妊娠相关性乳腺癌合并多种并发症一例报告
A Case Report of Pregnancy-Associated Breast Cancer Complicated with Multiple Comorbidities
摘要: 本文报道1例36岁G1P0孕37 + 5周女性患者,既往有脊髓灰质炎后遗症及营养不良史,因左乳巨大实性肿物伴腋窝淋巴结肿大半天入院,同时合并右肾重度积水、中度贫血。经多学科会诊评估,行剖宫产术后即刻乳腺穿刺活检,病理确诊为III级浸润性导管癌(Luminal B型)。患者基础状况差,术后予卵巢功能抑制剂联合选择性雌激素受体调节剂内分泌治疗。出院后失访,仅电话随访自述左乳肿块略缩小、疼痛可耐受,肿瘤疗效及手术可切除性有待进一步评估。合并严重基础疾病与多系统受累的妊娠期相关乳腺癌,采用个体化多学科协作诊疗,是保障母婴安全、改善预后的关键,可为复杂妊娠合并恶性肿瘤的临床处置提供参考。
Abstract: This paper reports a 36-year-old G1P0 female patient at 37 + 5 weeks of gestation, with a history of poliomyelitis sequelae and malnutrition. She was admitted due to a huge solid mass in the left breast with axillary lymphadenopathy for half a day, accompanied by severe right hydronephrosis and moderate anemia. After multidisciplinary team (MDT) evaluation, cesarean section was performed followed by immediate breast core-needle biopsy. Pathology confirmed grade III invasive ductal carcinoma (Luminal B type). Given her poor general condition, the patient received endocrine therapy combining ovarian function suppression (OFS) with a selective estrogen receptor modulator (SERM) postoperatively. She was lost to follow-up after discharge, and only telephone follow-up revealed a slight reduction in the left breast mass and tolerable pain. Antitumor efficacy and resectability require further evaluation. For pregnancy-associated breast cancer (PABC) complicated by severe comorbidities and multi-system involvement, individualized MDT management is crucial to ensure maternal-infant safety and improve prognosis, providing a reference for the clinical management of complex pregnancy with malignant tumors.
文章引用:肖莹莹, 况雪芊, 李玥涵, 刘海智. 妊娠相关性乳腺癌合并多种并发症一例报告[J]. 临床医学进展, 2026, 16(3): 1000-1007. https://doi.org/10.12677/acm.2026.163873

1. 引言

妊娠相关性乳腺癌(Pregnancy-Associated Breast Cancer, PABC)是指在妊娠期间或产后1年内确诊的乳腺癌,其发病率约为19.2/10万孕妇,且随着生育年龄的推迟呈上升趋势[1] [2]。由于妊娠期乳房生理性充血、腺体增生,乳腺肿瘤的早期症状常被掩盖,导致多数PABC患者确诊时已处于晚期或伴有淋巴结转移,预后往往较非妊娠期乳腺癌差[1] [3]。此外,PABC的治疗需在控制肿瘤进展与保障胎儿安全之间寻求平衡,决策过程极为复杂。

当PABC患者合并其他严重的慢性基础疾病时,诊疗难度将进一步增加。脊髓灰质炎后遗症可导致肢体肌肉萎缩、运动功能障碍及机体代谢异常,而妊娠期合并重度肾积水则可能引发泌尿系感染或肾功能损害[4] [5]。目前,关于PABC合并脊髓灰质炎后遗症及多系统病变的病例报道极为罕见,缺乏统一的循证医学指导。

本文报道一例36岁初产妇,在脊髓灰质炎后遗症及重度营养不良的基础上,妊娠晚期被确诊为左侧乳腺浸润性导管癌III级合并右肾重度积水。本病例详细记录了通过多学科协作(MDT)制定“先终止妊娠、后针对性抗肿瘤”的个体化诊疗全过程,旨在探讨复杂背景下PABC的临床特征、风险评估及综合管理策略,为类似病例的临床实践提供参考。

