横滨报告系统与乳腺细胞学的应用
Application of the Yokohama System for Reporting Breast Cytopathology in Breast Cytology
DOI: 10.12677/acm.2026.162743, PDF, HTML, XML,    科研立项经费支持
作者: 蔡 媛*, 米会敏, 孙 丽:宝鸡市中心医院病理科,陕西 宝鸡;乔红梅#:甘肃省武威肿瘤医院放疗科,武威 甘肃
关键词: 乳腺细针穿刺细胞学病理横滨报告系统Breast Fine-Needle Aspiration Cytology Pathology Yokohama Reporting System
摘要: 乳腺细针穿刺细胞学是乳腺病变病理检查的有效手段,2019年国际细胞年会建立并发表了通用的乳腺细针穿刺细胞病理(FNAB)标准化报告,即横滨报告系统,本文探讨该报告系统在临床病理实践中的应用价值。
Abstract: Breast Fine-Needle Aspiration Cytology (FNAC) serves as an effective pathological diagnostic tool for breast lesions. In 2019, the International Cytology Congress established and published a standardized reporting system for breast Fine-Needle Aspiration Biopsy (FNAB) cytopathology, known as the Yokohama System. This study explores the clinical and pathological application value of this reporting system.
文章引用:蔡媛, 米会敏, 孙丽, 乔红梅. 横滨报告系统与乳腺细胞学的应用[J]. 临床医学进展, 2026, 16(2): 3302-3308. https://doi.org/10.12677/acm.2026.162743

1. 引言

乳腺癌已成为严重威胁女性健康的最常见恶性肿瘤[1],降低病死率的重要手段之一是早期精准的筛查。细针穿刺细胞学(FNAC)是一种快速、经济、准确和微创的病理检测方法,具有高灵敏度和高的阳性预测值[2] [3],广泛用于乳腺癌的早期筛查,其报告系统以2019年出版的横滨报告系统为主,本文探讨该报告的优势及其在临床病理实践中的应用价值。

2. 乳腺细针穿刺细胞病理(FNAB)横滨报告系统的应用背景

乳腺FNA的取样方式的多样性,不同国家或地域间使用的检测方法不一致,因为没有规范来指导或统一取样医师与病理诊断医师之间的意见,使一些病理诊断报告出现无法诊断、或是与临床完全不符等质量不高的问题[4]。既往的乳腺细胞病理学者们一直在不断改进修正诊断标准[5],但仍存在诸多不足,如病理诊断标准仅仅是良性、恶性的粗线条的分类,对非典型或可疑病变的病理诊断指标不明确,临床风险评估不足等。为提高乳腺细胞病理报告质量,改善与临床医师之间的沟通,国际细胞学会2016年成立了由病理学家、放射科医师、外科医生、肿瘤医生共同参与的研究团队,在日本横滨提出创建一套更加标准化的乳腺FNAB细胞病理学报告系统[6],修正了既往的不足。

目前国际上已逐步建立了宫颈[7]、胰腺[8]、尿路上皮[9]、甲状腺[10]、唾液腺[11]和呼吸系统[12]的标准化细胞学病理报告系统,但乳腺细胞病理学尚未广泛的应用于临床,这可能与乳腺细胞学标本的获取途径和乳腺肿瘤临床治疗方案的特殊性有关[13]。近年来医学的发展改变了乳腺病变的诊疗模式,临床、影像及病理三结合多学科讨论诊断[14],影像与超声医学均已建立乳腺疾病的标准化诊断报告系统[15] [16]。微创医学的进步促使FNAC及粗针穿刺活检(Core Needle Biopsy, CNB)在乳腺疾病中广泛地使用[17] [18]。病理检测方法的也逐渐增多,如液基细胞病理技术使得细胞学标本得以长时间的保存[19],实现了荧光原位杂交技术在细胞学标本中的应用,同时提升了细胞块制作成功率。细胞块使细胞学转变成了组织学标本,这对于无条件接受乳腺CNB的患者,也可以在细胞学检测基础上完成免疫组化及基因检测[20] [21],因此增加了细胞病理检查后续的应用价值。

