安玉芳教授治疗成人尺骨冠突骨折验案举隅
Professor An Yufang’s Selected Cases of Treating Adult Ulnar Coronoid Fractures
摘要: 目的:探讨中医手法复位联合外固定治疗尺骨冠突I型骨折的临床疗效。方法:报告1例50岁男性尺骨冠突I型骨折病例,采用手法复位、肩肘带固定及金黄膏外敷等综合疗法,观察骨折愈合与功能恢复情况。结果:患者6周后影像学显示解剖复位,5个月肘关节功能完全恢复,无并发症。结论:中医保守治疗对无移位的尺骨冠突骨折具有创伤小、恢复快、费用低的优势,可为临床提供参考。
Abstract: Objective: To investigate the clinical efficacy of traditional Chinese manual reduction combined with external fixation in the treatment of type I ulnar coronoid fractures. Methods: A case of a 50-year-old male with type I ulnar coronoid fracture was reported. A comprehensive treatment protocol including manual reduction, shoulder-elbow brace immobilization, and topical application of Jinhuang ointment was implemented, with subsequent monitoring of fracture healing and functional recovery. Results: Imaging at 6 weeks post-treatment confirmed anatomical reduction. Complete restoration of elbow joint function was achieved within 5 months, with no complications observed. Conclusion: Conservative treatment with traditional Chinese medicine demonstrates advantages of minimal invasiveness, rapid recovery, and cost-effectiveness for non-displaced ulnar coronoid fractures, offering valuable clinical reference.
文章引用:史磊, 安玉芳. 安玉芳教授治疗成人尺骨冠突骨折验案举隅[J]. 中医学, 2026, 15(1): 88-91. https://doi.org/10.12677/tcm.2026.151013

1. 引言

尺骨冠状突骨折可见于约10%的肘关节脱位中,临床可用X线检查及CT平扫等检查确诊。尺骨冠状突骨折由于其手术暴露不易,加之骨折块常呈粉碎性,内固定困难,术后容易发生骨化性肌炎以致肘关节僵硬等并发症[1]。在临床治疗过程中,发现单纯尺骨冠突骨折不是很常见,往往合并尺侧副韧带损伤、肘关节不稳定等其它损伤。国内王友华等[2]在以前分型的基础上,考虑到内侧副韧带是否损伤将尺骨冠突骨折分为四型。尺骨冠突尖部不超过冠突高度1/2骨折为Ⅰ型;尺骨冠突高度1/2处骨折为Ⅱ型,此型骨折常合并该韧带前束的损伤;尺骨冠突基底部骨折为Ⅲ型,常伴肱尺关节半脱位或后脱位,偶伴内侧副韧带前束损伤。安玉芳教授采用中医保守治疗后,患者尺骨冠状突骨折处对位良好,达到解剖复位标准,肘关节屈伸活动范围达到130˚,且恢复时间及预后效果较手术疗法有提高。现将门诊收治1例尺骨冠状突Ⅰ型骨折,采用中医手法复位肩肘带固定治疗,报告如下。

2. 临床资料

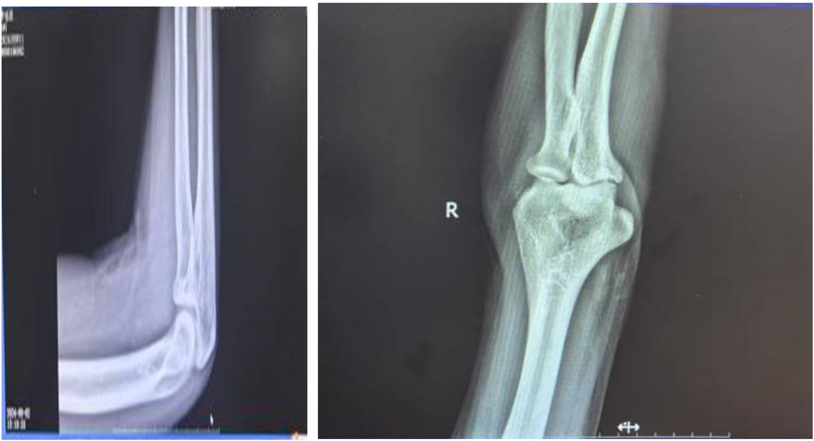
Figure 1. Pre-reduction X-ray image of ulnar coronoid fracture

