间层辐照消融模式与逐层辐照消融模式在HIFU治疗子宫肌瘤中的有效性对比: 一项回顾性研究
Comparison of the effectiveness of Inter-Slice Sonication Ablation Pattern and Slice-by-Slice Sonication Pattern in HIFU Treatment of Uterine Fibroids: A Retrospective Comparative Study
DOI: 10.12677/acm.2026.163756, PDF, HTML, XML,   
作者: 康智鸿:重庆医科大学第二临床学院,重庆;周 崑*:重庆医科大学第二附属医院肿瘤治疗临床中心,重庆
关键词: HIFUEEF子宫肌瘤间层辐照消融模式逐层辐照消融模式能效因子消融率HIFU EEF Uterine Fibroids Inter-Slice Sonication Ablation Pattern Slice-by-Slice Sonication Ablation Pattern Energy Efficiency Factor Ablation Ratio
摘要: 目的:对比间层辐照消融模式与逐层辐照消融模式在高强度聚焦超声(HIFU)治疗子宫肌瘤中的有效性及安全性,探讨新模式的临床应用价值。方法:采用回顾性队列研究,纳入2019年1月至2024年5月227例单发子宫肌瘤患者(最大直径2.5~10 cm),按治疗方式分为间层辐照组(n = 73)和逐层辐照组(n = 154)。逐层辐照组采用“点–面–体”逐层消融,间层辐照组仅选取三个等分切面消融。主要评价指标为术后MRI评估的消融率(非灌注体积比)及能效因子(EEF);次要指标包括治疗时间、平均功率及术后短期并发症(疼痛、皮肤水肿等)。采用非参数秩和检验、卡方检验进行统计分析,并基于肌瘤位置(前壁/后壁)进行亚组分析。结果:间层辐照消融组的消融率(76.38% ± 1.67%)显著高于逐层辐照消融组(73.06% ± 0.82%, P = 0.007),且治疗时间显著缩短(388.84 ± 23.61 s vs. 544.83 ± 24.78 s, P = 0.002);但两组间平均功率(333.73 ± 51.54 W vs. 336.79 ± 41.21 W, P = 0.824)及能效因子(EEF: 5.28 ± 0.95 vs. 3.99 ± 0.32, P = 0.275)无统计学差异。安全性方面,两组术后短期并发症(疼痛、皮肤水肿、阴道溢液及神经症状)发生率均无统计学差异(P > 0.05),且所有并发症严重程度均为CTCAE 1~2级。结论:间层辐照消融模式在保证安全性的前提下,显著缩短HIFU治疗时间并提高消融效率。其机制可能与声能量重分布及“损伤–损伤”效应增强有关,为优化子宫肌瘤HIFU治疗提供了新方向。
Abstract: Objective: To compare the efficacy and safety of the Inter-Slice Sonication Ablation Pattern versus the Slice-by-Slice Sonication Ablation Pattern in High-Intensity Focused Ultrasound (HIFU) treatment of uterine fibroids, assessing the clinical value of the novel pattern. Methods: This retrospective cohort study enrolled 227 patients with solitary uterine fibroids (maximum diameter 2.5~10 cm) treated between January 2019 and May 2024. Patients were divided into the Inter-Slice Sonication group (n = 73) and the Slice-by-Slice Sonication group (n = 154). The Slice-by-Slice Sonication group received standard “point-by-point” layered ablation; the Inter-Slice Sonication group underwent ablation targeting only three equally spaced planes within the fibroid. Primary outcomes were ablation ratio (non-perfused volume ratio assessed by postoperative MRI) and Energy Efficiency Factor (EEF). Secondary outcomes included treatment time, average power, and short-term postoperative complications (pain, skin edema, etc.). Statistical analysis employed the Mann-Whitney U test and Chi-square test, and subgroup analysis was conducted based on the location of the fibroid (anterior wall/posterior wall). Results: The Inter-Slice Sonication group demonstrated a significantly higher ablation ratio (76.38% ± 1.67%) compared to the Slice-by-Slice Sonication group (73.06% ± 0.82%; P = 0.007) and significantly shorter treatment time (388.84 ± 23.61 s vs. 544.83 ± 24.78 s; P = 0.002). No significant differences existed in average power (333.73 ± 51.54 W vs. 336.79 ± 41.21 W; P = 0.824) or EEF (5.28 ± 0.95 vs. 3.99 ± 0.32; P = 0.275). Both groups exhibited comparable incidence rates of short-term postoperative complications (pain, skin edema, vaginal discharge, neurological symptoms; all P > 0.05). All complications were mild (CTCAE grade 1~2). Conclusion: The Inter-Slice Sonication Ablation Pattern significantly reduces HIFU treatment time and improves ablation efficiency while maintaining safety. This efficacy may arise from enhanced ultrasound energy redistribution and “damage-damage” interference effects, offering a promising new approach for optimizing HIFU fibroid treatment.
文章引用:康智鸿, 周崑. 间层辐照消融模式与逐层辐照消融模式在HIFU治疗子宫肌瘤中的有效性对比: 一项回顾性研究[J]. 临床医学进展, 2026, 16(3): 1-9. https://doi.org/10.12677/acm.2026.163756

