短暂性脑缺血发作患者脑血流量与脑小血管病的相关性研究
Study on the Correlation between Cerebral Blood Flow and Cerebral Small Vessel Disease in Patients with Transient Ischemic Attack
DOI: 10.12677/acm.2026.163759, PDF, HTML, XML,    科研立项经费支持
作者: 郭 佳*, 冀 驰, 宫希军#:安徽医科大学第二附属医院放射科,安徽 合肥
关键词: 短暂性脑缺血发作脑血管疾病脑小血管病灌注成像Transient Ischemic Attack Cerebrovascular Disease Cerebral Small Vessel Disease Perfusion Imaging
摘要: 目的:探讨亚急性期及慢性期短暂性脑缺血发作(Transient ischemic attack, TIA)患者脑血流量(Cerebral blood flow, CBF)与脑小血管病(Cerebral small vessel disease, CSVD)的相关性。方法:回顾性收集TIA患者的临床资料、实验室检查结果、CSVD评分及各脑区CBF数据。根据CSVD评分将患者分为无CSVD组(0分)与CSVD组(≥1分),进一步将CSVD组分为轻度组(1~2分)与重度组(3~4分),比较组间各脑区CBF的差异。采用二元Logistic回归分析CSVD发生的影响因素,通过Spearman相关性分析验证CSVD与各脑区CBF的关系。将基底节区CBF与CSVD各亚型进行Spearman相关分析。结果:无CSVD组与CSVD组比较,CSVD组各脑区CBF水平显著降低,差异均有统计学意义(P < 0.05);二元Logistic回归分析显示,基底节区CBF是CSVD发生的独立影响因素。CSVD亚组分析显示,两组间基底节区CBF差异有统计学意义(P < 0.05)。Spearman相关分析显示,CSVD评分与各脑区CBF值均呈负相关(P < 0.05),且与基底节区CBF相关性最强。基底节区CBF与CSVD各亚型Spearman相关分析显示,基底节区CBF与脑白质高信号(WMHs)评分、腔隙性梗死(LIs)数量、脑微出血数量(CMBs)均呈负相关(P < 0.05)。结论:TIA患者基底节区CBF水平与CSVD的发生及严重程度密切相关,其降低提示CSVD发生风险增高且病情更重,检测各脑区尤其是基底节区CBF对评估TIA患者合并CSVD的风险及病情分级具有重要临床价值。
Abstract: Objective: To investigate the correlation between cerebral blood flow (CBF) and cerebral small vessel disease (CSVD) in patients with Subacute phase and chronic phase transient ischemic attack (TIA), so as to provide a theoretical basis for clinical evaluation of CSVD comorbidity risk and disease severity in this patient population. Methods: Clinical data, laboratory test results, CSVD scores, and CBF data of each brain region were collected retrospectively from TIA patients admitted to our department. According to the established CSVD scoring criteria, all enrolled patients were divided into two groups: a CSVD-free group (patients with a CSVD score of 0) and a CSVD group (patients with a CSVD score ≥ 1). Furthermore, the CSVD group was subdivided into a mild subgroup (CSVD scores ranging from 1 to 2) and a severe subgroup (CSVD scores ranging from 3 to 4) based on the severity of the disease. Statistical analysis was performed to compare the differences in CBF levels of each brain region among the groups. Binary logistic regression analysis was applied to screen out the independent influencing factors for the occurrence of CSVD in TIA patients, while Spearman correlation analysis was conducted to clarify the correlation between CSVD scores and CBF values of each brain region. Spearman correlation analysis was performed between basal ganglia CBF and each subtype of CSVD. Result: Compared with the CSVD-free group, the CSVD group exhibited a significant reduction in CBF levels in all detected brain regions, and the differences between the two groups were statistically significant (P < 0.05). Binary logistic regression analysis further revealed that basal ganglia CBF was an independent influencing factor for the occurrence of CSVD in TIA patients (P < 0.05). Subgroup analysis of the CSVD group demonstrated that there was a statistically significant difference in basal ganglia CBF between the mild and severe subgroups, with the severe subgroup showing lower basal ganglia CBF levels (P < 0.05). Spearman correlation analysis indicated that CSVD scores were negatively correlated with CBF values in all brain regions (P < 0.05), and among these correlations, the association between CSVD scores and basal ganglia CBF was the strongest. Spearman correlation analysis between basal ganglia CBF and each subtype of CSVD showed that basal ganglia CBF was negatively correlated with White Matter Hyperintensities (WMHs) score, the number of Lacunar Infarcts (LIs), and the number of Cerebral Microbleeds (CMBs) (P < 0.05). Conclusion: Basal ganglia CBF in TIA patients is closely correlated with the occurrence and severity of CSVD. A decrease in basal ganglia CBF is associated with an increased risk of CSVD development and a more severe disease status in TIA patients. Therefore, the detection of CBF in all brain regions, especially the accurate measurement of basal ganglia CBF, possesses important clinical value for assessing the risk of CSVD comorbidity and grading the disease severity in TIA patients.
文章引用:郭佳, 冀驰, 宫希军. 短暂性脑缺血发作患者脑血流量与脑小血管病的相关性研究[J]. 临床医学进展, 2026, 16(3): 26-33. https://doi.org/10.12677/acm.2026.163759

