KLK5在甲状腺癌中的表达及相关性分析
Expression and Clinical Relevance of KLK5 in Thyroid Cancer
DOI: 10.12677/acm.2026.1631068, PDF, HTML, XML,   
作者: 顾佳慧, 白云峰:内蒙古科技大学包头医学院,内蒙古 包头;塔 拉, 施晓辉*:内蒙古自治区人民医院肿瘤中心甲状腺外科,内蒙古 呼和浩特
关键词: KLK5甲状腺癌预后免疫细胞免疫组化KLK5 Thyroid Cancer Prognosis Immune Cells Immunohistochemistry
摘要: 目的:探讨KLK5 (kallikrein like gene 2)在甲状腺癌(Thyroid Cancer, TC)中的表达特征及其与预后的关系。方法:收集2023年9月至2024年9月内蒙古自治区人民医院90例接受手术切除的甲状腺癌患者癌组织及配对癌旁正常组织标本。采用免疫组织化学检测甲状腺癌组织及癌旁正常组织中KLK5的表达情况及其临床病理特征之间的关系;采用TCGA、UCSC Xena、TNMPlot、GEPIA、TISIDB等公共数据库,分析KLK5表达、临床分期、生存预后及免疫微环境的关系。结果:免疫组化结果显示KLK5在甲状腺癌癌组织显著高于癌旁正常组织,差异有统计学意义(P < 0.05)。同时,肿瘤直径 > 1 cm甲状腺癌患者的KLK5阳性率显著高于直径 ≤ 1 cm患者(P < 0.05)。在淋巴结转移方面,有淋巴结转移的患者,其KLK5阳性率明显高于无淋巴结转移的患者,差异有统计学意义(P < 0.05)。通过TCGA数据库分析发现KLK5显著上调并与不良预后相关(P < 0.05)。并与M2巨噬细胞、肥大细胞正相关,与CD8+T细胞、浆细胞负相关(P < 0.05)。结论:KLK5在甲状腺癌中高表达,并与预后不良及免疫微环境调节相关,有望成为甲状腺癌的潜在分子标志物和治疗靶点。
Abstract: Objective: To delineate the expression profile of kallikrein-like peptidase 5 (KLK5) in thyroid cancer (TC) and to evaluate its prognostic significance. Methods: Ninety paired TC and adjacent normal tissue samples collected between September 2023 and September 2024 at the Inner Mongolia Autonomous Region People’s Hospital were analyzed by immunohistochemistry (IHC) for KLK5 expression and its association with clinicopathological parameters. Public repositories (TCGA, UCSC Xena, TNMplot, GEPIA and TISIDB) were mined to correlate KLK5 levels with tumor stage, survival outcomes and immune microenvironment signatures. Results: IHC revealed markedly higher KLK5 expression in TC tissues than in matched normal counterparts (P < 0.05). KLK5 positivity was significantly more frequent in tumors > 1 cm versus ≤ 1 cm (P < 0.05) and in patients with lymph-node metastasis versus those without (P < 0.05). TCGA data confirmed KLK5 up-regulation and showed that high KLK5 expression predicted poor prognosis (P < 0.05). Bioinformatic analyses further demonstrated positive correlations between KLK5 and M2 macrophage as well as mast-cell infiltration, and negative correlations with CD8T-cell and plasma-cell abundance (all P < 0.05). Conclusion: KLK5 is overexpressed in thyroid cancer, associates with adverse clinicopathological features and unfavorable prognosis, and may shape an immunosuppressive microenvironment. KLK5 represents a potential biomarker and therapeutic target for TC.
文章引用:顾佳慧, 白云峰, 塔拉, 施晓辉. KLK5在甲状腺癌中的表达及相关性分析[J]. 临床医学进展, 2026, 16(3): 2681-2691. https://doi.org/10.12677/acm.2026.1631068

