难治性鼻窦炎表现的嗜酸性肉芽肿性 多血管炎病例1例
One Case of Eosinophilic Granulomatosis with Polyangiitis Presenting with Difficult-to-Treat rhinosinusitis
DOI: 10.12677/acm.2026.162678, PDF, HTML, XML,    科研立项经费支持
作者: 申格格*, 和 溪:云南中医药大学第一临床医学院,云南 昆明;黄春江, 刘 骥, 李治金:云南省中医医院耳鼻喉科,云南 昆明
关键词: 难治性鼻窦炎嗜酸性肉芽肿性多血管炎哮喘嗜酸性粒细胞增多Difficult-to-Treat Rhinosinusitis Eosinophilic Granulomatosis with Polyangiitis Asthma Eosinophils
摘要: EGPA与DTRS由于都有嗜酸性粒细胞升高与伴发哮喘的特点,但EGPA可累及全身多个系统且缺乏特异性的临床表现,且由于哮喘及鼻、鼻窦病变常在EGPA早期出现,并且较其他全身系统症状早发数年,因此在患者初期就诊时极易漏诊,导致患者病情进一步进展。本篇报道2025年云南省中医医院收治的以难治性慢性鼻窦炎表现的嗜酸性肉芽肿性多血管炎(eosinophilic granulomatosis with polyangiitis, EGPA)的一则病例的诊治,表明慢性鼻窦炎伴有鼻息肉(CRSwNP)、DTRS、EGPA具有很强的相关性,值得我们进一步探索。
Abstract: Both EGPA and DTRS have the characteristics of eosinophilia and asthma, but EGPA can involve multiple systems of the whole body and lacks specific clinical manifestations. Asthma and nasal and paranasal sinus diseases often appear in the early stage of EGPA, which is several years earlier than other systemic symptoms, so it is easy to miss the diagnosis at the initial visit, leading to further progress of the patient’s condition. This paper reports the diagnosis and treatment of a case of eosinophilic granulomatosis with polyangiitis (EGPA) with refractory chronic sinusitis admitted to Yunnan Provincial Hospital of Traditional Chinese Medicine in 2025. It shows that chronic sinusitis with nasal polyps (CRSwNP), DTRS and EGPA have a strong correlation, which deserves our further exploration.
文章引用:申格格, 和溪, 黄春江, 刘骥, 李治金. 难治性鼻窦炎表现的嗜酸性肉芽肿性 多血管炎病例1例[J]. 临床医学进展, 2026, 16(2): 2682-2688. https://doi.org/10.12677/acm.2026.162678

1. 引言

难治性鼻–鼻窦炎(difficult-to-treat rhinosinusitis, DTRS)由于复发率高,致使患者的生活质量严重下降,在给患者带来精神压力的同时,患者不得不承受高额的经济支出,不仅给患者的生活及精神带来了严重困扰,同样给社会带来了医疗负担。1996年,我国韩德民院士等在1000例FESS术后临床疗效的观察中发现慢性鼻窦炎复发率高达16% [1]。2001年,Wreesmann等[2]第一次提出难治性鼻窦炎,特指行内镜鼻窦手术(ESS)仍反复发作及药物保守治疗效果不佳的患者;欧洲鼻窦炎和鼻息肉意见书(EPOS)于2012正式定义为DTRS [3]。2020年,EPOS将经过治疗(药物及ESS)后仍反复发作的患者认定为DTRS [4]。2024年,《中国CRS诊断和治疗指南》指出,约20%~30%的CRS在规范的治疗之后被定义为DTRS [5]

Table 1. ACR classification criteria for EGPA in 1990

1. 1990年ACR关于EGPA分类标准

标准

定义

哮喘样表现

喘息或呼气相弥漫高调的啰音

外周血嗜酸性粒细胞增多

百分比 > 10%

单发或多发性神经病变

由系统血管炎继发,呈手套/袖套样分布

非固定性肺浸润影

影像学检查提示游走性或短暂性肺浸润影(非固定性浸润影)

