超声与MRI在儿童孟氏骨折中的应用进展
Progress in the Application of Ultrasound and MRI in Pediatric Monteggia Fractures
DOI: 10.12677/acm.2026.161239, PDF, HTML, XML,   
作者: 周子榆, 王忠良*:重庆医科大学附属儿童医院骨科,儿童少年健康与疾病国家临床医学研究中心,儿童发育疾病研究教育部重点实验室,重庆市卫生健康委儿童重要器官发育与疾病重点实验室,重庆
关键词: 孟氏骨折陈旧性孟氏骨折环状韧带超声MRIMonteggia Fracture Chronic Monteggia Fracture Annular Ligament Ultrasound MRI
摘要: 儿童孟氏骨折是一种发生率较低但损伤复杂的儿童上肢骨折,核心表现为尺骨骨折合并桡骨头脱位,因儿童肘部骨化中心发育特点、检查不配合等因素,桡骨头脱位易漏诊。诊断需结合临床表现、体格检查及影像学检查,X线是基础诊断手段,超声可动态、无辐射评估肱桡关节及环状韧带情况,MRI能清晰显示软组织损伤与环状韧带状态,CT三维重建可辅助畸形可视化。急性病例以闭合复位联合石膏固定为主要保守治疗方式,漏诊或延误治疗易进展为陈旧性孟氏骨折,需手术干预且术后并发症风险较高。本文综述儿童孟氏骨折的临床表现、多模态影像学诊断进展、治疗策略及陈旧性病变诊疗难点,为临床早期精准诊断、减少漏诊及优化治疗方案提供参考。
Abstract: Monteggia fracture in children is a type of upper limb fracture with low incidence but complex injury mechanism, characterized by ulnar fracture combined with radial head dislocation. Due to the immature development of ossification centers in the elbow joint of children and poor cooperation during examinations, radial head dislocation is highly prone to missed diagnosis. Clinical diagnosis should be based on the combination of clinical manifestations, physical examinations and multimodal imaging findings: X-ray examination serves as the basic diagnostic method; ultrasound enables dynamic and radiation-free evaluation of the humeroradial joint alignment and annular ligament integrity; MRI can clearly display the degree of soft tissue injury and the injury status of the annular ligament; and three-dimensional CT reconstruction can assist in the visualization of fracture deformities. For acute Monteggia fracture in children, closed reduction combined with plaster external fixation is the preferred conservative treatment option; cases with missed or delayed diagnosis are likely to progress to chronic Monteggia fracture, which mostly require surgical intervention and are associated with a significantly increased risk of postoperative complications. This paper reviews the clinical manifestations, multimodal imaging diagnostic progress, treatment strategies as well as the diagnosis and treatment difficulties of chronic lesions of Monteggia fracture in children, aiming to provide references for early clinical accurate diagnosis, reduction of missed diagnosis and optimization of treatment regimens.
文章引用:周子榆, 王忠良. 超声与MRI在儿童孟氏骨折中的应用进展[J]. 临床医学进展, 2026, 16(1): 1893-1900. https://doi.org/10.12677/acm.2026.161239

1. 引言

孟氏骨折,最早是由Monteggia等人首次描述的以尺骨干近端骨折合并桡骨头脱位为特征的骨折命名而来。后来其概念被扩展,不少文献将桡骨头各个方向的脱位合并尺骨任何部位骨折的复合损伤,称为孟氏骨折的变异类型。孟氏骨折占所有前臂骨折的13%,主要发生在4至10岁的儿童中。而在儿童中,孟氏骨折仅占儿童上肢骨折总数的0.4%~1% [1]-[3]。尽管孟氏骨折的发生率很低,但需要特别注意,多达30%~50% [3]的桡骨头脱位病例可能没有在急诊时被放射科医生、急诊科医生和低年资骨科医生识别出来,如若缺少早期的骨科干预,则会失去早期手法复位保守治疗的机会,进展为必须手术的陈旧性孟氏骨折。本综述属于叙述性综述,以“儿童孟氏骨折”“超声”“MRI”“环状韧带”“肱桡关节脱位”等为核心关键词,检索了近年国内外相关学术论文、临床研究报告及病例分析;内容涵盖儿童孟氏骨折的临床表现、诊断及影像学特征、治疗方法、陈旧性病变相关研究,重点聚焦超声与MRI在该病诊断(如桡骨头脱位识别、环状韧带损伤评估)等方面应用的文献,旨在梳理超声与MRI在儿童孟氏骨折中的应用相关研究进展,为临床诊断、治疗及后续研究提供参考。

