影像学表现酷似胶质母细胞瘤的原发性中枢 神经系统淋巴瘤一例
Primary Central Nervous System Lymphoma Mimicking Glioblastoma on Imaging: A Case Report
DOI: 10.12677/acm.2026.163786, PDF, HTML, XML,   
作者: 韩 昊, 谢 迅, 胥 建*, 程建华*:青岛大学附属医院神经外科,山东 青岛;李新禹:青岛大学附属医院组织人事部,山东 青岛
关键词: 胶质母细胞瘤原发性中枢神经系统淋巴瘤鉴别诊断磁共振成像Glioblastoma Primary Central Nervous System Lymphoma Differential Diagnosis Magnetic Resonance Imaging (MRI)
摘要: 本文报道一例影像学表现酷似胶质母细胞瘤的左颞叶原发性中枢神经系统淋巴瘤,尽管二者在临床特征及常规影像学上存在重叠,但通过多维度影像学的细微差异有助于早期鉴别,最终确诊需依赖病理学检查,以避免误诊并制定精准治疗策略。
Abstract: This article reports a case of primary central nervous system lymphoma (PCNSL) involving the left temporal lobe whose imaging appearance closely mimicked that of glioblastoma. Although the two entities overlap in clinical features and conventional imaging findings, subtle differences identified through multidimensional imaging assessment may facilitate early differential diagnosis. Definitive diagnosis ultimately relies on histopathological examination, which is essential to avoid misdiagnosis and to guide precise treatment strategies.
文章引用:韩昊, 谢迅, 李新禹, 胥建, 程建华. 影像学表现酷似胶质母细胞瘤的原发性中枢 神经系统淋巴瘤一例[J]. 临床医学进展, 2026, 16(3): 248-252. https://doi.org/10.12677/acm.2026.163786

1. 引言

胶质母细胞瘤(Glioblastoma, GBM)与原发性中枢神经系统淋巴瘤(Primary Central Nervous System Lymphoma, PCNSL)均是中枢神经系统具有高度致死性的恶性肿瘤,但两者的生物学行为与治疗策略截然不同[1]。尽管典型的PCNSL在影像学上常表现为均匀强化,但在临床实践中,部分PCNSL病例呈现出非典型的影像学特征,如环形强化、伴有坏死囊变及显著的占位效应,这些表现与GBM高度重叠,极易导致误诊[2]。本文报道一例影像学表现具有显著胶质母细胞瘤特征的左颞叶PCNSL病例,通过回顾其诊疗过程,重点探讨在形态学特征重叠的情况下,如何联合应用多模态影像学参数与术中冰冻病理进行鉴别诊断,以指导临床决策。

2. 一般资料

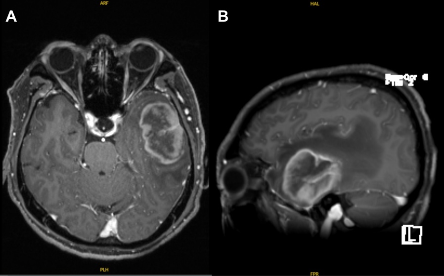
患者主诉为头痛20余天,记忆力减退伴言语不清2天。20余天前无明显诱因出现头痛,伴头晕,伴恶心、呕吐数次,呕吐物为胃内容物,2天前患者出现记忆力减退,伴命名性失语,伴右侧口角歪斜、口角流涎,伴双手麻木,无四肢活动障碍,查颅脑CT示左侧颞叶占位,符合脑肿瘤表现,患者平素身体健康,无其他疾病,“蚕蛹”过敏史。吸烟史40年,每日40支,饮酒史40年,偶有饮酒。体格检查:神志清,言语欠流利,命名性失语,右侧鼻唇沟浅,其余查体未见明显异常。辅助检查:入院颅脑CT平扫显示左侧颞叶占位性病变,符合胶质瘤的影像表现,术前颅脑MR (图1)平扫及增强结果显示同样的结果。于我院行神经导航联合黄荧光下左侧额颞开颅脑肿瘤切除术,术中见肿瘤位于左侧颞叶皮层下,肿瘤质韧,血运丰富,边界不清,荧光辅助下分块全切肿瘤,术区彻底止血。术后行常规病理及免疫组化检测。