2. 病例展示

2.1. 现病史

患者36岁,G1P0,因“停经37 + 5周,发现左乳肿物半天”于2025年5月19日入院。末次月经2024年8月28日,预产期2025年6月4日。

产科及全身情况:孕早期NT (1.4 mm)、无创产前检测(NIPT)、甲状腺功能、病毒筛查、地中海贫血筛查及口服葡萄糖耐量试验(OGTT)等均未见异常。孕中期血常规示中度贫血,予多糖铁复合物治疗。患者脊髓灰质炎病史20余年,停经10周后双下肢无力加重至无法行走;14周后出现体位性水肿,休息可缓解。

肾脏病变:2025年2月14日(孕24 + 2周)外院超声示右肾重度积水,无叩痛及其他症状,未予特殊处理。停经32周转入我院产检。

乳腺病变:患者2024年曾自触及左乳肿物,自行中药治疗,未规范就医。2025年4月14日(孕32 + 5周)自觉左乳刺痛;4月21日(孕33 + 5周)出现乳头淡黄色溢液及肿物增大,未及时就诊。5月19日门诊超声示左乳巨大实性高回声肿块伴腋窝淋巴结肿大,遂拟“重度肾积水、乳腺肿瘤”收入院。入院时一般情况尚可,大小便正常,孕期体重增加10 kg。

2.2. 既往史

14岁确诊脊髓灰质炎,行4次骨科手术(双下肢内固定术后1年取出),现为后遗症期,表现为四肢肌萎缩,孕前呈跛行状态。父母均有糖尿病史。

2.3. 体格检查

身材矮小,身高149 cm,体重40 kg,BMI 18 kg/m2。重度营养不良貌,面色苍白,被迫坐位。四肢肌肉萎缩,肌力II~III级,双下肢中度水肿,无法站立。

乳腺检查:左乳外上及外下象限触及6 cm × 5 cm实性肿物,质硬,形态不规则,边界不清,活动度差,无红肿及溢液。

产科及其他:双肾区无叩痛。宫高32 cm,腹围82 cm;胎心监护反应型;头位,偶发宫缩。

2.4. 辅助检查

实验室检查(2025-05-19):Hb 78 g/L,Hct 25.9%,WBC 3.67 × 109/L,PLT 286 × 109/L。肝肾功能:ALT 13 U/L,AST 26 U/L,TBIL 6.9 μmol/L,ALB 36.6 g/L,PA 191.0 mg/L,Cr 31.5 μmol/L,eGFR 139.6 ml/min。肿瘤标志物:CA15-3 203.1 U/mL↑,CA125 18.4 U/mL,CEA 3.58 ng/mL。

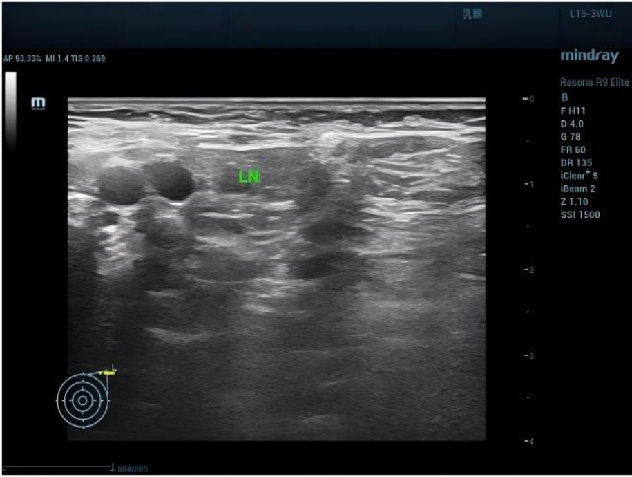
乳腺超声(2025-05-19):左乳见61 mm × 56 mm × 48 mm实性高回声肿块,边界欠清,形态不规则,内见多发无回声区及强回声点,血流信号丰富。左腋窝见多发低回声团(最大5 mm × 9 mm),皮髓质分界不清。提示:双腋窝副乳;左乳BI-RADS 4C类;右乳BI-RADS 1类(见图1(A)图1(B))。

