心肌活检诊断DCM规范联合治疗改善 心功能1例
Improvement of Cardiac Function with Standardized Combined Therapy in a Case of Dilated Cardiomyopathy Diagnosed by Myocardial Biopsy
摘要: 目的:探讨心肌活检诊断扩张型心肌病(Dilated Cardiomyopathy, DCM)且规范联合应用抗心衰治疗在患者中的临床疗效及应用价值。方法:回顾性分析1例28岁男性以急性心衰为主要临床表现的DCM患者的临床资料、心肌活检病理结果及治疗随访过程。结果:规范使用抗心衰五联药物治疗后,患者左心室内径回缩,LVEF显著提升并维持于正常范围。结论:体现DCM精准诊断、规范联合治疗及长期随访的重要性,为临床类似病例的诊疗提供了参考。
Abstract: Objective: To explore the clinical efficacy and application value of endomyocardial biopsy in the diagnosis of dilated cardiomyopathy (DCM) combined with standardized anti-heart failure therapy in patients. Methods: The clinical data, pathological results of myocardial biopsy, treatment and follow-up process of a 28-year-old male DCM patient with acute heart failure as the main clinical manifestation were retrospectively analyzed. Results: After standardized treatment with the five-drug combination for anti-heart failure, the patient’s left ventricular internal diameter regressed, and the left ventricular ejection fraction (LVEF) increased significantly and remained within the normal range. Conclusion: This case demonstrates the importance of accurate diagnosis, standardized combined therapy and long-term follow-up for DCM, and provides a reference for the diagnosis and treatment of similar clinical cases.
文章引用:林珏婷, 陈向辉. 心肌活检诊断DCM规范联合治疗改善 心功能1例[J]. 临床医学进展, 2026, 16(2): 1588-1591. https://doi.org/10.12677/acm.2026.162548

1. 病历资料

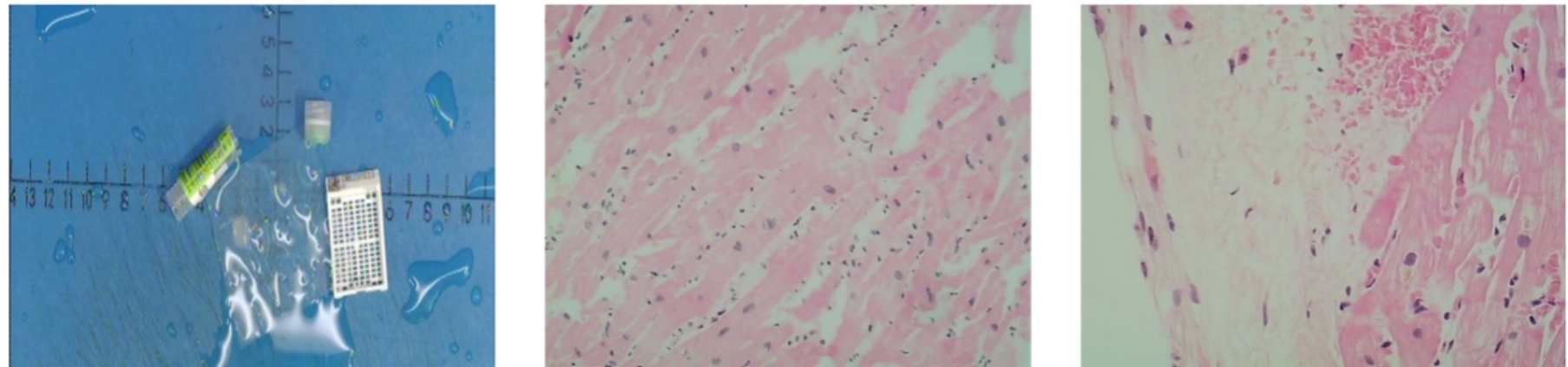
患者,男性,28岁,因“活动后气促半月余,加重10天”入院,既往有高血压、高尿酸血症病史。患者半月前受凉后出现活动后气促,伴咳嗽、咳黄色脓痰,自行服用感冒药(具体不详)后症状好转。10天前患者无明显诱因出现胸闷、气促,伴夜间阵发性呼吸困难、端坐呼吸,于当地医院完善心脏彩超提示左房、左室增大,主动脉关闭不全(轻),二三尖瓣关闭不全(轻),左室收缩功能降低,诊断为“心功能不全,肺炎”,予以抗感染、抗心衰等治疗效果不佳遂就诊于我院。查体:BP:168/104 mmHg。神清。双肺呼吸音稍粗,双下肺可闻及散在湿啰音。心界左大,心率117次/分,律齐,心音低钝,各瓣膜听诊区未闻及病理性杂音。腹部体查无特殊。双下肢不肿。生理反射存在,病理反射未引出。辅助检查:(1) 入院首次心脏彩超:LVEF 40% LA 49 mm RV 29 mm LVDd 63 mm LVDs 59 mm,室间隔增厚,左室后壁增厚,室壁运动普遍低平。(2) 脑钠肽3120 ng/L,肌钙蛋白I 0.060 μg/L,α-半乳糖甘酶A (−)。(3) 心脏MR:左房前后径约56 mm,左室舒张末期横径约71 mm;左室整体舒张及收缩功能减低。(4) 冠脉造影示:右冠优势型,LM (−),LAD近段斑块形成,前向血流TIMI 3级;LCX近段斑块形成,前向血流TIMI 3级;RCA未见明显狭窄,前向血流TIMI 3级。(5) 超声心肌应变成像提示:左室整体纵向应变显著减低:心尖、前壁、下壁尤为明显,侧壁基底段、后间隔基底段保留。(6) 动态心电图:窦性心律,偶发室性早搏,T波改变,心率变异性(HRV) SDNN > 100 ms (正常),心室晚电位阳性。(7) 心肌活检:心肌细胞空泡变性,间质增宽、多灶出血,散在少量淋巴细胞浸润,提示心肌炎可能(如图1)。免疫组化:CD3散在淋巴细胞+,CD4散在T淋巴细胞+,CD8个别T淋巴细胞+,CD68−,CD20−,SMA心肌细胞表达明显增加,CD31显示心肌血管标志物明显增多,Kappa间质+,Lambda间质+,AA−,TTR−,LECT2−,gel背景染色,ApoAI−,ApoAII−,ApoAIV−。特殊染色:MASSON显示局部心内膜下和小灶心肌细胞间纤维组织轻度增生,PAS显示心肌细胞糖原无增加,AB-PAS−,网染显示肌细胞网状支架保存,六胺银染色和DPAS染色未见真菌,抗酸染色未见抗酸杆菌。原位杂交:EBER−,CMV−。(5) 初步诊断:(a) 慢性心功能不全急性加重;(b) 扩张型心肌病((i) 病毒性心肌炎;(ii) 心功能III级);(c) 高血压;(d) 高尿酸血症。

