家族性腺瘤样息肉病癌变术后伴腹腔内韧带样纤维瘤1例
A Case of Familial Adenomatous Polyposis with Postoperative Malignant Transformation Complicated by Intra-Abdominal Desmoid Tumor
摘要: 家族性腺瘤样息肉病(Familial Adenomatous Polyposis, FAP)是一种常染色体显性遗传疾病,由APC基因突变引发,导致结直肠内广泛腺瘤性息肉,40岁未干预者结直肠癌风险接近100%。韧带样型纤维瘤(desmoid tumor, DT))作为FAP的重要肠外并发症,发生率约10%~20%,多见于腹腔或腹壁,具有局部侵袭性,虽不转移但易侵犯重要脏器,导致脏器梗阻、缺血等并发症,是致死率仅次于结直肠癌的第二大因素。在影像学上极易与恶性肿瘤腹腔转移或淋巴结转移混淆,本文拟回顾性分析1例家族性腺瘤样息肉病癌变术后伴腹腔内韧带样纤维瘤病展示了这一诊断陷阱,并对其发病机制及病理、临床表现、影像学特征、治疗策略进行学习,强调了MRI在软组织分辨上的优势以及病理活检的重要性,对临床医生避免误诊和过度治疗(如不必要的再次根治性手术)具有警示和教育意义。
Abstract: Familial adenomatous polyposis (FAP) is an autosomal dominant inherited disorder caused by mutations in the APC gene, characterized by the development of numerous adenomatous polyps throughout the colorectum. Without prophylactic intervention, the lifetime risk of colorectal cancer approaches nearly 100% by the age of 40. Desmoid tumors (DTs), also known as desmoid-type fibromatosis, represent a major extraintestinal manifestation of FAP, with an incidence of approximately 10%~20%. They most commonly occur in the abdominal cavity or abdominal wall and exhibit locally aggressive behavior. Although DTs do not metastasize, they can invade adjacent vital organs, leading to complications such as organ obstruction and ischemia, and constitute the second leading cause of mortality in patients with FAP after colorectal cancer. Radiologically, intra-abdominal desmoid tumors are easily confused with malignant peritoneal metastases or lymph node metastases. In this study, we retrospectively analyze a case of intra-abdominal desmoid-type fibromatosis occurring after malignant transformation in a patient with familial adenomatous polyposis, illustrating this important diagnostic pitfall. Furthermore, we review the pathogenesis, pathological features, clinical manifestations, imaging characteristics, and therapeutic strategies of this condition. This case highlights the superiority of magnetic resonance imaging (MRI) in soft tissue characterization and underscores the critical role of pathological biopsy, providing important educational value for clinicians to avoid misdiagnosis and overtreatment, such as unnecessary repeat radical surgery.
文章引用:文双, 梁治平, 步军. 家族性腺瘤样息肉病癌变术后伴腹腔内韧带样纤维瘤1例[J]. 临床医学进展, 2026, 16(3): 193-199. https://doi.org/10.12677/acm.2026.163779

