1例以自主神经功能障碍首发的额颞叶痴呆
A Case Report of Frontotemporal Dementia Presenting with Autonomic Nervous System Dysfunction as the Initial Manifestation
DOI: 10.12677/acm.2026.162560, PDF, HTML, XML,    科研立项经费支持
作者: 范秋月, 周 靖, 李 雷, 贺 燕, 徐 华*:山东第一医科大学第一附属医院(山东省千佛山医院)老年医学科–神经内科,山东 济南;王梦晗:山东第一医科大学(山东省医学科学院)临床与基础医学院,山东 济南
关键词: 额颞叶痴呆行为变异型自主神经功能障碍体位性晕厥误诊Frontotemporal Dementia Behavioral Variant Autonomic Nerve Dysfunction Orthostatic Syncope Misdiagnosis
摘要: 目的:探讨以自主神经功能障碍为首发表现的行为变异型额颞叶痴呆(bvFTD)的临床特征及诊断要点。方法:回顾性分析1例以体位性晕厥起病的bvFTD 66岁男性患者资料,结合神经心理、影像及基因检测结果,并复习文献。结果:患者反复出现体位性晕厥(直立倾斜试验阳性),4年后逐渐出现刻板行为、暴食及认知下降。神经心理评估提示重度认知障碍。颅脑MRI示双侧额颞叶萎缩,PET-CT提示额颞叶及岛叶代谢减低且Aβ阴性。排除阿尔茨海默病、多系统萎缩等疾病后,确诊bvFTD。治疗后晕厥未再发,但语言功能下降。结论:以自主神经功能障碍起病的bvFTD较为罕见,易误诊;“体位性低血压 + 额颞叶萎缩 + Aβ阴性”可作为高度提示性的特征组合,早期完善检查并随访有助于减少误诊。
Abstract: Objective: To explore the clinical characteristics and diagnostic key points of behavioral variant frontotemporal dementia (bvFTD) presenting with autonomic dysfunction as the initial manifestation. Methods: We retrospectively analyzed a case of bvFTD in a 66-year-old man who presented with postural syncope. Diagnosis was consolidated through neuropsychological assessment, imaging, and genetic testing, and a review of relevant literature. Results: The patient experienced recurrent postural syncope (positive head-up tilt test) followed by stereotyped behaviors, binge eating, and cognitive decline over four years. Neuropsychological assessment indicated severe cognitive impairment. Cranial MRI revealed bilateral frontotemporal atrophy, and PET-CT showed hypometabolism in the frontotemporal lobes and insula, with Aβ negativity. After excluding Alzheimer’s disease and multiple system atrophy, a definitive diagnosis of bvFTD was made. After treatment, syncope was resolved, but progressive language decline was observed. Conclusion: bvFTD manifesting initially with autonomic dysfunction is rare and prone to misdiagnosis. The triad of “postural hypotension, frontotemporal atrophy, and Aβ negativity” constitutes a highly suggestive diagnostic clue. Early comprehensive evaluation and sustained follow-up are essential for accurate diagnosis.
文章引用:范秋月, 王梦晗, 周靖, 李雷, 贺燕, 徐华. 1例以自主神经功能障碍首发的额颞叶痴呆[J]. 临床医学进展, 2026, 16(2): 1685-1693. https://doi.org/10.12677/acm.2026.162560

1. 引言

额颞叶痴呆(frontotemporal dementia, FTD)是一组以额颞叶选择性萎缩为核心病理特征的神经退行性疾病,其临床表型异质性强,主要包括行为变异型额颞叶痴呆(bvFTD)、原发性进行性失语(primary progressive aphasia, PPA)等亚型,其中bvFTD是最常见的亚型,约占FTD的60%~70%。FTD的发病高峰集中在45~65岁,是65岁以下早发型痴呆的第二大病因,仅次于阿尔茨海默病(Alzheimer’s disease, AD),在该年龄段痴呆人群中占比高达20%~25% [1]。随着人口老龄化进程的加快及临床诊断技术的进步,FTD的检出率逐渐升高,但由于其临床表现复杂多样,尤其是特殊表型的存在,临床误诊率仍较高。

