人工智能技术对肺部亚实性结节检出及定性 诊断效能评估
Evaluation of Artificial Intelligence Technology in the Detection and Qualitative Diagnosis of Pulmonary Subsolid Nodules
摘要: 目的:评估人工智能(Artificial intelligence, AI)在肺部亚实性结节(Sub-solid nodule, SSN) CT影像诊断中的效能,分析AI对不同病理亚型的鉴别能力及误诊漏诊特征,为临床辅助诊断提供更精准的参考依据。方法:回顾性分析2019年1月~2025年5月于天津市北辰医院接诊的280例SSN患者资料,以手术病理结果为金标准,明确AI单独阅片为算法独立输出诊断结果,设置人工单独阅片、AI单独阅片、医生 + AI联合阅片三组,比较三组对纯磨玻璃结节(Pure ground glass nodule, pGGN)、部分实性结节(Partial solid nodules, PSN)及不同病理亚型的良恶性检出结果,统计分析三组诊断效能;通过Kappa检验评估三组与金标准的一致性,定性分析AI及人工阅片的误诊、漏诊病例特征,并结合典型误诊图像佐证结论。结果:AI单独阅片对pGGN、PSN的CT图像判读的准确度、特异度、敏感度均高于人工单独阅片,医生 + AI联合阅片诊断效能为三组最优;AI单独阅片对pGGN、PSN良恶性检出结果与手术病理金标准一致性较好(Kappa值 = 0.846、0.828,P < 0.01),人工单独阅片一致性一般(Kappa值 = 0.412、0.400,P < 0.01),医生 + AI联合阅片一致性最优(Kappa值 = 0.915、0.902,P < 0.01)。AI对不典型腺瘤样增生(Atypical adenomatous hyperplasia, AAH)的过度诊断及微浸润腺癌(Microinvasive adenocarcinoma, MIA)与浸润性腺癌(Invasive adenocarcinoma, IAC)的鉴别偏差为主要误诊类型,漏诊病例约5%,主要因病灶过小、位置特殊及密度过低导致;人工阅片漏诊误诊率高主要源于主观经验差异、视觉疲劳及细微特征识别不足等。结论:相较于传统的人工阅片方式,AI辅助技术展现出更优的诊断效能,医生 + AI联合阅片更符合临床实际应用场景,可显著提升诊断准确性。AI在SSN病理亚型鉴别中存在一定局限性,其误诊漏诊具有明确的特征性,临床应用中需结合人工阅片进行综合判断,该技术可为放射科医师进行SSN性质判断提供重要辅助价值。
Abstract: Objective: To evaluate the effectiveness of artificial intelligence (AI) in CT image diagnosis of sub-solid nodules (SSN) of the lung, and analyze the ability of AI to distinguish different pathological subtypes and the characteristics of misdiagnosis and missed diagnosis, so as to provide a more accurate reference for clinical auxiliary diagnosis. Methods: The data of 280 patients with SSN who were treated in Tianjin Beichen Hospital from January 2019 to May 2025 were retrospectively analyzed. Taking the surgical and pathological results as the gold standard, it was clear that AI individual film reading was the algorithm to independently output the diagnostic results. Three groups were set up, including manual individual film reading, AI individual film reading, and doctor + AI joint film reading. The effects of the three groups on pure ground glass nodules (pGGN), partial solid nodules were compared (PSN) and the benign and malignant detection results of different pathological subtypes, and the diagnostic efficacy of the three groups was statistically analyzed. The consistency between the three groups and the gold standard was evaluated by the Kappa test. The characteristics of misdiagnosed and missed cases of AI and manual film reading were qualitatively analyzed, and the conclusion was supported by typical misdiagnosed images. Results: The accuracy, specificity and sensitivity of AI alone in the interpretation of CT images of pGGN and PSN were higher than those of manual reading alone. The diagnostic efficiency of doctor + AI combined reading was the best in the three groups (P < 0.01). The consistency of manual individual film reading was general (Kappa value = 0.412, 0.400, P < 0.01). The consistency of doctor + AI joint film reading was the best (Kappa = 0.915, 0.902, P < 0.01). AI overdiagnosis of atypical adenomatous hyperplasia (Aah) and microinvasive adenocarcinoma (MIA) and invasive adenocarcinoma, IAC) was the main misdiagnosis type, and the missed cases were about 5%, which was mainly caused by the small lesion, special location and low density; The high rate of missed diagnosis and misdiagnosis in manual film reading is mainly due to the difference of subjective experience, visual fatigue and insufficient recognition of subtle features. Conclusion: Compared with the traditional manual film reading method, AI-assisted technology shows better diagnostic efficiency, and the doctor + AI joint film reading is more in line with the clinical application scenario, which can significantly improve the diagnostic accuracy. AI has certain limitations in the identification of SSN pathological subtypes. Its misdiagnosis and missed diagnosis have clear characteristics. In clinical application, it needs to be combined with manual film reading for comprehensive judgment. This technology can provide important auxiliary value for radiologists to judge the nature of SSN.
文章引用:马雅丽. 人工智能技术对肺部亚实性结节检出及定性 诊断效能评估[J]. 临床医学进展, 2026, 16(3): 826-833. https://doi.org/10.12677/acm.2026.163853