1. 引言

短暂性脑缺血发作(Transient ischemic attack, TIA)是由于局部脑、脊髓或视网膜缺血引起的短暂性神经功能缺损,无急性梗死证据,症状通常在数分钟至数小时内自行缓解,是缺血性脑卒中发生的重要预警信号,部分TIA患者在发病后短时间内会进展为脑卒中,严重威胁患者的生命健康[1]。脑小血管病(Cerebral small vessel disease, CSVD)是一组由脑内小动脉、微动脉、毛细血管及小静脉病变导致的脑血管疾病,以腔隙性梗死、脑白质高信号、脑微出血等为典型影像学表现,在老年人群及脑血管疾病患者中发病率较高[2]。近年来研究发现,TIA与CSVD存在密切关联,CSVD可能是TIA发生的潜在病理基础之一,同时TIA患者合并CSVD时,其神经功能缺损程度更重、复发风险更高,预后更差[3] [4]。CTP脑灌注成像技术通常多提供脑灌注参数(如脑血流量,Cerebral blood flow,CBF)可客观反映脑血流动力学状态及脑组织的供血情况,是评估脑血管功能的重要影像学指标。目前已有部分研究探讨了脑灌注参数与CSVD的相关性,但多数研究仅简单对比有无CSVD患者的脑灌注差异,缺乏对CSVD严重程度分层后的深入分析,且针对TIA这一高风险人群的专项研究较少[5] [6]。同时相关研究表明TIA 急性期存在显著的脑血流动力学波动,该类血流变化会对慢性CSVD的脑灌注状态评估造成干扰,难以客观反映二者的真实关联。基于此,本研究严格纳入亚急性期及慢性期TIA患者,排除急性期TIA患者,采用分层对比结合二元Logistic回归及Spearman相关性分析的方法,旨在明确TIA患者脑灌注参数(以CBF为核心)与CSVD发生及严重程度的相关性,为临床早期识别TIA患者合并CSVD的风险、评估病情严重程度及制定个体化干预策略提供影像学依据和理论支持。

2. 资料与方法

2.1. 一般资料

本研究招募2024年6月~2025年4月在安徽医科大学第二附属医院就诊亚急性及慢性短暂性脑缺血发作病患者174例。纳入标准:(1) 完成头部MRI及CTP检查;(2) 符合《中国各类主要脑血管病诊断要点2019》关于亚急性及慢性TIA的诊断标准;(3) 患者配合良好,扫描图像质量佳[7]。排除标准:(1) 既往有创伤性脑损伤史、颅脑手术史等;(2) 合并急性脑梗死、脑肿瘤、重要器官功能障碍等;(3) 昏迷、严重精神障碍等。

2.2. 检查方法

所有患者均于一天内完成头颅MRI检查与头颅CTP检查,检查不分先后且间隔4~6小时。MRI检查采用(Ingenia3.0TCX, PHILIPS)扫描仪进行T1WI序列、T2WI序列、T2WI-液体衰减反转恢复(fluidattenuated inversion recovery, FLAIR)序列、弥散加权成像序列及磁敏感加权成像序列扫描。CTP检查应用德国西门子SOMATOM Force双源螺旋CT扫描仪。

2.3. 图像分析

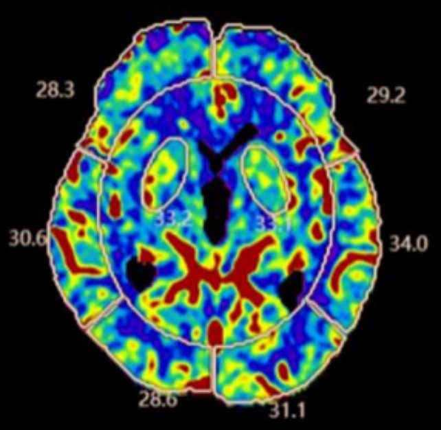
CTP图像于后处理软件(数坤数坤科技股份有限公司)自动勾画椭圆形感兴趣区(ROI),依次选中双侧基底节区、额叶、顶叶、颞叶、枕叶及小脑半球,获得其CBF的测量值平均值。见图1

