针灸诱发Sweet综合征作为未确诊溃疡性结肠炎的首发表现:病例报告并文献回顾
Acupuncture-Induced Sweet’s Syndrome as a Sentinel Presentation of Undiagnosed Ulcerative Colitis: A Case Report and Literature Review
DOI: 10.12677/acm.2026.162543, PDF, HTML, XML,   
作者: 宋舒逸*, 王吉波#:青岛大学附属医院风湿免疫科,山东 青岛;吴 思:青岛大学附属医院感染科,山东 青岛
关键词: Sweet综合征溃疡性结肠炎Koebner现象Sweet’s Syndrome Ulcerative Colitis Koebner Phenomenon
摘要: Sweet综合征(Sweet’s Syndrome, SS)即急性发热性嗜中性皮病,其特征性表现为突发性红斑脓疱样皮疹,伴发热和外周血中性粒细胞增多。部分患者可出现关节肌肉疼痛、口腔溃疡、结膜炎及内脏系统受累。组织病理为皮肤真皮层广泛中性粒细胞浸润。其发病机制不甚清楚,可能与感染炎症、肿瘤及某些药物等因素有关。本例SS患者以溃疡性结肠炎为首发表现,可能与肠道局部食物刺激有关,后因针灸诱发Koebner现象出现典型皮损,非常罕见。通过该病例报告,旨在进一步提高对SS发病及临床表现的认识,从而实现及时治疗。
Abstract: Sweet’s syndrome (SS), also known as acute febrile neutrophilic dermatosis, is characterized by the sudden onset of erythematous pustular rash, accompanied by fever and peripheral blood neutrophilia. Some patients may also present with arthralgia, myalgia, oral ulcers, conjunctivitis, and visceral involvement. Histopathologically, it shows extensive neutrophilic infiltration in the dermis. The pathogenesis of SS remains unclear and may be associated with factors such as infection, inflammation, malignancy, and certain medications. In this case, SS initially manifested as ulcerative colitis in the patient, which may be related to local intestinal irritation from dietary factors. Subsequently, typical skin lesions appeared induced by acupuncture, likely due to the Koebner phenomenon—a presentation that is exceptionally rare. Through this case, we aim to enhance the understanding of the onset and clinical manifestations of SS, thereby facilitating timely diagnosis and treatment.
文章引用:宋舒逸, 吴思, 王吉波. 针灸诱发Sweet综合征作为未确诊溃疡性结肠炎的首发表现:病例报告并文献回顾[J]. 临床医学进展, 2026, 16(2): 1537-1542. https://doi.org/10.12677/acm.2026.162543

