鹅异种板层角膜移植应用价值的回顾
A Review of the Application Value of Goose Xenogenic Lamellar Keratoplasty
DOI: 10.12677/hjo.2026.151001, PDF, HTML, XML,   
作者: 王洪峰, 王恩荣*:松原市中心医院眼科,吉林 松原
关键词: 异种板层角膜移植价值Goose Xenogenic Lamellar Keratoplasty Value
摘要: 目的:探讨患有严重角膜感染疾病的患者施行鹅异种板层角膜移植的临床应用价值。方法:鹅角膜片的制作:按摘除尸体眼球的方法,无菌操作下摘取健康活鹅眼球,先用等渗盐水冲洗,再用1:2000单位庆大霉素溶液冲洗,将鹅眼球角膜朝上,下方用无菌纱布垫好,盛放于1:2000单位庆大霉素溶液的器皿里,在手术时根据植床大小、形状钻取或剪取全层鹅角膜,刮掉内皮即可使用。结果:移植片的转归:10例中,术后1个月~1年植片透明愈合1例,半透明4例,混浊3例,植片脱落2例。随访5~8年植片半透明4例,混浊6例(其中植片有新生血管2例,脱落2例包括在内)。视力:10例中,出院时视力较术前提高3行以上或从眼前手动、指数提高到0.1以上者3例,无变化7例;随访4个月~8年视力提高3行以上或从眼前手动、指数提高到0.1以上者3例,无变化6例,有1例植片由透明变成混浊,视力由出院时0.5下降到眼前手动。结论:鹅异种板层角膜移植属治疗性板层角膜移植,主要用于治疗感染性角膜病,良性肿瘤等,在治疗久治不愈时,尤其对角膜濒临穿孔或己穿孔的病人更有价值。
Abstract: Objective: To explore the clinical application value of goose xenogenic lamellar keratoplasty in patients with severe corneal infections. Methods: Preparation of goose corneal grafts: Healthy live goose eyeballs were harvested under sterile conditions using the method of cadaver eyeball removal. The corneas were first rinsed with isotonic saline and then flushed with a gentamicin solution (1:2000 units). The corneas were positioned upward, supported below with sterile gauze, and placed in a container containing the gentamicin solution (1:2000 units). During surgery, full-thickness goose corneal grafts were excised or cut according to the size and shape of the recipient bed, and the endothelium was scraped off before use. Results: Graft outcomes: Among 10 cases, one graft achieved transparent healing within 1 month to 1 year postoperatively, four grafts were semi-transparent, three grafts were opaque, and two grafts were lost. During follow-up (5~8 years), four grafts remained semi-transparent, while six grafts became opaque (including two cases with neovascularization and two cases of graft loss). Visual Acuity: Among the 10 cases, three patients showed improved vision by three or more lines from preoperative levels or from manual counting to 0.1 or above at discharge, while seven patients showed no change. During follow-up (4 months to 8 years), three patients achieved improved vision by three or more lines or from manual counting to 0.1 or above, while six patients showed no change. One graft transitioned from transparent to opaque, and the patient’s vision declined from 0.5 at discharge to manual counting. Conclusion: Goose xenogenic lamellar keratoplasty is a therapeutic form of lamellar corneal transplantation primarily used to treat infectious keratitis and benign tumors. It holds particular value in cases of refractory conditions, especially for patients with corneal perforation or impending perforation.
文章引用:王洪峰, 王恩荣. 鹅异种板层角膜移植应用价值的回顾[J]. 眼科学, 2026, 15(1): 1-9. https://doi.org/10.12677/hjo.2026.151001

1. 前言

本研究是一项回顾性病例系列报告(该研究是在现代伦理审查规范建立之前的历史条件下进行的), 总结了1981年至1988年间对10例(10眼)患有严重角膜疾病的患者施行鹅异种板层角膜移植的临床应用价值。研究的主要目的并非恢复视力(光学移植),而是作为一种治疗性(或称“治疗性板层”)手术,用于处理化脓性角膜溃疡、匐行性角膜溃瘍、蚕蚀性角膜溃疡、粥样角膜溃疡及角膜皮样瘤等药物治疗无效、濒临或已发生角膜穿孔的病例。

本研究详细描述了从健康活鹅获取角膜、进行无菌处理以及根据患者植床大小制作移植片的手术方法。结果显示,术后短期(1~12个月)随访发现1例植片透明,4例半透明,3例混浊,2例脱落。长期(5~8年)随访发现4例半透明,6例混浊。视力方面,30%的患者视力有显著改善,60%无变化,10%恶化。结论认为,鹅板层角膜移植作为一种异种治疗性手术,在挽救因严重感染或结构破坏而濒临摘除的眼球方面具有重要价值,尤其是在人类供体角膜极度匮乏的年代和地区。