1. 引言

甲状腺癌(Thyroid Cancer, TC)全球发病率持续上升,在2022年全球癌症统计中显示,甲状腺癌(TC)在女性中发病率位列第五[1]。TC中最常见亚型是乳头状甲状腺癌(Papillary Thyroid Carcinoma, PTC),占甲状腺癌的80%~84% [2] [3]。PTC是公认的分化较好的恶性肿瘤,大多数甲状腺癌可以通过手术、内分泌抑制治疗和碘放射治疗得到有效控制,预后良好;但局部侵袭、远处转移及放射性碘难治病例仍是临床难点[4],寻找可预测复发、转移及治疗反应的新型标志物具有重要价值。组织激肽释放酶(kallikrein-related Peptidases, KLKs)最初在胰腺中发现,包括人组织激肽释放酶(KLK1)和14种激肽释放酶相关肽酶(KLK2~KLK15),由人类基因组中最大的蛋白酶基因连续簇编码,是具有不同表达模式和生理作用的分泌型丝氨酸蛋白酶[5]。KLK5 (又名kallikrein like gene 2 [KLK-L2]、人角质层胰蛋白酶[HSCTE])是KLKs家族的重要成员之一,具有丝氨酸蛋白酶活性,可降解细胞外基质并激活生长因子通路,促进肿瘤侵袭转移[6]-[8]。已有研究提示KLK5在宫颈癌等实体瘤中与放疗耐受、复发及不良预后相关[9],但在TC中的系统研究尚少。本文拟通过多数据库整合分析,阐明KLK5在TC中的表达、预后价值及相关性分析。

2. 资料与方法

2.1. 生物信息学分析

2.1.1. KLK5表达水平

采用UCSC Xena、TCGA和TNMPlot数据库,在泛癌、TC组织及58例配对样本中比较KLK5表达。

2.1.2. 临床病理特征

采用UCSC Xena和TCGA数据库,分析临床特征(Stage、T、N、M分期)与KLK5的关系。

2.1.3. 生存预后分析

采用TCGA、GEPIA和TISIDB数据库,验证KLK5表达对TC生存之间的关系。

2.1.4. 免疫微环境

采用TCGA数据库,使用CIBERSORT评估22类免疫细胞丰度;比较高低组差异,并采用Spearman分析相关性。

2.2. 临床资料

收集2023年9月至2024年9月在内蒙古自治区人民医院甲状腺肿瘤外科接受甲状腺手术并经病理证实为90例甲状腺癌的患者,取患者术中切除的癌组织及配对的癌旁正常组织标本(距离病灶边缘2 cm以上。)纳入标准:(1) 在内蒙古自治区人民医院甲状腺肿瘤外科完成初次手术治疗,经手术–病理组织诊断为TC;(2) 在入院前未进行过放疗及化疗等治疗;(3) 临床资料完整。排除标准:(1) 行甲状腺切除术前有其他恶性肿瘤;(2) 临床病历资料不完善;(3) 病理或临床分析诊断时有远处转移;(4) 颈部放射或家族性癌症史;(5) 接受非根治性手术。本研究已获得患者的知情同意,并均签署知情同意书,根据纳入及排除标准筛选出符合标准的病例,最终纳入甲状腺癌患者82例。

2.3. 研究方法

2.3.1. 免疫组化制作方法

KLK5一抗(货号:25109-1-AP)、二抗及DAB显色试剂盒均购自呼和浩特市瑞生生物科技有限公司。免疫组织化学检测采用EnVision两步法,具体操作流程如下:石蜡切片经60℃烤片2小时后,依次进行二甲苯脱蜡、梯度乙醇水化;采用高温高压抗原修复法(柠檬酸钠缓冲液,pH 6.0)修复抗原;滴加KLK5一抗(1:200稀释),4℃孵育过夜;次日加入辣根过氧化物酶标记的二抗,室温孵育30分钟;DAB显色后,苏木素复染细胞核,脱水透明后中性树胶封片。实验全程设置阳性和阴性对照,严格把控每步操作时间、温度及试剂浓度,以确保结果的准确性与可重复性。