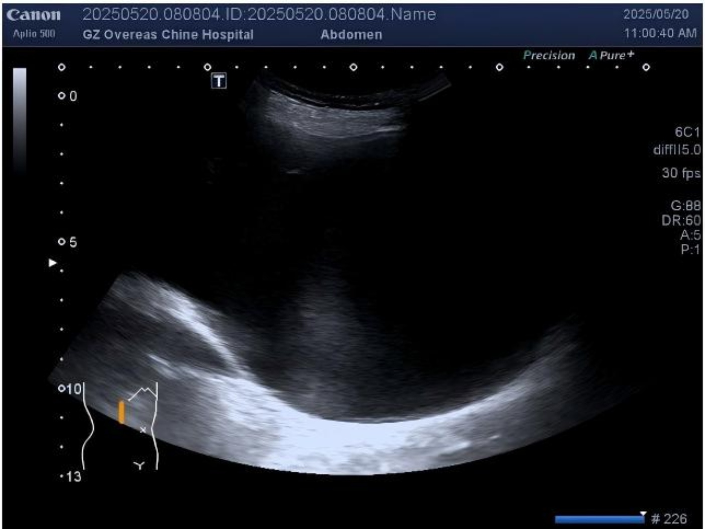
泌尿系超声(2025-05-20):左肾轻度积水(集合系统分离22 mm);右肾重度积水(集合系统分离98 mm),皮质变薄(厚约2.3 mm),结构不清。膀胱未见异常(见图2)。

2.5. 入院诊断

1) 妊娠合并左侧乳腺肿瘤;2) 妊娠合并右肾重度积水;3) 重度营养不良伴消瘦;4) 妊娠合并中度贫血;5) 高龄初产妇(G1P0,孕37 + 5周,头位,单活胎);6) 脊髓灰质炎后遗症。

2.6. 治疗经过

2025年5月19日入院后,完善胎儿、心脏、泌尿系、肝胆胰脾、甲状腺及双下肢血管超声等检查。经乳腺外科、泌尿外科、肾内科、骨科、新生儿科及麻醉科多学科会诊(MDT),制定“先剖宫产终止妊娠,再针对性治疗乳腺肿瘤及肾积水”的诊疗方案。术前于5月20日、21日分次输注悬浮红细胞共2U以纠正贫血,并完成预防感染及血栓筛查。5月22日在腰硬联合麻醉下行子宫下段剖宫产 + 双侧输卵管结扎术,娩出一男婴(体重2700 g,Apgar评分9-10-10分),术中出血约200 ml。术后即刻由乳腺外科行左乳肿物穿刺活检。

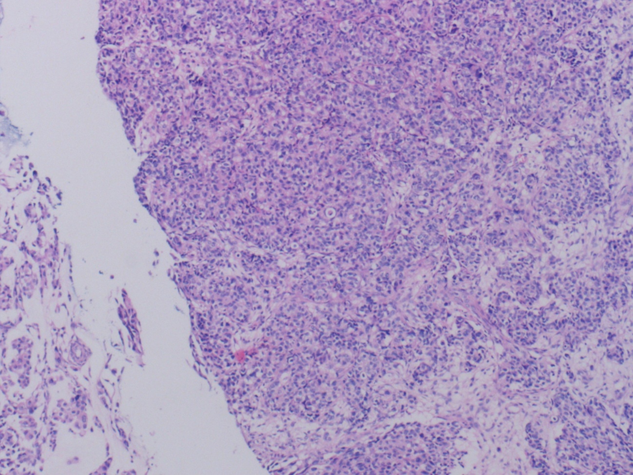
术后予促宫缩、抗感染、回乳、低分子肝素抗凝及促排气等对症治疗。术后病理(左乳肿物):镜下见异型细胞呈巢片状浸润生长,细胞异型性明显,核分裂像易见。免疫组化结果:ER (约50%中–强+),PR (约30%强+),Her-2 (+),AR (约60%中–强+),E-cad (膜+),P120 (膜+),CK5/6 (−),P63 (−),EGFR (−),P53 (约20%中等+),Ki-67 (约30%+)。病理诊断:浸润性导管癌III级(ESBR评分:腺管结构3分,胞核2分,核分裂像3分,总分8分) (见图3)。进一步FISH检测提示Her-2基因无扩增(见图4)。