1. 病例介绍

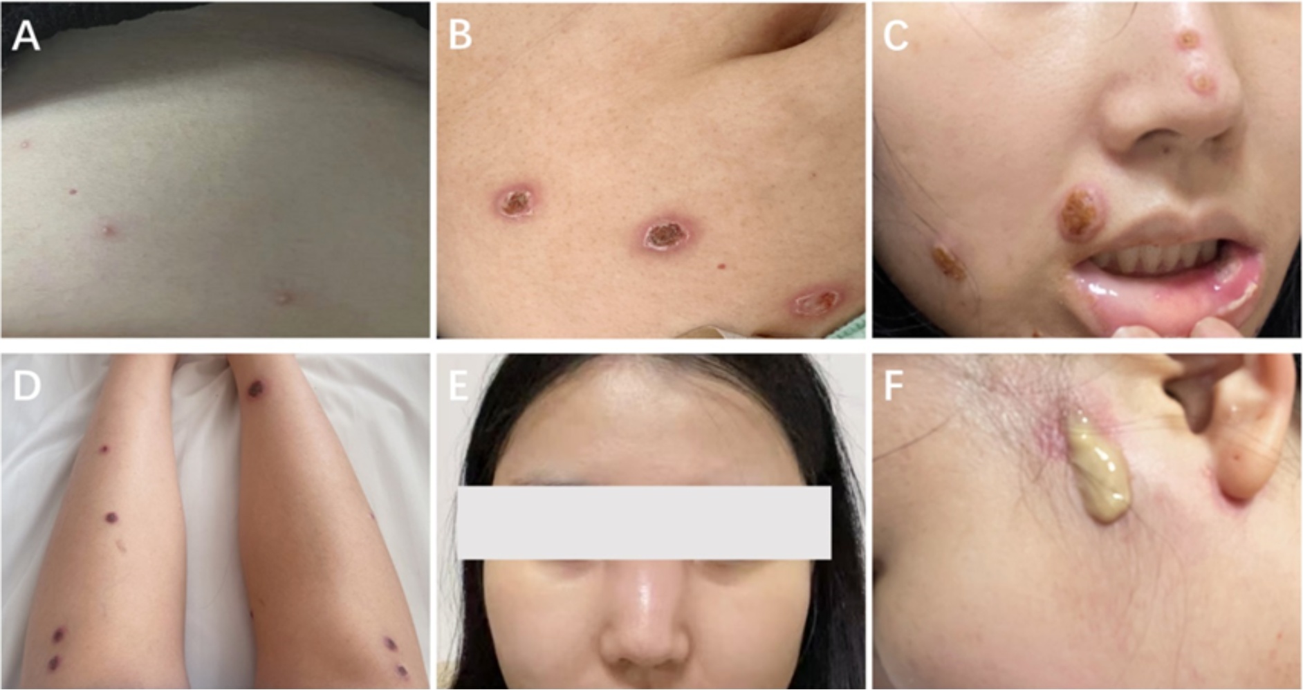
患者,女,31岁。因“腹痛、便血1月,加重伴发热半月,皮疹10余天”,2025年3月12日就诊于青岛大学附属医院风湿免疫科。患者近期情绪异常,每日大量饮酒伴辛辣食物,2月3日出现腹痛腹泻伴恶心呕吐,2月10日腹痛加重,且大便表面出现散点状鲜血,每日3~5次,未曾诊治。2月27日腹痛、便血加重,伴发热、口腔溃疡、全身关节肌肉疼痛。鲜红色血便每0.5~3小时左右一次,每次约5~10 ml;体温波动可高达39.8℃,不伴寒颤;口腔多发痛性溃疡,无生殖器溃疡。当地医院血常规WBC 10.46 × 109/L、Neut 7.68 × 109/L、lym 1.86 × 109/L,HB 112 g/L,Plt 494 × 109/L;CRP 142.3 mg/L。考虑“感染”,给予相应治疗,无明显效果。3月3日行针灸治疗,次日针灸处皮肤出现脓疱样丘疹(图1(A)),后期针灸处、非针灸处的头皮、面部、四肢、躯干出现红斑脓疱样皮疹(图1(B)~(D))。3月8日于青岛大学附属医院急诊就诊,WBC 12.16 × 109/L、Neut 8.88 × 109/L、lym 1.62 × 109/L,HB 109 g/L,Plt 581 × 109/L;CRP 85.19 mg/L;凝血检查基本正常;尿常规蛋白2+、潜血2+;腹部CT示结肠多部位肠壁增厚模糊,炎性肠病可能,建议肠镜。给予退热、解痉、止血、补液及抗生素等治疗。3月12日收住风湿免疫科病房,患者近1月体重下降7.5 KG。体格检查:一般状况可,颌下淋巴结肿大、触痛、活动度可;脐周、下腹部压痛明显、无反跳痛;面部、躯干、四肢红斑脓疱样皮疹,下唇痛性溃疡(图1(C));心肺查体无异常;肛肠检查无痔疮等疾病。辅助检查:WBC 9.33 × 109/L、Neut 6.61 × 109/L、lym 1.43 × 109/L,HB 89 g/L,Plt 539 × 109 /L;CRP 52.50 mg/L;铁蛋白正常;细胞因子IL-6为9.14 pg/ml,其他均正常;降钙素原正常;24小时尿蛋白0.19 g;肝肾功能白蛋白24.4 g/L,其他正常;T淋巴细胞分类计数: CD 3 + CD 4 + 分别为526、 CD 4 + 294 cells/μl。乙肝、丙肝、HIV、梅毒、结核T-spot感染指标均阴性;RF、ANA、ANCA等自身免疫检查均为正常;甲状腺功能正常;初步考虑为“非感染性炎性疾病”,给予静滴甲羟龙20 mg qd、抗生素、人血白蛋白等治疗。患者关节肌肉、皮疹、腹痛均好转,便血量及次数也减少,但仍发热。3月17日

