以反复贫血及腹痛为首发症状的一例Castleman病诊疗经过及文献复习
Diagnosis and Treatment Process of a Case of Castleman Disease with Recurrent Anemia and Abdominal Pain as the Initial Symptoms, along with a Literature Review
DOI: 10.12677/acm.2026.163837, PDF, HTML, XML,   
作者: 夏继鹏, 马小萱:青岛大学青岛医学院,山东 青岛;朱荣坤, 邴春梅*:青岛大学附属医院小儿外科,山东 青岛
关键词: Castleman病儿童贫血腹痛Castleman Disease Children Anemia Abdominal Pain
摘要: 目的:探讨儿童Castleman病(CD)的临床特点,提高对该病诊断、治疗及预后的了解。方法:回顾性分析青岛大学附属医院收治的1例儿童CD患者临床及病理资料。同时检索中国知网、万方医学网、Pubmed中英文数据库对相关文献进行复习。结果:本例患儿以反复贫血及腹痛为首发症状,增强CT提示腹腔均匀强化软组织肿块影,行腹腔镜下切除手术。术后随访半年无复发。结论:儿童Castleman病较为罕见,其诊断需要结合临床、影像及病理综合判断,提高对该病的认识,有助于减少漏诊、误诊。
Abstract: Objective: To explore the clinical characteristics of Castleman disease (CD) in children and enhance understanding of its diagnosis, treatment, and prognosis. Methods: A retrospective analysis was conducted on the clinical and pathological data of a pediatric CD patient admitted to the Affiliated Hospital of Qingdao University. Additionally, relevant literature was reviewed by searching the Chinese and English databases of CNKI, Wanfang Medical Network, and PubMed. Results: This patient presented with recurrent anemia and abdominal pain as the initial symptoms. Enhanced CT scan revealed a uniformly enhanced soft tissue mass in the abdominal cavity, and laparoscopic resection was performed. Follow-up for half a year after surgery showed no recurrence. Conclusion: Castleman disease in children is relatively rare, and its diagnosis requires a comprehensive assessment of clinical, imaging, and pathological findings. Improving awareness of this disease can help reduce missed and incorrect diagnoses.
文章引用:夏继鹏, 朱荣坤, 马小萱, 邴春梅. 以反复贫血及腹痛为首发症状的一例Castleman病诊疗经过及文献复习[J]. 临床医学进展, 2026, 16(3): 690-696. https://doi.org/10.12677/acm.2026.163837

1. 引言

Castleman病(Castleman disease, CD)又称巨大淋巴结病或血管滤泡性淋巴结增生症,最初由美国病理学家Beniamin Castleman 1956年首次发现报道[1]。2018年CD入选罕见病目录。其临床表现多样,影像学亦缺乏特异性,临床上极易被误诊及漏诊,对患者的生存、预后产生显著影响。本文报道1例以反复贫血及腹痛为首发症状的男性患儿,并对国内外相关文献进行系统复习,总结该病的临床病理特征、治疗及预后,以期提高病理及临床医师对该病的认识。