2. 临床表现

急性闭合性孟氏骨折损伤的患儿通常表现为跌倒摔伤后哭闹不止,患儿主诉多为前臂、肘部的疼痛和肿胀,伴有患肢不能抬举,前臂不能旋后以及肘关节的伸屈等活动受限。对患儿进行体格检查可能还会发现肘部瘀斑、畸形、骨擦音骨擦感或前臂远端的感觉异常。孟氏骨折桡骨头脱位较为明显的患儿还可以在肘前窝的外侧触碰到脱出的桡骨头,此种患儿伴有触痛或刺痛。此外,为了排除肘部的血管神经肌腱损伤,急诊初次就诊时,骨科医生或急诊科医生还应评估患侧远端的脉搏和感觉;也需要评估肘部运动功能,特别是屈曲、旋前和旋后[4]

3. 诊断及影像学表现

孟氏骨折的诊断主要依靠对患儿的体格检查,以及包括肘关节在内的前臂正侧位X片。我们通常用Storen直线法在X片上来判断肘关节是否存在脱位:在脱位的异常图像上,桡骨干轴线明显偏离肱骨小头骨化中心[4],在正常肘关节正侧位放射图像上,桡骨干轴线穿过肱骨小头骨化中心[5]。通过Bado放射学分类,把孟氏骨折分为4种骨折类型:I型:尺骨骨折合并桡骨头前脱位;II型:尺骨骨折合并桡骨头后脱位;III型:尺骨骨折合并桡骨头外侧脱位;IV型:尺桡骨双骨骨折合并桡骨头前脱位。其中Bado I型是儿童最常见的孟氏骨折类型,约占70%,Bado II型和Bado III型分别占5%和25%,Bado IV型是最罕见的孟氏骨折类型[6]。值得一提的是,由于关节脱位带来的活动受限以及尺骨的骨折带来的疼痛可能会导致患儿往往不能配合摆放标准体位,所以X片成像时前臂旋转状态也会对结果的判断产生影响。

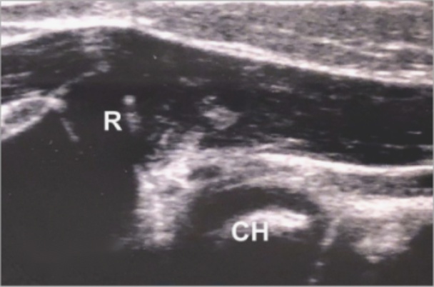
超声在儿童肘部损伤诊断中的作用已被多篇文献所证实,但目前尚无全面、规范的方法用于临床实践。在使用超声对孟氏骨折桡骨头脱位的病例中,评估肱桡关节是否有环状韧带卡入时,我们通常在肱桡关节前矢状位纵切面观察桡骨头相对于肱骨小头的位置变化,并在此测量肱桡间距;在肱桡关节前矢状位纵切面观察旋后肌与桡骨头的位置关系;在肱桡关节前矢状位纵切面观察环状韧带是否存在嵌顿[7]。当出现以下异常超声声像时,通常认为存在环状韧带卡压:(1) 环状韧带线性高回声图像消失(见图1(a)长箭头处);(2) 环状韧带和(或)旋后肌被卡压在肱桡关节内,呈现“J”型的低回声图像(见图1(b)小箭头处) [8];(3) 肱桡关节内,肱骨小头与桡骨之间的肱桡间距,与对侧相比增宽。

(a) (b)

Figure 1. Abnormal sonographic appearance of the anterior sagittal longitudinal planea

