视网膜出血的特殊表现:早产儿Roth斑1例
Special Presentation of Retinal Hemorrhage: A Case Report of Roth Spots in a Preterm Infant
DOI: 10.12677/acm.2026.163917, PDF, HTML, XML,   
作者: 马建怡, 刘婷婷, 陈健颖, 孟 晶*:暨南大学附属第一医院眼科,广东 广州
关键词: 视网膜出血早产儿Roth斑Retinal Hemorrhage Preterm Infant Roth Spots
摘要: 本文报告一例无早产儿视网膜病变(ROP)的早产儿出现大量Roth斑并自发吸收的病例,探讨其可能原因与临床意义。患儿,男,胎龄36周,出生体重3160克。其母患有妊娠期糖尿病。出生时有脐带绕颈及水肿。生后出现生理性黄疸,心脏超声提示卵圆孔未闭(1.9 mm)及动脉导管未闭(1.5 mm)。生后24小时内行广域眼底成像(RetCam III)筛查,未见ROP体征,但发现双眼眼底四个象限散布大量Roth斑(约20~25处),主要位于后极部,最大出血灶直径约1.5 PD。患儿仅接受常规支持治疗及蓝光照射。生后2周随访,视网膜出血完全吸收。生后2月余复查心脏超声,提示PFO与PDA均已自然闭合。结论:本例早产儿在无ROP及其他严重全身性疾病的情况下,出现大量Roth斑,并随血流动力学不显著的心脏分流自然闭合而完全吸收。提示对于病情稳定的早产儿,孤立的Roth斑可能是一种良性、自限性的表现。尽管如此,全面的筛查与随访对于排除潜在病理性原因仍然至关重要。
Abstract: This article reports a case of a preterm infant with numerous Roth spots that spontaneously resolved in the absence of retinopathy of prematurity (ROP), and explores its potential etiology and clinical significance. The patient was a male infant born at 36 weeks of gestation with a birth weight of 3160 grams. His mother had gestational diabetes mellitus. At birth, a nuchal cord and cord edema were noted. The infant developed physiological jaundice postpartum. Cardiac ultrasound revealed a patent foramen ovale (1.9 mm) and a patent ductus arteriosus (1.5 mm). Within 24 hours after birth, wide-field retinal imaging (RetCam III) screening was performed. No signs of ROP were observed; however, numerous Roth spots (approximately 20~25 in total) were identified, scattered across all four quadrants of both eyes, predominantly in the posterior pole. The largest hemorrhage measured about 1.5 disc diameters. The infant received only routine supportive care and phototherapy. At the 2-week follow-up, complete absorption of the retinal hemorrhages was confirmed. A repeat cardiac ultrasound performed over two months later indicated spontaneous closure of both the PFO and PDA. Conclusion: In this preterm infant, a large number of Roth spots appeared in the absence of ROP or other severe systemic diseases and resolved completely alongside the spontaneous closure of hemodynamically insignificant cardiac shunts. This suggests that in clinically stable preterm infants, isolated Roth spots may represent a benign and self-limiting condition. Nevertheless, comprehensive screening and follow-up remain essential to exclude underlying pathological causes.
文章引用:马建怡, 刘婷婷, 陈健颖, 孟晶. 视网膜出血的特殊表现:早产儿Roth斑1例[J]. 临床医学进展, 2026, 16(3): 1380-1388. https://doi.org/10.12677/acm.2026.163917

