克氏针内固定治疗中度拇外翻1例个案报道及文献复习
A Case Report and Literature Review of Kirschner Wire Internal Fixation for Moderate Hallux Valgus
DOI: 10.12677/acm.2026.162672, PDF, HTML, XML,   
作者: 陈 君, 白 松:云南中医药大学第一临床医学院,云南 昆明;云南中医药大学第一附属医院(云南省中医医院)骨四病区,云南 昆明;邱婧雯:云南中医药大学第一附属医院(云南省中医医院)骨四病区,云南 昆明;云南中医药大学第二临床医学院,云南 昆明;保超宇*:云南中医药大学第一附属医院(云南省中医医院)骨四病区,云南 昆明
关键词: 拇外翻微创内固定术克氏针Hallux Valgus Minimally Invasive Internal Fixation Kirschner Wire
摘要: 目的:探讨克氏针内固定在中度拇外翻治疗中的临床疗效及应用价值,结合文献复习总结其技术特点。方法:回顾性分析1例中度拇外翻患者的临床资料,并应用临时克氏针内固定手术治疗。结果:患者术后随访,无针道及切口感染、截骨端延迟愈合或不愈合等情况发生,跖骨痛及足拇囊炎症状消失。结论:克氏针内固定治疗中度拇外翻能有效矫正畸形、缓解疼痛、恢复足部功能,且具有微创、经济等特点,是临床治疗中度拇外翻的可靠选择之一,但其长期疗效需结合更大样本量的研究进一步验证。
Abstract: Objective: To explore the clinical efficacy and application value of Kirschner’s needle internal fixation in the treatment of moderate hallux valgus, and summarize its technical characteristics in combination with literature review. Method: A retrospective analysis was conducted on the clinical data of one patient with moderate hallux valgus, and the patient was treated with temporary Kirschner’s needle internal fixation surgery. Result: The patient was followed up after the operation. There was no infection in the needle tract or incision, delayed healing or non-healing of the osteotomy end, and the symptoms of metatarsal pain and bunion disappeared. Conclusion: Kreisch’s needle internal fixation for moderate hallux valgus can effectively correct deformity, relieve pain and restore foot function. It also has the characteristics of minimally invasive and economical, and is one of the reliable choices for clinical treatment of moderate hallux valgus. However, its long-term efficacy needs to be further verified in combination with studies of larger sample sizes.
文章引用:陈君, 白松, 邱婧雯, 保超宇. 克氏针内固定治疗中度拇外翻1例个案报道及文献复习[J]. 临床医学进展, 2026, 16(2): 2633-2637. https://doi.org/10.12677/acm.2026.162672

1. 引言

拇外翻(Hallux Valgus, HV)是足部一种常见畸形,主要表现为患者足部变形、疼痛及功能障碍。对于有明显症状且经保守治疗效果不佳的足拇外翻畸形患者,临床医师通常会建议手术治疗。统计表明,关于拇外翻的手术方式已超过100多种[1]。拇外翻的截骨治疗最初以跖骨开放截骨术为主要术式,随着截骨器械与微创技术的迭代发展,跖骨截骨已可通过微创路径完成。但由于拇外翻畸形的复杂性,因此常需要根据病人不同的病理变化,进行个体化的手术治疗[2]。目前临床治疗拇外翻畸形主要采用截骨矫形术或软组织松解,其中软组织松解适用于轻度患者,中、重度患者多需进行截骨矫形术[3]。2023年6月,云南省中医医院骨科收治1例右足拇外翻合并第一跖趾关节半脱位的患者,采用克氏针内固定治疗,取得了较满意的手术疗效,现报告如下。