(A) 针灸处脐周皮肤起初的脓疱样丘疹;(B) 原脐周针灸处脓疱样丘疹扩大后形成的红斑脓疱样皮疹,周边红晕,中央结痂脱落残留凹陷、创面鲜红伴脓性分泌物;(C) 面部的红斑脓疱样皮疹及口腔内多发溃疡;(D) 下肢红斑样皮疹,中央结痂;(E) 鼻背部肿胀压痛;(F) 右耳前淡红硬斑、局部压痛,溢出脓性分泌物。

Figure 1. Rash and oral ulcers

1. 皮疹及口腔溃疡

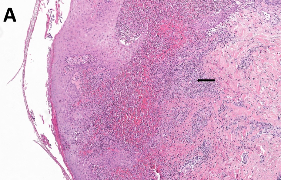
(A) 皮肤组织切片真皮乳头及浅中层大量中性粒细胞浸润(苏木精–伊红染色;比例尺 = 200 μm);(B) 隐窝腔内大量中性粒细胞浸润,隐窝结构异常(苏木精–伊红染色;比例尺 = 100 μm)。

Figure 2. Pathology of the skin and intestinal tissues

2. 皮肤组织及肠道组织病理

皮肤病理显示:皮肤角化过度、表皮假上皮瘤样增生、真皮乳头及浅中层大量中性粒细胞浸润并脓肿形成;真皮血管内皮肿胀,管壁增厚,管腔狭窄(图2(A))。WBC 7.33 × 109/L、Neut 4.84 × 109/L、lym 1.72 × 109/L,HB 83 g/L,Plt 319 × 109/L;CRP 30.86 mg/L。肝肾功能白蛋白30.0 g/L,其他正常。给予静滴甲羟龙20 mg bid、沙利度胺25 mg qd,后腹痛好转、稀便、未再便血、体温正常。3月24日WBC 7.24 × 109/L、Neut 4.03 × 109/L、lym 2.10 × 109/L,HB 74 g/L,Plt 421 × 109 /L;CRP 10.38 mg/l。口服甲羟龙8 mg bid出院。4月3日门诊电子结肠镜检查:肝曲至降乙交界范围内,多发大片状似黏膜剥脱后的溃疡样变,周围增生息肉样隆起。直肠散在红斑糜烂。病理诊断:横结肠炎性息肉;降结肠中度活动性慢性结肠炎,可见隐窝脓肿,隐窝结构改变,不排除炎性肠病(图2(B))。5月6日门诊复诊,鼻梁部及右耳前出现淡红肿结、压痛、溢脓(图1(E)图1(F)),其他部位皮疹较前消退。WBC 12.66 × 109/L、Neut 7.87 × 109/L、lym 3.35 × 109/L,HB 101 g/L,Plt 370 × 109/L;CRP 16.38 mg/l;肝肾功能正常。超声显示:右耳前皮下液性回声、鼻梁部皮下强回声并周围液性回声。诊断为“Sweet综合征、溃疡性结肠炎”。加用甲氨蝶呤10 mg qw。5月27日门诊复诊,病人无不适、皮疹消退陈旧,检验指标正常。

