青少年肾上腺血管瘤1例报告及文献复习
Adrenal Hemangioma in an Adolescent: A Case Report and Literature Review
DOI: 10.12677/acm.2026.162554, PDF, HTML, XML,   
作者: 谷立宏, 张 云:吉首大学医学院,湖南 吉首;株洲市中心医院泌尿外一科,湖南 株洲;李钰琦, 田 章, 谌 磊, 舒林飞*:株洲市中心医院泌尿外一科,湖南 株洲
关键词: 肾上腺血管瘤肾上腺肿瘤血管瘤肾上腺青少年腹腔镜肾上腺切除术Adrenal Hemangioma Adrenal Tumor Hemangioma Adrenal Gland Adolescent Laparoscopic Adrenalectomy
摘要: 目的:报道1例青少年肾上腺血管瘤并探讨其临床特征、诊断思路及治疗策略。方法:回顾性分析1例16岁男性肾上腺血管瘤患者的临床资料,包括临床表现、实验室检查、影像学特征、手术治疗、病理结果及随访情况,并复习相关文献。结果:患者因腹痛就诊时偶然发现右侧肾上腺占位。详细的全身体格检查未见皮肤黏膜血管瘤、血管畸形或四肢发育异常,排除了血管瘤综合征。内分泌功能检查显示皮质醇昼夜节律、醛固酮/肾素活性比值、儿茶酚胺及其代谢产物均正常,证实为无功能性肿瘤。腹部CT平扫显示右肾上腺区55 mm × 51 mm肿块,CT值32 ± 18 HU,增强扫描呈明显不均匀强化(CT值60 ± 30 HU),缺乏血管瘤典型的“灯泡征”和“向心性充填”强化模式,术前考虑肾上腺偶发瘤,恶性不能排除。行腹腔镜右侧肾上腺切除术,术中见肿瘤血供丰富,与周围组织分界清楚。术后病理证实为肾上腺血管瘤,免疫组化CD34 (+)、ERG (+)、SMA (脉管+)、Ki-67 (约1%+),其余标记物阴性。术后随访6个月,患者恢复良好,无复发征象。结论:本例为目前文献报道最年轻的肾上腺血管瘤病例,扩展了该病的年龄发病谱。肾上腺血管瘤虽极为罕见,但可发生于任何年龄,临床医师在青少年肾上腺偶发瘤的鉴别诊断中应将其纳入考虑。详细的全身体格检查对排除血管瘤综合征、明确孤立性肾上腺病变至关重要。对于平扫CT值10~40 HU的乏脂性肾上腺肿瘤,当影像学缺乏典型血管瘤征象时,应重点关注CT值不均匀性、边缘结节状强化及延迟期持续强化等特征,结合内分泌功能评估进行综合鉴别。腹腔镜肾上腺切除术是安全有效的首选治疗方式,术中需警惕肿瘤血供丰富的特点。青少年患者需制定个体化长期随访方案,包括影像学监测、内分泌功能评估和生长发育监测,建议至少随访至成年期。
Abstract: Objective: To report a case of adrenal hemangioma in an adolescent and investigate its clinical characteristics, diagnostic approach, and therapeutic strategy. Methods: We retrospectively analyzed the clinical data of a 16-year-old male patient with adrenal hemangioma, including clinical presentation, laboratory examinations, imaging features, surgical treatment, pathological findings, and follow-up outcomes, with a comprehensive literature review. Results: The patient presented with an incidentally discovered right adrenal mass during evaluation for abdominal pain. Comprehensive physical examination revealed no cutaneous or mucosal hemangiomas, vascular malformations, or limb asymmetry, effectively excluding hemangioma syndromes. Endocrine workup confirmed a non-functional tumor with normal cortisol circadian rhythm, aldosterone-to-renin ratio, and catecholamine metabolite levels. Abdominal CT demonstrated a 55 mm × 51 mm right adrenal mass with unenhanced CT attenuation of 32 ± 18 HU and marked heterogeneous enhancement (60 ± 30 HU) on contrast-enhanced imaging, lacking the typical “light bulb sign” and “centripetal fill-in” pattern characteristic of hemangiomas. Preoperatively, the lesion was considered an adrenal incidentaloma with malignancy potential. Laparoscopic right adrenalectomy was performed, revealing a hypervascular tumor with well-defined margins. Histopathological examination confirmed Adrenal hemangioma with immunohistochemical findings of CD34 (+), ERG (+), SMA (vascular+), and Ki-67 (approximately 1%+), while other markers were negative. At 6-month follow-up, the patient recovered well without evidence of recurrence. Conclusion: This case represents the youngest reported adrenal hemangioma patient in the literature, expanding the age spectrum of this disease. Although extremely rare, adrenal hemangioma can occur at any age and should be included in the differential diagnosis of adrenal incidentalomas in adolescents. Thorough physical examination is crucial for excluding hemangioma syndromes and confirming isolated adrenal involvement. For lipid-poor adrenal tumors (unenhanced CT attenuation 10~40 HU) lacking typical hemangioma features, differential diagnosis should focus on CT attenuation heterogeneity, peripheral nodular enhancement pattern, and delayed persistent enhancement, integrated with endocrine functional assessment. Laparoscopic adrenalectomy is the safe and effective treatment of choice, though surgeons must be vigilant regarding the hypervascular nature of these tumors. Adolescent patients require individualized long-term follow-up protocols including imaging surveillance, endocrine function assessment, and growth and development monitoring, with follow-up recommended at least until adulthood.
文章引用:谷立宏, 李钰琦, 田章, 张云, 谌磊, 舒林飞. 青少年肾上腺血管瘤1例报告及文献复习[J]. 临床医学进展, 2026, 16(2): 1628-1634. https://doi.org/10.12677/acm.2026.162554