2. 病历资料

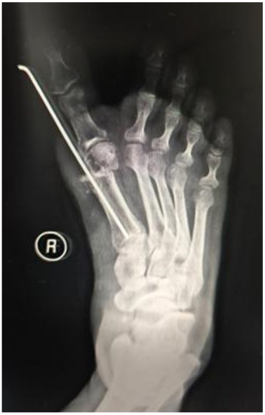
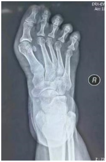
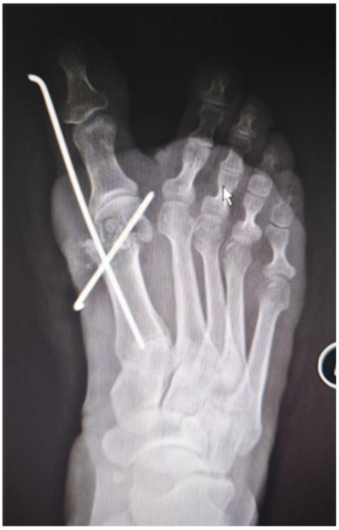
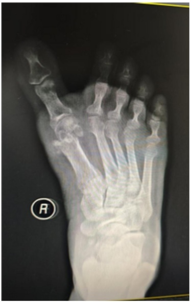
患者女,46岁。因“右足进行性行走疼痛、伴踇趾外翻畸形8月余”来我科就诊。专科检查:右侧第一跖趾关节外翻畸形(见图1(a)图1(b)),活动受限,拇囊部位压痛明显,无纵向叩击痛。第一跖趾关节松弛,活动后疼痛加重。前足功能AOFAS评分为45分,神经血管检查正常,其余肢体未见异常。既往史无特殊,检验结果未见异常。右足部X线片显示:右侧第一跖趾关节对位欠佳呈外翻改变,外翻角约33˚,第1、2跖骨间夹角约为9˚,第一近节趾骨近端可见骨质增生边尖(见图1(c))。入院诊断:右足拇外翻合并第一跖趾关节半脱位。完善相关检查后,行右足拇外翻切开截骨矫形克氏针内固定术。手术过程:麻醉生效后,患者取仰卧位,绑止血带,右下肢常规消毒铺巾,打止血带,C臂透视确认截骨位置,截骨位置靠近跖骨颈的内侧隆起处。皮肤切口:取右足背内侧第一跖趾关节处纵切口,切一长约2 cm皮肤切口。操作过程:电刀分离皮下组织至关节囊,电凝止血,切除增生关节囊,显露内侧跖趾关节,用摆据距跖骨远端2 cm处垂直于跖骨干横向截骨,将跖骨头向外侧推移,将第1根金属骨针沿远端截骨断端前内侧皮下置入并从拇趾趾甲近端内侧皮缘穿出,将布巾钳插入跖骨截骨近端髓腔,再从拇趾趾甲内侧将金属骨针置入跖骨干髓腔基底部内固定,透视确认足拇外翻畸形矫形满意,将第2根金属骨针从跖骨内侧缘距离跖骨近端截骨面1 cm处上斜形插入,从远端截骨面中点穿过,从跖骨远端外侧皮质穿出(见图1(d)图1(e)),固定截骨远端,C臂透视见拇外翻纠正,内固定位置可(见图1(g))。逐层缝合切口,以敷料固定包扎保护拇趾于中立位(见图1(f)),术后第2天复查X线(见图1(h))。术后6周来院拆除第2根金属骨针后,复查X线示恢复可(见图1(i)),术后7周来院拆除第1根金属骨针,复查X线片示恢复可(见图1(j)),术后3月我院复查足部情况(见图1(k))。

(a) (b) (c) (d)

(e) (f) (g)

(h) (i) (j) (k)

(a) (b) 术前右足外观;(c) 术前片X线片:右足中度拇外翻并第一跖趾关节半脱位;(d) 术中克氏针固定位置;(e) (f) 皮肤切口:右足背内侧第一跖趾关节处纵切口,切一长约2 cm;(g) C臂透视确认脱位复位满意,内固定位置可;(h) 术后右足正侧位x片显示:第一跖趾关节对位良好,跖骨断端对线可,轻度向内移动约1/4;(i) 术后6周患者右足部X线复查情况;(j) 术后7周右足部X线复查情况;(k) 术后3月右足部复查情况。

Figure 1. Patient’s imaging data

1. 患者影像学资料

3. 讨论

足拇外翻畸形的患病率高达35.7% [4],40岁以上女性高发。其发病受先天韧带松弛、创伤、穿鞋不当等多种因素影响[5]。Mann将拇外翻分为轻、中、重三度,根据拇外翻角(Hallux Valgus Angle, HVA)和跖骨间角(Intermetatarsal Angle, IMA)来评估畸形的严重程度:轻度(HVA < 30˚,IMA通常<13˚)、中度(30˚ < HVA < 40˚,IMA通常13˚~16˚)、重度(HVA > 40˚,IMA通常>16˚)。近些年来,微创手术逐渐应用到矫正中、重度拇外翻畸形,并取得了良好的临床疗效,与开放式手术相比,微创手术的优点包括创伤小、愈合快、术后疼痛轻等。Singh等[6]的分析汇总了9项微创手术与开放式手术的对比研究,结果提示与传统的开放手术相比,微创手术在影像学结果改善、VAS (Visual Analogue Scale)评分、患者满意度及术后并发症发生方面与开放式手术并无明显差异,但微创手术较开放手术时间明显缩短,矫正HVA的能力也更强。

