改良Hardinge入路半髋关节置换术治疗老年股骨颈骨折的短期临床疗效
Short-Term Clinical Efficacy of Modified Hardinge Approach Hemiarthroplasty in the Treatment of Femoral Neck Fractures in the Elderly
摘要: 目的:探究改良hardinge入路行髋关节置换术治疗老年股骨颈骨折的短期疗效及安全性能,为临床治疗方案的选定提供实证参考。方法:回顾性分析2023年7月至2025年9月于本院接受改良hardinge入路髋关节置换术的17例老年股骨颈骨折患者临床资料。所有患者术前完成全面检查以评估手术耐受度,术中采用改良hardinge入路实施人工髋关节置换,术后常规开展抗感染、抗凝治疗及康复指导。观察患者手术时长、切口长度、术中出血量、术后24 h引流量、首次下床负重时间、伤后至手术间隔及术后住院天数等围术期指标;采用Harris髋关节功能评分评估术后1个月、3个月的关节功能恢复状况,并记录术后并发症发生情况。结果:17例患者均顺利完成手术,无术中严重并发症。手术时长50~100 min,切口长度8~12 cm,术中出血量50~200 ml,术后24 h引流量20~230 ml,首次下床负重时间2~5 d,伤后至手术间隔2~9 d,术后住院天数7~17 d。术后1个月Harris评分为81~89分,术后3个月升至93~97分,后者较前者显著提高。术后随访3~12个月,未出现深静脉血栓、假体脱位、感染等严重并发症。结论:改良hardinge入路髋关节置换术治疗老年股骨颈骨折具有手术耗时短、术中出血少、术后恢复快等优势,短期疗效确切且安全性高,值得临床推广。
Abstract: Objective: To investigate the short-term efficacy and safety of modified hardinge approach hip arthroplasty in the treatment of elderly patients with femoral neck fractures, providing evidence-based reference for clinical treatment selection. Methods: A retrospective analysis was conducted on the clinical data of 17 elderly patients with femoral neck fractures who underwent modified hardinge approach hip arthroplasty in our hospital from July 2023 to September 2025. All patients underwent comprehensive preoperative evaluations to assess surgical tolerance. The modified hardinge approach was employed for total hip arthroplasty (THA) during the procedure, followed by standard postoperative care including anti-infection therapy, anticoagulation, and rehabilitation guidance. Perioperative parameters were monitored, including operative duration, incision length, intraoperative blood loss, drainage volume within 24 hours postoperatively, first ambulation time, interval from injury to surgery, and postoperative hospitalization duration. Harris Hip Function Score was used to evaluate postoperative joint function recovery at 1 and 3 months, with postoperative complications recorded. Results: All 17 patients underwent successful surgery without intraoperative severe complications. The operative duration ranged from 50 to 100 minutes, with incision lengths of 8~12 cm and intraoperative blood loss of 50~200 mL. Postoperative drainage volume at 24 hours ranged from 20 to 230 mL. The first ambulation time was 2~5 days, the interval from injury to surgery was 2~9 days, and the postoperative hospitalization duration was 7~17 days. The Harris score was 81~89 at 1 month postoperatively and increased to 93~97 at 3 months, with the latter showing a significant improvement. During the 3~12 months follow-up, no severe complications such as deep vein thrombosis, prosthesis dislocation, or infection were observed. Conclusion: The modified hardinge approach for hip arthroplasty in elderly patients with femoral neck fractures demonstrates advantages including shorter operative time, reduced intraoperative bleeding, and faster postoperative recovery. With confirmed short-term efficacy and high safety, this technique is worthy of clinical promotion.
文章引用:张洋, 朱天信, 张文远, 周铮, 吴吉祥, 朱恒杰. 改良Hardinge入路半髋关节置换术治疗老年股骨颈骨折的短期临床疗效[J]. 生物医学, 2026, 16(1): 179-186. https://doi.org/10.12677/hjbm.2026.161019

