黄斑旁缺损1例
Paracentral Scotoma: A Case Report
DOI: 10.12677/acm.2026.163952, PDF, HTML, XML,   
作者: 李昕悦, 邹子龙, 米雪松*:暨南大学附属第一医院眼科,广东 广州
关键词: 黄斑/畸形视网膜疾病/先天性Macula/Abnormalities Retinal Diseases/Congenital
摘要: 24岁男性,因体检时查见黄斑区结构异常前来就诊。眼底彩照示右眼黄斑颞上方可见一1.5 PD × 1 PD横椭圆形病灶,伴色素增生、脉络膜缺损及巩膜透见,黄斑中心凹结构部分保留。光学相干断层扫描(OCT)示病灶区视网膜脉络膜凹陷,神经上皮层变薄缺损,内界膜齿状凸起。视野检查示右眼鼻下方象限性视野缺损(与颞上病灶对应)。眼B型超声示眼球后壁视乳头颞侧可见局部凹陷(约1.3 mm × 4.0 mm)。诊断:右眼先天性黄斑缺损。
Abstract: A 24-year-old male presented with structural abnormalities in the macular region detected during a routine physical examination. Color fundus photography revealed a horizontally oval lesion measuring 1.5 PD × 1 PD in the superotemporal macula of the right eye, accompanied by pigment proliferation, choroidal defects, and visible sclera, with partial preservation of the foveal structure. Optical coherence tomography (OCT) showed a retinochoroidal depression in the lesion area, thinning and defects in the neurosensory layer, and a serrated elevation of the internal limiting membrane. Visual field testing demonstrated an inferonasal quadrant visual field defect in the right eye, corresponding to the superotemporal lesion. B-scan ultrasonography revealed a localized depression (approximately 1.3 mm × 4.0 mm) on the temporal side of the optic disc in the posterior wall of the eye. Diagnosis: Congenital macular coloboma of the right eye.
文章引用:李昕悦, 邹子龙, 米雪松. 黄斑旁缺损1例[J]. 临床医学进展, 2026, 16(3): 1674-1679. https://doi.org/10.12677/acm.2026.163952

1. 背景

患者男性,24岁,因体检时查见黄斑区结构异常前来就诊,眼科检查:视力:右眼:0.3,左眼:1.0−,矫正:右眼−1.00 DS/−0.50 DC × 20 → 1.0,左眼−0.50 DS → 1.0。双眼眼睑无肿胀,结膜无充血,角膜透明,前房中深,房水清,瞳孔圆,对光反射存在,晶状体透明。眼底彩照:右眼眼底视盘色淡红,边界清,杯盘比正常,视网膜大血管行径正常,黄斑区颞上方可见一1.5 PD × 1 PD横椭圆形病灶(见图1),其边界清晰,病灶处可见色素块及脉络膜缺损,透见黄白色巩膜组织及脉络膜血管,缺损区向正常视网膜过渡间可见色素增生带,黄斑区视网膜可见牵拉褶皱,黄斑区色暗,中心凹反光欠清,黄斑中心凹结构部分尚存;左眼眼底未见明显异常。

Figure 1. The black arrow indicates the large choroidal vessels and the scleral tissue visible through areas of pigment loss; the red arrow indicates folds in the retina caused by traction from the defect

