肺泡蛋白沉积症合并尘肺病2例临床特征及 病理分析
Clinical Features and Pathological Analysis of Two Cases of Pulmonary Alveolar Proteinosis Complicated with Pneumoconiosis
DOI: 10.12677/acm.2026.162749, PDF, HTML, XML,   
作者: 邱玲敏:承德医学院研究生院,河北 承德;张鹏宇*:秦皇岛市第一医院全科,河北 秦皇岛
关键词: 肺泡蛋白沉积症尘肺病全肺灌洗职业暴露病理诊断Pulmonary Alveolar Proteinosis Pneumoconiosis Whole Lung Lavage Occupational Exposure Pathological Diagnosis
摘要: 目的:探讨肺泡蛋白沉积症(PAP)合并尘肺病的临床特征、病理表现及诊疗策略。方法:分析2例经病理确诊的PAP合并尘肺病患者的临床资料。结果:两例均以进行性呼吸困难为主要表现,影像学显示双肺弥漫性病变。病例1经肺泡灌洗确诊PAP;病例2结合职业史及钙化结节提示尘肺共存。治疗采用全肺灌洗术(WLL)联合抗感染/糖皮质激素,术后氧合改善。随访显示,强化职业防护可延缓尘肺进展。结论:PAP与尘肺病共存时诊断需结合病理与职业史,WLL是有效治疗手段,长期职业防护与随访至关重要。本研究为职业性肺病合并罕见疾病的诊疗提供了参考。
Abstract: Objective: To investigate the clinical features, pathological manifestations, and diagnosis and treatment strategies of pulmonary alveolar proteinosis (PAP) complicated with pneumoconiosis. Methods: The clinical data of two patients pathologically diagnosed with PAP combined with pneumoconiosis were analyzed. Results: Both cases presented with progressive dyspnea as the main symptom, and imaging showed diffuse bilateral lung lesions. Case 1 was diagnosed with PAP via bronchoalveolar lavage; Case 2 was suggestive of coexisting pneumoconiosis based on occupational history and the presence of calcified nodules. Treatment involved whole lung lavage (WLL) combined with anti-infection therapy/glucocorticoids, resulting in improved oxygenation postoperatively. Follow-up indicated that enhanced occupational protection could delay the progression of pneumoconiosis. Conclusion: In cases of coexisting PAP and pneumoconiosis, diagnosis should integrate pathological findings and occupational history. WLL is an effective treatment, and long-term occupational protection and follow-up are essential. This study provides a reference for the diagnosis and management of occupational lung diseases complicated by rare conditions.
文章引用:邱玲敏, 张鹏宇. 肺泡蛋白沉积症合并尘肺病2例临床特征及 病理分析[J]. 临床医学进展, 2026, 16(2): 3349-3353. https://doi.org/10.12677/acm.2026.162749

1. 引言

肺泡蛋白沉积症(PAP)合并尘肺病在临床上较为罕见,两者共存时临床表现及病理特征复杂,易导致误诊漏诊[1]。PAP以肺泡内脂蛋白样物质异常沉积为特征,而尘肺病则由职业性粉尘暴露引发肺组织纤维化,二者病理机制不同但均可导致进行性呼吸功能障碍[2]。本研究为职业性肺疾病合并罕见肺部疾病的鉴别诊断提供新的临床思路,并对制定个体化治疗方案具有重要的参考价值。

2. 病例资料

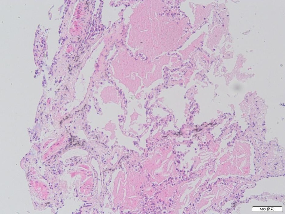
病例一:患者陈新,男,35岁,工人,因“发现肺部阴影1.5月,气短加重10天”入院。患者4天前体检发现肺部阴影,肺CT提示双肺纹理增多、紊乱,双肺多发片状模糊影,考虑感染性病变。患者自述活动后胸闷、气短,休息可缓解,曾规律口服醋酸泼尼松片(剂量递减),但已自行停药1周。入院后复查肺部CT显示右肺下叶实性结节(最大截面约19 mm × 13 mm,边缘毛糙),双肺间质性炎症。支气管镜检见气管及支气管黏膜光滑,管腔通畅,但右中叶内侧段可见白色粘稠分泌物,肺泡灌洗液送检。镜下可见肺泡腔内充满粉染、颗粒状蛋白性物质,其内可见泡沫细胞。

