儿童重症肺炎支原体肺炎的外周血炎症指标与肺部影像学关系的探讨
Exploring the Association between Peripheral Blood Inflammatory Indicators and Pulmonary Imaging Findings in Children with Severe Mycoplasma pneumoniae Pneumonia
摘要: 目的:探讨外周血炎症指标对儿童重症肺炎支原体肺炎(Severe Mycoplasma pneumoniae pneumonia, SMPP)肺部影像学变化的预测价值。方法:回顾性分析2023年6月至2024年6月青岛大学附属医院黄岛院区收治的112例SMPP患儿临床资料,根据治疗前后肺部影像学变化分为CT评分较前无下降的观察组54例和评分较前下降的对照组58例,采用Logistic回归及ROC曲线分析评估,比较两组中性粒细胞/淋巴细胞比值(Neutrophil-lymphocyte ratio, NLR)、血小板/淋巴细胞比值(Platelet-lymphocyte ratio, PLR)、淋巴细胞/单核细胞比值(Lymphocyte-monocyte ratio, LMR)、全身免疫炎症指数(Systemic immune inflammatory index, SII)等指标差异,对两组的预测效能进行评估。结果:观察组54例NLR、PLR、SII、C-反应蛋白(C-reactive protein, CRP)、D-二聚体均显著高于共58例的对照组,LMR低于对照组,差异均具有统计学意义(P < 0.05)。多因素回归显示,LMR (OR = 8.21,95%CI: 1.33~50.77)与肺部CT评分变化呈负相关;PLR (OR = 0.89, 95%CI: 0.82~0.96),SII (OR = 0.98, 95%CI: 0.96~0.99),NLR (OR = 0.90, 95%CI: 0.88~0.94)与肺部CT评分变化呈正相关。ROC曲线表明PLR预测效能最佳(AUC = 0.953),其次为NLR (AUC = 0.913),再次为SII (AUC = 0.897)。结论:外周血炎症指标PLR、NLR、SII及LMR与儿童SMPP的影像学改善程度存在一定关联,可能为评估病情变化提供一定的参考。
Abstract: Objective: This paper aims to investigate the predictive value of peripheral blood inflammatory indicators for pulmonary imaging changes in children with Severe Mycoplasma pneumoniae pneumonia (SMPP). Methods: Clinical data from 112 SMPP patients admitted to the Huangdao Branch of the Affiliated Hospital of Qingdao University (June 2023-June 2024) were retrospectively analyzed. Based on the changes in pulmonary imaging before and after treatment, the patients were divided into an observation group of 54 cases with no decline in CT scores compared to the pre-treatment period and a control group of 58 cases with a decline in scores. Logistic regression and receiver operating characteristic (ROC) curve analyses were employed to compare neutrophil-to-lymphocyte ratio (NLR), platelet-to-lymphocyte ratio (PLR), lymphocyte-to-monocyte ratio (LMR), and systemic immune-inflammation index (SII) between groups, and evaluate the predictive performance of the two groups. Results: In the observation group of 54 cases, NLR, PLR, SII, C-reactive protein (CRP), and D-dimer were significantly higher than those in the control group of 58 cases, while LMR was lower than that in the control group, and the differences were statistically significant (P < 0.05). Multivariate analysis revealed LMR as negatively correlated with CT score changes (OR = 8.21, 95%CI: 1.33~50.77), while PLR (OR = 0.89, 95%CI: 0.82~0.96), SII (OR = 0.98, 95%CI: 0.96~0.99), and NLR (OR = 0.90, 95%CI: 0.88~0.94) showed positive correlations. The ROC curve indicates that PLR demonstrates the best predictive performance (AUC = 0.953), followed by NLR (AUC = 0.913), and then SII (AUC = 0.897). Conclusion: The peripheral blood inflammatory indices PLR, NLR, SII, and LMR show certain associations with the degree of radiographic improvement in children with Severe Mycoplasma pneumoniae pneumonia (SMPP) and may provide some reference for evaluating disease progression.
文章引用:赵娜, 郝俊楠, 刘培培, 张松, 宋亮. 儿童重症肺炎支原体肺炎的外周血炎症指标与肺部影像学关系的探讨[J]. 临床医学进展, 2026, 16(1): 992-1000. https://doi.org/10.12677/acm.2026.161130