1. 前矢状位纵切面异常超声表现

还可以在前臂旋后位肱桡关节外侧冠状位纵切面观察桡骨头和肱骨小头的位置关系。在正常儿童肘关节的超声图像上,可以见到两个圆形的低回声隆起,我们将其称为“双峰征”(见图2(a))。肱桡关节对线正确的第二个标志是桡骨(凹面)和肱骨(凸面)的相应关节面处于同一平面上(见图2(b)箭头处),我们将其称为“一致性[9]”。在肱桡关节外侧冠状位纵切面的异常声像中,桡骨头与肱骨的正常位置关系丢失,两种征象均不可见(见图2(c)),此可作为环状韧带卡压进入肱桡关节的提示。

近年来有不少关于超声在肌骨关节方面应用的文献报道,其中包括在超声引导下闭合复位经皮使用克氏针治疗肱骨外髁骨折,此种方法与传统的X线引导下闭合复位相比,成功率更高,更精确,手术时间更短[10],也有超声引导下肘部注射治疗的报道[11]。超声可以作为一种简便快捷且无辐射的辅助检查方法,其具有动态、多角度监测的优势,对于那些难以复位或难以维持复位的人,超声可通过患侧与健侧的图像进行实时比较,判断孟氏骨折手法复位是否完全到位,或者判断环状韧带及其他软组织有无嵌入肱桡关节腔内,此法有效提高了闭合复位的成功率,避免骨折愈合恢复活动后肱桡关节再脱位。文献报道,超声诊断儿童尺骨骨折复位不全的敏感性和特异性均为100%。超声影像为儿童孟氏骨折脱位手法复位后的复位不全提供一种新的辅助诊断思路,帮助临床医生准确评估患儿的具体复位情况,以便早期采取正确的治疗,避免长期的不良结果。

(a) (b) (c)

Figure 2. Sonographic findings of the lateral coronal longitudinal section

2. 外侧冠状位纵切面超声表现

除了超声之外,CT的三维重建也常作为肘部和前臂畸形可视化的补充[12]

MRI作为一种没有电离辐射的安全检查方法,对于软组织具有清晰显像能力,将有助于异常环状韧带的发现,通常被用来评估环状韧带移位或断裂的损伤严重程度[13],也可以用来排除先天性桡骨头脱位[14],MRI在膝肩等关节中已经广泛用于判断各种韧带肌腱的异常病理,近年来在诊断关节病变上正日趋受到临床医生及放射科医生的青睐。在关节创伤疾病的诊断方面,MRI更具有其独特的优势,MRI的多参数成像、多层面及多方位扫描技术,使其具有很高的组织分辨力和软组织对比度,能清晰地显示骨和软组织的病变所在,还能较精确地描绘出病变的范围。可以看到尺桡侧副韧带损伤、屈肌腱损伤、关节囊积液等[15]。也有文章报道过,通过MRI影像发现肱二头肌肌腱、正中神经、桡神经、骨软骨骨碎片等穿插在关节间隙导致无法复位的情况[16] [17]

对于孟氏骨折,特别是在新鲜孟氏骨折手法复位后,复查X片提示肱桡关节对位稍似偏离或者未见明显脱位,但患儿仍伴有一定程度的肘关节活动受限,此种情况有可能是因为环状韧带仍然卡压在肱桡关节内,如若医生未做出正确的诊断,缺少了骨科干预,则有可能进展为陈旧性孟氏骨折。手法复位后的患儿,若存在肘关节活动受限,可再进行MRI检查可以清晰看到环状韧带是否完整在位,为下一步的治疗做出正确可靠的指示。

在对照MRI影像横断位,可见环绕桡骨头的环状韧带连续性完整,与桡骨头间充满高信号韧带下积液(见图3(a)图3(b)蓝箭头);在对照MRI影像冠状位(见图3(c)蓝箭头),可见关节腔内充满高信号的关节积液,积液内可见一明显低信号带状影,未见低信号影嵌入关节内,提示环状韧带连续性良好未嵌入肱桡关节内;在对照MRI影像矢状位(见图3(d)图3(e)蓝箭头),可见肘关节内有高信号的关节积液,关节间隙旁可见一低信号带状影,形状完整,连续性良好,并未嵌入关节间隙内。

