一例肱骨干中下段骨折合并肱骨远端复杂 粉碎性骨折报告并文献回顾
Case Report of a Mid-Lower Shaft Humerus Fracture Combined with Complex Comminuted Distal Humerus Fracture and Literature Review
摘要: 肱骨干中下段骨折合并肱骨远端复杂粉碎性骨折是临床上极为罕见的骨折类型,发病率极低,治疗难度较大。从解剖学角度看,肱骨干中下段毗邻重要的神经和血管结构,如桡神经紧贴肱骨干中下1/3段后外侧桡神经沟行走,发生骨折时骨折端不稳极易损伤桡神经,造成患者垂腕、垂指等严重功能障碍,而肱骨远端则具有复杂的解剖结构,由多个部位组成,如肱骨滑车、肱骨小头、内外侧髁等多个部分组成,是承担肘关节的屈伸和旋转功能的重要组成部分。复杂粉碎性骨折会破坏肱骨远端关节面的完整性,影响关节的稳定性和活动度,以及增加创伤性骨关节炎等并发症的发生风险。在临床治疗方面,肱骨干中下段骨折合并肱骨远端复杂粉碎性骨折面临诸多挑战,由于骨折部位的特殊性和骨折的复杂性,闭合复位困难,大多数需切开复位内固定,正确的手术入路能较好地显示骨折断端,有利于骨折的准确复位,内置物的钢板、螺钉可以达到最优排列分布,达到坚强固定。对这类复杂骨折的诊断和治疗要点,通过典型案例,结合相关文献资料进行探讨。
Abstract: The fracture of middle and lower humeral shaft combined with complex comminuted fracture of distal humerus is an extremely rare fracture type in clinic, with extremely low incidence and difficult treatment. From the anatomical point of view, the middle and lower segments of the humeral shaft are adjacent to important nerve and vascular structures, such as the radial nerve walking close to the posterolateral radial nerve groove of the middle and lower 1/3 segment of the humeral shaft. When a fracture occurs, the unstable fracture end can easily damage the radial nerve, causing serious dysfunction such as hanging wrist and finger, while the distal humerus has a complex anatomical structure, which consists of multiple parts, such as humeral trochlea, humeral capitulum, medial and lateral condyle, etc., which collectively form a crucial element for elbow flexion, extension, and rotational movements. Complex comminuted fracture will destroy the integrity of the articular surface of the distal humerus, affect the stability and mobility of the joint, and increase the risk of complications such as traumatic osteoarthritis. In clinical treatment, the middle and lower humeral shaft fractures combined with complex comminuted fractures of the distal humerus face many challenges. Due to the particularity and complexity of the fracture site, closed reduction is difficult, and most of them need open reduction and internal fixation. The correct surgical approach can better display the broken end of the fracture, which is conducive to the accurate reduction of the fracture. The plates and screws of the embedded objects can achieve optimal arrangement and distribution, and achieve strong fixation. The main points of diagnosis and treatment of this kind of complex fracture are discussed through typical cases and related literature.
文章引用:崔博. 一例肱骨干中下段骨折合并肱骨远端复杂 粉碎性骨折报告并文献回顾[J]. 临床医学进展, 2026, 16(2): 2654-2660. https://doi.org/10.12677/acm.2026.162675