3. 乳腺细针穿刺细胞病理(FNAB)横滨报告系统优势

FNAB横滨报告系统首次将乳腺病变细胞病理学诊断分为5大类别,每个类别有明确的定义、恶性肿瘤风险(Risk Of Malignant tumors, ROM)及后续临床诊疗建议,并备注了开展快速现场评估(ROSE)的标准化处理路径[6] (详见列表1)。

ROSE的具体操作流程大致如下,由临床医生、超声介入医师或影像科医师运用穿刺活检从患者病变区取样,之后交由病理技术员通过组织压片或涂片到玻片上,迅速放入固定液中,然后依次进行脱水及HE染色等制片流程,整个过程持续大约两分钟,最后由病理医生现场在显微镜下进行病理诊断,之后向取样医师反馈取样结果。目前该项目在本省有收费标准。操作过程需要两名工作人员参与,一名高年资主治病理诊断医师(具备细胞病理学诊断经验),及一名病理技师。ROSE检测方法可以解决由于取样或制片技术问题导致的标本量不足,细胞病理诊断与临床、影像学结果不一致时需要再次联合检测。

Table 1. Summary of the Yokohama reporting system for FNAB cytology

1. 乳腺细针穿刺细胞病理(FNAB)横滨报告系统概要

CategoryCode

Category

ROM(%)

Clinical Management

Notes

1

Samplinginsufficient/inadequate

2.6~4.8

Review clinical/imaging findings. If either is uncertain/suspicious: Repeat FNAB; perform CNB if feasible.

If imaging is benign: Consider repeat FNAB.

ROSE recommended if available. Ultrasound-guided FNAB preferred.

Repeat FNAB ≤ 3 times. If still inadequate, continue to perform CNB.

2

Benign

(Figure 1. (1A) and (1B))

1.4~2.3

If clinical/imaging findings all indicate benign: No further biopsy needed.

If clinical/imaging uncertain/suspicious: Repeat FNAB or perform CNB.

With ROSE: Repeat ultrasound-guided FNAB ≤ 3 times at the same time.

Follow-up per lesion type, for example, 2-week follow-up for abscesspost-antibiotics; 12-month follow-up for fibroadenoma or institutional protocols.

3

Atypia

(Figure 2. (2A)~(2D))

13~15.7

If atypia due to cell sampling/pathological section technical issues: Repeat FNAB,or review the clinical and imaging examination results.

If discordant findings: Excisional biopsy or manage per imaging should be considered

If imaging benign: Re-evaluate at 3~6 months.

If imaging indeterminate: Immediate CNB.

If atypia from cellsampling/pathological section technical issues: Repeat FNAB combined with ROSE.

If cell sampling is sufficient and the sectioning is good, and atypia confirmed: Proceed to CNB.

4

Suspicious for malignancy

(Figure 3. (3A)~(3E))

84.6~97.1

If the pathological examination shows suspicion of malignancy, the clinical or imaging examination results should be reviewed. Regardless of concordance, Perform CNB or excisional biopsy.

With ROSE: Proceed to CNB.

5

Malignant

(Figure 4. (4A) and (4B))

99.0~100

If the pathological examination shows malignancy, the clinical or imaging examination results should be reviewed. If discordant findings: Perform CNB or excisional biopsy.

If triple concordance (clinical/imaging/pathology) shows malignancy: Manage per local institutional protocols (for example, cell block/CNB/surgical specimen for IHC/molecular testing).

When axillary lymph nodes are swollen or suspicious as detected by ultrasound medical examination, Perform FNAB/CNB for staging.

With ROSE: Perform CNB.

注:ROM,恶性肿瘤风险;FNAB,细针穿刺活检;CNB,粗芯针活检;ROSE,快速现场评估。

该系统强调了临床、影像及病理三结合的原则,建立在该原则基础之上定义了每个类别的诊断。提出了乳腺FNAB病理检测结果的准确性,依赖于取样人员、制片人员及进行病理诊断人员的专业知识及技能,规范涂片的制作技术及制片质量,通过统一的代码及标准识别不同级别病变,保障了在不同国家及地域之间认同的一致性,利于全球学术之间的沟通。

