以Sweet综合征起病的急性髓系白血病伴DEK::CAN融合基因阳性报道并文献复习
A Case Report of Acute Myeloid Leukemia with DEK::CAN Fusion Gene Positivity Presenting as Sweet Syndrome and Review of the Literature
DOI: 10.12677/acm.2026.162540, PDF, HTML, XML,   
作者: 曲倩倩, 刘玉秀, 杨 珊, 孙青菊*:中国人民解放军海军第九七一医院检验科,山东 青岛
关键词: Sweet综合征急性髓系白血病重现性遗传学异常Sweet Syndrome Acute Myeloid Leukemia Recurrent Genetic Abnormalities
摘要: 目的:提高对血液病患者并发Sweet综合征的认识,及时正确的诊断,以降低误诊、漏诊率。方法:回顾性分析我院血液科就诊的以Sweet综合征起病的急性髓系白血病患者的临床资料,并进行相关文献复习。结果:患者,女,18岁,以Sweet综合征为首要临床表现,后通过骨髓形态、流式细胞术、基因、染色体等MICM综合诊断,最终确诊为伴融合基因DEK::CAN阳性的急性髓系白血病。结论:Sweet综合征是一种皮肤病,多继发于其他疾病,尤其是血液系统疾病,提高对血液系统疾病伴Sweet的认识,有利于临床及早地发现血液病患者,并对其尽早干预,以改善患者的预后,提高患者的生存质量。
Abstract: Objective: To enhance the recognition of Sweet syndrome in patients with hematological diseases, achieve timely and accurate diagnosis, and reduce the misdiagnosis rate. Methods: The clinical data of a patient with acute myeloid leukemia presenting initially with Sweet syndrome, treated at the Hematology Department of our hospital, were retrospectively analyzed, and relevant literature was reviewed. Results: The patient, an 18-year-old female, initially presented with Sweet syndrome as the primary clinical manifestation. Subsequent comprehensive diagnosis using MICM (morphology, immunology, cytogenetics, and molecular biology) methods, including bone marrow morphology, flow cytometry, genetic testing, and chromosomal analysis, ultimately led to the diagnosis of acute myeloid leukemia with the fusion gene DEK::CAN positivity. Conclusion: Sweet syndrome is a dermatological condition that often secondary to other diseases, particularly hematological disorders. Enhancing awareness of Sweet syndrome associated with hematological diseases facilitates early detection of hematological patients in clinical practice, enables earlier intervention, and contributes to improving patient prognosis and quality of life.
文章引用:曲倩倩, 刘玉秀, 杨珊, 孙青菊. 以Sweet综合征起病的急性髓系白血病伴DEK::CAN融合基因阳性报道并文献复习[J]. 临床医学进展, 2026, 16(2): 1514-1520. https://doi.org/10.12677/acm.2026.162540

1. 引言

Sweet综合征(SS) [1]又称为急性发热嗜中性皮病,是临床上一种少见、复发性的皮肤病,由Robert Sweet于1964年首次提出,本病以急性发热和疼痛性皮肤红色斑块、丘疹、结节为主要临床表现,同时伴有非特异性呼吸道和胃肠道感染。皮肤病变通常累及上肢、面颈部,较少累及躯干、背部和黏膜表面。急性髓系白血病(AML)是一种获得性和(或)遗传异常引起的造血干细胞和祖细胞的克隆性疾病,根据其生物学特点又分为不同的亚型,而AML伴DEK::CAN融合基因就是其中一种少见的类型,WHO 2022和ICC造血与淋巴组织肿瘤分类均将其列为伴有重现性遗传学异常的一个独立亚型。临床上以SS综合征起病的AML虽有报道,但结合特定遗传学异常的病例罕见。本研究报道了一例以Sweet综合征起病的AML伴DEK::CAN融合基因的病例,以提高对本病的认识,避免临床漏诊误诊。