1. 引言

肺癌是全球癌症相关死亡最常见的原因,近年来在我国肺癌的发病率和死亡率呈上升态势[1] [2],随着高分辨率CT应用以及低剂量CT筛查的普及,可以通过早发现、早诊断、早治疗明显提高肺癌患者生存率。在CT图像上,亚实性肺结节(sub-solid nodule, SSN)定义为直径3 cm及以下的圆形或不规则,边界清楚或不清楚、病变未完全掩盖其内潜在肺实质结构的阴影。根据其内有无实性成分分为纯磨玻璃结节(pureground-glass nodules, pGGN)和部分实性结节(part-solid nodules, PSN) [3] [4]。随着影像学技术的飞速发展,SSN的检出率显著提高,与此同时,放射科医生工作量的增加,也存在一定的误诊率和漏诊率。SSN的恶性率远高于实性结节,其病理亚型复杂,包括不典型腺瘤样增生(AAH)、原位腺癌(AIS)、微浸润腺癌(MIA)及浸润性腺癌(IAC)等,不同亚型的治疗方案和预后差异显著,精准鉴别对临床诊疗至关重要。近些年来,人工智能技术在肺结节筛查领域的应用逐渐广泛。近些年来,通过人工智能技术在肺结节筛查领域的应用,为提高放射科医生的诊断效能提供了新途径。本研究回顾性分析2019年1月~2025年5月天津市南开大学附属北辰医院放射科接诊的280例SSN患者,对比人工阅片、AI阅片、医生 + AI联合阅片三组阅片方式的诊断效能,分析AI对不同病理亚型的鉴别能力,并定性探讨AI及人工阅片的误诊、漏诊原因,结合典型图像佐证,旨在为AI技术在临床的合理应用提供更全面的依据,提高放射科医师对SSN的诊断水平。

2. 材料与方法

2.1. 研究对象

本研究已获得医院伦理委员会批准。分别采用AI阅片及医师阅片判读202例确诊肺癌SSN患者及78例良性SSN患者胸部CT。其中男性187例,女性93例,平均年龄59.23 ± 7.18岁,有吸烟史237例。202例肺癌患者中包含pGGN、PSN患者各101例。病理亚型包括AAH 12例、AIS 35例、MIA 48例、IAC 107例;78例良性SSN患者中,pGGN、PSN患者各39例,病理类型为炎性结节、肺内淋巴结、纤维化结节等。纳入标准:(1) 符合肺亚实性结节诊断标准[5] [6]。(2) 年龄 ≥ 18岁。(3) 经肺结节穿刺或手术切除病理确诊。(4) 临床资料完整。排除标准:(1) 肺内转移性病灶。(2) 5年内有肿瘤病史。(3) 伴有肺部弥漫性病变。

2.2. 图像采集

患者常规取仰卧位,采用联影uCT960 + 或西门子64排螺旋CT机于吸气末屏气后行胸部低剂量螺旋CT扫描,范围从胸廓入口至膈底。参数设置:管电压120kV,管电流为自动毫安秒,螺距:1.375:1,扫描层厚及层间距均为5 mm,矩阵512 × 512,扫描视野(CFOV) 363 mm,将扫描后的原始图像及重建层厚1 mm的薄层肺窗图像的DICOM数据(肺窗:窗宽1500 HU,窗位 600 HU;纵隔窗:窗宽350 HU,窗位40 HU)传输至PACS工作站和AI辅助系统。