2. 病历资料

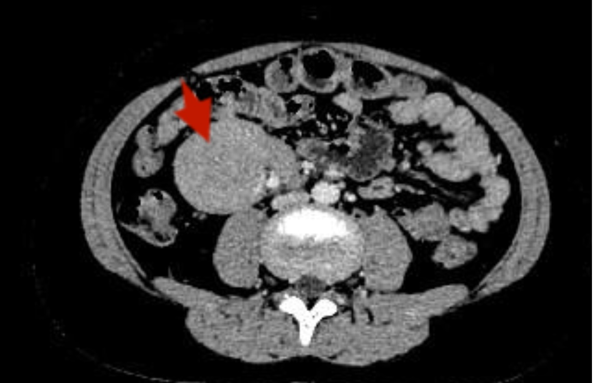
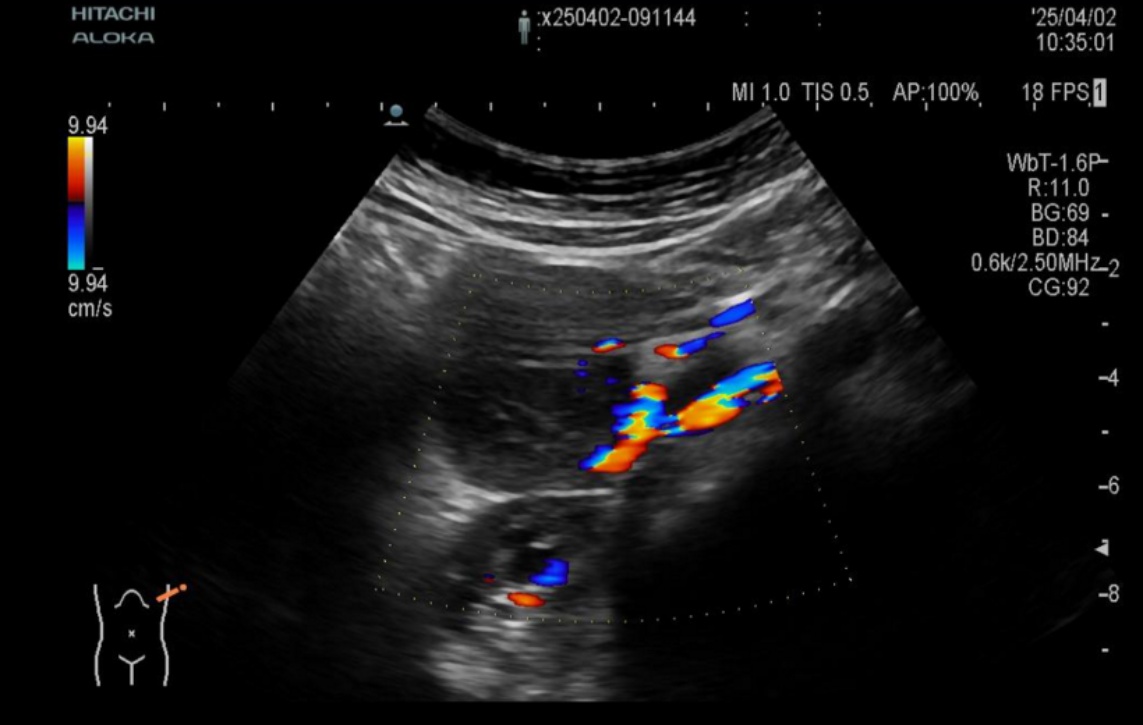
患儿男,年龄11岁3个月。因“阵发性脐周腹痛1周”于2025年4月1日入我院就诊。患儿腹痛持续时间不等,性质为隐痛,平素无发热、头晕、头痛,无恶心、呕吐,无腹泻便秘、小便发黄等症状,体重、体力无明显下降。既往贫血3年,定期复查血常规:血红蛋白90~105 g/L波动,长期补充铁剂无改善。否认相关病毒感染史、传染病史等其他病史。体格检查:神志清,精神可,面色皮肤苍白,指甲床苍白,无皮肤出血点及瘀斑。颈部、腋窝、腹股沟等全身浅表淋巴结无明显肿大,腹平坦,腹软不胀,未见胃肠型及蠕动波,移动性浊音阴性,右下腹压痛,无反跳痛,余腹无压痛及肌紧张,肝脾肋下未触及,Murphy阴性,未触及明显肿物,肠鸣音4次/分。实验室检查:血常规:血红蛋白85 g/L,血小板740 × 10^9/L,C反应蛋白25 mg/L,肝功能:白蛋白29.7g/L,白细胞介素-6:66.31 pg/ml,免疫球蛋白测定(血):抗O:>1770 IU/ml,血沉:111 mm,EB病毒衣壳抗原IgA 6.19 AU/ml,EB病毒衣壳抗原IgG > 50 AU/ml,EB病毒核抗原IgG > 50 AU/ml,HHV-8:阴性,IgG4 25.12 g/L。肿瘤标志物甲胎蛋白、癌胚抗原、糖链抗原199、神经元特异性烯醇化酶等检查指标均在正常参考范围内,Coombs实验阴性。完善超声检查:腹腔内右肾前方水平见6.0 × 4.3 × 5.6 cm低回声团块,分叶状,边界清,似有包膜,余肠系膜根部关系密切,考虑系膜来源或淋巴来源(图1)。下腹部CT平扫 + 增强提示:腹膜后可见软组织肿块影,边界清,大小约46 mm × 55 mm,增强扫描可见均匀强化,肿块周围及腹腔可见多发稍肿大淋巴结影,考虑腹膜后占位,Castleman?(图2)

Figure 1. Abdominal ultrasound examination revealed a hypoechoic mass in front of the right kidney

1. 腹部超声检查提示右肾前方低回声团块

Figure 2. Enhanced CT reveals a uniformly enhanced soft tissue mass in the retroperitoneum

