内镜下治疗支气管平滑肌瘤一例并文献复习
Endoscopic Treatment of Bronchial Leiomyoma: A Case Report and Literature Review
DOI: 10.12677/acrpo.2026.151001, PDF, HTML, XML,   
作者: 王 迪*:济宁医学院临床医学院,山东 济宁;苗健龙#:济宁市第一人民医院呼吸与危重症医学科,山东 济宁
关键词: 支气管镜检查原发性支气管平滑肌瘤病理特征治疗及预后Bronchoscopy Primary Bronchial Leiomyoma Pathological Character Treatment and Prognosis
摘要: 原发性支气管平滑肌瘤是一种良性的气道肿瘤。该疾病较为罕见,特征包括起病隐匿、临床表现缺乏特异性、病情进展缓慢,以及较高的误诊率。本文报告一例在我院接受治疗的原发性支气管平滑肌瘤病例,并结合该病例,系统分析其临床表现、影像学特征、诊断方法及治疗策略,旨在提升对该病的临床认识与诊疗水平。
Abstract: Primary bronchial leiomyoma is a benign airway tumor. This rare disease is characterized by an insidious onset, nonspecific clinical manifestations, slow progression, and a high rate of misdiagnosis. We report a case of primary bronchial leiomyoma managed at our institution. This case report analyzes the clinical presentation, imaging features, diagnostic methods, and treatment strategies for primary bronchial leiomyoma to improve recognition and management of this condition.
文章引用:王迪, 苗健龙. 内镜下治疗支气管平滑肌瘤一例并文献复习[J]. 亚洲肿瘤科病例研究, 2026, 15(1): 1-6. https://doi.org/10.12677/acrpo.2026.151001

1. 引言

原发性支气管平滑肌瘤是一种极为少见的良性肿瘤,占所有气管肿瘤的1% [1],病例报告并不多见,其诊疗尚未有相关诊治的指南,本次报告就1例原发性支气管平滑肌瘤的病例进行报告,以期为临床诊治提供参考。

2. 临床资料

2.1. 病史

患者女,54岁,既往身体健康,无高血压、冠心病、糖尿病、脑血管病史,2025年2月5日因“发现右主支气管内占位4天”收治于济宁市第一人民医院呼吸与危重症医学科。患者2025年2月1日因“肩部不适”就诊于我院,完善胸部CT示右主气管内占位,偶有咳嗽,咳痰,院外未治疗,为进一步明确诊断入住我科。

2.2. 体格检查

T:36.6℃,P:81次/分,R:20次/分,BP:115/83 mmHg。患者神志清楚,精神可。锁骨上及颈部淋巴结未触及肿大,胸廓无畸形,双侧胸廓活动度均等一致,双肺叩诊清音,双肺呼吸音粗,未闻及干湿性啰音,心前区无异常隆起,无震颤,心界大小正常,HR:81次/分,心律规整,无病理性杂音,双下肢无水肿。

2.3. 辅助检查及诊疗经过

入院后2025年2月7日行胸部CT增强扫描检查提示:胸廓对称,纵隔气管居中。双肺纹理增多,右主支气管内见结节状高密度灶,边缘清楚,直径约1.1 cm,增强扫描两期CT值分别为31 Hu、63 Hu,强化程度不均匀;余段及段以上支气管通畅;双肺见少许索条影。双肺见多个直径小于5 mm实性小结节影。双肺门不大。纵隔内未见明显增大淋巴结。双侧胸腔未见积液。双侧胸膜未见增厚(见图1)。于2025年2月7日在全麻下行电子支气管镜检查示右主远端近上叶开口处可见一新生物堵塞管腔(见图2)。新生物予以径向超声探查,未见明显血管征象,予以电圈套器套取新生物,予以电切切除,右主远端支气管通畅。结束退镜;过程顺利,患者无不良反应;检查结束后患者心率70次/分,血氧饱和度98%,血压110/70 mmhg安返复苏室。常规病理活检肉眼见:右主支气管内新生物:灰白色组织1块,大小约1.5 × 1.3 × 0.6 cm,切面灰白色,质稍韧。病理诊断:(右主支气管内新生物)平滑肌瘤(见图3)。免疫组化结果:瘤细胞示SMA (+),Desmin (+),CD34 (−),HMB45 (−),H-Caldesmon (+),CD117 (−),Melan A (−),Ki67 (+)约1%。结合形态学特点和免疫组化检查,病理诊断为原发性支气管平滑肌瘤。于2025年2月9日好转出院。术后3月对患者进行电话随访,诉当地医院复查胸部CT未见肿瘤复发,一般状况良好。