Figure 1. Magnetic resonance imaging (MRI): (A) axial T1-weighted MPRAGE fat-suppressed sequence; (B) sagittal multiplanar reconstruction (MPR) thick-slab image

1. 磁共振成像:(A) 轴位T1加权MPRAGE脂肪抑制序列;(B) 矢状位MPR厚层重建图像

术后病理(图2)显示:非霍奇金淋巴瘤,结合免疫组化结果,倾向弥漫大B细胞淋巴瘤(非生发中心型),免疫组织化学结果:CD20 (+),CD19 (+),Bcl-2 (+,约80%),Bcl-6 (+),MUM1 (+),c-myc (+,热点区约40%),CD30 (+,约占30%),LCA (+),p53 (野生型表达模式),Ki-67 (+,约90%)。FISH检测t (8q24)-MYC显示阴性,无MYC基因的相关易位。该患者的最终诊断为:原发中枢神经系统弥漫大B细胞淋巴瘤。

Figure 2. Hematoxylin and eosin (H&E) staining of a brain tumor tissue specimen (original magnification ×400)

2. 脑肿瘤组织标本的苏木精–伊红(HE)染色(原始放大倍数×400)

3. 治疗

患者于我院神经外科行神经导航联合黄荧光下左侧额颞开颅脑肿瘤切除术,术后予镇痛、质子泵抑制剂护胃、糖皮质激素抗炎、甘露醇脱水降颅压等对症支持治疗,患者神经功能缺损症状较术前改善,出院后前往淋巴瘤科治疗,行全身PET/CT显示体部未见淋巴瘤相关异常代谢增高病灶,采用R-BmeTL方案行周期序贯免疫化疗,具体为每周期静脉输注利妥昔单抗,并联合口服替莫唑胺、泽布替尼、泊马度胺、司莫司汀,同时在系统化疗基础上同步予颅内病灶局部精准放疗以强化局部肿瘤控制;化疗期间患者出现化疗相关性骨髓抑制,予地榆升白片口服升白细胞、聚乙二醇化重组人粒细胞集落刺激因子预防性皮下注射,并全程辅以水化、碱化尿液、肝脏解毒、心肌保护及应激性溃疡预防等支持治疗,保障化疗安全推进;目前患者病情稳定,后续将继续按周期完成R-BmeTL方案免疫化疗,定期复查头颅增强MRI及脑脊液细胞学评估疗效,定期监测血常规、肝肾功能等指标以处理治疗相关不良反应,并在放疗结束后长期随访以警惕远期神经毒性及疾病复发,截至目前患者病情稳定。

4. 讨论

在临床诊断过程中,由于PCNSL缺乏特异性的临床表现和影像学特征,容易与其他颅内病变混淆且治疗策略截然不同。颅内PCNSL的误诊并不罕见,根据临床特征往往难以明确诊断,为了更加准确地鉴别PCNSL与GBM,影像学特征的细微差距显得尤为重要。

PCNSL的均质性显著强化与GBM的不均质、不规则环形强化是两者最直观的鉴别点[3]。根据Malikova等人对108例确诊患者的对比研究的研究,PCNSL表现出显著的形态学一致性,增强MRI中高达64.8%的病灶呈现典型的均质性强化[4];与鱼博浪提到的PCNSL CT密度和MR信号较为均匀的特征相符[3]。相比之下,GBM呈现出极高的肿瘤异质性,98.1%的病例表现为不均匀花环状强化,且绝大多数伴有肉眼可见的坏死[4] [5],而PCNSL若无免疫缺陷背景,极少出现坏死(仅5.6%) [4]。本例患者,在MR增强上虽然病灶整体表现为不均质的花环状强化,极度类似于胶质母细胞瘤,但在病灶部分区域(如内部边缘区域)仍表现出PCNSL的典型特点即实质均匀一致强化,这与GBM不同,后者的环壁常表现为明显不均质强化的信号特点。