2.3.2. 结果判定

KLK5蛋白主要定位于细胞浆,以胞浆呈现棕黄色颗粒状着色判定为阳性表达。结果判定采用半定量综合评分法,从着色强度与阳性细胞占比两方面进行评估。着色强度评分标准:无着色(0分)、淡黄色(1分)、棕黄色(2分)、棕褐色(3分)。阳性细胞密度评分:利用ImageJ图像分析软件对阳性细胞面积占比进行定量分析,每张切片选取3个代表性视野重复测量,取平均值作为该样本阳性细胞密度占比,按以下标准计分:阳性细胞占比 < 5% (0分)、5%~25% (1分)、26%~50% (2分)、51%~75% (3分)、>75% (4分)。最终评分为着色强度评分与阳性细胞密度评分的乘积,总分0~12分;以≤3分为阴性(−),>3分为阳性(+)。为确保结果客观准确,由两位高年资病理科医师采用双盲法独立阅片评分,意见不一致时由第三位病理医师仲裁判定。

2.4. 统计学方法

采用SPSS26.0统计学软件和R软件分析数据。符合正态分布的计量资料以( x ¯ ±s )表示,进行χ2检验。以P < 0.05或P < 0.01表示差异具有统计学意义。

3. 结果

3.1. KLK5表达水平

KLK5在9种肿瘤中显著上调(P < 0.05) (图1(a)),TC中表达显著高于癌旁正常组织(P < 0.001) (图1(b)图1(d)图1(e)),配对样本同样证实(P < 0.001) (图1(c))。

注:(a) UCSCxena数据库中KLK5在泛癌中的表达情况;(b) TCGA数据库中KLK5在甲状腺癌中的表达情况;(c) TCGA数据库中KLK5在配对甲状腺癌中的表达情况;(d) TNMPlot数据库中KLK5在甲状腺癌中的表达情况;(e) TNMPlot数据库中KLK5在配对甲状腺癌中的表达情况;*表示P < 0.05,**表示P < 0.01,***表示P < 0.001。

Figure 1. Differential expression of KLK5 in pan-cancer and thyroid cancer

1. KLK5在泛癌及甲状腺癌中的表达差异

3.2. 临床病理特征

KLK5表达随Stage、T、N、M分期呈升高趋势(图2),但差异无统计学意义,提示其可能早期即发挥作用。

3.3. 生存分析

TCGA中KLK5高表达组OS较短(P = 0.052) (图3(a));GEPIA、TISIDB数据库中差异显著(P < 0.05) (图3(b)图3(c))。以上结果表明,KLK5表达水平可能是甲状腺癌患者的独立预后生物标志物。

注:(a) TCGA数据库中Stage I、II、III和IV分期甲状腺癌患者中KLK5的相对表达;(b) TCGA数据库中T1、T2、T3和T4分期甲状腺癌患者中KLK5的相对表达;(c) TCGA数据库中N0、N1分期甲状腺癌患者中KLK5的相对表达;(d) TCGA数据库中M0和M1分期甲状腺癌患者中KLK5的相对表达。

Figure 2. Association of KLK5 expression with clinicopathological features in thyroid cancer

2. KLK5表达与甲状腺癌临床病理特征的相关性

注:(a) TCGA数据库中KLK5表达与OS的分析;(b) GEPIA数据库中KLK5表达与OS的分析;(c) TISIDB数据库中KLK5表达与OS的分析。

Figure 3. Association between KLK5 expression and survival prognosis

3. KLK5表达与生存预后

3.4. 免疫微环境

THCA中22种免疫细胞的丰度(图4(a))。在巨噬细胞M0、静息树突细胞、活化树突细胞和静息肥大细胞中KLK5高表达组显著高于低表达组,在浆细胞、CD8+T细胞、活化记忆CD4+T细胞、单核细胞和活化肥大细胞中低表达组显著高于高表达组(P < 0.01) (图4(b))。未成熟的B细胞、巨噬细胞M2、静息肥大细胞和活化肥大细胞表达与KLK5表达呈正相关,记忆B细胞、单核细胞、活化NK细胞、浆细胞、CD8+T细胞和滤泡调节性T细胞表达与KLK5表达呈负相关(P < 0.05) (图4(c))。并通过取两者交集发现,结果同差异表达基因(图4(d))。