2. 病例资料

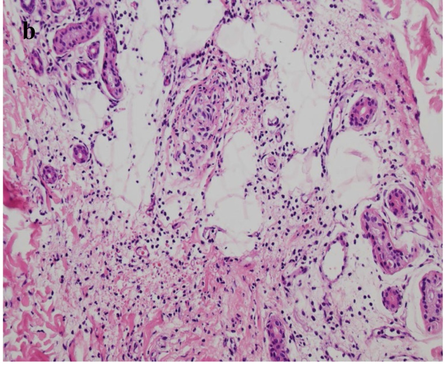
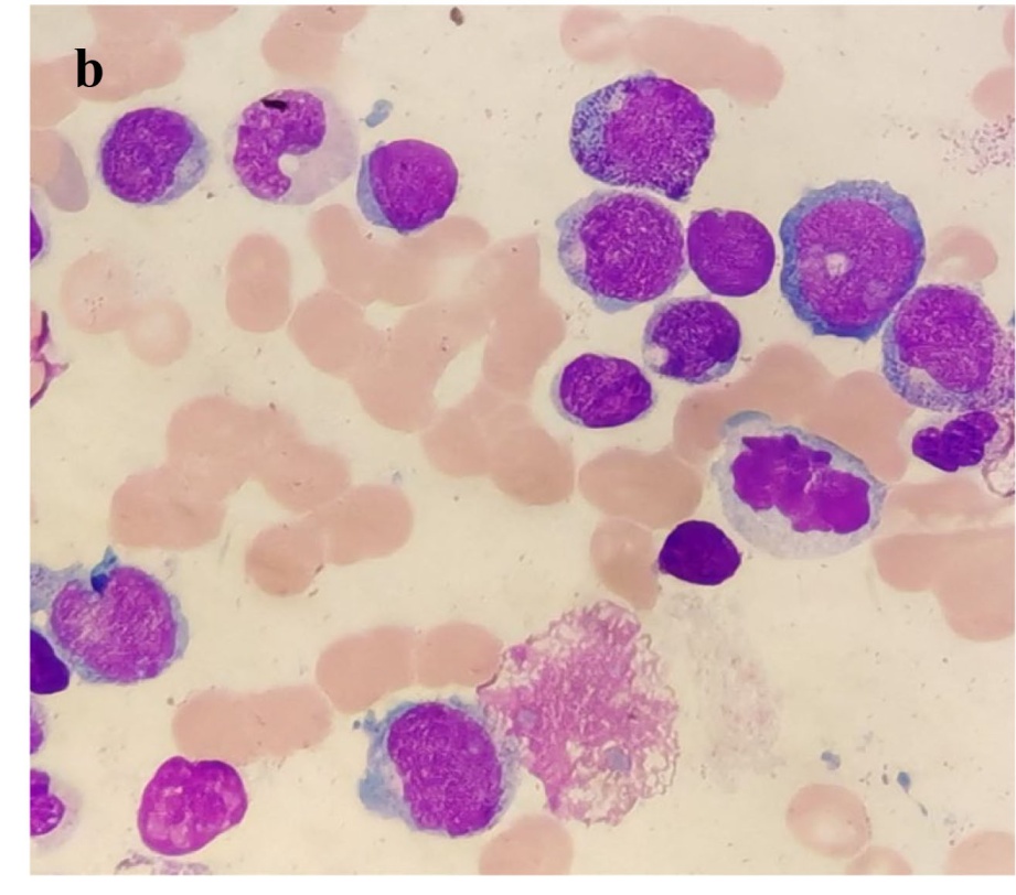
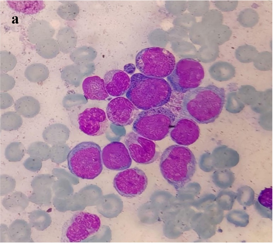
患者女性,18岁,3月前接触杀虫剂后出现淡红色皮肤结节,散在分布于四肢,直径约1 cm左右,压痛明显,无瘙痒,无发热、寒战,无肌肉关节肿痛,无腹痛、腹泻,自服中药治疗(具体不详),效果欠佳,仍有反复皮疹。2024年5月1日患者无明显诱因出现发热,体温最高40.5℃,伴咳嗽、咳痰,咳白色黏痰,伴部分皮肤斑丘疹迅速增大,呈水疱样(见图1(a)),于外院查血常规示:白细胞计数11.9 × 109/L,中性粒细胞10.58 × 109/L,血红蛋白103 g/L,血小板145 × 109/L,抗核抗体谱阴性;右大腿皮肤活检病理结果(见图1(b)):皮肤皮下脂肪小叶内见大量中性粒细胞浸润,个别厚壁血管管壁内散在少许中性粒细胞,不除外嗜中性皮病。予以“哌拉西林他巴唑坦、甲泼尼龙、环孢素、复方甘草酸、多粘菌素软膏”治疗后,仍有反复发热。2024年5月7日复查血常规示:白细胞计数35.10 × 109/L,中性粒细胞32.79 × 109/L,血红蛋白92 g/L,血小板130 × 109/L。白细胞及中性粒细胞计数较之前结果明显升高,随行骨髓穿刺涂片检查,骨髓细胞形态学(见图2(a))提示:粒系增生极度活跃,原始粒细胞占15.0%,颗粒增多的早幼粒细胞占47.5%,不除外急性早幼粒细胞白血病(APL),建议进行染色体,PML-RARα融合基因及其他RARα融合基因检测。通过外院的骨髓涂片,可见大量早幼粒细胞,于是外院倾向于APL可能。患者为求进一步诊治就诊于我院,门诊以“发热原因待查”收入我院血液科。2024年5月10日我院血常规检查:白细胞34.7 × 109/L,希森美康XE5000不分类,镜下分类100个有核细胞结果:原始细胞1.0%,早幼粒细胞1.0%,中性中幼粒细胞3.0%,中性晚幼粒细胞3.0%,中性杆状核及分叶核粒细胞84.0%,淋巴细胞6.0%,单核细胞2.0%,建议行骨髓细胞学检查以明确诊断。