1. 病例报告

1.1. 病史资料

患者男性,16岁,因“发现右侧肾上腺占位1月”入院。1月前患者因“腹痛”于急诊就诊时意外发现肾上腺占位病变,无头晕、头痛、心悸、胸闷、腰痛等不适症状,大小便正常,血压平稳无明显波动。体格检查:全身皮肤及黏膜无溃疡、瘢痕、窦道、色素沉着,全身浅表皮肤未见血管瘤、血管畸形,四肢发育对称、无肢体肥大。腹部平软,无压痛及反跳痛,双肾区无叩击痛。既往体健,否认其他疾病史。

1.2. 实验室检查

入院后完善相关检查,血常规、尿常规、肝肾功能、电解质、输血前四项等均未见明显异常。

内分泌功能检查:

(1) 肾上腺皮质功能:皮质醇昼夜节律呈正常生理变化,0:00为0.90 μg/dL,次日8:00为13.50 μg/dL,次日16:00为12.40 μg/dL;24小时尿皮质醇54.00 μg/24h (参考值4.30~176.00 μg/24h),提示肾上腺皮质功能正常。

(2) 肾素–醛固酮系统:立位肾素65.30 μIU/mL,立位醛固酮14.51 ng/dL;卧位肾素60.30 μIU/mL,卧位醛固酮19.43 ng/dL。肾素活性轻度升高,但醛固酮/肾素活性比值(ARR)立位0.22、卧位0.32 (正常范围0.0~3.00),排除原发性醛固酮增多症。

(3) 嗜铬细胞瘤功能筛查:血浆儿茶酚胺谱检测示多巴胺22.00 pg/mL、去甲肾上腺素442.16 pg/mL、肾上腺素38.73 pg/mL、甲氧基去甲肾上腺素92.73 pg/mL、甲氧基肾上腺素31.48 pg/mL、3-甲氧基香草酸10.92 pg/mL、高香草酸12.76 ng/mL、香草扁桃酸5.74 ng/mL,均在正常范围内;24小时尿儿茶酚胺代谢物检测示甲氧基肾上腺素175 nmol/24h、甲氧基去甲肾上腺素143 nmol/24h、3-甲氧基香草酸348 nmol/24h,均在正常范围,排除功能性嗜铬细胞瘤。