2. 一般资料

回顾1981年7月至1988年10月鹅板层角膜移植共10例10只眼。其中男4例,女6例;年龄最小20岁,最大73岁。

2.1. 病种

化脓性角膜溃疡2例,匐行性角膜溃疡3例,蚕蚀性角膜溃疡3例,粥样角膜溃疡1例和角膜皮样瘤1例。

2.2. 病程

除角膜皮样瘤外,病程15天~3个月。

2.3. 病变范围、深度与植片大小、形状

角膜溃疡2例,1例植片圆形直径11 mm,深度达后弹力层,另1例植片圆形直径6 mm,深度1/2角膜厚度;匐行性角膜溃疡3例植片均为圆形,直径分别为4.5 mm、6 mm、6 mm,深度分别为1/2、3/4、1/2、角膜厚度;蚕蚀性角膜溃疡3例,1例植片马蹄形宽5 mm,1例植片圆形直径6 mm,1例植片半月形宽5 mm,深度分别为1/2、1/2、3/4角膜厚度;粥样角膜溃疡1例植片圆形直径5.5 mm,深度3/4角膜厚度;角膜皮样瘤1例,植片圆形直径6 mm。

3. 方法

3.1. 鹅角膜的摘取和处理

10例均采用健康活鹅,雌性9只。雄性1只。用75%酒精消毒鹅头部的羽毛,用小孔无菌洞巾遮盖,戴无菌手套,剪开睑裂后,用视神经剪(或弯剪刀)穿破球结膜插入球后,稍张开剪刀,向上掘起使眼球脱出眶外,剪断视神经、眼外肌、筋膜和球结膜,即摘得眼球。先用生理盐水冲洗,再用1:2000单位庆大霉素溶液冲洗,将鹅角膜朝上,下方用灭菌纱布垫好,盛放于1:2000单位庆大霉素溶液的器皿里,即可送手术室备用。要2只鹅眼球同时摘除处理,一旦发生意外,另只可备用。

3.2. 手术方法和术后处理

在手术显微镜下(或用手术扩大镜),彻底切除病变组织,做好植床,用划界的环钻钻取全层鹅角膜后刮掉内皮层,或用角膜剪剪取整个鹅角膜刮掉内皮层。再按切除病变后植床的形状和大小做成鹅角膜移植片,用9个0单丝尼龙线间断加连续缝合固定移植片。结膜下注入庆大霉素和氟美松,压迫绷带包扎一周。每天更换敷料,涂1%阿托品眼膏和四环素可的松眼膏。口服地塞米松,一周拆除间断缝线,1~2个月拆除连续缝线。

4. 结果

移植片的转归;10例中,术后1个月~1年植片透明愈合1例,半透明4例,混浊3例,植片脱落2例。随访5~8年植片半透明4例,混浊6例(其中植片有新生血管2例,脱落2例包括在内)。视力:10例中,出院时视力较术前提高3行以上或从眼前手动、指数提高到0.1以上者3例,无变化7例;随访4个月~8年视力提高3行以上或从眼前手动、指数提高到0.1以上者3例,无变化6例,有1例植片由透明变成混浊,视力由出院时0.5下降到眼前手动(见附录部分病例彩色图片)。

5. 讨论

5.1. 我国禽类异种板层角膜移植的情况

角膜病是当今我国仅次于白内障的第二大致盲眼病。据世界卫生组织统计,全世界有6000万角膜病患者,我国约有400万名“角膜盲”患者,并且每年新增10万患者,但每年仅有5000患者可获得角膜移植,主要是角膜供体缺乏,是一个亟待解决的难题。因我国素有保尸习惯,使移植用供体角膜来源非常困境,如何寻有效的代替物用于角膜移植成为当务之急。

异种角膜移植可解决角膜供体缺乏一种办法,眼科专家相继用动物:鸡、鸭、鹅、猪、牛、羊等角膜进行角膜移植。在我国1964年孙信孚[1]用犬的新鲜角膜治疗6例再发性角膜疱疹,全部获得治愈。陈宗蕊[2]用鸡角膜1978年王鸣琴[3]用公鸡角膜给患者进行异种板层角膜移植12例、13只眼,1980年赵聚良[4]用鹅角膜进行异种板层角膜移植4例,获得成功。

5.2. 禽类异种板层角膜移植排斥反应性低

人眼对禽类角膜排斥性低,较易获得透明或半透明愈合。日本小暮文雄氏等[4]通过动物试验和电镜观察证明,人和鸡、鹅的角膜所以能愈合而且透明,是因各种动物有不同的腺溶酵素及腺溶能,能促成组织间的密接。这是异种板层角膜移植容易愈合透明的原因之一。