我院骨髓细胞形态学(见图2(b))提示:可见6%原始细胞(考虑髓系来源)骨髓象,建议结合流式细胞学、基因、染色体等结果综合诊断。骨髓流式细胞检查结果:可见5.96%的髓系原始细胞伴免疫表型异常。急性髓系白血病融合基因筛查结果:DEK::CAN (DEK::NUP214)融合基因阳性。基因检测具有明确临床意义的突变检测结果:NRAS (1p13.2 exon2)、KRAS (12p12.1 exon2)、PTPN11 (12q24.13 exon3)。染色体检查结果:46,XX,t(6; 9)(p23; q34)。综合上述检查,根据WHO 2022诊断标准,该患者最终确诊为少见的急性髓系白血病伴t (6:9)(p23:q34),DEK::CAN基因重排。2024年5月11日起予以IAV方案(伊达比星16 mg d1~3;阿糖胞苷100 mg q12h d1~6;维奈克拉100 mg d5,200 mg d6,400 mg d7,100 mg (d8~11)化疗,期间患者出现低血容量休克、肺部感染,予以抗休克、抗感染等治疗后好转。2024年6月6日复查骨髓涂片:AML部分稀释骨髓象(3%原始细胞)。流式:可见3.92%的髓系原始细胞及18.31%的成熟单核细胞。2024年6月11日起予以VAC方案化疗,具体用药为:维奈克拉100 mg d1,200 mg d2,400 mg d3~14,阿扎胞苷110 mg d1~7;西达本胺10 mg d2~7。2024年8月17日于北京陆道培血液病医院复查骨髓形态:完全缓解。流式:阴性,DEK::NUP214融合基因定量阴性。2024年8月31日起行BU-CY + ATG方案预处理,−2 d出现出血性膀胱炎、心力衰竭,2024年9月9日、2024年9月10日回输供者外周血干细胞(父供女,HLA5/10,B+供B+),MNC共计8.05 × 108/kg,CD34+细胞共计7.04 × 105/kg。冻存MNC共计9.02 × 105/kg。+4 d患者出现急性心衰、肺部感染、呼吸衰竭,予以抗感染、激素冲击等治疗后好转。+12 a,中性粒、血小板植活。移植后出现出血性膀胱炎、EB病毒感染、巨细胞病毒感染,予以膀胱镜手术、膀胱灌注、抗感染等治疗后好转。2025年2月6 (+6个月)行骨穿、腰穿 + 鞘注化疗药物,细胞学、流式、脑脊液未见异常。