1. 引言

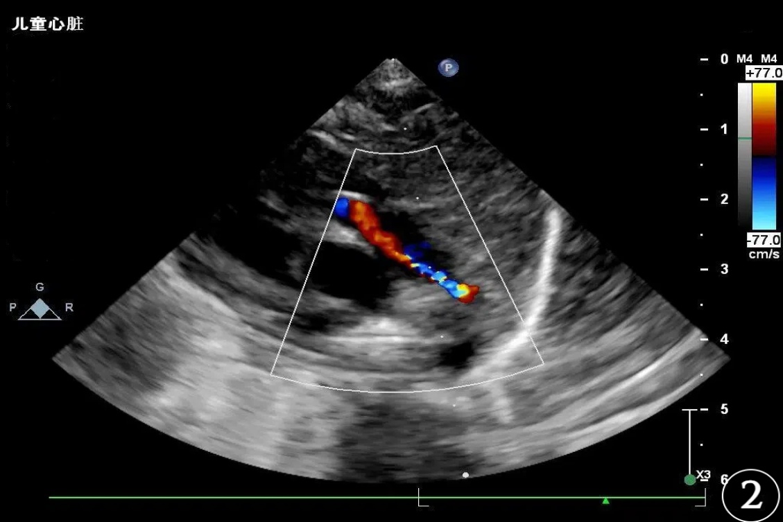
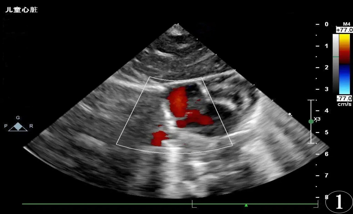
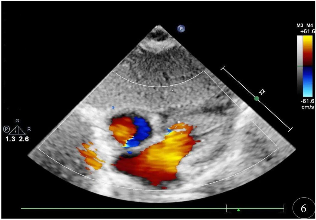
患儿,男,胎龄36周,出生体重3160 g,单胎,无窒息复苏史。系第2胎第2产,于暨南大学附属第一医院产科经阴道分娩娩出,出生时羊水清,自然啼哭,肤色稍青紫,反应、肌张力可、听诊心率 > 100次/分,Apgar评分:生后1 min为9分(肤色扣1分)、5 min、10 min均为10分。脐带水肿,绕颈一周,胎膜、胎盘无异常。血糖:3.0 mmol/L。血型:O型Rh阳性。其母血型为O型Rh阳性,妊娠期糖尿病,无感染史及用药史;其父血型为A型Rh不详;父母双方均否认地中海贫血及蚕豆病。生后予完善三大常规、生化肝功、感染二项、血气分析、DIC等多项检查。因患儿无相关临床表现,且母孕期无明确感染史,新生儿期未行TORCH血清学筛查(包括弓形虫、风疹病毒、巨细胞病毒、单纯疱疹病毒等)。其中,血常规 + 感染指标(出生第1天):超敏C反应蛋白0.33 mg/L,血小板计数204.00 × 109/L,白细胞计数20.23 × 109/L。血气分析(出生第1天):红细胞压积58%,氧饱和度90.2%。DIC检测:D-二聚体2130 ng/ml (FEU),纤维蛋白原2.98 g/l。降钙素原0.299 ng/mL。血常规、生化检查、肝功能、粪便常规 + OB、尿液分析均未见明显异常。血常规 + 感染指标(出生第3天):超敏C反应蛋白2.29 mg/L,血小板计数194.00 × 109/L,白细胞计数26.03 × 109/L。患儿生后查胆红素生理性升高,新生儿科予常规护理及蓝光照射退黄。生后查心脏彩超提示卵圆孔未闭(Patent Foramen Ovale, PFO) 1.9 mm,动脉导管未闭(Patent Ductus Arteriosus, PDA) 1.5 mm (见图1图2)。生后颅腔彩超检查提示颅脑回声及血流未见明显异常。听力筛查大致正常。结合患儿的症状、体征及辅助检查,临床诊断:早产儿、卵圆孔未闭、动脉导管未闭、胎儿和新生儿受母体情况的影响(妊娠期糖尿病)、胎儿和新生儿受脐带其他情况的影响(脐带水肿,绕颈一周)。该患儿出生后24小时内于暨南大学附属第一医院眼科行新生儿眼底筛查,眼底数码相机(RetCam III)检查可见:双眼视网膜平伏,视盘及黄斑发育可,双眼眼底颞上、颞下、鼻上、鼻下四个象限均可见大量类圆形或圆形出血灶散在分布,出血灶中心呈白色点状,约20~25处,最大出血灶直径可达1.5 PD,主要分布在视网膜后极部;视网膜血管鼻侧已达睫状体周边部,颞侧未达睫状体周边部。(见图3图4)。患儿双眼眼底检查未见早产儿视网膜病变(Retinopathy of Prematurity, ROP)体征(按2014年版指南判定标准),但双眼可见大量Roth斑,予常规表面护理及随访观察。计划随访时间为第1周,实际完成于第2周。生后第2周我科随访,该患儿眼部检查:双眼角膜透明,瞳孔等大等圆,双眼眼底视网膜平伏,视盘边界清晰,血管走行正常,双眼周边视网膜已基本血管化,黄斑发育良好,后极部及周边部均未见明显渗出及出血灶(见图5)。生后2月余于我院门诊复查心脏彩超提示卵圆孔及动脉导管均闭合,心内结构及血流未见异常(见图6图7)。

