病例报道:寄生胎
Case Report: Fetus-in-Fetu
摘要: 背景:寄生胎(fetus-in-fetu, FIF)为极罕见的先天性异常,多位于腹膜后,临床表现缺乏特异性,易与肠梗阻或畸胎瘤等混淆。影像学检查对术前识别及手术决策具有重要价值。病例介绍:患儿男,2岁,以“腹部不适4天、哭闹、食欲差、2天未排便”入院。体检上腹部可触及约10 × 9 cm质韧肿块,活动度可,无明显压痛。腹部彩超提示小肠囊性扩张并左上腹混合回声包块,考虑肠梗阻。进一步盆腔CT示腹腔偏左巨大团块状混杂密度灶,内含脂肪、软组织及骨性密度影,周围伴囊性低密度,增强后见系膜血管与病灶内部结构相连,术前考虑腹腔内寄生胎;肿瘤标志物部分升高(如CEA、CA19-9等)。行开腹手术完整切除肿物,术中见肿物来源于腹膜后,囊实性,大小约15 × 9 × 8 cm,与胰腺及脾静脉关系密切;抽出囊液约400 ml白色浑浊黏稠液。病理示皮肤、胰腺、神经、骨/软骨/骨髓及完整肠壁、胃壁结构等分化良好组织,结合临床影像最终诊断为寄生胎。术后肿瘤标志物下降,随访15个月患儿生长发育正常。结论:儿童腹膜后巨大占位且影像显示脂肪/骨性成分并与宿主系膜血管相连时,应高度怀疑寄生胎。CT (必要时增强)对术前诊断与鉴别诊断至关重要;治疗以完整切除肿物及囊壁为主,术后建议结合肿瘤标志物与断层影像进行随访,以警惕少数复发或恶变相关风险。
Abstract: Background: Fetus-in-fetu (FIF) is an extremely rare congenital anomaly, mostly located in the retroperitoneum. Its clinical manifestations lack specificity and are easily confused with intestinal obstruction or teratoma. Imaging examinations are of great value for preoperative identification and surgical decision-making. Case Presentation: A 2-year-old male child was admitted to the hospital with the chief complaints of “abdominal discomfort for 4 days, crying, poor appetite, and no defecation for 2 days”. During physical examination, a firm mass approximately 10 × 9 cm in size was palpable in the upper abdomen, with good mobility and no obvious tenderness. Abdominal ultrasound indicated cystic dilation of the small intestine and a mixed echo mass in the left upper abdomen, suggesting intestinal obstruction. Further pelvic CT showed a large, heterogeneous density mass in the left side of the abdominal cavity, containing fat, soft tissue, and osseous density shadows, accompanied by cystic low density areas around it. After enhancement, the mesenteric blood vessels were found to be connected to the internal structure of the lesion. Preoperative diagnosis considered an intra-abdominal fetus-in-fetu; some tumor markers were elevated (such as CEA, CA19-9, etc.). An exploratory laparotomy was performed to completely remove the mass. During the operation, the mass was found to originate from the retroperitoneum, being cystic-solid, approximately 15 × 9 × 8 cm in size, and closely related to the pancreas and splenic vein. Approximately 400 ml of white, turbid, and viscous cystic fluid was aspirated. Pathology showed well-differentiated tissues such as skin, pancreas, nerves, bone/cartilage/bone marrow, and complete intestinal and gastric wall structures. Combined with clinical imaging, the final diagnosis was fetus-in-fetu. After the operation, the tumor markers decreased, and the child’s growth and development were normal during the 15-month follow-up. Conclusion: In children with a large retroperitoneal mass and imaging showing fat/osseous components connected to the host’s mesenteric blood vessels, fetus-in-fetu should be highly suspected. CT (enhanced CT if necessary) is crucial for preoperative diagnosis and differential diagnosis. The main treatment is complete resection of the mass and cyst wall. After the operation, it is recommended to conduct follow-up in combination with tumor markers and tomographic imaging to be vigilant against the risks of recurrence or malignancy in a small number of cases.
文章引用:刘晓航, 陈维秀, 马楠, 王若义. 病例报道:寄生胎[J]. 临床医学进展, 2026, 16(3): 1994-1999. https://doi.org/10.12677/acm.2026.163987

