以继发性前列腺肿瘤为首发表现的浆细胞样 尿路上皮癌:诊断误区与文献回顾
Plasmacytoid Urothelial Carcinoma with Initial Presentation as a Secondary Prostatic Tumor: Diagnostic Pitfalls and Literature Review
DOI: 10.12677/acm.2026.162511, PDF, HTML, XML,   
作者: 李丰锦, 刘武豪, 周杰东:赣南医科大学第一临床医学院,江西 赣州;伍耿青*:赣南医科大学第一临床医学院,江西 赣州;赣南医科大学第一附属医院泌尿外科,江西 赣州
关键词: 浆细胞样尿路上皮癌前列腺诊断Plasmacytoid Urothelial Carcinoma Prostate Diagnosis
摘要: 背景:浆细胞样尿路上皮癌是一种罕见且侵袭性强的尿路上皮癌组织学亚型,常因形态学特征与其他恶性肿瘤相似而被误诊。其累及前列腺的继发性表现极为罕见,这给诊断带来了挑战。病例报告:本文报告一例58岁男性浆细胞样尿路上皮癌患者,其临床表现以前列腺肿块为主。初次活检提示为低分化癌,考虑原发性前列腺癌可能。免疫组化检测显示GATA3和CD138阳性,但PSA和PSAP阴性,证实为尿路上皮来源。影像学检查显示膀胱颈及前列腺弥漫性浸润。患者接受了根治性膀胱前列腺切除术并辅以化疗。讨论:本病例凸显了浆细胞样尿路上皮癌与高级别前列腺癌鉴别诊断中的误区,并强调了免疫组化分析对准确诊断的重要性。通过回顾2010至2024年间发表的病例,总结其临床病理特征、影像学表现及治疗结果。早期识别该变异型可避免误诊并改善预后评估。结论:浆细胞样尿路上皮癌侵袭前列腺首发表现可与原发性前列腺癌相似。病理学家和泌尿外科医师需充分认识其独特的免疫组化模式和影像学特征。将组织病理学与影像学及临床数据相结合,可确保准确诊断并优化治疗决策。
Abstract: Background: Plasmacytoid urothelial carcinoma (PUC) is a rare and highly aggressive histological variant of urothelial carcinoma, often misdiagnosed due to its morphological similarity to other malignancies. Its secondary presentation involving the prostate is exceedingly rare, posing significant diagnostic challenges. Case Report: This report describes a 58-year-old male with PUC whose primary clinical manifestation was a prostatic mass. Initial biopsy suggested a poorly differentiated carcinoma, raising suspicion for primary prostatic adenocarcinoma. Immunohistochemical analysis revealed positivity for GATA3 and CD138, but negativity for PSA and PSAP, confirming a urothelial origin. Imaging studies demonstrated diffuse infiltration of the bladder neck and prostate. The patient underwent radical cystoprostatectomy followed by adjuvant chemotherapy. Discussion: This case highlights the diagnostic pitfalls in distinguishing PUC from high-grade prostate cancer and emphasizes the critical role of immunohistochemical analysis for accurate diagnosis. By reviewing cases published between 2010 and 2024, we summarize their clinicopathological features, imaging findings, and treatment outcomes. Early recognition of this variant can prevent misdiagnosis and improve prognostic assessment. Conclusion: PUC presenting with primary prostatic involvement can mimic primary prostate cancer. Pathologists and urologists must be aware of its distinctive immunohistochemical profile and imaging characteristics. Integrating histopathology with imaging and clinical data ensures accurate diagnosis and optimizes treatment decision-making.
文章引用:李丰锦, 刘武豪, 周杰东, 伍耿青. 以继发性前列腺肿瘤为首发表现的浆细胞样 尿路上皮癌:诊断误区与文献回顾[J]. 临床医学进展, 2026, 16(2): 1264-1269. https://doi.org/10.12677/acm.2026.162511

