先天性耻骨前窦道与耻骨上窦道
Congenital Prepubic Sinus versus Suprapubic Sinus
DOI: 10.12677/acm.2026.163997, PDF, HTML, XML,    科研立项经费支持
作者: 杨全心, 王桐桐, 周迈遥, 赵 静, 张桓瑜*:青岛大学附属医院小儿外科,山东 青岛;李 睿:青岛大学附属妇女儿童医院泌尿外科,山东 青岛
关键词: 耻骨前窦道耻骨上窦道先天性儿童Prepubic Sinus Suprapubic Sinus Congenital Child
摘要: 目的:总结4例儿童先天性耻骨前窦道病例的诊疗经验,探讨与耻骨上窦道的区别。方法:回顾性分析2017年7月至2021年4月,我院收治的4例先天性耻骨前窦道患儿的临床表现、手术方法及疗效。同时结合文献分析与耻骨上窦道的区别。结果:4例患儿均表现为下腹部中线上脐与尿道或阴蒂根部之间异常窦道。术前超声诊断为皮下窦道,术中经窦道外口注入美兰证实窦道未与膀胱或脐尿管残迹相连,均完整切除窦道并证实窦道为盲端,最终诊断为先天性耻骨前窦道。耻骨上窦道来源于脐尿管残迹,远端同样可异常开口于下腹部中线上脐至耻骨联合之间,但窦道近端与脐尿管相通。手术需切除窦道并同时切除脐尿管以防癌变、复发或继发感染。结论:先天性耻骨前窦道和耻骨上窦道均为小儿下腹壁中线处罕见畸形,但二者发病机制不同,虽临床表现相似且均需手术切除,但手术方式存在差别。
Abstract: Objective: To review the experience of diagnosing and treating congenital prepubic sinus in children. To investigate the difference between congenital prepubic versus suprapubic sinus. Methods From March 2017 to April 2021, 4 infants congenital prepubic sinus patients were admitted to our institute. Preoperative ultrasound about the sinus was performed. Methylene blue was injected into sinus as a guide during operation. Results: All the four congenital prepubic sinus were located between the root of the penis and the umbilicus diagnosed as dermal sinus by US, and were completely resected. These tracts were not in any relationship to bladder or urachus with the blind ending. While suprapubic sinus is related to the urachus and terminates at bladder or median umbilical ligament. During the resection, both sinus and urachus needed to be respected for preventing carcinogenesis, recurrence or infection. Conclusion: Suprapubic sinus and congenital prepubic sinus are two different rare pathologies in children with sinus opening in the lower abdomen, with quite similar presentation but need different operation methods.
文章引用:杨全心, 李睿, 王桐桐, 周迈遥, 赵静, 张桓瑜. 先天性耻骨前窦道与耻骨上窦道[J]. 临床医学进展, 2026, 16(3): 2074-2079. https://doi.org/10.12677/acm.2026.163997

1. 引言

先天性耻骨前窦道(congenital prepubic sinus)为开口于脐部至阴蒂或阴囊根部之间下腹壁中线部位不与膀胱或尿道相通的皮肤窦道,是在儿童中较少见的一种先天性畸形[1],病因尚未完全明确。本病最早由Cambell [2]于1987年首次报道,直至目前该病仍仅见于散在个案报道。而耻骨前窦道属于先天性脐尿管畸形的一种罕见类型,同样表现为开口于脐部与耻骨联合之间下腹壁中线部位的皮下窦道。上述两种疾病发病率均极低且临床表现相似,超声科及临床医生易将二者混淆。截至目前,国内尚无将二者综合对比分析的报道。由于二者发病机制及手术方式不同,故本文将对本院2017年7月至2021年4月收治的4例先天性耻骨前窦道病例的诊治经验做一总结,并结合国内外文献探讨与耻骨上窦道的区别。

2. 资料与方法

2.1. 病例资料

病例1,男,10岁。因“发现阴茎根部异常瘘口3年余”入院。体检发现阴茎根部背侧有一约1 mm异常开口,见少量透明清亮液体溢出。超声提示“瘘管处深部约0.3 * 0.2 cm混合回声,深部维达海绵体白膜,周围未与膀胱或尿道相连”。

病例2,女,2岁。因“发现会阴部异常瘘口伴间断性渗液1年余”入院。体检发现阴阜部一约1 mm异常开口,按压周围组织可见少量淡黄色清凉渗液,瘘口下可触及一条索状物。超声提示“瘘管处深方偏上探及长约1.12 cm条状低回声”。

