遗传性球形红细胞增多症9例诊治经验分析
Diagnosis and Treatment Experience of Nine Cases of Hereditary Spherocytosis
DOI: 10.12677/acm.2026.162585, PDF, HTML, XML,   
作者: 戴 慰, 曹珈瑞, 冯 斌*:吉首大学株洲临床学院,湖南 株洲;中南大学湘雅医学院附属株洲医院,消化病医学中心肝胆胰脾外一科,湖南 株洲
关键词: 球形红细胞增多症遗传性脾切除术经验Spherocytosis Hereditary Splenectomy Experience
摘要: 目的:探讨外科及内科治疗对遗传性球形红细胞增多症(HS)患者的疗效及经验。方法:回顾性分析2015年1月至2024年9月期间我院收治的9例HS患者的临床资料,内容包括一般情况、实验室及影像学检查、术前诊断、手术方式及围手术期情况,并对术前、术后及随访阶段的相关血液学与生化指标进行比较分析。结果:外科组纳入7例连续性手术病例,年龄中位数为26岁(8~42岁);2例仅行脾切除手术,5例行脾切除 + 胆囊切除术;术中出血量中位数为150 mL (30~400 mL),术后住院天数中位数为8天(4~25天);入院与出院相比,患者总胆红素与间接胆红素水平有明显下降(p = 0.016);7例患者均获得随访,仅1例未切除胆囊患者术后出现胆囊结石伴急性胆囊炎,其余患者一般情况良好,肝功能、血常规正常,胆管结石无复发。内科组2例患者均为男性,表现为中至重度贫血及明显黄疸,骨髓红系增生活跃。经叶酸、促红细胞生成剂及对症支持治疗后,黄疸改善、红细胞计数升高,但血红蛋白改善有限。其中1例多次输血后18个月死于感染相关并发症,另1例随访良好。结论:HS患者进行外科治疗远期预后良好,且全脾切除术是目前最根本的治疗方法。HS的严重程度应在疾病稳定期进行评估,急性溶血期的实验室指标可能高估病情。对于轻型或中型HS患者,是否行外科手术应结合患者症状、生活质量及主观意愿,经多学科评估后个体化决定。对于HS患者,无症状性胆囊结石及无结石者均不推荐常规胆囊切除,即使合并肝硬化亦不支持预防性处理,应结合个体情况审慎评估。针对重度贫血的HS患者单纯内科治疗疗效有限,重症患者易复发。
Abstract: Objective: To explore the efficacy and experience of surgical and medical treatments in patients with hereditary spherocytosis (HS). Methods: A retrospective analysis was performed on clinical data of nine HS patients admitted to our hospital from January 2015 to September 2024. Data collected included general information, laboratory and imaging findings, preoperative diagnosis, surgical methods, and perioperative conditions. Hematological and biochemical indices were compared at preoperative, postoperative, and follow-up stages. Results: In the surgical group, seven consecutive patients underwent surgery, with a median age of 26 years (range, 8~42 years). Two patients underwent splenectomy alone, and five patients underwent splenectomy combined with cholecystectomy. The median intraoperative blood loss was 150 mL (range, 30~400 mL), and the median postoperative hospital stay was 8 days (range, 4~25 days). Compared with admission, total bilirubin and indirect bilirubin levels decreased significantly at discharge (p = 0.016). Among the seven patients followed up, only one patient who did not undergo cholecystectomy developed gallstones with acute cholecystitis postoperatively. The remaining patients were in good general condition, with normal liver function and blood counts, and no recurrence of biliary stones. In the medical group, two male patients presented with moderate to severe anemia and significant jaundice, with active erythroid hyperplasia in the bone marrow. After treatment with folic acid, erythropoiesis-stimulating agents, and supportive care, jaundice improved, and red blood cell counts increased, but hemoglobin levels showed limited improvement. One patient died of infection-related complications 18 months after multiple transfusions, while the other had a favorable outcome during follow-up. Conclusion: Surgical treatment offers a favorable long-term prognosis for HS patients, and total splenectomy remains the most definitive treatment. The severity of HS should be assessed during the stable phase of the disease, as laboratory indices during acute hemolytic episodes may overestimate the condition. For mild to moderate HS, the decision to perform surgery should be individualized based on patient symptoms, quality of life, and personal preference after multidisciplinary evaluation. Routine cholecystectomy is not recommended for asymptomatic patients with or without gallstones, and prophylactic surgery is not indicated even in cases with concurrent liver cirrhosis; decisions should be individualized. Medical treatment alone has limited efficacy for patients with severe anemia, and severe cases are prone to relapse.
文章引用:戴慰, 曹珈瑞, 冯斌. 遗传性球形红细胞增多症9例诊治经验分析[J]. 临床医学进展, 2026, 16(2): 1904-1913. https://doi.org/10.12677/acm.2026.162585