Figure 1. The infant’s cardiac ultrasound examination: Patent Foramen Ovale. Color Doppler Flow Imaging (CDFI) reveals a cleft in the mid-portion of the atrial septum, with a blood flow jet passing from the left atrium through the atrial septum into the right atrium. The width of the blood flow jet is approximately 1.9 mm

1. 示患儿心脏彩超检查:卵圆孔未闭。彩色多普勒血流成像(Color Doppler Flow Imaging, CDFI)房间隔中部见一裂隙,见血流束自左房穿过房间隔进入右房,血流束宽约1.9 mm

Figure 2. The infant’s cardiac ultrasound examination: Patent Ductus Arteriosus. Color Doppler Flow Imaging (CDFI) demonstrates a defect at the junction of the descending aorta and the pulmonary artery bifurcation, with a shunt jet from the descending aorta into the pulmonary artery. The jet width measures approximately 1.5 mm, consistent with a left-to-right shunt

2. 示患儿心脏彩超检查:动脉导管未闭。彩色多普勒血流成像(CDFI)降主动脉与肺动脉分叉处见一缺口,见血流自降主动脉进入肺动脉,分流束宽约1.5 mm,左向右分流

Figure 3. (A) and (B) The color fundus photographs of the infant’s right eye: Numerous round or oval-shaped hemorrhagic lesions, each with a central white spot, are scattered across all four quadrants (superotemporal, inferotemporal, superonasal, and inferonasal). Approximately 25 lesions are present, predominantly located in the posterior pole. The largest hemorrhage measures approximately 1.5 disc diameters in size

3. (A)和(B)示患儿右眼眼底彩照:右眼眼底颞上、颞下、鼻上、鼻下四个象限均可见大量类圆形或圆形出血灶散在分布,出血灶中心呈白色点状,约25处,最大出血灶直径约1.5 PD,主要分布在视网膜后极部

Figure 4. (A) and (B) The color fundus photographs of the infant’s left eye: Numerous round or oval-shaped hemorrhagic lesions, each with a central white spot, are scattered across all four quadrants (superotemporal, inferotemporal, superonasal, and inferonasal). Approximately 20 lesions are present, predominantly located in the posterior pole. The largest hemorrhage measures approximately 1 disc diameter in size

4. (A)和(B)示患儿左眼眼底彩照:左眼眼底颞上、颞下、鼻上、鼻下四个象限均可见大量圆形出血灶散在分布,出血灶中心呈白色点状,约20处,最大出血灶直径约1 PD,主要分布在视网膜后极部

Figure 5. (A) and (B) The color fundus photographs of the infant’s right and left eyes: In both eyes, the optic disc margins are distinct, and the vascular course is normal. The retinas are flat, and peripheral retinal vascularization is nearly complete. Macular development is satisfactory. No significant exudates or hemorrhages are observed in the posterior pole or peripheral retina

5. (A)和图5(B)示患儿右眼和左眼眼底彩照:双眼眼底视盘边界清晰,血管走行正常,视网膜平伏,周边视网膜已基本血管化,黄斑发育良好,后极部及周边部未见明显渗出及出血灶

Figure 6. The infant’s cardiac ultrasound examination: no structural abnormalities of the heart. Color Doppler Flow Imaging (CDFI) reveals no shunting at the atrial or ventricular levels

6. 示患儿心脏彩超检查:心内结构未见异常。彩色多普勒血流成像(CDFI)房室水平未见分流

Figure 7. The infant’s cardiac ultrasound examination: no abnormalities of the aorta or pulmonary artery. Color Doppler Flow Imaging (CDFI) reveals no evidence of regurgitant flow