(4) 其他内分泌指标:促肾上腺皮质激素2.92 pmol/L、全段甲状旁腺激素57.50 pg/mL、睾酮3.96 ng/mL等均在正常范围。

1.3. 影像学检查

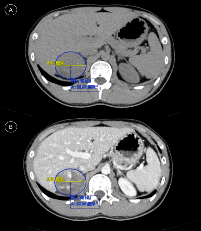
腹部CT平扫 + 增强:(见图1(A))右侧肾上腺区可见团块状软组织密度影,大小约55 mm × 51 mm,边界尚清晰,内部密度不均匀,平扫CT值约32 ± 18 HU;增强扫描(见图1(B))呈明显不均匀强化,CT值约60 ± 30 HU。双肾及左侧肾上腺未见明显异常,腹膜后及盆腔未见明显肿大淋巴结。影像学诊断考虑:右侧肾上腺意外瘤,恶性可能?

其他检查:胸片、心电图、心脏彩超等均未见异常。

1.4. 诊疗经过

综合患者病史、体格检查及辅助检查结果,术前考虑无功能性肾上腺偶发瘤。完善术前准备后行腹腔镜右侧肾上腺切除术。术中见肿瘤血供丰富,与周围组织分界清楚,完整切除肾上腺及肿块,手术顺利。

1.5. 病理结果

大体所见:送检肿块大小约4.8 cm × 4.0 cm × 3.5 cm。

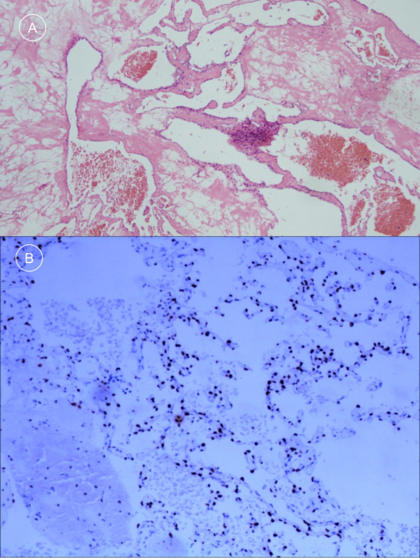
镜下所见:低倍镜下(见图2(A))可见肾上腺组织内及周边散在不规则薄壁脉管状结构,间质疏松水肿,考虑脉管源性肿瘤。

免疫组化结果(见图2(B)):CD34 (+),ERG (+),SMA (脉管+),Desmin (−),S100 (−),Ki-67 (约1%+),HMB45 (−),Melan A (−),D2-40 (−),MDM2 (−),CDK4 (−),P16/mts1 (+),Syn (−),CgA (−)。

病理诊断:右侧肾上腺血管瘤。

1.6. 预后与随访

患者术后恢复顺利,切口愈合良好,无并发症发生。随访6个月,未见肿瘤复发及其他并发症。

注:(A) CT平扫示右侧肾上腺区可见团块状软组织密度影,边界尚清,密度不均匀,CT值约32 ± 18 HU,大小约55 mm × 51 mm;(B) 增强扫描示肿块呈明显不均匀强化,CT值约60 ± 30 HU。

Figure 1. CT imaging features of the right adrenal mass

1. 右侧肾上腺肿块的CT影像表现

注:(A) 低倍镜下(HE, ×10)肾上腺组织内及周边可见不规则薄壁脉管样结构,间质疏松水肿;(B) 免疫组化结果:CD34 (+)、ERG (+)、SMA (脉管+)、Desmin (−)、S100 (−)、Ki-67 (约1%+)、HMB45 (−)、Melan A (−)、D2-40 (−)、MDM2 (−)、CDK4 (−)、P16/mts1 (+)、Syn (−)、CgA (−)。