1. 引言

股骨颈骨折是老年群体高发的骨科创伤性疾病,伴随我国人口老龄化程度加深,其发病率持续攀升[1]。老年患者多合并骨质疏松、高血压、糖尿病等基础病症,骨折后长期卧床易诱发深静脉血栓、肺部感染、压疮等严重并发症,大幅提升致残率与死亡率[2]。因此,在患者身体条件允许时,尽早手术治疗以恢复髋关节功能、缩短卧床时间,是改善预后的关键[3]。髋关节置换术是目前治疗该病症的主流术式,可有效缓解疼痛、恢复关节活动功能,提升患者生活质量[4]。传统术式如后外侧入路、前外侧入路等虽应用广泛,但存在切口偏大、软组织剥离范围广、出血量多、术后恢复缓慢等弊端[5]。近年来,微创外科技术在骨科领域快速发展,各类微创入路的髋关节置换术逐步应用于临床,核心目标是减轻手术创伤,加速患者术后康复[6]

hardinge入路作为一种较新的微创髋关节置换入路,具备切口小、软组织损伤轻、术后疼痛程度低等特点,但传统hardinge入路在暴露髋臼及股骨近端时仍存在局限,尤其对于老年骨质疏松患者,术中假体植入的稳定性可能受影响[7]。本研究对传统hardinge入路进行优化,调整切口位置与软组织分离方式,在进一步降低创伤的同时提升术中视野暴露效果。通过回顾性分析采用该改良入路治疗的17例老年股骨颈骨折患者资料,探究其短期疗效与安全性,为临床治疗提供参考,现报道如下。

2. 资料与方法

2.1. 一般资料

回顾性选取2023年7月至2025年9月本院骨科收治的、采用改良hardinge入路髋关节置换术治疗的老年股骨颈骨折患者17例。纳入标准:(1) 年龄 ≥ 65岁;(2) 经X线或CT检查确诊为单侧股骨颈骨折(Garden Ⅱ~Ⅳ型);(3) 骨折至手术时间 ≤ 9 d;(4) 患者及家属知情同意并配合随访;(5) 美国麻醉医师协会(ASA)分级Ⅱ~Ⅲ级,无绝对手术禁忌证。排除标准:(1) 合并严重心、肝、肾、脑等重要脏器功能衰竭,无法耐受手术者;(2) 合并髋关节发育不良、股骨头坏死、髋关节结核等其他髋关节疾病者;(3) 病理性骨折患者;(4) 精神疾病患者,无法配合康复训练及随访者。

17例患者中,男性8例,女性9例;年龄70~91岁;骨折类型均为Garden Ⅲ型或Ⅳ型,受伤原因均为跌倒;12例合并基础疾病(含肺部感染、高血压、脑梗、糖尿病、睡眠障碍等)。所有患者术前均完成血常规、凝血功能、肝肾功能、心电图及髋关节X线、CT等检查,全面评估身体状况与骨折情况;对合并基础疾病者实施针对性治疗,待病情稳定后再行手术。经医院伦理委员会批准(批准号:2025HQ1011),所有患者均知情同意。

2.2. 手术方法

所有手术由同一组经验丰富的骨科医师完成,麻醉方式选用全身麻醉或椎管内麻醉。患者取侧卧位,患侧朝上,常规消毒铺巾。改良hardinge入路切口设计:以大转子顶点为中心,向近端沿臀大肌肌纤维走向做8~12 cm斜切口,依次切开皮肤、皮下组织及深筋膜。沿臀大肌肌纤维方向钝性分离,规避臀上神经及血管损伤。暴露大转子后,于其前外侧缘切开部分臀中肌止点,保留臀小肌完整,将臀中肌向前侧牵开以暴露髋关节囊。纵行切开关节囊,将髋关节屈曲、内收、内旋使股骨头脱位,清理髋臼周围软组织及增生骨质以显露髋臼。采用髋臼锉逐步打磨髋臼,直至软骨下骨均匀渗血,选用适配型号生物型髋臼假体并固定。随后处理股骨近端:将髋关节伸直、内收、外旋以暴露股骨近端,于股骨颈残端中心用开口器开口,依次用扩髓器扩髓后,植入适配型号股骨假体柄并检查稳定性。安装股骨头假体后复位髋关节,确认关节活动度及稳定性无异常、无脱位风险后,冲洗切口,根据出血情况放置1根引流管,逐层缝合深筋膜、皮下组织及皮肤。