1. 冠骨折复位前X线图像

患者,男,50岁,于2024年7月踢球运动中跌倒后出现右肘及右腕部肿胀疼痛伴活动受限就诊。骨科检查:一般情况好,神清,右肘皮肤有轻度擦伤,右肘关节肿胀,屈伸活动严重受限,被动活动时疼痛加重。肘关节x线检查提示:右侧尺骨冠状突局部骨皮质撕裂,可见多个小骨碎片并有移位,肘关节不全脱位,右侧桡骨小头和右侧肱骨远端未见骨折征象,右侧尺骨冠突骨折(见图1)。诊断:尺骨冠突骨折。治疗方法:1. 门诊以行手法复位,复位手法:前臂旋后位,一手扶患肢肘部,拇指置肘窝,摸清向上移位骨折块,垂直向下按压,同时屈曲肘关节,使前臂旋后,屈肘100˚位肩肘带固定于胸前。复位后患者自觉肘关节疼痛较前明显减轻,遂行x线复查可见尺骨冠突对位对线情况良好(见图2)。2. 局部金黄膏外敷消肿止痛[3],日更换一次。制动2周后行肘关节行屈伸功能锻炼,局部中药透入治疗。

Figure 2. Post-reduction X-ray image of ulnar coronoid fracture

2. 冠骨折复位后X线图像

Figure 3. Follow-up X-ray image one and a half months after ulnar coronoid fracture reduction

3. 骨折1月半后复查影像

Figure 4. Clinical appearance of the patient during follow-up visit on December 17th

4. 12月17日复诊患者外观影像

治疗结果:6周后(见图3)患者复查X线影像显示骨折对位愈合良好,前臂旋转及曲肘功能可,5月(见图4)后复诊患者功能恢复正常。

3. 讨论

现在临床上对尺骨冠突的重要性已达成共识,尺骨冠突承担了肘关节大多数内翻应力,其完整性对肘关节的稳定起到了至关重要的作用。目前,单纯的前侧较小且没移位的冠状突骨折多采用非手术治疗,而骨折块大、移位明显且合并鹰嘴骨折的骨折多采用手术治疗。外科手术治疗时过度分离会增加局部软组织及神经、血管的损伤,术后可能会发生肌肉坏死、感觉障碍、骨折不愈合及骨化性肌炎等并发症。关于此种损伤,它的治疗最佳手段仍有争议,需根据骨折类型而定。相比较外科手术治疗,中医保守手法复位外固定治疗创伤相对较小,病人的痛苦也较少且愈合时间短,中医骨折处理注重整体调理,通过手法复位、药物治疗、针灸治疗以及功能锻炼等综合手段,促进骨折的愈合。通常情况下,骨折在2至3个月内都能达到临床愈合,相比手术治疗,愈合时间短,功能恢复更好。中医骨折处理在手法复位时,力求达到解剖复位及功能恢复,确保骨折断端对位对线良好。同时,通过外用药物治疗及物理治疗等手段,促进骨折部位的血液循环和营养供应,有利于骨折的愈合和功能的恢复且并发症少,费用低廉:中医骨折处理的费用相对较低,尤其是手法复位和药物治疗等基础治疗费用。

4. 结论

尺骨冠突骨折临床极为常见,目前对此类骨折采用中医保守治疗被广泛采用。本次讨论病例运用手法复位肩肘带固定使得骨折对位良好,制动后经过屈伸功能锻炼以筋带骨,将游离小骨碎片逐渐复位,治疗后患者肘关节功能恢复正常,X线影像显示骨折对位良好。安玉芳教授认为,此病例中尺骨冠突骨折采用中医保守治疗,首先安全性高,由于没有手术创伤不会损伤桡神经;其次,痛苦少,由于没有二次手术[4],即便是肩肘带固定前2周生活上有许多不便,但手术治疗后石膏固定6~8周也是必须的;其三,治愈疗程缩短,由于采用手法复位配合肩肘带固定治疗,明显缩短骨折肿胀期、骨折吸收期、骨折愈合期,而且避免手术后二次感染,骨化性肌炎等诸多并发症出现。Meta分析显示,I型尺骨冠突骨折保守治疗的并发症发生率(12.3%)显著低于手术组(28.5%),且功能恢复时间缩短1.8个月(95% CI: 1.2~2.4) [5]

NOTES

*通讯作者。

参考文献

[1] 白莹, 何战飞. 四步手法配合祛瘀膏外用治疗创伤性肘关节僵硬40例临床观察[J]. 临床医学研究与实践, 2018, 3(6): 113-114.
[2] 王友华, 刘潘, 周振宇, 等. 尺骨冠突骨折的分型与治疗[J]. 中华骨科杂志, 2006, 26(6): 361-365.
[3] 吴立忠, 李炜明, 翁绳健, 等. 45例尺骨冠状突骨折的手术治疗[J]. 福建医药杂志, 2013, 35(2): 39-41.
[4] 李旭纲, 戚晓阳, 施鸿飞, 陈一心, 邱旭升. 尺骨鹰嘴骨折的治疗研究进展[J]. 山东医药, 2020(11): 80-83.
[5] 贺娟娟, 颜春鲁, 安方玉, 等. 炎症因子与炎症因子相关信号通路在膝骨关节炎中的调控机制研究进展[J]. 中国临床药理学杂志, 2019, 35(12): 1308-1311.