Figure 2. Histopathological and immunohistochemical findings

2. 病理组织学及免疫组化表现

2. 讨论

肾上腺血管瘤(Adrenal Hemangioma, AH)是一种极为罕见的肾上腺良性肿瘤,发病率低于0.1% [1],自1955年首次报道以来[2]全球文献报道仅约100例[3] [4]。该病通常表现为单侧病变,好发于40~70岁中老年人群,女性发病率显著高于男性,男女比例约为1:2 [5] [6]。这种性别差异可能与女性体内激素环境对血管内皮细胞增殖的影响有关。本例16岁男性患者成为目前文献报道的最年轻病例,较既往Aljabri等报道的19岁女性患者[7]年龄更小,这一发现扩展了肾上腺血管瘤的年龄发病谱,提示临床医师在青少年肾上腺偶发瘤的鉴别诊断中必须将肾上腺血管瘤纳入考虑范围。青少年期发病的罕见性也提示该病的发病机制可能不仅限于年龄相关的血管退行性改变,还可能涉及先天性血管发育异常或基因易感性等因素。值得强调的是,本例经详细体格检查证实为孤立性肾上腺血管瘤,而非全身血管瘤综合征的组成部分。多种先天性血管瘤综合征可累及内脏器官,包括Klippel-Trenaunay综合征(皮肤葡萄酒色斑、静脉曲张、患肢肥大三联征)、Sturge-Weber综合征(面部三叉神经分布区血管瘤、软脑膜血管瘤、青光眼)、PHACE综合征(后颅窝畸形、血管瘤、动脉异常、心脏缺损、眼部异常)及遗传性出血性毛细血管扩张症(Osler-Weber-Rendu病,表现为鼻衄、皮肤黏膜毛细血管扩张、内脏血管畸形)等。本例患者全身皮肤黏膜检查未见血管瘤、血管畸形、色素沉着斑或毛细血管扩张,四肢发育对称无肥大,有效排除了上述综合征。这一鉴别具有重要临床意义:孤立性肾上腺血管瘤完整切除后预后极佳,而血管瘤综合征患者则需多学科协作进行系统评估和长期随访。对于青少年肾上腺血管瘤患者,临床医师应常规进行详细的全身体格检查,以明确病变性质并制定个体化的诊疗方案。AH绝大多数为无功能性肿瘤,临床表现缺乏特异性,约70%~80%的病例在体检或因其他疾病检查时偶然发现[3] [8]。本例患者因腹痛就诊时偶然发现肾上腺占位,无高血压、心悸、多汗等嗜铬细胞瘤典型症状,也无库欣综合征或原发性醛固酮增多症的表现。内分泌功能检查显示皮质醇昼夜节律正常、醛固酮/肾素活性比值正常、儿茶酚胺及其代谢产物均在正常范围,证实了肿瘤的无功能性。影像学检查是术前诊断肾上腺病变的关键,但AH的影像学表现缺乏特异性[9] [10]。CT平扫时,小肿瘤(<3 cm)多呈均匀低密度;大肿瘤(≥3 cm)常因内部出血、坏死或囊变而呈不均匀密度,约30%~40%可见斑点状、线条样钙化[11] [12]。CT动态增强扫描具有重要诊断价值,小肿瘤表现为“早出晚归”的强化方式:动脉期明显强化与腹主动脉程度相近,延迟期呈“充填样”改变,反映血管瘤内“血池效应”[13] [14]。较大肿瘤增强扫描常表现为不均匀强化,仅边缘或分隔明显强化[10] [15]。MRI的T1WI呈不均匀低信号,T2WI呈高信号,但大肿瘤信号不均匀[16]。本例CT显示右肾上腺区55 mm × 51 mm肿块,平扫CT值约32 ± 18 HU,增强扫描呈明显不均匀强化,CT值约60 ± 30 HU,符合大肿瘤的“边缘强化为主”模式。遗憾的是,由于技术条件限制,本例未完成MRI检查和动态增强CT扫描,一定程度上影响了术前诊断的准确性。值得注意的是,本例影像学缺乏血管瘤常见的“灯泡征”(T2WI极高信号)和“向心性充填”强化模式,这给术前诊断带来了挑战。