放射学复位后,即复位后X片提示桡骨干轴线无明显偏离肱骨小头骨化中心,但患儿仍存在肘关节活动受限,此种情况即视为解剖学复位失败,其MRI影像表现为:横断位可见环状韧带局部变薄,与桡骨头之间可见高信号积液,韧带局部不再环绕桡骨头,与桡骨头交界处模糊(见图4(a)红箭头);冠状位可见环状韧带局部变薄,疑似连续性中断,脱套的环状韧带呈低信号,其上半部分卡压于肱桡关节间隙中,关节间隙内见带状液性高信号,关节周围可见软组织肿胀(见图4(b)红箭头);矢状位可更直观清晰的看到在关节间隙中的高信号关节积液衬托下,嵌入肱桡关节内的低信号环状韧带;除此之外也可见尺骨鹰嘴近端骨皮质信号不连续,断端间对位对线良好,整个左肘部周围肌肉均有广泛肿胀(见图4(c)红箭头)。

(a) (b) (c)

(d) (e)

Figure 3. MRI findings of the normal annular ligament

3. 正常环状韧带MRI表现

(a) (b) (c)

Figure 4. MRI findings of the abnormal annular ligament

4. 异常环状韧带MRI表现

4. 治疗

有研究对孟氏骨折患者的长期随访得出的结论是,闭合复位结合石膏固定通常是治疗急性孟氏骨折的有效方法[3]。但由于小儿桡骨头骨骺尚未骨化,患儿受伤情况未知时,X线可能仅能诊断尺骨骨折,桡骨头脱位往往被遗漏[4] [18] [19]。Chin等人提出了几种可能导致儿童急性孟氏骨折被忽视的原因:(1) 儿童肘部骨化中心随着年龄增长而依次出现,阻碍了医生对肱桡关节脱位或骨折的识别。此外,儿童尺骨的青枝骨折也很难发现;(2) 由于儿童在体格检查和放射检查中的不配合,导致医生对急诊时异常的体征和X片的识别能力下降;(3) 部分医生过于注重对尺骨骨折的手法复位和石膏固定,忽视了对肘关节的对位检查[20]。对于孟氏骨折来说,它是一种罕见且容易漏诊的骨折,要求医生及时准确的识别,因其损伤部位在肘关节,又要求患儿救治时得到稳定的解剖学复位。急性尺骨骨折的患儿,在有或没有对应体征时,我们都应该合理怀疑是否伴随有桡骨头脱位,桡骨头脱位易被X线或者体格检查漏诊,如有必要,需要与对侧肘关节进行比较。对于所有高度怀疑的就诊患儿,第一接诊医生应适当整复脱位的桡骨头,如遇到复位不确定的情况还可以进一步行CT或者MRI检查肱桡关节和环状韧带情况,只有正确的早期诊断和治疗,配合适当的康复手段,才可使儿童和青少年完全康复,无活动障碍,不遗留畸形[3]