(A) (B)

Figure 1. (A) Color Doppler ultrasonography of the left breast demonstrating prominent vascularity within a focal lesion; (B) Grayscale ultrasound of the left axillary region showing a round-shaped lymph node (LN) with a clear boundary but an indistinct corticomedullary differentiation

1. (A) 左侧乳腺彩色多普勒超声提示:乳腺内局灶性病变区域血流信号丰富;(B) 左侧腋窝区灰阶超声示:可见类圆形淋巴结(LN),边界清晰,皮髓质分界欠清

Figure 2. Ultrasound of the right kidney showing significant dilation of the renal pelvis and calyces, presenting as anechoic areas, suggesting hydronephrosis

2. 右肾超声示:肾盂肾盏扩张明显,呈无回声区,提示肾积水

Figure 3. Hematoxylin and eosin (H&E) staining of the breast biopsy showing infiltrative growth of atypical cells, consistent with invasive breast carcinoma

3. 乳腺活检HE染色示:异型细胞呈浸润性生长,符合浸润性乳腺癌

Figure 4. FISH testing showing no amplification of the HER2 gene

4. FISH检测提示HER2基因无扩增

2.7. 治疗结果与随访

患者术后一般情况恢复平稳,复查血红蛋白升至87 g/L,D-二聚体降至正常范围,于2025年5月31日出院。出院后1个月于乳腺外科门诊随诊,建议行“醋酸戈舍瑞林缓释植入剂3.6 mg + 枸橼酸托瑞米芬片60 mg qd”内分泌治疗,并计划于8~12周复评肿瘤反应及手术时机。此后患者未按计划回院复诊,院内缺乏体格检查、影像学及肿瘤标志物等客观评估资料;经电话随访获知其未规律用药并曾自行改为中药治疗,现已停药。患者自述左乳肿块较前略缩小、伴可耐受疼痛,拟于2026年3月返院评估手术指征。婴儿未规律儿保随访,家属及患者自述目前生长发育无明显异常。

3. 讨论

本病例报道了一名36岁女性患者,因“停经37 + 5周,发现乳腺肿物半天”就诊,经影像学及病理确诊为“左侧乳腺浸润性导管癌III级、妊娠合并右肾重度积水”,同时伴有脊髓灰质炎后遗症导致的多系统受累。该病例具有“妊娠合并恶性肿瘤”与“严重基础疾病叠加”的双重复杂性,现结合最新研究进展及指南,对其临床特征、诊疗策略及发病机制讨论如下。

3.1. 病例核心特征与临床特殊性分析

本例患者的临床特殊性主要体现在三个维度。首先,妊娠合并恶性肿瘤的罕见性。妊娠期乳腺癌(PABC)定义为妊娠期间或产后1年内确诊的乳腺癌[1],全球发病率约为19.2/10万孕妇[2]。本例患者孕晚期确诊浸润性导管癌III级,属典型PABC,且肿瘤负荷大(6 cm × 5 cm)、伴淋巴结转移,病情隐匿。其次,基础疾病与妊娠并发症叠加的复杂性。患者有20余年脊髓灰质炎后遗症史,孕期出现进行性双下肢无力及水肿,并合并右肾重度积水及贫血,多系统受累极大地增加了围产期管理难度。第三,病理表型的警示意义。病理提示浸润性导管癌III级(ESBR 8分),免疫表型为Luminal B型(ER +、PR+、Her-2阴性、Ki-67高表达) [6]。高Ki-67指数(30%)提示肿瘤增殖活跃,预后相对较差[7],这对制定后续治疗方案提出了更高要求。

