 2023, 61(12): 1051-1057.
[14] Mastoraki, A., Leotsakos, G., Mastoraki, S., Papanikolaou, I.S., Danias, N., Smyrniotis, V., et al. (2015) Challenging Diagnostic and Therapeutic Modalities for Leiomyosarcoma of Inferior Vena Cava. International Journal of Surgery, 13, 92-95. [Google Scholar] [CrossRef] [PubMed]
[15] Jiang, R. and Gong, M. (2024) Misdiagnosed Intravenous Leiomyomatosis. European Journal of Vascular and Endovascular Surgery, 68, 783. [Google Scholar] [CrossRef] [PubMed]
[16] Wang, H., Nie, P., Chen, B., Hou, F., Dong, C., He, F., et al. (2018) Contrast-Enhanced CT Findings of Intravenous Leiomyomatosis. Clinical Radiology, 73, 503.e1-503.e6. [Google Scholar] [CrossRef] [PubMed]