脑小血管病(CSVD)总负荷评分由两名放射科医师独立评估,涵盖腔隙性梗死(LIs)、血管周围间隙扩大(EPVS)、脑白质高信号(WMHs)及脑微出血(CMBs)四项影像学特征,评分标准为:LIs指直径3~20 mm、T2WI及FLAIR呈脑脊液样信号且FLAIR边缘高信号的圆形/卵圆形病灶,≥1个计1分;EPVS指直径 < 3 mm、信号同LIs、好发于半卵圆中心等区域的圆形/卵圆形/线形病灶,>10个计1分;WMHs依据Fazekas量表评估,脑室旁3分和/或深部2~3分计1分;CMBs指直径 < 5 mm、SWI呈低信号的圆形/线形均匀病灶,≥1处计1分[8]。根据总评分将受试者分为无CSVD组(0分,48例)和CSVD组(1~4分,125例),后者进一步分为轻度组(1~2分,95例)和重度组(3~4分,30例),其中评分 > 0分提示存在CSVD,>2分提示严重CSVD (图2)。

Figure 1. Shukun cerebral perfusion post-processing software

1. 数坤脑灌注后处理软件

Figure 2. Example images of cerebral small vessel disease

2. 脑小血管病示例图

(a)~(c):病例1男,74岁,高血压、糖尿病,吸烟20余年,不饮酒。A. T2WI,双侧基底节区EPVS > 10,记1分,双侧侧脑室旁Lis = 2,记1分;B. FLAIR,WMHs 2~3级,记1分;C. SWI,左侧侧脑室旁CMBs = 1,记1分;CSVD得分4分,CSVD重度组。图(d)~(f):病例2女,65岁,头晕半天,高血压,未见LIs、EPVS、EPVS,FLAIR序列上WMHs 1级,CSVD得分为0分,无CSVD组。

2.4. 统计分析

应用SPSS27.0软件进行数据分析,P值 < 0.05被认为具有统计学意义。采用Kolmogorov-Smirnov检验检验连续变量的正态性。连续变量用x ± sM (IQR)表示,分类变量用n (%)表示。组间比较采用t检验、Mann-Whitney U检验及χ2检验。多因素二元Logistic回归分析独立预测因子。采用Spearman进行相关性分析。

3. 结果

3.1. 不同CSVD组组间基线资料比较

本研究共收集亚急性期及慢性期TIA患者174例,根据有无CSVD分为无CSVD组(48例)和CSVD组(125例),其中CSVD组再分为轻度组(95例)和重度组(30例)。结果显示无CSVD组和CSVD组两组间比较年龄、BMI、高密度脂蛋白、甘油三酯及各脑区CBF差异具有统计学意义(P < 0.05)。轻度组和重度组两组间仅有基底节区CBF存在差异(P < 0.05)。所以随 CSVD 严重程度增加,基底节区CBF下降,见表1

Table 1. Comparison of baseline data among different CSVD groups

1. 不同CSVD组组间基线资料比较

无CSVD组 (n = 48)

CSVD组 (n = 125)

P

CSVD组

轻度组(n = 95)

重度组(n = 30)

P

年龄(years)

57.67 ± 13.35

65.71 ± 11.41

<0.001

64.94 ± 11.55

68.17 ± 10.80

0.178

性别,male (%)

29 (60.4)

78 (62.4)

0.810

58 (61.1)

20 (66.7)

0.580

BMI (kg/m2)

25.88 ± 3.49

24.50 ± 3.28

0.016

24.43 ± 3.31

24.71 ± 3.20

0.686

高血压,n (%)

38 (80.9)

102 (81.6)

0.910

75 (78.9)

27 (90.0)

0.173

糖尿病,n (%)

11 (22.9)

40 (32.0)

0.241

31 (32.6)

9 (30.0)

0.788

吸烟史,n (%)

15 (31.3)

44 (35.2)

0.624

30 (31.6)

14 (46.7)

0.131

饮酒史,n (%)

26 (54.2)

60 (48.0)