从病理学角度,本例出现坏死与环形强化可能与PCNSL的血管中心性生长及其对血管内皮与血脑屏障的破坏有关。电子显微镜研究显示,PCNSL毛细血管内皮可发生凋亡并最终出现内皮解体与血–肿瘤屏障不连续,导致造影剂易于外渗而产生明显强化,同时其并不具GBM的内皮增生性新生血管[5]。当肿瘤增殖活性很高(本例Ki-67约90%),细胞密度与代谢需求上升,而相对有限的血管支持及灌注不均可造成局灶缺血缺氧,进而出现凝固性坏死或囊变;坏死区本身不强化,而周边仍存活并破坏血脑屏障的肿瘤组织形成“环状”强化边缘,从而表现为环形强化[6] [7]

解剖定位与浸润模式的差异进一步为鉴别诊断提供了高权重的空间线索,GBM 表现出显著的幕上局限性,通常呈现为孤立的浸润性肿块,而PCNSL则展现出更为广泛的侵袭特征,可表现为弥漫浸润型或同时累及幕上和幕下区域的肿瘤类型[4]。这种弥漫性生长模式与Haldorsen等人此前报道的“播散性病变”相对应[8]。PCNSL对基底节区和视路的浸润频率显著高于GBM [9]。此外,多发病灶的存在亦是倾向于淋巴瘤诊断的有力证据[10]

在高级功能成像层面,肿瘤的微观病理环境差异被进一步放大,尤其是在磁共振波谱(MRS)和扩散加权成像(DWI)上。PCNSL由于细胞膜的高周转率及巨噬细胞的浸润,常在肿瘤的实质部分(即非坏死区)出现高耸的脂质(Lip)波峰[11];而GBM的脂质峰通常严格局限于其坏死核心,在实性肿瘤部分极少出现[4]。同时,由于PCNSL由高核浆比的B淋巴细胞致密堆积而成,其细胞密度显著高于胶质瘤,这导致其在DWI上表现出更为显著的扩散受限。通过扩散张量成像证实,PCNSL的表观扩散系数(ADC)值显著低于GBM [12]

二者的血管生成特点在磁敏感加权成像(SWI)和灌注成像中同样具有差异性。GBM作为血管生成最活跃的肿瘤之一,其内部富含异常增生、通透性高的微血管,极易发生微出血,因此在SWI序列上,GBM可显示出明显的低信号,而PCNSL则无此特征[3]。此外,PCNSL 的相对脑血容量(rCBV)通常低于GBM,这是由于淋巴瘤缺乏胶质瘤典型的微血管增生,且造影剂容易通过被破坏的血脑屏障大量渗漏至间质空间[13]

本例术前未行PWI、SWI及MRS等多模态功能成像,致使无法从代谢与血流动力学层面捕捉肿瘤的微观特征,限制了早期鉴别效能。在临床实践中,对于此类非典型环形强化病变,整合多模态影像数据是实现精准鉴别诊断的关键。

5. 结论

PCNSL与GBM在常规影像学上的表现重叠给临床诊断带来挑战,多模态影像学特征具有重要鉴别价值:PCNSL多均质强化、少坏死、侵袭广泛多灶,非坏死区有Lip峰、ADC值低,无SWI低信号且rCBV低;GBM以不均匀环形强化伴坏死为主,幕上局限生长,Lip峰仅见于坏死区,SWI呈低信号且rCBV高。临床上对于影像表现复杂的占位病变,应充分利用多模态影像学提供的鉴别线索,并严格确立病理诊断的重要地位,以规避手术过度治疗风险,确保患者获得规范化的个体化治疗。