2.3. 术后处理及康复训练

术后常规给予头孢类抗生素(过敏者更换为其他适配抗生素)抗感染治疗24~48 h,若合并基础病症可适当延长用药时间;皮下注射低分子肝素钠注射液10~14 d以预防深静脉血栓。术后24~48 h根据引流液情况拔除引流管,拔除后启动康复训练:术后1~2 d,指导患者进行股四头肌等长收缩、踝关节屈伸训练,协助患者坐起并开展髋关节被动屈伸训练,逐步增加活动角度;术后3~4 d,指导患者借助助行器下床行走,明确禁止髋关节过度屈曲、内收、内旋,防范假体脱位。同时强化营养支持,指导患者补充钙剂与维生素D,促进骨骼修复。

2.4. 观察指标

(1) 围术期指标:包括手术时长、切口长度、术中出血量、术后24 h引流量、首次下床负重时间、伤后至手术间隔及术后住院天数。(2) 髋关节功能恢复:采用Harris髋关节功能评分评估术后1个月、3个月的关节功能,该评分涵盖疼痛(44分)、功能(47分)、畸形(4分)、活动度(5分)四个维度,总分100分,评分越高提示功能越好,其中90~100分为优秀,80~89分为良好,70~79分为尚可,<70分为差。(3) 并发症:记录术后3~12个月内切口感染、脂肪液化、深静脉血栓、假体脱位、假体松动、肺部感染、压疮等并发症发生情况。

3. 结果

3.1. 围手术期指标情况

17例患者手术均获成功,手术时长50~100 min,切口长度8~12 cm,术中出血量50~200 ml,术后24 h引流量20~230 ml,首次下床负重时间2~5 d,伤后至手术间隔2~9 d,术后住院天数7~17 d。所有患者切口均一期愈合或经对症处理后愈合,无术后早期感染。

3.2. 术后髋关节功能恢复情况

所有患者均完成术后1个月、3个月随访,无失访案例。术后1个月Harris评分为81~89分,术后3个月达93~97分,术后3个月的评分及优良率均显著高于术后1个月。