1. 病例报告

1.1. 临床及影像资料

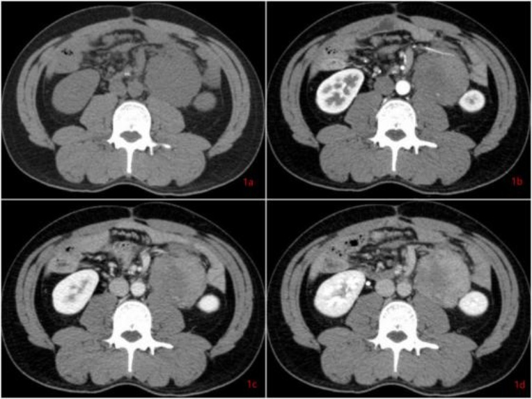
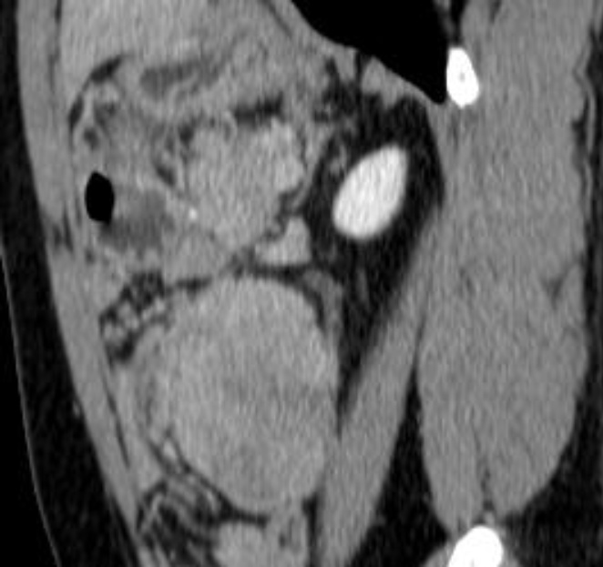
患者男,41岁。1年前气管插管全麻下行腹腔镜全大肠切除术,术后病理提示:家族性腺瘤样息肉病伴乙状结肠中分化管状腺癌。术后行“奥沙利铂 + 卡培他滨”化疗6次,化疗期间肿瘤指标正常。1年后复查全腹CT所见:左肾前下方及肠系膜内亦见多发肿块,较大者位于左肾前下方,大小约2.7 cm × 2.3 cm × 3.6 cm (左右径 × 前后径 × 上下径),边界光整,等密度;动脉期轻度强化,内见血管穿行;静脉期及延迟期呈渐进、延迟不均质强化,内见低密度区,肿块与左侧输尿管上段分界不清,以上肾盂积液轻度扩张,再经3个月后,复查全腹CT (图1图2)提示腹腔肿块明显增大,病灶大小约6.6 cm × 5.7 cm × 8.7 cm (左右径 × 前后径 × 上下径)。随后完善腹部MR (图3),所见:左肾前下方见及肠系膜内亦见多发长T1不均匀长T2信号影,弥散未见明显受限,增强扫描呈渐进性不均匀强化,内见无强化坏死区,肿块局部向后压迫左侧输尿管上段并分界不清,以上输尿管及肾盂轻度积液扩张。综合CT及MR影像诊断:转移瘤可能性大。但患者体重稳定增加,复查肿瘤指标仍未见异常,影像诊断与临床不符。

Figure 1. Plain CT and dynamic contrast-enhanced CT imaging in the long-axis plane

1. CT平扫及动态增强长轴位

Figure 2. Plain CT and dynamic contrast-enhanced CT imaging in the sagittal plane

2. CT平扫及动态增强矢状位

Figure 3. Multiparametric magnetic resonance imaging

3. 多参数磁共振成像

1.2. 病理检查

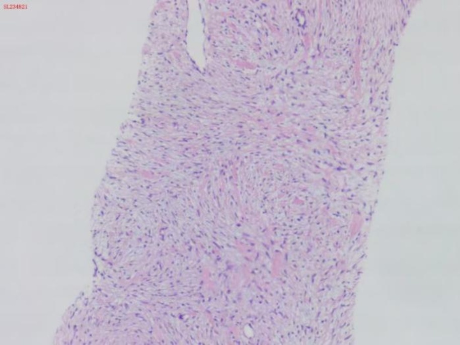
为明确诊断,行腹腔穿刺活检术,镜下所见:送检“腹腔肿物”脂肪组织内见纤维母细胞及肌纤维母细胞增生,平行排列,交错排列,部分区域胶原化,间质少量炎症细胞浸润。免疫组化结果:β-catenin (+),Vimentin (+),SMA少量弱(+),S100 (−),CD34 (−),CD117 (−),ALK (−),Desmin (−),CK (−),Ki67约2% (+)。结合HE形态及IHC结果,病变符合纤维母细胞性肿瘤,考虑为韧带样型纤维瘤病(图4)。