2.3. 图像分析及阅片方法

本研究设置三组阅片方式,明确各组定义,保证诊断结果的独立性和可比性。(1) AI单独阅片组:采用深睿医疗Dr. Wise®AI医学辅助诊断系统,其基于深度学习的多尺度、多任务的3D卷积神经网络,通过对SSN直径、CT值及征象(分叶征、毛刺、胸膜牵拉等)信息分析,提升对结节分类和预测,如显示SSN恶性概率 > 70%,该结节诊断为恶性[7]。(2) 人工单独阅片组:由2名具有5年以上工作经验的放射科主治医师,参照《肺结节诊治中国专家共识(2024年版)》[8]相关诊断标准,通过双盲对患者胸部CT薄层图像(层厚1.0 mm)进行阅片,并结合AI辅助阅片结果、患者病史以及实验室检查结果,对SSN的良恶性进行综合判断,若两位医师初判结果不一致,则上级医师复核,直至达成一致,阅片过程中不参考AI任何结果。(3) 医生 + AI联合阅片组:上述2名放射科主治医师在参考AI单独阅片的结果(包括结节定位、良恶性判断、恶性概率及特征分析)后,结合CT图像、患者病史及实验室检查结果,对SSN良恶性进行综合判断,意见不一致时由上级医师复核确定最终诊断。

2.4. 统计学方法

本研究采用SPSS25.0对相关数据进行统计学分析。分类变量使用卡方检验,计量资料以χ ± s表示,计数资料以频数表示。采用Kappa检验评估三组阅片方法与病理金标准诊断结果之间的一致性,Kappa值 ≥ 0.8为一致性极好,0.6~0.79为一致性较好,0.4~0.59为一致性一般,<0.4为一致性较差;分别计算三组对恶性亚实性肺结节及不同病理亚型诊断的准确度、特异度及灵敏度,比较组间差异,当P < 0.05时有统计学意义。同时对AI及人工阅片的误诊、漏诊病例进行定性分析,总结其特征及原因,并选取典型误诊、漏诊病例的CT图像进行展示佐证。

3. 结果

3.1. 三组阅片对SSN整体良恶性诊断效能比较

AI单独阅片对pGGN、PSN的恶性检出率分别为95.0%、96.0%,人工单独阅片分别为74.3%、73.3%,医生 + AI联合阅片分别为98.0%、98.1%,三组间比较差异均有统计学意义(P < 0.05)。医生 + AI联合阅片组的准确度、敏感度、特异度均为三组最优,AI单独阅片组优于人工单独阅片组,见表1表2

Table 1. Diagnostic efficacy of three groups of film reading methods for malignant pGGN (%, n/n)

1. 三组阅片方式对恶性pGGN的诊断效能(%, n/n)

阅片方式

准确度

灵敏度

特异度

Kappa

P值

人工单独阅片

73.6 (103/140)

74.3 (75/101)

71.8 (28/39)

0.412

<0.01

AI单独阅片

92.1 (129/140)

95.0 (96/101)

94.8 (37/39)

0.846

<0.01

医生 + AI联合阅片

97.9 (137/140)

98.0 (99/101)

97.4 (38/39)

0.915

<0.01

χ2

35.26

32.15

12.38

-

-

P值

<0.05

<0.05

<0.01

-

-

Table 2. diagnostic efficacy of three groups of film reading methods for malignant PSN (%, n/n)

2. 三组阅片方式对恶性PSN的诊断效能(%, n/n)

阅片方式

准确度

灵敏度

特异度

Kappa

P值

人工单独阅片

72.9 (102/140)

73.3 (74/101)

71.8 (28/39)

0.400

<0.01

AI单独阅片

92.9 (130/140)

93.1 (94/101)

92.3 (36/39)

0.828

<0.01

医生 + AI联合阅片

97.1 (136/140)

98.1 (99/101)

94.9 (37/39)