乳腺细针穿刺抽吸细胞学病理诊断,开展快速现场评估(ROSE)的标准化处理路径,指导临床或超声医师对乳腺肿块进行粗针或细针穿刺,同时对穿刺样本进行快速现场病理检测,并将结果反馈给取样医师,帮助及指导取样医师精准取样的病理检查过程,又称Rose技术,该检测可以减少重复穿刺及无效穿刺,同时现场的病理诊断对疾病进行分类,精准的完成后续的治疗,弥补了盲目细胞病理检测的不足[22] [23],是一种有效的病理检测方法。具体分类及病理组织图如下(图1~4)。

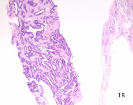
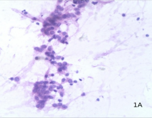
(1A):细胞丰富,成团致密有序排列,胞浆丰富红染,核轻度增大、核仁不明显,周围见部分双极的肌上皮细胞围绕(改良HE * 200)。(1B):图(1A)对应的穿刺组织学:部分乳腺导管扩张伴管腔内上皮及间质胶原混合性增生(HE * 100)。

Figure 1. Histopathological features of adenosis with intraductal papilloma

1. 腺病伴导管内乳头状瘤病理特征

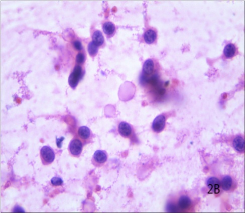
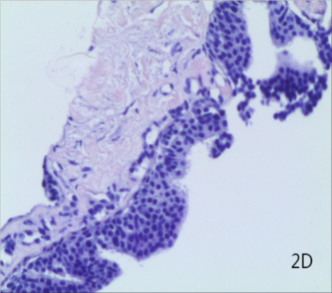
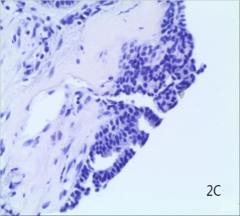
(2A) 上皮样细胞丰富,呈单个散在或成团疏松无极向排列(改良HE * 100)。(2B) 上皮样细胞丰富,呈单个散在或成团疏松无极向排列,核轻度增大,核浆比增高(改良HE * 400)。(2C) 条索状乳腺组织,纤维组织增生,其中见扩张伴增生的管腔,导管上皮呈僵硬腔样增生,细胞较一致(HE * 100)。(2D) 形态学结合免疫组化结果支持乳腺导管上皮非典型性增生。免疫组化结果:CK5 (管腔周围+,多数管腔内−),P63 (管腔周围+,管腔内−),CK8 (管腔内+++)。

Figure 2. Histopathological features of glandular cells with atypical hyperplasia

2. 非典型增生的腺细胞病理特征

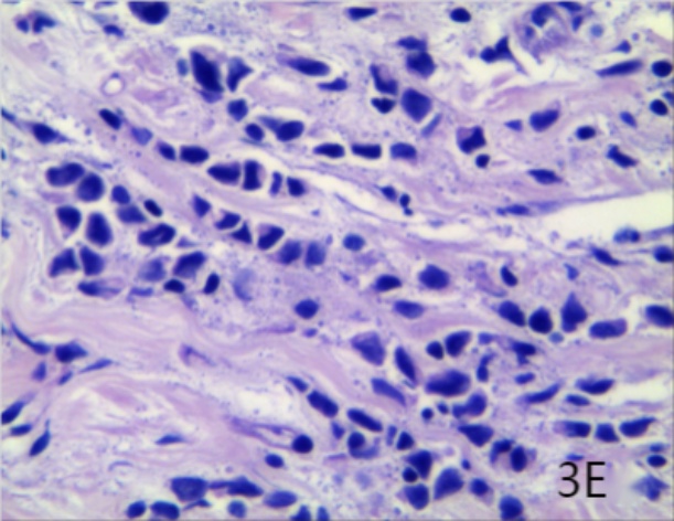
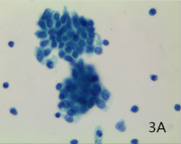
(3A):瘤细胞单个散在、呈片或三五成群排列(液基细胞学 * 200)。(3B):瘤细胞中等大小、核偏位,核浆比增大(液基细胞学 * 400)。(3C):核内染色质细腻,核仁不明显,核型轻度不规则,大片状的瘤细胞排列有序,周围未见双极核的肌上皮细胞(液基细胞学 * 400)。((3D)~(3E)):显示图(3A)~(3C)对应的组织学图:显示病变间质胶原硬化明显,可见上皮样细胞成行或密集条索或大片排列,瘤细胞之间粘附性差,核不规则、偏位及深染,形态学结合免疫标记(E-Cadherin阴性,p12胞浆阳性,P63阴性)确诊为浸润性小叶癌。