1. 黑色箭头所指为脉络膜大血管及色素缺失处透见的巩膜组织;红色箭头为缺损牵拉视网膜出现的褶皱

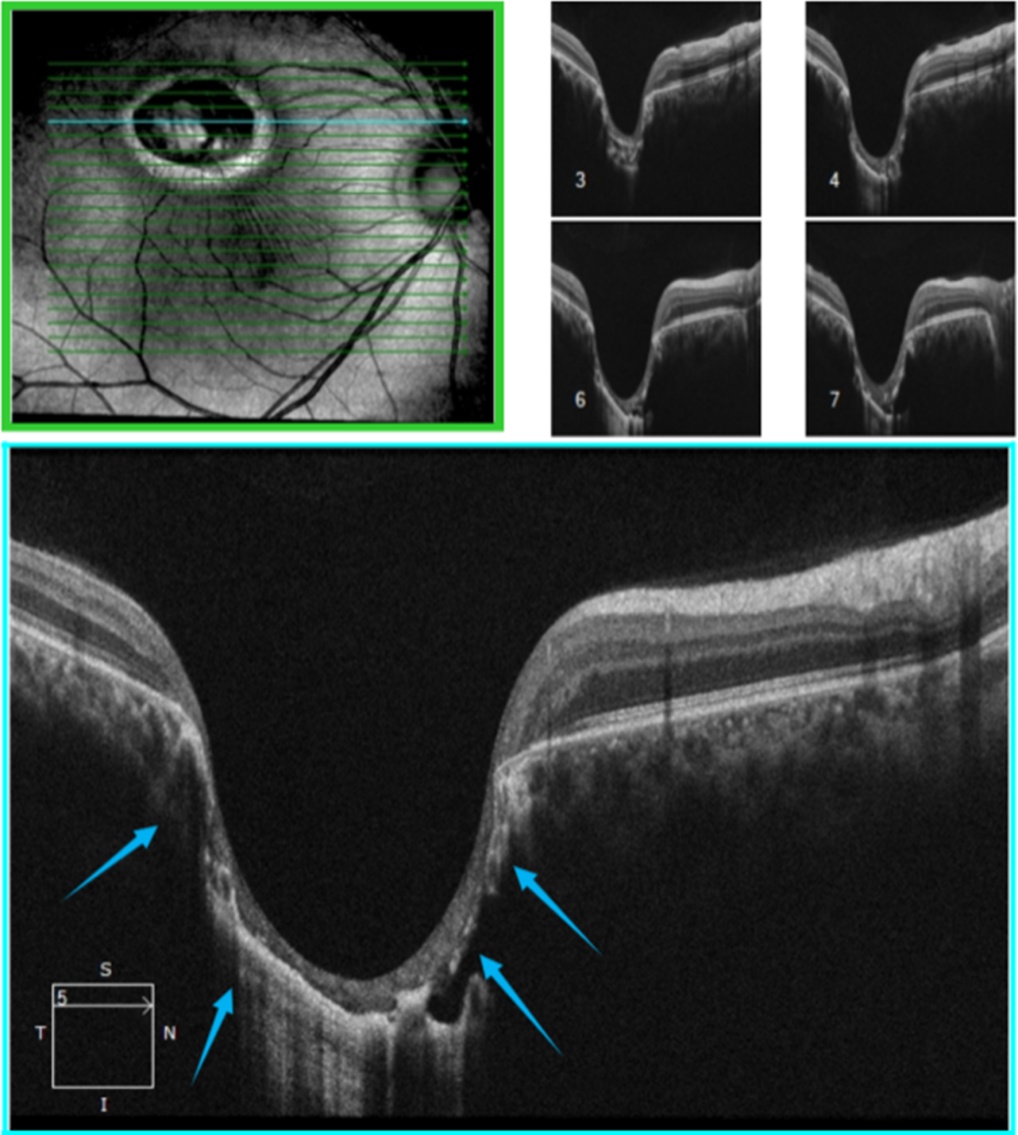
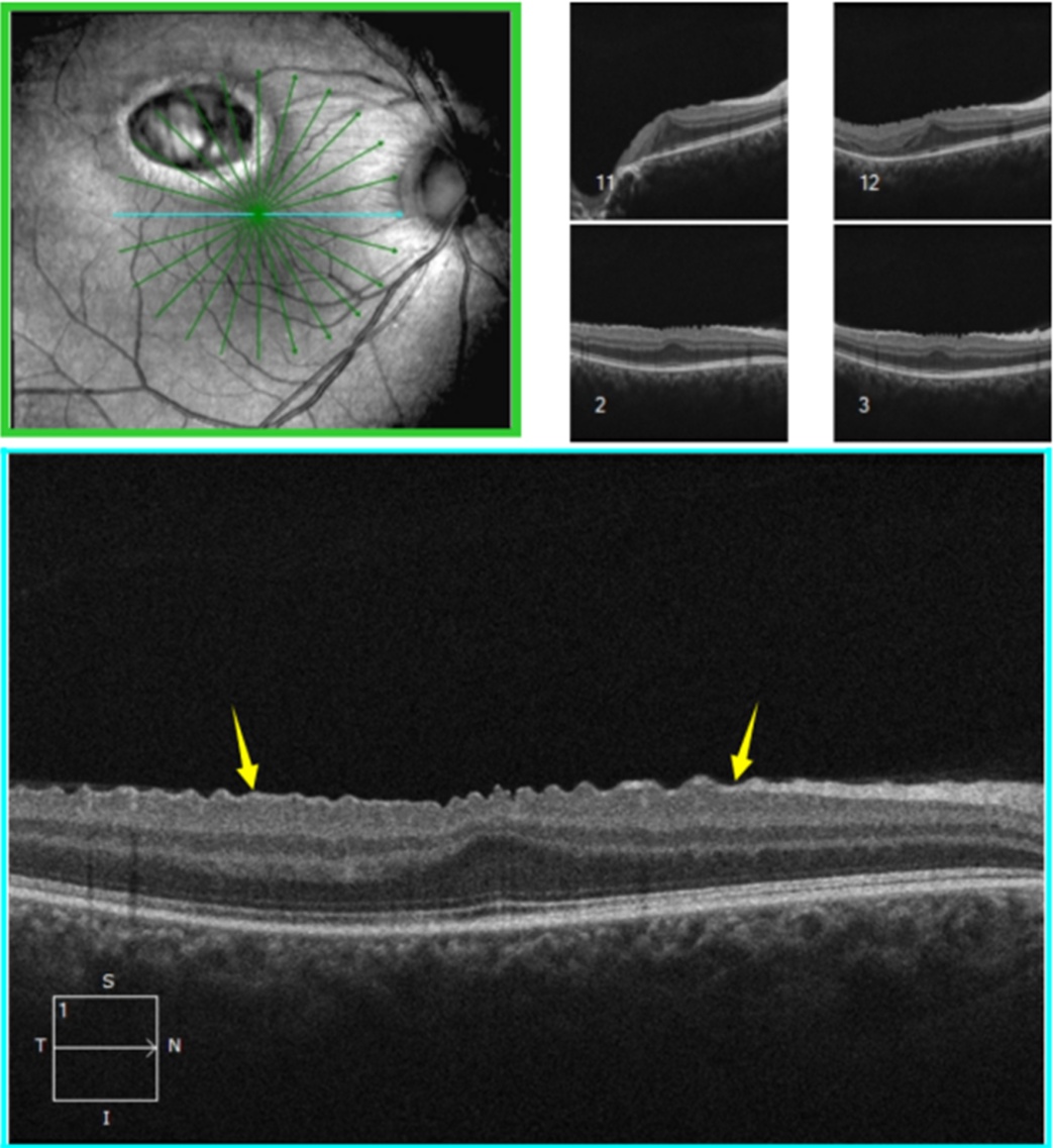
黄斑相关光层析成像术示:右眼黄斑区附近内界膜呈齿状凸起,黄斑中心凹处外丛状层呈局限性隆起(见图2);病灶区视网膜脉络膜组织随巩膜组织向外凹陷,凹陷区域内视网膜神经上皮层变薄及缺损,神经上皮层间可见部分缺损及浅脱离(见图3)。左眼OCT未见明显异常。