病例3,女,9岁。因“发现会阴部异常瘘口伴间断渗液生后至今”入院。体检发现阴阜部一约1 mm异常开口,约0.6 cm范围周围皮肤炎性瘢痕改变。按压周围组织可见少许粘稠液体溢出。超声提示瘘口处深方低回声结构伴窦道。

病例4,女,1岁。因“发现下腹壁异常瘘口伴反复感染3月”入院。体检发现耻骨上4 cm腹白线处约1 mm皮肤异常开口,按压周围组织可见少许白色脓性渗液。超声提示“下腹中部白线区腹直肌深方与膀胱之间3.3 * 0.6 cm低回声区,未与膀胱相通,考虑窦道”(图1)。

2.2. 治疗方法

因根据术前超声结果,均未提示瘘管深方与膀胱、脐尿管或尿道相通,故4例患儿未行窦道造影及MR检查,均行手术治疗切除瘘管。

手术方法:患儿平卧位,气管插管全身麻醉,留置导尿管。术中自瘘口置入4号输尿管支架管,注入适量美兰作术中引导,同时挤压膀胱观察尿管中的尿液是否有美兰排出,以此判断窦道是否与膀胱及尿道相通。沿窦道开口取梭形横切口,按照美兰染色的窦道方向向深部分离,在窦道穿过腹白线的位置切开腹白线,紧贴窦道继续分离,可见窦道逐渐变细,末端呈盲端终止于尿道白膜或腹横筋膜与腹膜之间,不与膀胱、脐尿管或尿道相通。离断窦道盲端完整切除窦道(图1)。术后标本送病理(图2)。

Table 1. Sinus tract opening sites, lengths, courses, and pathological examination results of the four cases

1. 4例病例窦道开口部位、长度、窦道走向及病理检查结果

病例

部位

长度(cm)

直径(mm)

和耻骨的关系

盲端位置

病理结果

1

阴茎根部

6

3~5

耻骨下方

近尿道球部

复层鳞状上皮、部分类似尿道上皮

2

阴蒂根部

5.5

5~7

穿越耻骨前方

膀胱顶部

复层鳞状上皮、单层粘液上皮、复层柱状上皮

3

耻骨联合下2 cm

5

6~8

穿越耻骨后方

膀胱颈前下方

复层鳞状上皮

4

耻骨联合上4 cm

6.5

3~5

接近耻骨联合折返向上

膀胱上方

鳞状及柱状上皮

3. 结果

4例患儿窦道长度、窦道走向、盲端位置和病理检查结果见表1

4例患儿均一期完整切除窦道。术中发现病例3窦道紧贴耻骨软骨后方,再于腹膜外脂肪层终止于膀胱颈前方。因窦道未穿过耻骨软骨未切除相关软骨骨膜。术中窦道内注射美兰,按照美兰指引可明确4例患儿窦道与泌尿生殖道及腹腔无交通。病例4患儿因窦道反复发生感染,致使窦道与周围组织粘连较重,手术时间相应延长。术中无明显出血,手术时间分别为45、80、35、60 min。术后伤口愈合均为1/甲,无并发症发生。

术后4例患儿均获随访,随访时间10~36个月,伤口美观,窦道无复发情况。

注:A病例4,超声提示窦道位置与走行;B病例4,窦道完整切除后的外观。

Figure 1. Clinical imaging features and postoperative specimen of the sinus tract in case 4