0.902

<0.01

χ2

38.52

30.42

8.65

-

-

P值

<0.05

<0.05

<0.01

-

-

3.2. AI 单独阅片对SSN不同病理亚型的鉴别表现

AI单独阅片对不同病理亚型的检出及鉴别存在明显差异:对IAC的检出率最高(99.1%, 106/107),对MIA的检出率为93.8% (45/48),对AIS的检出率为88.6% (31/35),对AAH的检出率为75.0% (9/12)。AI的误诊病例主要集中于AAH过度诊断及MIA与IAC鉴别偏差:12例AAH中,3例被AI误判为MIA,恶性概率评估为72%~85%;48例MIA中,2例被误判为IAC,1例IAC被误判为MIA;无AIS被误判为浸润性癌的情况。整体来看,AI对浸润性病变(MIA, IAC)的鉴别准确性高于前驱病变(AAH, AIS),对AAH的过度诊断为主要亚型误诊类型。

3.3. 人工单独阅片误诊漏诊特征分析

人工单独阅片共漏诊恶性SSN 27例(pGGN 26例、PSN 27例),误诊良性SSN 11例,整体误诊漏诊率显著高于AI单独阅片。其主要原因相关的病例特征为:(1) 细微征象识别不足:15例漏诊病例存在轻微分叶、毛刺征,但因征象不典型,人工阅片未发现,其中以pGGN为主。(2) 视觉疲劳与注意力偏差:8例漏诊病例为多发SSN,人工阅片识别出主要病灶后,遗漏了次要的微小恶性病灶。(3) 主观经验差异:11例误诊病例中,7例因年轻医师对不典型良性结节的特征认识不足,误判为恶性,4例因过度考虑患者吸烟史等临床因素,对良性炎性结节做出恶性判断。

3.4. 典型误诊漏诊图像佐证

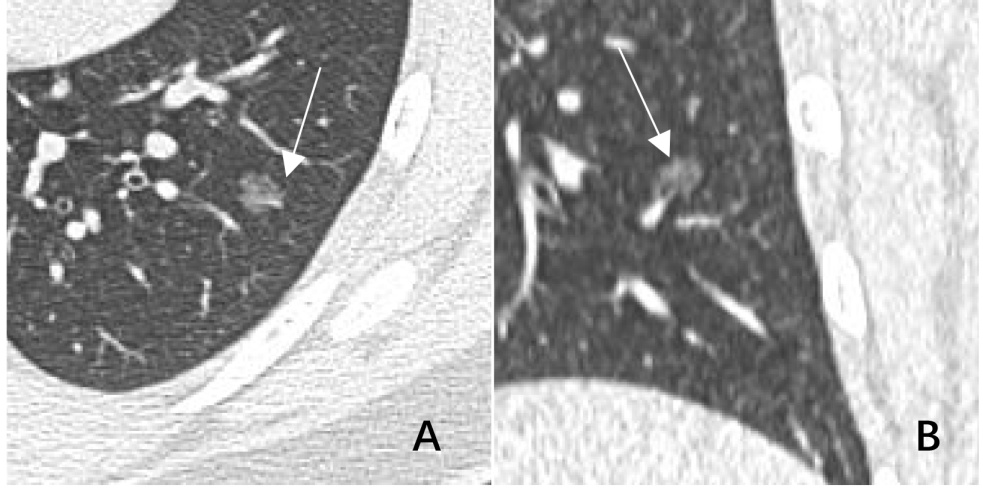
1) 右肺上叶肺尖部直径约3 mm pGGN (见图1),与肋骨轻度重叠,表现为极低密度磨玻璃影,AI未识别病灶(A,轴位,箭头;B,冠状位,箭头)。