1. 引言

肺炎支原体(Mycoplasma pneumoniae, MP)是儿童社区获得性肺炎的常见病原体之一。2023年秋冬季我国儿童感染MP爆发[1],且SMPP例明显增高。临床表现通常为发热、咳嗽、呼吸急促等。肺部影像学表现多样,有磨玻璃影、斑片状阴影、节段乃至大叶性实变、肺不张、胸腔积液等,与病情严重程度有关[2]。经治疗,部分患儿肺部影像学表现明显吸收,部分患儿肺部影像学表现吸收不明显,或者短期内明显加重,对患儿生命造成威胁。患儿的肺部影像学特点是病情的重要评估指标,对于制订科学合理的治疗措施和改善预后情况均具有十分重要的临床意义。在疾病监测体系构建中,传统血常规参数的创新性整合为临床评估提供了新视角。将血常规中参数进行组合计算,得到新型的外周血组合炎症指标,比如,NLR、LMR、PLR、SII等,这些炎症指数在呼吸系统、脑血管系统等多个系统疾病预测中已得到证实[3]-[5]。这些指标通过动态反映机体炎症–免疫平衡状态,为炎症性疾病的早期预警提供了量化依据。本研究拟探讨外周血组合炎症指标和儿童SMPP影像学变化的关系,揭示在儿童SMPP中的临床预测价值。

2. 研究对象与方法

2.1. 研究对象

通过医院电子病历系统,纳入2023年6月至2024年6月确诊为SMPP的患儿112例。

纳入标准:① 符合《儿童肺炎支原体肺炎诊疗指南(2023年版)》[2]重症肺炎支原体肺炎诊断标准;② 发病三天内完成血常规及影像学检查;③ 临床资料完整。

排除标准:① 混合感染;② 入院前使用糖皮质激素或免疫抑制剂;③ 合并先天性疾病或免疫缺陷;④ 接受支气管镜治疗;⑤ 应用呼吸机辅助治疗者。

2.2. 研究方法

收集患儿人口学信息、发病三天内的血常规、反应蛋白(C-reactive protein, CRP)、乳酸脱氢酶(Lactate dehydrogenase, LDH)、D-二聚体等指标,计算NLR、LMR、PLR及SII。根据《儿童肺炎支原体肺炎诊疗指南(2023年版)》治疗原则[2],两组均首选大环内酯类药物,对大环内脂类抗生素治疗48~72小时无反应,或者明确耐药MPP者,换用喹诺酮类或者新四环素类抗菌药物,并联合糖皮质激素治疗,排除接受支气管镜治疗及应用呼吸机辅助治疗者。经系统治疗10~14天后复查肺部影像学(肺部CT),结合本研究制定的肺部CT评分系统(见表1),分为观察组(评分较前无下降组) 54例,对照组(评分较前下降组) 58例。本研究获得了青岛大学附属医院医学伦理委员会的审批(批准文号:QYFYEC2024-221)。

详细的肺部CT评分系统如下:MPP肺部CT表现多样,常见的表现有磨玻璃影、小斑片状影、肺实变影、胸腔积液等。基于以上肺部CT表现,我们将基础CT评分定义为磨玻璃影、小斑片状阴影在肺叶中受累的程度(每个肺叶的最高得分为5分);如果出现肺部实变者,基础评分加1分;如果出现胸腔积液者(无论是否出现肺实变),基础评分加2分。因此,每个肺叶的最高得分为7分,CT总分为五个肺叶得分的总和,总分为35分[6] (见表1)。

