磁共振成像的结构性病变与意识障碍患者预后的关系研究
Association between Structural Lesions on Magnetic Resonance Imaging and Prognosis in Patients with Disorders of Consciousness
DOI: 10.12677/acm.2026.162577, PDF, HTML, XML,   
作者: 张 洁, 赵 雨:安徽医科大学,安徽 合肥;合肥市第二人民医院急诊科,安徽 合肥;韩佳乐:合肥市第二人民医院急诊科,安徽 合肥;皖南医学院研究生学院,安徽 芜湖;许季祥, 齐胤良:合肥市第二人民医院高压氧科,安徽 合肥;周小妹*:安徽医科大学,安徽 合肥;合肥市第二人民医院高压氧科,安徽 合肥
关键词: 意识障碍脑损伤磁共振成像预后Disorders of Consciousness Brain Injuries Magnetic Resonance Imaging Prognosis
摘要: 目的:通过评估磁共振成像(MRI)的结构性病变情况来预测意识障碍(DOC)患者的功能结局。方法:回顾性收集81例DOC患者的临床数据,定性评估MRI中的脑实质病变分布及范围,结局指标定义为发病6个月后意识水平的分类。首先采用有序逻辑回归分析评估各临床及影像学因素与预后之间的关系,然后使用二元逻辑回归分析筛选出意识无明显恢复的独立预测因子。结果:有序逻辑回归分析结果显示,瞳孔对光反射消失(P = 0.007)、MRI显示的左基底节区(P = 0.026)、右基底节区(P = 0.036)和右侧脑干(P = 0.008)大范围或弥漫性病变与DOC患者预后显著相关。二元逻辑回归结果表明,左基底节区病变(P = 0.004)、右基底节区病变(P = 0.037)、右侧脑干病变(P = 0.006)、瞳孔对光反射消失(P = 0.036)是意识无明显恢复的独立预测因子。结论:瞳孔对光反射消失、基底节区和脑干大范围或弥漫性病变与DOC患者不良预后紧密相关。
Abstract: Objective: To predict functional outcomes in patients with Disorders of Consciousness (DOC) by evaluating structural lesions on Magnetic Resonance Imaging (MRI). Methods: Clinical data from 81 patients with DOC were retrospectively collected. The distribution and extent of cerebral parenchymal lesions on MRI were qualitatively assessed. The outcome measure was defined as the classification of the level of consciousness at 6 months after disease onset. Ordinal logistic regression analysis was first performed to evaluate the associations between clinical and imaging variables and prognosis. Subsequently, binary logistic regression analysis was used to identify independent predictors of poor consciousness recovery. Results: Ordinal logistic regression analysis revealed that absence of pupillary light reflex (P = 0.007), extensive or diffuse lesions in the left basal ganglia (P = 0.026), right basal ganglia (P = 0.036), and right brainstem (P = 0.008) on MRI were significantly associated with prognosis in DOC patients. Binary logistic regression analysis further demonstrated that lesions in the left basal ganglia (P = 0.004), right basal ganglia (P = 0.037), right brainstem (P = 0.006), and absence of pupillary light reflex (P = 0.036) were independent predictors of poor recovery of consciousness. Conclusion: Absence of pupillary light reflex and extensive or diffuse lesions involving the basal ganglia and brainstem are strongly associated with unfavorable outcomes in patients with disorders of consciousness.
文章引用:张洁, 赵雨, 韩佳乐, 许季祥, 齐胤良, 周小妹. 磁共振成像的结构性病变与意识障碍患者预后的关系研究[J]. 临床医学进展, 2026, 16(2): 1834-1841. https://doi.org/10.12677/acm.2026.162577

1. 引言

严重脑损伤进入昏迷后的幸存者常可经历较长时间的意识障碍(Disorders of Consciousness, DOC)。当患者睡眠–觉醒周期、自主神经和运动反射存在,但没有自我或环境意识的行为迹象被证明时,他们被诊断为无反应觉醒综合征(Unresponsive Wakefulness Syndrome, UWS) [1]。当患者被观察到最小且不一致的,但明确的意识行为迹象,他们被认为进入最低意识状态(Minimally Conscious State, MCS) [2]。MCS进一步细分为MCS−和MCS+:MCS+的患者表现出高水平行为反应,如服从命令、可理解的语言表达或非功能性沟通;而MCS−的患者表现出低水平行为反应,包括视觉追踪、有害刺激的定位或偶然行为。当患者能够实现功能性沟通或功能性物体使用时,即可诊断为脱离最小意识状态(Emergence from the Minimally Conscious State, EMCS) [2]