0.468

45 (47.4)

15 (50.0)

0.801

胆固醇(mmol/L)

4.57 ± 0.97

4.53 ± 1.11

0.824

4.61 ± 1.13

4.28 ± 1.01

0.162

高密度脂蛋白(mmol/L)

1.12 ± 0.23

1.25 ± 0.32

0.010

1.26 ± 0.32

1.22 ± 0.32

0.606

低密度脂蛋白(mmol/L)

2.87 ± 0.76

2.83 ± 0.84

0.768

2.88 ± 0.83

2.65 ± 0.85

0.190

甘油三酯(mmol/L)

1.35 (1.15, 2.07)

1.14 (0.87, 1.56)

0.037

1.16 (0.81, 1.55)

1.10 (0.88, 1.63)

0.968

天冬氨酸转氨酶(U/L)

23 (20, 29)

23 (19, 27)

0.113

23 (19, 28)

22 (19, 26)

0.385

丙氨酸转氨酶(U/L)

25 (17, 35)

20 (15, 28)

0.056

20 (15, 28)

20 (15, 28)

0.887

血尿素氮(mmol/L)

5.68 ± 1.52

6.00 ± 1.74

0.273

5.97 ± 1.57

6.08 ± 2.23

0.778

肌酐(umol/L)

62.54 ± 15.12

64.81 ± 16.14

0.401

64.59 ± 15.40

65.50 ± 18.56

0.789

基底节区CBF (ml/100g/min)

52.02 ± 9.40

36.98 ± 7.41

<0.001

37.68 ± 7.77

34.77 ± 5.68

0.047

额叶CBF (ml/100 g/min)

59.60 ± 15.93

40.97 ± 11.35

<0.001

41.57 ± 12.27

39.06 ± 7.62

0.517

顶叶CBF (ml/100 g/min)

57.76 ± 15.36

39.52 ± 10.73

<0.001

40.10 ± 11.48

37.68 ± 7.78

0.475

颞叶CBF (ml/100 g/min)

59.81 ± 15.67

41.86 ± 12.01

<0.001

42.46 ± 13.00

39.97 ± 7.96

0.623

枕叶CBF (ml/100 g/min)

57.93 ± 15.44

40.18 ± 12.60

<0.001

40.73 ± 13.71

38.46 ± 8.09

0.822

小脑半球CBF (ml/100 g/min)

59.30 ± 18.92

39.54 ± 13.72

<0.001

40.28 ± 14.93

37.17 ± 8.63

0.595

3.2. 与CSVD存在相关的Logistic回归分析

Logistic回归方程结果发现:基底节区CBF是CSVD存在的独立危险因素,且为阻碍因素。见表2

Table 2. Logistic regression analysis for factors associated with CSVD

2. 与CSVD存在相关的Logistic回归分析

因素

OR值

95%CI

P值

年龄

0.995

0.953~1.038

0.809

BMI

0.920

0.782~1.082

0.314

高密度脂蛋白

2.681

0.380~18.911

0.322

甘油三酯

0.860

0.623~1.186

0.358

基底节区CBF

0.782

0.699~0.874

<0.001

额叶CBF

0.905

0.785~1.043

0.170

顶叶CBF

0.894

0.753~1.061

0.198

颞叶CBF

1.069

0.909~1.258

0.418

枕叶CBF

1.138

0.993~1.304

0.063

小脑半球CBF

1.019

0.950~1.092

0.599

3.3. CSVD评分与CBF相关性分析

对所有纳入的TIA患者进行CSVD总负荷评分,评分范围为0-4分。采用Spearman相关性分析,探讨CSVD总负荷评分与各脑区CBF值之间的相关性,结果显示CSVD评分与各脑区CBF均呈负相关(P < 0.05),其中与基底节区CBF相关性最为密切(r = −0.614)。见表3

Table 3. Correlation analysis between CSVD score and regional CBF

3. CSVD评分与各脑区CBF相关性分析

变量

CSVD评分

r值

P值

基底节区CBF

−0.614**

<0.001

额叶CBF

−0.517

<0.001

顶叶CBF

−0.533

<0.001

颞叶CBF

−0.509

<0.001

枕叶CBF

−0.487

<0.001

小脑半球CBF

−0.456

<0.001

3.4. 基底节区CBF与WHM评分、LIs数量及CMBs数量相关性分析

为进一步明确基底节区低灌注与CSVD不同亚型的特异性关联,单独分析基底节区CBF与WMH评分(基于Fazekas量表)、LIs数量及CMBs数量的独立相关性,统计方法仍采用Spearman相关性分析。