2. 讨论

Sweet综合征(Sweet’s Syndrome, SS)是英国皮肤科医师Robert Douglas Sweet于1964年首先报道,属于嗜中性粒细胞皮肤疾病,为一种非感染性皮肤炎症反应。皮肤特征性表现为痛性红斑丘疹、斑块、脓疱或结节,常累及上下肢体、躯干、头颈部,病理显示皮肤真皮致密的中性粒细胞浸润[1]。伴发热、外周血中性粒细胞计数升高、炎症指标如CRP升高。其发病原因及机制不甚清晰,可能是多因素、多方面的。遗传易感或/和免疫异常状态如肿瘤(血液肿瘤多见)、免疫炎性疾病(类风湿关节炎、试探性红斑狼疮、溃疡性结肠炎)、妊娠、免疫缺陷状态下;微生物感染、化学物质或物理刺激,如上呼吸道胃肠道感染、疫苗、某些药物(粒细胞集落刺激因子、避孕药、抗肿瘤药、抗癫痫药)等均可诱发[2]-[4]。随着对SS认识的深入,目前已发现存在多种临床变异型(大疱型、蜂窝织炎型、坏死型、手背嗜中性皮病)及病理变异型(隐球菌样、组织细胞样、皮下亚型) [5]-[7]。如无皮肤病理,需要与一些皮肤感染、炎症、肿瘤、脂膜炎、血管炎性疾病鉴别,因此皮肤病理对明确诊断非常重要。根据1994年von den Driesch修订的诊断标准,本例患者符合全部的主要条件及次要条件[8],为一例经典型SS。

患者首要表现为腹痛、便血等肠道表现。影像学、后期结肠镜检查及病理,均符合炎性肠病溃疡性结肠炎。追问病史,患者发病前情绪异常,每日大量饮酒伴辛辣食物,肠道症状可能与肠道经长期强烈刺激导致肠道黏膜局部固有免疫中性粒细胞过度活化、肠道屏障破坏、肠道菌群紊乱等等有关。提示心理–饮食因素可能是本患者肠道受累为首发表现的关键因素[9] [10]。另外,患者入院检验提示, CD 3 + CD 4 + T淋巴细胞数异常减少,提示细胞免疫缺陷。适应性免疫缺陷可能也是固有免疫中性粒细胞过度活化的因素之一。

SS患者并炎性肠病(Inflammatory Bowel Disease, IBD)已有许多报道[11]-[13]。Sleiman等人对95例SS并IBD患者系统分析,发现64.2%的SS诊断晚于IBD,仅5.3%为SS先于IBD [14]。该研究显示,亚洲人群SS仅与溃疡性结肠炎相关,而与克罗恩病无关。这一发现与本例患者临床表现相符,但与欧美人群存在差异,提示遗传易感因素可能在SS发病中起重要作用。

患者发热高达38.0℃,不伴寒战。乙肝、丙肝、HIV、梅毒、结核感染指标均阴性,降钙素原水平正常,此外,小腿(非针灸部位)皮损虽培养出表皮葡萄球菌,但该菌为皮肤常见定植菌,且皮损形态符合SS的典型假性水疱表现。综上,目前缺乏明确细菌、病毒及特殊病原体感染的实验室证据,考虑感染可能性小。ANA、ANCA、RF等自身抗体正常,因此自身免疫性疾病可能性不大;CRP明显升高,而细胞因子仅IL-6略有升高、铁蛋白水平正常,提示固有免疫炎性疾病可能性大。