2. 诊治经过

入院后暂按急性心力衰竭诊治,予呋塞米20 mg qd + 美托洛尔23.75 mg qd + 螺内酯20 mg qd + 达格列净10 mg qd + 沙库巴曲缬沙坦50 mg bid抗心衰,辅以抗感染等对症治疗,期间患者心功能一度恶化,LVEF最低为32%,调整为规范五联治疗方案:① 改善预后药物(GDMT,指南导向药物治疗):螺内酯20 mg qd + 达格列净10 mg qd + 维立西呱5 mg qd + 沙库巴曲缬沙坦100 mg bid + 美托洛尔47.5 mg qd;② 改善症状药物:呋塞米20 mg qd,症状好转后出院规律随访。随访期间根据患者心功能恢复情况2个月后停用呋塞米与维立西呱,维持四联GDMT方案治疗(螺内酯20 mg qd + 达格列净10 mg qd + 沙库巴曲缬沙坦100 mg bid + 美托洛尔47.5 mg qd),治疗后心功能指标持续改善(见表1)。

Figure 1. Pathological findings of endomyocardial biopsy tissue

1. 心内膜心肌活检组织病理

Table 1. Changes in cardiac color doppler ultrasound indicators during follow-up

1. 随访过程中心脏彩超指标变化

方案

时间()

LVEF (%)

LA (mm)

RA (mm)

LV (mm)

五联

2

58

37

25

54

四联GDMT

4

55

37

22

54

四联GDMT

6

58

36

23

52

四联GDMT

8

57

36

24

52

四联

10

61

38

21

49

3. 讨论

扩张型心肌病是一种以心室扩大和收缩功能进行性减退为特征的心肌疾病,常导致充血性心力衰竭,其患病率高于其他类型心肌病,且约2/3患者死于心力衰竭或心力衰竭引起的并发症如血栓栓塞、心律失常等,其余死于心源性猝死[1]