Figure 1. Typical image of AI missed diagnosis

1. AI 漏诊典型图像

2) 右肺上叶直径6 mm约pGGN (见图2),无明显分叶毛刺,AI判定为MIA,恶性概率78%,后经病理证实为AAH (A,轴位,箭头;B,冠状位,箭头)。

Figure 2. Typical images of AI misdiagnosis

2. AI误诊典型图像

3) 右肺中叶直径约7 mm pGGN (见图3),边缘轻度胸膜牵拉,人工阅片误判为恶性(A,轴位,箭头;B,冠状位,箭头)。

Figure 3. Typical images of misdiagnosis in manual film reading

3. 人工阅片误诊典型图像

4. 讨论

在世界范围内,肺癌是导致癌症发病和死亡的首要原因,我国面临的形势尤为紧迫。为此,开展系统性的筛查,实现早期发现、及时诊断与早期干预,已成为控制人群肺癌死亡率的有效措施[9]。Fleischner协会将肺部亚实性结节(sub-solid nodule, SSN)的放射学定义为是一种具有可变实性成分的肺结节,其实质性成分为在CT肺窗上可以掩盖支气管或肺血管结构的影像。SSN的恶性率要远远高于实性结节(solid nodule, SN) [10] [11],近年来,随着影像诊断技术的发展与进步,计算机断层扫描(CT)凭借非侵入性、可重复性、费用相对合理且患者依从性较高等优势,已成为肺癌早期筛查与诊疗流程中的关键手段。近年来,得益于低剂量CT筛查的广泛应用[12] [13],越来越多的早期肺癌病例在影像上表现为亚实性肺结节而被识别[14] [15]

当前随着工作量日益加重,放射科医师对结节的检出及评估存在一定的漏诊与误诊问题。在本研究检出SSN过程中,医生 + AI联合阅片组诊断效能为三组最优,一致性达极好水平,证实了AI技术在SSN诊断中的辅助价值,也表明人工阅片的临床经验与AI的精准识别结合,能实现1 + 1 > 2的诊断效果,同时降低了误诊率及漏诊率[16] [17]。人工智能的技术原理是基于机器学习(machine learning, ML)与深度学习(deep learning, DL)算法,通过计算机相关软件自动提取原始数据中的特征、对信息进行识别、分类,以非线性模块化的方式,不断学习到多个层次上的特征,形成可靠辅助诊断能力[18],简言之,AI技术依托深度学习能精准提取肺结节影像中有重要诊断价值的微观特征[19] [20],而放射科医师凭借丰富临床经验,可纠正AI的假阳性、假阴性结果,识别AI漏诊的特殊位置、极小病灶,重新判断 AI 过度诊断的 AAH,故而联合阅片能显著降低误诊漏诊率,成为临床最具应用价值的阅片模式。

研究发现AI对SSN不同病理亚型的鉴别能力存在差异,误诊病例主要集中于AAH过度诊断及MIA与IAC的鉴别偏差,该结果为临床应用AI提供了重要参考。AI对IAC的检出率接近100%,因IAC具备明显分叶、毛刺等典型恶性CT征象,易被算法精准提取;而AAH作为肺癌前驱病变,CT仅表现为单纯磨玻璃影,无明显恶性征象,与良性炎性磨玻璃结节及AIS难以区分,加之算法对前驱病变的特征提取和分类模型尚未完善,对良恶性磨玻璃影的边界特征识别不足,AI易将其过度诊断为MIA。MIA与IAC的鉴别偏差,主要因部分MIA的少量实性成分与早期IAC的CT表现重叠,AI对实性成分比例及侵袭性特征的判断精准度不及人工阅片,而医师可结合结节生长速度、实性成分形态等临床信息综合判断,这也是联合阅片效能更优的重要原因。此外,AI未出现将AIS误判为浸润性癌的情况,说明其对AIS的良性特征识别具有一定优势,能有效避免过度诊疗。

本研究中AI的漏诊率约5%,漏诊病例均具有明确特征性,核心原因集中在三方面:一是病灶最大径 < 5 mm时特征信息少,AI特征提取算法难以有效识别,这是其在微小病灶检测中的固有局限性;二是位于肺尖与肋骨重叠处、肺门旁与血管相邻的病灶,易被周围组织遮挡,AI图像分割算法难以将其与周围组织有效分离;三是极低密度磨玻璃影与正常肺组织CT值差异小、边界模糊,AI难以区分二者差异,易判定为良性改变。AI的误诊主要为AAH的过度诊断,除病理亚型特征重叠外,还与训练数据集相关,目前训练数据中恶性结节占比相对较高,良性前驱病变样本量积累不足,导致算法对AAH的特征识别存在偏差、恶性概率评估偏高,同时AI未纳入结节生长速度、患者年龄及吸烟史等临床信息进行分析,也是误诊的重要原因。