1. 引言

浆细胞样尿路上皮癌(Plasmacytoid Urothelial Carcinoma, PUC)是尿路上皮癌的一种罕见组织学亚型,占所有膀胱癌病例的不足3% [1]。该疾病由Sahin等学者于1991年首次描述,并于2004年获得世界卫生组织官方认可。PUC好发于老年男性,中位年龄约63岁,其生长模式呈弥漫浸润性而非形成明确肿块[2]。由于细胞黏附性低且转移潜能高,该病常在腹膜或器官播散的晚期阶段才被确诊。常见转移部位包括肺、肠、骶骨及腹膜腔,偶见微小淋巴结转移[3]。PUC的临床表现取决于转移部位:当累及前列腺时,其表现可能与原发性前列腺癌或淋巴瘤相似,导致诊断困难。目前仅有少数文献报道PUC最初表现为继发性前列腺肿瘤。为了系统总结PUC累及前列腺这一罕见表现的临床特征,本研究通过检索PubMed、Web of Science等数据库,以“浆细胞样尿路上皮癌”、“前列腺侵犯”、“诊断”、“Plasmacytoid Urothelial Carcinoma”、“Prostate”、“Diagnosis”等为关键词,对2010年1月至2024年12月期间发表的病例报告与系列研究进行了回顾。检索共识别出符合条件(明确描述PUC以前列腺肿块为主要或首发临床表现)的文献5篇。其核心特征总结于表1。此外,报道一例膀胱源性PUC累及前列腺的罕见病例,旨在提高临床医师和病理学家对该疾病的认知。

Table 1. Summary of case characteristics for plasmacytoid urothelial carcinoma (PUC) presenting as initial manifestation with secondary prostate involvement

1. 以继发性前列腺受累为首发表现的浆细胞样尿路上皮癌(PUC)个案特征总结

作者

(年份)

病例数

中位 年龄

(范围)

首发症状

PSA 水平

关键免疫组化特征

(支持PUC诊断)

主要治疗方案

报告时生存期/结局

Dayyani, F., et al. (2013) [4]

1

65岁

排尿困难,肛指检异常

正常

CK7+, CK20+, GATA3+; PSA−

新辅助化疗后RC

诊断后14个月死亡

Li, Q., et al. (2017) [5]

1

68岁

血尿,排尿梗阻

均正常

GATA3+, p63+; PSA−, PSAP−

RC

诊断后生存12个月

Woo, S., et al. (2021) [1]

1

74岁

前列腺增大(影像学发现)

正常

GATA3+, CD138+; PSA−

RC + 辅助化疗

无瘤生存8个月后失访

Asano, Y., et al. (2022) [3]

1 (尸检)

78岁

全身状况恶化,生前未确诊

正常

尸检证实为PUC广泛转移

支持治疗

诊断前死亡

Yasmin, A., et al. (2024) [2]

1

70岁

急性尿潴留

轻度 升高

CK20+, CD138+; PSA−, NKX3.1−

TURBT后化疗

诊断后6个月带瘤生存

本例(2024)

1

58岁

无痛性肉眼血尿

正常

GATA3+, CD138+, CK5/6+, CK20+, p63+; PSA−, PSAP−, NKX3.1−

RC + 辅助化疗(GC方案)

术后无瘤生存6个月(随访中)

注:PSA:前列腺特异性抗原;RC:根治性膀胱前列腺切除术;TURBT:经尿道膀胱肿瘤切除术。

通过对上述有限病例的分析,可获得以下初步印象:此类患者血清PSA水平通常正常或仅轻度升高,这与原发性前列腺癌显著不同,是重要的临床鉴别点。诊断完全依赖于免疫组化,需结合尿路上皮标志物(如GATA3、p63、CK5/6)阳性和前列腺标志物(PSA、PSAP、NKX3.1)阴性来确诊。根治性膀胱前列腺切除术是局限期疾病的主要治疗选择,但总体预后较差,强调早期识别和多学科诊疗的重要性。

2. 病例报告

患者男性,58岁,因无痛性肉眼血尿三天就诊。否认排尿困难、尿频或腰痛。体格检查除轻度耻骨上压痛外无特殊发现。实验室检查显示总前列腺特异性抗原(PSA)为1.95 ng/ml,游离PSA为0.31 ng/ml (游离/总PSA比值为0.16)。

3. 诊断流程与发现

为明确血尿原因及评估盆腔情况,患者接受了影像学检查。经直肠超声检查提示前列腺增大,回声不均,可见数个低回声结节;同时发现膀胱壁不规则增厚,内见可疑肿块。盆腔磁共振成像(MRI)进一步证实了以上发现,显示右前列腺叶有一大小约40 × 29 mm的低信号病灶,增强后明显强化;膀胱前壁另见一约24 × 10 mm的结节性病灶。