结果显示,基底节区CBF与CSVD各亚型指标均呈负相关,且差异均具有统计学意义(P < 0.001)。其中,基底节区CBF与WMH评分的相关性最强(r = −0.561),与腔隙性梗死数量的相关性次之(r = −0.533),而与脑微出血数量的相关性相对较弱(r = −0.311)。具体结果见表4

Table 4. Correlation analysis between basal ganglia CBF, WMH score, number of LIs, and number of CMBs

4. 基底节区CBF与WHM评分、LIs数量及CMBs数量相关性分析

变量

基底节区CBF

r值

P值

WHM评分

−0.561

<0.001

LIs数量

−0.533

<0.001

CMBs数量

−0.311

<0.001

4. 讨论

本研究通过分层对比及多因素分析,系统探讨了亚急性期及慢性期TIA患者各脑区CBF与CSVD发生及严重程度的相关性,结果显示TIA患者基底节区CBF与CSVD发生及严重程度密切相关,且CSVD评分与各脑区CBF呈负相关,其中基底节区相关性最强(r = −0.614, P < 0.001),并进一步分析基底节区CBF与CSVD各亚型的特异性关联发现,其与WMH评分的相关性最强,与LIs数量的相关性次之,而与CMBs数量的相关性相对较弱,这为亚急性期及慢性期TIA合并CSVD的临床评估提供了重要影像学依据。

CSVD的核心病理改变为脑内小血管壁增厚、管腔狭窄及内皮功能损伤,这些病变直接导致脑血流自动调节能力下降,进而引发脑灌注不足[9]。本研究发现CSVD组各脑区CBF水平显著低于无CSVD组,与部分研究结果一致,证实了脑灌注不足与CSVD发生的密切关联[10]。进一步亚组分析显示,CSVD重度组基底节区CBF显著低于轻度组,提示随CSVD病情进展,脑灌注损伤逐渐加重。这一现象可能形成“小血管病变–脑灌注下降–脑组织缺血缺氧–小血管损伤加剧”的恶性循环,与部分研究提出的“代谢紊乱相关脑灌注异常加速小血管病变”理论相符[11]。值得注意的是,基底节区CBF与CSVD的相关性最强,这可能与基底节区血供特点相关,该区域主要由豆纹动脉等细小穿支血管供血,对小血管病变导致的灌注变化更为敏感,这也解释了为何基底节区CBF成为CSVD发生及严重程度的独立影响因素[12]

在临床基线特征方面,本研究发现CSVD组患者年龄显著高于无CSVD组,考虑年龄增长可导致血管弹性下降、退行性改变加剧,叠加小血管内皮功能减退,进一步降低脑血流储备能力。此外,CSVD组高密度脂蛋白水平更高、甘油三酯水平更低,这一结果与传统认知中“脂质代谢紊乱促进血管病变”存在差异,推测可能与样本量局限或未校正降脂药物使用等混杂因素相关,需在后续研究中进一步验证。

本研究的创新点在于突破了既往研究仅关注“有无CSVD”的二元对比模式,通过CSVD总负荷评分分层分析,明确了CBF与CSVD严重程度的剂量–反应关系。本研究证实CBF不仅可用于CSVD的早期筛查,还能为病情严重程度评估提供客观指标。这一发现的临床意义在于,对于TIA患者,可通过CTP检测CBF水平,尤其是基底节区CBF,早期识别CSVD发生风险,为干预治疗争取时间。

对于基底节区CBF与WHM评分、LIs数量及CMBs数量相关性分析结果,提示低灌注状态在WMH和LIs的发生发展中可能扮演更关键的角色:WMH的本质是脑白质区域长期慢性缺血导致的髓鞘损伤及血管周围间隙扩大,而LIs则直接由穿支血管闭塞引发的局部缺血所致,二者均与脑血流灌注不足密切相关;而CMBs的病理基础更多与小血管壁破裂、血液成分渗出相关,其形成机制可能更依赖于血管壁结构损伤(如淀粉样变性、高血压相关血管硬化),因此与灌注不足的关联相对温和。该发现进一步细化了低灌注与CSVD亚型的病理生理关联,为针对性干预不同亚型CSVD提供了影像学线索。