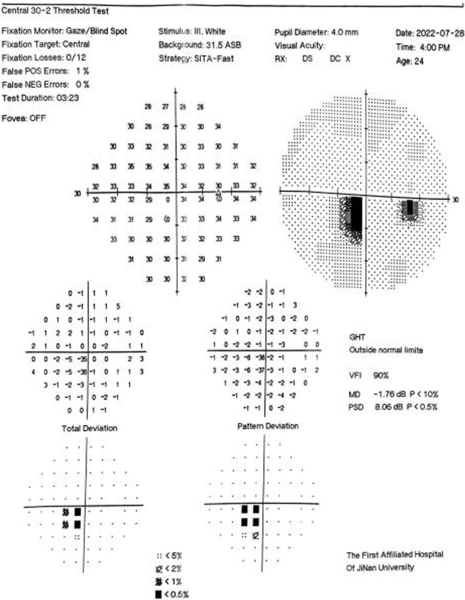
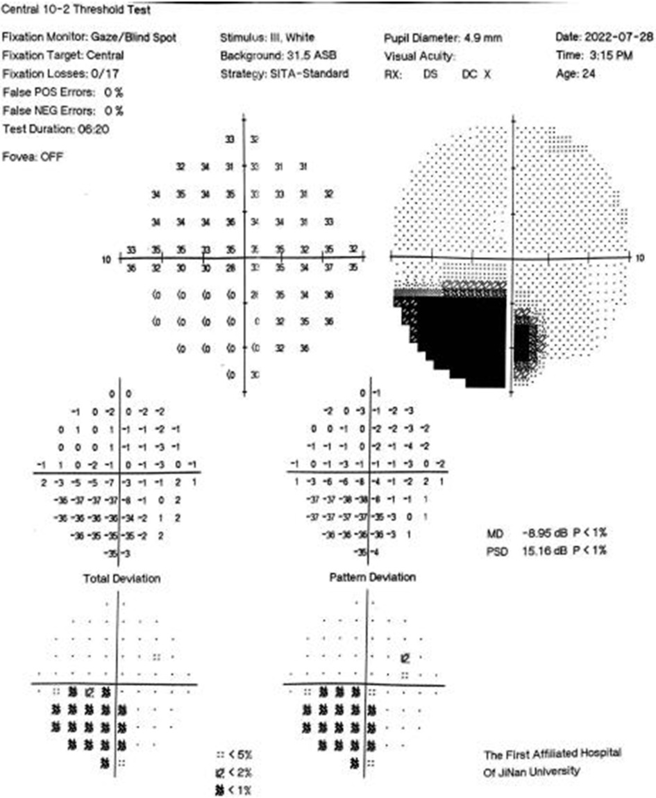
单眼视野分析(中央30-2阈值测定)提示:右眼鼻下侧存在部分缺损(见图4)。再进一步使用中央10˚视野检测程序时更明显发现此患者中心视野存在明显缺损。单眼视野分析(中央10-2阈值测定)提示:右眼鼻下侧存在约一个象限的视野缺损(见图5)。