1. 引言

遗传性球形红细胞增多症(Hereditary Spherocytosis, HS)是一种常见的遗传性血液疾病,其发病机制主要与红细胞膜蛋白的缺陷有关,导致红细胞呈球形,降低其变形能力,从而增加脾脏对这些异常红细胞的破坏。主要临床表现包括溶血性贫血、脾肿大和黄疸,但由于临床表现轻重不一,症状不典型,常规检查不易发现,常导致误诊、漏诊。传统的治疗方法通常包括定期输血和药物治疗等对症支持,这些方法往往无法持续控制相关症状,且复发风险高。而外科治疗,能够有效减少脾脏对异常红细胞的破坏,从而改善患者的血液学指标和临床症状。本研究回顾性分析了本中心2015年1月至2024年9月期间收治的9例HS患者的临床资料,根据治疗方式分为外科组(7例)和内科组(2例),旨在探讨遗传性球形红细胞增多症的外科与内科治疗方法及疗效差异,以期为该疾病的治疗提供临床经验参考。

2. 资料与方法

2.1. 一般资料

回顾性分析2015年1月至2024年9月期间株洲市中心医院收治的7例经外科治疗及2例内科治疗的HS患者。收集患者的一般资料,包括症状体征、年龄、性别、家族史、住院时间、贫血程度(WHO定义)、HS严重程度、实验室检查结果、影像学检查结果,病理结果、术前诊断、手术方式、有无术中输血、术中出血量、术后引流管的拔除时间、术后住院时间、术后并发症、入院与出院相关指标的变化(血红蛋白、红细胞计数、胆红素)、随访(通过电话或门诊随访,截至2024年9月,随访内容包括临床症状、血常规、肝功能、腹部影像学检查(超声、CT或MRI)、术后有无出现凶险性感染等)。

根据世界卫生组织(WHO)对贫血的标准按年龄和性别划分:成年男性:轻度为110 ≤ 血红蛋白(Hemoglobin, Hb) < 130 g/L,中度为80 ≤ Hb < 110 g/L,重度为Hb < 80 g/L。成年女性(非孕):轻度为110 ≤ Hb < 120 g/L,中度为80 ≤ Hb < 110 g/L,重度为Hb < 80 g/L。孕妇:轻度为100 ≤ Hb < 110 g/L,中度为70 ≤ Hb < 100 g/L,重度为Hb < 70 g/L。6个月至5岁儿童:轻度为100 ≤ Hb < 110 g/L,中度为70 ≤ Hb < 100 g/L,重度为Hb < 70 g/L。5~11岁儿童:轻度为110 ≤ Hb < 115 g/L,中度为80 ≤ Hb < 110 g/L,重度为Hb < 80 g/L。12~14 岁青少年:轻度为110 ≤ Hb < 120 g/L,中度为80 ≤ Hb < 110 g/L,重度为Hb < 80 g/L。

2.2. 统计学分析

数据分析采用SPSS 26.0统计软件完成。由于内科组仅2例患者,样本量有限,未进行组间显著性检验,仅进行描述性分析。外科组术前与术后指标利用Wilcoxon符号秩检验进行配对比较。连续变量以中位数(IQR)表示,分类变量以例数(%)表示,p < 0.05为差异有统计学意义。