1. 病例资料

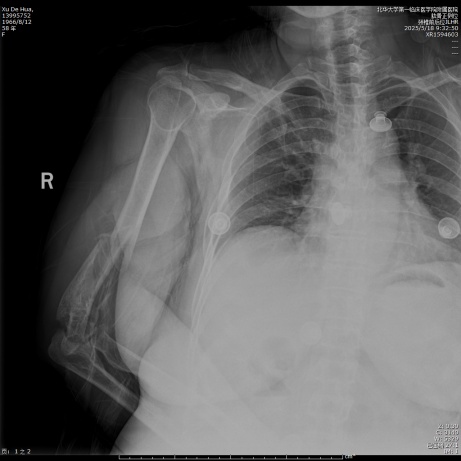
患者徐女士,58岁,因“高处坠落伤致右上臂肿痛、畸形、活动受限2小时”入院。患者于2小时前在家中不慎从3 m高的梯子上不慎掉落摔倒伤及右上臂,即感右上臂剧烈疼痛伴明显活动受限,遂至我院就诊,查体见右上肢三角巾悬吊中,皮肤感觉正常,右上臂中下段及前臂明显肿胀、屈曲畸形,肌张力明显增高,肘关节前侧及内侧皮肤可见张力性水疱,未见明显皮下瘀斑,触痛明显,轴向叩击痛(+),右肩、肘关节活动度因疼痛不能查及,肘后三角关系正常,腕关节及各手指活动度正常,桡动脉搏动可触及,末梢血运良好。急诊行右肱骨X线片检查,提示:右侧肱骨干及肱骨外侧髁可见骨折线影。遂以“右侧肱骨干骨折”收入院。因肱骨干中下1/3段后外侧骨表面有桡神经沟,为防止骨折端不稳损伤刺破神经及肱动脉,故给予右上肢石膏外固定,止痛、消肿等对症治疗,嘱其抬高患肢,抓绕手指。入院后完善右肱骨CT (平扫,三维重建)检查(见图1),提示:右肱骨干、肱骨小头、肱骨滑车、肱骨外侧髁、内侧髁、桡骨头可见骨质多发断裂,断端对位对线欠佳,局部成角,断端分离移位,周围组织增厚,尺骨近段未见异常,右肘关节腔内见片状液体密度影。最终临床诊断为:右侧肱骨干骨折、肱骨滑车骨折、肱骨小头骨折、肱骨内外髁骨折、桡骨头骨折。完善术前相关检查,未见明显异常及相关手术禁忌症,待患肢肿胀情况明显消退后,根据术前影像学资料及患肢的皮肤条件(右肘前侧及内侧皮肤因张力性水疱导致皮肤破溃),最终手术方案选择在插管全麻下行后侧经尺骨鹰嘴截骨入路切开复位双钢板内固定术。

Figure 1. Preoperative CT scan of the elbow joint with plain imaging and 3D reconstruction

1. 术前肘关节CT平扫及三维重建

2. 手术方法

待麻醉生效后,患者取左侧卧位于手术台上,右上肢术区常规消毒,铺无菌单,贴皮肤保护膜。取右上臂中远段后正中入路,纵行切开一长约18.0 cm手术切口,依次切开皮肤、皮下,切开筋膜层,充分显露尺骨鹰嘴,将尺神经分离充分显露后予以保护,应用微型摆锯“V”形截骨尺骨鹰嘴,将尺骨鹰嘴连同肱三头肌腱剥离,湿盐水纱布保护,注意保护桡神经,暴露肱骨中远段,见肱骨中下段螺旋形骨折,分离短缩移位,肱骨滑车、肱骨小头、肱骨内外髁多处骨折线,分离旋转移位,局部骨质缺损,将肱骨中下段、肱骨滑车、肱骨小头、肱骨内外髁骨折复位,克氏针临时固定,后分别于右肱骨远折端内侧、后侧铺放2枚解剖型钢板,注意保护桡神经和尺神经,拧入数枚螺钉固定,C臂透视见钢板及螺钉长度及位置满意(见图2)。并于外髁骨缺损处植入3.0 g β-磷酸钙生物陶瓷不规则颗粒。将截断的尺骨鹰嘴复位后打入两根克氏针临时固定,并应用钢丝“8”字捆绑固定(见图3),活动肘关节,见骨折复位固定确实,关节无异响和绞索。后将尺神经松解前置,见神经松紧带适宜。后清点器械、纱布无误后,冲洗术区,彻底止血,术区留置负压引流管1枚,撒入盐酸万古霉素0.5 g及止血粉于切口内,预防感染及促进止血,应用可吸收性倒刺线2根逐层缝合肌层及皮下,一次性使用皮肤缝合器关闭切口,无菌敷料进行外包扎,石膏托固定肘关节于功能位(90˚屈曲),术毕。手术经过顺利,麻醉效果满意,术中出血量约1200 ml,给予输注ABO血型AB型Rh(D)阳性去白细胞悬浮红细胞2单位,过程中无明显输血不良反应,术后患者呈清醒状态安返病房。

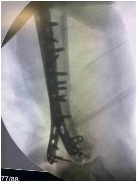
Figure 2. Intraoperative findings and C-arm fluoroscopy with anteroposterior and lateral radiographs

2. 术中外相及C型臂透视正侧位X线片

Figure 3. Pre- and post-operative radiographs of double plate and screw internal fixation via the ulnar olecranon osteotomy approach and open reduction