Table 1. Lung CT scoring system

1. 肺部CT评分表

分值

肺叶病变范围

0分

无病变

1分

<5%肺

2分

5%~25%肺

3分

26%~49%肺

4分

50~75%肺

5分

>75%肺

+1分

出现肺实变者

+2分

出现胸腔积液者

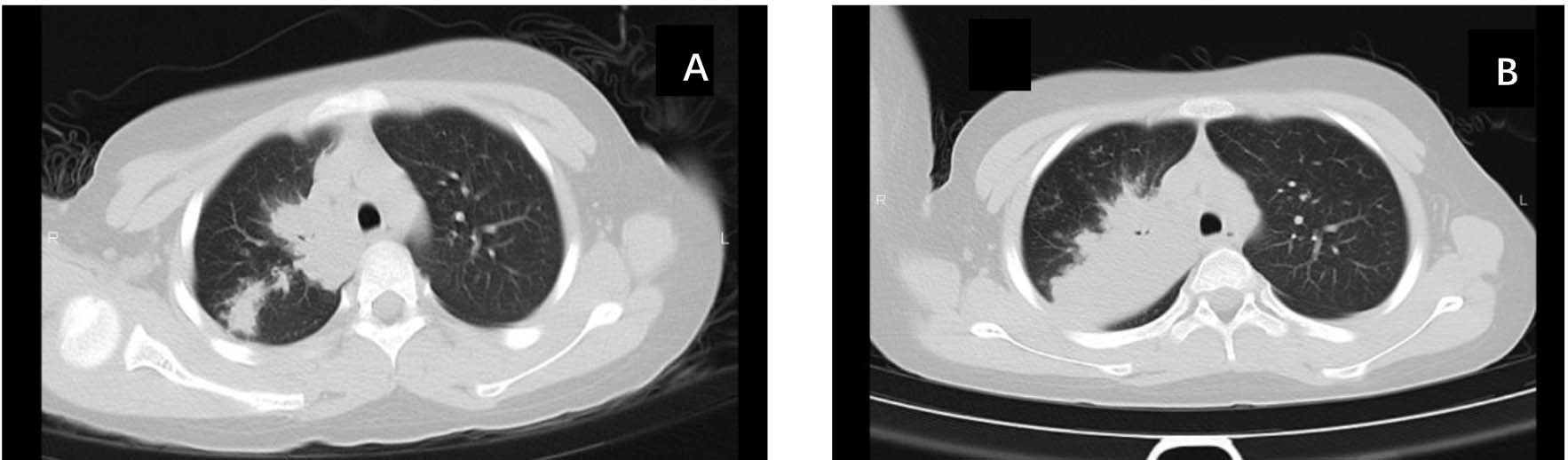
CT评分举例如下:图1图2显示两个患儿入院时的肺部CT表现及接受大致相同治疗方案10~14天后,复查的胸部CT表现及CT评分。

Figure 1. Chest CT images and CT scoring criteria for MPP in an 8-year-old female pediatric patient

1. 8岁女性患儿,MPP肺部CT检查图像及CT评分标准

图1(A)所示,入院时肺部CT示右肺上叶约20%的两个小区域的肺实变(CT评分,2 + 1)。如图1(B) 所示,治疗7天后复查肺CT示右肺上叶实变面积增大,超过50%,不足75% (CT评分,4 + 1)。

Figure 2. Chest CT images and CT scoring criteria for MPP in a 6-year-old male pediatric patient

2. 6岁男性患儿,MPP肺部CT检查图像及CT评分标准

图2(C)所示,入院时肺部CT示右肺上叶约50%的区域斑片状阴影伴有肺实变(CT评分,4 + 1)。如图2(D)所示,治疗12天后复查肺CT示右肺上叶约30%的斑片状阴影,实变消散(CT评分,3)。

2.3. 统计方法

运用SPSS 26.0进行数据录入和统计分析,对连续型变量进行K-S正态性检验,符合正态分布的计量资料,用均数 ± 标准差描述,组间比较采用t检验;非正态分布的计量资料,用中位数及四分位数表示,采用Mann-Whitney U秩和检验。分类资料用频数和百分比描述,组间比较采用四格表卡方检验或R × C列联表卡方检验。通过单因素分析和二分类Logistic回归分析探讨SMPP肺部影像学变化的危险因素,并绘制ROC曲线,评估预测效能。以P < 0.05表示差异具有统计学意义。

3. 结果

3.1. 一般资料比较

两组年龄、性别分布等,差异无统计学意义(均P > 0.05),具有可比性(表2)。

Table 2. Comparison of general characteristics between the two groups of pediatric patients

2. 两组患儿一般资料比较

组别

总数(n = 112)

对照组 (n = 58)