当肾上腺占位表现为乏脂性肿瘤(平扫CT值 > 10 HU)且无典型血管瘤征象时,需结合以下要点与其他乏脂性肿瘤进行鉴别:(1) 嗜铬细胞瘤:典型表现为高血压危象、心悸、多汗、头痛三联征,儿茶酚胺显著升高,CT增强呈“快进快出”较均匀强化,与血管瘤的“早出晚归”不均匀强化截然不同,本例内分泌检查正常可排除[3];(2) 肾上腺皮质腺瘤:富脂性腺瘤CT平扫密度低(<10 HU)易于鉴别,乏脂性腺瘤CT值多在10~30 HU之间且密度较均匀,直径通常 < 4 cm,本例CT平扫32 ± 18 HU处于较高范围且存在明显不均匀性(标准差较大),提示病灶内部存在不同密度成分,这与腺瘤均质低密度的特点不同,加之肿瘤直径5.5 cm,可初步排除[17];(3) 肾上腺囊肿:增强扫描无强化或仅壁薄强化,本例增强扫描呈明显强化可排除;(4) 肾上腺皮质癌:肿瘤通常 > 4 cm,虽也可表现为不均匀强化,但常伴坏死、钙化及边界不规则,可见侵犯周围结构,本例肿瘤边界清晰、无周围侵犯征象,但肿瘤直径较大、CT值偏高需警惕恶性可能[18]。此外,对于大肿瘤(≥3 cm),即使无典型“向心性充填”,边缘结节状强化伴中央低密度(提示血窦、坏死或纤维化)仍可作为血管瘤的诊断线索;尽管本例未完成延迟期扫描,但文献报道血管瘤延迟期对比剂持续滞留(“晚归”现象)是与其他乏脂性肿瘤鉴别的关键,建议对疑似病例完善多期增强扫描。综合分析,对于平扫CT值10~40 HU、增强呈不均匀强化、边界清晰的肾上腺乏脂性肿瘤,在排除内分泌功能异常后,应将血管瘤纳入鉴别诊断。根据2022年《中国泌尿外科和男科疾病诊断治疗指南》[17],CT平扫 > 10 HU且直径 ≥ 4 cm的肾上腺占位具有明确手术指征,本例符合标准。腹腔镜肾上腺切除术已成为首选术式[18] [19],其优势包括创伤小、出血少、术后恢复快。肾上腺血管瘤血供丰富,术中应首先分离并结扎肾上腺中央静脉,避免大出血[20]。本例术中见肿瘤血供丰富,与周围组织分界清楚,完整切除肾上腺及肿块,体现了术者对血管性肿瘤特点的充分认识。肾上腺血管瘤的确诊依赖术后病理检查。组织学上,海绵状血管瘤由扩张的薄壁血管腔组成[21]。本例镜下所见“肾上腺组织内及周边散在不规则薄壁脉管状结构,间质疏松水肿”符合典型特征。免疫组化CD34和ERG阳性证实血管源性,Ki-67增殖指数约1%表明良性[6] [22],其他标志物阴性排除神经源性肿瘤、淋巴管瘤等鉴别诊断。肾上腺血管瘤完整切除后预后极佳,文献报道复发率 < 1% [23],本例术后6个月随访无复发。鉴于患者年龄较小且病例罕见,建议制定个体化长期随访方案:(1) 影像学监测:定期腹部CT或MRI评估术区有无复发、对侧肾上腺有无新发病变,首选MRI避免辐射累积;(2) 内分泌功能评估:定期检测皮质醇昼夜节律、ACTH、性激素谱,评估肾上腺皮质功能和性腺轴发育;(3) 生长发育监测:定期测量身高、体重,评估第二性征发育;(4) 心理支持:提供长期心理支持和健康教育,帮助患者建立正确疾病认知。建议术后1年内每3个月复查一次,1~3年每6个月复查一次,3~5年每年复查一次,考虑青春期发育特殊性,建议至少随访至成年(18岁) [24]。未来研究应关注:(1) 利用基因组学技术探索肾上腺血管瘤的基因突变谱和血管生成相关基因(VEGF、FGF、PDGF等)的表达异常[25];(2) 开展多中心研究建立标准化影像学诊断评分系统[10];(3) 探索小肿瘤保守观察或微创治疗的可行性[26];(4) 建立青少年病例登记数据库,评估长期内分泌功能和生活质量。综上所述,本例青少年肾上腺血管瘤病例提醒我们:肾上腺血管瘤虽罕见但可发生于任何年龄,术前影像学和内分泌功能评估是鉴别诊断关键,腹腔镜肾上腺切除术是安全有效的首选术式,青少年患者需要个体化长期随访和心理社会支持。