经典bvFTD的核心临床特征以行为人格改变或语言功能障碍为首发表现,具体可表现为脱抑制行为、淡漠、刻板行为、执行功能障碍、语言表达或理解能力下降等。自主神经功能障碍(autonomic nervous system dysfunction, ANSD)是FTD常见的伴随症状,但多出现于疾病中晚期,发生率约30%~50% [2],主要表现为体位性低血压、排尿障碍、排便异常、心率调节异常等。而以自主神经功能障碍为首发症状的bvFTD极为罕见,国内外文献仅见零星个案报道[3] [4]。此类患者早期常因“晕厥、低血压、排尿异常”等症状就诊于心血管内科、泌尿外科等科室,由于缺乏典型的认知行为症状,易被误诊为心血管疾病(如心律失常、冠心病)、多系统萎缩(multiple system atrophy, MSA)、体位性心动过速综合征等,待出现明显行为人格改变或认知衰退时,往往已延误数月甚至数年,错失早期干预时机。

目前,关于以自主神经功能障碍首发的bvFTD的病理机制尚未完全明确,现有研究认为可能与额颞叶、岛叶、前扣带回等自主神经中枢调控区域的早期受累、神经递质紊乱、内感受网络功能异常等相关。此外,此类病例的病程特点、预后因素也缺乏系统研究。本文报道1例以体位性晕厥为首发症状,且自主神经症状与典型行为认知症状间隔长达4年的罕见bvFTD病例,结合详细的临床资料、辅助检查结果及最新相关文献,深入分析其临床特征、误诊原因、病理机制及治疗预后,旨在提高临床医生对FTD特殊表型的认识,优化诊断流程,为改善患者预后提供依据。

2. 病例报告

2.1. 一般资料

患者男性,66岁,大学学历,因“发作性意识不清7年,情绪行为异常伴认知减退3年”入院。患者无痴呆家族史,既往高血压病史50余年,最高血压150/100 mmHg,长期口服沙库巴曲缬沙坦治疗,血压控制欠佳;冠心病病史,已行支架置入术;否认糖尿病、脑血管疾病等其他慢性病史。

2.2. 临床表现

2.2.1. 首发症状(自主神经功能障碍相关)

7年前无明显诱因出现发作性意识不清,共发作4次,均发生于起立行走过程中,发作时无肢体抽搐、口吐白沫,醒后无记忆丧失、头痛等不适。家属未予重视,此后家属发现患者出现情绪低落、对家人漠不关心、暴饮暴食等行为改变,但生活尚能自理,未行系统检查。

2.2.2. 进展性症状

3年前,患者病情逐渐加重,表现为不能完成复杂的烹饪,语言表达能力下降,无其他不适。近2年来,患者记忆力明显下降,人格改变明显,出现随地小便、固定时间洗澡(每周五6点半)、固定时间饮食(每天下午2点吃核桃、喝牛奶)等刻板行为,且进食无节制。

2.2.3. 体格检查

血压:156/96 mmHg,心率:66次/min,心肺腹查体无异常。神经系统查体:神志清楚,对答迟缓。记忆力、定向力、计算力粗测下降,判断力、理解力等高级神经功能粗测正常。颅神经未见异常(眼球运动正常,无瞳孔异常),四肢肌力5级,肌张力正常,双侧腱反射对称(+),病理征(−);无小脑体征(指鼻试验、跟膝胫试验准确)及锥体外系体征(无静止性震颤、肌张力增高)。

2.3. 辅助检查

2.3.1. 自主神经功能相关检查

Figure 1. Upright tilt experiment

1. 直立倾斜实验

2024年9月当地医院行直立倾斜试验(硝酸甘油激发):卧位血压139/82 mmHg,心率45 bpm;基测血压122/83 mmHg,心率55 bpm;药测血压121/85 mmHg,心率76 bpm;试验结果阳性(图1),提示体位变化时血压调节机制异常。