观察组(n = 54)

Z值

P值

年龄(岁)

5.67 (4.03, 7.10)

5.83 (4.03, 7.21)

5.42 (4.08, 7.02)

−0.48

0.633

性别

0.12

0.726

64 (57.14)

32 (55.17)

31 (57.41)

48 (42.86)

26 (44.83)

23 (42.59)

3.2. 血常规参数比较

两组在白细胞数(WBC)、中性粒细胞数(NC)、淋巴细胞数(LC)、单核细胞数(MC)、血小板数(PLT)的比较,无统计学差异(P > 0.05) (表3)。

Table 3. Comparison of WBC, NC, LC, MC, and PLT levels between the two groups

3. 两组在WBC、NC、LC、MC、PLT水平的比较

项目

总数(n = 112)

对照组(n = 58)

观察组(n = 54)

Z值

P值

WBC (×109/L)

[M(Q1, Q3)]

7.53

(6.12, 9.47)

6.92

(5.81, 8.92)

8.30

(6.33, 9.91)

−1.92

0.055

NC (×109/L)

[M(Q1, Q3)]

4.76

(3.35, 5.92)

4.24

(3.05, 5.60)

4.99

(3.70, 6.43)

−1.47

0.141

LC (×109/L)

[M(Q1, Q3)]

1.98

(1.42, 2.80)

1.96

(1.49, 2.72)

1.98

(1.37, 2.81)

−0.26

0.796

MC (×109/L)

[M(Q1, Q3)]

0.48

(0.37, 0.73)

0.45

(0.31, 0.78)

0.50

(0.39, 0.69)

−0.09

0.931

PLT (×109/L)

[M(Q1, Q3)]

252.50

(212.75, 303.75)

255.50

(213.75, 300.00)

233.00

(206.25, 306.25)

−0.47

0.636

注:WBC:白细胞数;NC:中性粒细胞数;LC:淋巴细胞数;MC:单核细胞数;PLT:血小板数。

3.3. 外周血炎症指标比较

观察组NLR、PLR、SII、CRP及D-二聚体显著高于对照组,LMR显著低于对照组(均P < 0.05),LDH无统计学差异(P = 0.196) (表4)。

Table 4. Comparison of inflammatory indicators between the two groups

4. 两组炎症指标比较

项目

总数(n = 112)

对照组(n = 58)

观察组(n = 54)

Z值

P值

NLR

[M(Q1, Q3)]

2.96

(1.87, 4.72)

2.01

(1.66, 2.76)

3.97

(3.21, 5.76)

−6.46

<0.001

LMR

[M(Q1, Q3)]

2.11

(1.32, 3.79)

3.92

(3.01, 5.28)

1.38

(0.99, 1.77)

−7.09

<0.001

PLR

[M(Q1, Q3)]

160.50

(100.60, 288.55)

100.04

(78.81, 140.19)

285.69

(189.34, 457.56)

−6.62

<0.001

SII

[M(Q1, Q3)]

465.73

(308.48, 679.38)

308.15

(251.70, 402.60)

645.10

(491.95, 825.63)

−6.39

<0.001

CRP

[mg/L, M(Q1, Q3)]

10.96

(5.48, 19.81)

6.86

(2.77, 12.79)

14.28

(10.47, 21.09)

−3.53

<0.001

LDH

[U/L, M(Q1, Q3)]

270.00

(235.52, 357.43)

262.50

(233.73, 323.25)

285.25

(239.17, 360.50)

−1.29

0.196

D-二聚体

[μg/L, M(Q1, Q3)]

555.0

(380.0, 715.0)

485.0

(250.0, 625.0)

620.0

(505.0, 762.5)

−3.09

0.002

注:NLR:中性粒细胞/淋巴细胞比值;LMR:淋巴细胞/单核细胞比值;PLR:血小板/淋巴细胞比值;SII:血小板计数 × 中性粒细胞计数/淋巴细胞计数比值;CRP:C反应蛋白;LDH:乳酸脱氢酶。

3.4. 外周血炎症指标预测效能

多因素Logistic回归显示,NLR、LMR、PLR及SII是影像学变化的独立预测因子(表5)。

Table 5. Multivariate logistic regression analysis of peripheral blood inflammatory indicators for radiographic resolution