声 明

该病例报道已获得病人的知情同意。

NOTES

*通讯作者。

参考文献

[1] Heis, H.A., Bani-Hani, K.E. and Bani-Hani, B.K. (2008) Adrenal Cavernous Haemangioma. Singapore Medical Journal, 49, e236-e237.
[2] Johnson, C.C. and Jeppesen, F.B. (1955) Hemangioma of the Adrenal. Journal of Urology, 74, 573-577. [Google Scholar] [CrossRef] [PubMed]
[3] Zuo, Y., Liang, Z., Yang, S., Pan, B., Cheng, S., Zhou, Z., et al. (2024) Clinical Characteristics of Adrenal Hemangioma. Journal of the Endocrine Society, 8, bvae041. [Google Scholar] [CrossRef] [PubMed]
[4] Tan, T., Diab, J., Chia, P., Singh, A., Campbell, P. and Guevara, R. (2024) An Imaging and Diagnostic Conundrum—The Adrenal Haemangioma. Journal of Surgical Case Reports, 2024, rjae286. [Google Scholar] [CrossRef] [PubMed]
[5] Noh, J.J., Choi, S.H., Hwang, H.K., et al. (2014) Adrenal Cavernous Hemangioma: A Case Report with Review of the Literature. JOP, 15, 254-257.
[6] Degheili, J.A., Abou Heidar, N.F., El-Moussawi, M., Tawil, A. and Nasr, R.W. (2019) Adrenal Cavernous Hemangioma: A Rarely Perceived Pathology—Case Illustration and Review of Literature. Case Reports in Pathology, 2019, 1-9. [Google Scholar] [CrossRef] [PubMed]
[7] Aljabri, K.S., Bokhari, S.A. and Alkeraithi, M. (2011) Adrenal Hemangioma in a 19-Year-Old Female. Annals of Saudi Medicine, 31, 421-423. [Google Scholar] [CrossRef] [PubMed]
[8] Al-Rawashdah, S., Mansi, H., Pastore, A.L. and Carbone, A. (2021) Adrenal Cavernous Hemangioma;a Rare Diagnosis of Adrenal Incidentaloma: A Case Report, and Literature Review. Urology Case Reports, 34, Article 101477. [Google Scholar] [CrossRef] [PubMed]
[9] Abou El-Ghar, M., Refaie, H., El-Hefnawy, A. and El-Diasty, T. (2011) Adrenal Hemangioma: Findings at Multidetector CT with Short Review of the Literature. Case Reports in Radiology, 2011, 1-3. [Google Scholar] [CrossRef] [PubMed]
[10] Duan, H., Wang, X., LI, Y., Wang, M., Li, T., Zhong, Y., et al. (2025) CT and MRI Features of Adrenal Hemangioma: A Study of 21 Cases from Two Centers. European Journal of Radiology, 183, Article 111864. [Google Scholar] [CrossRef] [PubMed]
[11] Deckers, F., Schepper, A.D., Shamsi, K., Hauben, E. and March, E.V. (1993) Cavernous Hemangioma of the Adrenal Gland. Journal of Computer Assisted Tomography, 17, 506-507. [Google Scholar] [CrossRef] [PubMed]
[12] Arkadopoulos, N., Kyriazi, M., Yiallourou, A.I., Stafyla, V.K., Theodosopoulos, T., Dafnios, N., et al. (2009) A Rare Coexistence of Adrenal Cavernous Hemangioma with Extramedullar Hemopoietic Tissue: A Case Report and Brief Review of the Literature. World Journal of Surgical Oncology, 7, Article No. 13. [Google Scholar] [CrossRef] [PubMed]
[13] Huang, H., Wu, X., Lin, X., Li, D. and Zeng, J. (2021) Clinical Features and Outcomes of Adrenal Cavernous Hemangioma: A Study of 8 Cases from a Single Center. International Journal of Endocrinology, 2021, 1-6. [Google Scholar] [CrossRef] [PubMed]
[14] Nishtala, M., Cai, D., Baughman, W. and McHenry, C.R. (2019) Adrenal Cavernous Hemangioma: A Rare Tumor That Mimics Adrenal Cortical Carcinoma. Surgery Open Science, 1, 7-13. [Google Scholar] [CrossRef] [PubMed]