Figure 4. H&E-stained histopathology

4. HE染色病理切片

1.3. 治疗及随访

患者予AD化疗方案三个月后,复查CT示腹腔肿块较前减小,大小约5.5 cm × 4.1 mm × 7.8 mm,病灶体积减小大于30%,用RECIST标准评估病灶达到部分缓解。

2. 讨论

家族性腺瘤性息肉病(familial adenomatous polyposis, FAP)是由APC基因突变导致的常染色体显性遗传病,其主要特点为结直肠多发腺瘤并具有极高的癌变风险,若不进行手术干预,患者发生结直肠癌概率为100%。除结直肠病变外,FAP还常伴随多种肠外表现,包括胃十二指肠腺瘤、甲状腺癌、骨瘤以及硬纤维瘤病等,其中硬纤维瘤病(desmoid-type fibromatosis, DTF)被认为是影响患者生活质量和长期预后的最重要肠外并发症之一[1]-[3]

硬纤维瘤病又称侵袭性纤维瘤、韧带样纤维瘤,是一种起源于成纤维细胞单克隆增殖性疾病。该肿瘤不发生远处转移,但具有明显的局部侵袭性和较高的复发倾向。普通人群中硬纤维瘤病的年发病率约为5~6/100万,而FAP患者发生硬纤维瘤病的风险显著升高,可达普通人群的数百倍[2],生物学行为更具侵袭性,治疗难度更大[2] [4]。随着分子生物学和临床研究的深入,FAP相关硬纤维瘤病的诊疗理念已由“积极手术切除”逐步转向“风险分层与主动监测为核心的综合管理模式”[5]-[7]

2.1. 分子机制及病理

FAP的根本分子基础是APC基因胚系突变。APC基因位于5q21-q22,编码一种肿瘤抑制蛋白。而APC蛋白是Wnt/β-catenin信号通路的重要负调控因子,其功能缺失可导致β-catenin在细胞内异常积累并进入细胞核,激活多种促进细胞增殖和纤维化相关基因的转录,最终导致细胞异常增殖,这是FAP相关硬纤维瘤病发生的核心机制[3] [8]

硬纤维瘤病通常表现为灰白色、质地坚韧的肿块,切面呈编织状或束状结构,无包膜,边界不清,常呈浸润性生长,与周围组织紧密粘连。镜下肿瘤由增生的成纤维细胞和肌成纤维细胞组成,细胞呈梭形,形态较一致,无异型性,核分裂象罕见(通常小于2个/10 HPF) [9]。肿瘤细胞排列成束状、编织状或漩涡状,其间富含大量胶原纤维。根据细胞密度和胶原含量,可分为细胞丰富型(年轻肿瘤,活性高)和胶原丰富型(陈旧肿瘤,活性低)。肿瘤常侵犯周围脂肪、肌肉或神经组织。

免疫组化特点:① β-catenin核阳性:几乎所有病例均出现细胞核β-catenin阳性表达;② 平滑肌肌动蛋白(SMA)阳性:多数病例表达SMA,提示肌成纤维细胞分化;③ 波形蛋白(Vimentin)阳性:间叶组织肿瘤的共同标记;④ 结蛋白(Desmin)、S-100蛋白、CD34、CD117、DOG1通常阴性,有助于与平滑肌瘤、神经源性生长情况[9] [10]