昏迷恢复量表修订版(Coma Recovery Scale-Revised, CRS-R)是目前DOC检查与评估的标准临床量表[3],但临床医生训练及评估时间长,导致其在实际临床工作中受限。意识障碍简化评估(Simplified Evaluation of CONsciousness Disorders, SECONDs)量表是一种评估DOC患者的快速、可靠且易于使用的新工具,其评估速度更快(中位时间为7分钟) [4],而不影响意识检测的准确性,使临床医生评估更简便,并且减少了患者疲劳,降低了误诊率。本研究采用SECONDs量表评估DOC患者入院及发病6个月后的意识水平,并使用量表评分反映的意识水平分类作为预后结局指标。

磁共振成像(Magnetic Resonance Imaging, MRI)在临床工作中常用于评估DOC患者脑损伤程度。MRI在评估计算机断层扫描不可见的脑损伤方面具有一定的优势,例如缺血性中风后的早期细胞毒性水肿、创伤性脑损伤后的弥漫性轴突损伤和心脏骤停后的皮质层状坏死[5]。在一项对于出血性脑卒中患者的研究中[6],在大面积脑出血患者发病后一周内获得的MRI上发现的病变不仅与当时的意识水平相关,更重要的是,能够识别出在ICU出院前恢复意识并具有更好3个月功能结果的患者。在先前对于意识障碍预后的研究中,尚未确定一组一致的脑区作为确切的预测因子,因此讨论脑损伤位置对于意识恢复的价值十分重要。本研究结合MRI显示的大脑病变情况及其他临床资料,评估各脑区病变对DOC患者的预后价值,并讨论了其对于临床的意义。

2. 资料与方法

2.1. 患者选择和数据收集

本研究纳入2023年7月至2024年12月期间入住合肥市二院高压氧科的81名DOC患者。年龄范围为17~74岁,其中男性57例,女性24例。DOC的病因包括28例创伤性脑损伤,以及53例非创伤性脑损伤(37例脑出血,6例脑梗死,8例缺氧缺血性脑病,1例可逆性后部白质脑病综合征,1例脑桥外髓鞘溶解症)。排除标准为:① 既往有获得性脑损伤、精神、神经系统疾病或神经退行性疾病史;② 合并肿瘤、严重器官功能障碍或不稳定的临床状况(如血流动力学不稳定或严重呼吸衰竭)。

由经验丰富的临床医生在患者入院和发病6个月后采用意识障碍简化评估(SECONDs)量表进行多次评估(未满6个月时已出院的患者进行电话回访)。SECONDs量表评分可直接对应意识水平分类(0 = 昏迷,1 = UWS,2~5 = MCS−,6~7 = MCS+,8 = EMCS),得分越高表明结果越有利。患者的意识水平分类以白天4~7次SECONDs评估获得的最高评分为准。患者入院时11例被诊断为昏迷,59例被诊断为UWS,11例被诊断为MCS (9例为MCS−,2例为MCS+)。收集的其他临床资料包括:性别、年龄、病因、瞳孔对光反射情况、病理反射表现。患者的人口学和临床特征的汇总见表1

Table 1. Demographic and clinical characteristics of patients

1. 患者的人口学和临床特征

变量

变量

性别

女性

24 (29.6%)

入院意识水平

昏迷

11 (13.6%)

UWS

59 (72.8%)

男性

57 (70.4%)

MCS−

9 (11.1%)

MCS+

2 (2.5%)

年龄

17~74, 55 (42.5, 64.5)

入院SECONDs量表得分

0~6, 1 (1, 1)

病因

创伤性脑损伤

28 (34.6%)

发病6个月意识水平

昏迷

0

脑出血

37 (45.7%)

UWS

31 (38.3%)

脑梗死

6 (7.4%)

MCS−

20 (24.7%)

缺氧缺血性脑病

8 (9.9%)

MCS+

23 (28.4%)

其他

2 (2.5%)

EMCS

7 (8.6%)

瞳孔对光反射

存在

53 (65.4%)

发病6个月SECONDs量表得分

0~8, 2 (1, 6)

单侧/双侧消失

28 (34.6%)

病理征

引出

9 (11.1%)

未引出

72 (88.9%)