Figure 2. The yellow arrow indicates a dentate protrusion of the internal limiting membrane near the macular area of the right eye

2. 黄色箭头所指示右眼黄斑区附近内界膜呈齿状凸起

Figure 3. The blue arrow indicates the absence of retinal and choroidal tissue in the lesion area, with thinning and defects in the retinal pigment epithelium (RPE) layer within the depressed region

3. 蓝色箭头所指示病灶区视网膜、脉络膜组织缺失,凹陷区域内RPE层变薄及缺损

Figure 4. A partial defect is present in the inferonasal quadrant of the right eye

4. 右眼鼻下侧存在部分缺损

Figure 5. A visual field defect of approximately one quadrant is present in the inferonasal region of the right eye

5. 右眼鼻下侧存在约一个象限的视野缺损

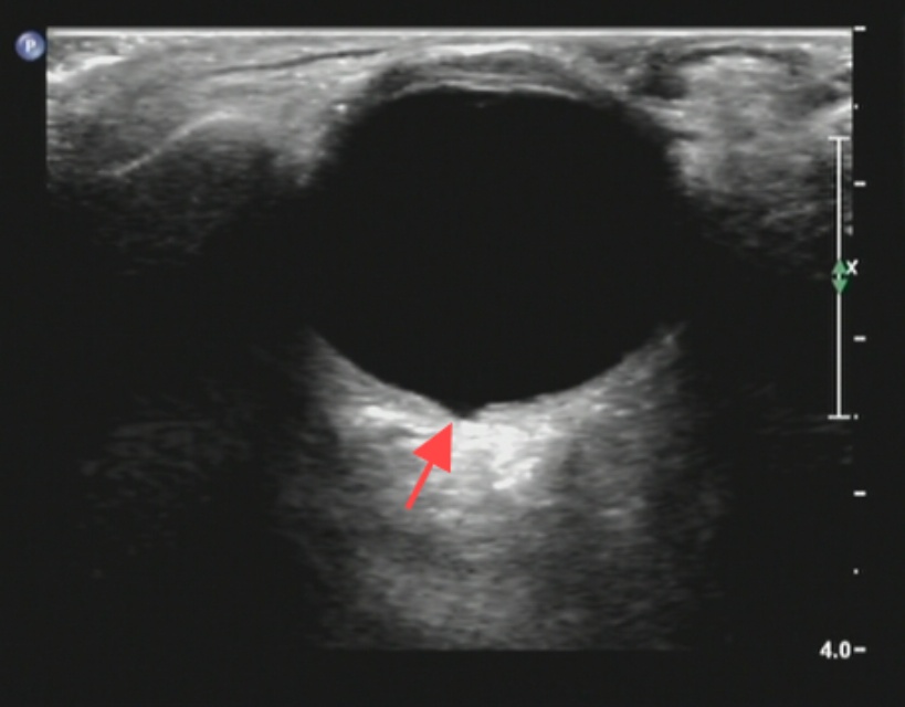
眼部超声多普勒提示:右眼眼球后内壁视乳头颞侧局部回声不均匀,范围约7 mm,内可见一处凹陷,较大范围约1.3 mm × 4.0 mm (见图6);左眼未见明显异常。