3. 结果

3.1. 人群基本资料

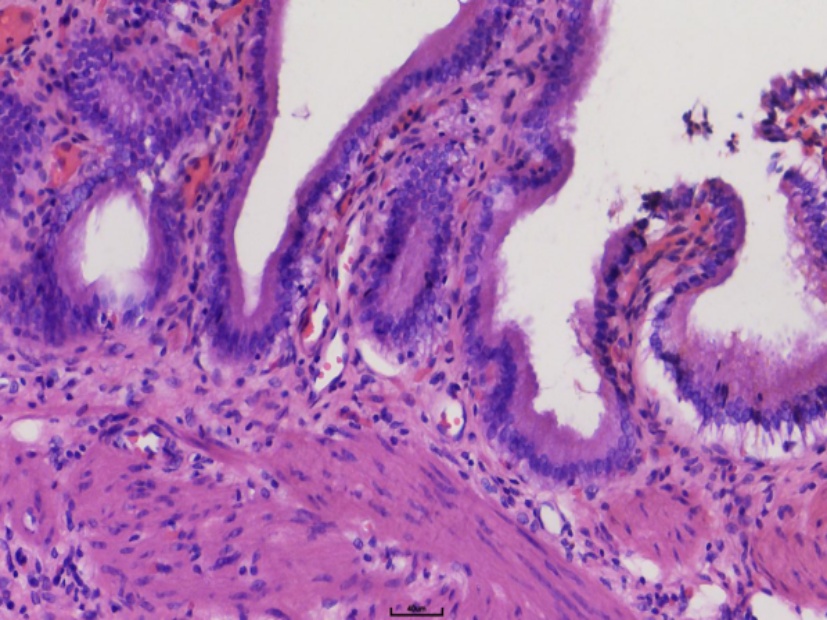
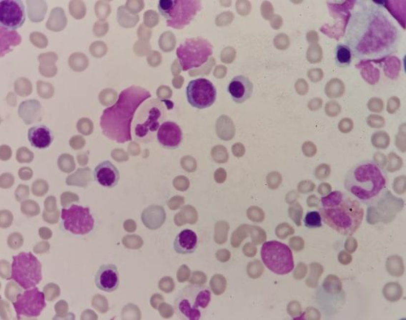
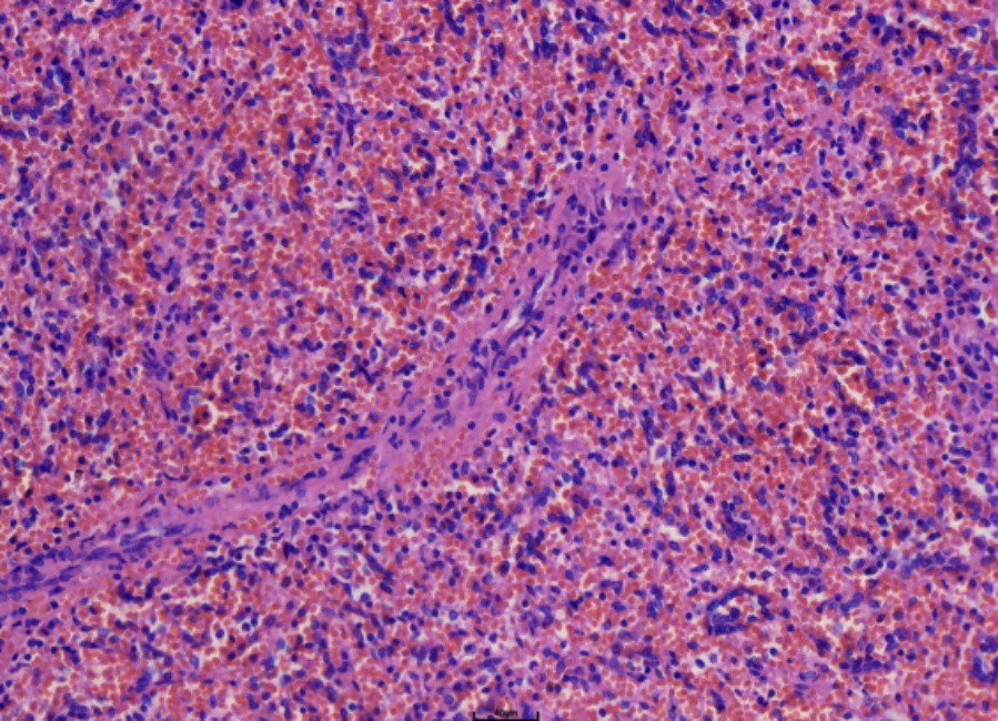
本研究共纳入9例HS患者,其中外科治疗7例,内科治疗2例。患者均为本中心连续收治病例。年龄中位数为30岁(8~64岁),其中成年人5例、青少年4例;男性6例、女性3例。共有4例患者具有明确家族遗传史。所有患者入院时均表现为皮肤巩膜黄染、脾肿大及不同程度的贫血。其中轻度贫血2例,中度贫血5例,重度贫血2例;2例患者合并腹痛症状(详见表1)。全部患者均接受骨髓穿刺活检,结果显示骨髓增生活跃,红系显著增生(图1),提示溶血性贫血特征。共4例患者完成基因检测,突变基因包括SLC4A1、ANK1、SPTB,其中以SPTB突变最为常见(2例) (图2)。影像学检查显示所有患者均存在不同程度的脾肿大(图3)。合并症方面:外科治疗组中6例患者伴胆囊结石,其中5例为单纯胆囊结石,另1例合并胆总管结石。1例合并乙肝肝硬化;内科治疗组中1例患者伴EB病毒感染。患者总体住院时间中位数为13天(8~35天)。外科组住院时间中位数13天(8~35天),内科组住院时间中位数12天(10~14天)。外科患者术后病理结果显示脾脏显著淤血、红髓减少并萎缩(图4),胆囊标本中5例存在慢性胆囊炎伴胆囊结石(图5)。