5. 陈旧性孟氏骨折

因家长选择保守治疗或医生漏诊,从而缺少早期的骨科干预,导致16%~33% [21]的孟氏骨折病情迁延最终进展为陈旧性孟氏骨折。陈旧性孟氏骨折是一个相当棘手的小儿骨科疾病,其没有明确的定义标准,大多数学者认为的平均时间是在受伤后的4周仍然存在的桡骨头脱位[15],这种情况多伴有肘关节活动受限和外翻畸形、退行性关节炎、神经性瘫痪等[4] [18] [19] [22]。在病情进展过程中,包括血管和神经在内的其余组织也会被拉伸或包裹,进一步导致患儿会出现前臂运动功能障碍或者感觉异常[11] [22]。新鲜的孟氏骨折可以保守治疗,但漏诊导致的陈旧性孟氏骨折失去了手法复位保守治疗的机会,不得不面临手术问题,一般采用不同水平的尺骨截骨延长术伴或不伴环状韧带重建或修复术[10]。是否同时进行环状韧带重建修复术,应取决于术中对尺骨对线矫正后,桡骨头稳定性的评估,具体包括桡骨头复位后是否有再脱出倾向、受损时间、手术方式、重建后环状韧带的生物活性、张力调整的标准及前臂旋转功能等诸多因素。关于手术方式的选择以及治疗原则仍未有统一意见,即使采取适当的手术治疗,陈旧性孟氏骨折仍可出现多种并发症,一项有关于儿童陈旧性孟氏骨折手术方式的荟萃分析得出结论:以尺骨截骨延长术为主的术式并发症发生率低于以环状韧带重建术为主的术式,前者的术后并发症以尺骨畸形、神经损伤、骨筋膜室综合征为主,后者以复发性桡骨头脱位和关节僵硬为主[23]。有报道称,Bado III型陈旧性孟氏骨折具有较高的桡骨头脱位复发率[16];如若病情的延误时间超过6个月以上,术后桡骨头半脱位或脱位的风险也会显著增加,这可能与尺桡骨近端的严重增生性改变有关,因为缺乏关节的约束和复位,桡骨头会过度生长,使其与肱骨小头不一致,增生的桡骨切迹也会阻碍了桡骨头正确的解剖位置。此外,何种水平的尺骨截骨术术式的正确选择也是桡骨头最终能否复位的关键因素[9]。然而,与初次新鲜骨折的手术相比,陈旧性孟氏骨折手术所需要考虑的范围更大,要素更多,风险更高,所需要的康复时间更长,术后并发症也更多[24]。对待新鲜儿童前臂骨折,应通过临床查体与影像检查相结合认真排除,从根源防止形成陈旧孟氏骨折。

6. 讨论

相较于MRI与CT,超声具有无辐射、操作便捷、成本低廉、可床旁动态监测的优势,更适用于急诊初筛、复位过程引导及术后短期复查,适合在基层医疗机构及低龄患儿中开展;MRI虽成本较高,实施起来较超声也更复杂,但其对软组织损伤的精准显像能力,使其在判断复位后环状韧带是否嵌顿、排除神经血管卡压等复杂情况中具有不可替代的价值,更适用于X线诊断不明确或疑似复位效果不佳的病例,可有效避免漏诊误治带来的高风险手术及远期并发症,长期综合效益显著;CT三维重建虽能补充显示骨骼畸形,但因存在电离辐射且对软组织评估有限,仅作为特殊病例的辅助补充手段。

目前关于超声与MRI在儿童孟氏骨折中应用的研究仍存在显著局限性:第一,超声诊断缺乏统一标准化的扫查体位、切面选择及量化判断指标,超声医生的经验差异会导致诊断出现偏差,且目前相关研究多为小样本研究或病例分析,缺乏大样本多中心验证数据,其诊断效能的普适性有待进一步确认;第二,MRI在评估环状韧带损伤方面虽优势显著,但检查费用较高、扫描时间较长,对于骨折患儿或低年龄患儿的配合度要求较高,限制了其作为常规复查手段的应用;第三,现有研究多聚焦于影像诊断的实时准确性,缺乏关于超声或MRI指导治疗决策后的长期预后和远期疗效研究。

针对以上问题,笔者建议未来研究应重点聚焦以下方向:一是建立标准化的儿童肘关节超声扫查方案,明确统一的扫查切面(如肱桡关节前矢状位、外侧冠状位等)、测量指标(如肱桡间距正常参考值)及异常判定标准,通过多中心大样本研究验证其诊断一致性与准确性;二是开展超声与MRI在儿童孟氏骨折治疗指导中的前瞻性对照研究,比较两种技术对治疗决策的影响及患儿远期肘关节功能、并发症发生率等预后指标的差异;三是结合人工智能技术开发影像自动识别系统,辅助临床医生快速精准判断骨折及韧带损伤情况,进一步提升诊断效率与准确性。