5. 外周血炎症指标对影像学吸收的多因素Logistic回归分析

影响

因素

单因素

多因素

β

S.E

Z

P

OR (95%CI)

β

S.E

Z

P

OR (95%CI)

NLR

−0.92

0.21

−4.38

<0.001

0.40

(0.26~0.60)

−0.25

0.41

−0.63

0.042

0.90

(0.88~0.94)

LMR

1.69

0.34

5.00

<0.001

5.42

(2.79~10.51)

2.10

0.93

2.26

0.024

8.21

(1.33~50.77)

PLR

−0.02

0.00

−4.48

<0.001

0.98

(0.98~0.99)

−0.02

0.01

−2.04

0.037

0.89

(0.82~0.96)

SII

−0.01

0.00

−4.91

<0.001

0.96

(0.94~0.98)

−0.01

0.00

−2.48

0.013

0.98

(0.96~0.99)

CRP

−0.04

0.02

−2.07

0.038

0.96

(0.92~0.99)

−0.05

0.07

−0.71

0.480

0.95

(0.82~1.10)

LDH

−0.00

0.00

−1.87

0.061

1.00

(0.99~1.00)

−0.00

0.01

−0.43

0.668

1.00

(0.98~1.01)

D-二聚体

−0.01

0.00

−2.74

0.006

0.99

(0.99~0.99)

−0.00

0.00

−1.47

0.143

1.00

(0.99~1.00)

3.5. 观察组与对照组外周血炎症指标的ROC曲线分析

Figure 3. ROC curve of peripheral blood inflammatory indicators for predicting radiographic resolution

3. 外周血炎症指标预测影像学吸收的ROC曲线

ROC曲线结果显示PLR预测效果最好,AUC为0.953 (95%CI: 0.908~0.999),其次为NLR,AUC为0.913 (95%CI: 0.857~0.968),再次为SII,AUC为0.897 (95%CI: 0.836~0.958) (见图3)。

4. 讨论

MPP作为儿童呼吸道感染的重要病原体,尤其在学龄前期及学龄期儿童中发病率较高[1] [7],且近几年耐药率明显升高,SMPP病例也随之增多。SMPP患儿肺部影像学表现与病情进展密切相关,如肺实变范围扩大、胸腔积液形成等征象往往提示预后不良。其早期对病情评估与预后的预测始终是临床诊疗的核心挑战。目前临床实践中广泛应用的评估方法主要包括传统炎症标志物检测、影像学评估等。传统炎症标志物如C反应蛋白(CRP)、红细胞沉降率(ESR)等,凭借其检测便捷性和动态监测能力,成为基层医疗机构的首选筛查工具。然而,这类指标受限于较低的特异性,且对炎症–免疫系统的整体失衡状态缺乏全面评估能力。影像学检查尤其是高分辨率CT,虽能直观呈现肺部病变范围与性质,但其辐射暴露风险、高昂检测费用以及影像改变滞后于病理进程的特点,限制了其在动态监测中的常规应用。因此,能否通过某些客观指标在治疗前预判病灶演变趋势,评估疾病的程度及预后,显得尤为重要。该研究首次系统评估了PLR、NLR、SII及LMR对儿童MPP影像学变化的预测价值。通过纳入112例SMPP患儿,收集治疗前后血常规数据并计算PLR、NLR、SII及LMR,结合肺部CT严重程度评分系统,结果显示,PLR、NLR与SII升高、LMR降低与肺部影像改变显著相关,提示外周血炎症指标变化可以预测肺部影像学变化及疾病预后情况,揭示炎症反应失衡可能是影响预后的关键机制。