本例患者以急性心衰为临床表现,影像学检查提示左心扩大、室壁运动普遍低平、射血分数下降,不排外DCM,患者否认既往有自身免疫性疾病、代谢性内分泌性疾病,否认遗传性家族史、饮酒史,肌钙蛋白I轻度升高,完善冠脉造影排除冠心病,法布雷定筛查(α-半乳糖甘酶A阴性)排除法布雷定心肌病,自身免疫抗体谱、甲状腺功能等检查排除其他可能引起的心脏扩大及心功能下降的疾病[2],为进一步明确患者病因,根据2024心肌病心内膜心肌活检及病理检查临床应用指南[3],患者符合心肌活检指征,经患者及其家属签署知情同意书后,完善心肌活检,排除因淀粉样变性、药物或毒物、糖原贮积病、其他特殊感染所引起的继发性扩张型心肌病,支持“病毒性心肌炎后DCM”的诊断。明确诊断后予抗心衰、抗感染等对症支持治疗,其心力衰竭诊治过程中严格遵循《中国心力衰竭诊断和治疗指南2024》推荐以指南导向药物治疗(GDMT)为基础的联合治疗方案[4],通过规范联合治疗后,患者的左心大小回缩,射血分数恢复正常范围,心功能改善,治疗效果显著。

DCM的病理生理是一个心肌损害进而泵功能下降,神经内分泌过度激活导致心室重构,最终泵功能进一步恶化的恶性循环过程[5]。当前DCM的治疗核心是基于病理生理机制的靶向干预,其机制[2] [6]可能涉及到抑制神经内分泌过度激活、逆转心室重构、改善心肌代谢。血管紧张素受体脑啡肽酶抑制剂(ARIN)、血管紧张素转化酶抑制剂(ACEI)/血管紧张素受体拮抗剂(ARB)、盐皮质激素受体拮抗剂(MRA)、β受体阻滞剂通过抑制过度激活的利钠肽系统、肾素–血管紧张素–醛固酮系统和交感神经系统,减少心肌耗氧和毒性作用,减轻心脏负荷,改善心室重构、延缓心室扩大。钠–葡萄糖协同转运蛋白2抑制剂(SGLT-2i)通过排钠、排糖、改善能量代谢等多重作用保护心肌。可溶性鸟苷酸环化酶激活剂(sGC)通过调节一氧化氮通路,强化重构逆转。

该患者根据心功能分期处于DCM的中期阶段,治疗目的以缓解症状和改善预后为主[4],明确诊断后立即启用以ARIN、β受体阻滞剂、MRA和SGLT-2i为核心四联药物治疗,并根据患者病情逐渐调整至目标剂量,稳定后联合使用维立西呱,通过抑制神经内分泌系统的过度激活,逆转心室重构改善预后发挥作用。经规范联合治疗后,患者左心室内径回缩,LVEF显著提升并维持于正常范围,体现了早期、联合、足量应用指南推荐药物在逆转心室重构、改善预后中的关键作用。同时有相关研究证实以ARIN、ARB/ACEI、MRA、β受体阻滞剂为核心药物组合,不仅能通过抑制心衰病理生理三大系统的激活,也被证实可降低DCM患者的病死率[4]

因此,对于临床疑似DCM,尤其是伴有心腔扩大、收缩功能下降的患者,应积极进行病因筛查,必要时行心肌活检明确诊断,为精准治疗提供依据。并尽早启动抗心衰“五联”药物长期治疗并定期随访,以降低病死率。该病例体现了DCM精准诊断、规范联合治疗及长期随访的重要性,为临床类似病例的诊疗提供了参考。

声 明

所有作者均审阅并同意稿件内容,无利益冲突;本病例诊疗数据真实可靠,已获得患者及家属知情同意。

NOTES

*通讯作者。

参考文献

[1] 张舒媛, 高仕奇, 王泽源, 等. 扩张型心肌病患者长期预后及危险因素分析[J]. 中华心血管病杂志, 2024, 52(4): 384-390.
[2] Heymans, S., Lakdawala, N.K., Tschöpe, C., et al. (2023) Dilated Cardiomyopathy: Causes, Mechanisms, and Current and Future Treatment Approaches. Lancet (London, England), 402, 998-1011. [Google Scholar] [CrossRef
[3] 国家心血管病中心心肌病专科联盟, 中国医疗保健国际交流促进会心血管病精准医学分会, 心肌病心内膜心肌活检及病理检查临床应用指南专家组, 等. 心肌病心内膜心肌活检及病理检查临床应用指南[J]. 中国循环杂志, 2024, 39(12): 1145-1155.
[4] 闻青松, 肖纯. 扩张型心肌病诊治进展[J]. 中国实用医药, 2019, 14(14): 196-197.
[5] Harding, D., Chong, M.H.A., Lahoti, N., et al. (2023) Dilated Cardiomyopathy and Chronic Cardiac Inflammation: Pathogenesis, Diagnosis and Therapy. Journal of Internal Medicine, 293, 23-47. [Google Scholar] [CrossRef] [PubMed]
[6] 王家琪, 陈东, 郑梦晗, 等. 射血分数降低的心力衰竭患者心内膜心肌活检及超微结构特征分析[J]. 中华病理学杂志, 2025, 54(3): 259-265.