2.3.2. 影像学检查

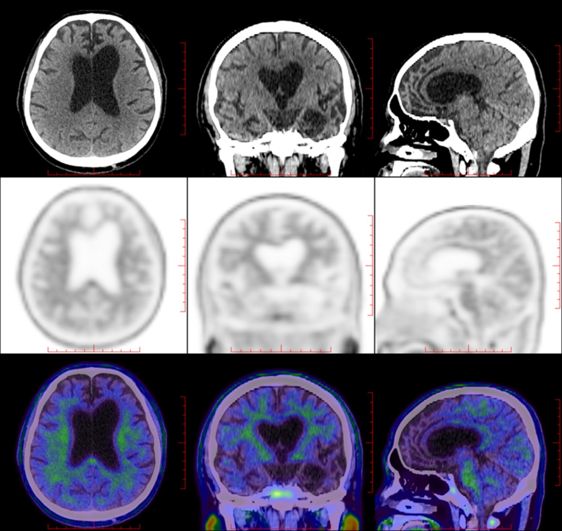
颅脑磁共振(MRI):左侧颞叶脑软化伴周围胶质增生;脑萎缩以双侧额颞叶为著,双侧海马萎缩(右侧MTA 3级,左侧MTA 4级);脑内多发缺血灶(图2),与李秋璇等[5]报道的bvFTD早期影像学特征(额颞叶为主的萎缩)一致。

Figure 2. The bilateral frontal and temporal lobe cortices have significantly thinned, the volume of the right hippocampus has decreased (Grade 3 MTA), and there are old softening lesions in the left temporal lobe

2. 双侧额颞叶皮层显著变薄,右侧海马体积缩小(MTA 3级),左侧颞叶可见陈旧性软化灶

PET-CT:大脑皮质β淀粉样蛋白(Aβ)未见明显沉积;双侧大脑半球多发皮质代谢减低,以左侧额颞叶为著;符合额颞叶痴呆影像学表现(图3图4)。

Figure 3. The cerebral cortex shows negative Aβ deposition

3. 大脑皮层Aβ沉积阴性

Figure 4. The glucose metabolism in both the bilateral frontal and temporal lobes, insula, and anterior cingulate gyrus was significantly reduced

4. 双侧额颞叶、岛叶及前扣带回葡萄糖代谢显著减低

2.3.3. 其他检查

神经心理评估:简易精神状态检查(MMSE、大学及以上文化程度):1分(重度认知障碍);蒙特利尔认知评估(MoCA):2分(存在广泛的认知功能损害);日常生活能力量表(ADL):48分(日常生活能力中度受损);神经精神问卷(NPI):55分(存在明显的精神行为症状);汉密尔顿焦虑量表:6分(无明显焦虑症状);汉密尔顿抑郁量表:10分(存在轻度抑郁症状)。基因检测:全外显子基因测序分析:未发现与临床表型高度相关的致病性证据;存在1个可疑变异(MPO基因c.1642C>T,p.Arg548Trp,杂合型),该变异正常人频率0.0006052,蛋白功能预测提示“可能有害”,但ACMG致病性评级为“不确定”,临床意义尚不明确。老年痴呆风险基因检测:ApoE E2/E3。动态心电图:窦性心律,间歇性一度房室阻滞,偶发房性早搏,偶发室性早搏(多源性及间位性),ST-T改变。心脏超声:主动脉瓣退行性变并轻度返流,主动脉窦部及升主动脉宽。泌尿系超声:前列腺增生伴钙化,膀胱残余尿量约56 mL。自身免疫相关检测:① 自身免疫性脑炎自身抗体谱12项检测:NMDAR、LGI1、CASPR2等12项抗体IgG均为阴性;② TBA (组织自身抗体)筛查:小脑、海马、大脑皮层组织自身抗体均为阴性。肌电图:左侧尺神经损害(感觉、运动纤维均受累),符合肘管综合征电生理表现。

2.4. 治疗及预后

参照2011年bvFTD国际修订诊断标准[6]及2021年FTD分类诊断标准,结合患者临床症状、影像学特征及辅助检查结果,排除其他疾病后确诊。

入院后调整治疗方案:① 认知功能改善:多奈哌齐5 mg qd + 美金刚10 mg qn;② 神经保护及循环改善:胞磷胆碱钠注射液静脉滴注 + 银杏叶提取物口服。