Figure 1. Axial contrast-enhanced chest CT scan demonstrates a well-defined nodular hyperdense lesion (arrow), approximately 1.1 cm in diameter, within the right main bronchus. The lesion exhibits heterogeneous enhancement with CT values of 31 HU and 63 HU in biphasic contrast-enhanced phases. All segmental and higher-order bronchi remain patent

1. 轴向对比增强胸部CT扫描显示,右主支气管内可见一界限清楚的结节状高密度病灶(箭头所示),直径约1.1厘米。该病灶在双期增强扫描期呈不均匀强化,CT值分别为31 HU和63 HU。所有段级及更高级支气管均保持通畅

Figure 2. Fiberoptic bronchoscopy identified a neoplastic lesion obstructing the lumen adjacent to the orifice of the upper lobe at the distal end of the right main bronchus. Radial ultrasound evaluation of the lesion revealed no significant vascular signals. The lesion was subsequently captured with an electrocautery snare and resected via electrocautery. Gross examination of the routine pathological biopsy specimen demonstrated a grayish-white tissue mass within the right main bronchus, measuring approximately 1.5 × 1.3 × 0.6 cm, with a grayish-white cut surface and a slightly firm consistency

2. 纤维支气管镜检查发现右主支气管远端上叶开口附近管腔内有一新生物堵塞。病灶径向超声评估未探及明显血管信号。随后使用电凝圈套器抓取病灶并予电凝切除。常规病理活检标本肉眼观察可见右主支气管内灰白色组织肿块,大小约1.5 × 1.3 × 0.6厘米,切面呈灰白色,质地稍韧

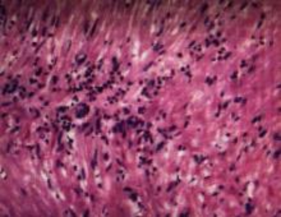
Figure 3. Histopathological examination (H&E staining, 200×) of the endobronchial neoplasm shows fascicles of spindle-shaped smooth muscle cells consistent with leiomyoma

3. 该支气管内肿瘤的组织病理学检查(苏木精–伊红染色,200×)显示梭形平滑肌细胞呈束状排列,符合平滑肌瘤表现

3. 讨论

原发性支气管平滑肌瘤是一种罕见的良性肿瘤,占所有气管肿瘤的1%,起源于支气管壁和肺间质的平滑肌细胞或血管壁的平滑肌,通常位于支气管黏膜下层[1]。也有相关文献报道平滑肌瘤通常与子宫有关,肺平滑肌瘤很少见,疾病表现存在广泛的异质性[2]。原发性支气管平滑肌瘤属于间叶性肿瘤,通常生长缓慢,且多为单发。其病因尚不明确,可能与遗传因素、环境因素或慢性炎症反应有关。支气管平滑肌瘤大多好发于中青年人,男女发病率无明显差异[3]

临床表现取决于肿瘤的位置和大小,早期无明显临床症状,中晚期症状学基于管腔内支气管阻塞的程度[2]。该肿瘤是一种良性肿瘤,生长缓慢,大多数数月甚至更久才出现症状,当肿瘤部分或者完全阻塞管腔时,可能会出现咳嗽、喘息、呼吸急促或胸痛等临床表现,但一般不会危及患者生命[4]。本例患者无明显临床表现,因“肩部不适”就诊行胸部CT时发现右主支气管内占位。