7. 结语

近年来对孟氏骨折漏诊导致病情迁延形成陈旧性孟氏骨折这一现象有所重视,漏诊有所减少,但仍有遇到手法闭合复位后环状韧带卡压在肱桡关节间隙,导致尺骨骨折愈合活动后而桡骨头再脱位现象。这种情况在X片中很难准确判断,在X片看来肱桡关节是对位良好的,即放射学复位良好。但在更精准的超声或者MRI影像下看起来却有仍存在的解剖学复位缺失。虽然这种再脱位发生较少,但当前医疗环境下害怕漏诊的情绪广泛,也有医生对复位后位置是否完全到位,以及有无环状韧带嵌入肱桡关节间隙相当纠结,加上再脱位可能对患儿带来二次损伤甚至导致患儿面临不得不手术的地步。所以面对急性孟氏骨折的患儿,医生保持有适当的警惕性,将影像资料和体格检查相结合,在早期得出合理的诊断,依据诊断做出正确的外科干预,是防止疾病进展为陈旧性孟氏骨折的基石。

NOTES

*通讯作者。

参考文献

[1] Joeris, A., Lutz, N., Blumenthal, A., Slongo, T. and Audigé, L. (2017) The AO Pediatric Comprehensive Classification of Long Bone Fractures (PCCF). Acta Orthopaedica, 88, 123-128. [Google Scholar] [CrossRef] [PubMed]
[2] Ozturk, T., Erpala, F., Zengin, E.C., Gedikbas, M. and Eren, M.B. (2021) Surgical Treatment with Titanium Elastic Nail (TEN) for Failed Conservative Treatment of Acute Monteggia Lesions in Children. Journal of Pediatric Orthopaedics, 41, 597-603. [Google Scholar] [CrossRef] [PubMed]
[3] Maszke, M., Buchcic, P., Marciniak, M., Lebiedziński, R., Lipiński, Ł. and Grzegorzewski, A. (2022) Pediatric Monteggia Fracture Outcome Assessment—Preliminary Report. Ortopedia Traumatologia Rehabilitacja, 24, 79-86. [Google Scholar] [CrossRef] [PubMed]
[4] Liao, S., Pan, J., Lin, H., Xu, Y., Lu, R., Wu, J., et al. (2019) A New Approach for Surgical Treatment of Chronic Monteggia Fracture in Children. Injury, 50, 1237-1241. [Google Scholar] [CrossRef] [PubMed]
[5] Wang, Q., Du, M., Pei, X., Luo, J., Li, Y., Liu, Y., et al. (2019) External Fixator‐Assisted Ulnar Osteotomy: A Novel Technique to Treat Missed Monteggia Fracture in Children. Orthopaedic Surgery, 11, 102-108. [Google Scholar] [CrossRef] [PubMed]
[6] Stoll, T., Willis, R. and Paterson, D. (1992) Treatment of the Missed Monteggia Fracture in the Child. The Journal of Bone and Joint Surgery. British volume, 74, 436-440. [Google Scholar] [CrossRef] [PubMed]
[7] 许娜, 夏焙, 陶宏伟, 等. 桡骨小头半脱位的超声诊断及其临床意义[J]. 中国医学影像技术, 2017, 33(7): 1057-1060.
[8] Sohn, Y., Lee, Y., Oh, Y. and Lee, W. (2014) Sonographic Finding of a Pulled Elbow. Pediatric Emergency Care, 30, 919-921. [Google Scholar] [CrossRef] [PubMed]
[9] Cobanoglu, M., Şavk, Ş.O., Cullu, E. and Duygun, F. (2015) Ipsilateral Supracondylar Humerus Fracture and Monteggia Lesion with a 5-Year Follow-Up: A Rare Injury in a Young Girl. BMJ Case Reports, 2015, bcr2014206313. [Google Scholar] [CrossRef] [PubMed]
[10] Ramski, D.E., Hennrikus, W.P., Bae, D.S., Baldwin, K.D., Patel, N.M., Waters, P.M., et al. (2015) Pediatric Monteggia Fractures: A Multicenter Examination of Treatment Strategy and Early Clinical and Radiographic Results. Journal of Pediatric Orthopaedics, 35, 115-120. [Google Scholar] [CrossRef] [PubMed]
[11] Nishimura, M., Itsubo, T., Horii, E., Hayashi, M., Uchiyama, S. and Kato, H. (2016) Tardy Ulnar Nerve Palsy Caused by Chronic Radial Head Dislocation after Monteggia Fracture: A Report of Two Cases. Journal of Pediatric Orthopaedics B, 25, 450-453. [Google Scholar] [CrossRef] [PubMed]