鉴于影像学提示前列腺存在占位性病变,随即行超声引导下前列腺穿刺活检。病理学检查提示为低分化癌,肿瘤细胞弥漫排列,核偏位,胞浆嗜酸性,呈现典型的浆细胞样形态学特征,初步疑诊为浆细胞样尿路上皮癌(PUC)。考虑到膀胱内亦存在病灶,且前列腺肿瘤可能为转移性,为明确肿瘤原发部位,进一步行CT尿路造影及膀胱镜检查。CT显示膀胱三角区有一不规则、强化的软组织肿块(大小约38 × 27 mm),并明确延伸侵犯至前列腺。膀胱镜下直视可见三角区菜花样肿瘤。

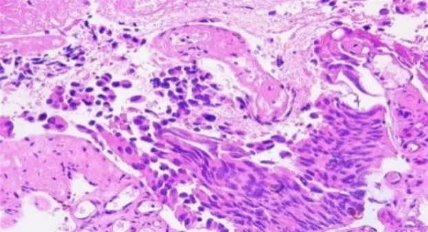
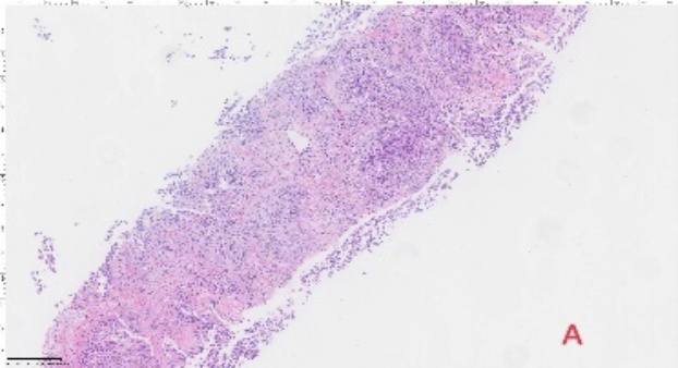
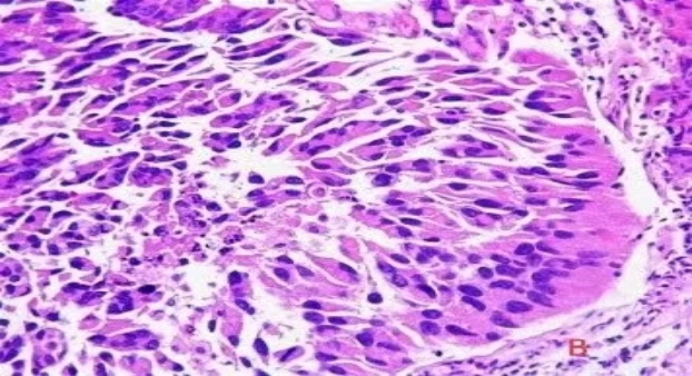
随后,患者接受了经尿道膀胱肿瘤切除术(Transurethral Resection of Bladder Tumour, TURBT)。将前列腺穿刺活检标本与TURBT标本一同送至病理科进行系统评估和免疫组织化学分析。组织病理学(图1(A)~(C))均证实为伴有显著浆细胞样分化的浸润性尿路上皮癌。免疫组织化学结果显示:肿瘤细胞表达CK5/6、CK20、GATA-3、P504s、P63、CD138及P53 (突变型),而PSA、PSAP、NKX3.1等前列腺特异性标志物均为阴性(图1(D)~(I))。Ki-67增殖指数高达约50%。这些结果共同确诊为膀胱三角区来源的浆细胞样尿路上皮癌,并继发性侵犯前列腺。

4. 治疗与结局

明确诊断后,经多学科团队讨论,为求根治,患者接受了腹腔镜根治性膀胱前列腺切除术、全尿道切除术及回肠通道尿流改道术。术后大体标本如图2所示。最终病理报告证实PUC广泛浸润前列腺及膀胱壁全层,但所有手术切缘均为阴性。患者术后恢复顺利,于术后第12天出院。

(A)为前列腺活检H&E染色;(B)和(C)为膀胱肿瘤H&E染色,(D)、(E)、(F)、(G)、(H)和(I)分别为PSA、CD138、CK20、GATA3、P53和P63的免疫组化染色。