鼻窦病变

鼻窦疼痛或压痛,鼻窦影像学提示鼻窦透亮度下降

活检提示血管外嗜酸性粒细胞浸润

活检(包括动脉、小动脉、小静脉) 提示血管外大量嗜酸性粒细胞浸润

注:适用于小或中血管炎的患者,满足4条或以上标准即符合EGPA分类标准。

Table 2. ACR/EULAR classification criteria for EGPA in 2022

2. 2022年ACR/EULAR关于EGPA分类标准

项目

得分

阻塞性气道疾病

+3

鼻息肉

+3

多发性单神经炎

+1

外周血嗜酸性粒细胞计数 ≥ 1 × 109/L

+5

病理活检示血管外嗜酸性粒细胞浸润

+2

c-ANCA或PR3抗体阳性

−3

血尿

−1

注:适用于小或中血管炎的患者,将7项得分相加,总分 ≥ 6分即符合EGPA分类标准;c-ANCA:胞质型抗中性粒细胞胞质抗体;PR3:蛋白酶3。

嗜酸性肉芽肿性多血管炎(eosinophilic granulomatosis with polyangiitis, EGPA)是一种特殊的自身免疫性疾病,可使多个系统受累,以嗜酸性粒细胞增多和浸润外周血及组织、中小血管坏死性肉芽肿性炎症为主要表现[6]。自1951年由Churg等[7]发现并报道变应性肉芽肿性血管炎(allergic granulomatosis and angiitis, AGA)。EGPA的诊断不仅基于显著的临床特征、血管炎的客观证据及实验室检查、影像学,更要通过多学科评估以进行充分的鉴别诊断。以美国风湿病学会(ACR)于1990年首次提出了关于EGPA的分类诊断标准[8] (见表1)或美国风湿病学会与欧洲抗风湿病联盟(ACR/EULAR) 2022年关于EGPA的分类标准[9] (见表2)进行诊断,被嗜酸性肉芽肿性多血管炎诊治多学科专家共识(2025版)推荐。

EGPA由于临床表现多样及初期常累及呼吸道,因此患者第一次常就诊于呼吸内科、变态反应科和耳鼻喉科,且常易漏诊、误诊,影响患者预后。同时可随疾病进一步发展,导致患者出现多系统受累,严重者可导致不可逆的器官损害,因此EGPA的早期的明确诊断、规范化的治疗以及并发症的管理对于降低不可逆器官损害及提升临床诊疗效率尤为重要。

2. 病例资料

1) 患者,女,于2025-10-28因“反复鼻塞、流脓涕10年余,再发加重1月余”于云南省中医医院住院治疗,患者10年前确诊慢性鼻窦炎伴鼻息肉,于当地医院手术治疗,后上症反复发作,伴发哮喘8年余,自行外用沙美特罗替卡松吸入粉雾剂、口服孟鲁斯特纳片,加重时于当地社区医院激素治疗,现患者再发加重1月余,收治我院住院治疗。

现症见:鼻塞,伴流涕,喷嚏、清涕,头昏痛,伴明显嗅觉减退,鼻痒、眼痒、耳痒,喘促、咳嗽,无痰,无心慌胸闷呼吸困难,纳眠可,二便调。

既往史及个人史:患高血压8年余,最高达150/90 mmg,日前服用降压药厄贝沙坦片(1# gd),血压控制在120/80 mmHg水平。患糖尿病6年余,服用降糖药二甲双胍缓释片、格列齐特片(1# qd),血糖控制满意。支气管哮喘8余年,自行外用沙美特罗替卡松吸入粉雾剂、口服孟鲁斯特纳片,否认肝炎、结核等传染病病史,4年前因胸椎脊膜瘤行“脊膜瘤切除术”(具体不详),曾于4年前因脊膜瘤切除术输“未知血型”型血,输血量具体不详。未见输血反应。否认中毒史,预防接种史不详。