1. 引言

寄生胎(fetus-in-fetu, FIF)是一种极其罕见的先天性异常,通常被认为与单卵双胎胚胎发育过程中异常包裹相关,其特征为在宿主体内出现结构相对分化良好的“类胎体”组织。既往报道显示,约80%的FIF位于腹膜后,也可见于颅内、阴囊、骶尾部、口腔及肾上腺等非典型部位。由于其临床症状多由占位效应引起(如腹胀、腹痛/不适、喂养差、呕吐或排便异常等),缺乏特异性,临床上常被误诊为肠梗阻或畸胎瘤等。影像学检查是FIF术前识别的关键。超声具备无创、便捷等优势,但易受肠气及操作者经验影响;CT尤其是增强CT可更清晰显示病灶内脂肪、软组织及骨性成分,并观察与宿主血管(如系膜血管)之间的供血联系,为判断病变性质、制定手术策略及评估邻近脏器受压关系提供依据。另一方面,FIF与畸胎瘤在影像与病理层面存在交叉,临床需重点关注是否存在较为系统的解剖结构、供血血管与宿主相连等线索,并结合术后病理进行最终确诊。本文报道1例2岁男童腹膜后寄生胎病例,患儿以腹部不适及便秘样表现起病,初诊超声倾向肠梗阻,后经CT提示寄生胎并行手术完整切除,病理证实诊断。通过本例拟强调:对儿童腹膜后巨大混杂密度占位,应提高对FIF的识别意识;增强CT在术前诊断、鉴别诊断及手术规划中的价值;以及术后结合肿瘤标志物与断层影像随访的重要性。

2. 病例

患儿男,2岁,因“腹部不适4天”入院。4天来患儿饮食不佳,间断哭闹,2天未排便。就诊于我院,查体:上腹部可及质韧肿块(图1),大小约10*9 cm,活动度可,无压痛及反跳痛。行腹部彩超提示:上腹部小肠囊性扩张(宽约2.7 cm,范围约7.1*7*4.8 cm,小肠未见蠕动,肠壁未见血流信号)并左上腹混合回声包块形成(大小约7.8*7.6*7.1 cm,其内未见明显血流信号)。超声报告:考虑肠梗阻。

Figure 1. Preoperative physical examination showed a huge upper abdominal mass

1. 患儿术前查体示上腹部巨大肿块

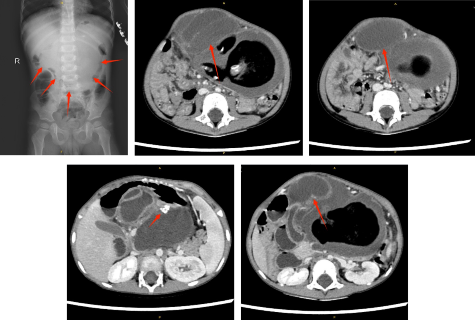
Figure 2. Preoperative abdominal upright plain film and enhanced CT images of the child

2. 患儿术前腹部立位平片及增强CT图像

然而,患儿的确诊有赖于入院后的进一步检查,盆腔CT显示腹腔偏左侧见巨大团块状混杂密度灶,脂肪密度影、软组织密度及骨性密度影(图2),周围可见囊性低密度,病灶边缘可见多发迂曲扩张肠管影,可见系膜影,邻近结构受推压,最大径约10.6 cm,右上腹见扩张肠管,内见积液;胰腺受压,大部分显示欠清,胰尾部显示可,未见异常密度,胰管未见明显扩张。增强CT:增强扫描可见系膜血管影,与病变内部结构相连。经过CT提示:腹腔内巨大占位,考虑为腹腔内寄生胎,术前实验室检查:NSE:28.3 ng/ml↑;CA19-9:107.00 U/ml↑;CA125:75.70 U/ml↑;CA153:10.40 U/ml;CEA:29.10 ng/ml↑;AFP:<0.91 ng/ml (图3)。初步明确肿物的性质后,我们为患儿实施了开放手术并完整切除了肿物,手术中:见肿物为腹膜后来源,大小约15*9*8 cm,右侧为囊性部分,左侧为囊实性部分,与胰腺及脾静脉关系密切,胰腺被挤压向前下,质地菲薄。肿瘤巨大,自腹部刀口显露困难,自右侧抽取囊液共约400 ml,为白色浑浊粘稠液体。打开后腹膜,沿肿瘤边缘锐、钝性分离,逐渐将肿瘤完整切除,见后腹壁正中有一肿瘤的主要供血血管。标本术后给予剖开,见右侧为肠管组织,内有肠液、脓液样物质及肠粘膜组织,左侧内有大量皮脂样物质、脂肪组织及软骨组织,标本家属过目后送常规病理。病理(图4):病理查见皮肤、皮下组织、胰腺组织、神经组织、骨、软骨及骨髓组织,局部见完整的肠壁、胃壁结构及衬覆尿路上皮的管状结构,结合临床及影像学检查,最终诊断为寄生胎。