注:(a) TCGA数据库中甲状腺癌与22种免疫细胞的丰度;(b) KLK5分高、低表达组与免疫细胞的表达差异;(c) KLK5表达与免疫细胞的相关性;(d) 免疫细胞差异及相关性分析结果的交集;*表示P < 0.05,**表示P < 0.01,***表示P < 0.001。

Figure 4. Association of KLK5 expression with immune characteristics in thyroid cancer

4. KLK5在甲状腺癌中与免疫相关性

3.5. 甲状腺癌组织和癌旁正常组织的KLK5的表达

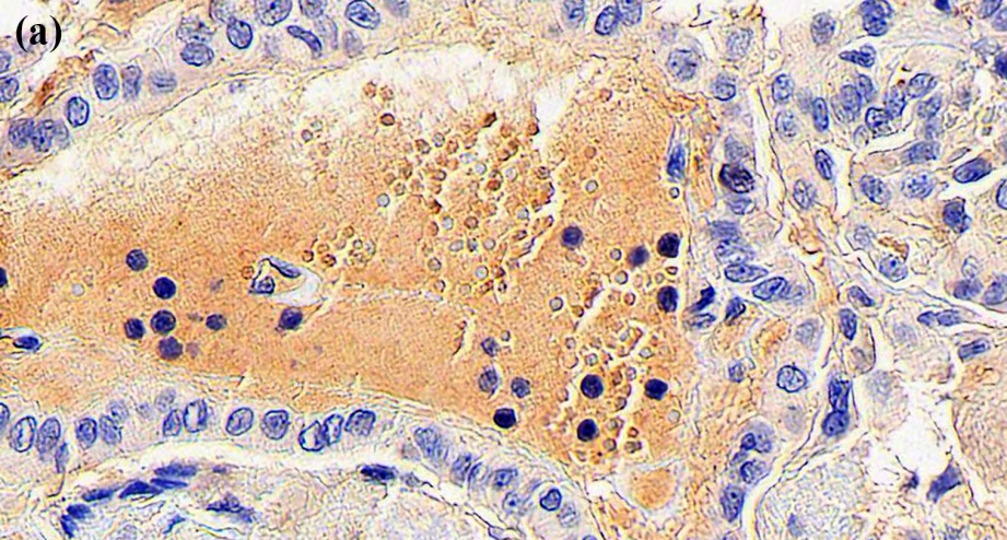
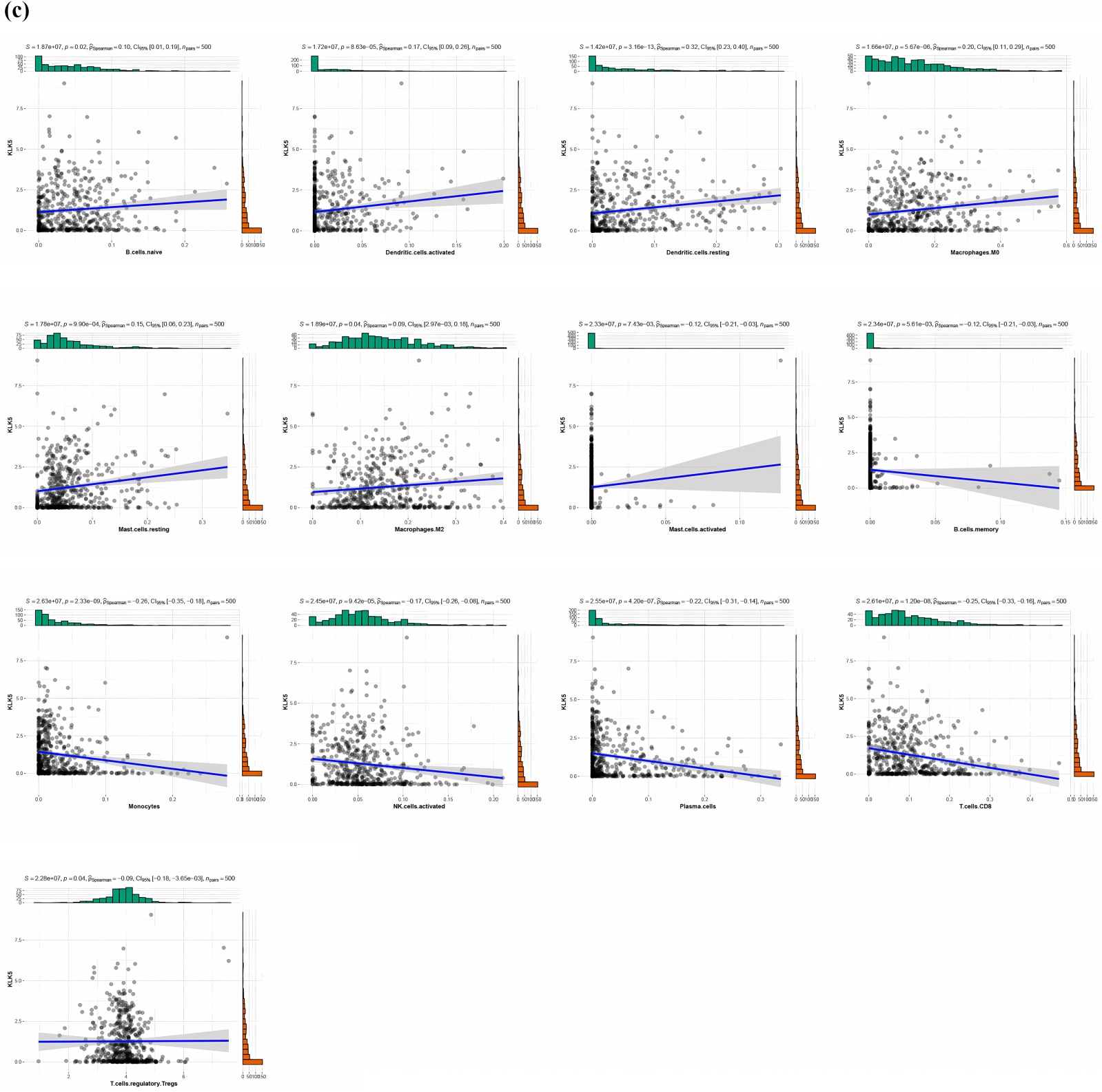
采用免疫组化法检测KLK5在甲状腺癌癌组织和癌旁正常组织中的表达。检测KLK5在甲状腺癌癌组织中的表达。KLK5主要表达定位胞浆,浆呈棕褐色(图5(a)图5(b))。