赵聚良[4]椐电镜下观察,鸡、鹅角膜实质层的胶原纤维和固定细胞的排列一般呈波状并有网眼状现象,固定细胞的周围有一定的营养通路,又有阿米巴样运动,这有利于角膜的营养,是透明愈合的良好条件。人的基底细胞膜是致密的;鸡、鹅的基底细胞膜的组织是稀疏的,因此使人和鸡、鹅角板层愈着成为可能。

5.3. 化脓性角膜溃疡

遇到此类患者,应立即做细菌培养和药敏试验,同时做真菌涂片检查或真菌培养;若为真菌性角膜溃疡,禁忌作板层角膜移植,对细菌性角膜溃疡面积大,炎症反应剧烈,不宜作穿透性角膜移植,因为这样做了术后反应重,植片内皮续发性损伤也严重,常常招致手术失败,还是彻底切除溃烂的病变,作板层角膜移植为宜。

5.4. 匐行性角膜溃疡与并发角膜穿孔的处理

匐行性角膜溃疡是一种常见的急性化脓性角膜溃疡,因病变向中央匐行扩展,故名。常伴有前房积脓,又称前房积脓性角膜溃疡。对匐行性角膜溃疡用药物很难控制发展时,就应毫不姑息地彻底切除溃烂的病变,及时作板层角膜移植,即使前房积脓较多,因属反应性,术后在敏感抗生素治疗下48小时内可吸收。如果发生角膜穿孔或后弹力层膨出时,过去多采用结膜掩盖治疗。W∙Behens-Baumann主张[5]:首先用大剂量抗生素,如不见好转,新生血管还不断增加,就应立即进行角膜移植术。我们主张角膜已经穿孔应及时作板层角膜移植,因为长期等待,会不断地发生新生血管,使移植片透明愈合率明显减低。本组有3例发生后弹力层膨出时,没有等待就立即做了急症板层角膜移植,有2例争得了半透明愈合,其中1例视力由术前手动,出院时提高到0.1,随访8个月时视力0.3。其余1例植片混浊愈合,但都防止了角膜穿孔,并治愈了角膜溃疡。

后弹力层膨出或已穿孔病例的植床剖切,要求手术者要有较高的精湛的手术技巧,剖切时要尽量避开膨隆区或穿孔处,全部用锐利的刀片或刮脸刀片,先从相对健康角膜开始逐渐剖切,最后完成后弹力层膨出区或穿孔区,最好不用虹膜恢复器作钝性分离,因为过分的牵拉动作易使膨隆区后弹力层穿破或穿孔区扩大撕裂。为了剖切顺利,我们术前都给予20%甘露醇250 mL静脉注射,以降低眼压。术后服用醋氮酰胺,减轻眼内压对板层移植片的作用,减少术后并发症的发生。

5.5. 蚕蚀性角膜溃疡

又称Mooren氏溃疡,是一种不罕见的角膜周边部慢性匐行性溃疡,顽固而又痛苦,至今病因不明,尚无特效疗法,目前多数人认为[6]:蚕蚀性角膜溃疡应在手术显微镜下彻底切除病变组织后行板层角膜移植,同时切除溃疡周围球结膜较为有效,但文献报告复发率较高;我们体会术后复发的主要原因是病灶切除不彻底,或者范围小,或者深度不够,在手术显微镜下可以达到彻底干净,用锋利刀片或刮脸刀片平行前进,耐心细致剖切,倾斜太大易穿破角膜;用虹膜恢复器作钝性分离因过度牵拉也容易穿破角膜。本组3例蚕蚀性角膜溃疡随访观察8个月~8年均没复发。

5.6. 粥样角膜溃疡

粥样角膜溃疡(ACU)是发生在陈旧性角膜白斑表面的顽固性溃疡,治疗较困难,易穿孔,甚至丧失眼球。在临床上往往被忽视,尤其有些病人由于角膜水肿,使瘢痕和浸润难以辨别,常误诊为一般化脓性角膜溃疡,而延误治疗时机。所以,对顽固性角膜溃疡病人,除详细询问过去角膜病史外,还要认真地做裂隙灯显微镜检查,瘢痕内有否黄色颗粒或块状的玻璃样变性,或白色界不整齐的钙化点。对伴有睫状充血的角膜瘢痕要做荧光素染色,注意瘢痕部溃疡形成。按一般角膜溃疡治疗方法处理粥样角膜溃疡,疗效不显著,过去多因全眼球炎而摘除眼球。目前认为;唯一有效的方法是及早作板层角膜移植术,因为板层角膜移植不但把坏死的瘢痕组织彻底切除,中断溃疡的发展,若移植片透明愈合,还可争得保存一定视力,即使混浊愈合,也可保留眼球,争得再次手术机会。

