SPP1在T1期结直肠癌中的表达与淋巴结转移 之间的关系
The Relationship between SPP1 Expression and Lymph Node Metastasis in T1 Stage Colorectal Cancer
摘要: 目的:探讨分泌性磷蛋白1 (Secreted Phosphoprotein 1, SPP1)在T1期结直肠癌中的表达与淋巴结转移之间的关系。方法:在209例T1期结直肠癌和10例T2~T3期微乳头型结直肠癌石蜡包埋组织中通过免疫组织化学方法检测SPP1表达并分析其表达与淋巴结转移以及其他病理特征之间的关系。结果:1、与高级别上皮内瘤变相比,SPP1在腺癌间质中的表达显著升高(P < 0.001),且在肿瘤浸润前沿的表达高于肿瘤中央(P < 0.001)。2、肿瘤浸润前沿与肿瘤中央SPP1高表达与肿瘤出芽、低分化肿瘤细胞簇的分级呈正相关。3、与非特殊类型腺癌相比,微乳头型腺癌中观察到SPP1的表达升高(P < 0.05)。4、肿瘤浸润前沿与肿瘤中央SPP1高表达均与脉管侵犯呈正相关(P < 0.05)。5、Logistic多因素回归分析结果显示,肿瘤浸润前沿SPP1高表达和脉管侵犯均是发生淋巴结转移的独立预测因素(P < 0.05)。结论:肿瘤浸润前沿SPP1高表达是T1期结直肠癌发生淋巴结转移的独立预测因素,提示可能用于识别具有淋巴结转移风险的T1期结直肠癌患者,有助于指导临床治疗方案的选择。
Abstract: Objective: To investigate the relationship between the expression of Secreted Phosphoprotein 1 (SPP1) and lymph node metastasis in T1 stage colorectal cancer. Methods: SPP1 expression was detected by immunohistochemistry in paraffin-embedded tissues from 209 cases of T1 stage colorectal cancer and 10 cases of T2~T3 stage micropapillary colorectal cancer. Its expression was analyzed for correlations with lymph node metastasis and other pathological features. Results: 1. Compared with high-grade intraepithelial neoplasia, SPP1 expression was significantly increased in the stroma of adenocarcinoma (P < 0.001) and was higher at the invasive tumor front than in the tumor center (P < 0.001). 2. High SPP1 expression at both the invasive front and the tumor center was positively correlated with the grading of tumor budding and poorly differentiated tumor cell clusters. 3. Elevated SPP1 expression was observed in micropapillary adenocarcinoma compared with non-special-type adenocarcinoma (P < 0.05). 4. High SPP1 expression at both the invasive front and the tumor center was positively correlated with lymphovascular invasion (P < 0.05). 5. Multivariate logistic regression analysis showed that high SPP1 expression at the invasive front and lymphovascular invasion were both independent predictors of lymph node metastasis (P < 0.05). Conclusion: High SPP1 expression at the invasive front is an independent predictor of lymph node metastasis in stage T1 colorectal cancer, suggesting its potential utility for identifying T1 colorectal cancer patients at risk of lymph node metastasis, thereby aiding in clinical treatment decision-making.
文章引用:裴佳欣, 王世钰, 刘慧敏, 尹玉, 蔡永萍. SPP1在T1期结直肠癌中的表达与淋巴结转移 之间的关系[J]. 临床医学进展, 2026, 16(3): 1058-1068. https://doi.org/10.12677/acm.2026.163880

1. 引言

结直肠癌(Colorectal cancer, CRC)发病率在恶性肿瘤中位居第二位,且发病率呈上升趋势[1]。随着内镜技术的发展,内镜下黏膜剥离术治疗已成为T1期CRC患者的主要治疗手段[2]-[4],当存在中–高级别肿瘤出芽(Tumor budding, TB)、脉管侵犯(Lymphovascular invasion, LVI)等提示患者淋巴结转移(Lymph node metastasis, LNM)风险升高时,应当考虑追加外科手术[5]。然而,基于现有LNM风险病理因素的评估,行追加手术的病例中只有约10%存在LNM [6],因此,临床需要探寻新的生物标志物来辅助判断LNM的风险。

分泌性磷蛋白1 (Secreted phosphoprotein 1, SPP1)亦称为骨桥蛋白,是一种多功能糖蛋白,主要表达于肿瘤间质中[7],其通过抑制免疫微环境、增强肿瘤细胞迁移侵袭等促进肿瘤进展,在肺癌、胃癌、乳腺癌等多种肿瘤的发生和转移中起重要作用[8]-[11]。有研究发现,SPP1在进展期CRC间质中的高表达与不良预后相关[12],但SPP1在T1期CRC中的表达与LNM的关系目前尚不清楚。

因此,本研究通过检测SPP1在T1期CRC中的表达并分析其与LNM及其它病理特征的关系,期望帮助临床识别具有高LNM风险的T1期结直肠癌患者,从而指导临床治疗方案的选择。

