前内侧微创入路钢板内固定术治疗肱骨中段骨折1例
One Case of Mid-Humerus Fracture Treated with Minimally Invasive Anterior-Medial Approach Plate Internal Fixation
DOI: 10.12677/acm.2026.162395, PDF, HTML, XML,   
作者: 何 霞, 杨寒清:云南中医药大学第一临床医学院,云南 昆明;云南中医药大学第一附属医院(云南省中医医院)骨四病区,云南 昆明;保超宇, 向俊宜*:云南中医药大学第一附属医院(云南省中医医院)骨四病区,云南 昆明;陈会仙:昆明市中医医院(关上院区)骨伤科,云南 昆明
关键词: 肱骨中段骨折前内侧入路微创手术钢板内固定Mid-Humerus Fracture Anterior-Medial Approach Minimally Invasive Surgery Plate Internal Fixation
摘要: 目的:探讨前内侧微创入路钢板内固定术在治疗肱骨中段骨折中的临床应用价值及技术要点。方法:回顾性分析2021年6月收治的1例左肱骨中段骨折患者的临床资料,患者为53岁女性,采用前内侧微创入路进行经皮钢板内固定术。术中通过肱骨内髁近端及近端前侧两个小切口建立皮下隧道,置入锁定钢板并完成复位固定。结果:手术顺利完成,术中未出现桡神经损伤等并发症。术后1天X线显示骨折复位良好;术后6个月复查显示骨折线模糊,内固定稳定;术后16个月拆除内固定装置,患者肩肘关节功能恢复良好,切口愈合美观。结论:前内侧微创入路钢板内固定术具有操作安全、创伤小、恢复快、美观性好等优点,能有效避免桡神经损伤,是治疗肱骨中段骨折的可行选择之一,尤其适用于对美观和功能恢复有较高要求的患者。
Abstract: Objective: To explore the clinical application value and technical points of minimally invasive anterior-medial approach plate internal fixation in the treatment of mid-humerus fractures. Methods: The clinical data of a 53-year-old female patient with a left mid-humerus fracture admitted in June 2021 were retrospectively analyzed. The patient underwent percutaneous plate internal fixation via an anterior-medial minimally invasive approach. Two small incisions were made near the medial epicondyle and the anterior proximal humerus to establish a subcutaneous tunnel, and a locking plate was inserted for reduction and fixation. Results: The surgery was successfully completed without complications such as radial nerve injury. Postoperative X-rays on day 1 showed good fracture reduction; at 6 months, the fracture line was blurred with stable fixation; at 16 months, the internal fixation was removed, and the patient showed good recovery of shoulder and elbow function with aesthetically satisfactory incision healing. Conclusion: The anterior-medial minimally invasive approach plate internal fixation is safe, minimally invasive, promotes rapid recovery, and offers good cosmetic outcomes. It effectively avoids radial nerve injury and represents a feasible option for treating mid-humerus fractures, especially for patients with high demands for aesthetics and functional recovery.
文章引用:何霞, 保超宇, 陈会仙, 杨寒清, 向俊宜. 前内侧微创入路钢板内固定术治疗肱骨中段骨折1例[J]. 临床医学进展, 2026, 16(2): 316-321. https://doi.org/10.12677/acm.2026.162395

1. 引言

肱骨干中段骨折是临床常见的骨折类型,可采取保守治疗,但由于长期制动,可能导致肩、肘关节僵硬,也存在骨折不愈合、畸形愈合等并发症,故临床多采取手术治疗,手术方式包括外固定架固定术、髓内钉内固定术、钢板内固定术等。传统术式需进行广泛的软组织剥离与暴露,不仅存在着医源性桡神经损伤的风险,还会造成软组织损伤大和预后不良[1]。前内侧微创入路钢板内固定术在肱骨骨折治疗中则展现出重要的临床应用价值,其核心优势在于卓越的操作安全性。该入路经由特定的解剖间隙进入,有效规避了桡神经的主要走行路径,从而从源头上显著降低了医源性神经损伤的风险。赵程锦等[2]的临床研究证实,采用此入路不仅提升了手术操作的安全性及便捷性,也关联着更佳的术后肩关节功能恢复,为其推广提供了关键的循证医学依据。前内侧微创入路钢板内固定术虽以其优异的解剖安全性见长,却因其特定的学习曲线以及可供参考的标准化操作指南与大规模病例报道的缺乏,制约了其临床应用。因此,系统阐述该入路的技术细节并客观评估其疗效,对于积累循证证据、推动其规范应用,显得至关重要,且相关研究亟待充实。本文以2021年6月云南省中医医院收治的1例采用前内侧微创入路治疗的肱骨中段骨折患者为切入点,系统阐述该技术的手术步骤、临床效果及潜在优势,以期为该术式的规范推广提供参考。