3.6. KLK5在甲状腺癌组织和癌旁正常组织中的表达

KLK5在甲状腺癌癌组织表达显著高于癌旁正常组织中的表达,差异有统计学意义(P < 0.05)。见表1

注:(a) KLK5在甲状腺癌组织中表达;(b) KLK5在甲状腺癌旁正常组织中表达。

Figure 5. KLK5 expression patterns across various tissues (SP×100)

5. KLK5在不同组织中的表达情况(SP×100)

Table 1. Expression of KLK5 in thyroid cancer tissues and adjacent normal tissues

1. KLK5在甲状腺癌癌组织和癌旁正常组织中的表达

组别

KLK5

阳性

阳性率(%)

甲状腺癌组织(n = 82)

49

59.8

甲状腺癌旁正常组织(n = 82)

22

26.8

χ2

18.106

P

< 0.001

3.7. TC组织KLK5蛋白表达情况与临床病理特征之间的关系

肿瘤直径 > 1 cm甲状腺癌患者的KLK5阳性率显著高于直径 ≤ 1 cm患者(P < 0.05)。在淋巴结转移方面,有淋巴结转移的患者,其KLK5阳性率明显高于无淋巴结转移的患者,差异有统计学意义(P < 0.05)。见表2

Table 2. Association of KLK5 protein expression with clinicopathological features in thyroid cancer (TC) tissues