2. 资料与方法

2.1. 研究对象

回顾性纳入2019年1月至2024年7月期间在安徽医科大学第一附属医院接受根治性CRC切除术的209例T1期CRC患者,其中包含4例内镜下黏膜剥离术后追加根治手术的病例,同时纳入10例T2~T3期的微乳头型CRC。排除标准包括伴有炎症性肠病、遗传性结直肠癌家族史、合并其他恶性肿瘤或术前接受新辅助放化疗者。通过医院电子病历系统收集患者的临床资料,包括年龄、性别、肿瘤大小和肿瘤部位。本研究经安徽医科大学第一附属医院伦理委员会批准(审批号:PJ 2025-07-70)。

2.2. 研究方法

1) 组织学评估:经两位病理医师共同复阅组织学切片,评估以下组织病理学特征:高级别上皮内瘤变(High-grade intraepithelial neoplasia, HGIN)、TB、低分化肿瘤细胞簇(Poorly differentiated clusters, PDC)和微乳头型CRC。(1) 根据第五版消化系统肿瘤WHO分类标准,HGIN定义为腺体复杂拥挤、筛状结构形成,细胞极向消失、假复层排列以及细胞核质比增高,缺乏促结缔组织反应。(2) TB [13]定义为肿瘤浸润前沿的间质内小于5个肿瘤细胞的细胞簇。PDC [14]是指在肿瘤浸润前沿的间质中形成一群大于等于5个癌细胞的细胞簇,没有腺体形成。TB、PDC均于10倍物镜下确定浸润前沿中最密集区域,计算20倍物镜(0.785 mm2)的视野中密集区域细胞簇的数量,均分为低级别(0~4个)、中级别(5~9个)和高级别(≥10个)。(3) 根据第五版消化系统肿瘤WHO分类标准,微乳头状腺癌定义为肿瘤组织中5%以上区域表现为微乳头结构,且这些微乳头结构无纤维血管轴心,癌细胞呈球状、簇状生长,被裂隙围绕。

2) 免疫组织化学:选取福尔马林固定石蜡包埋组织并4 μm厚连续切片,将切片在63℃下烘烤2小时,经二甲苯脱蜡、梯度乙醇水化、抗原修复(柠檬酸盐缓冲液,pH 6.0)高压法10 min,自然冷却后一抗SPP1 (1:2000;Abcam公司克隆号:ab214050)、CD68 (1:8000;Abcam公司克隆号:ab213363) 4℃孵育过夜,恢复室温后滴加过氧化物酶阻断剂15 min,二抗孵育30 min,然后DAB显色。苏木精复染、脱水、中性树胶封片。

3) SPP1免疫组织化学的判读:肿瘤间质细胞胞质及胞膜出现棕黄色染色即为SPP1阳性表达。肿瘤浸润前沿为肿瘤组织呈侵袭性生长的最前缘,肿瘤中央区域指肿瘤内部远离浸润前沿的核心区域。对HGIN、肿瘤浸润前沿和肿瘤中央的SPP1阳性细胞分别进行计数时,首先于10倍镜下扫描全片识别各区域SPP1阳性细胞密集处,随后在40倍镜下各区域分别选取5个SPP1高表达处进行阳性细胞计数,并取平均值。以SPP1阳性细胞计数的中位值为界将病例分为高表达组和低表达组,高于中位数为高表达,低于中位数为低表达。

2.3. 统计学方法

使用GraphPad Prism 10.1.2软件进行统计分析。计量资料采用平均值 ± 标准差( x ¯ ± s)表示,符合正态分布者使用配对t检验,不符合者使用Wilcoxon符号秩和检验。计数资料用n (%)表示,采用χ2检验;Logistic回归模型分析T1期CRC中影响LNM的因素;相关性采用Spearman秩相关系数检验。以P < 0.05为具有统计学意义。

3. 结果

3.1. SPP1阳性表达细胞可能为巨噬细胞

通过连续切片检测SPP1、CD68的表达,肿瘤间质细胞胞质及胞膜出现棕黄色染色为SPP1阳性表达(图1(A)),肿瘤间质中的间质细胞胞质内出现棕黄色染色为CD68阳性表达(图1(B)),CD68通常表达于巨噬细胞,可见SPP1表达细胞与CD68表达细胞在空间上具有一些重叠性,推测SPP1阳性信号可能定位于巨噬细胞。