儿童感染MP后,处于炎症反应状态,以外周血中性粒细胞升高,淋巴细胞下降及单核细胞升高为特征[8]。炎症刺激时可促使骨髓粒细胞增生,释放加快,黏附性降低、凋亡延迟等,引起外周血中中性粒细胞大量增加[9]。淋巴细胞减少是细胞免疫功能损伤的标志[10]。MP感染导致机体出现细胞免疫、体液免疫防御机制激活,由于儿童免疫系统发育尚未成熟,免疫反应相对强烈,易发生免疫受损,并且MP可通过免疫黏附和代谢产物损伤等机制引起淋巴细胞表达抑制、活性下降,最终导致淋巴细胞快速凋亡,淋巴细胞计数下降[11]。单核细胞是机体防御系统重要组成部分,当机体受到MP感染时,免疫系统会启动反应,单核细胞会增加以对抗病原体。研究发现[12],血小板作为一种免疫效应细胞,通过与巨噬细胞、单核细胞、中性粒细胞、淋巴细胞和内皮细胞相互作用调节炎症细胞因子的分泌和释放,并通过分泌多种生长因子和趋化因子,参与组织修复、再生及炎症反应,在炎症反应和固有免疫应答中发挥着关键作用。当儿童感染MP,引起肺部感染时,可诱导血小板活化,参与免疫调控与肺部损伤机制,引起血小板升高[12] [13]。故有研究表明血小板计数越高,说明炎症反应越重[14]

NLR作为系统性炎症反应的敏感指标,在儿童MP感染中反映了机体免疫状态与炎症失衡的病理特征。高NLR是中性粒细胞计数增加和淋巴细胞计数减少的共同结果,两者结合能更好地反应机体全身性炎症状态。国内外研究报道NLR与多种疾病的严重程度相关,如儿童难治性肺炎支原体肺炎、COPD、冠心病、慢性肾功能衰竭、缺血性脑卒中、系统性硬化症等[9] [15]-[18]。该研究NLR结果在观察组显著高于对照组,多因素回归显示,NLR (OR = 0.90, 95%CI: 0.88~0.94),ROC曲线显示NLR (AUC = 0.913),表明NLR对儿童SMPP影像学变化有显著预测价值。LMR指外周血淋巴细胞与单核细胞的比值,也是系统性炎性反应的有效指标之一。PLR是血小板数与淋巴细胞数的比值,整合了血小板与淋巴细胞信息,在成人领域,有研究显示PLR、NLR与成人肺栓塞患者短期死亡率相关,以及PLR、NLR与老年人急性冠脉综合征死亡率相关[19] [20]。该研究显示PLR表达水平在观察组明显高于对照组,说明PLR越高,肺部影像学病变吸收也越慢,也进一步说明了患儿恢复越慢。该研究显示LMR的预测效能与疾病呈负相关,可能与单核细胞动态变化复杂有关。2014年首次提出的SII定义为血小板计数 × 中性粒细胞计数/淋巴细胞计数,是一种可以反映免疫反应和炎症反应的可靠新型炎症标志物,与单一的外周血炎症指标相比更全面地反映了机体炎症状态,也用于预测多种疾病预后。有研究表明SII对心血管事件[21]、慢性肾脏疾病[22]以及肺部感染[23]患者预后的预测价值明显优于传统因素。该研究显示SII在观察组表达水平高于对照组,其预测效能(AUC = 0.897)高,提示其在儿童SMPP影像预测的应用潜力。以上炎症指数可早期预判影像变化,识别高危患儿,指导个体化治疗(如早期加用免疫调节剂)。

然而,本研究存在若干局限性,解释结论时需格外谨慎。首先,这是单中心的回顾性研究,样本量有限,可能存在选择偏倚。其次,研究所用的CT评分系统虽参考了相关文献[6],但属于自行制定的半定量工具,其信度和效度尚未经过广泛验证,评分可能受评估者主观影响。再次,研究数据来源于2023~2024年特定的MP流行时期,病原体的流行株特征、耐药性以及群体免疫背景可能影响疾病表现和结局,限制了对其他时期或地区结果的普遍适用性。最后,尽管采用了单因素分析和二分类Logistic回归分析,但影像学改善仍受治疗策略差异、并发症、个体营养状态等多种未测量因素的影响,部分混杂因素可能无法完全排除。

综上所述,基于血常规的新型外周血组合炎症指标NLR、LMR、PLR、SII,是最易获得的简单、廉价化验指标,能在早期预测儿童SMPP的肺部影像变化,进而评估病情,为个体化治疗提供依据,具有较好的临床应用价值。但必须强调的是,鉴于本研究的单中心回顾性设计、所用评分系统的局限性以及特定的流行背景,其结果的外推性有限,不宜直接用于指导临床决策。未来需要开展前瞻性、多中心、大样本的研究,并采用更客观、精确的影像学评估方法,以进一步验证这些炎症指标的临床预测价值,并探索其最佳的临床应用截断值。