Figure 3. Invasive lobular carcinoma

3. 浸润性小叶癌

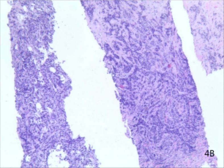
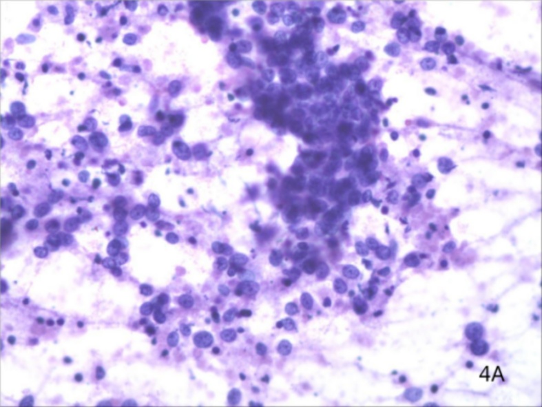
(4A):瘤细胞量丰富,无序成团或疏松散在排列,核膜厚、核内染色质呈粗颗粒状,核仁易见,背景见坏死颗粒(rose改良HE染色 * 200)。(4B):显示(4A)对应的组织病理,癌组织呈索团状无序排列,核深染、核浆比明显增高,异型性明显,浸润胶原间质(HE * 40)。

Figure 4. Invasive carcinoma, no special type

4. 浸润型癌

4. 乳腺细针穿刺细胞病理(FNAB)横滨报告系统的应用价值及展望

4.1. 临床应用价值

FNAB报告系统为建立乳腺FNAB适应症以及FNAB和涂片制作技术的最佳实践指南;明确了乳腺疾病细胞病理诊断统一类别及其内涵,具有标准化特点,适用于不同地域及国家病理医师之间的交流;为每个类别建立了相应的恶性肿瘤风险指数(ROM),并将该类别与临床的处理方法直接联系起来,易于被临床医生理解,并指导临床或患者的诊断治疗,同时规范临床医生对乳腺FNAB和CNB的使用[24];其次标准化的报告使得同类型的研究有共同评判的标准[4]。以上使得不同机构、地区和国家或者跨国界的报告质量有评判和统一的基础,结构化报告提高了跨部门、城市、国家和国际病理报告的质量、清晰性和可重复性,将有助于患者在不同地域间的随访或临床治疗。本课题研究作者[25] [26]曾收集乳腺包块患者597例,其中男6例,女591例,超声术前乳腺包块影像学分类(Thyroid Imaging Reporting And Date System, TI-RADS)分类均4级或4级以上。所有印片细胞学结果均与石蜡切片结果进行对比、分析。验证ROSE的敏感度为93.72%,特异度为99.03%、假阳性率为0.97%、假阴性率为6.27%,ROSE对于乳腺包块的诊断流程也带来了新的突破。

4.2. 展望

笔者认为该系统还需要更多不同国家和地域间回顾性和前瞻性研究[27],以测试和确定该系统的准确性,更好地修正和细化ROM的数据。希望推广ROSE联合FNAB技术在乳腺疾病诊疗中的应用,降低单纯FNAB的不足率。继续研究和进一步完善乳腺增生性病变、导管内病变以及低级别浸润性癌的FNAB细胞病理诊断,以充实报告系统的标准。既往认为FNAB病理诊断不能明确鉴别原位或浸润性癌,虽然有作者提出了相关标准[28] [29],包括存在被癌浸润的微小间质碎片等,但这些领域还需要进一步研究。综上所述,FNAB横滨报告系统使乳腺细胞学报告质量评判标准有了统一的基础,提高了国际病理报告的质量,不仅有助于患者的随访和临床治疗,也有助于国际学术交流。