特殊性在于皮损首发于针灸部位,而后期非针灸部位头面部、肢体、躯干也出现类似典型皮损。这一典型Koebner现象除常见于SS外、也常见于白癜风和银屑病[15]。SS的Koebner现象机制不清,有研究提示机械刺激可诱导角质形成细胞炎症反应并产生IL-6 [16]。该患者外周血仅细胞因子IL-6略有升高,也说明这一点。在既有肠道炎症状态下,针灸刺激可能激活了皮肤内多种细胞的机械敏感信号通路,破坏了高敏状态下皮肤的微环境稳态,可能涉及中性粒细胞的损伤部位异常募集[17],而后通过炎症因子级联反应导致全身性皮损。患者出现痛性口腔粘膜溃疡、尿蛋白肾脏受累,似乎合并血管炎;但皮肤病理显示真皮血管内皮肿胀、管壁增厚、管腔狭窄,血管周围及血管壁内无炎症细胞浸润,不符合典型血管炎的病理表现。血管内皮损伤可能为SS的附带或重叠现象[18]

SS皮肤外表现并不少见。本患者口腔粘膜、关节肌肉、肠道、肾脏均出现不同程度的受累。文献报道,SS可并发结膜炎、巩膜炎、胸膜炎、心包炎、心肌炎及脑膜炎等[19]-[22]。因而,在临床实践中还应关注皮肤外表现的早期识别。

糖皮质激素对SS等中性粒细胞炎症反应性疾病疗效确切,但存在复发风险。秋水仙碱及碘化钾已为重要替代治疗,可作为一线治疗,尤其是神经性SS [23]。但部分患者需加用免疫抑制剂如甲氨蝶呤[12]。另外可试用氨苯砜、异维A酸、环磷酰胺、他克莫司、TNF-α抑制剂,可能均有一定疗效,但需大样本研究验证[5] [24]-[26]。获得性基因突变IL-1通路异常激活的患者,IL-1受体拮抗剂可达到较好疗效[27]。儿童患者需警惕先天性免疫缺陷的可能,必要时静脉用丙种球蛋白、Fc受体阻断剂、造血干细胞移植[2] [28]

3. 结论

SS为一组异质性疾病,其发病机制尚不明确,病因可能多样,且皮肤临床及病理表现各异。本例患者可能因食物刺激肠道诱发,以溃疡性结肠炎为首要表现、针灸诱发典型SS皮损。皮肤及肠道病理为诊断提供了有力的支持,糖皮质激素治疗反应好,但激素减量病情复发,联合免疫抑制剂能取得更好的病情缓解。