2. 增强CT提示腹膜后均匀强化软组织肿块

根据患儿血红蛋白、白蛋白降低,白介素-6、C反应蛋白升高,IgG4升高,结合影像学检查,综上初步考虑诊断为Castleman病。完善术前检查及排除手术禁忌证后于2025年04月03日在气管插管全麻下行腹腔镜下腹腔内肿物切除术、腹腔淋巴结清扫术、经腹腹主动脉旁淋巴结切除术。术中见:腹腔肠系膜根部巨大肿块,肿块周边散在大小不一的肿大淋巴结,利用超声刀切开浆膜,在充分保护肠系膜上静脉属支的前提下给予钝性分离肿块,边游离边结扎周围血管,将肿块完整切除,同时将附近的淋巴结一并切除送快速冰冻。术中快速冰冻病理提示:(腹腔肿物、瘤旁淋巴结)淋巴组织增生性病变,以淋巴滤泡增生为主,少量可见生发中心萎缩,部分滤泡生发中心可见血管玻璃样变,滤泡间见大量浆细胞浸润,形态不除外Castleman病。根据快速冰冻病理,给予清扫腹主动脉旁淋巴结,共切除大小不等的淋巴结10枚。术后病理检查:(腹腔肿物、瘤旁淋巴结)淋巴组织增生性病变,以淋巴滤泡增生为主,个别生发中心呈进行性转化,淋巴窦可见。部分滤泡生发中心萎缩,可见新生血管,滤泡间见大里浆细胞浸润,小灶纤维化,可见个别血管壁玻璃样变性,结合免疫组化及分子病理结果,考虑Castleman病(浆细胞为主型)伴IgG4高表达。请结合临床及其他实验室检查。免疫组化结果:CD3 (T细胞+),CD20 (B细胞+),CD10 (生发中心+),Bc-2 (生发中心−),Bc-6 (生发中心+),MUM1 (浆细胞+),CD38 (浆细胞+),CD138 (浆细胞+),lgG (+),lgG4 (+),lgG4/lgG > 40%,Kappa (+)、Lambda (+)未见限制性表达,CD21与CD23 (示FDC网存在),Ki-67 (生发中心内高表达)。分子病理结果:IG重排(阴性) (见图3)。

Figure 3. Pathological image: Large plasma cell infiltration is observed between follicles, with small focal fibrosis (HE × 200)

3. 病理图片:滤泡间见大里浆细胞浸润,小灶纤维化(HE × 200)

术后随访半年未复发,复查血常规、C反应蛋白、白介素-6、血沉等指标均未见明显异常(见图4)。

注:患儿术前血红蛋白、白蛋白降低,白介素-6、血小板、血沉、CRP升高,术后均逐渐恢复至正常。

Figure 4. Laboratory test indicators of the child patient before and after surgery

4. 患儿术前、术后实验室检查指标

3. 讨论

CD是一种罕见的巨大淋巴结增生性疾病,2021年中国Castleman病协作组(China Castleman Disease Network, CCDN)成立并发布专家共识[2]。目前国内外指南、共识根据淋巴结受累区域的不同,将CD分为单中心型CD (unicentric CD, UCD)和多中心型CD (multicentric CD, MCD) [3]。从临床分布看,绝大多数病例表现为单中心型(UCD)。此型病变范围局限,患者通常无症状,常于体检中偶然检出,因此预后普遍良好。多中心型(MCD)虽发生率较低,但病变可广泛累及全身多处淋巴结乃至肝、肺、肾等脏器,常引发系统性症状,导致其临床病死率显著增高。Castleman病病理学分型包括透明血管型、浆细胞型和混合型[4]。罕见性主要体现在以下几个方面:1. 发病率极低:据统计,Castleman病的总体年发病率约为每10万人中21~25例,属于血液系统罕见病范畴[5]。2. 临床隐匿与认知不足:UCD常表现为单个淋巴结区域的无痛性或症状轻微肿大,起病隐匿,多数患者无全身症状,导致临床识别困难,常被误诊或漏诊。3. 以反复贫血和腹痛作为突出或首发症状者更为少见:典型UCD多因影像学检查偶然发现局部包块就诊,而本例以反复发作的难治性贫血和慢性腹痛为首要表现,偏离了常见的“无症状肿块”模式,这种非典型起病形式进一步增加了其诊断的罕见性和挑战性。