1. 病例4窦道的影像学特征及术后切除标本

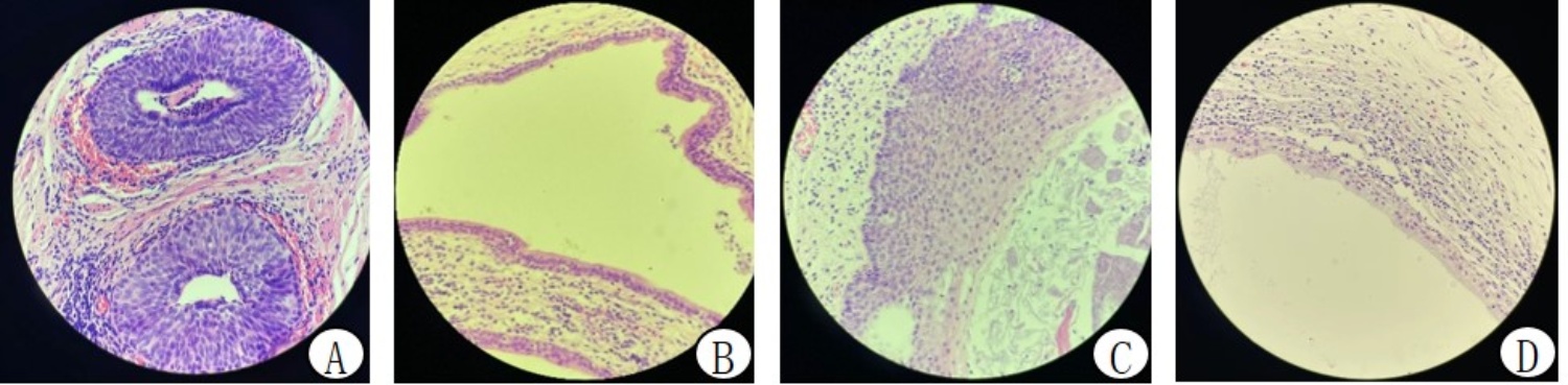
注:HE×40 A病例1窦道内衬复层鳞状上皮、部分类似尿道上皮;B病例2窦道内衬复层鳞状上皮、单层粘液上皮、复层柱状上皮;C病例3窦道内衬复层鳞状上皮;D病例4窦道内衬柱状上皮及鳞状上皮。

Figure 2. H&E staining (×40): Epithelial lining types of the sinus tracts in each case

2. HE染色(×40):各病例窦道内衬上皮类型

4. 讨论

先天性耻骨前窦道是下腹部中线部位少见的先天性畸形。瘘管近端均为盲端,靠近脐尿管–膀胱–尿道的表面,但与之无沟通。目前临床上该病的病因尚未完全明确,但是存在以下四种假说:① 胚胎第四周腹壁融合缺陷。耻骨分离并且瘘管内衬鳞状上皮证明上述假说,但是在一些病例中瘘管深层存在移行上皮则不支持该假说[3];② 为尿道发育畸形即背侧重复尿道畸形的一种类型[4]。③ 起源于原始泌尿生殖窦的先天性窦道。根据窦道走行方向分为:高位,朝向脐尿管残迹;中位,朝向膀胱;低位,朝向前列腺尿道[5];④ 来源于泄殖腔残迹[6]。虽然各有病例类型支持上述四种假说,但尚无任何单一假说能够解释所有的耻骨前窦道的病因。目前,多数学者认为背侧重复尿道畸形为先天性耻骨前窦道的病因[7]。Huang [8]等通过对五例先天性耻骨前窦道免疫组化分析发现,窦道的近端部分为移行上皮并周围肌束环绕,由此推断窦道与尿道高度同源。

Stephens [9]根据解剖将重复尿道畸形分为3型:Ⅰ型,完全或不完全的管道平行于正常尿道,从阴茎头至膀胱,可能连接于正常尿道或终止于盲端;Ⅱ型,副尿道开口于阴茎背侧,与膀胱相连;Ⅲ型,类似副尿道的瘘管,开口于阴茎根部,经耻骨联合后方到达膀胱前。文献中报道的窦道符合Stephens Ⅱ型和Ⅲ型的居多。本研究中的四例窦道解剖学特点符合Stephens Ⅲ型解剖特点。

脐尿管畸形为胚胎期尿囊管退化不全所致的脐尿管先天性畸形,根据畸形部位和程度分为脐尿管窦、脐尿管囊肿、脐尿管瘘和膀胱脐尿管憩室[10]。耻骨上窦道为异常开口于脐与耻骨联合之间的脐尿管窦,临床可表现为间歇性排出脐分泌物,通过检索文献仅有五例年龄分别为2天、4天、2岁、4岁和8岁女童患儿的报道[11]-[14]。由于先天性耻骨前窦道发病率低,常被学者称为耻骨下窦道、耻骨前皮样窦道、耻骨上皮样窦道、先天性阴茎瘘管或阴囊中缝窦道[15] [16]等。由于以上两种疾病发病率均较低且临床症状类似,临床上易将二者概念混淆。Diller B. Groff [14]等曾于1991年报道两例新生儿女童耻骨上窦道,报道中使用“耻骨上皮样窦道”这一名称。陈海涛等曾报道三例先天性耻骨前窦道病例,但报道中多次使用“耻骨上窦道”这一名称[15]