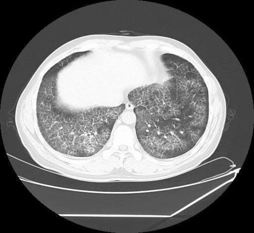
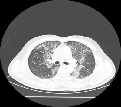
病例二:患者罗伟,男,37岁,矿业工人,因“胸闷、气短20天,加重伴右侧胸痛1天”入院。患者20天前出现活动后胸闷、气短,偶有咳嗽、咳痰,自行口服抗感染药物无效。入院后肺部CT显示双肺弥漫性斑片状磨玻璃密度增高影及网格影,双肺下叶微结节(部分钙化),考虑双肺间质性病变及PAP可能。支气管镜检见气管及支气管黏膜正常,右下叶外基底段亚支远端行支气管透壁活检。病理结果显示右肺下叶肺泡腔内粉染无定型物,PAS染色阳性,倾向PAP诊断。

3. 病理分析

病例一:陈新病理诊断过程

入院评估与初步检查:① 入院后完善肺CT检查,结果显示双肺纹理增多、紊乱,双肺多发片状模糊影,提示感染性病变;复查CT发现右肺下叶实性结节双肺间质性炎症。② 行支气管镜检查:观察气管及支气管黏膜光滑,管腔通畅,但右中叶内侧段可见白色粘稠分泌物,于右中叶内侧段行肺泡灌洗,使用生理盐水100 ml,回收65 ml灌洗液,留样送检。③ 病理诊断与特殊染色:标本经病理检查镜下可见肺泡腔内充满粉染、颗粒状蛋白性物质,其内可见泡沫细胞。④ 肺泡灌洗液标本特殊染色结果:AB-PAS (爱先蓝–糖原)染色及PAS (糖原)染色均呈阳性,提示肺泡腔内沉积物为蛋白性物质。⑤ 结合临床及影像学表现,诊断为肺泡蛋白沉积症(PAP)。最终结合临床考虑肺泡蛋白沉积症(PAP)。

病例二:罗伟诊断过程

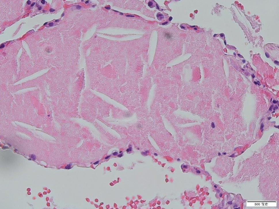
入院评估与初步检查:① 入院后完善肺CT检查,结果显示双肺弥漫性斑片状磨玻璃密度增高影及网格影,双肺下叶微结节(部分钙化),考虑双肺间质性病变及PAP可能。② 行支气管镜检查:观察气管及支气管黏膜正常,管腔通畅。于右下叶外基底段亚支远端行支气管透壁活检,使用活检钳取肺组织4块,标本送检病理。③ 同时于右中叶外侧段行肺泡灌洗,使用生理盐水100 ml,回收60 ml灌洗液,留样送检。④ 病理诊断与特殊染色:肺组织病理检查显示右肺下叶肺泡腔内粉染无定型物。⑤ 特殊染色结果:PAS染色呈阳性,粘液卡红染色阴性,结合HE形态及临床表现,倾向诊断为PAP。

4. 治疗

病例一:陈新病例

治疗上,首先针对感染性病变,根据肺泡灌洗液送检项目(细胞分类、结核菌、细菌培养、涂片、X-pert及GM试验)结果选择敏感抗生素进行抗感染治疗,同时因患者曾自行口服醋酸泼尼松片但已停药1周,需重新评估糖皮质激素使用的必要性及疗程,若考虑PAP与感染共存,需在抗感染治疗的基础上谨慎使用糖皮质激素,避免感染扩散风险,并强调规律用药的重要性,制定严格的停药或减量计划,避免自行停药导致病情反复;全肺灌洗术(WLL)是标准治疗方法,可清除肺泡内蛋白样物质,改善肺功能,需根据病情评估治疗时机,术后密切监测生命体征及氧合指数,鼓励咳嗽排痰,短期使用抗生素预防感染,并继续糖皮质激素治疗以减少肺泡炎症反应;呼吸康复(如呼吸肌训练、有氧运动)及营养支持(高蛋白、高热量饮食) [3] [4];制定长期随访计划,定期复查肺CT及肺功能,监测病情变化,加强患者教育,提高治疗依从性[5]