Figure 1. Skin findings and H&E in Sweet’s syndrome (10 × 10). (a) Vesiculation at the lesion site; (b) H&E of leg skin

1. Sweet患者皮肤状态及H&E染色(10 × 10)。(a) 患处水疱样变;(b) 腿部皮肤H&E染色

Figure 2. Bone marrow morphology examination (10 × 40). (a) Bone marrow staining from an outside hospital; (b) Bone marrow staining from our institution

2. 骨髓细胞形态学检查(10 × 40)。(a) 外院骨髓染色;(b) 本院骨髓染色

3. 讨论

SS综合征是一种少见的炎症性皮肤病,好发于30~60岁,男女发病率无明显差异,病理学主要表现为真皮上部弥漫性中性粒细胞浸润和明显的乳头状水肿,但无血管炎的表现。单纯累及皮肤者诊断并不困难[2],临床诊断SS综合征需满足主要标准和至少四个次要的标准中的两个,主要标准:(1) 突然出现疼痛、红斑性结节或斑块;(2) 组织病理学提示有致密的中性粒细胞层浸润,但无血管炎的表现。次要标准:(1) 发热,体温超过38℃;(2) 既往有上呼吸道、胃肠道感染、接种疫苗、妊娠、炎症性疾病、血液系统或实体肿瘤的病史;(3) 对全身糖皮质激素或碘化钾治疗的反应好;(4) 实验室检查(以下四项中至少符合三项):白细胞总计数 > 8 × 109/L;中性粒细胞 > 70%,红细胞沉降率(ESR) > 20 mm/h;C反应蛋白阳性。

SS综合征是一种罕见的,病因不明的皮肤病,可特发性,也可与某些临床疾病如感染、自身免疫性疾病、炎症性肠病、疫苗接种、药物使用和肿瘤相关。根据临床表现,将SS综合征三型:(1) 经典性,好发于30~50岁女性,多与感染、炎症等相关;(2) 药物诱发性,通常要有明确的用药史,1986年,Su和Liu首次报道了使用甲氧苄啶–磺胺甲恶唑后出现药物诱发的SS综合征,最常见的相关药物是粒细胞集落刺激因子(G-CSF),另外全反式维甲酸、巯嘌呤、化疗药物及羟氯喹等[3]-[5]都被证实能引起SS综合征;(3) 恶性肿瘤相关性,恶性肿瘤相关的SS综合征,最初是作为经典型的一个分支,后来被划分为独立的一类,因为许多SS综合征被发现与癌症有关。据统计约28%的SS合并潜在的恶性疾病,其中恶性血液病最为常见占88%,实体瘤占12%,血液肿瘤中以急性髓系白血病(AML)最为常见,其次是骨髓增生异常肿瘤(MDS),也可发生于淋巴瘤、骨髓瘤等[6]。SS的皮肤表现可以发生在恶性肿瘤的不同阶段,包括诊断之前、期间或之后,因此其发病可能预示既往无恶性肿瘤的个体诊断为恶性肿瘤,也可能预示既往有癌症史的患者复发[7]。在一项研究中78%的患者在诊断为血液系统恶性肿瘤后发现了Sweet综合征,这表明在既往诊断为血液系统恶性肿瘤的患者中,Sweet综合征也可作为一种副肿瘤状态发生[8]

血液病合并SS综合征通常有以下几种情况[9]:(1) 副肿瘤综合征:预示着即将发生恶性肿瘤或者既往肿瘤复发;(2) 药物所致的皮肤损害,在治疗血液病时应用的药物,如G-CSF、全反式维A酸、伊马替尼等,另有研究[10]提示AML在进行靶向治疗时出现了SS的表现,主要是IDH抑制剂和FLT3抑制剂,且皮肤受累的发生率更高,药物不但会引起SS皮疹的发生,还会一定程度上影响中性粒细胞的增殖和分化;(3) 与皮肤白血病同时发生,髓系幼稚细胞使黏附素受体水平增加,使其容易向外周组织迁移,恶性细胞迁移至真皮,当化疗或体内细胞因子水平增高时就会导致SS的临床表现,此时真皮内不仅有中性粒细胞还有恶性细胞的聚集。有文献报道[11]有白细胞减少、贫血和血小板减少的SS综合征患者都应检查是否有恶性肿瘤。本研究中患者出现皮肤结节、丘疹并呈现水疱样,皮肤活检证实为SS综合征,患者外周血常规示贫血,经过骨髓细胞形态学、流式细胞术、基因、染色体等最终综合诊断为AML。