Castleman病(CD)的病因及发病机制目前仍未完全明确。现有研究指出[6],单中心型(UCD)和多中心型(MCD) CD均与白细胞介素-6 (IL-6)表达异常及人疱疹病毒8 (HHV-8)感染密切相关。IL-6在CD发生发展中具有关键作用。研究显示,患者血清及淋巴结组织中IL-6水平显著升高,手术切除病灶后其水平可明显回落,提示IL-6参与疾病活动,与我们报道的本例患者术后随访结果一致。近年来还发现CD患者中存在多种IL-6受体亚型,这为针对该通路的精准治疗提供了潜在靶点[7]。HHV-8感染是另一重要机制,尤其常见于MCD。该病毒可能通过以下途径参与发病:其一,编码病毒性IL-6类似物,促进B细胞增殖并抑制其凋亡,进而上调IL-6表达;其二,诱导血管内皮生长因子(VEGF)产生,推动新生血管形成。二者共同加剧病情进展[8]。此外,其他细胞因子如VEGF、IL-1、IL-5、IL-10、肿瘤坏死因子及表皮生长因子受体等,以及HHV-8以外的病毒感染(如巨细胞病毒、EB病毒),也可能在CD发病中发挥作用[9],尚待进一步研究阐明。

CD具有显著的临床异质性,即使同种病理分型的患者,临床表现也存在显著差异[7]。大多数UCD患者无伴随症状,MCD患者除淋巴结肿大外,往往还伴有发热、乏力、盗汗、贫血、体重下降、肝肾功能不全、容量负荷过多等全身表现。本例患者以反复贫血、腹痛为首发症状,入院后查体:面色皮肤苍白,指甲床苍白,右下腹压痛,无反跳痛。完善辅助检查提示:血红蛋白、白蛋白降低,白细胞介素-6、C反应蛋白、血小板及红细胞沉降率升高,下腹部增强CT及超声检查均提示腹腔肿块。目前在文献报道中,未见以反复贫血及腹痛为首发症状的CD,可见不同分型CD患者临床表现各有不同。

对于CD的诊断主要依赖病理检查。当前较为公认的诊断标准是结合术前淋巴结活检、术中快速冰冻病理及术后常规病理与免疫组化分析[10]。由于该病临床表现缺乏特异性,易与多种疾病混淆,诊断时需排除感染性疾病、自身免疫性疾病及肿瘤性疾病,在临床上容易误诊和漏诊。本文患者术后病理诊断为Castleman病(浆细胞为主型)伴IgG4高表达,而IgG4相关性疾病特征除了血清IgG4浓度升高,还包括受累器官的肿瘤样肿胀、富IgG4阳性浆细胞的淋巴浆细胞浸润和不同程度且以“席纹状”为特征的纤维化。本文患者出现了贫血、低蛋白血症、CRP显著升高、血沉增快、血清高水平IL-6等,即高IL-6综合征。这些检验结果是鉴别CD和IgG4相关性疾病的主要因素,而不是血清IgG4水平和组织病理学差异。

治疗方面,手术完整切除是UCD的首选方法,兼具诊断与治疗作用。对于部分难以直接切除的病灶,可考虑术前新辅助化疗以缩小肿瘤体积,为根治性切除创造条件[11]。术中残留或无法切除者,术后辅助化疗可能带来一定获益。放疗对UCD也具有较高敏感性(有效率可达72% [12] [13])。随着腹腔镜微创技术的进步,其因恢复快、创伤小,已成为UCD的理想治疗方式。本例患者经腹腔镜完整切除后,术后病理证实为浆细胞型CD,患者在进行手术切除后贫血现象明显好转,实验室检查血红蛋白、白蛋白逐渐上升至正常,白介素-6、血小板、血沉、C反应蛋白逐渐下降至正常,体重较前也有所增加,随访期内均处于完全缓解状态。由于MCD患者表现多样,通常累及全身,故目前无标准的治疗方案,仍在持续的探索中,对于病情早期且只累及少数区域的患者,可选择手术治疗及术后放疗的方式[13] [14]。目前MCD患者以保守维持治疗为主。

UCD患者术后通常预后良好,复发率低,研究显示其5年生存率可达97% [15]。虽有少数UCD向MCD转化的个案报道,但发生率极低[16]。相比之下,MCD因常累及多系统,预后较差,中位生存期较短,文献报道5年死亡率可高达35% [17] [18]

综上所述,CD的诊疗需高度警惕其临床表现的多样性,对于不典型的病例(如本例以反复贫血、腹痛起病),临床医生应拓宽诊断思路,结合实验室炎症指标(尤其是IL-6)及影像学检查进行综合判断。病理学检查是诊断金标准。对于UCD,手术切除通常效果良好,长期生存率高。MCD由于临床表现多变,全身症状明显,治疗效果不佳。临床医生在发现腹腔肿瘤时应考虑Castleman病进行鉴别诊断,防止延误诊断和错失最佳治疗时机。