2.2. MRI数据获取

在本回顾性研究中,MRI图像均因临床目的而获取。所有受试者均采用3.0 T磁共振成像系统(Siemens,德国)进行全脑MRI扫描。标准成像方案包括T1加权自旋回波序列(重复时间2000 ms,回波时间20 ms)及T2加权自旋回波序列(重复时间3000 ms,回波时间80 ms)。所有MRI图像均在医院计算机影像查看软件TViewU64上进行审阅与评估。

2.3. MRI数据分析

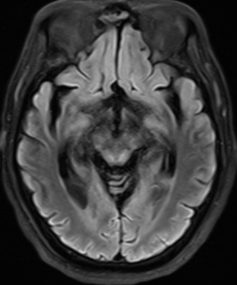
MRI病变评估方法参考既往研究中描述的方案[7]。由两位具有丰富经验的神经放射学家,在未知患者临床诊断的前提下评估双侧大脑区域病变情况,包括额叶、颞叶、顶叶、枕叶、胼胝体膝部和(或)体部、胼胝体压部、基底节区、丘脑、脑干、小脑,共计18个解剖区域。每个脑区采用二分类评分法:0分表示无病变或只有小的局灶性病变;1分表示有较大的病变(累及该脑区体积的30%以上)或弥漫性病变(图1)。

Figure 1. The T2-weighted and diffusion images of a patient

1. 一名患者的T2加权和弥散图像

患者为60岁男性,入院诊断为呼吸心跳骤停(心肺复苏术后)、脑梗死恢复期,入院时双侧瞳孔对光反射消失,图像显示两侧基底节区、丘脑弥漫性缺氧损伤,且脑干出现多发病变,患者出院时仍为植物状态。

2.4. 统计分析

采用Kruskal-Wallis H检验进行单因素分析,评估各脑区病变是否存在与DOC患者预后结局之间的差异。同时,对性别、年龄、病因及瞳孔对光反射等临床特征与预后之间的关系进行单因素分析。为了识别与DOC患者预后相关的独立预测因子,进一步采用有序逻辑回归分析。所有在单因素分析中表现出显著相关性的变量均被纳入回归模型,以评估其对发病6个月后意识水平的影响。接着,为了检验不同预后分类方式下结果的稳健性,进行了敏感性分析,采用二元逻辑回归分析筛选与不良预后相关的影响因素,其中不良预后定义为发病6个月后处于UWS状态。首先进行单因素二元逻辑回归,筛选出具有显著相关性的变量,随后将其纳入多因素二元逻辑回归模型,以确定与预后不良相关的独立预测因子。

所有统计分析均采用双侧检验,使用SPSS Statistics for Windows (version 31.0, SPSS Inc., Chicago, IL, USA)进行。P < 0.05被认为结果具有统计学意义。

3. 结果

3.1. 有序逻辑回归

结局变量为患者发病6个月后依据SECONDs量表评估获得的意识水平分类,分为UWS、MCS−、MCS+、EMCS四类,意识水平由低到高依次递增。81例DOC患者中,发病6个月后31例处于UWS,43例进入MCS (20例为MCS−,23例为MCS+),7例进入EMCS。经过Kruskal-Wallis H检验,瞳孔对光反射消失(P = 0.009)、左基底节区(P = 0.011)、右基底节区(P = 0.016)、右侧脑干(P = 0.006)大范围或弥漫性病变的患者,其发病6个月后意识水平等级显著低于相应无病变组。将单因素分析中具有统计学意义的变量纳入有序逻辑回归模型,同时考虑到病因可能为重要的先验混杂因素,将其作为调整变量强制纳入模型。首先进行比例优势假设检验,结果显示P = 0.995 > 0.05,满足比例优势假设。该模型总体拟合良好(χ2 = 27.874, df = 4, P < 0.001),模型的Nagelkerke R2为0.315,提示自变量解释了预后结局31.5%的变异。在纳入的变量中,瞳孔对光反射消失(P = 0.007)、左基底节区病变(P = 0.026)、右基底节区病变(P = 0.036)及右侧脑干病变(P = 0.008)为意识水平预后的独立影响因素,而病因本身未显示出显著的独立效应(表2)。

Table 2. Ordinal logistic regression model

2. 有序逻辑回归模型

变量

β

SE

P

OR (95% CI)

瞳孔对光反射消失

1.291

0.481

0.007

3.64 (1.42~9.35)

左基底节区病变

1.187

0.534

0.026

3.28 (1.15~9.34)