2. TC组织KLK5蛋白表达情况与临床病理特征之间的关系

临床病理特征

KLK5

χ2

P

阳性

阴性

性别

0.674

0.412

男性

16

8

女性

33

25

年龄

0.269

0.604

≥55岁

33

16

<55岁

24

9

吸烟史

0.001

0.976

15

10

34

23

肿瘤直径

6.136

0.013

>1 cm

30

11

≤1 cm

19

22

病灶数目

0.017

0.898

单发

29

20

多发

20

13

包膜侵犯

2.248

0.134

41

23

8

10

淋巴结转移

18.307

<0.001

34

7

15

26

4. 讨论

KLKs基因家族,由15个丝氨酸蛋白酶编码基因组成,位于第19号染色体上[10]。KLKs调控多种生物过程的蛋白水解级联反应,包括细胞外基质(ECM)重塑、血管生成、免疫调节、组织修复等方面发挥广泛作用,是连接炎症、代谢与肿瘤等多种生理病理过程的关键分子[11]-[13]

KLK5作为KLKs家族的一员可通过降解细胞外基质及黏附分子,释放具有生物活性的胰岛素样生长因子,进而促进肿瘤的发生、浸润、转移与血管生成[14]。近年来,KLK5与肿瘤相关性研究也日益受到关注。研究表明,KLK5在子宫内膜癌、非小细胞癌、宫颈癌、乳腺癌、卵巢癌、膀胱癌、前列腺癌、结直肠癌等恶性肿瘤中异常表达。刘旭等人[14]研究发现KLK5在非小细胞癌组织中阳性表达率显著高于癌旁组织,并与肿瘤淋巴结转移及无病生存期有关,可能可以作为评定非小细胞癌患者预后的临床指标。舒磊等人[15]研究发现在子宫内膜癌中KLK5表达水平较高与侵袭性临床病理表型相关,包括晚期、重度型、高级别和阳性淋巴结。周顺清等人[9]研究发现KLK5高表达增强了宫颈癌的抗辐射性,并且与患者放疗后的远处转移、复发和预后不良有关。上述研究提示KLK5与肿瘤的恶性进展有关。

本研究通过数据库与免疫组化方法检测TC癌组织与癌旁组织中KLK5表达情况,结果发现,KLK5在TC癌组织中表达显著升高。通过TCGA数据库进一步分析其表达随临床病理分期而改变,我们发现在Stage分期、T分期、N分期、M分期中都有所表现,但都无显著统计意义,但是在免疫组化临床病理特征分析中,我们得出KLK5与淋巴结转移及直径有关,这可能与抗体特异性、蛋白水平与mRNA水平的不一致、或样本的特定亚型分布有关。利用GEPIA和TISIDB数据库,KLK5高表达组的患者总生存期显著短于低表达组,KLK5表达水平可能是甲状腺癌患者的独立预后生物标志物。进一步采用CIBERSORT算法对甲状腺癌肿瘤微环境中KLK5表达与各类免疫细胞浸润丰度的关联性进行解析。相关性分析显示,KLK5高表达与未成熟B细胞、M2型巨噬细胞、静息肥大细胞及活化肥大细胞的浸润富集呈显著正相关;相反,KLK5表达水平与记忆B细胞、单核细胞、活化NK细胞、浆细胞、CD8+T细胞及滤泡调节性T细胞的浸润丰度呈负相关,提示KLK5可能参与调控甲状腺癌免疫微环境的重塑。

本实验进一步分析了KLK5的表达与临床病理关系,结果显示,KLK5在甲状腺癌组织中的阳性表达率高于癌旁正常组织,实验结果存在显著差异,具有统计学意义(P < 0.05)。对于临床病理特征方面,无淋巴结转移的甲状腺癌患者的KLK5阳性表达率低于有淋巴结转移的甲状腺癌患者的KLK5阳性表达率(P < 0.05)。直径 ≤ 1 cm的甲状腺癌患者阳性表达率低于直径 > 1 cm的甲状腺癌患者KLK5阳性表达率(P < 0.05)。该结果进一步证实,KLK5 在肿瘤组织中呈显著高表达,且其表达水平与淋巴结转移及预后密切相关。