文献报道认为对于先天性耻骨前窦道和耻骨上窦道,超声、MR和窦道造影检查可明确二者的诊断(见表2) [2] [17] [18]。但是根据我们目前的经验,超声检查即可提示窦道是否与脐尿管残迹相通,如未相通则可诊断为先天性耻骨前窦道,如果相通则可初步诊断为耻骨上窦道,可行窦道造影及MR检查了解窦道走行,进一步明确诊断。手术治疗是二者的唯一治疗方案,但术前存在窦道感染的患儿需抗感染治疗后择期手术。术前置尿管、向窦道内注入美兰并向窦道内置入支架管引导对完整切除窦道起关键作用。窦道内置入支架管,术中可起支撑作用,提示窦道的走行范围,再结合美兰可清楚显示窦道组织。如窦道经过耻骨联合软骨,可切除部分软骨以达到完整切除窦道的目的。耻骨前窦道完整切除窦道即可。对于耻骨上窦道,术中需完整切除窦道及脐尿管以避免复发、癌变或继发感染。本中心治疗的4例先天性耻骨前窦道末端均为闭合性盲端,与文献报道的情况一致。

Table 2. Key clinical, imaging, and pathological distinctions between congenital prepubic sinus and congenital suprapubic sinus

2. 先天性耻骨前窦道与耻骨上窦道临床、影像及病理鉴别要点

先天性耻骨前窦道

先天性耻骨上窦道

临床表现

窦口持续或间歇性流出清亮或淡黄色液体;排尿时窦口可有液体溢出;常伴有阴茎短小、下弯、背侧包皮缺如;无腹壁肿块

窦口流出脓性或浆液性液体(合并感染时);排尿时窦口通常无尿液流出;可触及脐尿管囊肿所致腹壁肿块

超声特征

窦道不延伸至膀胱;窦道末端位于耻骨联合前方软组织内;常伴有阴茎海绵体分离、耻骨间距增宽;膀胱位置及形态通常正常

可见条索状低回声自脐部向膀胱顶走行;若合并囊肿,可见膀胱顶–脐间囊性包块;膀胱顶壁可呈尖锥状(鸟嘴征);膀胱充盈时窦道不扩张

MRI

T2高信号细管状结构;窦道不接触膀胱,终点位于耻骨联合前方;冠状位可清晰显示耻骨间距增宽(>10 mm);阴茎脚分离

T2高信号条索影连接膀胱顶与脐部;膀胱顶部可见脐尿管憩室样突起;窦道全程位于腹膜外;增强扫描窦壁可有强化

病理

内衬复层鳞状上皮;窦壁可见平滑肌束;无膀胱黏膜或腺上皮;周围纤维组织中可见慢性炎细胞浸润

内衬移行上皮(靠近膀胱端)或柱状上皮(靠近脐端);窦壁含两层平滑肌(内纵、外纵),与膀胱壁肌层延续;无皮肤附属器;合并感染时可见肉芽组织

综上所述,先天性耻骨前窦道与耻骨上窦道均需手术治疗的小儿下腹壁中线上少见的先天性畸形,但手术方式存在差异。先天性耻骨前窦道仅需完整切除窦道即可,而耻骨上窦道需切除窦道及脐尿管,以防止复发、癌变或残余感染的发生。超声检查、MR和窦道造影可明确二者的诊断。术前置尿管,术中窦道内注入美兰和置入支架管引导相结合,对于完整切除窦道有非常重要作用。如术前存在窦道感染情况,需在炎症控制后择期手术。