3. 经尺骨鹰嘴截骨入路切开复位双钢板螺钉内固定手术前后X线片

3. 术后处理

患者术后接受常规抗感染治疗,以预防手术部位可能出现的感染风险;同时进行抗凝治疗,防止术后深静脉血栓形成;应用消肿及止痛药物,以减轻术后的局部肿胀和疼痛不适。嘱患者抬高患肢,促进静脉回流,减轻肿胀,并鼓励其主动进行手指抓握活动,以促进远端血液循环,防止肌肉萎缩和关节僵硬。术后第2天,根据引流情况拔除术区留置的负压引流管,观察引流通畅,共引流出血性液体约50 ml,引流量在正常范围内。术后2周伤口拆线,见切口对合良好,无红肿、渗出及感染迹象,愈合等级为甲级。患肢继续予以石膏固定保护,固定时间共4周,期间严格避免患肢持重或过早负荷,但指导患者进行早期的邻近关节主动及被动功能锻炼,以维持关节活动度。术后1个月复查X线,可见骨折对位对线良好,内固定物位置满意,没有松动和移位的迹象。术后4周采用Mayo肘关节功能评分量表进行评估,得分为92分,对应功能评级为优,显示肘关节功能恢复良好。

4. 讨论

肱骨干中下段骨折合并肱骨远端复杂粉碎性骨折在临床上极为罕见,发生率极低,通常是由于高能量损伤所致,如高处坠落、交通事故等。这种损伤机制导致骨折部位的暴力较大,使得骨折粉碎程度严重,骨折块数量多且移位。从临床特点来看,患者表现为受伤部位的剧烈疼痛、肿胀、畸形、前臂旋转功能受限、肘关节屈伸功能活动受限。由于肱骨中下段解剖形状特殊,邻近组织解剖结构复杂,受力方向不同,造成骨折类型多样化[1] [2],使治疗难度在一定程度上增大。骨折累及肱骨干中下段,极易合并血管、神经损伤,如桡神经损伤导致患者出现垂腕、垂指等严重的功能障碍。此类骨折多呈现为粉碎性、不稳定性骨折,骨折线通常累及肘关节的关节面,对于肱骨远端关节内骨折采用非手术疗法常造成肘关节活动度的丧失,形成永久性残废,所以手术切开复位内固定是最常用的治疗方式,不但可以充分显露骨折断端有利于解剖复位及坚强固定,可以避免肘关节不稳定、肘关节疼痛和创伤性骨关节炎的发生,同时还可以避免过度牵拉周围软组织,防止术中刺激神经产生一系列临床症状。手术治疗的主要目标是使复位更稳定,促进术后早期功能锻炼,最终恢复肘关节的最佳功能,同时最大限度地降低相关并发症的风险。实现这种稳定性对于肘部损伤常见且可能致残的后果——关节僵硬的预防至关重要。与非手术治疗相比,可以减少因固定时间长而引起肘关节僵硬及功能障碍,生活质量明显提高。