影像学检查对于诊断原发性支气管平滑肌瘤具有一定的价值,胸部X线可能显示支气管内或周围的肿块,但较小的肿瘤可能不易发现,常导致肿瘤诊治延误[5]。胸部CT是诊断原发性支气管平滑肌瘤的主要的影像学检查手段,对检测肿块的灵敏度几乎为100%,但并不具有特异性。可清晰显示肿瘤的位置、大小、形态及与周围组织的关系[6]。典型表现为支气管内或支气管壁的软组织密度影,边界清晰,增强扫描后可能显示均匀强化,然而,这些特征与平滑肌肉瘤、脂肪瘤和神经源性肿瘤相同。

该病患者的支气管镜检查可直接观察肿瘤的位置、大小、形态及表面特征(如是否光滑,有无出血等)。通过支气管镜获取肿瘤组织进行病理学活检,以明确组织学诊断[7]。文献报道原发性支气管平滑肌瘤的瘤体多为宽基底,个别有短蒂,瘤体表面富有新生的血管,质地较韧,大体病理特征呈淡粉色或灰白色,表面光滑,组织病理学特征表现为:肿瘤由分化良好的平滑肌细胞组成,细胞核呈梭形,排列成束状,无核分裂象或细胞异型性,可与平滑肌肉瘤鉴别[8]

目前来看,原发性支气管平滑肌瘤的治疗以手术切除为主,具体方法取决于肿瘤的位置和大小。近年来,随着支气管镜介入治疗的进展,此种创伤小、恢复快、并发症少的方法已逐渐成为气管支气管平滑肌瘤的重要治疗手段[9]。目前主张瘤体较小或带蒂的气管支气管平滑肌瘤均可在支气管镜下直接摘除或经支气管镜激光、微波治疗[10]。研究表明通过支气管镜介入治疗能够保持手术术野清楚,可以充分暴露肿瘤根部再进行烧灼残留蒂部组织,其对气管及其周围正常组织损伤小且安全还有利于止血,以达到保护气管壁、彻底去除病变减少复发的目的。本例患者通过支气管镜下介入治疗完全切除肿瘤,持续随访中,未见复发。

综上所述,原发性支气管平滑肌瘤是一种罕见的气道肿瘤,临床表现并不具有特异型,通常通过影像学检查发现,支气管镜下可以观察肿瘤并行组织活检,通过组织病理学检查确诊,瘤体较小或带蒂的肿瘤可通过支气管镜下介入治疗,较大或侵犯肺实质的肿瘤通过手术切除,激光或冷冻治疗可以减少出血和肿瘤复发。该病切除后复发率较低,目前暂无明确的具体数据,需定期复查胸部CT及气管镜检查进行随访。系统回顾了近10年来支气管/气管平滑肌瘤内镜治疗的相关病例报告,并对其诊治特点进行了归纳与比较(表1)。该病整体预后良好,此患者出院后持续随访中,一般状况可,未见复发迹象。

Table 1. Characteristics of endoscopic treatment for bronchial/tracheal leiomyoma: A 10-year case series summary

1. 近10年支气管/气管平滑肌瘤内镜治疗病例特征总结

病例来源(年份)

肿瘤大小(cm)

肿瘤位置

内镜治疗方法

并发症

复发率 (随访时间)

特点

本病例(2025)

~1.1

右主支气管

R-EBUS检查 + 电灼套扎切除

0% (文中未明确时长)

1. 术前使用R-EBUS明确无丰富血管,提升了操作安全性。2. 使用套扎器完整切除,方法高效。

Nakamura et al. (2015) [1]

1.5

气管下段

电灼套扎切除

0% (6个月)

早期应用电灼套扎治疗气管平滑肌瘤的成功案例。

Abu-Hishmeh et al. (2020) [4]