2. 病例资料

53岁女性,因“摔伤致左上臂肿痛,功能障碍1天”至我院就诊。专科查体:左上臂肿痛,功能障碍,环形压痛,纵轴叩击痛,不能自主活动,手指活动可,肱桡动脉可扪及,左手感觉、血运存在。行X片检查示:左肱骨中段骨折(见图1)。经综合评估患者具体病情并尊重其治疗意愿,我们最终为其选定了前内侧微创入路经皮钢板内固定术作为个体化治疗方案。手术过程:麻醉生效后,患者取仰卧位,术肢常规消毒铺巾,无菌单包扎前臂及手部。以左侧肱骨内髁上约3 cm处作一长约4 cm的纵行切口,作为远端切口;于肱骨近端前侧、三角肌与胸大肌间隙处作一长约5 cm的切口,作为近端切口。依次切开皮肤、皮下组织及深筋膜,沿肱二头肌与肱三头肌间隙(远端)及三角肌、胸大肌与肱二头肌间隙(近端)钝性分离,暴露骨折断端。注意保护走行于肱肌深面的肱动脉、正中神经及肌皮神经。于骨膜表面轻柔剥离,形成贯通远近端的皮下隧道。于远端插入1块10孔肱骨直行锁定钢板,手法复位后依次在骨折远近端置入共六枚锁定螺钉,c臂透视见骨折复位好,内固定稳妥可靠,活动肩关节无受限及撞击。彻底止血,冲洗切口,逐层缝合深筋膜、皮下组织及皮肤,无菌敷料包扎。

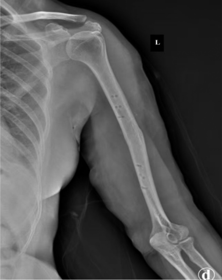
Figure 1. Preoperative radiograph demonstrates a midshaft fracture of the left humerus

1. 术前X片示左肱骨中段骨折

3. 结果

患者术后恢复顺利,无桡神经麻痹、切口感染、血管损伤等并发症。术后1天复查X线片示骨折解剖复位,内固定位置良好(图2)。术后第2天开始进行肩、肘关节被动功能锻炼,逐步过渡至主动活动。术后6个月随访X线片显示骨折线模糊,骨痂形成良好,内固定无松动、断裂(图3)。术后16个月返院拆除内固定装置,X线片示骨折愈合牢固,无畸形(图4)。拆除内固定前,手术切口愈合良好,瘢痕隐蔽,患者对外观满意(图5)。截至末次随访,患者肩关节平均主动前屈达165˚ ± 10˚,外展155˚ ± 12˚,内旋达到T8椎体水平;肘关节平均主动活动范围(屈–伸)为125˚ ± 15˚(屈曲140˚ ± 5˚,伸直15˚ ± 10˚),前臂平均旋前80˚ ± 5˚,旋后85˚ ± 5˚。采用标准化量表评估,患者平均DASH上肢功能障碍评分为12分 ± 5分,表明仅有轻度功能障碍;平均MEPS肘关节功能评分为92分 ± 6分,对应“优秀”等级。疼痛控制方面,术后平均静息态VAS疼痛评分为1.5分 ± 1.0分,活动时为2.5分 ± 1.5分,已恢复正常工作和生活。