治疗2周后,患者未再发生晕厥,记忆力较前略有改善,顺利出院。

6个月后随访,患者未再发生晕厥,但认知功能及语言功能呈进行性下降,仅能说出简单的单词,无法进行正常交流。

3. 讨论

3.1. 病例核心亮点

本病例与多系统萎缩(MSA)相比,MSA以自主神经功能障碍为核心,常合并帕金森综合征或小脑症状,MRI可见“壳核裂隙征”“脑桥十字征”;与路易体痴呆(DLB)相比,DLB以波动性认知、视幻觉、帕金森综合征为核心三联征,MRI无额颞叶选择性萎缩,PET-CT可能伴枕叶代谢减低,而本例均无相关表现。本病例的核心创新点在于打破了“bvFTD以行为/语言症状首发”的传统认知,首次明确以自主神经功能障碍(体位性晕厥)为首发表现,且自主神经症状与行为认知症状间隔长达4年。这一病程模式在已报道的bvFTD病例中极为罕见,丰富了bvFTD的临床表型谱。

据Struhal等[3]对42例bvFTD患者的临床研究显示,自主神经功能障碍的发生率约为47.6%,但仅2例(4.8%)以体位性低血压为首发症状,其余患者的自主神经功能障碍均出现于疾病中晚期。Migeot等[7]通过预测编码框架提出,此类以自主神经功能障碍首发的bvFTD患者存在“内感受–稳态超负荷”机制——岛叶、前扣带回等内感受网络在疾病早期即受累,导致自主神经功能调节异常,故首先出现体位性低血压、晕厥等症状;随着病理改变的进展,病变逐渐累及额颞叶等区域,才出现典型的行为人格改变及认知功能减退,这与本例患者“晕厥早发、行为症状晚发”的病程特点完全契合。

此外,本例患者的神经心理评估结果较为独特,其MMSE评分仅1分(大学文化程度),远低于同龄正常人群,说明认知功能损害严重;MoCA评分2分,表明患者认知多个领域的功能都存在问题,与bvFTD累及额叶、颞叶所致广泛认识受损相符。此外,基因检测显示患者MPO基因c.1642C>T杂合变异,由于尚无相关的临床研究报道其在bvFTD中的发病相关性,暂无确切意义,但这亦给以后寻找新基因和bvFTD间的关系提供可资借鉴的信息。

3.2. FTD合并自主神经功能障碍的病理机制

3.2.1. 脑区受累

自主神经功能的中枢调控网络主要包括岛叶、前扣带回、眼眶额叶皮层、杏仁核、下丘脑等脑区,它们协调内脏感觉信号、调节血压、心率及代谢等自主神经功能[8]。额颞叶、岛叶等是bvFTD的主要病理累及部位,病理改变是tau蛋白或TDP-43蛋白异常蓄积所致,造成神经元丢失、突触功能障碍而影响自主神经各功能调控通路,造成血压、心率调节异常,引起体位性低血压、晕厥等症状[8] [9]。本例患者PET-CT明确显示双侧额颞叶、岛叶及前扣带回葡萄糖代谢显著减低,与自主神经中枢调控网络的关键脑区高度吻合:岛叶代谢减低直接导致内脏感觉信号整合障碍,使患者无法及时感知体位变化后的血压波动;前扣带回代谢异常破坏了血压调节的自上而下调控通路,无法快速纠正体位性血压下降;额颞叶代谢减低则进一步加剧了后期行为认知症状与自主神经功能的协同损害,形成“感知–调节–行为”的多环节功能障碍链,这一影响与功能解剖的对应关系直接支持该脑区受累的病理机制。

3.2.2. 神经递质紊乱

神经递质是调控自主神经系统功能的主要因子,FTD患者的脑内去甲肾上腺素、多巴胺、5-羟色胺等神经递质含量减少。去甲肾上腺素通过参与血管舒缩的功能调节发挥作用,如果去甲肾上腺素水平降低,就会导致血管平滑肌舒张障碍,进而导致体位性低血压;而多巴胺可以介导自主神经节前纤维信息传导和行为调节,且其功能异常可能会加重自主神经功能障碍,并且可以引起刻板行为或冲动行为等精神行为症状。根据患者的症状特点,推测该病患体位性晕厥、刻板行为等情况是由于脑内的神经递质紊乱引起的。

3.2.3. 内感受–稳态超负荷

Migeot等[7]提出的“内感受–稳态超负荷”假说为该类型疾病提供了另一种解释。bvFTD患者的额岛颞内感受网络有结构萎缩和功能连接异常,导致内脏感觉信号整合障碍,无法及时感知体位变化后血压下降等生理变化,所以大脑无法通过调节通路及时调整血压,最终导致晕厥发作[7]。这一理论很好地解释了本例患者早期仅出现自主神经功能障碍,后期才出现行为认知异常的病程特点。