3.2. 诊疗经过

3.2.1. 外科治疗组

外科组患者术前诊断包括:4例患者术前诊断为:遗传性球形红细胞增多症、胆囊结石、脾大和溶血

性贫血。其余3例术前诊断分别为:1例为遗传性球形红细胞增多症、胆囊结石、胆总管结石、脾大和溶血性贫血;1例为遗传性球形红细胞增多症、脾大和溶血性贫血;1例为遗传性球形红细胞增多症、乙肝肝硬化、脾大和溶血性贫血。2例行单纯脾切除术(腹腔镜或开腹),5例行腹腔镜脾切除联合胆囊切除术;6例采用腹腔镜手术,1例为开放手术。2例患者术中输血,术中出血量中位数为150 mL (范围30~400 mL)。引流管拔除时间中位数为6天(2~13天),术后住院时间中位数为8天(4~25天)。术后并发症包括:1例小

Table 1. General characteristics and treatment courses of nine patients with hereditary spherocytosis in our center

1. 本中心9例遗传性球形红细胞增多症患者的一般情况及治疗经过

编号

性别

年龄

()

家族史

黄疸

腹痛

贫血 程度

输血

脾大

胆石症

手术/治疗方式

出血量

(mL)

引流管留 置天数

术后并 发症

总住院 天数()

1

8

中度

术中自 体血回 输100 mL

腹腔镜脾切除术

400

2

9

2

30

轻度

0

腹腔镜脾切除 + 胆囊切除 + 肝活检

150

13

小肠梗阻

35

3

42

中度

0

开腹脾切除术

200

6

14

4

26

轻度

0

腹腔镜脾切除 + 胆囊切除

200

2

8

5

15

中度

0

腹腔镜脾切除 + 胆囊切除

150

7

脾静脉血 栓,胰漏

8

6

13

重度

术中浓 缩红细 胞2 U

腹腔镜脾切除 + 胆囊切除

50

7

脾静脉血 栓,胰漏

13

7

33

中度

0

腹腔镜脾切除 + 胆囊切除

30

6

25

8

64

重度

浓缩红

细胞共 3.5 U

内科保守治疗 (叶酸、促红素、输血)

14

9

31

中度

0

内科保守治疗 (叶酸、抗病毒等)

10

注:外科组7例(编号1~7),内科组2例(编号8~9)。

Figure 1. Bone marrow aspiration (right 1000X)

1. 骨髓穿刺(右1000X)

Figure 2. Pie chart showing the distribution of gene mutation types (four cases)

2. 基因突变类型分布饼图(4例)

Figure 3. MRI showing gallstones and splenomegaly in the patient (indicated by the arrow)

3. 患者MRI可见胆囊结石、脾大(箭头所指)

Figure 4. Splenic histopathology showing diffuse dilatation and congestion of the splenic sinusoids, with atrophy of the white pulp. Subcapsular areas demonstrate fibrous tissue proliferation accompanied by loose stroma and edema (HE, 200X)

4. 脾病理切片显示脾窦弥漫性扩张淤血,白髓萎缩,区域被膜下见纤维组织增生伴间质疏松、水肿(HE 200X)

Figure 5. Gallbladder histopathology showing chronic cholecystitis (HE 200X)

5. 胆囊病理切片显示慢性胆囊炎(HE 200X)

肠梗阻(保守治疗后恢复),2例轻度胰漏及脾静脉血栓。出院时,总胆红素与间接胆红素较术前显著下降(p = 0.016);血红蛋白与红细胞计数虽有升高趋势,但差异无统计学意义(p > 0.05)。其中血红蛋白升高6例、下降1例;红细胞计数升高5例、下降2例。外科治疗可显著改善溶血状态和黄疸症状,但短期内血红蛋白改善幅度有限。

3.2.2. 内科治疗组

两例患者均为男性,年龄分别为64岁和31岁。入院时均有明显黄疸,无腹痛症状,其中1例为中度贫血,1例为重度贫血。入院时血红蛋白分别为76 g/L和80 g/L,网织红细胞分别为11.2%和25.2%,总胆红素为58 μmol/L (间接胆红素36 μmol/L)与137.8 μmol/L (间接胆红素126.1 μmol/L)。两例患者均接受了叶酸补充、促红素及对症支持治疗。