基金项目

宝鸡市卫生健康委员会科研立项(编号:2024-036)。

NOTES

*第一作者。

#通讯作者。

参考文献

[1] 中国研究型医院学会乳腺专业委员会职高女性乳腺癌筛查指南制定专家组. 中国女性乳腺癌筛查指南(2022年版) [J]. 中国研究型医院, 2022, 9(2): 6-13.
[2] Lieu, D. (2009) Value of Cytopathologist Performed US Guided FNAB as a Screening Test for US Guided Core Needle Biopsy in Nonpalpable Breast Lesions. Diagnostic Cytopathology, 37, 262-269.
[3] Abati, A., Abele, J., Bacus, S.S., et al. (1997) The Uniform Approach to Breast Fine-Needle Aspiration Biopsy. Diagnostic Cytopathology, 16, 295-311.
[4] Field, A.S. (2017) Breast FNA Biopsy Cytology: Current Problems and the International Academy of Cytology Yokohama Standardized Reporting System. Cancer Cytopathology, 125, 229-230. [Google Scholar] [CrossRef] [PubMed]
[5] Abati, A. and Simsir, A. (2005) Breast Fine Needle Aspiration Biopsy: Prevailing Recommendations and Contemporary Practices. Clinics in Laboratory Medicine, 25, 631-654. [Google Scholar] [CrossRef] [PubMed]
[6] Field, A.S., Raymond, W.A. and Schmitt, F.C. (2019) The International Academy of Cytology Yokohama System for Reporting Breast Fine Needle Aspiration Biopsy Cytopathology. Acta Cytologica, 63, 255-256. [Google Scholar] [CrossRef] [PubMed]
[7] Nayar, R. and Wilbur, D.C. (2015) Introduction. In: Nayar, R. and Wilbur, D.C., The Bethesda System for Reporting Cervical Cytology. Definitions, Criteria, and Explanatory Notes, Springer, 9-12.
[8] Pitman, M.B. and Layfield, L.J. (2015) Overview of Diagnostic Terminology and Reporting. In: The Papanicolaou Society of Cytopathology System for Reporting Pancreaticobiliary Cytology, Springer, 1-3. [Google Scholar] [CrossRef
[9] Nayar, R. and Vielh, P. (2016) From Bethesda to Paris—At Last We Have Standardized Terminology for Urinary Cytology. In: Rosenthal, D.L., Wojcik, E.M. and Kurtycz, D.F., The Paris System for Reporting Urinary Cytology, Springer, 7-12.
[10] Baloch, Z.W., Cooper, D.S., Gharib, H., et al. (2018) Overview of Diagnostic Terminology and Reporting. In: Ali, S.Z., Cibas (ES): The Bethesda System for Reporting Thyroid Cytopathology, Springer, 1-6.
[11] Baloch, Z., Field, A.S., Katabi, N. and Wenig, B.M. (2018) The Milan System for Reporting Salivary Gland Cytopathology. In: The Milan System for Reporting Salivary Gland Cytopathology, Springer, 1-9. [Google Scholar] [CrossRef
[12] Jalaly, J.B., Ioannidis, I., Layfield, L.J. and Baloch, Z. (2018) Overview of Diagnostic Terminology and Reporting. In: The Papanicolaou Society of Cytopathology System for Reporting Respiratory Cytology, Springer, 1-6. [Google Scholar] [CrossRef
[13] 邵牧民. “WHO 细胞病理学报告系统”与乳腺细胞学的应用[J]. 临床与实验病理学杂志, 2024, 40(11): 1130-1135.
[14] 中国抗癌协会乳腺癌专业委员会. 中国抗癌协会乳腺癌诊治指南与规范(2021年版) [J]. 中国癌症杂志, 2021, 31(10): 954-1040.
[15] Magny, S.J., Shikhman, R. and Keppke, A.L. (2023) Breast Imaging Reporting and Data System. StatPearls Publishing.
[16] 蒋天安, 陈文, 罗葆明, 等. 乳腺超声若干临床常见问题专家共识(2018版) [J]. 中国超声医学杂志, 2018, 34(10): 865-870.