人工单独阅片与金标准的一致性仅为一般水平,误诊漏诊率显著高于AI,核心源于主观因素及细微特征识别能力的局限性:一是不同医师的SSN诊断经验存在差异,对不典型征象的判断有偏差,年轻医师易将良性结节判定为恶性,资深医师可能因过度谨慎遗漏微小恶性病灶;二是放射科医师日常工作量大,长时间阅片易产生视觉疲劳,对多发结节中的微小病灶、不典型征象注意力不足,进而导致漏诊;三是人眼对微小的分叶、毛刺征及极低密度磨玻璃影的识别能力有限,无法像AI一样提取多维度量化特征,对细微征象的判断易出现失误;四是部分医师易过度考虑患者吸烟史、肿瘤家族史等临床因素,对良性结节作出恶性判断,造成误诊。本研究存在一定的局限性,一方面,由于样本量的限制会对研究结果产生一定的偏差;另一方面,在实际临床应用中,由于医师水平不同,以及视力疲劳等主观原因,导致对SSN的检出及诊断造成一定影响。通过上述结果表明AI技术与影像学的结合在SSN成像中展现出巨大潜力,相对人工阅片的优势主要体现在可以快速检出以及给出良恶性的判断,有效减轻了放射科医师的工作负担,显著提高了诊断效率,并且通过算法的自动识别以及突出可疑成像特征区域,辅助放射科医师重点关注、有利于降低误诊率及漏诊率。此外AI技术有助于降低因医师间的主观偏差、不同影像设备的图像质量差异以及SSN异质性等方面带来的影响。

然而,尽管AI技术在影像诊断领域已取得显著进展,目前仍存在若干问题亟待进一步解决。现阶段各个AI模型在医疗应用中还处于初级阶段,会导致假阳性结果的出现,其特异度、准确度均需要进一步的提高[21],同时放射科医师也应结合自身理论知识及工作经验做出准确的诊断,综上所述,通过计算机断层扫描检查联合AI技术辅助诊断,对SSN的诊断表现出较高的综合性能,其准确率、灵敏度、特异度均优于人工阅片,与手术病理诊断结果具有较好的一致性。在此,本研究阐明了AI技术在SSN临床应用中的重要价值,在日后随着大数据积累以及算法模型持续优化下,AI技术将得以更快的发展,未来关于SSN的AI研究将持续深入,在放射科医师以及结合AI辅助系统协同诊断下,将进一步有效地提高工作效率以及诊断质量,为更多肺癌患者争取早期干预及诊治机会。