其中1例因血红蛋白下降至 < 60 g/L,予以两次输注浓缩红细胞共3.5 U;另一例因EB病毒感染,给予抗病毒、激素及碱化尿液治疗。经治疗后,两例患者黄疸明显改善(总胆红素及间接胆红素下降),红细胞计数升高,但血红蛋白水平1例略降,1例保持稳定。住院时间分别为14天和10天。两例患者均拒绝基因检测,并选择出院后继续保守治疗。

3.3. 随访

所有患者均进行了系统随访,随访时间中位数为4年(1~10年)。随访节点包括术后1个月、3个月、6个月、1年及长期随访(>1年)。随访期间,外科组所有患者术后1个月均出现了血小板升高,在接受抗血小板治疗后,血小板水平在数月内恢复至正常范围。1例未进行胆囊切除的患者出现腹痛,入院后被诊断为急性胆囊炎伴胆囊结石,因手术间期时间太短,保守治疗出院。其余6例患者恢复良好,肝功能、血常规均正常,且未发现胆管结石发生。所有患者均未发生严重感染并发症。内科组纳入两例患者:一例患者出院后因全身乏力3次返院接受输血及对症治疗,最终于出院后18个月因感染相关并发症死亡;另一例患者恢复良好,肝功能、血常规均正常。

4. 讨论

遗传性球形红细胞增多症(Hereditary Spherocytosis, HS)是因红细胞膜蛋白基因突变导致的红细胞膜结构异常。HS呈全球性分布,北欧和北美地区发病率最高,达1/2000 [1]。而在中国虽然各地都有报道,但目前尚无确切的流行病学调查资料[2]-[4]。Wang等系统回顾分析了1978年至2013年中国生物医学文献数据库中发表的与HS相关的文献,估计出HS在中国的发病率约为1.37/100,000 [5],但由于临床中存在漏诊现象等原因,HS的实际发病率明显高于临床检出率[6]。随着医疗诊治水平提高,HS发病率和检出率正在上升。目前已明确的HS致病基因包括ANK1、SLC4A1、SPTA1、SPTB和EPB42等,这些基因分别编码锚蛋白、带3蛋白、α收缩蛋白、β收缩蛋白和4.2蛋白[7]。ANK1和SPTB是遗传性球形红细胞增多症(HS)患者中最常见的致病基因,这两种基因变异在中国HS患者中占据主导地位[8]。在接受基因检测的4例患者中,有3例分别检测到ANK1和SPTB基因突变,符合上述基因突变规律。

HS患者的临床表现各异,主要包括贫血、黄疸、脾脏肿大等,对于长期未手术治疗的患者常伴有胆石症[9]。症状的严重程度与球形红细胞的数量及其功能障碍有关。根据临床症状的严重性,遗传性球形红细胞症通常分为四种类型:携带者型、轻型、中型和重型。携带者型:Hb正常,网织红细胞 < 3%,总胆红素 < 17 μmol/L;无明显临床症状。轻型:Hb > 110 g/L,网织红细胞3%~6%,总胆红素17~34 μmol/L;通常表现为轻度贫血或间歇性黄疸,在儿童和青少年时期通常不必要特殊治疗。中型:Hb 80~110 g/L,或网织红细胞 > 6%,或总胆红素 > 34 μmol/L;可出现明显黄疸、脾大,部分患者需间歇输血或考虑手术治疗。重型:Hb < 80 g/L,或网织红细胞 > 10%,或总胆红素 > 51 μmol/L;常伴显著脾肿大、黄疸及溶血危象,多需长期输血维持或行脾切除手术[10]。需要指出的是,HS患者是否接受外科治疗并非仅由贫血程度决定。对于轻型或中型患者,当疾病反复发作、影响生活质量或患者强烈要求手术时,亦可在充分评估后考虑脾切除。本中心两例轻度贫血患者均为成年人,症状长期存在且多次就诊无明显改善,且患者有明确手术意愿,经评估后选择手术治疗。对于具有家族遗传史,且合并贫血、黄疸、脾大典型临床症状、实验室检查有球形红细胞增多、网织红细胞增多、平均红细胞血红蛋白浓度(MCHC)增高的患者诊断并不困难。然而,在临床中发现一部分HS患者缺乏典型的临床特征,容易漏诊或误诊为其他溶血性疾病[11],在上述患者中,有1位患者从出生就存在黄疸症状,无HS家族史,因早期症状轻、不典型,曾多次到外院就诊未明确病因,成年后因反复的胆管结石入院,贫血症状不明显,多次行内镜胆道引流术,术后胆红素降低,但一直未达到正常水平。虽然HS的黄疸是以血清总胆红素和间接胆红素升高为主,而胆管结石伴胆管炎所致黄疸则以总胆红素和直接胆红素升高为主,在HS合并胆管结石时,胆红素的升高可以表现为血清总胆红素和直接胆红素升高为主[12],因此导致患者易漏诊HS而专注胆管结石的治疗。因此在临床上对于反复胆管结石合并长期黄疸病史的患者,无论是否伴有贫血、脾大等情况,都应考虑是否合并HS的可能,同时注意与Gilbert综合征、地中海贫血、自身免疫性溶血性贫血等相鉴别,必要时进行骨髓穿刺、基因检测,以明确病因[13]