致 谢

感谢本次科研及论文协作过程中导师及科室同事的指导和大力支持。

声 明

本研究获得了青岛大学附属医院医学伦理委员会的审批(批准文号:QYFYEC2024-221)。在充分告知患儿监护人本研究的目的、过程、风险和利益后,患儿监护人自愿签署知情同意书。

NOTES

*通讯作者。

参考文献

[1] Zeng, Q., Li, Y., Yue, Y., Wang, M., Yang, C. and Lv, X. (2024) Epidemiological Characteristics and Early Predict Model of Children Mycoplasma pneumoniae Pneumonia Outbreaks after the COVID-19 in Shandong. Scientific Reports, 14, Article No. 19892. [Google Scholar] [CrossRef] [PubMed]
[2] 中华人民共和国国家卫生健康委员会. 儿童肺炎支原体肺炎诊疗指南(2023年版) [J]. 国际流行病学传染病学杂志, 2023, 50(2): 79-85.
[3] Tekin, A., Wireko, F.W., Gajic, O. and Odeyemi, Y.E. (2024) The Neutrophil/Lymphocyte Ratio and Outcomes in Hospitalized Patients with Community-Acquired Pneumonia: A Retrospective Cohort Study. Biomedicines, 12, Article No. 260. [Google Scholar] [CrossRef] [PubMed]
[4] Calis, A.G., Karaboga, B., Uzer, F., Kaplan, N., Karaca, M., Gedik, R.B., et al. (2025) Correlation of Pneumonia Severity Index and CURB-65 Score with Neutrophil/Lymphocyte Ratio, Platelet/Lymphocyte Ratio, and Monocyte/Lymphocyte Ratio in Predicting In-Hospital Mortality for Community-Acquired Pneumonia: Observational Study. Journal of Clinical Medicine, 14, Article No. 728. [Google Scholar] [CrossRef] [PubMed]
[5] Ying, Y., Yu, F., Luo, Y., Feng, X., Liao, D., Wei, M., et al. (2021) Neutrophil-to-Lymphocyte Ratio as a Predictive Biomarker for Stroke Severity and Short-Term Prognosis in Acute Ischemic Stroke with Intracranial Atherosclerotic Stenosis. Frontiers in Neurology, 12, Article ID: 705949. [Google Scholar] [CrossRef] [PubMed]
[6] Hilal, K., Shahid, J., Ameen, A., Seth Martins, R., Nankani, A., Tanveer ul Haq, et al. (2021) Correlation of Computerized Tomography (CT) Severity Score for Covid-19 Pneumonia with Clinical Outcomes. Journal of Ayub Medical College Abbottabad, 34, 24-30. [Google Scholar] [CrossRef] [PubMed]
[7] 刘凯, 付红敏, 陆权. 儿童肺炎支原体肺炎的流行病学新进展[J]. 中华儿科杂志, 2024, 62(7): 696-699.
[8] 邹映雪. 肺炎支原体肺炎炎症指标异常的临床意义[J]. 中华实用儿科临床杂志, 2021, 36(16): 1209-1214.
[9] Ling, Y.Y., Ning, J. and Xu, Y.S. (2021) Explore the Predictive Value of Peripheral Blood Cell Parameters in Refractory Mycoplasma pneumoniae Pneumonia in Children over 6 Years Old. Frontiers in Pediatrics, 9, Article ID: 659677.
[10] Peng, L., Zhong, L.L., Huang, Z., et al. (2021) Clinical Features of Children with Mycoplasma pneumoniae Pneumonia and Peripheral Lymphocytopenia. Chinese Journal of Contemporary Pediatrics, 23, 74-77.
[11] Guo, X., Liao, J., Fan, X. and Xu, M. (2023) Exploring the Diagnostic Value of Eosinophil-to-Lymphocyte Ratio to Differentiate Kawasaki Disease from Other Febrile Diseases Based on Clinical Prediction Model. Scientific Reports, 13, Article No. 3399. [Google Scholar] [CrossRef] [PubMed]
[12] 何楷印, 刘乐, 周婷, 等. 肺炎支原体感染患儿SAA、CRP、NLR、PLR水平与病情进展及体液免疫的关系[J]. 河北医药, 2024, 46(11): 1656-1660.