7. 示患儿心脏彩超检查:主动脉、肺动脉未见异常。彩色多普勒血流成像(CDFI)未见血液返流

2. 讨论

新生儿视网膜出血是新生儿期常见的眼底病变。研究显示,视网膜出血在足月新生儿中普遍存在,发生率可达24.8% [1]。Roth斑在新生儿中的发生率约为15.92% [2]。早产儿中,视网膜出血的发生率为11.2% [3]。关于早产儿Roth斑发病率的文献报道有限,尚未有广泛的调查。视网膜出血可能会导致视力损害,因此,早期的筛查、预防及干预措施,有助于改善新生儿长期的视力预后。

Roth斑是一种特征性的眼底视网膜出血体征,表现为出血斑中央有白色或黄白色核心,其本质是血管炎或血管病变导致的纤维蛋白、血小板或细胞栓子。基于现有文献证据,Roth斑的形成机制可能涉及以下几个方面。首先,多数研究认为,Roth斑是由于视网膜毛细血管损伤引起的。这种损伤可能源于机械压力、缺氧、感染或全身性疾病导致的血管功能异常。其次,Roth斑的白色中心被认为是血管损伤后的修复过程产生的中央纤维蛋白–血小板簇。这可能涉及纤维蛋白沉积、白细胞聚集及血小板聚集等修复机制[4]。此外,某些全身性疾病,如镰状细胞病贫血可能通过改变血液流变学特性,增加视网膜血管破裂的风险[5]。还有血管生成异常的影响,在早产儿中,视网膜血管发育不完全可能增加了出血和Roth斑形成的概率[3]。最后是代谢因素的异常,某些代谢性疾病,如维生素B6依赖性癫痫(Pyridoxine-Dependent Epilepsy, PDE)可能通过影响视网膜血管的功能或结构,增加Roth斑形成的风险[6]

Roth斑是重要的全身性疾病线索,临床上最常见于感染性心内膜炎,白心常为细菌性栓子。其次是血液系统疾病,尤其是急性白血病,白心为肿瘤细胞浸润或栓子。此外,它也可见于系统性红斑狼疮等自身免疫性血管炎,以及艾滋病、败血症等其他严重感染。也可见于其他疾病,包括高血压性视网膜病变、子痫前期、糖尿病视网膜病变、缺氧、镰状细胞性贫血[6] [7]。最后是其他罕见的病因。重症儿童中也会出现视网膜出血,但通常不广泛[4]。维生素K缺乏性出血病(Vitamin K Deficiency Bleeding, VKDB)可导致新生儿出血,包括视网膜出血[6] [8]。在婴儿中,视网膜出血是虐待性头部创伤(Abusive Head Trauma, AHT)的关键症状,且AHT是分娩之外最常见的视网膜出血原因。新生儿颅内出血可能与视网膜出血并存,但两者病因和严重性不同于成人[9]。一例病例报告显示,PDE患儿在出生第五天进行眼底检查时发现双侧多发性白色中心性视网膜出血,即Roth斑[6]

根据2014年版指南,ROP筛查对象为出生体重 < 2000 g或出生孕周 < 32周的早产儿;患有严重疾病或长时间吸氧史。ROP首次筛查建议在生后4~6周或矫正胎龄31~32周开始;无ROP病变,隔周随访,直至周边视网膜血管化。该患儿因存在早产、母亲妊娠期糖尿病及围产期脐带绕颈史,故于生后24小时内行新生儿眼底检查,旨在早期评估是否存在先天性眼病或急性缺氧性眼底病变。早产是视网膜出血的基础易感因素。胎儿视网膜血管在孕16周开始从视神经乳头向周边生长,通常在40周时才基本发育完全,直至出生后数月才完全血管化。本例患儿为胎龄36周的早产儿,视网膜血管发育尚不成熟,结构上更为脆弱,血管壁的周细胞和支持结构更少,弹性差,对压力变化的代偿和抵抗能力远低于足月儿。因此,在相同的产程压力下,早产儿的视网膜血管更容易破裂出血并形成Roth斑。