声 明

该病例报道已获得病人的知情同意。

NOTES

*共同通讯作者。

参考文献

[1] Grommes, C. and DeAngelis, L.M. (2017) Primary CNS Lymphoma. Journal of Clinical Oncology, 35, 2410-2418. [Google Scholar] [CrossRef] [PubMed]
[2] Haldorsen, I.S., Espeland, A. and Larsson, E. (2010) Central Nervous System Lymphoma: Characteristic Findings on Traditional and Advanced Imaging. American Journal of Neuroradiology, 32, 984-992. [Google Scholar] [CrossRef] [PubMed]
[3] 鱼博浪. 中枢神经系统CT和MR鉴别诊断[M]. 第3版. 西安: 陕西科学技术出版社, 2014: 191-192.
[4] Malikova, H., Koubska, E., Weichet, J., Klener, J., Rulseh, A., Liscak, R., et al. (2016) Can Morphological MRI Differentiate between Primary Central Nervous System Lymphoma and Glioblastoma? Cancer Imaging, 16, Article No. 40. [Google Scholar] [CrossRef] [PubMed]
[5] Molnár, P.P., O'Neill, B.P., Scheithauer, B.W. and Groothuis, D.R. (1999) The Blood-Brain Barrier in Primary CNS Lymphomas: Ultrastructural Evidence of Endothelial Cell Death. Neuro-Oncology, 1, 89-100. [Google Scholar] [CrossRef] [PubMed]
[6] Zhou, X., Wang, F., Yu, L., Yang, F., Kang, J., Cao, D., et al. (2024) Prediction of PD-L1 and Ki-67 Status in Primary Central Nervous System Diffuse Large B-Cell Lymphoma by Diffusion and Perfusion MRI: A Preliminary Study. BMC Medical Imaging, 24, Article No. 222. [Google Scholar] [CrossRef] [PubMed]
[7] Fiester, P.J., Soule, E., Natter, P.E., Haymes, D. and Rao, D. (2019) Necrotic Primary Central Nervous System Lymphoma in an Immunocompetent Patient: A Case Report and Literature Review. Cureus, 11, e4910. [Google Scholar] [CrossRef] [PubMed]
[8] Haldorsen, I.S., Kråkenes, J., Krossnes, B.K., Mella, O. and Espeland, A. (2009) CT and MR Imaging Features of Primary Central Nervous System Lymphoma in Norway, 1989-2003. American Journal of Neuroradiology, 30, 744-751. [Google Scholar] [CrossRef] [PubMed]
[9] Ma, H., Zeng, S., Xie, D., Zeng, W., Huang, Y., Mazu, L., et al. (2024) Looking through the Imaging Perspective: The Importance of Imaging Necrosis in Glioma Diagnosis and Prognostic Prediction: Single Centre Experience. Radiology and Oncology, 58, 23-32. [Google Scholar] [CrossRef] [PubMed]
[10] Suh, H.B., Choi, Y.S., Bae, S., Ahn, S.S., Chang, J.H., Kang, S., et al. (2018) Primary Central Nervous System Lymphoma and Atypical Glioblastoma: Differentiation Using Radiomics Approach. European Radiology, 28, 3832-3839. [Google Scholar] [CrossRef] [PubMed]
[11] Yamasaki, F., Takayasu, T., Nosaka, R., Amatya, V.J., Doskaliyev, A., Akiyama, Y., et al. (2015) Magnetic Resonance Spectroscopy Detection of High Lipid Levels in Intraaxial Tumors without Central Necrosis: A Characteristic of Malignant Lymphoma. Journal of Neurosurgery, 122, 1370-1379. [Google Scholar] [CrossRef] [PubMed]
[12] Toh, C.H., Castillo, M., Wong, A.M., Wei, K., Wong, H., Ng, S., et al. (2007) Primary Cerebral Lymphoma and Glioblastoma Multiforme: Differences in Diffusion Characteristics Evaluated with Diffusion Tensor Imaging. American Journal of Neuroradiology, 29, 471-475. [Google Scholar] [CrossRef] [PubMed]
[13] Kickingereder, P., Sahm, F., Wiestler, B., Roethke, M., Heiland, S., Schlemmer, H.-P., et al. (2014) Evaluation of Microvascular Permeability with Dynamic Contrast-Enhanced MRI for the Differentiation of Primary CNS Lymphoma and Glioblastoma: Radiologic-Pathologic Correlation. American Journal of Neuroradiology, 35, 1503-1508. [Google Scholar] [CrossRef] [PubMed]