2.2. 临床表现

FAP相关硬纤维瘤病的临床表现因肿瘤部位、大小及生长速度而异,可从无症状的偶然发现到严重并发症不等。腹腔内硬纤维瘤病(尤其是肠系膜)早期通常无特异性症状,随着肿瘤增大,可出现:① 消化道症状:如腹痛、腹胀、恶心、呕吐、排便习惯改变等,系肿瘤压迫或侵犯肠管所致;② 腹部包块:较大肿瘤可被触及,质地硬,活动度差;③ 并发症:如肠梗阻(最常见)、肠穿孔、消化道出血、营养不良、输尿管梗阻导致肾积水等。严重时,肿瘤可广泛侵犯肠系膜血管,导致肠缺血或顽固性肠梗阻,甚至危及生命。腹壁硬纤维瘤病多表现为腹壁无痛性肿块,质地坚硬,边界不清,生长缓慢,常因肿块增大或伴轻微疼痛而就诊。部分患者有腹部手术史(如结肠切除术、剖宫产术),肿块多位于手术切口附近。腹腔外其他部位(如四肢、头颈部)的硬纤维瘤病则表现为局部无痛性肿块,压迫周围神经或组织时可引起疼痛、活动受限或相应功能障碍。值得注意的是,约20%~30%的FAP相关硬纤维瘤病患者在诊断时无明显症状,而是在FAP筛查或术后随访影像学检查中偶然发现。此外,部分肿瘤可长期稳定,甚至自发缩小,这为主动监测策略提供了临床依据。

2.3. 影像学特征

影像学检查是FAP相关硬纤维瘤病诊断、分期、疗效评估及随访的重要手段,不同影像学方法各有优势,临床实践中常需联合应用。

计算机断层扫描(Computed Tomography, CT):CT平扫通常表现为边界不清或境界较清的软组织密度肿块,密度多为等或稍低于肌肉密度,内部可见条索状或斑片状低密度区(代表黏液变性或坏死,相对少见)。增强扫描动脉期轻度强化,静脉期及延迟期呈进行性不均匀强化,这与肿瘤富含纤维组织、对比剂缓慢渗透有关。对于腹腔内病变,CT可清晰显示肿瘤与肠管、血管的关系,评估有无肠梗阻、肾积水等并发症。但CT对软组织分辨率有限,对肿瘤内部结构细节的显示不如MRI。

磁共振成像(Magnetic Resonance Imaging, MRI):MRI是评估硬纤维瘤病的首选影像学方法,具有多参数、多平面成像能力及优异的软组织分辨率。典型MRI表现为:T1加权像(T1-weighted imaging, T1WI)呈等或稍低信号(与肌肉相比);T2加权像(T2-weighted imaging, T2WI)信号多变,取决于肿瘤内细胞成分、胶原纤维含量及黏液变性程度:细胞丰富、活性高的肿瘤通常呈高信号,而胶原成分多、分化成熟的肿瘤则呈低信号,部分可呈混杂信号。增强T1WI (脂肪抑制序列)呈不均匀渐进性强化,与CT增强表现类似。弥散加权成像(Diffusion-weighted imaging, DWI)序列上,肿瘤通常呈扩散受限,ADC值降低。MRI功能成像如动态对比增强MRI (Dynamic contrast-enhanced magnetic resonance imaging, DCE-MRI)和DWI有助于评估肿瘤的血流灌注和细胞密度,预测肿瘤活性及治疗反应。部分研究提示,T2WI高信号比例(如>50%)可能与肿瘤生长速度快、进展风险高相关,可作为风险分层的影像学指标[11]。影像学随访方面,通常建议每3~6个月进行一次MRI或CT检查,评估肿瘤大小(最长径及体积)、信号特征(如T2WI信号变化)及与周围结构的关系,以监测肿瘤。