Figure 1. Pathology and immunohistochemistry

1. 病理与免疫组化

Figure 2. Postoperative bladder and prostate specimens

2. 术后膀胱和前列腺标本

术后为降低复发风险,给予了辅助化疗,方案为吉西他滨联合顺铂(GC方案)。患者目前已完成2个周期化疗,耐受性良好。截至本次报告撰写时,患者术后已无瘤生存6个月,正在我院接受严密的长期随访(计划每3个月进行影像学及临床评估)。

5. 讨论

PUC是尿路上皮癌的一种侵袭性变异型,其特征为具有浆细胞样形态的黏附性差的细胞。E-钙黏蛋白介导的细胞黏附丧失导致了其弥漫性浸润和腹膜播散[6]。与经典型尿路上皮癌相比,PUC表现出更高的膀胱外侵犯率和更差的生存率。在本病例中,肿瘤主要表现为前列腺受累,造成了诊断困境。PSA和PSAP阴性排除了原发性前列腺癌。本病例的诊断核心依赖于精准的免疫组化分析。GATA3和p63 (及高分子量角蛋白如CK5/6)阳性是支持尿路上皮来源的强有力证据。值得注意的是,CD138在PUC中常呈阳性,这与其浆细胞样形态相符,但CD138亦是浆细胞肿瘤的标志物,因此其单独阳性具有误导性,必须结合上皮性标志物(如CK)进行解读[7] [8]。本病例PSA、PSAP、NKX3.1等前列腺标志物为阴性,有效地排除了高级别前列腺癌。此外,E-钙黏蛋白(E-Cadherin)的表达缺失是PUC的特征性分子事件之一,尽管本例未检测,但其导致的细胞黏附功能障碍与肿瘤的弥漫浸润性生长模式密切相关[9]。既往报告描述了类似的模拟前列腺或直肠恶性肿瘤的表现,强调了组织病理学和免疫组织化学在诊断中的价值。有相关报道显示PUC中位总生存期仅为16个月[10],也有相关研究发现虽然PUC可能对化疗敏感,但通常进展迅速[4]。对于局限性病变,根治性膀胱切除术仍是主要治疗方法,全身化疗(吉西他滨–顺铂)则用于晚期阶段[5]。因此,早期识别和积极治疗对于改善预后至关重要。

6. 鉴别诊断

本例表现为前列腺肿块,需与以下疾病鉴别:1) 高级别/低分化前列腺癌:其典型标志物(PSA、PSAP、NKX3.1)阳性而尿路上皮标志物阴性,可资鉴别。少数前列腺癌可呈“假尿路上皮”样,但GATA3通常阴性[11]。2) 淋巴造血系统肿瘤:特别是淋巴瘤或浆细胞瘤。PUC的弥漫性生长和浆细胞样形态极易与之混淆。鉴别需依赖淋巴细胞共同抗原(LCA)、B细胞(CD20)、T细胞(CD3)标志物以及浆细胞标志物(如MUM1、CD138)和κ/λ轻链限制性表达分析。本例上皮性标志物(CK)阳性,不支持淋巴造血来源[12]。3) 其他部位转移性癌:具有浆细胞样特征的胃癌、乳腺癌等转移至前列腺极为罕见,需结合临床病史、全身影像学及更广泛的免疫组化谱(如胃癌:CK7+/CK20+/−;乳腺癌:GATA3+/ER+等)进行排除[13]

7. 结论

浆细胞样尿路上皮癌是一种罕见且高度侵袭性的变异型,侵袭前列腺后首发表现可与原发性前列腺癌相似。全面的影像学检查、膀胱镜检查和免疫组织化学分析对于准确诊断至关重要。若为局限性病变,建议早期进行根治性膀胱前列腺切除术。同时,提高对该疾病的认识有助于防止误诊。