术后肿瘤指标:NSE:39.2 ng/ml↑;CA19-9:48.80 U/ml↑;CA125:26.30 U/ml;CEA:2.60 ng/ml (图3)。

Figure 3. Preoperative and postoperative tumor indicators in children

3. 患儿术前及术后肿瘤指标

Figure 4. Pathological picture

4. 病理图片

术后随访15月,患儿生长发育正常。

3. 讨论

寄生胎(FIF)是一种极其罕见的先天性异常,发病率为1/500,000 [1] [2]。FIF一词最早由Meckel在18世纪末描述[3],Willis将其定义为一种含有脊柱轴的肿块,该脊柱轴周围通常还伴有其他器官或肢体[4]。据既往文献报道,FIF多于出生后2~3周发现,但随着产前超声的发展,产妇在妊娠中晚期即可发现胎儿腹部的钙化性肿块,根据胎儿的发育情况及肿物的生长部位,可以选择终止妊娠或者生后进行肿物切除手术[5]

寄生胎的首发症状和主要临床表现根据其位置及累及脏器而有所不同,80%的FIF中位于腹膜后区域,但也可能出现在非典型位置,例如颅骨、阴囊、骶骨、口腔和肾上腺[6] [7]。严重者压迫周围组织可导致周围组织的破坏性病变和发育不良[8]。本例患儿以腹部不适为首发症状,结合腹部彩超示腹部回声包块形成,易误诊为肠梗阻或畸胎瘤。影像学在准确的术前诊断中发挥着重要作用,超声检查虽有方便、经济、无创等诸多优势,但是因受到腹部肠气、检查者操作手法等影响,诊断有一定局限性。Spencer [9]提出,FIF需要至少具有以下特征之一:(1) 包裹在分离的囊中;(2) 有部分或完全覆盖的正常皮肤;(3) 具有可识别的解剖结构;(4) 有血管与宿主相连;(5) 联体双胎或包含神经管或胃肠系统。

FIF常需要与畸胎瘤的诊断进行鉴别。FIF被认为源于发育中囊胚内全能细胞的不均等分裂,导致成熟双胎胚胎内形成微小细胞团。由此产生的发育不全的双羊膜单绒毛膜双胎随着发育进程被包裹在另一正常双胎体内[10] [11]。与此相对,畸胎瘤定义为由多能细胞衍生的、含单层或多层胚层组织、无系统性组织结构、且具有分化为成熟或恶性组织潜能的肿瘤[11]。因此,细胞遗传学检查是明确诊断的金标准,畸胎瘤在宿主正常组织表现出杂合性的位点处是纯合的,但胎中胎儿在遗传上与其宿主相同[6] [11]。本例患儿未进行遗传学检查。

目前,FIF的诊断依据包括中轴骨骼(脊柱)和/或长管状肢体骨的存在,同时伴有结构复杂、分化良好的组织[7] [12]。因此,区分FIF和畸胎瘤通常基于FIF中发育良好的轴向骨骼的存在。因为中轴骨骼意味着胚胎发育超过原始条纹阶段,该阶段被认为对于畸胎瘤来说过于发达[11]。但并不是所有FIF病例都有明显的中轴骨结构[8],本例患儿CT虽未见明显的中轴骨系统,但可见软组织内的骨性密度影,且本例病理检查见分化良好的组织,即局部完整的肠壁、胃壁结构以及衬覆尿路上皮的管状结构。四分之一的FIF病例报告中没有脊柱,但器官发生已发展到较高阶段。Gonzales-Crussi和Spencer重新定义了FIF的各个组成部分[13]