(A) SPP1在肿瘤间质细胞中呈阳性表达;(B) CD68在肿瘤间质中的巨噬细胞中呈阳性表达(×400)。

Figure 1. Expression of SPP1 and CD68 in tumor stromal cells

1. SPP1与CD68在肿瘤间质细胞中的表达

3.2. CRC间质中浸润前沿区域SPP1表达高于HGIN区域以及中央区域

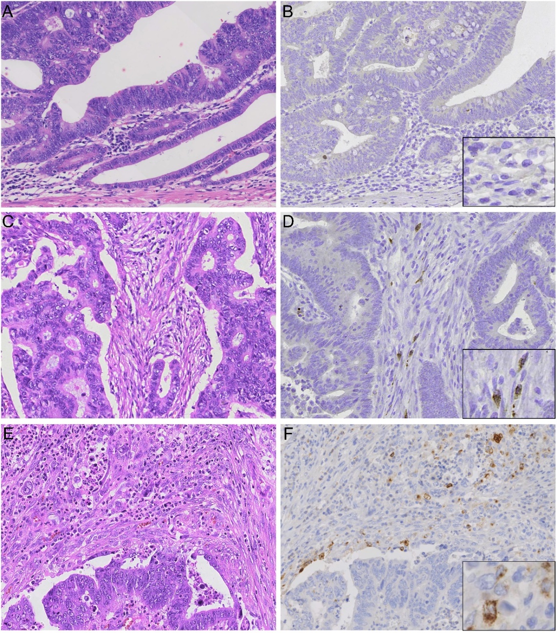
(A) HE染色显示HGIN区域缺乏促纤维结缔组织反应;(B) HGIN区域间质内SPP1呈阴性表达;(C) HE染色显示CRC肿瘤中央间质促纤维结缔组织反应;(D) CRC肿瘤中央区域SPP1呈阳性表达;(E) HE染色显示肿瘤浸润的最前沿;(F) 肿瘤浸润前沿间质内SPP1呈阳性表达;(×200),右下角插图(×400)。

Figure 2. Expression of SPP1 in HGIN regions as well as in the central tumor and invasive front of CRC

2. SPP1在HGIN区域以及CRC肿瘤中央、肿瘤浸润前沿的表达

在209例T1期CRC中,103例(49.3%)存在HGIN。在HGIN区域,SPP1表达呈阴性或极个别阳性(图2(A)图2(B));在CRC区域中,SPP1在肿瘤细胞中不表达,主要表达于腺癌间质细胞(包括肿瘤中央、肿瘤前沿);SPP1在CRC区域(8.43 ± 6.89)的表达水平高于HGIN区域(1.22 ± 1.12),差异具有统计学意义(Z = −8.532, P < 0.001)。与肿瘤中央区域相比(图2(C)图2(D)),肿瘤浸润前沿SPP1的表达(图2(E)图2(F)) (9.41 ± 9.15)高于中央(6.22 ± 5.89),差异具有统计学意义(Z = −5.671, P < 0.001)。

3.3. SPP1表达与TB、PDC分级呈正相关

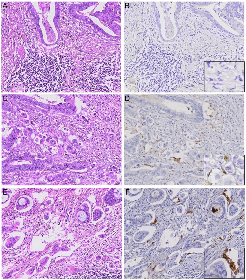
在209例T1期CRC中,TB分级为低级别有159例(76.07%),中–高级别有50例(23.93%)。低级别TB (图3(A)图3(B))的CRC中SPP1的表达低于中–高级别TB (图3(C)图3(D))。在中–高级别TB中,肿瘤浸润前沿和肿瘤中央SPP1高表达率均高于低表达率(19.62% vs 4.31%)、(16.75% vs 7.18%)。肿瘤浸润前沿(γ = 0.356, P < 0.001)和肿瘤中央(γ = 0.216, P = 0.002) SPP1的表达均与TB分级呈正相关,差异具有统计学意义(P < 0.001) (P = 0.002) (表1)。

(A) HE染色显示肿瘤浸润前沿低级别TB、PDC;(B) 低级别TB、PDC的SPP1呈低表达;(C) HE染色显示高级别TB,肿瘤浸润前沿 ≥ 10个由5个以下细胞组成的细胞簇;(D) 高级别TB区域SPP1呈高表达;(E) HE染色显示高级别PDC,肿瘤浸润前沿 ≥ 10个由5个及以上细胞组成的细胞簇;(F) 高级别PDC区域SPP1呈高表达;(×200),右下角插图(×400)。

Figure 3. Expression of SPP1 in CRC with varying grades of TB and PDC

3. SPP1在不同级别TB、PDC的CRC中的表达

PDC分级:低级别155例(74.16%),中级别33例(15.79%),高级别21例(10.05%)。低级别PDC (图3(A)图3(B))的CRC中SPP1表达低于中、高级别PDC (图3(E)图3(F))。在中、高级别PDC中,肿瘤浸润前沿和肿瘤中央SPP1高表达率均高于低表达率。肿瘤浸润前沿(γ = 0.306, P < 0.001)和肿瘤中央(γ = 0.256, P < 0.001) SPP1的表达均与PDC的分级呈正相关。经多重比较(表1),无论是肿瘤浸润前沿还是肿瘤中央,与低级别PDC相比,中、高级别PDC的SPP1表达差异均有统计学意义,而中级别与高级别PDC之间差异无统计学意义。