声 明

该病例报道已获得病人的知情同意。

利益冲突

作者声明无利益冲突。

NOTES

*通讯作者。

参考文献

[1] Woo, S., Ghafoor, S., Das, J.P., Gangai, N., Goh, A.C. and Vargas, H.A. (2022) Plasmacytoid Urothelial Carcinoma of the Bladder: MRI Features and Their Association with Survival. Urologic Oncology: Seminars and Original Investigations, 40, 108.e1-108.e10. [Google Scholar] [CrossRef] [PubMed]
[2] Yasmin, A., Waheed, M., Jamil, M.A., Imran, M. and Majeed, M.A. (2024) A Plasmacytoid Variant of Urothelial Carcinoma: A Rare Entity. Cureus, 16, e67436. [Google Scholar] [CrossRef] [PubMed]
[3] Asano, Y., Miyai, K., Yoshimatsu, S., Sasaki, M., Ikewaki, K. and Matsukuma, S. (2022) Clinically Undetected Plasmacytoid Urothelial Carcinoma of the Urinary Bladder with Non-Mass-Forming Metastases in Multiple Organs: An Autopsy Case. Journal of Pathology and Translational Medicine, 56, 217-224. [Google Scholar] [CrossRef] [PubMed]
[4] Dayyani, F., Czerniak, B.A., Sircar, K., Munsell, M.F., Millikan, R.E., Dinney, C.P., et al. (2013) Plasmacytoid Urothelial Carcinoma, a Chemosensitive Cancer with Poor Prognosis, and Peritoneal Carcinomatosis. Journal of Urology, 189, 1656-1661. [Google Scholar] [CrossRef] [PubMed]
[5] Li, Q., Assel, M., Benfante, N.E., Pietzak, E.J., Herr, H.W., Donat, M., et al. (2019) The Impact of Plasmacytoid Variant Histology on the Survival of Patients with Urothelial Carcinoma of Bladder after Radical Cystectomy. European Urology Focus, 5, 104-108. [Google Scholar] [CrossRef] [PubMed]
[6] Acosta, A.M., Barletta, J., Sonpavde, G., Schnitt, S. and Hirsch, M.S. (2020) P-120 Catenin Is a Useful Diagnostic Biomarker for Distinguishing Plasmacytoid and Sarcomatoid Variants from Conventional Urothelial Carcinoma. Archives of Pathology & Laboratory Medicine, 145, 1000-1008. [Google Scholar] [CrossRef] [PubMed]
[7] Kossaï, M., Radulescu, C., Adam, J., Dziegielewski, A., Signolle, N., Sibony, M., et al. (2022) Plasmacytoid Urothelial Carcinoma (UC) Are Luminal Tumors with Similar CD8+ Tcell Density and PD-L1 Protein Expression on Immune Cells as Compared to Conventional Uc. Urologic Oncology: Seminars and Original Investigations, 40, 12.e1-12.e11. [Google Scholar] [CrossRef] [PubMed]
[8] Paner, G.P., Annaiah, C., Gulmann, C., Rao, P., Ro, J.Y., Hansel, D.E., et al. (2014) Immunohistochemical Evaluation of Novel and Traditional Markers Associated with Urothelial Differentiation in a Spectrum of Variants of Urothelial Carcinoma of the Urinary Bladder. Human Pathology, 45, 1473-1482. [Google Scholar] [CrossRef] [PubMed]
[9] Mendonsa, A.M., Na, T. and Gumbiner, B.M. (2018) E-Cadherin in Contact Inhibition and Cancer. Oncogene, 37, 4769-4780. [Google Scholar] [CrossRef] [PubMed]
[10] Kim, D.K., Kim, J.W., Ro, J.Y., Lee, H.S., Park, J., Ahn, H.K., et al. (2020) Plasmacytoid Variant Urothelial Carcinoma of the Bladder: A Systematic Review and Meta-Analysis of Clinicopathological Features and Survival Outcomes. Journal of Urology, 204, 215-223. [Google Scholar] [CrossRef] [PubMed]
[11] Oh, W.J., Chung, A.M., Kim, J.S., Han, J.H., Hong, S.H., Lee, J.Y., et al. (2016) Differential Immunohistochemical Profiles for Distinguishing Prostate Carcinoma and Urothelial Carcinoma. Journal of Pathology and Translational Medicine, 50, 345-354. [Google Scholar] [CrossRef] [PubMed]
[12] Pan, Z., Chen, M., Zhang, Q., Wang, E., Yin, L., Xu, Y., et al. (2018) CD3-Positive Plasmablastic B-Cell Neoplasms: A Diagnostic Pitfall. Modern Pathology, 31, 718-731. [Google Scholar] [CrossRef] [PubMed]
[13] Hui, Y., Wang, Y., Nam, G., Fanion, J., Sturtevant, A., Lombardo, K.A., et al. (2018) Differentiating Breast Carcinoma with Signet Ring Features from Gastrointestinal Signet Ring Carcinoma: Assessment of Immunohistochemical Markers. Human Pathology, 77, 11-19. [Google Scholar] [CrossRef] [PubMed]