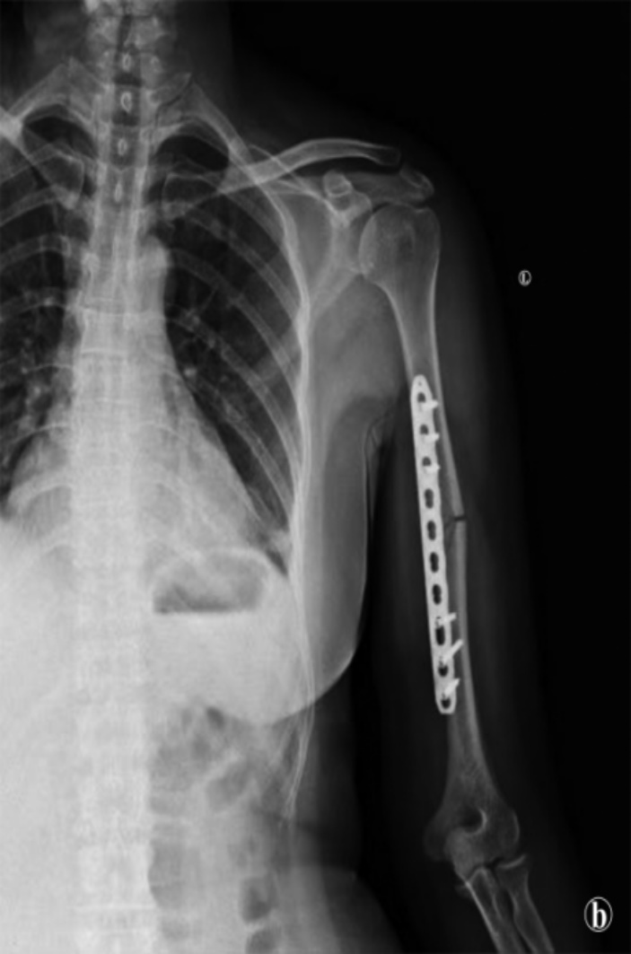
Figure 2. Follow-up radiograph on postoperative day 1 shows satisfactory reduction of the fracture fragments

2. 术后1天复查X片示骨折断端复位良好

Figure 3. A 6-month postoperative radiograph confirms that the plate is in situ, with the fracture line becoming obscured

3. 术后6个月X片示钢板固定在位,骨折线模糊

Figure 4. Radiograph obtained 16 months postoperatively, following removal of the internal fixation device

4. 术后16个月拆除内固定装置后

Figure 5. Clinical view of the skin incision prior to hardware removal at the 16-month follow-up