参考文献

[1] Shi, Y., Shen, Y., Chen, J., et al. (2024) Value of CT Quantitative Parameters in Prediction of Pathological Types of Lung Ground Glass Nodules. Chinese Journal of Lung Cancer, 27, 118-125.
[2] Sung, H., Ferlay, J., Siegel, R.L., Laversanne, M., Soerjomataram, I., Jemal, A., et al. (2021) Global Cancer Statistics 2020: GLOBOCAN Estimates of Incidence and Mortality Worldwide for 36 Cancers in 185 Countries. CA: A Cancer Journal for Clinicians, 71, 209-249. [Google Scholar] [CrossRef] [PubMed]
[3] Bankier, A.A., MacMahon, H., Colby, T., Gevenois, P.A., Goo, J.M., Leung, A.N.C., et al. (2024) Fleischner Society: Glossary of Terms for Thoracic Imaging. Radiology, 310, e232558. [Google Scholar] [CrossRef] [PubMed]
[4] 崔效楠, 范舒璇, 张嘉凝, 等. 肺亚实性结节的个性化管理研究进展[J]. 临床放射学杂志, 2022, 41(9): 1792-1795.
[5] Lee, J.H., Lim, W.H. and Park, C.M. (2024) Growth and Clinical Impact of Subsolid Lung Nodules ≥ 6 mm during Long-Term Follow-Up after Five Years of Stability. Korean Journal of Radiology, 25, 1093-1099. [Google Scholar] [CrossRef] [PubMed]
[6] 贺祎凡, 熊梓琦, 张靖雨, 等. 薄层CT预判肺亚实性结节长期随访过程中生长的危险因素[J]. 临床放射学杂志, 2023, 42(12): 1907-1912.
[7] 胡春洪, 赖爽, 秦正英, 等. 深睿人工智能基于CT影像学的肺结节(直径 ≤ 10 mm)早期影像特征分析[J]. 重庆医科大学学报, 2022, 47(4): 473-478.
[8] 中华医学会呼吸病学分会, 中国肺癌防治联盟专家组. 肺结节诊治中国专家共识(2024年版) [J]. 中华结核和呼吸杂志, 2024, 47(8): 716-729.
[9] 赫捷, 李霓, 陈万青, 等. 中国肺癌筛查与早诊早治指南(2021, 北京) [J]. 中国综合临床, 2021, 37(3): 193-207.
[10] 周清华, 范亚光, 王颖, 等. 中国肺部结节分类、诊断与治疗指南(2016年版) [J]. 中国肺癌杂志, 2016, 19(12): 793-798.
[11] Kauczor, H. and von Stackelberg, O. (2019) Subsolid Lung Nodules: Potential for Overdiagnosis. Radiology, 293, 449-450. [Google Scholar] [CrossRef] [PubMed]
[12] 范亚光, 周清华, 乔友林, 等. 中国肺癌低剂量CT筛查指南(2023年版) [J]. 中国肺癌杂志, 2023, 26(1): 1-9.
[13] Becker, N., Motsch, E., Trotter, A., Heussel, C.P., Dienemann, H., Schnabel, P.A., et al. (2019) Lung Cancer Mortality Reduction by LDCT Screening—Results from the Randomized German LUSI Trial. International Journal of Cancer, 146, 1503-1513. [Google Scholar] [CrossRef] [PubMed]
[14] Chen, F., Li, J., Li, L., Tong, L., Wang, G. and Zou, X. (2024) Multidimensional Biological Characteristics of Ground Glass Nodules. Frontiers in Oncology, 14, Article ID: 1380527. [Google Scholar] [CrossRef] [PubMed]
[15] Zhang, Y., Jheon, S., Li, H., Zhang, H., Xie, Y., Qian, B., et al. (2020) Results of Low-Dose Computed Tomography as a Regular Health Examination among Chinese Hospital Employees. The Journal of Thoracic and Cardiovascular Surgery, 160, 824-831.e4. [Google Scholar] [CrossRef] [PubMed]
[16] Barragán-Montero, A., Javaid, U., Valdés, G., Nguyen, D., Desbordes, P., Macq, B., et al. (2021) Artificial Intelligence and Machine Learning for Medical Imaging: A Technology Review. Physica Medica, 83, 242-256. [Google Scholar] [CrossRef] [PubMed]
[17] Thoracic Surgery Committee, Department of Simulated Medicine, Wu Jieping Medical Foundation. 人工智能在肺结节诊治中的应用专家共识(2022年版) [J]. 中国肺癌杂志, 2022, 25(4): 219-225.
[18] Wang, F., Casalino, L.P. and Khullar, D. (2019) Deep Learning in Medicine—Promise, Progress, and Challenges. JAMA Internal Medicine, 179, 293-294. [Google Scholar] [CrossRef] [PubMed]
[19] Chen, R.J., Lu, M.Y., Williamson, D.F.K., Chen, T.Y., Lipkova, J., Noor, Z., et al. (2022) Pan-Cancer Integrative Histology-Genomic Analysis via Multimodal Deep Learning. Cancer Cell, 40, 865-878.e6. [Google Scholar] [CrossRef] [PubMed]
[20] 刘琛, 方泽民, 邵佐良, 等. 人工智能辅助诊断肺结节临床应用与研究进展[J]. 中国胸心血管外科临床杂志, 2025, 32(6): 846-854.
[21] Silva, M., Schaefer-Prokop, C.M., Jacobs, C., Capretti, G., Ciompi, F., van Ginneken, B., et al. (2018) Detection of Subsolid Nodules in Lung Cancer Screening: Complementary Sensitivity of Visual Reading and Computer-Aided Diagnosis. Investigative Radiology, 53, 441-449. [Google Scholar] [CrossRef] [PubMed]