过敏史:对镇痛类药物(克感敏、布洛芬等)过敏,表现为胸闷,全身瘙痒。

2) 查体:神志清,精神稍差,呼吸稍促,肺部听诊:呼吸音稍粗,双肺未闻及干湿啰音。神经系统查体无异常。

3) 专科查体:双侧鼻腔黏膜苍白水肿,见白色黏涕样分泌物,双侧中鼻道及嗅区见半透明样新生物。

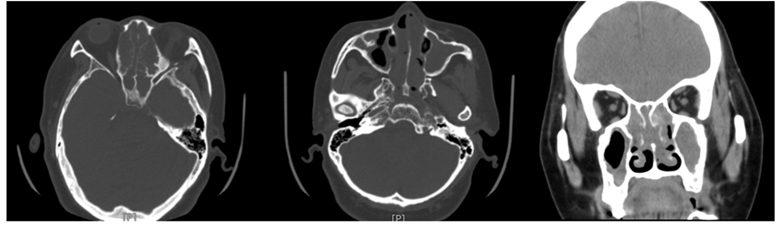
4) 术前检查示:2025-10-28入院副鼻窦CT:1) 全组副鼻窦炎,真菌感染不除外,请结合临床,2) 双侧中上鼻甲观察不清,鼻腔内软组织密度影,分泌物?其他?请结合内镜检查(见图1);2025-10-28术前鼻内镜检查:鼻息肉;鼻窦炎,请结合CT (见图2)。2025-10-28血细胞分析:嗜酸性粒细胞百分比11.90 (%) ↑,嗜碱性粒细胞百分比1.50 (%) ↑,单核细胞0.61 (109/L) ↑,嗜酸性粒细胞1.12 (109/L) ↑,嗜碱性粒细胞0.14 (109/L) ↑,红细胞5.56 (1012/L) ↑,血红蛋白151 (g/L) ↑,红细胞压积0.46 (L/L) ↑,血小板356 (109/L) ↑,血小板分布宽度8.70 (fL) ↓:2025-10-28尿液干化学检测:维生素C + T,白细胞酯酶++ ↑:2025-10-28血脂四项,肾功三项,血糖,心肌酶谱(5项),肝功(11项),电解质五项:胆固醇6.54 (mmo1/L) ↑,甘油三酯4.49 (mmo1/L) ↑,低密度脂蛋白胆固醇4.36 (mmol/L) ↑,葡萄糖8.78 (mmol1/L) ↑,钙2.57 (mmo1/L) ↑;2025-10-28心电图示:1) 窦性心律不齐,HR:85次/分,2) 部分导联ST段改变;2025-10-29早餐后2 h血糖5.9 mmo1/L,2025-10-28心脏彩超 + 组织多普勒显像 + 左心功能测定 + 室壁运动分析,主动脉瓣少量反流。2025-10-28胸部正位,1) 心、肺、膈未见明显异常,2) 胸椎内固定表现。

Figure 1. Sinus CT scan

1. 副鼻窦CT

Figure 2. Preoperative nasal endoscopy

2. 术前鼻内镜

5) 治疗过程:围手术期予注射用甲泼尼龙琥珀酸钠静滴60 mg qd抗炎、消肿、抗哮喘,予头孢唑啉钠3 g qd抗感染,于2025年10月30日09时00分在全麻下行内镜下全组鼻窦病损切除术 + 双侧鼻息肉切除术 + 双侧中、下鼻甲部分切除术 + 双侧下鼻甲骨折外移术,术后予氨甲苯酸150 mg qd以止血,继予注射用甲泼尼龙琥珀酸钠静滴60 mg qd抗炎、消肿、抗哮喘,予头孢唑啉钠3 g qd抗感染,予奥美拉唑40 mg qd以保护胃黏膜,予美泊利珠单抗注射液300 mg 1次/月。