Table 1. Correlation between SPP1 expression and TB and PDC [n (%)]

1. SPP1的表达与TB及PDC之间的关系[n (%)]

浸润前沿SPP1的表达

肿瘤中央SPP1的表达

低表达

高表达

χ2

P

低表达

高表达

χ2

P

TB

低级别

95 (45.45)

64 (30.62)

26.520

<0.001

88 (42.10)

71 (33.97)

9.777

0.002

中–高级别

9 (4.31)

41 (19.62)

15 (7.18)

35 (16.75)

PDC

低级别

91 (43.54)

64 (30.62)

10.799

0.001#

88 (42.11)

67 (32.06)

7.640

0.006#

中级别

9 (4.31)

24 (11.48)

11.711

<0.001*

10 (4.78)

23 (11.00)

8.065

0.005*

高级别

4 (1.91)

17 (8.14)

0.475

0.491&

5 (2.39)

16 (7.66)

0.270

0.604&

注:PDC多重比较采用Bonferroni法校正检验水准,校正后α’ = 0.017,P < α’为差异有统计学意义。# 中级别与低级别比较;*高级别与低级别比较;&高级别与中级别比较。

3.4. SPP1在微乳头型腺癌区域的表达高于非特殊类型腺癌区域

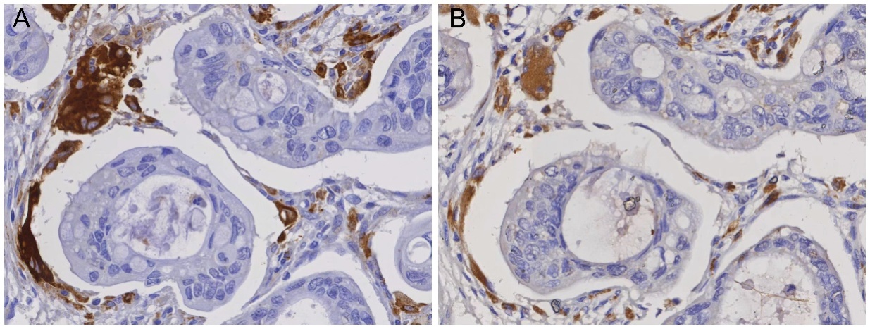
在10例T2~T3期的微乳头型CRC中,非特殊类型腺癌区域(图4(A)图4(B)) SPP1的表达(12.90 ± 9.29)低于微乳头区域(26.21 ± 17.40) (图4(C)图4(D)),SPP1在微乳头区域和非微乳头区域的表达差异有统计学意义(t = 3.534, P = 0.006)。

(A) HE染色显示非特殊类型腺癌区域,腺管分化良好;(B) 非特殊类型腺癌区域间质内SPP1的表达;(C) HE染色显示微乳头型腺癌区域,见球状、簇状癌细胞巢,无纤维血管轴心;(D) 微乳头型腺癌间质中SPP1的表达;(×200),右下角插图(×400)。

Figure 4. Expression of SPP1 in not otherwise specified CRC regions and micropapillary CRC regions

4. SPP1在非特殊类型CRC区域和微乳头型CRC区域中的表达

3.5. SPP1表达与临床病理特征的关系

209例T1期CRC病例的中位年龄为61岁;中位肿瘤大小为2.0 cm。在LVI阳性组中,肿瘤浸润前沿和肿瘤中央SPP1高表达率均高于低表达率(10.53% vs 3.83%)、(10.05% vs 4.31%)。肿瘤浸润前沿和肿瘤中央SPP1表达均与LVI呈正相关(P < 0.05),差异均具有统计学意义(P < 0.05)。在不同性别、年龄段、大体形态、肿瘤大小、部位的分组中,SPP1的表达差异均无统计学意义(P > 0.05) (表2)。

Table 2. Relationship between SPP1 Expression and Clinicopathological Features [n (%)]

2. SPP1表达与临床病理特征的关系[n (%)]

临床病理参数

浸润前沿

肿瘤中央

低表达

高表达

χ2值/γ

P

低表达

高表达

χ2值/γ

P

性别

65 (31.10)

53 (25.36)

3.073

0.080

65 (31.10)

53 (25.36)

3.651

0.056

39 (18.18)

52 (25.36)

38 (18.18)

53 (25.36)

年龄

<61

47 (22.49)

52 (24.88)

0.393

0.531

45 (21.53)

54 (25.84)

1.103

0.294

≥61

57 (27.27)

53 (25.36)

58 (27.75)

52 (24.88)

形态

息肉

76 (36.36)

64 (30.62)

3.473

0.062

67 (32.06)

73 (34.93)

0.345

0.557

非息肉

28 (13.40)

41 (19.62)

36 (17.22)

33 (15.79)

大小

≤2 cm

54 (25.84)

57 (27.27)

0.117

0.732

48 (22.97)

63 (30.14)

3.454

0.063

>2 cm

50 (23.92)