3.2. 与现有研究现状及指南的对比分析

PABC的诊断依据《中国妊娠期与哺乳期乳腺癌临床实践指南(2022版)》[8],遵循“临床触诊 + 乳腺超声 + 病理活检”路径。本例经超声提示BI-RADS 4C类后行穿刺活检确诊,符合指南规范。PABC常因妊娠期乳腺生理性改变掩盖症状,导致确诊延迟,约53%~71%的患者确诊时已发生淋巴结转移[1] [3],本例“左侧腋窝多发淋巴结肿大”印证了这一特点。此外,孕妇肾积水发生率约30%,多因右旋子宫压迫输尿管导致右侧多见[4] [5]。本例虽诊断为重度肾积水,但无感染或肾绞痛症状,肾功能正常,相关研究表明,首选保守治疗[9],可待产后进一步评估治疗。

关于风险因素,PABC与高龄、家族史、乳腺密度等相关[10] [11],初产妇风险可能更高[12]。本例患者具备高龄初产、糖尿病家族史等高危因素,糖尿病家族史与乳腺癌的增殖风险之间存在复杂的关联,这涉及遗传易感性、代谢因素以及激素环境等多个层面。现有研究表明,糖尿病本身与乳腺癌的发生和进展风险增加相关,而家族史则在识别高危个体方面发挥着重要作用[13]-[15]。此外,脊髓灰质炎后遗症导致的长期活动受限及营养不良(BMI 18 kg/m2),可能通过免疫机制影响肿瘤进展,值得进一步探讨。

治疗决策方面,依据《妊娠相关性乳腺癌临床诊治专家共识(2020版)》[16],孕35周以上建议“先终止妊娠,再抗肿瘤”。本例经MDT评估,选择剖宫产后处理肿瘤,符合伦理与指南要求。围术期针对贫血及血栓风险采取了纠正贫血及抗凝措施[17]。本例肿瘤为ER/PR阳性、HER2基因未扩增,具备内分泌治疗敏感性的生物学基础[18];同时患者合并重度营养不良、贫血、严重肾积水及脊髓灰质炎后遗症,围手术期与化疗相关不良事件风险显著升高。在此背景下,团队将“降低围治疗风险、争取肿瘤降期并为后续根治手术创造条件”作为阶段性目标,选择以卵巢功能抑制剂(OFS)联合选择性雌激素受体调节剂(SERMs)作为过渡治疗更符合“在可控毒性前提下争取肿瘤控制”的原则[19]。指南指出,激素受体阳性患者应接受内分泌治疗以降低复发风险[6]

预后方面,PABC通常比非妊娠期乳腺癌预后更差[20]。本例患者术后初期恢复良好,但依从性较差,在复杂妊娠合并肿瘤患者中,“治疗可及性与依从性”可能与肿瘤本身同等关键。内分泌治疗依从性下降与复发、死亡风险上升相关,而常见影响因素包括:对复发风险认知不足、药物不良反应、经济负担、医患沟通不足与社会支持缺乏等[21]

结合本例病情与电话随访信息,依从性差可能由多因素叠加造成:一、躯体因素:产后恢复、下肢行动受限、合并肾积水与贫血导致复诊交通与就医成本上升;二、认知因素:对“肿块缩小”和“治愈”的理解不足,低估延误手术及系统治疗的风险;三、心理因素:对恶性肿瘤诊断的否认、焦虑、对手术的恐惧;四、社会经济因素:育儿压力、家庭照护资源不足与潜在经济毒性;五、治疗体验因素:OFS与SERM相关潮热、情绪波动、睡眠障碍等不良反应可能降低持续用药意愿[22]