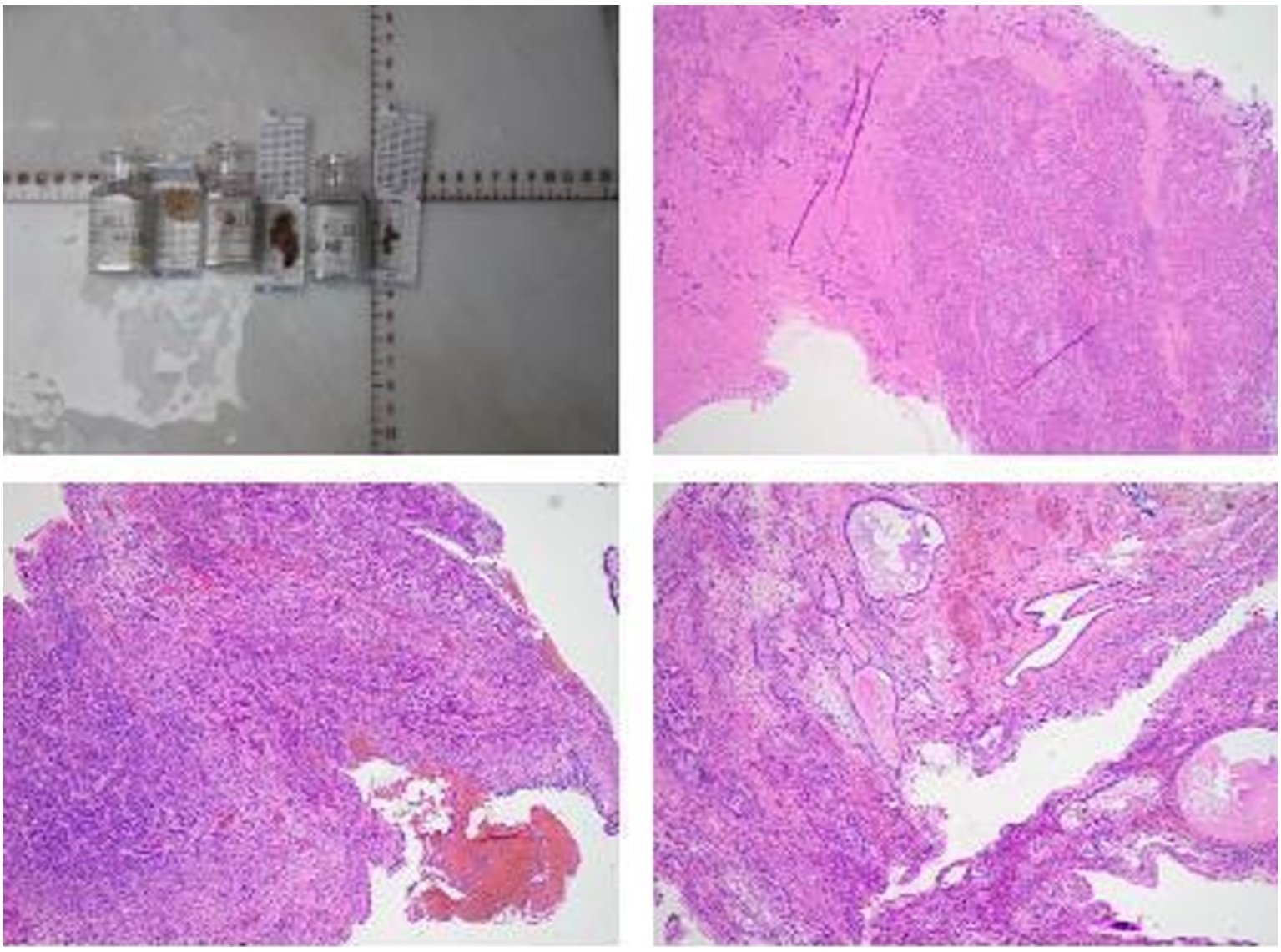
6) 术后检查:2025-10-31血细胞分析:白细胞11.36 (109/L) ↑,嗜酸性粒细胞百分比0.10 (%) ↓,中性细胞数7.51 (109/L) ↑,单核细胞0.85 (109/L) ↑,嗜酸性粒细胞0.01 (109/L) ↓,红细胞3.34 (1012/L) ↓,血红蛋白92 (g/L) ↓,红细胞压积0.29 (L/L);2025-10-31手术标本病理检查,(右侧上颌窦新生物)送检为粉染黏液样物,混杂多量炎细胞,可见嗜酸性粒细胞,局部细胞退变,请结合临床。(双侧鼻腔新生物)鼻腔息肉,局部水肿,部分区域多量炎细胞浸润,嗜酸性粒细胞增多,局灶腺体增生、见少许骨组织,请结合临床并随诊。(双侧鼻窦黏膜)过敏性鼻息肉,小灶见骨组织。特殊染色结果:PAS (−) (见图3)。注:切片中未见血管壁纤维素样坏死及血管外嗜酸性肉芽肿。

Figure 3. Pathological examination

3. 病理检查

3. 讨论

指南指出(2024) [5],DTRS因其复杂的发病机制导致患者病情缠绵难愈;对临床常用治疗抗生素和糖皮质激素抵抗;异常的鼻腔结构的形成:骨质异常增生、引流通道的阻塞以及鼻腔、鼻窦黏膜持续性的炎症[10]——嗜酸及中性粒细胞升高等共同导致DTRS的形成。部分研究表明,鼻息肉及外周血嗜酸性粒细胞是导致DTRS的高危因素[11],但关于鼻息肉的成因尚未达成共识,但有研究表明高达38%~69% CRS术后复发是由鼻息肉导致的[12]-[14]。结合该患者病史及相关辅助检查结果:外周血嗜酸性粒细胞百分比11.90 (%) ↑;鼻内镜下可见双侧鼻腔半透明样新生物及脓性分泌物,副鼻窦CT示:1) 全组副鼻窦炎,真菌感染不除外,请结合临床,2) 双侧中上鼻甲观察不清,鼻腔内软组织密度影,分泌物?其他?请结合内镜检查;可明确诊断为DTRS;有研究表明[15]:采取ESS术联合药物治疗有助于减轻炎症、提升治疗效果。同时,患者既往哮喘病史8年余,外周血嗜酸性粒细胞增加大于10%、鼻窦病变、病检结果提示鼻窦内分泌物嗜酸性粒细胞浸润,符合2022年ACR关于EGPA的分类标准,即可诊断为:EGPA。