右基底节区病变

1.134

0.541

0.036

3.11 (1.08~8.97)

右侧脑干病变

2.262

0.848

0.008

9.61 (1.82~50.7)

注:β为回归系数;SE为标准误;P值为显著性水平;OR为比值比;CI为置信区间。

3.2. 二元逻辑回归

根据是否有明确的意识行为迹象,将结局指标分为预后不良(UWS)及预后较好(MCS或EMCS)。对各预后因素进行单因素二元逻辑回归分析后,将与预后显著相关的变量纳入多因素二元逻辑回归模型,包括左基底节区病变(P = 0.001)、右基底节区病变(P = 0.012)、右侧脑干病变(P = 0.011)及瞳孔对光反射(P = 0.042),并将病因作为调整变量强制纳入,结果显示左基底节区病变(P = 0.004)、右基底节区病变(P = 0.037)、右侧脑干病变(P = 0.006)及瞳孔对光反射消失(P = 0.036)是DOC患者预后不良的独立预测因子(表3)。将上述独立预测因子联合预测不良预后绘制ROC曲线(图2),ROC曲线下面积(area under the curve, AUC)为0.810 (95% CI: 0.707~0.914, P < 0.001),经Youden指数确定的最佳截断值为0.506,对应的敏感度为0.645,特异度为0.900。

Table 3. Binary logistic regression model

3. 二元逻辑回归模型

变量

B

SE

P

OR (95% CI)

VIF

常量

2.155

0.503

<0.001

8.626

左基底节区病变

−1.816

0.633

0.004

0.163 (0.047~0.563)

1.131

右基底节区病变

−1.333

0.640

0.037

0.264 (0.075~0.925)

1.131

右侧脑干病变

−2.546

0.926

0.006

0.078 (0.013~0.482)

1.020

瞳孔对光反射消失

−1.241

0.593

0.036

0.289 (0.090~0.924)

1.017

注:B为回归系数;SE为标准误;P值为显著性水平;OR为比值比;CI为置信区间;VIF为方差膨胀因子。

Figure 2. ROC curve for the model

2. 模型ROC曲线

4. 讨论

本回顾性研究评估了磁共振结构性病变情况及其他临床因素对DOC患者预后的影响。将DOC相关预后因素进行有序逻辑回归分析后,瞳孔对光反射消失、双侧基底节区或右侧脑干大范围或弥漫性病变的患者,意识恢复不良的概率显著增加。二元逻辑回归的结果与有序逻辑回归分析一致,提示研究结论在不同结局分类方式下具有良好的稳健性。

觉醒是意识的重要组成部分,其维持在很大程度上依赖于上行网状激活系统的完整性[8],而脑干病变可能直接破坏该系统的结构与功能。意识的改善可能在很大程度上取决于脑干功能[9]。在一项针对脑干昏迷的神经解剖学研究中,昏迷病例中病变区域的最大重叠集中在脑桥上部被盖核团,这些核与中央被盖束上升之间的局部连接也被切断,且长时间的昏迷与被盖双侧病变相关[10]。本研究同样发现,脑干大范围或弥漫性病变与意识障碍患者不良预后密切相关,这与上述研究结论一致。尽管本研究中发现的预测因子普遍位于右侧脑干,但受限于样本量,不足以证明病变偏侧的价值。

既往研究结果表明,纹状体与苍白球对睡眠和清醒的控制至关重要[11]。由于基底神经节会从皮质层级的更高和更低层次以及高级丘脑收集经验信息,因此它能够动态地影响感知[12]。在一项研究中,海马体和基底前脑(包括梅尼尔基底核)的损伤与创伤性脑损伤患者的不良预后密切相关[5]。本研究结果显示,基底节区广泛病变可能导致不良预后,这符合既往对基底节区神经解剖学及临床意义的研究。

此外,在以前的研究中,丘脑核团的活动与意识状态密切相关[13]。清醒可能依赖于广泛的双侧皮质–丘脑–皮质网络的功能完整性[14]。丘脑–皮层连接中断或中央丘脑功能障碍可能会导致意识障碍不良预后,但本研究丘脑病变与否的预后差异无统计学意义,不排除纳入样本中有丘脑病变的例数较少的原因,有待在较大样本中进一步研究。