目前对于HS的治疗,主要包括输血治疗及手术治疗,而手术治疗主要包括全脾切除、部分脾切除及脾动脉栓塞,而相关研究对比了输血疗法与手术治疗,结果发现,输血疗法虽能使红细胞数、血红蛋白浓度明显升高,但需反复输血才能维持疗效[14] [15];而行外科手术治疗的患者术后恢复良好,贫血、黄疸等症状得到有效改善,不仅提高了患者的生存质量,更减少了血液资源的浪费。在本中心研究中,内科组中接受输血治疗的患者在住院期间及出院后均多次输血。输血后红细胞计数及血红蛋白浓度虽较最低值明显改善,但需反复输血维持疗效,与既往研究结果一致。相比之下,外科治疗组患者术后黄疸明显减轻,血红蛋白浓度多数较术前有所上升,仅2例患者术后血红蛋白较术前未见明显提高。其原因可能与术中出血较多、术后补液导致的血液稀释效应以及个体差异有关。在本研究中,内科组2例患者的预后差异明显。其中1例患者因贫血严重接受输血治疗,红细胞计数虽较入院时有所升高,血红蛋白水平较住院期间最低值明显改善,出院后仍需多次输血维持,远期预后不佳。另一例患者虽入院时表现为中度贫血,但伴有急性EB病毒感染并溶血危象,随访中血红蛋白及胆红素水平均恢复正常,提示该患者的HS严重程度可能为携带者型,而非真正的中重型。由此可见,HS的严重程度分级应在疾病稳定期进行评估,急性溶血期的实验室指标可能高估病情。

外科治疗组患者总体恢复良好,术后黄疸明显改善,长期随访显示溶血控制满意。虽然术前与出院时血红蛋白及红细胞计数的差异无统计学意义(p > 0.05),但指标整体呈上升趋势,这可能与以下因素有关:1) 样本量较小(n = 7),统计功效不足;2) 术后短期内红系造血功能尚未完全恢复,血红蛋白上升存在时间滞后;3) 个别患者术后存在轻度出血、体液稀释或营养代谢因素干扰血象稳定。此外,本研究显示腹腔镜脾切除与开腹脾切除在术后恢复速度、黄疸改善及远期预后方面无显著差异。总体来看,脾切除能有效改善HS患者的溶血状态与临床症状,具有较好的远期疗效。目前全脾切除仍是HS的最佳治疗方法。相关研究指出部分脾切除术、脾动脉栓塞术,虽然更加微创且保留了部分脾脏功能,但可能需行二次手术以治疗症状复发,且术后并发症发生率更高[16]。而全脾切除术在减少并发症、血液学结果改善方面的效果更为显著。此外,本研究中检测到的ANK1、SPTB突变与既往文献所示高致病性位点类型一致。随着基因编辑的发展,造血干细胞(HSPC)离体编辑并回输被认为是最具潜力的治愈性策略。对于单碱基或小片段突变,碱基编辑和引导编辑能够实现精准修复;对于剪接突变,反义寡核苷酸(ASO)或剪接编辑可望恢复正常mRNA。相比之下,整基因添加因基因体量与调控复杂度限制,目前可行性较低。尽管尚无HS的临床试验,但镰状细胞病和地中海贫血的成功经验已为HS的转化提供了技术与安全性依据。未来,基因分型驱动的个体化编辑治疗有望成为HS的重要研究方向[17]