病例二:罗伟病例

治疗上,首推全肺灌洗术(WLL)作为PAP的核心治疗,通过清除肺泡内蛋白样物质改善肺功能,需严格评估手术时机并密切监测术后氧合及炎症指标;需强化职业防护措施,如佩戴防尘口罩、减少粉尘接触,并定期随访监测肺部病变进展;抗感染治疗需根据肺泡灌洗液送检结果(细胞分类、结核菌、细菌培养及涂片)选择敏感药物,若检测到特异性病原体则针对性用药;长期随访需定期复查肺CT及肺功能,评估PAP及尘肺病变动态变化,同时加强患者教育,强调职业防护的重要性及规律随访的必要性,若病情进展或出现并发症,需考虑多学科会诊调整治疗方案[6]

5. 讨论

肺泡蛋白沉积症(PAP)合并尘肺病的病例在临床上极为罕见,其诊断与治疗需综合考虑两种疾病的病理机制及临床表现。本研究通过两例典型病例的分析,揭示了二者共存时的复杂性及诊疗要点。在治疗方面,全肺灌洗术(WLL)是PAP的核心治疗手段,可有效清除肺泡内蛋白样物质,改善肺功能,此外,针对尘肺病,强化职业防护措施(如佩戴防尘口罩、减少粉尘接触)至关重要,可延缓病情进展[7]。长期随访与患者教育是改善预后的关键。定期复查肺CT及肺功能可动态监测病情变化,及时调整治疗方案[8];加强患者教育,提高治疗依从性及职业防护意识,有助于减少病情反复及并发症发生[4] [9]。本研究为职业性肺疾病合并罕见肺部疾病的鉴别诊断及个体化治疗提供了新的临床思路,未来需进一步积累病例及研究数据,以优化诊疗策略。

声 明

该病例报道已获得患者的知情同意。

NOTES

*通讯作者。

参考文献

[1] Trapnell, B.C., Nakata, K., Bonella, F., et al. (2019) Pulmonary Alveolar Proteinosis. Nature Reviews Disease Primers, 5, Article No. 16. [Google Scholar] [CrossRef] [PubMed]
[2] 张骏, 张荣, 余贻汉, 等. 胸膜下透亮带在CT诊断尘肺肺部弥漫性粟粒样病变中的价值分析[J]. 当代医学, 2020, 26(4): 29-31.
[3] 雷红彦, 王庚, 马晓明, 等. 1644例新诊断职业性尘肺病流行病学特征分析[J]. 中国工业医学杂志, 2025, 38(2): 213-215.
[4] 王天真, 曹孟淑. 肺泡蛋白沉积症的诊治进展[J]. 临床肺科杂志, 2022, 27(4): 598-602.
[5] 周学荣, 孟晓元, 朱瑞雪, 等. 2019-2023年乌鲁木齐市职业性尘肺病流行病学调查分析[J]. 预防医学情报杂志, 2024, 40(10): 1200-1206.
[6] Suzuki, T., Shima, K., Arumugam, P., et al. (2017) Development and Validation of CSF2RA Gene-Deficient Mice as a Clinically Relevant Model of Children with Hereditary Pulmonary Alveolar Proteinosis. American Journal of Respiratory and Critical Care Medicine, 195, A4837.
[7] 郑夏雯, 聂臻, 王露珊, 等. 2006-2022年衢州市尘肺病流行病学特征分析[J]. 工业卫生与职业病, 2024, 50(5): 444-446.
[8] 陈露露, 张艳秋, 邱玉英, 等. 肺泡蛋白沉积症106例临床分析[J]. 南京医科大学学报(自然科学版), 2018, 38(6): 804-806.
[9] 于光, 胡金妹, 朱星星, 等. 2006-2023年泰州市职业性尘肺病新发病例分析[J]. 江苏卫生保健, 2024, 26(5): 389-391.