[17] Boerner, S., Fornage, B.D., Singletary, E. and Sneige, N. (1999) Ultrasound-Guided Fine-Needle Aspiration (FNA) of Nonpalpable Breast Lesions: A Review of 1885 FNA Cases Using the National Cancer Institute-Supported Recommendations on the Uniform Approach to Breast FNA. Cancer, 87, 19-24. [Google Scholar] [CrossRef] [PubMed]
[18] 谢克飞, 肇毅, 查小明, 等. 超声引导下粗针穿刺活检在乳腺肿块诊疗中的临床价值探讨[J]. 南京医科大学学报(自然科学版), 2016, 36(10): 1226-1228.
[19] Gerhard, R. and Schmitt, F.C. (2014) Liquid-Based Cytology in Fine-Needle Aspiration of Breast Lesions: A Review. Acta Cytologica, 58, 533-542. [Google Scholar] [CrossRef] [PubMed]
[20] Symmans, W.F., Ayers, M., Clark, E.A., Stec, J., Hess, K.R., Sneige, N., et al. (2003) Total RNA Yield and Microarray Gene Expression Profiles from Fine-Needle Aspiration Biopsy and Core-Needle Biopsy Samples of Breast Carcinoma. Cancer, 97, 2960-2971. [Google Scholar] [CrossRef] [PubMed]
[21] Schmitt, F. and Vielh, P. (2015) Fine‐Needle Aspiration Cytology Samples: A Good Source of Material for Evaluating Biomarkers in Breast Cancer. Histopathology, 66, 314-315. [Google Scholar] [CrossRef] [PubMed]
[22] Torous, V.F., Lopez, S.H., Xu, C., Sweeney, B.J. and Pitman, M.B. (2022) Performance of Rapid On-Site Evaluation in Breast Fine-Needle Aspiration Biopsies: Identifying Areas of Diagnostic Challenge. Acta Cytologica, 66, 1-13. [Google Scholar] [CrossRef] [PubMed]
[23] Agrawal, N., Kothari, K., Tummidi, S., Sood, P., Agnihotri, M. and Shah, V. (2021) Fine-Needle Aspiration Biopsy Cytopathology of Breast Lesions Using the International Academy of Cytology Yokohama System and Rapid On-Site Evaluation: A Single-Institute Experience. Acta Cytologica, 65, 463-477. [Google Scholar] [CrossRef] [PubMed]
[24] Ellis, D.W. and Srigley, J. (2016) Does Standardised Structured Reporting Contribute to Quality in Diagnostic Pathology? The Importance of Evidence-Based Datasets. Virchows Archiv, 468, 51-59. [Google Scholar] [CrossRef] [PubMed]
[25] 米会敏, 孙丽, 蔡媛. 326例乳腺肿块细针穿刺液基细胞学与石蜡组织病理结果对比[J]. 中国药物与临床, 2023, 23(8): 502-504+545.
[26] 米会敏, 蔡媛. 快速细胞学评估在乳腺包块诊断中的应用[J]. 临床与病理杂志, 2024, 44(10): 1398-1402.
[27] Nikas, I.P., Vey, J.A., Proctor, T., AlRawashdeh, M.M., Ishak, A., Ko, H.M., et al. (2023) The Use of the International Academy of Cytology Yokohama System for Reporting Breast Fine-Needle Aspiration Biopsy. American Journal of Clinical Pathology, 159, 138-145. [Google Scholar] [CrossRef] [PubMed]
[28] Sauer, T., Garred, Ø., Lømo, J. and Næss, O. (2006) Assessing Invasion Criteria in Fine Needle Aspirates from Breast Carcinoma Diagnosed as DCIS or Invasive Carcinoma: Can We Identify an Invasive Component in Addition to DCIS? Acta Cytologica, 50, 263-270. [Google Scholar] [CrossRef] [PubMed]
[29] Klijanienko, J., Katsahian, S., Vielh, P. and Masood, S. (2004) Stromal Infiltration as a Predictor of Tumor Invasion in Breast Fine-Needle Aspiration Biopsy. Diagnostic Cytopathology, 30, 182-186. [Google Scholar] [CrossRef] [PubMed]