48 (22.97)

55 (26.32)

43 (20.57)

部位

结肠

35 (16.75)

35 (16.75)

0.002

0.961

28 (12.14)

42 (20.39)

3.628

0.057

直肠

69 (33.01)

70 (33.49)

75 (36.41)

64 (31.06)

LVI

阴性

96 (45.93)

83 (39.71)

7.473/0.189

<0.006*

94 (44.97)

85 (40.67)

5.211/0.158

0.022*

阳性

8 (3.83)

22 (10.53)

8 (4.31)

24 (10.05)

注:*代表差异有统计学意义。

3.6. SPP1的表达及其他临床病理特征与LNM之间的关系

在209例T1期CRC病例中,其中22例为LNM阳性。通过Logistic单因素回归分析,筛选出影响LNM的危险因素包括:LVI、TB、PDC、肿瘤浸润前沿和肿瘤中央SPP1的表达(P < 0.1),经Logistic多因素回归分析,肿瘤浸润前沿SPP1表达和LVI均是发生LNM的独立预测因素(P < 0.05) (表3)。

Table 3. Associations of SPP1 expression and other clinicopathological features with lymph node metastasis

3. SPP1的表达及其他临床病理特征与LNM之间的关系

临床病理参数

单因素logistic回归分析

多因素logistic回归分析

OR (95%CI)

P

OR (95%CI)

P

年龄

1.090 (0.449~2.646)

0.849

性别

1.128 (0.460~2.768)

0.792

形态

1.063 (0.412~2.741)

0.900

大小

0.616 (0.247~1.537)

0.299

部位

1.089 (0.422~2.807)

0.860

LVI

11.267 (4.272~29.713)

<0.001*

8.595 (2.911~25.380)

<0.001*

TB

3.062 (1.234~7.601)

0.016*

1.160 (0.383~3.512)

0.793

PDC

1.800 (1.022~3.170)

0.042*

0.890 (0.438~1.809)

0.748

浸润前沿SPP1的表达

12.000 (2.722~52.809)

0.001*

7.169 (1.340~38.351)

0.021*

肿瘤中央SPP1的表达

5.062 (1.650~15.529)

0.005*

1.684 (0.449~6.317)

0.440

注:*代表差异有统计学意义

4. 讨论

CRC发病率在恶性肿瘤中位居第二位,且发病率逐年提升[1],目前,T1期CRC的主要治疗方法为内镜下黏膜剥离术,当存在病理特征如LVI、中–高级别TB、黏膜下浸润深度 > 1000 μm、低分化癌组织学类型等LNM风险因素时,则需追加根治性手术[5],然而大部分行追加根治手术的病例中并不存在LNM [6],现有病理特征对LNM的预测能力有限,因此,需要寻找新的生物标志物更好预测具有高LNM风险的T1期CRC患者。

肿瘤微环境(Tumor microenvironment, TME)是一个复杂且动态的环境,由免疫细胞、基质细胞、血管系统和细胞外基质组成[15]。肿瘤相关巨噬细胞(Tumor-associated macrophages, TAMs)是TME中关键的免疫成分,SPP1是一种高度磷酸化的糖蛋白,可通过调节肿瘤血管生成、抑制免疫微环境等机制促进多种肿瘤的恶性进展[16]-[18],并且既往有文献报道,SPP1主要表达于TAMs [7],在我们的研究中,通过连续切片可见SPP1表达细胞与CD68表达细胞在空间上具有一些重叠性,推测SPP1阳性信号可能定位于巨噬细胞。研究发现,通过阻断SPP1-CD44轴可恢复T细胞功能,逆转T细胞的耗竭,增强PD-1抑制剂疗效[19]。靶向SPP1 + TAMs的募集通路可重塑免疫微环境,如通过阻断C3-C3AR1轴抑制THBS2 + 癌症相关成纤维细胞募集巨噬细胞,从而提升免疫检查点阻断剂的疗效[20]。这些研究提示靶向SPP1在临床治疗方面具有潜在应用价值。

肿瘤微环境中SPP1 + TAMs的分布具有空间特异性[21]。研究发现SPP1在腺癌间质的表达显著高于癌旁组织[22] [23],这可能与癌症相关成纤维细胞有关,癌症相关成纤维细胞可以募集并极化SPP1 + TAMs [20] [24]。也有研究报道,肿瘤细胞分泌CSF-1、CCL2等趋化因子,募集单核细胞并极化为SPP1 + TAMs [25]。我们研究结果发现SPP1在HGIN区域多呈阴性表达,提示CRC前期病变HGIN区域内的肿瘤微环境可能缺乏SPP1的表达。此外,SPP1 + TAMs在肿瘤内部的分布也具有空间特异性,肿瘤浸润前沿多于肿瘤中央[11] [26],可能与肿瘤浸润前沿SPP1 + TAMs分泌CXCL10促进细胞骨架重排、分泌解整合素金属蛋白酶17促进侵袭有关[27] [28]。与此观点一致,我们的研究也观察到浸润前沿SPP1的表达高于肿瘤中央,且与T1期CRC的LNM呈正相关。