有文献提到,寄生胎患儿的血清AFP、CEA和β-HCG等可能升高,但目前未发现这些肿瘤指标与FIF正相关[2] [10]。本例患儿术前CEA等肿瘤指标升高,术后有所下降,而AFP术前及术后均处于正常范围,但考虑到FIF切除后仍有恶性畸胎瘤复发的可能,因此术中需要完整切除肿物及囊壁,术后需要定期检测肿瘤标志物水平以及进行断层影像学检查,对该患儿进行随访监测[10]

声 明

该病例报道已获得患者的知情同意。

NOTES

*共同通讯作者。

参考文献

[1] Gude, D., Rayudu, B.R., Bansal, D. and Sashidhar, C. (2012) Revisiting Fetus-in-Fetu. Annals of Saudi Medicine, 32, 427-429. [Google Scholar] [CrossRef] [PubMed]
[2] Palo, S., Mangla, M., Gabbeta, S. and Motwani, R. (2024) Demystifying Fetus-in-Fetu: A Systematic Review of Its Clinical and Pathological Attributes. Journal of Indian Association of Pediatric Surgeons, 29, 406-416. [Google Scholar] [CrossRef] [PubMed]
[3] Rajakumar, R., Singhal, A., Sana, S. and Vani, K. (2021) Imaging Findings in Fetus-in-Fetu-Misdiagnosed Commonly as Teratoma. International Journal of Contemporary Pediatrics, 8, 1905-1908. [Google Scholar] [CrossRef
[4] Willis, R.A. (1935) The Structure of Teratomata. The Journal of Pathology and Bacteriology, 40, 1-36. [Google Scholar] [CrossRef
[5] Ruffo, G., Di Meglio, L., Di Meglio, L., Sica, C., Resta, A. and Cicatiello, R. (2019) Fetus-in-Fetu: Two Case Reports. The Journal of Maternal-Fetal & Neonatal Medicine, 32, 2812-2819. [Google Scholar] [CrossRef] [PubMed]
[6] Weiss, J.R., Burgess, J.R. and Kaplan, K.J. (2006) Fetiform Teratoma (Homunculus). Archives of Pathology & Laboratory Medicine, 130, 1552-1556. [Google Scholar] [CrossRef] [PubMed]
[7] Brand, A., Alves, M.C., Saraiva, C., Loío, P., Goulão, J., Malta, J., et al. (2004) Fetus in Fetu—Diagnostic Criteria and Differential Diagnosis—A Case Report and Literature Review. Journal of Pediatric Surgery, 39, 616-618. [Google Scholar] [CrossRef] [PubMed]
[8] Wang, L., Long, B., Zhou, Q. and Zeng, S. (2019) Prenatal Diagnosis of a “Living” Oropharyngeal Fetus in Fetu: A Case Report. BMC Pregnancy and Childbirth, 19, Article No. 453. [Google Scholar] [CrossRef] [PubMed]
[9] Spencer, R. (2001) Parasitic Conjoined Twins: External, Internal (Fetuses in Fetu and Teratomas), and Detached (Acardiacs). Clinical Anatomy, 14, 428-444. [Google Scholar] [CrossRef] [PubMed]
[10] Ji, Y., Chen, S., Zhong, L., Jiang, X., Jin, S., Kong, F., et al. (2014) Fetus in Fetu: Two Case Reports and Literature Review. BMC Pediatrics, 14, Article No. 88. [Google Scholar] [CrossRef] [PubMed]
[11] Robinson, T.L., Surapaneni, K. and Nardi, P.M. (2008) Intracecal Fetiform Teratoma. Pediatric Radiology, 38, 336-339. [Google Scholar] [CrossRef] [PubMed]
[12] Palo, S., Mangla, M., Motwani, R., Gabbeta, S., Mishra, M. and Kanikaram, P.K. (2025) Fetiform Teratoma: A Systematic Review with Insights into Concepts and Controversies in Differentiating It from Fetus-in-Fetu. Pediatric Surgery International, 41, Article No. 170. [Google Scholar] [CrossRef] [PubMed]
[13] Kumar, B., Sinha, A.K., Kumar, T., Kumar, P., Sinha, C. and Kumar, A. (2016) Is Definition of “Fetus in Fetu” Needs Revision: A Case Report and Review of Literature. Journal of Pediatric Surgery Case Reports, 12, 24-26. [Google Scholar] [CrossRef