该患儿为经阴道分娩,且存在脐带水肿并绕颈一周。经阴道分娩是新生儿视网膜出血的已知风险因素,其机制可能与产道挤压所致颅内静脉压一过性升高有关[10] [11]。脐带水肿及绕颈于分娩过程中可能进一步增加静脉回流阻力,构成围产期视网膜出血的潜在病理生理基础。此外,患儿并存PDA与PFO,但二者直径均较小(分别为1.5 mm及1.9 mm),血流动力学影响不显著,且均于生后2月内自然闭合。母体妊娠期糖尿病是另一个明确的围产期高危因素,可能对胎儿血管内皮功能及脆性产生潜在影响。值得注意的是,本例患儿虽存在上述多项围产期出血风险因素,其眼底表现却呈现出高度特异的Roth斑形态——大量类圆形出血灶,每处均伴有典型的中心白点。此类形态特征在以往新生儿视网膜出血的报道中相对少见。从中可得到提示,即使在合并多种高危因素的新生儿中,Roth斑仍可表现为孤立的、自限性的良性过程。因此,当早产儿眼底筛查发现类似Roth斑的出血灶时,应结合全身情况综合评估,避免将其直接等同于感染性心内膜炎、血液系统疾病或严重缺氧等病理性状态。

患儿生后查血小板数量、凝血功能未见明显异常,可排除由血小板减少症引起的相关出血或凝血障碍相关性疾病。代谢或遗传性疾病常表现为先天性和持续性的多系统受累,除眼部视网膜出血外,常伴有特征性的神经系统异常、特殊面容、肝脾肿大或生长发育障碍,其凝血功能异常为固有缺陷,不随常见新生儿期诱因(如早产、脐带绕颈)的解除而逆转。该患儿无头皮血肿、骨折、皮肤瘀伤等其他虐待相关的创伤体征,可排除由非意外伤AHT导致的眼底出血。ROP相关出血本质是视网膜局部血管发育异常,出血多位于周边部,常伴有特征性的视网膜血管迂曲扩张、嵴形成或纤维增殖,患儿全身状况可相对稳定。该患儿颅脑超声未见异常,无颅内出血等表现,可不考虑为Terson综合征,即颅内出血后出现的眼内出血并发症。

综合相关检查结果,本例新生儿的Roth斑可排除严重血液病或全身感染等经典病因。血常规未见原始细胞或血细胞减少,无细胞形态异常,不支持白血病。该早产儿虽合并PFO及PDA,感染指标CRP、PCT无显著升高,检查无发热、心音异常、脾大等改变,且心脏超声无赘生物等表现,可排除感染性心内膜炎或败血症等活动性全身感染。凝血功能显示D-二聚体升高而纤维蛋白原正常,符合局部血管损伤后继发纤溶活跃的表现。结合患儿早产、脐带绕颈及母亲妊娠期糖尿病等高危因素,其Roth斑最可能的机制为:围产期缺氧等应激因素,作用于发育脆弱的早产儿视网膜血管,导致局部毛细血管破裂出血,随后出血中心发生纤维蛋白和血小板聚集、机化,形成了具有白色核心的Roth斑。这是一种与早产和围产事件相关的特殊局部微血管病变,而非全身性重症疾病的征兆。红色出血灶中心的白心被认为与血小板/纤维蛋白聚集相关,多数为较新近的出血所见,但其新鲜程度与持续时间仍需结合临床与随访综合判断。本病例可为新生儿Roth斑的鉴别诊断提供新的临床参考,即形态典型的Roth斑本身并不必然提示潜在全身性疾病,在血流动力学稳定且无其他系统异常的早产儿中,密切随访观察或为合理的管理策略。

Roth 斑通常无临床症状。目前尚无直接证据说明视网膜出血导致视力障碍、眼球震颤或斜视等临床症状的具体发生率。有研究表明,在平均7~8个月的随访中,视网膜出血组和对照组在屈光不正或斜视发生率上未发现存在显著差异[7];但在另一项研究中,2岁时发现屈光不正或斜视的视网膜出血组患病率高于健康儿童的患病率。然而,以前的研究报道了相似、更低或更高的屈光不正患病率。这些差异可能是由于种族背景、进行屈光评估的年龄以及用于定义屈光不正的阈值的差异[6] [8] [12]

特殊的视网膜出血表现,即Roth斑,对诊断特定疾病或全身疾病有一定意义。诊断方法:眼底检查(直接检眼镜、间接检眼镜、视网膜照相),其中间接检眼镜检查是诊断新生儿视网膜出血的主要方法,RetCam III视网膜检查系统可用于更详细的评估。辅助检查:颅脑超声、CT、MRI,可以用于排除颅内出血;血常规、凝血功能、感染指标、TORCH筛查、遗传代谢筛查等有助于全身疾病的早期筛查与干预。虽然巨细胞病毒、弓形虫等先天性感染可表现为视网膜出血及中心白点,类似Roth斑,但本例患儿无相应全身体征(如肝脾肿大、小头畸形、听力异常),母孕期亦无相关病史,故临床初诊时未将TORCH筛查列为必需检查。