3.3. 术后并发症发生情况

术后随访期间,未出现深静脉血栓、假体脱位、假体松动、切口感染、肺部感染、压疮等并发症,所有患者无严重不良反应,康复进程顺利。

3.4. 典型病例

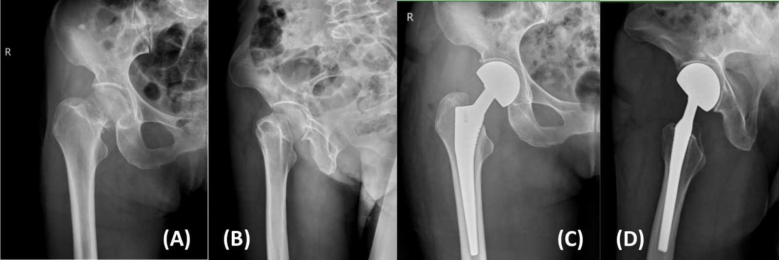
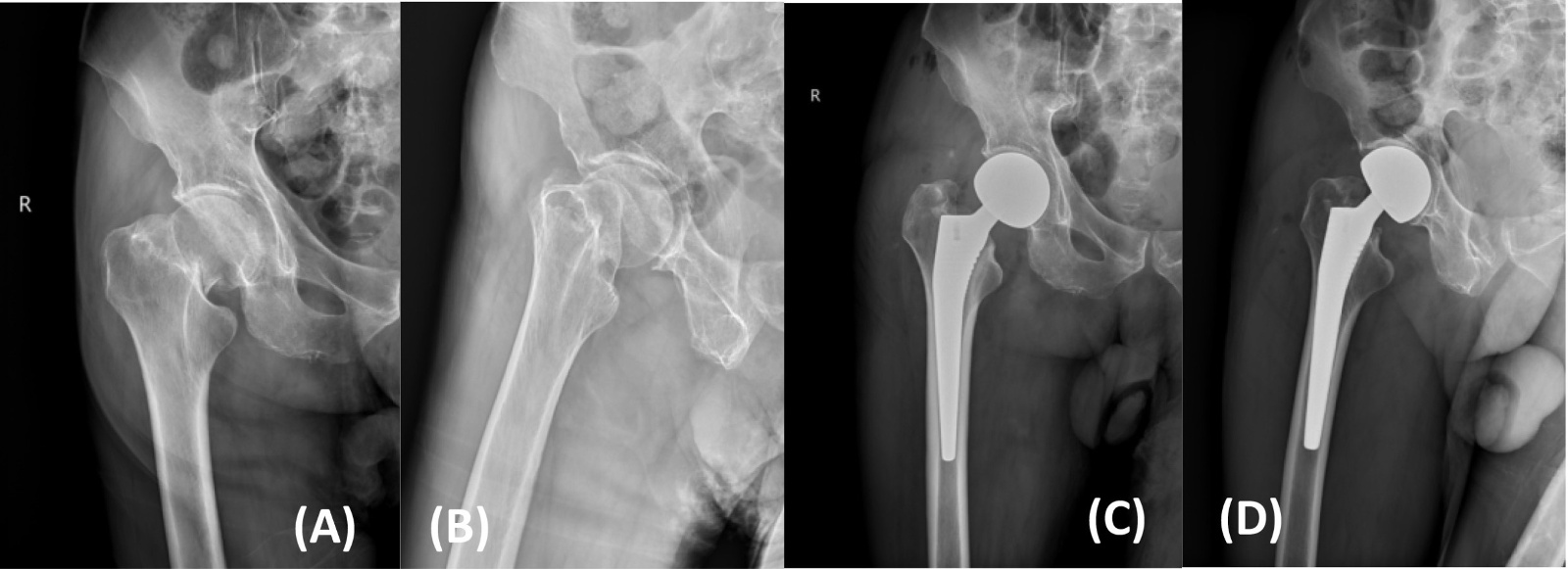
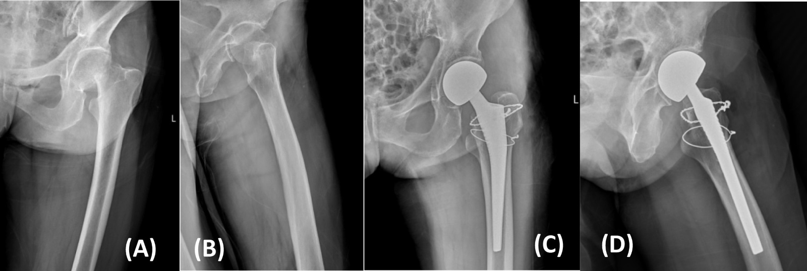
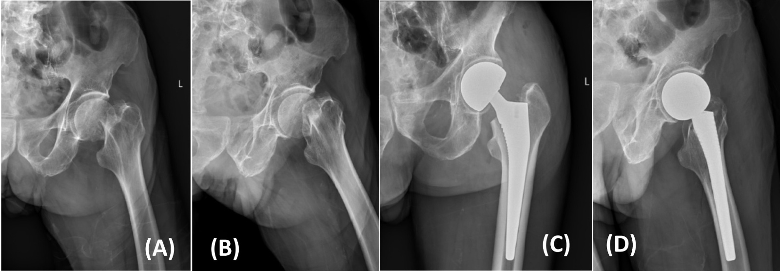
典型病例影像学表现见图1~5图1为70岁女性右侧股骨颈骨折(Garden Ⅲ型)患者,改良hardinge入路半髋关节置换术前X线示骨折断端部分错位,术后X线示假体位置良好;图2为85岁女性左侧股骨颈骨折(Garden Ⅲ型)患者,术后X线示假体位置良好;图3为83岁男性右侧股骨颈骨折(Garden Ⅲ型)患者,术后假体位置满意;图4为91岁男性左侧股骨颈骨折(Garden Ⅳ型)患者,术后假体匹配良好;图5为75岁女性左侧股骨颈骨折(Garden Ⅲ型)患者,术后假体位置正常,股骨近端微裂予钢丝捆扎固定。