1.8

右肺上叶 支气管

冷冻活检 + APC

0% (3个月)

报道了罕见的外周型肺平滑肌瘤通过支气管镜诊断与治疗。

Cárdenas-García et al. (2014) [5]

1.5

左主支气管

硬质支气管镜 + 激光切除

术中少量 出血

0% (6个月)

使用了硬质支气管镜通道,适用于较大或血供丰富的肿瘤。

Miller et al. (2013) [8]

0.5~2.0

主支气管/ 叶支气管

氩等离子体凝固(APC)或高频 电圈套

轻度出血 (可控)

0% (平均12个月)

比较了APC与电圈套在良性支气管肿瘤中的应用。

Zhang & Ma (2022) [10]

1.0

气管性支气管(变异)

高频电圈套切除

0% (12个月)

病例特殊在于肿瘤位于解剖变异的“气管性支气管”内。

文献综合特点

多为1~2 cm

主支气管 常见

以高频电圈套、APC、激光为主

总体较低,主要为轻度出血

极低(短期随访)

治疗趋势:微创内镜介入已成为一线治疗选择。

声 明

该病例报道已获得病人的知情同意。

NOTES

*第一作者。

#通讯作者。

参考文献

[1] Nakamura, Y., Hata, Y., Koezuka, S., Makino, T., Otsuka, H., Sato, F., et al. (2015) Tracheal Leiomyoma Resected with Endobronchial Electrocautery Snare. Journal of Bronchology & Interventional Pulmonology, 22, 90-93. [Google Scholar] [CrossRef] [PubMed]
[2] Arleo, E.K., Schwartz, P.E., Hui, P. and McCarthy, S. (2015) Review of Leiomyoma Variants. American Journal of Roentgenology, 205, 912-921. [Google Scholar] [CrossRef] [PubMed]
[3] 刘长浩, 朱佳, 孟庆显, 等. 肺、支气管平滑肌瘤的外科治疗[J]. 实用肿瘤学杂志, 2005(3): 226-227.
[4] Abu-Hishmeh, M., Kobbari, G., Shakil, F. and Epelbaum, O. (2020) Primary Pulmonary Leiomyoma: A First for Peripheral Diagnostic Bronchoscopy? Journal of Bronchology & Interventional Pulmonology, 27, e54-e56. [Google Scholar] [CrossRef] [PubMed]
[5] Cárdenas-García, J., Lee-Chang, A., Chung, V., Shim, C., Factor, S. and Tibb, A. (2014) Bronchial Leiomyoma, a Case Report and Review of Literature. Respiratory Medicine Case Reports, 12, 59-62. [Google Scholar] [CrossRef] [PubMed]
[6] Douzinas, M., Sheppard, M. and Lennox, S. (1989) Leiomyoma of the Trachea—An Unusual Tumour. The Thoracic and Cardiovascular Surgeon, 37, 285-287. [Google Scholar] [CrossRef] [PubMed]
[7] 刘戬, 祖德贵, 邓茂松, 等. 气管主支气管原发平滑肌瘤的MSCT表现[J]. CT理论与应用研究, 2017, 26(4): 489-496.
[8] Miller, S.M., Bellinger, C.R. and Chatterjee, A. (2013) Argon Plasma Coagulation and Electrosurgery for Benign Endobronchial Tumors. Journal of Bronchology & Interventional Pulmonology, 20, 38-40. [Google Scholar] [CrossRef] [PubMed]
[9] 卢丽, 丁东, 帅智闯. 长期误诊为哮喘的气管平滑肌瘤一例并文献复习[J]. 中国呼吸与危重监护杂志, 2011, 10(2): 186-187.
[10] Zhang, Y. and Ma, H. (2022) The Right Apical Tracheal Bronchus with Bronchial Leiomyoma: A Case Report. Medicine, 101, e29181. [Google Scholar] [CrossRef] [PubMed]