TB、PDC是T1期CRC发生LNM的高危风险因素[5] [29]。TB、PDC分别是肿瘤浸润前沿小于或大于等于5个肿瘤细胞组成的细胞簇[13] [14]。TB和PDC是上皮–间质转化(Epithelial-mesenchymal transition, EMT)的不同表现形式[30]。研究发现SPP1通过与受体CD44和整合素结合,调节ERK、JNK1和PI3K/Akt等信号通路增强肿瘤细胞的EMT转化[8],以此增强肿瘤细胞的迁移和侵袭浸润[31]。Nakajima T等[12]发现进展期CRC中SPP1高表达与TB分级高相关,我们的研究也发现肿瘤浸润前沿SPP1的高表达与TB和PDC分级呈正相关。微乳头型CRC指肿瘤细胞呈球状、簇状生长,且无纤维血管轴心,形态学与TB、PDC是连续的谱系[30]。本研究进一步分析微乳头型CRC中SPP1表达是否增多,结果发现SPP1在微乳头腺癌区域的表达明显高于非特殊类型腺癌区域。研究发现微乳头型CRC中L1CAM、UPK2等黏附分子表达异常,可能通过促进EMT信号通路参与微乳头的形成[32]。以上研究提示肿瘤浸润前沿SPP1高表达可能通过EMT促进TB、PDC以及微乳头的形成,从而增强肿瘤的侵袭和转移能力。

肿瘤微环境与肿瘤血管生成及LNM密切相关[33]。肿瘤微环境中的SPP1 + TAMs通过分泌MMP9蛋白来降解细胞外基质和基底膜,为肿瘤细胞侵袭和转移开辟通道[27]。SPP1 + TAMs通过表达VEGFA,促进血管生成,并通过分泌IL-1RN、FN1等抑制免疫微环境[34],从而促进肿瘤细胞的转移。在我们的研究中,通过Logistic多因素回归分析发现肿瘤浸润前沿SPP1表达和LVI均可作为发生LNM的独立预测因素,提示肿瘤浸润前沿SPP1高表达的T1期CRC患者可能具有高LNM风险。但本研究也存在一些局限性,这是一项单中心的回顾性研究,样本量有限,可能存在选择偏倚。

综上所述,本研究发现SPP1高表达与T1期CRC的LNM以及多个不良病理学特征相关,提示SPP1的检测有助于识别具有高转移风险的患者,更好指导临床治疗方案的选择。