Figure 1. X-rays before and after modified hardinge approach hemiarthroplasty in a 70-year-old female patient with right femoral neck fracture (Garden type III) (A), (B). Before operation; (C), (D). After operation

1. 70岁女性右侧股骨颈骨折(Garden III型)患者改良hardinge入路半髋关节置换手术前后X线片(A)、(B) 术前;(C)、(D) 术后

Figure 2. X-rays before and after modified hardinge approach hemiarthroplasty in an 85-year-old female patient with left femoral neck fracture (Garden type III) (A), (B). Before operation; (C), (D). After operation

2. 85岁女性左侧股骨颈骨折(Garden III型)患者改良hardinge入路半髋关节置换手术前后X线片(A)、(B) 术前;(C)、(D) 术后

Figure 3. X-ray films before and after modified hardinge approach hemiarthroplasty in an 83-year-old male patient with right femoral neck fracture (Garden type III) (A), (B). Before operation; (C), (D). After operation

3. 83岁男性右侧股骨颈骨折(Garden III型)患者改良hardinge入路半髋关节置换手术前后X线片(A)、(B) 术前;(C)、(D) 术后

Figure 4. X-rays before and after modified hardinge approach hemiarthroplasty in a 91-year-old male patient with left femoral neck fracture (Garden IV type) (A), (B). Before operation; (C), (D). After operation

4. 为91岁男性左侧股骨颈骨折(Garden IV型)患者改良hardinge入路半髋关节置换手术前后X线片(A)、(B) 术前;(C)、(D) 术后

Figure 5. X-rays before and after modified hardinge approach hemiarthroplasty in a 75-year-old female patient with left femoral neck fracture (Garden type III) (A), (B). Before operation; (C), (D). After operation

5. 75岁女性左侧股骨颈骨折(Garden III型)患者改良hardinge入路半髋关节置换手术前后X线片(A)、(B) 术前;(C)、(D) 术后

4. 讨论

4.1. 老年股骨颈骨折的治疗现状及手术入路选择的重要性

老年股骨颈骨折的治疗始终是骨科临床的重点与难点。由于老年患者身体机能衰退,且多合并多种基础疾病,骨折后长期卧床极易引发系列严重并发症,因此手术治疗已成为此类患者的首选方案[8]。髋关节置换术作为核心治疗术式,可快速缓解疼痛、恢复关节功能、缩短卧床时间,进而降低并发症发生率,改善患者预后[9]。而手术入路的选择直接关联手术创伤程度、术中出血量、术后恢复速度及并发症风险,因此选用创伤小、视野暴露佳、术后恢复快的入路,对提升治疗效果至关重要[10]

传统后外侧入路是髋关节置换术的经典入路,虽具备视野暴露充分、操作相对简便等优势,但需切断臀大肌、梨状肌等肌群,手术创伤较大,术中出血量多,术后患者疼痛明显;且因臀中肌等外展肌群受损,术后髋关节稳定性可能受影响,假体脱位风险较高[11]。前外侧入路对臀肌损伤较小,但需分离股外侧皮神经,神经损伤风险增加,且术中视野暴露难度大,经验不足的医师操作时可能延长手术时间、提升术中并发症风险[12]。因此,探寻更微创、安全、有效的手术入路,成为骨科医师的研究重点。

4.2. 改良Hardinge入路的优势分析

Hardinge入路基于肌肉间隙设计,核心优势是通过肌肉间隙分离,减少肌肉切断与损伤,从而降低手术创伤[13]。本研究对传统hardinge入路进行改良,进一步优化治疗效果,从结果可见,该术式治疗老年股骨颈骨折具备以下显著优势:

其一,手术创伤小、术中出血量少。本研究中,患者手术时长50~100 min、切口长度8~12 cm、术中出血量50~200 ml,均显著低于传统后外侧入路相关报道数据[14]。核心原因在于改良hardinge入路采用沿臀大肌肌纤维走向的斜切口,通过钝性分离臀大肌避免肌纤维切断,同时保留臀小肌完整,仅切开部分臀中肌止点,最大程度保留髋关节周围肌肉组织及血供,减少出血与创伤;此外,改良后切口位置更合理,可优化视野暴露效果,减少术中对周围组织的牵拉损伤,进一步降低创伤程度。