对于出生相关的良性、自限性视网膜出血,一般无需特殊治疗,主要进行观察和定期随访。多数新生儿眼底的生理性出血在2~4周吸收,通常不留后遗症,但仍需警惕异常进展或系统性线索,如出生后1个月以上仍有视网膜出血应高度怀疑非出生相关因素。其他罕见情况则针对潜在病因进行治疗。如凝血功能异常的纠正、感染控制等,通过肌肉注射维生素K可有效预防经典型VKDB。若出血与ROP进展相关,可能需要激光光凝或玻璃体腔内注射抗VEGF药物;若为严重玻璃体出血,则需早期行玻璃体切除术,以改善视力预后。针对可控的风险因素,如分娩方式、母体并发症等,可进行早期干预管理,但尚无高质量证据支持的明确干预措施来预防所有类型的视网膜出血。

3. 结论

综上所述,本例早产儿双眼眼底大量Roth斑在未接受特殊干预的情况下于生后2周内完全吸收,证实此类视网膜出血具有自限性特征。然而必须强调,眼底出血的解剖结构恢复并不等同于视觉功能的完整发育。尤其对于本例存在后极部大量出血的患儿,黄斑区及其周围视网膜虽在短期内恢复形态学正常,但其对视觉发育的远期功能性影响尚不明确,需通过长期、系统的视功能随访加以评估。后续随访应涵盖条栅视力、屈光状态、弱视筛查、视功能与眼球运动检查以及视觉电生理检查等。条栅视力可用于婴儿期视功能发育的自身对比评估。建议每年进行1~2次视力及屈光筛查,建立视觉发育基线,密切监测双眼视功能的建立与发育。需注意的是,早产儿是斜视(尤其是内斜视)和弱视的高危人群,一旦出现弱视应及时干预。此外,围产期缺氧史亦可增加脑白质损伤及脑性视损伤风险,应纳入常规筛查考量。

本文存在以下局限性:第一,患儿首次眼底随访时间偏离原计划的第1周,推迟至第2周,因此未能精确记录Roth斑吸收的完整时间过程。尽管如此,第2周的随访结果已明确显示出血完全吸收,证实其自限性特征。第二,本研究缺乏长期视功能随访数据。虽然眼底形态学已恢复正常,但后极部大量出血对视觉发育的远期影响尚不明确。未来研究应结合视觉电生理、行为视功能评估等手段,对类似病例进行前瞻性、长周期的功能性随访,以更全面地评估此类患儿的视觉预后。

本病例为早产儿视网膜出血,尤其是在脐带绕颈等高危因素或合并全身情况下的Roth斑表现,提供了临床参考和案例支持。但由于目前关于早产儿Roth斑的系统性研究仍较少,其病理生理机制及预后规律仍有待进一步积累病例和深入探索。

Roth斑的临床处理应基于其潜在病因进行分层评估。对于本例存在明确围产期缺氧应激史的早产儿,若Roth斑为孤立表现且感染指标、血常规及心脏超声均无异常,可视为局部血管应激性病变,予密切观察即可。重点在于定期眼底随访(可按ROP筛查常规进行)并监测全身状况,无需立即启动针对血液病或感染的系统性检查。反之,若患儿出现任何无法用局部因素解释的发热、肝脾肿大等全身症状,或感染标志物显著升高等实验室预警信号,则必须立即完善系统性检查,包括但不限于血培养、骨髓检查等,并根据初步线索请血液科、心内科等相关专科会诊,以排除感染性心内膜炎、白血病等严重全身性疾病。对于无明确围产诱因的较大婴儿或儿童,Roth斑应被视为全身性疾病的重要警示信号,需启动全面评估并转诊至相应专科。