声 明

本研究遵循《赫尔辛基宣言》原则进行,并获得青岛大学附属医院伦理委员会批准(批准号:QYFY WZLL 30164)。

NOTES

*第一作者。

#通讯作者。

参考文献

[1] Agrawal, A., Arif, S.H., Kumarasan, K. and Janjua, D. (2022) Sweet’s Syndrome: An Update. Current Pediatric Reviews, 18, 265-273. [Google Scholar] [CrossRef] [PubMed]
[2] Saito, Y., Kewalramani, A., Peng, X.P., Magnarelli, A. and Lederman, H.M. (2024) Sweet Syndrome Associated with Moderate Leukocyte Adhesion Deficiency Type I: A Case Report and Review of the Literature. Frontiers in Immunology, 15, Article 1425289. [Google Scholar] [CrossRef] [PubMed]
[3] Ferea, C.R., Mihai, S.N., Balan, G., Badescu, M.C., Tutunaru, D. and Tatu, A.L. (2023) Sweet Syndrome Associated with Myelodysplastic Syndrome—A Review of a Multidisciplinary Approach. Life, 13, Article 809. [Google Scholar] [CrossRef] [PubMed]
[4] Joshi, T.P., Friske, S.K., Hsiou, D.A. and Duvic, M. (2022) New Practical Aspects of Sweet Syndrome. American Journal of Clinical Dermatology, 23, 301-318. [Google Scholar] [CrossRef] [PubMed]
[5] Calabrese, L., Satoh, T.K., Aoki, R., Rubegni, G., Neulinger-Mũnoz, M., Stadler, P.C., et al. (2024) Sweet Syndrome: An Update on Clinical Aspects, Pathophysiology, and Treatment. Italian Journal of Dermatology and Venereology, 159, 645-662. [Google Scholar] [CrossRef] [PubMed]
[6] Hrin, M.L. and Huang, W.W. (2024) Sweet Syndrome and Neutrophilic Dermatosis of the Dorsal Hands. Dermatologic Clinics, 42, 193-207. [Google Scholar] [CrossRef] [PubMed]
[7] Haber, R., Feghali, J. and El Gemayel, M. (2020) Risk of Malignancy in Histiocytoid Sweet Syndrome: A Systematic Review and Reappraisal. Journal of the American Academy of Dermatology, 83, 661-663. [Google Scholar] [CrossRef] [PubMed]
[8] von den Driesch, P. (1994) Sweet’s Syndrome (Acute Febrile Neutrophilic Dermatosis). Journal of the American Academy of Dermatology, 31, 535-556. [Google Scholar] [CrossRef] [PubMed]
[9] Singh, N. and Bernstein, C.N. (2022) Environmental Risk Factors for Inflammatory Bowel Disease. United European Gastroenterology Journal, 10, 1047-1053. [Google Scholar] [CrossRef] [PubMed]
[10] van der Sloot, K.W.J., Weersma, R.K., Alizadeh, B.Z. and Dijkstra, G. (2020) Identification of Environmental Risk Factors Associated with the Development of Inflammatory Bowel Disease. Journal of Crohns and Colitis, 14, 1662-1671. [Google Scholar] [CrossRef] [PubMed]
[11] Nelson, C.A., Noe, M.H., McMahon, C.M., Gowda, A., Wu, B., Ashchyan, H.J., et al. (2018) Sweet Syndrome in Patients with and without Malignancy: A Retrospective Analysis of 83 Patients from a Tertiary Academic Referral Center. Journal of the American Academy of Dermatology, 78, 303-309.e4. [Google Scholar] [CrossRef] [PubMed]
[12] Gil-Lianes, J., Luque-Luna, M., Alamon-Reig, F., Bosch-Amate, X., Serra-Garcia, L. and Mascaró Jr., J.M. (2023) Sweet Syndrome: Clinical Presentation, Malignancy Association, Autoinflammatory Disorders and Treatment Response in a Cohort of 93 Patients with Long-Term Follow-Up. Acta Dermato-Venereologica, 103, adv18284. [Google Scholar] [CrossRef] [PubMed]
[13] King, D., Chandan, J.S., Thomas, T., Nirantharakumar, K., Reulen, R.C., Adderley, N.J., et al. (2021) The Risk of Later Diagnosis of Inflammatory Bowel Disease in Patients with Dermatological Disorders Associated with Inflammatory Bowel Disease. Inflammatory Bowel Diseases, 27, 1731-1739. [Google Scholar] [CrossRef] [PubMed]
[14] Sleiman, J., Hitawala, A.A., Cohen, B., Falloon, K., Simonson, M., Click, B., et al. (2021) Systematic Review: Sweet Syndrome Associated with Inflammatory Bowel Disease. Journal of Crohns and Colitis, 15, 1864-1876. [Google Scholar] [CrossRef] [PubMed]