3.2.4. 其他因素

部分研究认为,FTD患者合并的自主神经功能障碍,患者的血脑屏障通透性改变、炎症反应等因素也可能参与其中:血脑屏障通透性增加使外周炎症因子进入中枢神经系统,引发神经炎性反应,进一步加重神经元损伤,而这一过程可损害自主神经调节功能;并且一些炎症因子(如TNF-α、IL-6)等自身即可影响血管舒缩功能,从而诱发体位性低血压。然而,该患者的CRP、ESR等炎症指标并未升高,目前尚不能确定该患者出现的相关症状的具体病因,具体原因还需要继续探索。

3.3. MPO基因变异的潜在关联探讨

该患者行基因检测发现MPO基因c.1642C>T杂合变异,蛋白功能预测提示“可能有害”,但ACMG致病性评级为“不确定”。MPO基因编码髓过氧化物酶,该酶是机体参与炎症反应与氧化应激调控的核心成分之一,其功能障碍可能引起氧化应激损伤和神经炎症[10] [11]。并有文献报道,神经炎症与FTD的病理进展可能是一种互相促进的过程,是FTD谱系疾病病理机制的重要组成部分[12],由此推测,本例患者检出的MPO基因c.1642C>T杂合变异,可能由于促进氧化应激反应、增强炎症因子的释放,而使额颞叶及岛叶等重要脑区神经元受累,影响自主神经调控网络功能。但同时需注意的是,该变异是健康人群常见的遗传变异,缺乏足够的大样本临床研究证明MPO基因c.1642C>T杂合变异与bvFTD的因果关系,因此仅能初步推测MPO基因c.1642C>T杂合变异可能作为“风险修饰因子”在疾病的致病过程中发挥作用,但其具体的作用机制及临床意义仍需后续通过功能实验及队列研究进一步验证。

3.4. 研究局限性

这是一项单病例回顾性报告的研究,存在固有局限性:① 样本量单一,临床结论的外推性受限,难以反映该类型bvFTD的群体特征;② 缺乏病理活检结果,FTD的确诊金标准为病理组织学证实tau蛋白或TDP-43蛋白异常沉积,本例患者仅通过临床症状、影像学及神经心理评估确诊,存在一定的诊断不确定性;③ MPO基因变异在临床上的意义仍不清楚,未见相关功能性验证实验,需更大样本的基因测序及功能研究证实。

3.5. 文献复习与展望

在PubMed、中国知网、万方医学网等数据库检索相关内容,截至2025年12月,国内外已报道的额颞叶痴呆(FTD)合并自主神经功能障碍的案例极少,其中首发表现为自主神经功能障碍的只有5例,其中3例呈体位性低血压[3],2例表现为排尿障碍,且这些病例的自主神经症状与典型行为认知症状的间隔时间多为1~2年,尚未见间隔4年的相关报道。杨霞等[13]在行为变异型额颞叶痴呆(bvFTD)临床研究进展中明确指出,特殊首发症状的早期识别是降低临床误诊率的核心环节,这与本文研究结论高度一致。本例患者首发症状为体位性晕厥,经过4年后才逐渐出现刻板行为、暴饮暴食及认知减退等bvFTD典型表现,这一独特的病程模式在已报道病例中尚未见明确描述,不仅进一步拓展了FTD自主神经首发型的临床表型多样性,更完善了该类疾病的临床病程谱,为临床医生认识FTD的异质性提供了新的病例依据,并为后续开展相关临床研究积累了罕见的病程数据。

4. 结论

本例为罕见的以自主神经功能障碍(体位性低血压、晕厥)为首发表现的额颞叶痴呆患者,临床医生需提高对FTD特殊表型的认识,对于以自主神经功能障碍为首发、后续出现行为人格改变或认知障碍的患者,应及时完善相关检查,避免误诊为阿尔茨海默病、多系统萎缩、心血管疾病等其他疾病。早期识别并干预自主神经功能障碍,结合认知功能改善及对症支持治疗,可有效降低跌倒风险,延缓疾病进展,改善患者的生活质量。