变应性真菌性鼻窦炎(AFRS)是变应原为真菌的一个免疫失调性鼻窦炎,真菌引发嗜酸粒细胞导致不间断的变态反应炎症[16],其临床症状常为鼻塞、流涕、涕中带血、头痛及嗅觉障碍等,CT可见钙化灶以鼻窦内密度增高均匀为表现,部分病例可见周围组织浸润[17];阿司匹林加重呼吸系统疾病(AERD)临床上常表现为口服阿司匹林后导致哮喘的发作甚至加重,呼吸道相关疾病的加重、鼻息肉的复发,导致预后不佳,甚则危及生命[18];结合本次病例,患者虽确诊慢性鼻窦炎伴发鼻息肉,其CT未见钙化灶及鼻窦内密度增高均匀;同时患者虽对镇痛类药物(克感敏、布洛芬等)过敏,但无明确的哮喘、气促等呼吸道加重反应,暂不考虑变应性真菌性鼻窦炎(AFRS)和阿司匹林加重呼吸系统疾病(AERD)。

结合本次案例,患者反复鼻塞,流脓涕,伴发鼻息肉,符合慢性鼻窦炎伴有鼻息肉(CRSwNP) [5]诊断,多次至耳鼻喉科或当地社区医院就诊,后伴发哮喘,长期使用抗哮喘药控制,患者入院症状为反复鼻塞,流脓涕,嗅觉减退,时有头昏头痛,喘促,无呼吸困难、咳嗽、发热等;结合患者辅助检查,患者入院时血常规示嗜酸性粒细胞升高,但患者10余年前术后仍反复发作,符合DTRS的诊断,同时结合术中病理检查示,判断该患者符合EGPA的诊断。EGPA可累及全身多个系统且缺乏特异性的临床表现[19] [20]。自然的EGPA病程可分为前驱期、组织嗜酸性粒细胞浸润期、血管炎期,但这三个分期无明显的界限,且不是所有患者都会发生;但由于哮喘及鼻、鼻窦病变常在EGPA早期出现,并且较其他全身系统症状早发数年,因此在患者初期就诊时极易漏诊,导致患者病情进一步进展,造成患者身心痛苦及经济压力,积极识别EGPA,有助于提升临床医疗水平,减轻社会医疗压力;该病例报告强化了耳鼻喉科临床实践中的一个重要警示——即看似常见的难治性鼻窦炎可能是系统性血管炎(如EGPA)的首发或主要表现。这对于防止漏诊、误诊以及避免单纯手术导致的病情迁延具有教育意义。

基金项目

一般项目(院级),基于泻肺通窍“鼻肺–皮”轴探讨苏荷鼻炎膏对过敏性鼻炎TH1/TH2免疫失衡的调控(XYLH2024044);云南省名老中医药专家黄春江传承工作室。