[15] Zhang, X., Lei, L., Jiang, L., Fu, C., Huang, J., Hu, Y., et al. (2022) Characteristics and Pathogenesis of Koebner Phenomenon. Experimental Dermatology, 32, 310-323. [Google Scholar] [CrossRef] [PubMed]
[16] Oh, S., Chung, H., Chang, S., Lee, S., Seok, S.H. and Lee, H. (2019) Effect of Mechanical Stretch on the DNCB-Induced Proinflammatory Cytokine Secretion in Human Keratinocytes. Scientific Reports, 9, Article No. 5156. [Google Scholar] [CrossRef] [PubMed]
[17] Calabrese, L., Romagnuolo, M., D’Onghia, M., Rubegni, P., Marzano, A.V. and Moltrasio, C. (2024) Molecular Characteristics of Sweet Syndrome: A Systematic Review. Experimental Dermatology, 33, e70022. [Google Scholar] [CrossRef] [PubMed]
[18] Nofal, A., Abdelmaksoud, A., Amer, H., Nofal, E., Yosef, A., Gharib, K., et al. (2017) Sweet’s Syndrome: Diagnostic Criteria Revisited. Journal der Deutschen Dermatologischen Gesellschaft, 15, 1081-1088. [Google Scholar] [CrossRef] [PubMed]
[19] Mishra, A.V., Fung, A.T., Pollmann, A.S., Henderson, R., Shields, C. and Gupta, R.R. (2022) Relentlessly Progressive Sweet Syndrome of the Eye with Scleritis and Choroidal Infiltration. Ocular Immunology and Inflammation, 30, 90-94. [Google Scholar] [CrossRef] [PubMed]
[20] Stiller, R.H., Gadzhiev, M., Schachtel, A.K., Chang, O.H., Bastawrous, S., Hermes Shantz, H., et al. (2020) A 68-Year-Old Man with Skin Rash and a Pleural Effusion. Chest, 158, e33-e36. [Google Scholar] [CrossRef] [PubMed]
[21] Graça-Santos, L., Kieselova, K., Montenegro-Sá, F., Guardado, J. and Morais, J. (2020) Myocardial Involvement in Sweet Syndrome: A Rare Finding in a Rare Condition. The Arquivos Brasileiros de Cardiologia, 115, 6-9.
[22] Ramsey, A.L., Wallace, W.D., Abtin, F., Suh, J.D., Liang, L.L., Shah, S., et al. (2021) Sweet’s Syndrome: A First in Human Lung Trans-Plantation. Chest, 160, e173-e176. [Google Scholar] [CrossRef] [PubMed]
[23] Ishikawa, H., Shindo, A., Kishida, D., Niwa, A., Nishiguchi, Y., et al. (2019) MEFV Gene Mutations in Neuro-Behçet’s Disease and Neuro-Sweet Disease. Annals of Clinical and Translational Neurology, 6, 2595-2600. [Google Scholar] [CrossRef] [PubMed]
[24] Hrin, M.L., Feldman, S.R. and Huang, W.W. (2022) Dapsone as Corticosteroid-Sparing Therapy for Sweet Syndrome. Journal of the American Academy of Dermatology, 86, 677-679. [Google Scholar] [CrossRef] [PubMed]
[25] Santos, M.I., Mestre, A., Teixeira, N., Correia, C. and Brochado, M. (2022) Sweet’s Syndrome: A Case Report of a Rare Extraintestinal Manifestation of Ulcerative Colitis. Cureus, 14, e22980. [Google Scholar] [CrossRef] [PubMed]
[26] Calabrese, L., Caldarola, G., Peris, K. and De Simone, C. (2021) Recalcitrant Sweet Syndrome Successfully Treated with Adalimumab. Journal der Deutschen Dermatologischen Gesellschaft, 19, 122-124. [Google Scholar] [CrossRef] [PubMed]
[27] Bhattacharya, S., Basu, S., Sheng, E., Murphy, C., Wei, J., Kersh, A.E., et al. (2023) Identification of a Neutrophil-Specific PIK3R1 Mutation Facilitates Targeted Treatment in a Patient with Sweet Syndrome. Journal of Clinical Investigation, 133, e162137. [Google Scholar] [CrossRef] [PubMed]
[28] Cook, Q.S., Zdanski, C.J., Burkhart, C.N., Googe, P.B., Thompson, P. and Wu, E.Y. (2019) Idiopathic, Refractory Sweet’s Syndrome Associated with Common Variable Immunodeficiency: A Case Report and Literature Review. Current Allergy and Asthma Reports, 19, Article No. 32. [Google Scholar] [CrossRef] [PubMed]