值得特别指出的是,上述处理策略主要基于Roth斑的病因鉴别与急性期管理,而关于其长期预后,尤其是对视力发育的潜在影响,目前尚缺乏充分的循证医学证据。尽管本例患儿视网膜出血在短期内完全吸收、解剖结构恢复良好,但后极部大量出血是否会对黄斑功能、双眼视觉发育及屈光状态产生迟发性影响,仍需通过长期、规范的功能性随访加以明确。未来研究应以前瞻性队列设计,纳入标准化视功能评估流程(如视觉电生理、条栅视力、屈光发育轨迹等),系统探讨早产儿Roth斑与远期视觉预后的关联。此外,建立多中心病例登记系统将有助于积累更多循证依据,推动形成针对此类特殊人群的临床管理共识。

声 明

本病例报告的发表已获得患儿法定监护人的书面知情同意。报告中不包含任何可识别患者身份的信息。

NOTES

*通讯作者。

参考文献

[1] Yang, T.T., Hu, R.S., Chen, J.S., et al. (2022) Prevalence, Characteristics, and Risk Factors of Retinal Hemorrhage among Full-Term Neonates in Southern China. International Journal of Environmental Research and Public Health, 19, Article 13927. [Google Scholar] [CrossRef] [PubMed]
[2] He, C., Liao, Y., He, X., Ye, Z., Su, S. and Zhang, Y. (2025) Risk Factors for Neonatal White-Centered Retinal Hemorrhages: Clinical Implications for Prevention. International Journal of General Medicine, 18, 1747-1756. [Google Scholar] [CrossRef] [PubMed]
[3] Hemalatha, B.C., Kalpana, B.N., Shilpa, Y.D., Ravi, B., Bhavana, G., Meghana, S., et al. (2021) Retinopathy of Prematurity Screening and Retinal Hemorrhages—Our Experience among Indian Babies. Indian Journal of Ophthalmology, 69, 2147-2150. [Google Scholar] [CrossRef] [PubMed]
[4] Ruddy, S.M., Bergstrom, R. and Tivakaran, V.S. (2025) Roth Spots. StatPearls Publishing.
[5] Kothari, M., Chiwhane, A., Kumar, S., Wanjari, A. and Reddy, H. (2024) Roth Spots: A Rare Finding in Sickle Cell Anemia. Cureus, 16, e59047. [Google Scholar] [CrossRef] [PubMed]
[6] Bok, L.A., Halbertsma, F., Kerkhoff, F., Jakobs, C., Duijsters, C. and Willemsen, M. (2011) Roth Spots in Pyridoxine Dependent Epilepsy. BMJ Case Reports, 2011, bcr0520114209. [Google Scholar] [CrossRef] [PubMed]
[7] Jo, G.H., Choi, M.Y., Lee, K., Kim, K.T., Kim, D.Y., Chae, J.B., et al. (2025) Fundus Photography-Based Distribution of Retinal Hemorrhages in Newborns: Implications for Underlying Mechanisms. Journal of Personalized Medicine, 15, Article 38. [Google Scholar] [CrossRef] [PubMed]
[8] Chul Suh, D., Alvarez, H., Bhattacharya, J.J., Rodesch, G. and Lasjaunias, P.L. (2001) Intracranial Haemorrhage within the First Two Years of Life. Acta Neurochirurgica, 143, 997-1004. [Google Scholar] [CrossRef] [PubMed]
[9] Sankar, M.J., Chandrasekaran, A., Kumar, P., Thukral, A., Agarwal, R. and Paul, V.K. (2016) Vitamin K Prophylaxis for Prevention of Vitamin K Deficiency Bleeding: A Systematic Review. Journal of Perinatology, 36, S29-S35. [Google Scholar] [CrossRef] [PubMed]
[10] 王刚, 李乃洋. 综合性医院7239例新生儿眼部筛查结果的总结与分析[J]. 国际眼科杂志, 2022, 22(11): 1932-1934.
[11] 常青, 郭晓慧, 陈祖凤, 等. 眼底成像系统筛查15,283例新生儿眼底病的临床分析[J]. 蚌埠医科大学学报, 2024, 49(9): 1153-1156.
[12] Fang, J.L., Sorita, A., Carey, W.A., Colby, C.E., Murad, M.H. and Alahdab, F. (2016) Interventions to Prevent Retinopathy of Prematurity: A Meta-Analysis. Pediatrics, 137, e20153387. [Google Scholar] [CrossRef] [PubMed]