声 明

该病例报道已获得患者的知情同意。

NOTES

*第一作者。

参考文献

[1] 韩德民, 周兵, 刘华超, 等. 1000例鼻窦内窥镜手术疗效分析[J]. 中华耳鼻咽喉科杂志, 1996(6): 39-42.
[2] Wreesmann, V.B., Fokkens, W.J. and Knegt, P.P. (2001) Refractory Chronic Sinusitis: Evaluation of Symptom Improvement after Denker’s Procedure. OtolaryngologyHead and Neck Surgery, 125, 495-500. [Google Scholar] [CrossRef] [PubMed]
[3] 李华斌, 史剑波, 许庚. 2012年欧洲鼻窦炎和鼻息肉意见书解读[J]. 中华耳鼻咽喉头颈外科杂志, 2012, 47(10): 877-880.
[4] 杨钦泰, 孙悦奇, 吴庆武, 等. 2020年欧洲鼻窦炎和鼻息肉意见书解读[J]. 中华耳鼻咽喉头颈外科杂志, 2020, 55(3): 304-308.
[5] 中华耳鼻咽喉头颈外科杂志编辑委员会鼻科组, 中华医学会耳鼻咽喉头颈外科学分会鼻科学组. 慢性鼻窦炎诊断和治疗指南(2024) [J]. 中华耳鼻咽喉头颈外科杂志, 2025, 60(3): 221-249.
[6] 嗜酸性肉芽肿性多血管炎诊治多学科专家共识编写组. 嗜酸性肉芽肿性多血管炎诊治多学科专家共识(2025年版) [J]. 中华结核和呼吸杂志, 2025, 48(5): 418-439.
[7] Churg, J. and Strauss, L. (1951) Allergic Granulomatosis, Allergic Angiitis, and Periarteritis Nodosa. The American Journal of Pathology, 27, 277-301.
[8] Masi, A.T., Hunder, G.G., Lie, J.T., Michel, B.A., Bloch, D.A., Arend, W.P., et al. (1990) The American College of Rheumatology 1990 Criteria for the Classification of Churg‐Strauss Syndrome (Allergic Granulomatosis and Angiitis). Arthritis & Rheumatism, 33, 1094-1100. [Google Scholar] [CrossRef] [PubMed]
[9] Chung, S.A., Langford, C.A., Maz, M., Abril, A., Gorelik, M., Guyatt, G., et al. (2021) 2021 American College of Rheumatology/Vasculitis Foundation Guideline for the Management of Antineutrophil Cytoplasmic Antibody-Associated Vasculitis. Arthritis & Rheumatology, 73, 1366-1383. [Google Scholar] [CrossRef] [PubMed]
[10] Uyttebroek, S., Onsea, J., Metsemakers, W., Dupont, L., Devolder, D., Wagemans, J., et al. (2021) The Potential Role of Bacteriophages in the Treatment of Recalcitrant Chronic Rhinosinusitis. Antibiotics, 10, Article 675. [Google Scholar] [CrossRef] [PubMed]
[11] 刘升阳, 万玉柱, 于亮, 等. 难治性鼻窦炎的易感因素及诊疗进展[J]. 中华耳鼻咽喉头颈外科杂志, 2021, 56(10): 1118-1124.
[12] Senior, B.A., Glaze, C. and Benninger, M.S. (2001) Use of the Rhinosinusitis Disability Index (RSDI) in Rhinologic Disease. American Journal of Rhinology, 15, 15-20. [Google Scholar] [CrossRef] [PubMed]
[13] Fokkens, W.J. (2020) EPOS2020: A Major Step Forward. Rhinology Journal, 58, 1. [Google Scholar] [CrossRef] [PubMed]
[14] Fokkens, W., Lund, V. and Mullol, J. (2007) European Position Paper on Rhinosinusitis and Nasal Polyps 2007. Rhinology. Supplement, 20, 1-136.
[15] 蒲伟民. 鼻内窥镜下鼻窦微创技术联合药物治疗在难治性慢性鼻窦炎患者中的疗效及安全性评估[J]. 临床医学, 2025, 45(9): 69-71.
[16] Rick, E., Woolnough, K., Pashley, C. and Wardlaw, A. (2016) Allergic Fungal Airway Disease. Journal of Investigational Allergology and Clinical Immunology, 26, 344-354. [Google Scholar] [CrossRef] [PubMed]
[17] 许建忠, 茅金金, 陆双艳. 真菌性鼻-鼻窦炎的研究现状[J]. 中国真菌学杂志, 2023, 18(3): 257-260.
[18] 明文华, 马婷婷, 王洪田, 等. 阿司匹林加重呼吸系统疾病: 发病机制和治疗策略[J]. 中国防痨杂志, 2024, 46(11): 1400-1405.
[19] Trivioli, G., Terrier, B. and Vaglio, A. (2020) Eosinophilic Granulomatosis with Polyangiitis: Understanding the Disease and Its Management. Rheumatology, 59, iii84-iii94. [Google Scholar] [CrossRef] [PubMed]
[20] White, J. and Dubey, S. (2023) Eosinophilic Granulomatosis with Polyangiitis: A Review. Autoimmunity Reviews, 22, Article ID: 103219. [Google Scholar] [CrossRef] [PubMed]