瞳孔和角膜反射的缺失是昏迷性心脏骤停患者不良预后的准确预测指标[15]。Nyholm等[16]的研究表明,在院内昏迷的院外心脏骤停患者中,既定的定量阈值在≥72小时时能以极高特异性预测不良神经结局。Calvi等[17]的研究表明,入院时严重创伤性脑损伤患者的双侧瞳孔对光反射缺失或持久散大与不良结局高度相关。本研究同样证实,瞳孔反射消失是不良预后的可靠预测因子,这与既往在心脏骤停及严重创伤性脑损伤患者中的研究结果一致。

本研究存在一定的局限性。第一,本研究是通过目视估计MRI图像上的病变体积,这种定性方法可能会引入偏倚。本研究仅关注弥漫性或病变体积 ≥ 30%的大病变,未纳入小的局灶性病变,这也可能影响最终结果[18]。因此,在未来的研究中,可通过定量测量病变体积、变性程度等来验证这些发现。第二,脑损伤的脑病变情况是随时间动态演变的,本回顾性研究只在患者住院期间进行了单次MRI检查,未控制MRI评估时间因素对预后的影响,未来的纵向研究可通过多个时间点进行影像学评估,从而探索影响意识障碍预后的神经机制。第三,由于本研究纳入的患者数量相对有限,某些脑区病变对预后影响大小的结果可能受此影响,导致假阴性结果的发生,从而影响研究结论的可靠性,未来的研究可以通过增加样本量来提高统计效力。并且由于我们的研究是在一家医院进行的,因此需要在更大的样本中进行外部验证。第四,DOC患者的药物使用、脑手术史、康复治疗、并发症等对意识水平恢复有一定影响[19],本研究未控制这些潜在混杂因素,可能影响对真实效应大小的估计,未来的研究可以通过标准化采集并控制这些变量,进行统计分析来证实这些结论。

5. 结论

综上所述,本研究表明,瞳孔对光反射消失、基底节区和脑干大范围或弥漫性病变与DOC患者不良预后紧密相关,这一结论有助于充实临床医生的预后评估,为家属的治疗决策提供参考。由于全局意识经验并不依赖于单个孤立的大脑区域,进一步的研究可通过联合其他的神经影像学手段,例如正电子发射断层扫描(PET)、功能性磁共振成像(fMRI)、脑电图(EEG)等,多模态评估各影像学指标在DOC预后预测中的价值[20] [21]