对于拇外翻畸形的最佳手术治疗方法目前尚无明确共识,目前临床上微创手术治疗拇外翻有很多种,如Reverdin-Isham、Bösch、Endolog、MICA、软组织松解术及其各种改良技术,上述手术方式都有其优点,也存在固有的缺陷,因此治疗目标主要是解决疼痛,减少术后并发症的发生,尽可能地恢复前足的生物力学功能。在先前的病例报道中,采取微创手术,治疗HV都取得了良好的疗效。高建华等[7]采用小切口微创技术经皮截骨闭合穿针治疗197例中、重度拇外翻患者,术后足拇外翻畸形完全矫正、无复发,第1跖趾关节活动范围正常,截骨端临床愈合时间为5~7周,平均6周。张恒等[8]采用微创斜形切口联合改良Bösch截骨术治疗20例拇外翻畸形,术后无感染、足背内侧皮神经损伤导致的感觉麻木,末次随访时,17例患者足拇外翻角为5.6˚~9.8˚,平均7.2˚,第1、2跖骨间夹角为3.8˚~7.5˚,平均6.1˚。

临时克氏针固定治疗拇外翻有很多优势,但是许多文献报道克氏针内固定也存在不足,克氏针为线性固定,固定稳定性差,截骨端移位发生率高,抗旋转能力显著弱于螺钉。克氏针需皮外留置6周,术后易出现针道感染、软组织刺激引起疼痛。在实际操作中,临床医生应采用小切口直视截骨端,能清晰观察跖骨远端截骨面的对位情况,以确保克氏针垂直于截骨面置入,术后应加强制动和针道护理,及时规避其相应的缺陷。综上所述,克氏针内固定微创手术有其优点,也存在一定的局限性,但操作相对简单,可为医疗资源有限及经济能力较低的地区提供参考。

本例患者HVA约为33˚,IMA约为9˚,属于中度拇外翻畸形,通过病例特点应用临时克氏针内固定治疗,成功地矫正了HVA角度,术中出血少,且术后未发生针道及切口感染、克氏针松动移位等并发症。术后1年随访,患者右足未出现明显疼痛,影像学复查示截骨端骨性愈合良好,无畸形复发。末次随访时HVA约为4.2˚,IMA约为4.6˚,前足功能AOFAS评分为90分,短期内取得了较满意的手术疗效。未来将进行长期随访,观察患者的远期临床疗效。

声 明

该病例报道已获得患者的知情同意。

NOTES

*通讯作者。

参考文献

[1] Molloy, A. and Widnall, J. (2014) Scarf Osteotomy. Foot and Ankle Clinics, 19, 165-180. [Google Scholar] [CrossRef] [PubMed]
[2] 李焱, 唐康来. 拇外翻的微创治疗研究进展[J]. 中华医学杂志, 2021, 101(47): 3912-3916.
[3] 黄丽先, 董红, 彭琪, 等. Akin截骨术联合第一跖骨基底截骨术治疗中重度拇外翻畸形的疗效及安全性分析[J]. 实用医院临床杂志, 2022, 19(6): 75-78.
[4] Klos, K., Lenz, M., Hofmann, G.O., Schubert, W., Knobe, M., Roth, K.E., et al. (2022) The Correction Potential of the Lateral Release of the Hallux Valgus: A Comparative Anatomical Study of Minimally Invasive versus Open Surgical Technique Using a Dorsal Approach. Indian Journal of Orthopaedics, 56, 887-894. [Google Scholar] [CrossRef] [PubMed]
[5] 赵晓亮, 孙梅兰, 闫天元, 等. 拇外翻畸形截骨矫形后第一跖骨三维层面畸形指标的量化分析[J]. 中国组织工程研究, 2024, 33(33): 5302-5307.
[6] Singh, M.S., Khurana, A., Kapoor, D., Katekar, S., Kumar, A. and Vishwakarma, G. (2020) Minimally Invasive vs Open Distal Metatarsal Osteotomy for Hallux Valgus—A Systematic Review and Meta-Analysis. Journal of Clinical Orthopaedics and Trauma, 11, 348-356. [Google Scholar] [CrossRef] [PubMed]
[7] 高建华, 曲家富, 曹利海, 等. 经皮截骨闭合穿针治疗中、重度拇外翻[J]. 中国骨肿瘤骨病, 2010, 9(4): 314-316, 319.
[8] 张恒, 杨华瑞, 寿康全, 等. 微创斜形切口联合改良Bösch截骨术治疗足拇外翻畸形疗效观察[J]. 中国骨与关节损伤杂志, 2024, 39(4): 438-441.