1. 引言

研究背景

高强度聚焦超声(HIFU)是一种微无创治疗方式,旨在将体外超声波聚焦于靶器官,通过热效应、空化效应、机械效应等理化作用导致目标组织局灶性凝固型坏死,达到止痛、根治或姑息等治疗效果,HIFU在较多的良恶性实体肿瘤中均有明显获益[1]

子宫肌瘤是女性生殖系统最常见的良性肿瘤,影响25%~40%的育龄妇女[2]。子宫肌瘤的症状可能因肿瘤的大小、位置和数量导致包括月经异常、腹部不适、小便异常、性交疼痛等不适,甚至会导致不孕或妊娠并发症[3]。目前的管理策略包括手术干预,例如子宫肌瘤切除术和子宫切除术,以及旨在缓解症状和减少肌瘤的药物治疗。而这些方法存在相当大的风险,包括大量失血、对周围子宫组织的潜在损害以及对未来生育能力的影响。且药物治疗虽然能一定程度上缩小肌瘤大小和暂时缓解症状,但不能提供永久的解决,且可能具有限制长期使用的副作用[4]。研究表明,HIFU治疗子宫肌瘤的疗效并不劣于逐层辐照手术,且HIFU的安全性明显优于手术治疗。HIFU对于子宫肌瘤患者,尤其是对有生育需求的女性更具优势[5]

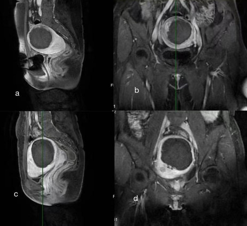
Figure 1. Postoperative MRI comparison between interlayer irradiation ablation mode and layer-by-layer irradiation ablation mode

1. 间层辐照消融模式和逐层辐照消融模式术后MRI对比

常规的逐层辐照治疗模式为“点–面–体”消融模式,需要对拟消融的靶区进行有规律地“点–面–体”逐点消融。我们需要将能量按照“点–面–体”的规律实现多个单一消融点的组合而成大块的符合治疗计划的消融区。它的主要优点是完全符合生物学焦域的消融理论;主要缺点是临床治疗时间较长,消融点的分布可能邻近肠道、神经等重要解剖结构而存在潜在的损伤风险。而从目前临床实践来看,我们观察到在治疗多种良恶性肿瘤病例中,由于解剖位置、子宫损伤、声通道不合适等条件限制下未予以“点–面–体”消融点覆盖的病灶区域同样产生了灰度变化,术后复查均提示消融完全(见图1),这种现象可能是由于声场在肌瘤内部重分布所致,但仍缺乏明确的理论研究阐述,部分文献同样提出了类似的“损伤–损伤”效应[6],故基于这种临床现象,我们提出一种针对子宫肌瘤的新的消融模式——间层辐照消融模式,即仅选取三个等分的切面进行消融,以此能同样达到有效的消融率,并有可能在功率消耗、手术时间及术后并发症获益。