在上述报道病例中,患者为家族性腺瘤样息肉病并癌变患者,后CT复查腹腔内出现占位,需要与结肠癌腹腔内淋巴结转移瘤相鉴别。CT对于两者的鉴别诊断相对困难,磁共振成像则有较高敏感度。病变的T2WI图像在病灶内部呈现不均质的低信号,在相对应的DWI上呈现高信号,可能与病灶内含有纤维成分,这一影像表现与病理结果中纤维母细胞及肌纤维母细胞增生,平行排列,交错排列,部分区域胶原化相一致。而淋巴结转移瘤随着病灶增大,病灶内部往往会出现缺血坏死的表现,在T2WI图像上会呈现高信号,对应的表观扩散系数(Apparent diffusion coefficient, ADC)则会呈现低信号。这点提示医生,对于有家族性腺瘤样息肉并癌变行肠道切除术后的患者新发现腹腔包块时,我们需要将硬纤维瘤纳入考虑范围,帮助临床采取正确的治疗方法,避免过度切除以及不必要的治疗。

2.4. 治疗策略

近年来,多项研究和国际共识提出,主动监测应作为无症状或低风险硬纤维瘤病的一线管理策略。该策略强调定期影像随访与症状评估,避免过早干预所带来的手术或药物不良反应。荷兰硬纤维瘤病研究组的前瞻性研究显示,对无症状、无进展风险的患者采取主动监测,5年无干预生存率可达60%以上,且部分患者肿瘤可自发缩小。监测方案通常包括每3~6个月的临床评估和影像学检查(首选MRI),若肿瘤稳定或缩小则继续监测,出现明显进展或症状时再考虑干预。

手术治疗在腹壁硬纤维瘤病中仍具有一定地位,但在腹腔内病变中应慎重选择。历史上,手术广泛切除曾是主要治疗手段,但高复发率(可达50%~70%)和手术并发症(如肠瘘、短肠综合征)促使临床重新评估其价值。当前观点认为,手术主要用于处理并发症(如肠梗阻、大出血)或药物治疗失败后的选择性干预,而不再作为常规一线治疗。对于腹壁硬纤维瘤病,完整切除(切缘阴性)可降低复发风险,但需平衡功能保留与根治性切除的关系。

系统治疗在FAP相关硬纤维瘤病中的地位日益突出。非甾体抗炎药(如舒林酸)和抗激素治疗(如他莫昔芬)可用于部分低风险患者,其机制可能与抑制环氧合酶或调节激素受体相关,但疗效有限且证据级别较低。

靶向药物是近年来的研究热点。酪氨酸激酶抑制剂(如索拉非尼)通过抑制VEGFR、PDGFR等靶点,在Ⅱ期临床试验中显示出60%~70%的疾病控制率,显著延长无进展生存期[11]。2023年,美国FDA批准γ-分泌酶抑制剂nirogacestat用于治疗进展性硬纤维瘤病,Ⅲ期临床试验显示其可将疾病进展风险降低71%,成为首个获批的硬纤维瘤病靶向药物[12]

化疗方案(如多柔比星联合达卡巴嗪)在快速进展或危及生命的病例中仍具有一定价值,客观缓解率约为30%~40%,但不良反应较大,主要用于其他治疗失败的患者[13]

放疗可用于无法手术或术后残留的局部病变,局部控制率约为70%~80%,但长期并发症(如肠纤维化、第二原发肿瘤)限制其应用。射频消融、冷冻治疗等局部消融技术在小体积肿瘤中显示出一定疗效,可作为姑息治疗手段。

基于上述研究证据及本例影像随访结果,该患者腹腔内韧带样纤维瘤在主动监测期间表现为短期内快速进展:1年随访时已出现腹腔及肠系膜多发病灶,3个月内肿块体积显著增大(最大径由约3.6 cm增至8.7 cm),伴肾盂积液,考虑到病灶进展迅速、不再符合低风险或稳定状态下的主动监测指征,提示已对重要脏器产生压迫风险,而且腹腔内病变手术复发率高、并发症重,在靶向治疗可及性或起效时间受限的情况下,选择系统化疗作为控制肿瘤生长、缓解脏器受压、避免进一步危及生命的重要治疗策略,符合当前对进展性、潜在危重硬纤维瘤病的治疗原则。