AML伴DEK::CNA融合基因是AML伴重现性遗传学异常中的一个独立亚型,在临床上较为罕见,其阳性率在成人AML中仅占0.7%~1.8% [12],在儿童AML中仅占1.7% [13]。1976年,Rowley和Potter首次发现了AML中的这种易位,由6号染色体上的DEK基因与 9号染色体上CAN (NUP214)基因融合形成DEK::CAN融合基因,是髓系血液系统恶性肿瘤中较为罕见的融合基因。此类AML恶性程度高,化疗不敏感,复发率高,预后极差,在2023年NCCN指南中,伴该染色体易位的AML患者明确归为预后不良组。该类AML具有独特的临床和形态特征[14]:(1) 发病年龄年轻化,中位发病年龄25~30岁,发病率无性别差异;(2) 骨髓形态学特征主要为粒系和(或)单核系分化,伴有嗜碱性粒细胞增多和多系病态造血。20%患者有MDS病史,部分病例有典型的伴逃逸核的单圆核巨核细胞;(3) 免疫表型通常表达MPO,CD33,CD38,HLA-DR,多数表达CD34,CD117,CD15,部分病例表达单核细胞标志CD64,约一半病例表达TdT,70%的患者存在FLT3突变;(4) 预后差,死亡率及复发率均较高;(5) 异基因造血干细胞移植总生存率高于自体干细胞移植和单纯化疗者[15]。部分文献报道该类疾病骨髓中可见杯口细胞,即白血病细胞中等大小;胞浆量少、多偏于一侧;核浆比大、染色质细致、核边缘处易见凹陷,凹陷区域直径占细胞核直径1/4以上[16]。本例患者未见典型的杯口细胞。

DEK::CAN融合基因导致Sweet综合征的潜在机制核心是“癌基因驱动的、以中性粒细胞为中心的细胞因子风暴”。DEK::CAN融合蛋白通过改变基因表达谱、招募表观遗传修饰复合物等方式创造一个独特的白血病细胞“状态”,其核心特征之一就是固有性高炎症表型;DEK::CAN融合蛋白通过上述功能,直接或间接地导致白血病细胞、骨髓基质细胞等持续、高产地分泌一套特定的促炎因子如:粒细胞集落刺激因子(G-CSF)、促炎因子(IL-1β, IL-6, TNF-α)、关键趋化因子(IL-8及其他);被G-CSF动员、IL-1/TNF预激的中性粒细胞,精准地“招募”到真皮乳头层和血管周围,浸润的中性粒细胞可能通过释放蛋白酶、活性氧以及形成中性粒细胞胞外诱捕网,导致局部组织水肿、胶原纤维变性,临床表现为疼痛性、水肿性红斑或斑块,这正是Sweet综合征皮损的典型病理位置。

该病例外院首先通过其临床表现及皮肤病理活检诊断为SS综合征,而其骨髓形态可见大量嗜天青颗粒丰富的早幼粒细胞,外院形态学报告提示不排除APL可能。转入我院后,对患者再次进行骨髓穿刺确认该类早幼粒细胞为正常细胞,同时骨髓象中可见6%髓系原始细胞,所以建议临床完善AML基因筛查。基因筛查结果确定其为融合基因:DEK::CAN。该病例骨髓形态学特点:原始细胞胞体中等大小,核偏位,胞核圆型或近圆形,染色质细致,核浆比大,胞浆嗜碱性中等,同时可见较多颗粒增多的早幼粒细胞。形态学上未达到急性髓系白血病(≥20%原始细胞)的诊断标准,WHO2022版造血与淋巴组织肿瘤分类对于伴有重现性遗传学异常者的原始细胞比例不做要求,根据标准诊断为伴有DEK::CAN融合基因的AML。一项对DEK::CAN蛋白功能的研究[17]发现,DEK::CAN融合基因与其他融合基因作用于造血干细胞机制不同,它仅对一小部分造血干细胞有致白血病作用并且还可以维持白血病细胞的干性,因此本病例中残存大量正常早幼粒细胞可能与该机制有一定的关系。另有文献[18]报道t(6:9)(p23:q34);DEK::CAN融合基因的急性髓系白血病通常合并一系或多系病态造血。该病例骨髓象未见明显的病态造血,且原始细胞比例较低,颗粒增多增粗的早幼粒细胞增多,在缺少融合基因检测的情况下极易误诊为急性早幼粒细胞白血病,这就体现出了血液系统疾病MICM综合诊断的重要性。