本研究旨对比“间层辐照消融模式”和“逐层辐照消融模式”的有效性及安全性,为之后的临床工作提供新的方向。

图1(a)图1(b)分别为间层辐照消融模式下术后矢状位的冠状位盆腔MRI增强,宫底部肌壁间团块(78 × 68 × 66 mm)呈等/稍短T1、短/稍长T2混杂信号,内部大片无强化区伴边缘小片强化;(c)、(d)分别为逐层辐照消融模式下术后失状位和冠状位盆腔MRI增强,子宫体部后壁肌壁间见边界清晰的短T1、混杂T2信号团块(65 × 74 × 72 mm),增强无强化。两者在影像学上均表现为消融良好。

2. 材料与方法

2.1. 研究对象

纳入标准:1、确诊为子宫肌瘤患者;2、前臂单发或后壁单发子宫肌瘤;3、病灶最大直径为2.5 < d ≤ 10 cm。

排除标准:1、病灶直径为≤2.5或>10 cm;2、多个病灶被消融;3、子宫或附件内存在其他实性或非良性病变,包括子宫腺肌病或疑似恶性肿瘤;4、其他激素、介入术或手术治疗史。

分组方法:间层辐照组vs.逐层辐照消融组(根据治疗方式回顾性分组)。

2.2. 治疗方法

设备与参数:JC型高强度聚焦超声肿瘤治疗设备、能量参数设置(需统一标准)。

逐层辐照消融模式:参考术前影像学结果,通过使用JC型高强度聚焦超声肿瘤治疗设备的机载监控B超进行定位,以矢状切面为治疗切面。确认子宫肌瘤边界后按照5 mm间隔划分为若干治疗切面,以选择中心切面作为初始治疗切面。识别子宫周围解剖结构,包括子宫周围的肠道、下方的膀胱,骶岬和骶骨,识别子宫前后壁、宫底、子宫内膜等危机器官。保留聚焦超声焦点到上述解剖边界15 mm的距离为安全距离,选择中心切面上的“深面–足侧”象限(即子宫肌瘤内位于后下方的部分),选择安全距离外为第一个治疗点。当监控B超识别到即刻团块样灰度改变判定为发生消融,按照旁开5 mm为相邻治疗点的模式,逐点治疗;完成一个切面后进入相邻切面,按照此前的操作继续完成治疗计划,直至团块样灰度改变覆盖全部切面。

间层辐照消融模式:基于相同术前评估与引导标准,将目标体积等分为三个平面。中心平面起始治疗,安全边界设定同常规组。消融点布设限定于三平面内:中心平面“深–尾”象限首点消融后,以5 mm间距完成该平面全覆盖;同法依次处理剩余两平面,最终实现三平面整体灰度变化。

2.3. 评价指标

主要指标:消融率(术后MRI评估的非灌注体积比)、能效因子(EEF)。

次要指标:治疗时间、平均功率、术后短期并发症发生率(皮肤水肿、术后疼痛、阴道溢液、神经疼痛等)。

2.4. 数据收集与统计分析

  • 数据来源:医院电子病历系统、影像归档系统。

  • 统计软件:IBM SPSS Statistics 27.0.1。

  • 统计方法:非参数秩和检验检验、卡方检验、费希尔精确检验。

3. 结果

3.1. 基线资料

Table 1. Comparison of baseline characteristics between the two patient groups

1. 两组患者基线特征比较

评估指标

分组呈现形式

间层辐照消融组(n = 73)

逐层辐照消融组(n = 154)

P值

年龄(岁)

均值 ± SD

39.42 ± 6.45

39.79 ± 6.71

0.674

肌瘤部位,n (%)

前壁

42 (57.5)

88 (57.1)