3. 总结

FAP相关硬纤维瘤病是一种具有独特分子机制和临床行为的罕见疾病,其诊疗模式已从“手术优先”转变为“风险分层指导下的综合管理”。Wnt/β-catenin通路异常是核心发病机制,APC基因突变位点与临床表型的关联为风险分层提供了重要依据。影像学技术(如MRI功能成像)和分子标志物(如β-catenin核表达)在诊断和预后评估中发挥关键作用。主动监测、靶向药物(如nirogacestat、索拉非尼)和选择性手术构成了当前主要治疗手段。

声 明

该病例报道已获得患者的知情同意。

NOTES

*共同通讯作者。

参考文献

[1] 葛赛, 王晰程. 家族性腺瘤性息肉病的诊疗进展[J]. 肿瘤综合治疗电子杂志, 2022, 8(1): 107-112.
[2] 汪昭明, 袁捷, 赵子夜, 于恩达. 家族性腺瘤性息肉病的结直肠外表现研究进展[J]. 山东医药, 2022, 62(11): 87-91.
[3] 葛赛, 王晰程. 家族性腺瘤性息肉病相关硬纤维瘤的分子机制及诊疗进展[J]. 结直肠肛门外科, 2023, 29(2): 103-109.
[4] 李舒, 方志伟. 硬纤维瘤治疗策略的变化及新进展[J]. 中国肿瘤临床, 2023, 50(3): 130-134.
[5] Desmoid Tumor Working Group (2020) The Management of Desmoid Tumours: A Joint Global Consensus-Based Guideline Approach. European Journal of Cancer, 127, 96-107.
[6] van Houdt, W.J., Husson, O., Patel, A., Jones, R.L., Smith, M.J.F., Miah, A.B., et al. (2019) Outcome of Primary Desmoid Tumors at All Anatomic Locations Initially Managed with Active Surveillance. Annals of Surgical Oncology, 26, 4699-4706. [Google Scholar] [CrossRef] [PubMed]
[7] Yang, W. and Ding, P. (2023) Update on Familial Adenomatous Polyposis-Associated Desmoid Tumors. Clinics in Colon and Rectal Surgery, 36, 400-405. [Google Scholar] [CrossRef] [PubMed]
[8] Nieuwenhuis, M.H., Casparie, M., Mathus‐Vliegen, L.M.H., Dekkers, O.M., Hogendoorn, P.C.W. and Vasen, H.F.A. (2010) A Nation‐Wide Study Comparing Sporadic and Familial Adenomatous Polyposis‐Related Desmoid‐Type Fibromatoses. International Journal of Cancer, 129, 256-261. [Google Scholar] [CrossRef] [PubMed]
[9] 黄远健, 胥子玮. 腹内型侵袭性纤维瘤的临床特征[J]. 中国肿瘤外科杂志, 2025, 17(1): 75-79, 86.
[10] 韩猛虎. 韧带样纤维瘤误诊临床分析[J]. 临床误诊误治, 2020, 33(6): 45-49.
[11] Gounder, M., Ratan, R., Alcindor, T., Schöffski, P., van der Graaf, W.T., Wilky, B.A., et al. (2023) Nirogacestat, a γ-Secretase Inhibitor for Desmoid Tumors. New England Journal of Medicine, 388, 898-912. [Google Scholar] [CrossRef] [PubMed]
[12] Gounder, M.M., Mahoney, M.R., Van Tine, B.A., Ravi, V., Attia, S., Deshpande, H.A., et al. (2018) Sorafenib for Advanced and Refractory Desmoid Tumors. New England Journal of Medicine, 379, 2417-2428. [Google Scholar] [CrossRef] [PubMed]
[13] 李舒, 方志伟, 刘佳勇, 等. 多柔比星脂质体联合达卡巴嗪治疗不可手术切除硬纤维瘤的疗效初探[J]. 中国肿瘤临床, 2021, 48(14): 716-720.