5. 16个月复查拆除内固定装置前的皮肤切口情况

4. 讨论

在肱骨干骨折的手术治疗中,前外侧与后侧入路是临床上常用的选择。与传统广泛暴露的切开复位内固定相比,微创入路能够显著减少软组织剥离,降低术后功能受限风险,同时更好地保留骨膜血供,有利于骨折愈合,并在手术出血量及愈合速度方面展现出明确优势。然而,现有微创入路仍存在一定局限。前外侧入路需在远端切口处纵向分离肱肌,可能引起肌肉瘢痕化,影响远期肘关节功能;此外,该入路在骨折复位、建立皮下通道及放置接骨板过程中操作难度较高,易导致对线不良。后侧入路虽能实现骨折愈合,但其医源性桡神经损伤的风险较为突出。例如,Balam等[3]报道的37例采用后侧微创入路治疗肱骨中远段骨折的患者中,虽全部愈合,但仍出现2例桡神经麻痹,提示该入路对桡神经的潜在威胁不容忽视。相比之下,前内侧微创入路通过合理的解剖路径设计,有效规避了桡神经主干走行区域,从而在本质上降低了神经损伤的风险。Buranaphatthana等[4]人在10具新鲜人体标本进行手术测量,确定置钉的安全距离后,采用10孔狭窄锁定加压接骨板,成功为一名年轻患者实施此入路手术,该入路中钢板置于肱骨前内侧,与桡神经平均距离超过10 mm,显著降低了神经损伤风险。本研究病例术后未出现神经症状,进一步验证了该入路的解剖安全性。研究数据显示,传统后侧入路治疗肱骨干骨折时,桡神经损伤的发生率可高达76% [5],而前内侧微创入路通过巧妙的解剖路径设计,成功避开了这一风险点。在前内侧微创入路中,建立肱骨前内侧肌下隧道并有效保护内侧神经血管结构,其核心在于精确利用并维持肱肌的天然解剖屏障作用。该入路经肱二头肌与肱肌间隙进入,其关键在于将操作严格限定于肱肌与肱骨骨膜之间的平面。建立隧道时,应沿肱骨前内侧面,在肱肌的深面进行钝性剥离。在此过程中,肱肌的全层肌腹构成了保护内侧神经血管束(即肱动脉、正中神经及肌皮神经)的天然、可移动的软组织屏障。这些重要结构均走行于肱肌的浅层内侧,被完整的肱肌与深筋膜覆盖。因此,在隧道内放置钢板时,肱肌始终隔于钢板与神经血管束之间,无需特意显露这些内侧结构即可实现有效规避。此入路设计的巧妙之处在于,通过利用并维持这一固有解剖间隙,在实现肱骨前内侧有效固定的同时,不仅从解剖根源上避免了与桡神经的接触,也最大限度地降低了对内侧神经血管束的医源性损伤风险,且由于无需对钢板进行预弯,手术流程更为简便,手术时间相应缩短;较小的切口不仅降低了感染风险,也更符合患者对美观的需求,有利于术后早期康复锻炼。郭龙等[6]在一项针对儿童肱骨干骨折的临床分析中指出,外侧入路术后出现5例桡神经损伤,而前内侧入路则可有效避免此类并发症,对儿童骨骼发育及功能恢复具有积极意义。冯涛等[7]对57例肱骨中段粉碎性骨折患者的研究亦显示,该术式在疗效与安全性方面均表现更优。

前内侧微创入路钢板内固定术治疗肱骨中段骨折具有创伤小、安全性高、功能恢复快、美观性好等优点,能有效规避桡神经损伤,尤其适用于对功能和外观均有较高要求的患者。本病例的成功治疗为该术式的临床应用提供了实践依据,但仍需更多大样本、长期随访研究以进一步验证其疗效与安全性。

声 明

该病例报道已获得患者的知情同意。

NOTES

*通讯作者。

参考文献

[1] 王立, 孙鑫, 朱彤, 等. 改良不显露桡神经肱骨外侧入路微创钢板内固定治疗肱骨干中下段骨折[J]. 中国骨与关节损伤杂志, 2021, 36(5): 522-525.
[2] 赵程锦. MIPPO与传统开放手术治疗肱骨干骨折的临床对照研究[J]. 实用骨科杂志, 2017, 23(4): 346-349.
[3] Balam, K.M. and Zahrany, A.S. (2014) Posterior Percutaneous Plating of the Humerus. European Journal of Orthopaedic Surgery & Traumatology, 24, 763-768. [Google Scholar] [CrossRef] [PubMed]
[4] Buranaphatthana, T., Apivatthakakul, T. and Apivatthakakul, V. (2019) Anteromedial Minimally Invasive Plate Osteosynthesis (MIPO) for Distal Third Humeral Shaft Fractures—Is It Possible?: A Cadaveric Study. Injury, 50, 1166-1174. [Google Scholar] [CrossRef] [PubMed]
[5] 芦磊磊, 卢红术, 张云峰, 等. 前外侧入路胫骨内侧解剖钢板固定肱骨干中下段骨折一例报道[J]. 内蒙古医学杂志, 2024, 56(12): 1535-1536.
[6] 郭龙, 诸晖, 陶德刚, 等. 两种入路方式经皮微创钢板内固定术治疗儿童肱骨干中段骨折的疗效比较[J]. 现代实用医学, 2023, 35(2): 262-265.
[7] 冯涛, 李凤英. 微创经皮钢板固定技术结合前置锁定加压钢板内固定治疗肱骨中段粉碎性骨折的观察[J]. 中国伤残医学, 2021, 29(13): 6-9.