0.956

后壁

31 (42.5)

66 (42.9)

肌瘤体积(cm³)

均值(中位数)

64.94 (60.06)

53.81 (57.39)

0.578

Funaki分型,n (%)

1型

36 (49.3)

74 (48.1)

0.556

2型

23 (31.5)

44 (28.6)

3型

14 (19.2)

36 (23.4)

腹壁厚度

均值 ± SD

3.22 ± 1.08

3.34 ± 1.06

0.415

本研究共纳入2019年1月至2024年5月期间的451名患者,经纳入与排除标准筛选后,共有227例单发子宫肌瘤患者入选。根据治疗方案,73例患者被分配至间层辐照消融组,154例患者被分配至逐层辐照消融组。两组患者的基线特征具有可比性。年龄分布相近,组间差异无统计学意义(P = 0.674)。肌瘤部位方面,两组在前壁与后壁的分布上无显著差异(P = 0.956)。此外,两组在肌瘤体积(P = 0.578)、Funaki分型构成(P = 0.556)及腹壁厚度(P = 0.415)方面亦均无统计学差异,表明上述基线特征在组间均衡(见表1)。

3.2. 有效性对比及安全性评价

有效性比较:

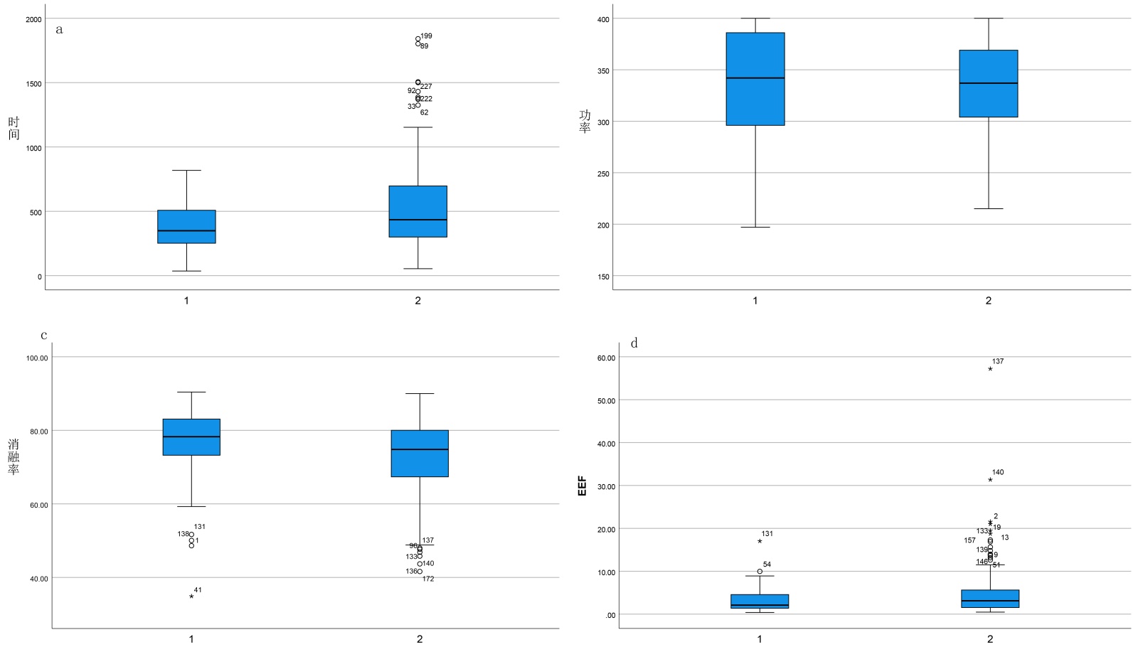
间层辐照消融组的平均时间为388.84 ± 23.61 s,逐层辐照组的平均时间为544.83 ± 24.78 s,间层辐照消融组的平均功率为333.73 ± 51.54 W,逐层辐照组的平均功率为336.79 ± 41.21 W;间层辐照消融组的平均消融率为76.38 ± 1.67%,逐层辐照组的平均消融率为73.06 ± 0.82%;间层辐照消融组的能效因子为5.28 ± 0.95,逐层辐照组的能效因子为3.99 ± 0.32 (见图2)。曼–惠特尼U检验显示,组别在治疗时间(U = 4182.000, Z = −3.114, P = 0.002)和消融率(U = 4364.500, Z = −2.719, P = 0.007)上均存在显著差异,在平均功率(U = 5518.000, Z = −0.223, P = 0.824)及能效因子(U = 5117.000 Z = −1.091, P = 0.275)上无显著性差异,表明两组间治疗效果和操作时长具有异质性,在平均功率及能效因子上无差别(见表2)。