Figure 6. The red arrow indicates the depressed area on the temporal side of the optic disc on the posterior inner wall of the right eyeball

6. 红色箭头所指为右眼眼球后内壁视乳头颞侧凹陷部位

诊断:右眼先天性黄斑缺损。

2. 讨论

黄斑缺损是一种先天性遗传及发育障碍性疾病,多为常染色体显性遗传,少数为隐性遗传,也存在散发病例[1]。临床上多为单眼发病,双眼少见,主要表现包括中心视力下降、中心或旁中心视野缺损、色盲或色觉敏感度下降、斜视以及ERG改变[2];还可合并其它先天性异常如虹膜缺损、视盘缺损、小角膜、小眼球等[1]。病灶可位于黄斑或黄斑附近,表面平坦或轻中度凹陷,其大小、形状和颜色呈不规则变化[3]。OCT检查可反映病灶部位黄斑区视网膜脉络膜组织不同程度的局限性向外凹陷;病灶区视网膜神经上皮层不同程度的缺损;视网膜色素上皮层反射不均的现象[4] [5]。根据以往大多病例报道所见,患者视力多在指数/眼前至0.2之间[6]-[9],且矫正视力多不提高,极少数患者可有0.5的视力,考虑与凹陷区视网膜神经上皮层变薄及缺损有关[10]。该患者眼底病灶明显,但最佳矫正视力可达1.0,可能是由于患者的黄斑区结构仍存在,因此未对患者最佳矫正视力造成明显影响。黄斑区外核层局限性隆起,推测可能与局部脉络膜及视网膜缺损牵拉周边视网膜有关[7]。视野检查发现患者存在右眼鼻下方视野缺损,其结果与患者病灶位于黄斑区颞上方相吻合。

本病需与以下疾病鉴别:(1) Stargardt病:典型的眼底表现为黄斑部出现横椭圆形萎缩区,视网膜呈青灰色,并有金箔样反光,横径多为1~3 PD,STGD常伴有眼底黄色半点,这些斑点主要分布在黄斑区[11];(2) 中心性晕轮状脉络膜营养不良:初发时眼底改变轻微,表现黄斑区反光弥散,RPE色素脱失与色素沉着相间的椒盐状外观,其在OCT表现中I期可出现轻微的RPE层中断、椭圆体(IS/OS)带隆起和点状中断,也可表现局部RPE和光感受器外节均中断。II期有较大范围椭圆体带中断和某种程度的外界膜也中断,该范围内外核层变薄和不规则。III期显示RPE层到外界膜层消失,萎缩病灶边界相对锐利,在病灶边界附近可见到光感受器层内玫瑰花样结构,还可见到外丛状层内低反射空间。IV期萎缩病灶内所有外层视网膜均消失,仍能见到玫瑰花结构;(3) 年龄相关性黄斑变性的瘢痕期:发病年龄多在50岁以上,以往可有黄斑出血病史,眼底可见玻璃膜疣;(4)脉络膜炎:在陈旧性脉络膜炎,眼底可见大小不等的视网膜脉络膜萎缩病灶,萎缩区可在眼底任何部位,不一定在后极部,萎缩灶内可见大量色素增生;(5) 高度近视眼:患者有高度近视病史和巩膜后葡萄肿,黄斑区大片视网膜和脉络膜萎缩,呈白色合并有不同程度的色素增生,边界常不规则[12]