[15] Coscia, K., Ravaioli, C., Tucci, L., Colombin, G., Donnarumma, F., Mosconi, C., et al. (2025) The Diagnostic Dilemma of Adrenal Vascular Tumors: Analysis of 21 Cases and Systematic Review of the Literature. Endocrine, 87, 1291-1304. [Google Scholar] [CrossRef] [PubMed]
[16] González Duarte, D.J., Serrano Romero, M., García García-Doncel, L., Baena Nieto, G. and Sáenz De Tejada Valdivia, P. (2012) Large Adrenal Cavernous Hemangioma as an Unexpected Finding after Work-Up of an Abdominal Mass. Endocrinología y Nutrición (English Edition), 59, 81-83. [Google Scholar] [CrossRef
[17] Mayo-Smith, W.W., Song, J.H., Boland, G.L., Francis, I.R., Israel, G.M., Mazzaglia, P.J., et al. (2017) Management of Incidental Adrenal Masses: A White Paper of the ACR Incidental Findings Committee. Journal of the American College of Radiology, 14, 1038-1044. [Google Scholar] [CrossRef] [PubMed]
[18] Fassnacht, M., Dekkers, O.M., Else, T., Baudin, E., Berruti, A., de Krijger, R.R., et al. (2018) European Society of Endocrinology Clinical Practice Guidelines on the Management of Adrenocortical Carcinoma in Adults, in Collaboration with the European Network for the Study of Adrenal Tumors. European Journal of Endocrinology, 179, G1-G46. [Google Scholar] [CrossRef] [PubMed]
[19] 黄健, 张旭. 中国泌尿外科和男科疾病诊断治疗指南: 2022版[M]. 北京: 科学出版社, 2022.
[20] Telem, D.A., Nguyen, S.Q., Chin, E.H., et al. (2009) Laparoscopic Resection of Giant Adrenal Cavernous Hemangioma. Journal of the Society of Laparoendoscopic Surgeons, 13, 260-262.
[21] Yip, L., Duh, Q., Wachtel, H., Jimenez, C., Sturgeon, C., Lee, C., et al. (2022) American Association of Endocrine Surgeons Guidelines for Adrenalectomy: Executive Summary. JAMA Surgery, 157, 870-877. [Google Scholar] [CrossRef] [PubMed]
[22] Huang, T., Yang, Q., Hu, Y. and Wu, H. (2021) Adrenal Cavernous Hemangioma Misdiagnosed as Pheochromocytoma: A Case Report. BMC Surgery, 21, Article No. 210. [Google Scholar] [CrossRef] [PubMed]
[23] Orringer, R.D., Lynch, J.A. and McDermott, W.V. (1983) Cavernous Hemangioma of the Adrenal Gland. Journal of Surgical Oncology, 22, 106-108. [Google Scholar] [CrossRef] [PubMed]
[24] Antar, R.M., Farag, C.M., Youssef, K., Xu, V., Drouaud, A., Panitch, N., et al. (2023) Rare Adrenal Cavernous Hemangioma: A Case Report Highlighting Diagnostic Challenges. Frontiers in Surgery, 10, Article 1293925. [Google Scholar] [CrossRef] [PubMed]
[25] Nursal, T.Z., Yildirim, S. and Tarim, A. (2004) Giant Adrenal Hemangioma: A Case Report. Acta Chirurgica Belgica, 104, 224-225. [Google Scholar] [CrossRef] [PubMed]
[26] Fassnacht, M., Arlt, W., Bancos, I., Dralle, H., Newell-Price, J., Sahdev, A., et al. (2016) Management of Adrenal Incidentalomas: European Society of Endocrinology Clinical Practice Guideline in Collaboration with the European Network for the Study of Adrenal Tumors. European Journal of Endocrinology, 175, G1-G34. [Google Scholar] [CrossRef] [PubMed]