5. 声明

本研究已通过青岛大学附属医院医学伦理委员会审批,伦理批号:QYFYWZLL42118。家属均已签署知情同意书。

基金项目

国家自然科学基金(81272986, 81602395)。

NOTES

*通讯作者。

参考文献

[1] Usami, M., Hayashi, Y., Kojima, Y., Maruyama, T., Tozawa, K. and Kohri, K. (2005) Congenital Prepubic Sinus: A Variant of Dorsal Urethral Duplication (Stephens Type 3). International Journal of Urology, 12, 231-233. [Google Scholar] [CrossRef] [PubMed]
[2] Campbell, J., Beasley, S., Mcmullin, N. and Hutson, J.M. (1987) Congenital Prepubic Sinus: Possible Variant of Dorsal Urethral Duplication (Stephens Type 2). Journal of Urology, 137, 505-506. [Google Scholar] [CrossRef] [PubMed]
[3] Komura, J., Yano, H., Kanazawa, M., Tanaka, Y., Takagishi, T. and Sasaguri, Y. (1994) Congenital Prepubic Sinus. Pediatric Surgery International, 9, 287-289. [Google Scholar] [CrossRef
[4] Kim, H.Y., Shin, O.R., Jang, E.D., Yoon, B.I., Chung, M.S., Chung, Y.S., et al. (2007) Congenital Prepubic Sinus: A Variant of Urethral Duplication. Korean Journal of Urology, 48, 881-884. [Google Scholar] [CrossRef
[5] Soares-Oliveira, M., Juliá, V., Aparicio, L.G. and Morales, L. (2002) Congenital Prepubic Sinus. Journal of Pediatric Surgery, 37, 1225-1227. [Google Scholar] [CrossRef] [PubMed]
[6] Chou, T., Chu, C., Diau, G. and Chiang, J. (1995) Subpubic Sinus. The Journal of Urology, 153, 1671-1672. [Google Scholar] [CrossRef] [PubMed]
[7] Balster, S., Bettendorf, O., Brinkmann, O.A. and Hertle, L. (2003) Congenital Prepubic Sinus: Etiology and Therapy. Aktuelle Urologie, 34, 484-487
[8] Huang, C., Wu, W., Chai, C., Wu, T. and Chuang, J. (2001) Congenital Prepubic Sinus: A Variant of Dorsal Urethral Duplication Suggested by Immunohistochemical Analysis. The Journal of Urology, 166, 1876-1879. [Google Scholar] [CrossRef] [PubMed]
[9] Stephens, F.D. (1983) Abnormal Embryology-Cloacal Dysgenesis. In: Stephens, F.D., Ed., Congenital Malformations of the Urinary Tract, Praeger Scientific, 15-52.
[10] Novick, A.C., Partin, A.W. and Peters, C.A. (2012) Campbell-Was Urology. 10th Edition, Saunders, 3381-3385.
[11] Park, W. and Choi, S. (2003) An Unusual Urachal Sinus with External Opening in the Midline Suprapubic Area. Journal of Pediatric Surgery, 38, E18-E20. [Google Scholar] [CrossRef] [PubMed]
[12] Wang, B., Tashiro, J., Pelaez, L., Rodriguez, M.M., Perez, E.A., Neville, H.L., et al. (2013) A Unique Presentation and Rare Pathological Finding for Urachal Sinus. Journal of Pediatric Surgery, 48, 1977-1980. [Google Scholar] [CrossRef] [PubMed]
[13] Kalavant, A.B., Sanil, C., Halgeri, A.B., Annigeri, V.M., Javalgi, A.P. and Agnihotri, A. (2019) Suprapubic Sinus. Journal of Pediatric Surgery Case Reports, 41, 8-11. [Google Scholar] [CrossRef
[14] Groff, D.B. (1993) Suprapublic Dermoid Sinus. Journal of Pediatric Surgery, 28, 242-243. [Google Scholar] [CrossRef] [PubMed]
[15] Dhuria, S. (2017) Congenital Prepubic Sinus (Type 2 Stephens Variant of Epispadiac Dorsal Urethral Duplication): An Uncommon Anomaly. Academic Journal of Pediatrics & Neonatology, 3, 5-7. [Google Scholar] [CrossRef
[16] 陈海涛, 沈剑, 汤梁峰, 刘颖, 陆良生, 刘江斌, 毕允力, 阮双岁. 先天性耻骨上或阴囊中缝窦道3例[J]. 临床小儿外科杂志, 2013, 12(2): 161-162.
[17] Mostafa, M.S. and Darwish, A.A. (2019) Suprapubic versus Prepubic Sinus: A Literature Review. BMJ Case Reports, 12, e231138. [Google Scholar] [CrossRef] [PubMed]
[18] Das, J.P., Vargas, H.A., Lee, A., Hutchinson, B., O’Connor, E., Kok, H.K., et al. (2020) The Urachus Revisited: Multimodal Imaging of Benign & Malignant Urachal Pathology. The British Journal of Radiology, 93, Article 20190118. [Google Scholar] [CrossRef] [PubMed]