声 明

本研究获得合肥市第二人民医院伦理委员会批准(审批号:2025-科研-164)。

NOTES

*通讯作者。

参考文献

[1] Monti, M.M., Vanhaudenhuyse, A., Coleman, M.R., Boly, M., Pickard, J.D., Tshibanda, L., et al. (2010) Willful Modulation of Brain Activity in Disorders of Consciousness. New England Journal of Medicine, 362, 579-589. [Google Scholar] [CrossRef] [PubMed]
[2] Giacino, J.T., Ashwal, S., Childs, N., Cranford, R., Jennett, B., Katz, D.I., et al. (2002) The Minimally Conscious State: Definition and Diagnostic Criteria. Neurology, 58, 349-353. [Google Scholar] [CrossRef] [PubMed]
[3] 中国医师协会神经修复专业委员会意识障碍与促醒学组. 慢性意识障碍诊断与治疗中国专家共识[J]. 中华神经医学杂志, 2020, 19(10): 977-982.
[4] Aubinet, C., Cassol, H., Bodart, O., Sanz, L.R.D., Wannez, S., Martial, C., et al. (2021) Simplified Evaluation of Consciousness Disorders (Seconds) in Individuals with Severe Brain Injury: A Validation Study. Annals of Physical and Rehabilitation Medicine, 64, Article No. 101432. [Google Scholar] [CrossRef] [PubMed]
[5] Weiss, N., Galanaud, D., Carpentier, A., Naccache, L. and Puybasset, L. (2007) Clinical Review: Prognostic Value of Magnetic Resonance Imaging in Acute Brain Injury and Coma. Critical Care (London, England), 11, Article No. 230. [Google Scholar] [CrossRef] [PubMed]
[6] Rohaut, B., Doyle, K.W., Reynolds, A.S., Igwe, K., Couch, C., Matory, A., et al. (2019) Deep Structural Brain Lesions Associated with Consciousness Impairment Early after Hemorrhagic Stroke. Scientific Reports, 9, Article No. 4174. [Google Scholar] [CrossRef] [PubMed]
[7] Pozeg, P., Jöhr, J., Pincherle, A., Marie, G., Ryvlin, P., Meuli, R., et al. (2021) Discriminating Cognitive Motor Dissociation from Disorders of Consciousness Using Structural MRI. NeuroImage: Clinical, 30, Article ID: 102651. [Google Scholar] [CrossRef] [PubMed]
[8] Edlow, B.L., Takahashi, E., Wu, O., Benner, T., Dai, G., Bu, L., et al. (2012) Neuroanatomic Connectivity of the Human Ascending Arousal System Critical to Consciousness and Its Disorders. Journal of Neuropathology & Experimental Neurology, 71, 531-546. [Google Scholar] [CrossRef] [PubMed]
[9] Watanabe, K., Kakeda, S., Nemoto, K., Onoda, K., Yamaguchi, S., Kobayashi, S., et al. (2021) Grey-Matter Brain Healthcare Quotient and Cognitive Function: A Large Cohort Study of an MRI Brain Screening System in Japan. Cortex, 145, 97-104. [Google Scholar] [CrossRef] [PubMed]
[10] Parvizi, J. (2003) Neuroanatomical Correlates of Brainstem Coma. Brain, 126, 1524-1536. [Google Scholar] [CrossRef] [PubMed]
[11] Lazarus, M., Chen, J.F., Urade, Y. and Huang, Z.L. (2013) Role of the Basal Ganglia in the Control of Sleep and Wakefulness. Current Opinion in Neurobiology, 23, 780-785. [Google Scholar] [CrossRef] [PubMed]
[12] Redinbaugh, M.J. and Saalmann, Y.B. (2024) Contributions of Basal Ganglia Circuits to Perception, Attention, and Consciousness. Journal of Cognitive Neuroscience, 36, 1620-1642. [Google Scholar] [CrossRef] [PubMed]
[13] Fang, Z., Dang, Y., Ping, A., Wang, C., Zhao, Q., Zhao, H., et al. (2025) Human High-Order Thalamic Nuclei Gate Conscious Perception through the Thalamofrontal Loop. Science, 388, eadr3675. [Google Scholar] [CrossRef] [PubMed]
[14] Laureys, S. (2005) The Neural Correlate of (Un)awareness: Lessons from the Vegetative State. Trends in Cognitive Sciences, 9, 556-559. [Google Scholar] [CrossRef] [PubMed]
[15] Greer, D.M., Yang, J., Scripko, P.D., Sims, J.R., Cash, S., Wu, O., et al. (2013) Clinical Examination for Prognostication in Comatose Cardiac Arrest Patients. Resuscitation, 84, 1546-1551. [Google Scholar] [CrossRef] [PubMed]
[16] Nyholm, B., Grand, J., Obling, L.E.R., Hassager, C., Møller, J.E., Schmidt, H., et al. (2024) Validating Quantitative Pupillometry Thresholds for Neuroprognostication after Out-of-Hospital Cardiac Arrest. A Predefined Substudy of the Blood Pressure and Oxygenations Targets after Cardiac Arrest (BOX)-Trial. Intensive Care Medicine, 50, 1484-1495. [Google Scholar] [CrossRef] [PubMed]
[17] Calvi, M.R., Beretta, L., Dell'Acqua, A., Anzalone, N., Licini, G. and Gemma, M. (2011) Early Prognosis after Severe Traumatic Brain Injury with Minor or Absent Computed Tomography Scan Lesions. Journal of Trauma: Injury, Infection & Critical Care, 70, 447-451. [Google Scholar] [CrossRef] [PubMed]
[18] Li, X. and Feng, D. (2009) Diffuse Axonal Injury: Novel Insights into Detection and Treatment. Journal of Clinical Neuroscience, 16, 614-619. [Google Scholar] [CrossRef] [PubMed]
[19] 何志杰, 吴军发, 汤昕未, 等. 脑损伤后慢性意识障碍康复影响因素及治疗策略的回顾性分析[J]. 中国康复医学杂志, 2024, 39(8): 1122-1129+1142.
[20] Di Perri, C., Bahri, M.A., Amico, E., Thibaut, A., Heine, L., Antonopoulos, G., et al. (2016) Neural Correlates of Consciousness in Patients Who Have Emerged from a Minimally Conscious State: A Cross-Sectional Multimodal Imaging Study. The Lancet Neurology, 15, 830-842. [Google Scholar] [CrossRef] [PubMed]
[21] 白洋. 神经影像与电生理学证据揭秘意识障碍[J]. 康复学报, 2025, 35(1): 1-10.