图2(a)~(d)分别为间层辐照消融组和逐层辐照消融组在时间、平均功率、消融率及能效因子上的箱庭图,其中组别1指间层辐照消融组,组别2指逐层辐照消融组,两组在治疗时间(P = 0.002)和消融率(P = 0.007)上均存在显著差异,在平均功率、能效因子上无显著性差异。

Figure 2. Comparison of the efficacy of the two ablation modes using box plots

2. 两组消融模式有效性箱庭图比较

Table 2. Comparison of therapeutic outcomes, procedure duration, and postoperative complications between the two groups

2. 两组患者治疗效果、操作时长及术后并发症比较

评估指标

分组呈现形式

间层辐照消融组

逐层辐照消融组

统计方法

统计值

P值

消融率

均值 ± SD

76.38 ± 1.67

73.06 ± 0.82

曼–惠特尼U检验

U = 4364.500, Z = −2.719

0.007

治疗时间

均值 ± SD

388.84 ± 23.61

544.83 ± 24.78

曼–惠特尼U检验

U = 4182.000, Z = −3.114

0.002

平均功率

均值 ± SD

333.73 ± 51.54

336.79 ± 41.21

曼–惠特尼U检验

U = 5518.000, Z = −0.223

0.824

能效因子

均值 ± SD

5.28 ± 0.95

3.99 ± 0.32

曼–惠特尼U检验

U = 5117.000, Z = −1.091

0.275

术后疼痛

1级

14

40

曼–惠特尼U检验

U = 5526.000, Z = −0.285

0.776

2级

2

7

3级

1

3

皮肤水肿

1级

53

110

卡方检验

χ2 (1) = 0.034

0.854

阴道溢液

1级

5

9

费希尔精确检验

0.773

神经症状

1级

1

2

费希尔精确检验

-

1.000

安全性评价:

本研究根据美国国家癌症研究所常见不良事件评价标准(CTCAE) 5.0版对术后并发症进行评估,结果显示:疼痛分级中,间层辐照消融组(n = 73)发生疼痛事件17例(23.3%),其中CTCAE 1级(轻度疼痛,非甾体药物有效) 14例(19.2%),2级(中度疼痛,需弱阿片类药物) 2例(2.7%),3级(重度疼痛,需强阿片类药物/无效) 1例(1.4%);逐层辐照消融组(n = 154)发生疼痛事件50例(32.5%),1级40例(26.0%),2级7例(4.5%),3级3例(1.9%);皮肤水肿中,所有病例均为CTCAE 1级(轻度水肿)或0级(无水肿),间层辐照消融组1级水肿发生率为72.6% (53/73),逐层辐照消融组的71.4% (110/154)。阴道溢液仅观察到1级事件,间层辐照消融组发生率为6.8% (5/73),逐层辐照消融组为5.8% (9/154)。所有病例均表现为CTCAE 1级周围感觉神经病变(轻度骶尾部及双下肢疼痛/麻木),间层辐照消融组发生1例(1.4%),逐层辐照消融组2例(1.3%)。卡方检验(或费希尔精确检验验证)及曼–惠特尼U检验表明,组别在皮肤水肿无显著关联(χ2 (1) = 0.034, P = 0.854),在骶尾部及双下肢疼痛或麻木上无显著关联(费希尔精确检验验证,双侧P = 1.000),在术后疼痛(U = 5526.000, Z = −0.285, P = 0.776)和阴道溢液(P = 0.773)的发生率上均无统计学差异,提示两组患者术后短期并发症风险相似(见表2)。