[12] Rutkowski, P.T. and Samora, J.B. (2021) Congenital Radioulnar Synostosis. Journal of the American Academy of Orthopaedic Surgeons, 29, 563-570. [Google Scholar] [CrossRef] [PubMed]
[13] Kozin, S.H., Abzug, J.M., Safier, S. and Herman, M.J. (2015) Complications of Pediatric Elbow Dislocations and Monteggia Fracture-Dislocations. Instructional Course Lectures, 64, 493-498.
[14] Pari, C., Puzzo, A., Paderni, S. and Belluati, A. (2018) Annular Ligament Repair Using Allograft for the Treatment of Chronic Radial Head Dislocation: A Case Report. Acta Biomaterialia, 90, 154-157.
[15] 孙晓苑, 黄冉冉, 梁鹏, 等. 儿童桡骨头环状韧带损伤的MRI表现[J]. 中华放射学杂志, 2017, 51(10): 786-789.
[16] Aversano, F., Kepler, C.K., Blanco, J.S. and Green, D.W. (2011) Rare Cause of Block to Reduction after Radial Head Dislocation in Children. Journal of Orthopaedic Trauma, 25, e38-e41. [Google Scholar] [CrossRef] [PubMed]
[17] Tran, D.T., Vu, N.T., Nguyen, Q.T., Duong, T.D., Hoang, D.G., Dinh, S.N., et al. (2021) Irreducible Traumatic Radial Head Dislocation Due to Annular Ligament Interposition in a Child with Ulnar Plastic Deformation: A Case Report. Orthopaedic Surgery, 13, 1437-1442. [Google Scholar] [CrossRef] [PubMed]
[18] Soni, J.F., Valenza, W.R. and Pavelec, A.C. (2019) Chronic Monteggia. Current Opinion in Pediatrics, 31, 54-60. [Google Scholar] [CrossRef] [PubMed]
[19] Hubbard, J., Chauhan, A., Fitzgerald, R., Abrams, R., Mubarak, S. and Sangimino, M. (2018) Missed Pediatric Monteggia Fractures. JBJS Reviews, 6, e2-e2. [Google Scholar] [CrossRef] [PubMed]
[20] Storen, G. (1959) Traumatic Dislocation of the Radial Head as an Isolated Lesion in Children; Report of One Case with Special Regard to Roentgen Diagnosis. Acta Chirurgica Scandinavica, 116, 144-147.
[21] Huang, X., Liu, C., Jia, G., Yao, J. and Xu, J. (2024) Criteria of Ultrasound-Guided Closed Reduction with Percutaneous Pinning in Unstable Humeral Lateral Condylar Fractures: A Three-Center Retrospective Cohort Study. Frontiers in Pediatrics, 12, Article ID: 1373913. [Google Scholar] [CrossRef] [PubMed]
[22] Gleeson, A.P. and Beattie, T.F. (1994) Monteggia Fracture-Dislocation in Children. Emergency Medicine Journal, 11, 192-194. [Google Scholar] [CrossRef] [PubMed]
[23] Cao, S., Dong, Z., Liu, L., Wei, J., Luo, Z. and Peng, P. (2022) Missed Monteggia Fractures in Children Treated by Open Reduction of the Radial Head and Corrective Osteotomy of the Ulna. Scientific Reports, 12, Article 16819. [Google Scholar] [CrossRef] [PubMed]
[24] Cao, Y., Deng, J., Zhang, Y., Yuan, X., Liu, T., Li, J., et al. (2020) Clinical Effect of Manual Reduction of Humeroradial Joint in the Treatment of Type Ⅰ-Ⅲ Fresh Monteggia Fracture in Children. Chinese Journal of Traumatology, 23, 233-237. [Google Scholar] [CrossRef] [PubMed]