临床上根据缺损部位的色素多少、视网膜、脉络膜缺损程度及血管的走行及分布分为三个类型,即色素型、无色素型、黄斑缺损合并异常血管吻合型:(1) 色素型,临床上所见大多为色素型,在黄斑缺损区及边缘有大量色素,浓淡不均,色素堆积处几乎覆盖全部暴露的巩膜,色素稀少处可透见巩膜,缺损区可看到脉络膜大血管,表面视网膜较菲薄但可看到视网膜血管走行正常或弯曲;(2) 无色素型,缺损区内色素较少,仅在缺损处的边缘可见色素沉着。巩膜明显暴露,缺损区内没有视网膜和脉络膜血管,视网膜血管在缺损边缘可突然终止,或视网膜血管只沿着缺损的边缘走行,不进入缺损区,病灶边缘锐利,境界清晰,无色素型黄斑缺损较少见;(3) 黄斑缺损合并血管异常型:此型更少见,脉络膜血管与视网膜血管异常吻合或血管自缺损底部走出后进入玻璃体或伸向晶状体[12]。该患者缺损区内色素增生,不伴有脉络膜血管及视网膜血管异常,但可透见黄白色巩膜,属于色素型(和无色素型存在交叉)。

刘忆南和魏文斌[13]报道的2例患者在先天性黄斑缺损的基础上均继发视网膜脱离,且其在手术中见黄斑缺损区存在视网膜裂孔,推测其可能为原发病导致的黄斑区视网膜薄变所形成的裂孔。目前针对该疾病尚未确立特异性治疗手段,对于旁中心视力较好的病例,可考虑实施屈光矫正或弱视训练[12],但需强调定期随访的重要性,必要时通过眼底检查及影像学监测视网膜病变的进展状况。

3. 结论

此病例中患者右眼病灶未完全破坏黄斑区视网膜结构,使患者仍保有较好的矫正视力。此外,由于该患者病灶面积较小,对患者右眼视野导致的缺损亦不明显。因此,此病并未对患者日常生活产生明显影响。故对于该患者的治疗,定期随访即可。

声 明

该病例报道已获得病人的知情同意。

NOTES

*通讯作者。

参考文献

[1] Hayasaka, Y. and Hayasaka, S. (2004) Bilateral Congenital Macular Coloboma in a Boy with Down Syndrome. European Journal of Ophthalmology, 14, 565-567. [Google Scholar] [CrossRef] [PubMed]
[2] 吴万民, 孙莉, 杨义, 等. 双眼先天性黄斑缺损一例[J]. 中华眼视光学与视觉科学杂志, 2018, 20(7): 442-444.
[3] 刘卫, 张勇进. 先天性黄斑缺损母女2例[J]. 中华眼底病杂志, 2006, 22(6): 423-424.
[4] 杨继红, 吴子旭. 先天性黄斑缺损的光相干断层扫描检查[J]. 中华眼底病杂志, 2005, 21(2): 97-99.
[5] 吴敏, 肖丽波, 李娟娟, 等. 先天性黄斑缺损的光学相干断层扫描图像特征分析[J]. 实用医学杂志, 2010, 26(8): 1464-1465.
[6] 赵芳, 杨兰, 韩媛. 双眼先天性黄斑缺损病1例[J]. 临床眼科杂志, 2020, 28(2): 180-181.
[7] 樊旭, 关娟, 赵慧英, 等. 先天性黄斑缺损1例[J]. 山东大学耳鼻喉眼学报, 2012(3): 93-94.
[8] 姚帮桃, 刘刚, 陈旭剑, 赵孝贵. 先天性巨大黄斑缺损1例[J]. 中国眼耳鼻喉科杂志, 2022, 22(3): 308-310.
[9] 石东, 叶亲颖, 颜日丽, 等. 双眼先天性巨大黄斑缺损一例[J]. 眼科, 2024, 33(4): 315-316.
[10] 兰芳, 朱东, 郭春娜. 儿童单眼先天性黄斑缺损1例[J]. 中国医药指南, 2015(26): 214-215.
[11] 马雯, 王平宝, 闵晓珊, 等. Stargardt病的眼底表现及眼底荧光血管造影特征[J]. 中国现代医学杂志, 2004(2): 100-102.
[12] 刘文. 临床眼底病: 内科卷[M]. 北京: 人民卫生出版社, 2015: 218-219.
[13] 刘亿南, 魏文斌. 先天性黄斑缺损继发视网膜脱离二例[J] . 中华眼底病杂志, 2016, 32(2): 204.