4. 讨论

既往临床研究及经验表明,磁共振评估中非灌注体积(NPV)超过70%是HIFU消融子宫肌瘤有效的关键标准[7] [8]。能效因子(EEF)作为量化消融能量投入与组织坏死体积产出的核心指标,为评估消融难度和效率提供了重要参考。目前关于EEF标准值及其影响因素的系统性研究相对较少。本研究结果显示,两种消融模式(间层辐照与逐层辐照)均成功达到了NPV > 70%的有效消融标准,且两组间EEF值无统计学差异(P > 0.05)。该结果与重庆医科大学附属永川医院2021年1月至2024年4月178例子宫肌瘤HIFU治疗研究报道的EEF值范围(3.4 (1.9, 7.2) J/mm3)一致[9],表明两组所治疗肌瘤在位置、血供、成分等影响能量沉积效率的关键固有特性上具有可比性,为后续效率比较奠定了基础。在肌瘤消融难度相当(EEF相似)的前提下,本研究观察到了显著的效率差异:间层辐照消融模式在显著缩短的治疗时间内(388.84 ± 23.61 s vs. 544.83 ± 24.78 s, P < 0.05),反而获得了更高的消融率(76.38 ± 1.67% vs. 73.06 ± 0.82%, P < 0.05)。这一结果提示,逐层辐照消融模式可能存在能量浪费现象(如能量过量或耗散),导致部分能量未能有效转化为核心消融区的坏死形成;而间层辐照模式通过优化策略显著减少了此类浪费,从而在更短时间内实现更高消融效果。此外,两组术后严重不良反应发生率极低(<1%),且无统计学差异,与临床实际及既往多中心研究的安全性数据相符[10],进一步支持了优化策略的临床应用安全性。在EEF无差异(即能量转化为坏死体积的效率相同)的情况下,更高的声能量输入可能促进了肌瘤内部产生更强的“损伤–损伤”累积效应。虽然本研究所观察到的临床现象具体机制尚不明确,有研究指出[11],消融过程中坏死组织的动态变化会改变“声学环境”,高温可改变组织特性,且消融区域血管破坏导致的供血不足能间接抑制散热,从而协同增强消融效果;同时当我们在治疗前,子宫肌瘤总体可认为属于一个均匀声场,在消融过程中,已发生凝固型坏死的消融区域使肌瘤的超声声场发生了变化,将造成治疗超声波的强反射,与初始状态下的子宫肌瘤的较为均匀的声场相比,在这个已经发生部分消融的状态下,继续进行治疗超声声辐照,既往产生的消融区域声学性质将会导致治疗超声波的反射、散射。而这样的物理学效应,不会重复发生第一消融点的能量转化,而将产生治疗超声波能量在声场内的重分布,肌瘤中的坏死区域改变了肌瘤的组织声环境(AET),从而促进了超声波能量沉积,在安全前提下,声通道优势带来的更高声能量可能更有效地促进了此类效应的发生,该假说有待未来研究验证。

文献报道HIFU术后短期并发症主要包括疼痛、皮肤水肿、阴道溢液或出血、血尿、骶尾部疼痛及神经损伤相关的下肢疼痛或麻木[12]。本研究中未观察到血尿或阴道出血病例,其余并发症发生率在两组间无显著差异。绝大多数患者CTCAE评分为1分,极少数为2分,无更高评分病例。这充分证明,无论采用间层辐照还是逐层辐照消融模式,HIFU治疗均具备良好的安全性。HIFU治疗子宫肌瘤通常采用静脉麻醉。虽然静脉麻醉风险低于全身麻醉,但大量研究证实手术时间显著缩短可进一步降低相关风险[13]。尽管本研究未显示术后副反应存在组间差异,治疗时间的缩短和能量投放的优化有望减少术中组织暴露时间及潜在风险,例如热损伤[14]。综上所述,在保证肌瘤消融基本难度(EEF)可比且安全性的前提下,间层辐照消融模式通过更合理的能量分配策略,不仅证明了其相对于逐层辐照模式的非劣效性,更在治疗效率(时间显著缩短)和消融彻底性(NPV略提高)方面展现出一定的优势,为优化HIFU治疗子宫肌瘤的能量应用提供了重要的实践依据。