NOTES

*通讯作者。

参考文献

[1] 国家卫生健康委员会医政司, 中华医学会肿瘤学分会. 中国结直肠癌诊疗规范(2023版) [J]. 消化肿瘤杂志(电子版), 2023, 15(3): 177-206.
[2] Ferlitsch, M., Hassan, C., Bisschops, R., Bhandari, P., Dinis-Ribeiro, M., Risio, M., et al. (2024) Colorectal Polypectomy and Endoscopic Mucosal Resection: European Society of Gastrointestinal Endoscopy (ESGE) Guideline—Update 2024. Endoscopy, 56, 516-545. [Google Scholar] [CrossRef] [PubMed]
[3] Oka, S., Tanaka, S., Kajiwara, Y., Saito, S., Fukunaga, Y., Takamatsu, M., et al. (2024) Treatment Decision for Locally Resected T1 Colorectal Carcinoma-Verification of the Japanese Guideline Criteria for Additional Surgery Based on Long-Term Clinical Outcomes. American Journal of Gastroenterology, 119, 2019-2027. [Google Scholar] [CrossRef] [PubMed]
[4] Ohata, K., Kobayashi, N., Sakai, E., Takeuchi, Y., Chino, A., Takamaru, H., et al. (2022) Long-Term Outcomes after Endoscopic Submucosal Dissection for Large Colorectal Epithelial Neoplasms: A Prospective, Multicenter, Cohort Trial from Japan. Gastroenterology, 163, 1423-1434.e2. [Google Scholar] [CrossRef] [PubMed]
[5] 中国抗癌协会结直肠肿瘤整合康复专业委员会, 中国抗癌协会消化道息肉及癌前病变专业委员会, 中华医学会外科学分会结直肠外科学组, 等. 早期结直肠癌内镜切除术后追加手术中国专家共识(2025版) [J]. 中国实用外科杂志, 2025, 45(4): 361-369.
[6] Ichimasa, K., Kudo, S., Miyachi, H., Kouyama, Y., Mochizuki, K., Takashina, Y., et al. (2022) Current Problems and Perspectives of Pathological Risk Factors for Lymph Node Metastasis in T1 Colorectal Cancer: Systematic Review. Digestive Endoscopy, 34, 901-912. [Google Scholar] [CrossRef] [PubMed]
[7] Bill, R., Wirapati, P., Messemaker, M., Roh, W., Zitti, B., Duval, F., et al. (2023) CXCL9:SPP1 Macrophage Polarity Identifies a Network of Cellular Programs That Control Human Cancers. Science, 381, 515-524. [Google Scholar] [CrossRef] [PubMed]
[8] Xie, Z., Zheng, G., Niu, L., Du, K., Li, R., Dan, H., et al. (2025) SPP1 Macrophages in Colorectal Cancer: Markers of Malignancy and Promising Therapeutic Targets. Genes & Diseases, 12, Article ID: 101340. [Google Scholar] [CrossRef] [PubMed]
[9] Giopanou, I., Lilis, I., Papaleonidopoulos, V., Agalioti, T., Kanellakis, N.I., Spiropoulou, N., et al. (2016) Tumor-Derived Osteopontin Isoforms Cooperate with TRP53 and CCL2 to Promote Lung Metastasis. OncoImmunology, 6, e1256528. [Google Scholar] [CrossRef] [PubMed]
[10] Raja, U.M., Gopal, G., Shirley, S., Ramakrishnan, A.S. and Rajkumar, T. (2017) Immunohistochemical Expression and Localization of Cytokines/Chemokines/Growth Factors in Gastric Cancer. Cytokine, 89, 82-90. [Google Scholar] [CrossRef] [PubMed]
[11] Du, F., Ju, J., Zheng, F., Gao, S. and Yuan, P. (2025) The Identification of Novel Prognostic and Predictive Biomarkers in Breast Cancer via the Elucidation of Tumor Ecotypes Using Ecotyper. Cancer Innovation, 4, e70013. [Google Scholar] [CrossRef] [PubMed]
[12] Nakajima, T., Uehara, T., Iwaya, M., Matsuda, K., Wada, M., Nagaya, T., et al. (2022) Osteopontin Expression in the Invasive Front Stroma of Colorectal Adenocarcinoma Is Associated with Tumor Budding and Prognosis. PathologyResearch and Practice, 240, Article ID: 154190. [Google Scholar] [CrossRef] [PubMed]
[13] Lugli, A., Kirsch, R., Ajioka, Y., Bosman, F., Cathomas, G., Dawson, H., et al. (2017) Recommendations for Reporting Tumor Budding in Colorectal Cancer Based on the International Tumor Budding Consensus Conference (ITBCC) 2016. Modern Pathology, 30, 1299-1311. [Google Scholar] [CrossRef] [PubMed]
[14] Ueno, H., Kajiwara, Y., Shimazaki, H., Shinto, E., Hashiguchi, Y., Nakanishi, K., et al. (2012) New Criteria for Histologic Grading of Colorectal Cancer. American Journal of Surgical Pathology, 36, 193-201. [Google Scholar] [CrossRef] [PubMed]
[15] Basak, U., Sarkar, T., Mukherjee, S., Chakraborty, S., Dutta, A., Dutta, S., et al. (2023) Tumor-Associated Macrophages: An Effective Player of the Tumor Microenvironment. Frontiers in Immunology, 14, Article 1295257. [Google Scholar] [CrossRef] [PubMed]
[16] Pang, X., Gong, K., Zhang, X., Wu, S., Cui, Y. and Qian, B. (2019) Osteopontin as a Multifaceted Driver of Bone Metastasis and Drug Resistance. Pharmacological Research, 144, 235-244. [Google Scholar] [CrossRef] [PubMed]
[17] Wu, Q., Li, L., Miao, C., Hasnat, M., Sun, L., Jiang, Z., et al. (2022) Osteopontin Promotes Hepatocellular Carcinoma Progression through Inducing JAK2/STAT3/NOX1-Mediated ROS Production. Cell Death & Disease, 13, Article No. 341. [Google Scholar] [CrossRef] [PubMed]