本研究存在一定局限性:首先,回顾性设计可能导致选择偏倚,且未纳入血压、血糖控制情况等可能影响CBF的混杂因素;其次,样本量相对有限,结果稳定性需大样本前瞻性研究验证;最后,未探讨CBF影响CSVD进展的分子机制,未来需结合DKI等功能序列及基础实验深入分析[13] [14]

综上所述,TIA患者CBF水平与CSVD发生及严重程度密切相关,基底节区CBF可作为评估CSVD风险的关键影像学指标。临床实践中,通过CTP检测TIA患者脑灌注参数,可为CSVD的早期识别、病情分级及个体化干预提供科学依据,有助于降低TIA复发及进展为脑卒中的风险。

基金项目

安徽省高等学校科学研究项目(编号:2023AH053162)。

NOTES

*第一作者。

#通讯作者。

参考文献

[1] 中华医学会神经病学分会, 中华医学会神经病学分会脑血管病学组. 中国缺血性卒中和短暂性脑缺血发作二级预防指南2022 [J]. 中华神经科杂志, 2022, 55(10): 1071-1110.
[2] 胡文立, 杨磊, 李譞婷, 黄勇华. 中国脑小血管病诊治专家共识2021 [J]. 中国卒中杂志, 2021, 16(7): 716-726.
[3] 江艳柳, 王书培, 李凤, 等. 脑小血管负担评分对短暂性脑缺血发作患者复发性脑血管事件的预测价值[J]. 磁共振成像, 2024, 15(6): 67-71.
[4] Chen, Y., Hu, M. and Gong, H. (2017) Correlation Analysis between the LDL-C in Serum and the Onset of Transient Ischemic Attack Caused by CSVD. Experimental and Therapeutic Medicine, 14, 1119-1125. [Google Scholar] [CrossRef] [PubMed]
[5] 倪健坤, 徐东风, 计一丁, 等. 脑小血管病中认知障碍患者的低剂量双源CT脑灌注成像变化[J]. 医学影像学杂志, 2022, 32(7): 1104-1108.
[6] Kandiah, N., Goh, O., Mak, E., Marmin, M. and Ng, A. (2014) Carotid Stenosis: A Risk Factor for Cerebral White-Matter Disease. Journal of Stroke and Cerebrovascular Diseases, 23, 136-139. [Google Scholar] [CrossRef] [PubMed]
[7] 中华医学会神经病学分会, 中华医学会神经病学分会脑血管病学组. 中国各类主要脑血管病诊断要点2019 [J]. 中华神经科杂志, 2019, 52(9): 710-715.
[8] Wardlaw, J.M., Smith, E.E., Biessels, G.J., Cordonnier, C., Fazekas, F., Frayne, R., et al. (2013) Neuroimaging Standards for Research into Small Vessel Disease and Its Contribution to Ageing and Neurodegeneration. The Lancet Neurology, 12, 822-838. [Google Scholar] [CrossRef] [PubMed]
[9] 周惠敏, 王艳, 宋芳星, 等. 脑小血管病的发病机制[J]. 国际脑血管病杂志, 2023, 31(2): 146-150.
[10] 王结群, 吴毅泰, 王星, 等. 脑小血管病总负荷与记忆力下降老年患者认知功能、脑萎缩及脑灌注的相关性[J]. 中国卒中杂志, 2020, 15(12): 1276-1280.
[11] Liu, H., Zheng, W., Geng, J., Zhou, X., Xia, Y., Liu, Y., et al. (2025) Cerebral Perfusion and Gray Matter Volume Alterations Associated with Cognitive Impairment in Metabolic Syndrome with Cerebral Small Vessel Disease. Frontiers in Aging Neuroscience, 17, Article 1538850. [Google Scholar] [CrossRef] [PubMed]
[12] 黄黎香, 王绍舟, 曹宸, 等. 豆纹动脉对基底节区脑组织定量灌注的影响及预后预测效果评价[J]. 首都医科大学学报, 2022, 43(1): 53-60.
[13] Markus, H.S. and Joutel, A. (2025) The Pathogenesis of Cerebral Small Vessel Disease and Vascular Cognitive Impairment. Physiological Reviews, 105, 1075-1171. [Google Scholar] [CrossRef] [PubMed]
[14] Jansma, A., de Bresser, J., Schoones, J.W., van Heemst, D. and Akintola, A.A. (2024) Sporadic Cerebral Small Vessel Disease and Cognitive Decline in Healthy Older Adults: A Systematic Review and Meta-Analysis. Journal of Cerebral Blood Flow & Metabolism, 44, 660-679. [Google Scholar] [CrossRef] [PubMed]