肿瘤的进展与转移是多因素共同作用的结果,而肿瘤微环境正是这一过程中的核心调控者。靶向肿瘤微环境(Tumor Microenvironment, TME)是由癌细胞、免疫细胞、肿瘤相关成纤维细胞、内皮细胞及其分泌的细胞因子、生长因子、激素与细胞外基质等相互作用并协同构建的复杂内环境,此环境可选择性促进肿瘤细胞生物学行为的发生与演进[16]。在肿瘤浸润的先天免疫细胞中,巨噬细胞占比最高,且持续存在于肿瘤发生、发展及转移的全过程。其可依据TME产生的信号发生M1/M2极化;其中M1型巨噬细胞能够抑制甚至杀灭肿瘤细胞,而M2型巨噬细胞不仅可促进肿瘤生长、血管生成、转移及对现有治疗的耐药性,还能通过分泌多种细胞因子进一步推动肿瘤进展[17]。侯飞等报道,M2巨噬细胞在甲状腺癌的发生与发展中起促进作用[18]。本研究发现,KLK5在甲状腺癌组织中的表达水平与M2巨噬细胞特异性标志物呈显著正相关,提示KLK5可能通过调控M2巨噬细胞极化或功能促进甲状腺癌的恶性进展。肥大细胞在肿瘤微环境中被肿瘤细胞分泌的干细胞因子(SCF)招募,释放血管内皮生长因子(VEGF)、成纤维细胞生长因子-2 (FGF-2)、基质金属蛋白酶-9 (MMP-9)等多种血管生成因子与蛋白酶,直接促进血管生成和肿瘤侵袭[19]。有研究显示,胃癌组织内肥大细胞浸润随肿瘤进展显著递增,其密度可作为独立指标预测患者总体生存率下降[20]。然而,KLK5与肥大细胞之间的关系鲜见报道,有待进一步深入研究探索。

综上所述,KLK5在甲状腺癌组织呈显著高表达,兼具淋巴结转移预测与预后评估价值,有望转化为临床新型诊断标志物及治疗靶点。机制上,KLK5表达与M2型巨噬细胞极化呈正相关,提示其可通过重塑巨噬细胞表型加速肿瘤进展;同时,KLK5水平还可能通过B细胞、静息肥大细胞和活化肥大细胞在肿瘤的进展中发挥作用,为KLK5在肿瘤中的研究提供了新的方向。