对类似患者,建议采用“多组分依从性干预包”:一、出院前由MDT制定书面化“复诊时间表 + 监测清单 + 进展触发条件”,并由专人逐条核对;二、筛查经济毒性与交通可及性,必要时引入社工与救助渠道;三、将复诊与儿保、产后随访进行同日整合,减少就诊次数;四、建立电话、线上随访(如2~4周一次)与用药不良反应管理路径,提高患者对症状的可控感;五、对焦虑抑郁与灾难化认知进行早期筛查与转介;六、对明确失访风险者,优先安排“更短间隔的首次复评节点”,避免治疗窗口期丢失。现有系统综述提示,多策略干预(教育 + 沟通 + 随访提醒 + 症状管理)较单一措施更可能改善内分泌治疗依从性[23]

3.3. 病例的临床价值与研究局限性

本病例丰富了PABC合并脊髓灰质炎后遗症及复杂并发症的临床数据库,凸显了MDT模式在处理复杂妊娠合并症中的关键作用,并再次印证了妊娠期乳腺常规筛查的重要性。局限性在于:作为单病例报告,结论普适性受限;缺乏BRCA等基因检测数据;且随访时间尚短,患者治疗依从性差,对长期预后评估造成一定影响。未来需积累更多病例以深入研究此类复杂共病机制。

4. 结论

本例36岁PABC患者合并脊髓灰质炎后遗症及右肾重度积水,通过严格遵循指南并实施多学科协作(MDT),成功完成了妊娠终止及肿瘤确诊。临床医师在面对此类复杂合并症时,应强化多系统评估,结合指南制定个体化诊疗方案,但后续抗肿瘤治疗效果与预后高度依赖规律随访与治疗依从性,失访将显著限制疗效评估与手术时机把握。