本研究存在一定局限性,首先,由于HIFU术后患者住院时间普遍较短,临床医师缺乏充足时间使用统一量表(如UFS-QOL)系统评估术后并发症。其次,多数患者未能规律随访复查,导致缺乏关于复发率、肌瘤大小变化、经期疼痛及妊娠结局等重要长期指标的数据。因此,本研究仅分析了即刻消融率和短期并发症,其长期有效性和安全性尚待评估。此外,研究仅纳入位于前壁或后壁的单发肌瘤,未按FIGO分型分析不同类型肌瘤,也未评估多发肌瘤病例,存在选择偏倚。值得注意的是,大量研究表明T2WI高信号肌瘤(通常富含细胞外基质和水分,组织密度较低)的HIFU能量沉积效率较低,治疗难度更大[15]。间层辐照模式在此类肌瘤中是否仍具优势尚属未知,需进一步研究。最后,本研究提出的假说基于观察到的临床现象和超声物理学原理,尚缺乏基础实验支持,且声能量重分布的具体部位难以预测。未来方向包括探索术中多切面监测,结合AI辅助实时优化消融路径与能量投放,极具研究价值。

5. 结论

本研究证实,间层辐照消融模式在治疗子宫肌瘤中的有效性和安全性不劣于逐层辐照消融模式,且当肌瘤位于子宫前壁时更有优势。其理论基础可能与声能量重分布相关,但仍需基础实验验证。尽管研究存在局限性(如回顾性设计、缺乏长期随访数据及多发肌瘤分析),间层辐照模式仍为优化HIFU治疗提供了新方向。未来需结合术中实时监测技术及人工智能辅助,进一步探索其机制并扩展临床应用场景。