另外,脾切除术后胰漏的主要诱因包括脾门分离过程中对胰尾的机械牵拉或热损伤,以及患者自身因素如体重指数较高、手术时间较长等。术中应清晰暴露胰尾与脾尾的解剖边界,尽量避免对胰腺实质的过度牵拉;对于胰腺质地较软的患者,可采用缝线扣合并辅以可吸收缝线加强缝合,必要时局部填塞生物胶或缝合带以增强密封效果。术后应依据国际胰腺外科研究组(ISGPS)标准监测引流液淀粉酶水平并进行分级处置,以实现胰漏的早期识别和规范化管理。脾门静脉系统血栓的发生与脾脏体积增大、溶血性贫血导致的高凝状态、术后血小板反跳、静脉内皮损伤及血流滞缓,以及术中出血与输血相关反应等多种因素有关。对于血小板明显反跳且无活动性出血或明显术中出血的患者,可于术后第2~3日开始给予低分子肝素进行预防性抗凝,并在术后第7~10日结合血小板计数及凝血功能动态调整剂量。此外,术中应尽量减少对脾门静脉的牵拉及热损伤,采用精准电凝和节段性暴露技术,避免血管壁撕裂或不必要的外膜损伤,以降低血栓形成风险。患者术后恢复时间可能与发病时间长短相关。在本中心外科组7例患者中,3例30岁以上的患者术后恢复时间比其余4例长,这可能与长期的高胆红素血症对肝功能的损害有关。传统观念认为,为防止脾脏切除后凶险性感染,HS患者需待6岁后才能行脾切除术。但随着年龄增大,溶血次数越多,溶血情况越重,铁负荷越重,胆色素性胆道结石发生可能性越大,特别是10岁之后胆石症发生的概率明显增加。所以建议HS患者在6~10岁进行脾切除,对于小于6岁的患儿可以选择部分脾切除术或脾动脉栓塞术[18]。本研究中1例患者术前无胆囊结石,因而未行胆囊切除术,但手术5个月后因急性胆囊炎伴胆囊结石再次入院。该患者同时存在肝硬化病史,这可能对胆囊结石的形成产生了影响,肝硬化通过胆汁酸分泌减少、胆汁成分改变、胆囊低动力与肠肝循环紊乱等途径,进一步提高胆色素在胆囊内的沉积几率,两者叠加使结石风险与复杂性升高。儿科与成人研究均提示HS患者存在更高比例的胆色素结石与相关并发症(胆囊炎、胆管炎、梗阻性黄疸)。因此,HS + 肝硬化人群的胆囊管理应更积极,包括影像随访与脾切除同期手术的胆囊去留评估[19]。相关研究表明,脾切除术时若不处理胆囊结石,术后约有37%~70%的患者可能出现胆囊炎相关症状。但对于合并无症状胆囊结石的HS患者,本中心通常建议暂不行胆囊切除。对于无胆囊结石的患者,预防性胆囊切除更应谨慎,一般不予推荐,仅在结合肝功能、门静脉高压情况、患者年龄及全身状况经多学科评估后,才可能作为个体化选择。即使合并肝硬化患者,我们也不主张常规行预防性胆囊切除。本中心7例患者经外科治疗后,胆红素都有明显下降并逐渐恢复正常水平,预后良好,未有凶险性感染发生。

5. 总结

综上所述,对于反复黄疸、胆管结石的患者,我们需考虑HS的可能性,必要时行基因突变检测以明确诊断;对于轻型、中型HS患者是否行手术治疗,并非完全依照传统分型标准。当疾病已明显影响患者日常生活质量,且患者本人强烈要求接受外科治疗,经多学科综合评估后可行手术治疗。HS的严重程度分级应在疾病稳定期进行评估,急性溶血期的实验室指标可能高估病情。对于HS患者,无症状性胆囊结石及无结石者均不推荐常规同期胆囊切除,即使合并肝硬化亦不支持预防性处理,应结合个体情况审慎评估。相比于内科治疗,HS患者进行外科干预长期预后较好,且全脾切除术是目前最有效的治疗方法,对于重度贫血的HS患者,单纯内科治疗对其效果有限。对于需要外科治疗的患者,当患者年龄达到6岁后,应及时进行外科干预治疗。新型基因疗法可能是治愈该病最具前景的方式,但还需不断进行基础及临床研究方能确证。