目前,双钢板螺钉固定治疗肱骨远端冠状面骨折已获得众多临床医生的认可,钢板的排列固定方式主要有平行和垂直两种形式。本病例采用的是垂直双钢板内固定。根据肱骨远端内外髁的解剖特征进行放置,符合肱骨远端的解剖特性和生物力学需求[3]-[5],具备优良的抗疲劳强度,刚性较好,固定也更加稳固。能够显著减少肱骨远端骨折后创面的畸形,并对桡神经和尺神经提供良好的保护[6]。对于此类复杂的复合型骨折,选择合适的手术入路至关重要,必须充分考虑对肱骨中下段与远端骨折的充分暴露。正确的手术入路能够更有效地显露骨折断端,有助于实现骨折的准确复位,内置物的钢板和螺钉可以达到最佳的排列和分布,从而提供强有力的内固定[4],并尽可能保护重要的神经和血管结构。选择不同手术入路的方法一直存在争议,双钢板螺钉手术的入路主要包括三种方式:后侧经尺骨鹰嘴截骨入路、肱三头肌舌形瓣入路以及肱三头肌旁入路。经尺骨鹰嘴截骨最早由Mac Ausland于1915年提出用于肘关节僵直的治疗,而后Cassebaum于1952年提出采用该入路显露肱骨远端骨折,此后随着医疗技术的不断创新发展,Mulle于1970年提出经尺骨鹰嘴关节外斜形截骨术。因尺骨鹰嘴截骨入路能够最大程度地显露肱骨小头、肱骨滑车等肱骨远端解剖,故成为治疗肱骨远端复杂骨折的首选入路。经尺骨鹰嘴截骨入路可以充分暴露骨折断端及肘关节面,能更直观地观察并解剖复位与固定,有利于术后肘关节的功能锻炼。尺骨鹰嘴截骨有关节内截骨和关节外截骨之分,其中关节内截骨包括横形截骨、斜形截骨和V形截骨三种。由于肱骨的远端关节面不能完全暴露,关节外截骨现在已经不常用了,横截骨和V型截骨是现在关节内截骨常用的方式,为了减少内固定对皮肤的刺激,多主张在截骨处采用张力带钢丝固定,以利于肘关节功能的恢复。而V形截骨尺骨鹰嘴比水平截骨好,它的好处是骨接触面积大,容易痊愈,而且可以抗旋转;其次,不需要将肱三头肌切开,因而并发症的发病率相对于术后出现的不良现象,如肱骨远端的粘连和肘关节的僵硬都有所降低。与横形截骨相比,V形截骨不仅使截骨面接触面积增大,有利于骨愈合,而且V形结构在复位后能有效防止截骨块旋转移位,使稳定性大大提高,因而延时愈合、不愈合和内固着物复位丢失的发生率较低[7] [8]。根据相关研究[9]报告:尺骨鹰嘴截骨术需要注意以下问题,可以在一定程度上降低截骨不愈合的风险,如:选择尺骨鹰嘴切迹中点为最佳的截骨点对软骨的损伤最小;V形截骨以钝角入路,使得截骨面积增多,更利于愈合;截骨操作禁止采用摆据,可以用克氏针先钻孔处理,避免尺骨鹰嘴挛缩。而肱三头肌舌形瓣入路和肱三头肌旁入路二者无需截骨,但由于尺骨鹰嘴的遮挡使关节面显露不充分,肱骨滑车和肱骨小头不能准确复位固定,且需翻开暴露,虽然损伤较小,但暴露程度远没有截骨尺骨鹰嘴来得直观,舌形瓣愈合为瘢痕愈合,缝合后需要更长时间的制动才能完全恢复,极易造成术后纤维化或组织粘连,造成广泛挛缩和粘连,造成肘关节功能不佳的恢复,对早期功能锻炼不利[9]。手术不仅要恢复肱骨滑车、肱骨小头的解剖位置,更要注意保持肱骨远端内外侧柱的对位、对线良好,除了有骨折延迟愈合或不愈合的可能外,对位不良还可能导致肱骨的立线偏移,肘关节内翻、外翻畸形,最终导致肘关节残余疼痛、活动受限等功能障碍,所以关节内骨折需要良好的解剖复位与坚强内固定[9]

肘关节术后并发症的发生率比较高,这是临床上比较常见的现象,特别是与尺神经有关的并发症,在涉及肘关节的大多数手术中都有可能发生,且文献报道显示其发生率处于较高的水平[10]。为了有效降低尺神经受损的风险,应采取尺神经前置术作为常规操作,其主要目的在于使尺神经远离内固定物放置区域,避免因神经松解不彻底而导致的神经扭曲或牵拉,同时减少术后局部瘢痕粘连及异位骨化形成对神经的继发性压迫[11]。此外,手术后还可能出现多种其他并发症,包括但不限于关节活动范围受限、僵硬、创伤性关节炎、损伤性骨化(异位骨化)、骨折延迟愈合、不愈合或畸形愈合、内固定装置松动、断裂以及手术切口感染等。因此,在处理肱骨远端骨折时,采用双钢板内固定技术,可提供更为稳定的力学环境,有利于早期进行系统性康复训练,从而有效促进功能恢复,上述各种并发症的风险明显降低。

本病例的肱骨干中下段骨折合并肱骨远端复杂粉碎性骨折,在生物力学上有特殊挑战。其一,骨折线跨越骨干皮质骨区与干骺端松质骨区,骨干区承受扭转载荷,远端关节周围区域承受压缩与剪切力,干骺端–骨干交界区应力集中,内固定物易疲劳失败。贾争峰等[12]利用有限元分析评估了平行钢板和垂直钢板在肱骨远端骨折愈合过程中的生物力学差异,并指出垂直双钢板固定表现出更均匀的应力分布,在愈合后期更为稳定可靠。其二,高能量损伤使远端骨块粉碎、体积减小,削弱内固定螺钉骨质把持力[12] [13]。此外,肘关节周围肌肉牵拉可能导致内翻或旋转畸形,增加维持复位难度。所以,该损伤模式要求内固定系统能桥接并中和不同力学载荷,适应骨骼不同区域固定特性。在处理干骺端与骨干交界处内固定时,钢板的长度需同时固定肱骨干中下段及肱骨远端,以达到坚强的内固定,利于肘关节早期功能锻炼。