其二,术后恢复快、住院时间短。本研究患者首次下床负重时间2~5 d、伤后至手术间隔2~9 d、术后住院天数7~17 d,显著短于传统入路手术患者的住院时长[15]。这是因为改良入路创伤小,患者术后疼痛轻,可更早启动康复训练:术后1~2 d即可开展基础肌肉收缩与关节被动训练,术后3~4 d便可借助助行器下床行走,加速关节功能恢复,缩短住院周期;同时术后引流液较少,也为早期康复提供了有利条件。

其三,短期髋关节功能恢复效果确切。结果显示,术后1个月Harris评分为81~89分,术后3个月升至93~97分,术后3个月的评分及优良率均显著高于术后1个月,表明改良hardinge入路可有效恢复髋关节功能,提升患者生活质量。一方面,手术创伤小对髋关节周围肌肉功能影响小,可更好保留关节稳定性;另一方面,早期康复训练的开展加速了功能恢复;此外,改良入路可提升假体植入的力线匹配度,增强假体稳定性,也利于关节功能恢复。

其四,术后并发症发生率低。本研究随访期间未出现深静脉血栓、假体脱位等严重并发症,患者无严重不良反应,康复顺利,并发症发生率显著低于传统入路[16]。这得益于手术创伤小、出血量少,降低了感染与深静脉血栓风险;同时最大程度保留关节周围肌肉组织,提升了髋关节稳定性,减少假体脱位可能;此外,术后常规抗凝、抗感染治疗及早期康复训练,也进一步防范了并发症发生。

本研究采用的改良hardinge入路,其手术耗时、切口尺寸与国内改良hardinge入路相关研究结果大致相符,且较传统后外侧入路更具优势;术中失血量少于传统后外侧入路,与同类改良入路的临床数据差异不大;术后3个月髋关节Harris评分高于其他改良入路对比研究中的改良组,且并发症发生风险更低。上述结果共同证实,本研究改良术式在短期治疗效果及临床安全性方面表现突出。

4.3. 改良Hardinge入路的手术要点及注意事项

改良hardinge入路虽优势显著,但对医师操作技巧要求较高,术中需重点关注以下要点:(1) 精准设计切口:以大转子顶点为中心,沿臀大肌肌纤维走向切开,避免切口过长增加创伤或过短影响视野暴露。(2) 规范分离肌肉:采用钝性分离方式,禁用锐器切割,防范臀上神经、血管及股外侧皮神经损伤;分离臀大肌后需重点保护臀中肌、臀小肌,仅切开部分臀中肌止点,避免过度损伤外展肌群而影响术后关节稳定性。(3) 充分暴露与轻柔操作:确保髋臼及股骨近端充分暴露,打磨髋臼、扩髓时动作轻柔,避免损伤髋臼软骨下骨及股骨皮质,防范假体周围骨折;针对骨质疏松严重患者,扩髓需格外谨慎,可选用生物型假体提升稳定性。(4) 严格核查假体状态:假体植入后需仔细检查稳定性及髋关节活动度,确认无脱位风险后方可关闭切口。

此外,术后康复指导至关重要。需结合患者个体情况制定个性化康复方案,循序渐进开展训练,避免过度训练导致假体脱位或肌肉损伤;加强健康宣教,明确告知患者术后禁忌,如避免髋关节过度屈曲、内收、内旋及深蹲、盘腿等动作,防范假体脱位;针对合并基础疾病患者,需强化术后基础病管理,控制血压、血糖水平,助力患者整体恢复。

4.4. 本研究的局限性与总结

本研究为单中心回顾性研究,样本量较小(17例),且随访时间较短(3~12个月),无法评估改良hardinge入路的长期疗效及假体生存率;同时未设置对照组,无法与传统入路或其他微创入路直接对比,研究结果说服力有待提升。未来需开展大样本、多中心、前瞻性对照研究,延长随访时间,进一步验证该入路的长期疗效与安全性;同时深入研究手术技巧,优化手术流程,进一步提升治疗效果。