NOTES

*通讯作者。

参考文献

[1] De Maio, A., Alfieri, G., Mattone, M., Ghanouni, P. and Napoli, A. (2024) High-Intensity Focused Ultrasound Surgery for Tumor Ablation: A Review of Current Applications. Radiology: Imaging Cancer, 6, e230074. [Google Scholar] [CrossRef] [PubMed]
[2] Kwas, K., Nowakowska, A., Fornalczyk, A., Krzycka, M., Nowak, A., Wilczyński, J., et al. (2021) Impact of Contraception on Uterine Fibroids. Medicina, 57, Article 717. [Google Scholar] [CrossRef] [PubMed]
[3] Lee, D.W., Gibson, T.B., Carls, G.S., Ozminkowski, R.J., Wang, S. and Stewart, E.A. (2009) Uterine Fibroid Treatment Patterns in a Population of Insured Women. Fertility and Sterility, 91, 566-574. [Google Scholar] [CrossRef] [PubMed]
[4] Kyeong, H., Choi, J., Na, Y. and Kim, H. (2023) Effects of Long-Term Intermittent Pharmacological Therapy with Ulipristal Acetate on Reducing the Volume of Uterine Fibroids and Relieving Symptoms. Minerva Obstetrics and Gynecology, 75, 236-242. [Google Scholar] [CrossRef] [PubMed]
[5] Chen, Y., Yi, J., Lin, S., Xie, X., Liu, X. and Guo, S. (2025) Reproductive Outcomes of High-Intensity Focused Ultrasound Ablation and Myomectomy for Uterine Fibroids: A Systematic Review and Meta-analysis. Reproductive BioMedicine Online, 50, 104436. [Google Scholar] [CrossRef] [PubMed]
[6] Wang, Y., Gong, C., He, M., Lin, Z., Xu, F., Peng, S., et al. (2023) Therapeutic Dose and Long-Term Efficacy of High-Intensity Focused Ultrasound Ablation for Different Types of Uterine Fibroids Based on Signal Intensity on T2-Weighted MR Images. International Journal of Hyperthermia, 40, Article ID: 2194594. [Google Scholar] [CrossRef] [PubMed]
[7] Park, M.J., Kim, Y., Rhim, H. and Lim, H.K. (2014) Safety and Therapeutic Efficacy of Complete or Near-Complete Ablation of Symptomatic Uterine Fibroid Tumors by MR Imaging-Guided High-Intensity Focused US Therapy. Journal of Vascular and Interventional Radiology, 25, 231-239. [Google Scholar] [CrossRef] [PubMed]
[8] Stewart, E.A., Gostout, B., Rabinovici, J., Kim, H.S., Regan, L. and Tempany, C.M.C. (2007) Sustained Relief of Leiomyoma Symptoms by Using Focused Ultrasound Surgery. Obstetrics & Gynecology, 110, 279-287. [Google Scholar] [CrossRef] [PubMed]
[9] Shen, L., Huang, X., Liu, Y., Bai, S., Wang, F. and Yang, Q. (2025) Multi-Sequence Magnetic Resonance Imaging Radiomics Combined with Imaging Features Predicts the Difficulty of HIFU Treatment of Uterine Fibroids. Scientific Reports, 15, Article No. 3259. [Google Scholar] [CrossRef] [PubMed]
[10] Su, Z., Liu, S., Wang, J., Jin, F., Peng, Y. and Wen, J. (2025) Retrospective Cohort Study on the Efficacy and Safety of High-Intensity Focused Ultrasound in Non-Invasive Treatment of Uterine Leiomyomas and Adenomyosis. Abdominal Radiology, 50, 4995-5003. [Google Scholar] [CrossRef] [PubMed]
[11] deSouza, N.M., Gedroyc, W., Rivens, I. and ter Haar, G. (2022) Tissue Specific Considerations in Implementing High Intensity Focussed Ultrasound under Magnetic Resonance Imaging Guidance. Frontiers in Oncology, 12, Article 1037959. [Google Scholar] [CrossRef] [PubMed]
[12] Ali, M.M., Raphael Mpehle, C., Olusola, E., Ratshabedi, P.K., Ragab Shehata, A., Ashraf Youssef, M., et al. (2024) A Systematic Review of the Side Effects of High-Intensity Focused Ultrasound Ablation of Uterine Fibroids. Baylor University Medical Center Proceedings, 37, 947-956. [Google Scholar] [CrossRef] [PubMed]
[13] Kuemmerli, C., Sijberden, J.P., Cipriani, F., Osei-Bordom, D., Aghayan, D., Lanari, J., et al. (2024) Is Prolonged Operative Time Associated with Postoperative Complications in Liver Surgery? An International Multicentre Cohort Study of 5424 Patients. Surgical Endoscopy, 38, 7118-7130. [Google Scholar] [CrossRef] [PubMed]
[14] Shi, L., Zhang, R., Tao, S., Yuan, X., Zhang, J., Wang, B., et al. (2023) Efficacy and Safety of Ultrasound-Guided High-Intensity Focused Ultrasound Ablation in Women with Multiple Uterine Fibroids: An Exploratory Study. Ultrasound in Medicine & Biology, 49, 2378-2387. [Google Scholar] [CrossRef] [PubMed]
[15] Xue, H., Wu, S., Xiao, K., Ding, G. and Chen, S. (2024) Sonographic Features of Uterine Fibroids That Predict the Ablation Rate and Efficacy of High-Intensity Focused Ultrasound. Frontiers in Oncology, 14, Article 1451626. [Google Scholar] [CrossRef] [PubMed]