[13] Zhang, K.-J., et al. (2025) Predictive Value of IG Mycoplasma pneumoniae-DNA, High-Density Lipoprotein, Natural Killer Cell, and Platelet Levels for Diagnosing Severe M. pneumoniae Pneumonia in Children. Indian Journal of Medical Microbiology, 53, Article ID: 100770.
[14] Ay, D., Başlılar, Ş., Kulah, G., et al. (2025) Blood Cell Counts and Inflammatory Indexes in Idiopathic Pulmonary Fibrosis. Cureus, 17, e78319.
[15] 黄若新. 中性粒细胞/淋巴细胞比值、降钙素原、D-二聚体在慢性阻塞性肺疾病急性加重合并呼吸衰竭病情评估及疾病转归的预测价值[J]. 中国医药科学, 2022, 12(24): 156-160.
[16] Zheng, L. and Lin, Z. (2024) The Relationship between Composite Inflammatory Ratios and Complications of Massive Ischaemic Stroke. Journal of the College of Physicians and SurgeonsPakistan: JCPSP, 34, 434-439.
[17] Liu, K., Yang, L., Liu, Y., Zhang, Y., Zhu, J., Zhang, H., et al. (2025) Systemic Immune-Inflammation Index (SII) and Neutrophil-to-Lymphocyte Ratio (NLR): A Strong Predictor of Disease Severity in Large-Artery Atherosclerosis (LAA) Stroke Patients. Journal of Inflammation Research, 18, 195-202. [Google Scholar] [CrossRef] [PubMed]
[18] Xu, M., Wang, J., Zhan, C., Zhou, Y., Luo, Z., Yang, Y., et al. (2024) Association of Follow-Up Neutrophil-to-Lymphocyte Ratio and Systemic Inflammation Response Index with Stroke-Associated Pneumonia and Functional Outcomes in Cerebral Hemorrhage Patients: A Case-Controlled Study. International Journal of Surgery, 110, 4014-4022. [Google Scholar] [CrossRef] [PubMed]
[19] Haba, M.Ș.C., Manole, O.M., Buburuz, A.M., Tudorancea, I., Costache-Enache, I. and Onofrei, V. (2025) The Prognostic Value of Inflammatory Indices in Acute Pulmonary Embolism. Diagnostics, 15, Article No. 312. [Google Scholar] [CrossRef] [PubMed]
[20] Gürdal, A., Serin, E., Sarilar, M., et al. (2025) Prognostic Value of Systemic Immune-Inflammation Index in Older Patients with Acute Coronary Syndrome. Coronary Artery Disease, 10, 1097.
[21] Li, X., Yu, C., Liu, X., Chen, Y., Wang, Y., Liang, H., et al. (2024) A Prediction Model Based on Systemic Immune-Inflammatory Index Combined with Other Predictors for Major Adverse Cardiovascular Events in Acute Myocardial Infarction Patients. Journal of Inflammation Research, 17, 1211-1225. [Google Scholar] [CrossRef] [PubMed]
[22] Lai, W., Xie, Y., Zhao, X., Xu, X., Yu, S., Lu, H., et al. (2022) Elevated Systemic Immune Inflammation Level Increases the Risk of Total and Cause-Specific Mortality among Patients with Chronic Kidney Disease: A Large Multi-Center Longitudinal Study. Inflammation Research, 72, 149-158. [Google Scholar] [CrossRef] [PubMed]
[23] Güneylioğlu, M.M., Güngör, A., Göktuğ, A., Üner, Ç., Bodur, İ., Yaradılmış, R.M., et al. (2022) Evaluation of the Efficiency of the Systemic Immune‐Inflammation Index in Differentiating Parapneumonic Effusion from Empyema. Pediatric Pulmonology, 57, 1625-1630. [Google Scholar] [CrossRef] [PubMed]