综上,改良hardinge入路髋关节置换术治疗老年股骨颈骨折,具备手术时间短、术中出血少、术后恢复快、短期功能恢复佳、并发症少等优势,是一种安全有效的微创治疗方案,值得临床推广。临床实践中,医师需熟练掌握手术要点与注意事项,强化术后康复指导及基础病管理,以进一步提升治疗效果。随着微创外科技术的发展与手术器械的改良,改良hardinge入路的治疗效果将进一步提升,为老年股骨颈骨折患者带来更优的治疗体验与预后。

NOTES

*通讯作者。

参考文献

[1] 高悠水. 2021年AAOS《老年髋部骨折的治疗: 基于循证的临床诊疗指南》解读[J]. 中国骨伤, 2023, 36(3): 279-283.
[2] 杜宪辉, 王树相. 老年股骨颈骨折术后并发症及危险因素分析的研究进展[J]. 现代医学与健康研究(电子版), 2025, 9(4): 40-44.
[3] 宋宝东, 浦瑶瑶, 赵洪伟. 老年股骨颈骨折患者全髋关节置换术不同手术时机对术后髋关节功能及并发症的影响[J]. 中国老年学杂志, 2018, 38(14): 3406-3407.
[4] 贾大维. 人工髋关节置换术治疗老年股骨颈骨折的临床疗效分析[J]. 中国医药指南, 2019, 17(23): 29-30.
[5] 宋国瑞, 刘军, 张晨, 等. 加速康复外科理念在老年全髋关节置换术围术期的临床应用研究[J]. 宁夏医科大学学报, 2021, 43(2): 137-140.
[6] 中华医学会骨科学分会关节外科学组, 云南省创伤骨科临床医学中心(解放军联勤保障部队第九二〇医院). 中国髋关节置换入路选择临床实践指南(2021年版) [J]. 中华关节外科杂志(电子版), 2021, 15(6): 651-659.
[7] Wayne, N. and Stoewe, R. (2009) Primary Total Hip Arthroplasty: A Comparison of the Lateral Hardinge Approach to an Anterior Mini-Invasive Approach. Orthopaedics Reviews, 1, e27. [Google Scholar] [CrossRef] [PubMed]
[8] 陈佳, 李西成. 髋部骨折: 争议与挑战[J]. 中华老年骨科与康复电子杂志, 2017, 3(4): 193-196.
[9] 赵红星, 张超, 陶金刚, 等. 不同入路的髋关节置换术的早期疗效和炎性应激研究[J]. 中华实验外科杂志, 2023, 40(6): 1171-1174.
[10] 江海亮, 梁健铭, 陈晴, 等. 直接前方入路与后外侧入路髋关节置换术的早期临床疗效比较[J]. 中华骨与关节外科杂志, 2023, 16(1): 31-36.
[11] 朱林松, 戴俊. 前外侧入路与后外侧入路半髋关节置换术治疗老年移位股骨颈骨折的临床疗效比较[J]. 实用临床医药杂志, 2023, 27(21): 101-104.
[12] 马邹, 张上上, 张鹏, 等. 微创直接前侧入路与后外侧入路髋关节置换术治疗股骨颈骨折的效果对比观察[J]. 国际骨科学杂志, 2022, 43(5): 307-313.
[13] 刘弘扬, 许弘佳, 梁俊生. 微创直接前侧入路半髋关节置换术治疗高龄Evans Ⅰ型股骨转子间骨折患者的早期疗效观察[J]. 中华解剖与临床杂志, 2022, 27(12): 817-822.
[14] 黄朝明, 夏绍祥, 裴儒, 等. 改良后外侧入路与传统后外侧入路内固定治疗三踝骨折的疗效对比[J]. 局解手术学杂志, 2025, 34(5): 413-416.
[15] 符诗坚, 张涛, 曹博然, 等. 直接前路微创手术在僵直髋全髋关节置换术中短期应用效果观察[J]. 临床军医杂志, 2020, 48(9): 1079-1080.
[16] 袁志, 刘常浩. 髋部骨折治疗进展[J]. 创伤外科杂志, 2018, 20(8): 561-565.