临床上常见一些感染如脓肿或蜂窝织炎的病理改变常与SS综合征的病理改变有一定的重叠性,因此,应使用适当的诊断方法排除感染的细菌,病毒,真菌,或分枝杆菌。有文献[19]研究建议对所有新诊断的无恶性证据的Sweet综合征患者进行初始恶性筛查,所有新诊断的Sweet综合征患者应每6~12个月做一次完整的血象检查,包括白细胞总数和白细胞分类计数以及血小板计数,某些血液系统恶性肿瘤可在初次诊断后最晚11年才出现。根据文献[7]报道,AML相关SS综合征患者更容易出现−5/del (5q)核型、FLT3突变以及AML伴有骨髓增生异常相关特征。本病例以Sweet综合征起病,经过一系列诊断,最终核型为t(6; 9)(p23; q34);DEK-CAN融合基因阳性的AML;NRAS (1p13.2 exon2)、KRAS (12p12.1 exon2)、PTPN11 (12q24.13 exon3)突变阳性;FLT3突变阴性;无骨髓增生异常相关特征。

以SS综合征为首发症状隐匿起病的且该融合基因阳性的AML报道国内首例。对于此类疾病的诊断,我们要了解其临床特征和掌握该疾病的形态学特征,这样,我们才能形成清晰的诊断思路,能够直观且客观判断出此类疾病的特点。SS综合征通常伴有外周血中性粒细胞增高,当遇到有白细胞减少、贫血和血小板减少实验室证据的SS综合征患者应检查是否有恶性肿瘤,有研究[11]称伴有血液系统恶性肿瘤的SS综合征患者复发率和死亡率比单纯SS者更高,因此临床遇到SS综合征表现者应及时进行皮肤的活检以确诊SS综合征,同时及时的进行恶性肿瘤相关的筛查,以便于的明确诊断,及早的进行干预,从而减少漏诊误诊率,提高患者的生存质量。而对于AML患者若有皮肤相关的改变,也应当尽早进行SS综合的筛查。本研究报道以SS综合征起病的AML,以提高对本病的认识。对于疑似患者应全面地评估患者的系统性疾病及准确的病理学分析有助于早期识别并诊断背后隐藏的真正病因,有助于开展针对性的治疗改善患者预后。