声 明

该病例报道已获得患者家属的知情同意。

NOTES

*通讯作者。

参考文献

[1] Castleman, B., Iverson, L. and Menendez, V.P. (1956) Localized Mediastinal Lymph-Node Hyperplasia Resembling Thymoma. Cancer, 9, 822-830. [Google Scholar] [CrossRef] [PubMed]
[2] 贾鸣男, 张路, 李剑. 特发性多中心型Castleman病的诊疗进展[J]. 中国肿瘤临床, 2019, 46(11): 541-545.
[3] 中华医学会血液学分会淋巴细胞疾病学组, 中国抗癌协会血液肿瘤专业委员会, 中国Castleman病协作组. 中国Castleman病诊断与治疗专家共识(2021年版) [J]. 中华血液学杂志, 2021, 42(7): 529-534.
[4] Van Rhee, F., Oksenhendler, E., Srkalovic, G., Voorhees, P., Lim, M., Dispenzieri, A., et al. (2020) International Evidence-Based Consensus Diagnostic and Treatment Guidelines for Unicentric Castleman Disease. Blood Advances, 4, 6039-6050. [Google Scholar] [CrossRef] [PubMed]
[5] Alaggio, R., et al. (2022) The 5th Edition of the World Health Organization Classification of Haematolymphoid Tumours: Lymphoid Neoplasms. Leukemia, 36, 1720-1748.
[6] 李理, 张蕊, 王天有. Castleman病的发病机制及治疗研究进展[J]. 中国小儿血液与肿瘤杂志, 2022, 27(5): 336-339+348.
[7] Dispenzieri, A., Armitage, J.O., Loe, M.J., Geyer, S.M., Allred, J., Camoriano, J.K., et al. (2012) The Clinical Spectrum of Castleman’s Disease. American Journal of Hematology, 87, 997-1002. [Google Scholar] [CrossRef] [PubMed]
[8] 刘秀芬, 马静, 周丽娟, 等. Castleman病最新研究进展[J]. 中国医学文摘(耳鼻咽喉科学), 2019, 34(5): 360-363.
[9] 王艳龙, 徐钰欣, 孙象军. 腹膜后Castleman病10例临床与病理特征分析[J]. 中国现代普通外科进展, 2024, 27(4): 305-308.
[10] Fajgenbaum, D.C., van Rhee, F. and Nabel, C.S. (2014) HHV-8-Negative, Idiopathic Multicentric Castleman Disease: Novel Insights into Biology, Pathogenesis, and Therapy. Blood, 123, 2924-2933. [Google Scholar] [CrossRef] [PubMed]
[11] Gagliardo, C., Johnson, E. and Di Pentima, M.C. (2021) Leuconostoc lactis Sepsis in a Child with Chromosomal 18 Abnormality Receiving Enteral Nutrition. Journal of Paediatrics and Child Health, 57, 170. [Google Scholar] [CrossRef] [PubMed]
[12] Karaca, F., Usul Afşar, Ç., Erkurt, E., Arslantaş, H.S., Çalış, E., Totan Ateş, B., et al. (2014) The Role of Radiotherapy among the Therapeutic Options for Castleman’s Disease. Turkish Journal of Hematology, 31, 197. [Google Scholar] [CrossRef] [PubMed]
[13] Rose-John, S. (2012) IL-6 Trans-Signaling via the Soluble IL-6 Receptor: Importance for the Pro-Inflammatory Activities of Il-6. International Journal of Biological Sciences, 8, 1237-1247. [Google Scholar] [CrossRef] [PubMed]
[14] 徐傲, 陈柯, 王琦, 等. Castleman病45例临床病理学分析[J]. 安徽医药, 2017, 21(9): 1632-1637.
[15] 刘琰婷. Castleman病的基础和临床研究[D]: [博士学位论文]. 北京: 北京协和医学院, 2025.
[16] Liu, H.L., Fan, L. and Li, J.Y. (2020) Progress in the Diagnosis and Treatment of Castleman Disease. Chinese Journal of Tuberculosis and Respiratory Diseases, 41, 697-700.
[17] Nishimoto, N., Terao, K., Mima, T., Nakahara, H., Takagi, N. and Kakehi, T. (2008) Mechanisms and Pathologic Significances in Increase in Serum Interleukin-6 (IL-6) and Soluble IL-6 Receptor after Administration of an Anti-IL-6 Receptor Antibody, Tocilizumab, in Patients with Rheumatoid Arthritis and Castleman Disease. Blood, 112, 3959-3964. [Google Scholar] [CrossRef] [PubMed]
[18] Mukherjee, S., Martin, R., Sande, B., Paige, J.S. and Fajgenbaum, D.C. (2022) Epidemiology and Treatment Patterns of Idiopathic Multicentric Castleman Disease in the Era of Il-6-Directed Therapy. Blood Advances, 6, 359-367. [Google Scholar] [CrossRef] [PubMed]