[18] Fukusada, S., Shimura, T., Natsume, M., Nishigaki, R., Okuda, Y., Iwasaki, H., et al. (2023) Osteopontin Secreted from Obese Adipocytes Enhances Angiogenesis and Promotes Progression of Pancreatic Ductal Adenocarcinoma in Obesity. Cellular Oncology, 47, 229-244. [Google Scholar] [CrossRef] [PubMed]
[19] Hou, L., Jiang, M., Li, Y., Cheng, J., Liu, F., Han, X., et al. (2025) Targeting SPP1+ Macrophages via the SPP1-CD44 Axis Reveals a Key Mechanism of Immune Suppression and Tumor Progression in Ovarian Cancer. International Immunopharmacology, 160, Article ID: 114906. [Google Scholar] [CrossRef] [PubMed]
[20] Li, Y., Zheng, Y., Huang, J., Nie, R., Wu, Q., Zuo, Z., et al. (2024) Caf-macrophage Crosstalk in Tumour Microenvironments Governs the Response to Immune Checkpoint Blockade in Gastric Cancer Peritoneal Metastases. Gut, 74, 350-363. [Google Scholar] [CrossRef] [PubMed]
[21] Li, X., Lian, J. and Lu, H. (2025) The Role of SPP1+ TAMs in Cancer: Impact on Patient Prognosis and Future Therapeutic Targets. International Journal of Cancer, 157, 1763-1771. [Google Scholar] [CrossRef] [PubMed]
[22] Xu, C., Sun, L., Jiang, C., Zhou, H., Gu, L., Liu, Y., et al. (2017) SPP1, Analyzed by Bioinformatics Methods, Promotes the Metastasis in Colorectal Cancer by Activating EMT Pathway. Biomedicine & Pharmacotherapy, 91, 1167-1177. [Google Scholar] [CrossRef] [PubMed]
[23] Turyova, E., Mikolajcik, P., Kalman, M., Loderer, D., Slezak, M., Skerenova, M., et al. (2025) SPP1 as a Potential Stage-Specific Marker of Colorectal Cancer. Cancers, 17, Article 3200. [Google Scholar] [CrossRef
[24] Qi, J., Sun, H., Zhang, Y., Wang, Z., Xun, Z., Li, Z., et al. (2022) Single-Cell and Spatial Analysis Reveal Interaction of FAP+ Fibroblasts and SPP1+ Macrophages in Colorectal Cancer. Nature Communications, 13, Article No. 1742. [Google Scholar] [CrossRef] [PubMed]
[25] Mantovani, A., Sica, A., Sozzani, S., Allavena, P., Vecchi, A. and Locati, M. (2004) The Chemokine System in Diverse Forms of Macrophage Activation and Polarization. Trends in Immunology, 25, 677-686. [Google Scholar] [CrossRef] [PubMed]
[26] Liu, Y., Xun, Z., Ma, K., Liang, S., Li, X., Zhou, S., et al. (2023) Identification of a Tumour Immune Barrier in the HCC Microenvironment That Determines the Efficacy of Immunotherapy. Journal of Hepatology, 78, 770-782. [Google Scholar] [CrossRef] [PubMed]
[27] Ozato, Y., Kojima, Y., Kobayashi, Y., Hisamatsu, Y., Toshima, T., Yonemura, Y., et al. (2023) Spatial and Single-Cell Transcriptomics Decipher the Cellular Environment Containing HLA-G+ Cancer Cells and SPP1+ Macrophages in Colorectal Cancer. Cell Reports, 42, Article ID: 111929. [Google Scholar] [CrossRef] [PubMed]
[28] Hirth, M., Gandla, J., Höper, C., Gaida, M.M., Agarwal, N., Simonetti, M., et al. (2020) CXCL10 and CCL21 Promote Migration of Pancreatic Cancer Cells toward Sensory Neurons and Neural Remodeling in Tumors in Mice, Associated with Pain in Patients. Gastroenterology, 159, 665-681.e13. [Google Scholar] [CrossRef] [PubMed]
[29] Ji, X., Kang, M., Zhao, X., Li, X., Guo, Y., Xie, P., et al. (2022) Poorly Differentiated Cluster Grade-a Vital Predictor for Lymph Node Metastasis and Oncological Outcomes in Patients with T1 Colorectal Cancer: A Retrospective Study. BMC Gastroenterology, 22, Article No. 409. [Google Scholar] [CrossRef] [PubMed]
[30] Pavlič, A., Boštjančič, E., Kavalar, R., Ilijevec, B., Bonin, S., Zanconati, F., et al. (2022) Tumour Budding and Poorly Differentiated Clusters in Colon Cancer—Different Manifestations of Partial Epithelial-Mesenchymal Transition. The Journal of Pathology, 258, 278-288. [Google Scholar] [CrossRef] [PubMed]
[31] Zlobec, I. and Lugli, A. (2018) Tumour Budding in Colorectal Cancer: Molecular Rationale for Clinical Translation. Nature Reviews Cancer, 18, 203-204. [Google Scholar] [CrossRef] [PubMed]
[32] Äijälä, V.K., Härkönen, J., Mantere, T., Elomaa, H., Sirniö, P., Pohjanen, V., et al. (2025) Comprehensive Characterization of Micropapillary Colorectal Adenocarcinoma. The Journal of Pathology, 265, 408-421. [Google Scholar] [CrossRef] [PubMed]
[33] Mazzone, M. and Bergers, G. (2019) Regulation of Blood and Lymphatic Vessels by Immune Cells in Tumors and Metastasis. Annual Review of Physiology, 81, 535-560. [Google Scholar] [CrossRef] [PubMed]
[34] Liu, Y., Zhang, Q., Xing, B., Luo, N., Gao, R., Yu, K., et al. (2022) Immune Phenotypic Linkage between Colorectal Cancer and Liver Metastasis. Cancer Cell, 40, 424-437.e5. [Google Scholar] [CrossRef] [PubMed]