声 明

该病例报道已获得患者的知情同意。

NOTES

*通讯作者。

参考文献

[1] Ciepiela, O. (2018) Old and New Insights into the Diagnosis of Hereditary Spherocytosis. Annals of Translational Medicine, 6, 339. [Google Scholar] [CrossRef] [PubMed]
[2] Gong, J., He, X., Zou, R., et al. (2019) Clinical Characteristics and Genetic Analysis of Hereditary Spherocytosis Caused by Mutations of ANK1 and SPTB Genes. Chinese Journal of Contemporary Pediatrics, 21, 370-374.
[3] Wang, X., Zhang, A., Huang, M., Chen, L., Hu, Q., Lu, Y., et al. (2020) Genetic and Clinical Characteristics of Patients with Hereditary Spherocytosis in Hubei Province of China. Frontiers in Genetics, 11, Article No. 953. [Google Scholar] [CrossRef] [PubMed]
[4] Hao, L., Li, S., Ma, D., Chen, S., Zhang, B., Xiao, D., et al. (2019) Two Novel ank1 Loss‐of‐Function Mutations in Chinese Families with Hereditary Spherocytosis. Journal of Cellular and Molecular Medicine, 23, 4454-4463. [Google Scholar] [CrossRef] [PubMed]
[5] Gao, Y., Zhang, B., Song, Y., Li, G., Bao, Y., Jiang, Y., et al. (2018) Diagnosis of Hereditary Spherocytosis and Secondary Hemochromatosis in a Patient with Jaundice. Acta Haematologica, 139, 168-170. [Google Scholar] [CrossRef] [PubMed]
[6] 陈望, 孙铁为. 腹腔镜下保脾胰体尾切除术的研究进展[J]. 腹腔镜外科杂志, 2020, 25(9): 712-715.
[7] Kim, Y., Park, J. and Kim, M. (2017) Diagnostic Approaches for Inherited Hemolytic Anemia in the Genetic Era. Blood Research, 52, 84-94. [Google Scholar] [CrossRef] [PubMed]
[8] 温雪, 张志华, 张荣娟, 等. SPTB基因杂合突变致遗传性球形红细胞增多症1例[J]. 临床荟萃, 2021, 36(11): 1019-1023.
[9] Yang, L., Shu, H., Zhou, M. and Gong, Y. (2022) Literature Review on Genotype-Phenotype Correlation in Patients with Hereditary Spherocytosis. Clinical Genetics, 102, 474-482. [Google Scholar] [CrossRef] [PubMed]
[10] Wu, Y., Liao, L. and Lin, F. (2021) The Diagnostic Protocol for Hereditary Spherocytosis‐2021 Update. Journal of Clinical Laboratory Analysis, 35, e24034. [Google Scholar] [CrossRef] [PubMed]
[11] Xue, J., He, Q., Xie, X., Su, A. and Cao, S. (2020) A Clinical and Experimental Study of Adult Hereditary Spherocytosis in the Chinese Population. The Kaohsiung Journal of Medical Sciences, 36, 552-560. [Google Scholar] [CrossRef] [PubMed]
[12] 杨龙, 史瑞, 张雅敏. 遗传性球形红细胞增多症合并胆总管结石致极高胆红素血症一例[J]. 中华肝胆外科杂志, 2018, 24(12): 806, 811.
[13] 王强, 颜学波, 冯斌, 等. 反复合并胆管结石的ANK1基因突变遗传性球形红细胞增多症一例[J]. 中华肝胆外科杂志, 2020, 26(10): 789-790.
[14] 刘洪江, 康权, 刘国斌, 等. 脾栓塞与脾切除治疗儿童遗传性球形红细胞增多症的围手术期比较分析[J]. 临床血液学杂志, 2023, 36(6): 398-401, 405.
[15] 郑奕菲. 遗传性球形红细胞增多症患儿脾脏切除术后免疫功能变化的研究[D]: [硕士学位论文]. 合肥: 安徽医科大学儿外科学, 2024.
[16] 李中策, 卞剑, 孟立祥, 等. 程序化单孔腹腔镜脾脏切除术治疗儿童遗传性球形红细胞增多症[J]. 腹腔镜外科杂志, 2022, 27(12): 903-907.
[17] Baik, R., Wyman, S.K., Kabir, S. and Corn, J.E. (2021) Genome Editing to Model and Reverse a Prevalent Mutation Associated with Myeloproliferative Neoplasms. PLOS ONE, 16, e0247858. [Google Scholar] [CrossRef] [PubMed]
[18] 白丽红, 郑丽萍, 李彬媛, 等. 26例遗传性球形红细胞增多症的临床及基因诊断[J]. 中南大学学报(医学版), 2023, 48(4): 565-574.
[19] 王涌, 胡志前, 殷继曾. 胆道疾病和周围脏器疾病的关系[J]. 肝胆胰外科杂志, 1999, 11(3): 166.