该病例在临床诊疗过程中存在一定的局限性,主要体现在术前未完善肌电图等相关辅助检查,因此未能进一步明确患者是否存在确切的外周神经损伤情况。然而,通过详细的术前体格检查以及术中仔细的探查操作,均未观察到明显的神经损伤体征或症状。术后第一日,患者自觉右手虎口区域以及各手指皮肤出现感觉麻木、不适等异常表现,但并未伴随垂腕、垂指等运动功能障碍畸形。结合手术过程分析,该症状被认为很可能与术中长时间应用止血带,对局部神经造成暂时性压迫及刺激有关。令人欣慰的是,术后第二日随访时,患者右手部皮肤感觉已显著改善,麻木感明显减轻,这表明神经功能障碍为暂时性的,预后较为良好。出院时(即手术完成两周后),患者患肢的皮肤感觉已经恢复到正常状态,原有的麻木不适症状完全消失,触觉和温度感知均与健康肢体无异。

综上所述,肱骨干中下段骨折合并肱骨远端复杂粉碎性骨折在临床上极为罕见,其发生率显著低于其他类型的骨折,属于较为特殊的损伤类型。但由于此类骨折涉及关节周围结构,其解剖学结构较为复杂,治疗难度相对较高,一旦诊断或治疗过程中处理不当,极易引发多种严重并发症,如关节僵硬、创伤性关节炎、神经血管损伤等,对患者术后功能恢复、生活质量等均有明显的影响。而尺骨鹰嘴截骨入路作为一种有效的手术方式,肱骨远端关节面可以得到更充分的显露,为精准复位骨折提供了良好的视野,帮助解剖学对位的实现,复位质量随之提升。在此基础上,采用垂直双钢板螺钉内固定技术,能提供强有力的机械支撑,使内固定稳定性明显增强,临床疗效确切,不仅能满足术后早期患者功能锻炼的需要,而且能有效促进肘关节功能的恢复,使关节活动范围和肌力明显增强,康复进程加快,因而具有重要的临床意义和广泛的推广应用价值。

声 明

该病例报道已获得患者的知情同意。

参考文献

[1] 朱昌荣, 章莹. 肱骨中下段骨折的研究进展[J]. 临床骨科杂志, 2012, 15(5): 573-576.
[2] 安非梦, 孙明启, 张海斌, 等. 三种内固定方式治疗肱骨干中下段骨折的短期疗效比较[J]. 实用手外科杂志, 2022, 36(4): 441-447.
[3] 谢斌. 经尺骨鹰嘴截骨入路联合远端双钢板固定治疗肱骨远端粉碎性骨折的临床效果[J]. 临床医学研究与实践, 2023, 8(32): 73-76.
[4] 胡联英, 贾其余, 俞宇, 等. 经尺骨鹰嘴截骨与经肱三头肌两侧入路双钢板内固定治疗AO-C型肱骨远端骨折的疗效分析[J]. 中国骨与关节损伤杂志, 2022, 37(1): 28-31.
[5] 林扬帆, 林浩, 卢海军. 经尺骨鹰嘴截骨入路治疗肱骨远端C型骨折临床疗效的Meta分析[J]. 中国医药指南, 2023, 21(33): 9-13.
[6] 刘卫. 成人肱骨远端复杂粉碎性骨折手术治疗效果研究[J]. 航空航天医学杂志, 2017, 28(3): 332-334.
[7] 李云鹏, 赵文志. 两种肘后入路双垂直钢板置入内固定治疗肱骨远端C型骨折[J]. 中国组织工程研究, 2017, 21(27): 4324-4329.
[8] 陈春正. 经尺骨鹰嘴截骨入路治疗AO-C3型肱骨远端骨折V形与横形两种截骨方式的疗效分析[D]: [硕士学位论文]. 长春: 吉林大学, 2025.
[9] 黄建涛, 马骁骥. 经尺骨鹰嘴截骨与肱三头肌舌形瓣治疗肱骨远端C型骨折的效果及安全性观察[J]. 临床研究, 2019, 27(6): 131-133.
[10] 牛聪. 平行双钢板或垂直双钢板内固定术治疗AO-C型肱骨远端粉碎性骨折的临床疗效比较[D]: [硕士学位论文]. 西宁: 青海大学, 2021.
[11] 关翰辉, 刘承伟, 彭龙, 等. 经尺骨鹰嘴截骨入路与肱三头肌两侧入路治疗肱骨髁间骨折的疗效比较[J]. 实用手外科杂志, 2022, 36(2): 210-214.
[12] 贾争锋, 高伟录, 李建涛. 有限元分析不同固定方式在肱骨远端骨折骨愈合中的生物力学差异[J]. 解放军医学院学报, 2025, 46(9): 875-882.
[13] 王凯, 覃松. 肱骨远端骨折内固定选择及其生物力学分析[J]. 国际骨科学杂志, 2013, 34(3): 182-184.