声 明

该病例报道已获得患者的知情同意。

NOTES

*通讯作者。

参考文献

[1] Gil-Lianes, J., Luque-Luna, M., Alamon-Reig, F., Bosch-Amate, X., Serra-Garcia, L. and Mascaró Jr., J.M. (2023) Sweet Syndrome: Clinical Presentation, Malignancy Association, Autoinflammatory Disorders and Treatment Response in a Cohort of 93 Patients with Long-Term Follow-Up. Acta Dermato-Venereologica, 103, adv18284. [Google Scholar] [CrossRef] [PubMed]
[2] Agrawal, A., Arif, S.H., Kumarasan, K. and Janjua, D. (2022) Sweet’s Syndrome: An Update. Current Pediatric Reviews, 18, 265-273. [Google Scholar] [CrossRef] [PubMed]
[3] Commins, N., Subhaharan, D., Dettrick, A. and Patrick, D. (2024) Mercaptopurine-Induced Sweet’s Syndrome. BMJ Case Reports, 17, e259278. [Google Scholar] [CrossRef] [PubMed]
[4] Shah, A., Meedimale, S., Kumar, D., Sharma, P. and Shukla, P. (2023) Drug-Induced Acute Febrile Neutrophilic Dermatosis (Sweet Syndrome): A Case Report Presented at Delhi State Cancer Institute. Journal of Cancer Research and Therapeutics, 20, 1605-1607. [Google Scholar] [CrossRef] [PubMed]
[5] Almeida-Silva, G., Antunes, J., Tribolet de Abreu, I., Monteiro, F., Vasconcelos, P., Soares-Almeida, L., et al. (2025) Hydroxychloroquine-Induced Sweet’s Syndrome: A Case Report and Literature Review. Acta Dermato-Venereologica, 105, adv41333. [Google Scholar] [CrossRef] [PubMed]
[6] Zheng, S., Li, S., Tang, S., Pan, Y., Ding, Y., Qiao, J., et al. (2020) Insights into the Characteristics of Sweet Syndrome in Patients with and without Hematologic Malignancy. Frontiers in Medicine, 7, Article No. 20. [Google Scholar] [CrossRef] [PubMed]
[7] Kazmi, S.M., Pemmaraju, N., Patel, K.P., Cohen, P.R., Daver, N., Tran, K.M., et al. (2015) Characteristics of Sweet Syndrome in Patients with Acute Myeloid Leukemia. Clinical Lymphoma Myeloma and Leukemia, 15, 358-363. [Google Scholar] [CrossRef] [PubMed]
[8] Raza, S., Kirkland, R.S., Patel, A.A., Shortridge, J.R. and Freter, C. (2013) Insight into Sweet’s Syndrome and Associated-Malignancy: A Review of the Current Literature. International Journal of Oncology, 42, 1516-1522. [Google Scholar] [CrossRef] [PubMed]
[9] 郭慧梅, 化罗明, 薛华, 等. 真性红细胞增多症合并Sweet综合征一例并文献复习[J]. 中华内科杂志, 2013, 52(1): 52-54.
[10] Cowen, E.A., Barrios, D.M., Pulitzer, M.P., Moy, A.P., Dusza, S.W., De Wolf, S., et al. (2023) Acute Febrile Neutrophilic Dermatosis (Sweet Syndrome) in Acute Myeloid Leukemia Patients: A 28-Year Institutional Experience. Acta Haematologica, 147, 457-464. [Google Scholar] [CrossRef] [PubMed]
[11] Titou, H. and Bouhamidi, A. (2024) Sweet Syndrome in Patients with and without Malignancy: A Retrospective Study of 66 Cases from a Tertiary Care Centre. European Journal of Dermatology, 34, 517-524. [Google Scholar] [CrossRef] [PubMed]
[12] 张海珍, 潘耀柱, 摆姣凤, 等. DEK/CAN融合基因在髓系白血病中的研究进展[J]. 临床血液学杂志, 2019, 32(5): 404-406
[13] 李晓兰, 刘立鹏, 万扬, 等. DEK-NUP214融合基因阳性儿童急性髓系白血病7例分析[J]. 中华儿科杂志, 2023, 61(4): 357-362.
[14] 田亮, 马平, 刘炜, 等. DEK-CAN融合基因阳性急性髓系白血病患者临床特征及预后分析[J]. 白血病·淋巴瘤, 2021, 30(8): 466-469.
[15] 申昱妍, 杨栋林, 何祎, 等. 异基因造血干细胞移植治疗DEK-NUP214融合基因阳性急性髓系白血病患者12例疗效分析[J]. 中华血液学杂志, 2024, 45(4): 383-387.
[16] 王海洋, 孙增田, 徐晓蕊, 等. 初诊急性白血病1151例患者骨髓及外周血形态学特点分析[J]. 中华检验医学杂志, 2023, 46(3): 295-303.
[17] Oancea, C., Rüster, B., Henschler, R., Puccetti, E. and Ruthardt, M. (2010) The T(6;9) Associated DEK/CAN Fusion Protein Targets a Population of Long-Term Repopulating Hematopoietic Stem Cells for Leukemogenic Transformation. Leukemia, 24, 1910-1919. [Google Scholar] [CrossRef] [PubMed]
[18] Slovak, M.L., Gundacker, H., Bloomfield, C.D., Dewald, G., Appelbaum, F.R., Larson, R.A., et al. (2006) A Retrospective Study of 69 Patients with t(6;9)(p23;q34) AML Emphasizes the Need for a Prospective, Multicenter Initiative for Rare ‘Poor Prognosis’ Myeloid Malignancies. Leukemia, 20, 1295-1297. [Google Scholar] [CrossRef] [PubMed]
[19] Cohen, P.R. and Kurzrock, R. (2000) Sweet’s Syndrome: A Neutrophilic Dermatosis Classically Associated with Acute Onset and Fever. Clinics in Dermatology, 18, 265-282. [Google Scholar] [CrossRef] [PubMed]