5.7. 角膜皮样瘤

角膜皮样瘤必须早期切除,其他疗法无效。由于皮样瘤基底变薄,甚至会有部分缺如,所以,切除肿瘤时,应小心谨慎,以防眼球穿孔。同时为避免切除肿瘤后下面组织向前膨出,最好于切除后作板层角膜移植;如本组病例张X军皮样瘤侵犯角膜较为广泛,切除后作板层角膜移植,不仅防止了瘤下组织向前膨出和术后形成较大较厚的瘢痕,还提高了视力,本组1例随访8年植片半透明,视力保持1.0。

致 谢

本文承蒙白求恩医大二院眼科黄秀贞副主任医师协助病理诊断,特表谢意。

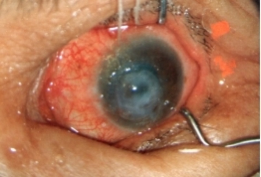
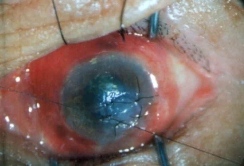
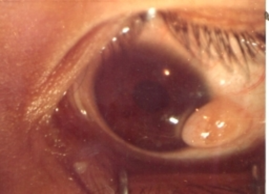
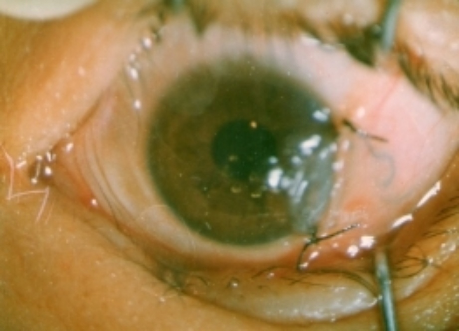
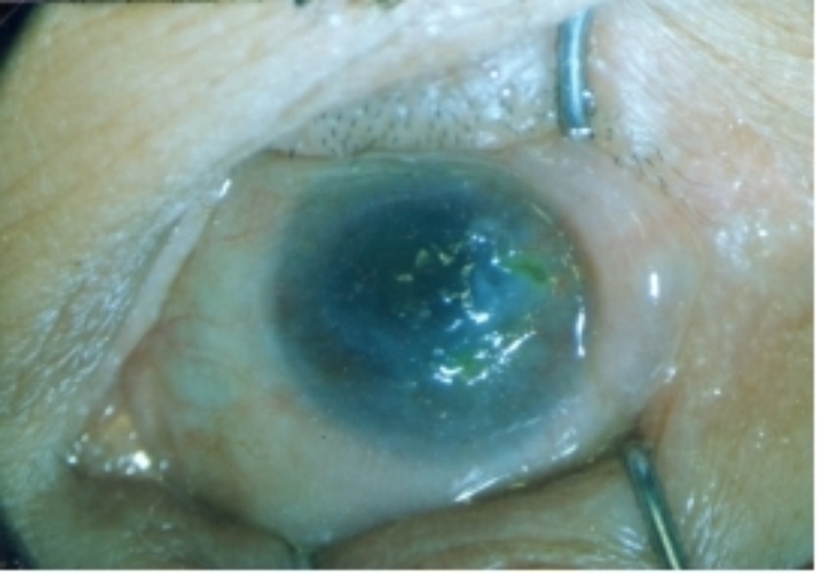
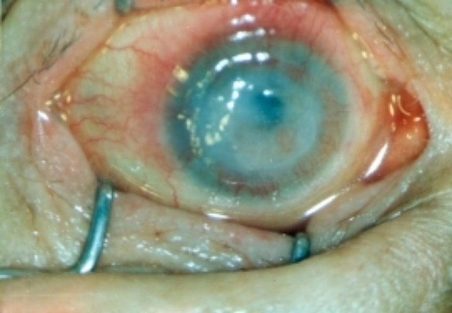
附 录

鹅角膜板层移植部分病例

第一例

第二例

第三例

第四例

第五例

第六例

NOTES

*通讯作者。

参考文献

[1] 孙信孚. 用马和牛的新鲜角膜做异种板层角膜移植[J]. 医学文摘(眼科学), 1964, 1(1): 31.
[2] 陈宗蕊. 异种角膜移植[J]. 医学文摘(眼科学), 1964, 1(3): 94-95.
[3] 王鸣琴. 公鸡角膜在临床上的应用——异种极层角膜移植术[J]. 角膜病杂志, 1980, 1(1): 11-15.
[4] 王恩荣, 赵聚良. 异种板层角膜移植四例报告[J]. 吉林医学, 1980(S1): 43-45.
[5] 王守敬, 等. 角膜移植术[M]. 西安: 陕西科技出版社, 1980: 72.
[6] 杨德旺, 主编. 眼科治疗学[M]. 北京: 人民出版社, 1983: 412.