NOTES

*通讯作者。

参考文献

[1] Bray, F., Laversanne, M., Sung, H., Ferlay, J., Siegel, R.L., Soerjomataram, I., et al. (2024) Global Cancer Statistics 2022: GLOBOCAN Estimates of Incidence and Mortality Worldwide for 36 Cancers in 185 Countries. CA: A Cancer Journal for Clinicians, 74, 229-263. [Google Scholar] [CrossRef] [PubMed]
[2] Boucai, L., Zafereo, M. and Cabanillas, M.E. (2024) Thyroid Cancer: A Review. JAMA, 331, 425-435. [Google Scholar] [CrossRef] [PubMed]
[3] Chen, D.W., Lang, B.H.H., McLeod, D.S.A., Newbold, K. and Haymart, M.R. (2023) Thyroid Cancer. The Lancet, 401, 1531-1544. [Google Scholar] [CrossRef] [PubMed]
[4] Laha, D., Nilubol, N. and Boufraqech, M. (2020) New Therapies for Advanced Thyroid Cancer. Frontiers in Endocrinology, 11, Article No. 82. [Google Scholar] [CrossRef] [PubMed]
[5] 程大伟, 郑军. 人组织激肽释放酶在肝癌中的研究进展[J]. 海南医学, 2023, 34(11): 1661-1666.
[6] Michael, I.P., Sotiropoulou, G., Pampalakis, G., Magklara, A., Ghosh, M., Wasney, G., et al. (2005) Biochemical and Enzymatic Characterization of Human Kallikrein 5 (HK5), a Novel Serine Protease Potentially Involved in Cancer Progression. Journal of Biological Chemistry, 280, 14628-14635. [Google Scholar] [CrossRef] [PubMed]
[7] Michael, I.P., Pampalakis, G., Mikolajczyk, S.D., Malm, J., Sotiropoulou, G. and Diamandis, E.P. (2006) Human Tissue Kallikrein 5 Is a Member of a Proteolytic Cascade Pathway Involved in Seminal Clot Liquefaction and Potentially in Prostate Cancer Progression. Journal of Biological Chemistry, 281, 12743-12750. [Google Scholar] [CrossRef] [PubMed]
[8] Yousef, G.M. and Diamandis, E.P. (1999) The New Kallikrein-Like Gene, KLK-L2. Molecular Characterization, Mapping, Tissue Expression, and Hormonal Regulation. Journal of Biological Chemistry, 274, 37511-37516. [Google Scholar] [CrossRef] [PubMed]
[9] Zhou, S., Liu, S., Tian, G., Zhao, L., Wang, H., Li, Y., et al. (2022) KLK5 Is Associated with the Radioresistance, Aggression, and Progression of Cervical Cancer. Gynecologic Oncology, 166, 138-147. [Google Scholar] [CrossRef] [PubMed]
[10] Daneva, G.N., Tsiakanikas, P., Adamopoulos, P.G. and Scorilas, A. (2024) Kallikrein-Related Peptidases: Mechanistic Understanding for Potential Therapeutic Targeting in Cancer. Expert Opinion on Therapeutic Targets, 28, 875-894. [Google Scholar] [CrossRef] [PubMed]
[11] Wenta, T., Nastaly, P., Lipinska, B. and Manninen, A. (2024) Remodeling of the Extracellular Matrix by Serine Proteases as a Prerequisite for Cancer Initiation and Progression. Matrix Biology, 134, 197-219. [Google Scholar] [CrossRef] [PubMed]
[12] Boumali, R., David, E., Chaaya, N., Lucas, M., Aït Amiri, S., Lefort, V., et al. (2025) Deferasirox Derivatives as Inhibitors of Kallikrein‐Related Peptidases Associated to Neurodegenerative Diseases. ChemMedChem, 20, e202500187. [Google Scholar] [CrossRef] [PubMed]
[13] Agrahari, G., Sah, S.K., Nguyen, C.T., Choi, S.S., Kim, H. and Kim, T. (2020) Superoxide Dismutase 3 Inhibits Ll-37/KLK-5-Mediated Skin Inflammation through Modulation of EGFR and Associated Inflammatory Cascades. Journal of Investigative Dermatology, 140, 656-665.e8. [Google Scholar] [CrossRef] [PubMed]
[14] 刘旭, 陈菁, 方青山, 等. KLK5和KLK13在非小细胞癌中的表达及临床意义[J]. 热带医学杂志, 2022, 22(2): 194-197+217+296.
[15] Lei, S., Zhang, Q., Yin, F., et al. (2019) Expression and Clinical Significance of KLK5-8 in Endometrial Cancer. American Journal of Translational Research, 11, 4180-4191.
[16] Wang, C., Yuan, M., Gao, Y., Hou, R., Song, D. and Feng, Y. (2023) Changes in Tumor Immune Microenvironment after Radiotherapy Resistance in Colorectal Cancer: A Narrative Review. Oncology Research and Treatment, 46, 177-191. [Google Scholar] [CrossRef] [PubMed]
[17] Zhang, Q. and Sioud, M. (2023) Tumor-Associated Macrophage Subsets: Shaping Polarization and Targeting. International Journal of Molecular Sciences, 24, Article No. 7493. [Google Scholar] [CrossRef] [PubMed]
[18] 侯飞, 吕娟, 杨志贤, 等. 肿瘤相关巨噬细胞在甲状腺乳头状癌中的分布及临床意义的初探[J]. 中国肿瘤临床, 2021, 48(12): 609-613.
[19] Ribatti, D. (2023) Mast Cells and Resistance to Immunotherapy in Cancer. Archivum Immunologiae et Therapiae Experimentalis, 71, Article No. 11. [Google Scholar] [CrossRef] [PubMed]
[20] Lv, Y., Zhao, Y., Wang, X., Chen, N., Mao, F., Teng, Y., et al. (2019) Increased Intratumoral Mast Cells Foster Immune Suppression and Gastric Cancer Progression through TNF-α-PD-L1 Pathway. Journal for ImmunoTherapy of Cancer, 7, Article No. 54. [Google Scholar] [CrossRef] [PubMed]