声 明

该病例报道已获得病人的知情同意。

基金项目

山东第一医科大学(山东省医学科学院)青年科学基金培育资助计划(202201-96);

山东第一医科大学(山东省医学科学院)教育改革研究项目(2021XY051);

2025年山东第一医科大学大学生创新创业训练计划。

NOTES

*通讯作者。

参考文献

[1] Bang, J., Spina, S. and Miller, B.L. (2015) Frontotemporal Dementia. The Lancet, 386, 1672-1682. [Google Scholar] [CrossRef] [PubMed]
[2] 陈晓春. 额颞叶变性的专家共识[C]//中华医学会, 中华医学会神经病学分会. 中华医学会第十七次全国神经病学学术会议论文汇编(上). 福州: 中华医学会, 2014: 174.
[3] Struhal, W., Javor, A., Brunner, C., Benesch, T., Schmidt, V., Vosko, M.R., et al. (2014) The Phoenix from the Ashes: Cardiovascular Autonomic Dysfunction in Behavioral Variant of Frontotemporal Dementia. Journal of Alzheimers Disease, 42, 1041-1046. [Google Scholar] [CrossRef] [PubMed]
[4] Robles Bayón, A., Gude Sampedro, F. and Torregrosa Quesada, J.M. (2014) Bradicardia en la demencia frontotemporal. Neurología, 29, 76-85. [Google Scholar] [CrossRef] [PubMed]
[5] 李秋璇, 于欣, 李汇子, 等. 行为变异型额颞叶痴呆早期主要临床特点及相关影像学特征研究[J]. 临床精神医学杂志, 2022, 32(5): 412-414.
[6] Rascovsky, K., Hodges, J.R., Knopman, D., Mendez, M.F., Kramer, J.H., Neuhaus, J., et al. (2011) Sensitivity of Revised Diagnostic Criteria for the Behavioural Variant of Frontotemporal Dementia. Brain, 134, 2456-2477. [Google Scholar] [CrossRef] [PubMed]
[7] Migeot, J.A., Duran-Aniotz, C.A., Signorelli, C.M., Piguet, O. and Ibáñez, A. (2022) A Predictive Coding Framework of Allostatic-Interoceptive Overload in Frontotemporal Dementia. Trends in Neurosciences, 45, 838-853. [Google Scholar] [CrossRef] [PubMed]
[8] Hazelton, J.L., Della Bella, G., Barttfeld, P., Dottori, M., Gonzalez-Gomez, R., Migeot, J., et al. (2025) Altered Spatiotemporal Brain Dynamics of Interoception in Behavioural-Variant Frontotemporal Dementia. eBioMedicine, 113, Article ID: 105614. [Google Scholar] [CrossRef] [PubMed]
[9] Mather, M. (2025) Autonomic Dysfunction in Neurodegenerative Disease. Nature Reviews Neuroscience, 26, 276-292. [Google Scholar] [CrossRef] [PubMed]
[10] Lockhart, J.S. and Sumagin, R. (2022) Non-Canonical Functions of Myeloperoxidase in Immune Regulation, Tissue Inflammation and Cancer. International Journal of Molecular Sciences, 23, Article No. 12250. [Google Scholar] [CrossRef] [PubMed]
[11] Maki, R.A., Holzer, M., Motamedchaboki, K., Malle, E., Masliah, E., Marsche, G., et al. (2019) Human Myeloperoxidase (hMPO) Is Expressed in Neurons in the Substantia Nigra in Parkinson’s Disease and in the hMPO-α-Synuclein-A53T Mouse Model, Correlating with Increased Nitration and Aggregation of Α-Synuclein and Exacerbation of Motor Impairment. Free Radical Biology and Medicine, 141, 115-140. [Google Scholar] [CrossRef] [PubMed]
[12] De Marchi, F., Franjkic, T., Schito, P., Russo, T., Nimac, J., Chami, A.A., et al. (2023) Emerging Trends in the Field of Inflammation and Proteinopathy in ALS/FTD Spectrum Disorder. Biomedicines, 11, Article No. 1599. [Google Scholar] [CrossRef] [PubMed]
[13] 杨霞, 纪勇. 行为变异型额颞叶痴呆的临床研究进展[J]. 阿尔茨海默病及相关病杂志, 2023, 6(3): 249-252.