致 谢

作者们衷心感谢参与治疗的医护人员。

声 明

该病例报道已获得病人的知情同意。

NOTES

*通讯作者。

参考文献

[1] Amant, F., Loibl, S., Neven, P., et al. (2012) Breast Cancer in Pregnancy. The Lancet, 379, 570-579. [Google Scholar] [CrossRef
[2] Akhlaqi, M., Ghofrani, A., Najdi, N., et al. (2025) A Systematic Review and Meta-Analysis of Pregnancy-Associated Breast Cancer Incidence Rate. BMC Cancer, 25, Article No. 660. [Google Scholar] [CrossRef] [PubMed]
[3] Al-Amri, A.M. (2015) Clinical Presentation and Causes of the Delayed Diagnosis of Breast Cancer in Patients with Pregnancy Associated Breast Cancer. Journal of Family and Community Medicine, 22, 96-100. [Google Scholar] [CrossRef] [PubMed]
[4] 王宪尧. 中晚期妊娠肾窦分离的超声观察[J]. 实用妇科与产科杂志, 1992(2): 24.
[5] Andreoiu, M. and MacMahon, R. (2009) Renal Colic in Pregnancy: Lithiasis or Physiological Hydronephrosis? Urology, 74, 757-761. [Google Scholar] [CrossRef] [PubMed]
[6] 中国抗癌协会乳腺癌专业委员会, 中华医学会肿瘤学分会乳腺肿瘤学组. 中国抗癌协会乳腺癌诊治指南与规范(2024年版) [J]. 中国癌症杂志, 2023, 33(12): 1092-1187.
[7] Bae, S.Y., Jung, S.P., Jung, E.S., et al. (2018) Clinical Characteristics and Prognosis of Pregnancy-Associated Breast Cancer: Poor Survival of Luminal B Subtype. Oncology, 95, 163-169. [Google Scholar] [CrossRef] [PubMed]
[8] 吴克瑾, 陈青, 刘荫华. 中国妊娠期与哺乳期乳腺癌临床实践指南(2022版) [J]. 中国实用外科杂志, 2022, 42(2): 146-150.
[9] Tsai, Y.L., Seow, K.M., Yieh, C.H., et al. (2007) Comparative Study of Conservative and Surgical Management for Symptomatic Moderate and Severe Hydronephrosis in Pregnancy: A Prospective Randomized Study. Acta Obstetricia et Gynecologica Scandinavica, 86, 1047-1050. [Google Scholar] [CrossRef] [PubMed]
[10] Margioula-Siarkou, G., Margioula-Siarkou, C., Petousis, S., et al. (2023) Breast Carcinogenesis during Pregnancy: Molecular Mechanisms, Maternal and Fetal Adverse Outcomes. Biology (Basel), 12, Article 408. [Google Scholar] [CrossRef] [PubMed]
[11] Lian, J. and Li, K. (2020) A Review of Breast Density Implications and Breast Cancer Screening. Clinical Breast Cancer, 20, 283-290. [Google Scholar] [CrossRef] [PubMed]
[12] Ruiz, R., Herrero, C., Strasser-Weippl, K., et al. (2017) Epidemiology and Pathophysiology of Pregnancy-Associated Breast Cancer: A Review. The Breast, 35, 136-141. [Google Scholar] [CrossRef] [PubMed]
[13] Lu, Y., Hajjar, A., Cryns, V.L., et al. (2022) Breast Cancer Risk for Women with Diabetes and the Impact of Metformin: A Meta-Analysis. Cancer Medicine, 12, 11703-11718. [Google Scholar] [CrossRef] [PubMed]
[14] Samuel, S.M., Varghese, E., Varghese, S., et al. (2018) Challenges and Perspectives in the Treatment of Diabetes Associated Breast Cancer. Cancer Treatment Reviews, 70, 98-111. [Google Scholar] [CrossRef] [PubMed]
[15] Garczorz, W., Kosowska, A. and Francuz, T. (2024) Antidiabetic Drugs in Breast Cancer Patients. Cancers (Basel), 16, Article No. 299. [Google Scholar] [CrossRef] [PubMed]
[16] 妊娠相关性乳腺癌临床诊治专家共识(2020版) [J]. 中华临床医师杂志(电子版), 2020, 14(5): 321-325.
[17] Macdonald, H.R. (2020) Pregnancy Associated Breast Cancer. The Breast Journal, 26, 81-85. [Google Scholar] [CrossRef] [PubMed]
[18] 陈青, 吴克瑾. 中国绝经前乳腺癌病人辅助内分泌治疗临床管理实践指南(2025版) [J]. 中国实用外科杂志, 2025, 45(5): 481-484+497.
[19] Zavialov, А.А., Tyryshkin, A.I. and Varlamova, S.E. (2023) Neoadjuvant Endocrine Therapy for Breast Cancer: State of the Art. Practical Oncology, 23, 395-405. [Google Scholar] [CrossRef
[20] Tan, Q.T., Alcantara, V.S., Sultana, R., et al. (2023) Pregnancy-Associated Breast Cancer: A Multicenter Study Comparing Clinicopathological Factors, Diagnosis and Treatment Outcomes with Non-Pregnant Patients. Breast Cancer Research and Treatment, 198, 53-66. [Google Scholar] [CrossRef] [PubMed]
[21] Chlebowski, R.T., Kim, J. and Haque, R. (2014) Adherence to Endocrine Therapy in Breast Cancer Adjuvant and Prevention Settings. Cancer Prevention Research, 7, 378-387. [Google Scholar] [CrossRef
[22] Eliassen, F.M., Blåfjelldal, V., Helland, T., et al. (2023) Importance of Endocrine Treatment Adherence and Persistence in Breast Cancer Survivorship: A Systematic Review. BMC Cancer, 23, Article No. 625. [Google Scholar] [CrossRef] [PubMed]
[23] Bright, E.E., Finkelstein, L.B., Nealis, M.S., et al. (2023) A Systematic Review and Meta-Analysis of Interventions to Promote Adjuvant Endocrine Therapy Adherence among Breast Cancer Survivors. Journal of Clinical Oncology, 41, 4548-4561. [Google Scholar] [CrossRef