多原发恶性肿瘤(甲状腺乳头状癌与恶性黑色素瘤) 1例
A Case Report of Multiple Primary Neoplasms: Papillary Thyroid Carcinoma Combined with Malignant Melanoma
摘要: 多原发恶性肿瘤(Multiple primary neoplasms, MPNs)在临床上的发病情况极为罕见,我国MPNs的发病率约0.60%~2.67%。MPNs的诊断与治疗对于临床医生来说均是极具挑战性的难题。本文现报道1例50岁女性患者,其被同步诊断为甲状腺乳头状癌与恶性黑色素瘤,且伴有全身多处区域淋巴结转移。本文结合患者的临床资料、病变组织形态学特征以及免疫组化结果,对相关文献进行复习,分析该类病例的发病特点与诊疗进展,旨在为临床病理医师的诊断工作以及临床治疗方案的制定提供参考,同时丰富该类病例的临床病理资料。
Abstract: Multiple primary neoplasms (MPNs) are extremely rare in clinical practice. The incidence of MPNs in China is approximately 0.60% to 2.67%. The diagnosis and treatment of MPNs present significant challenges for clinicians. This paper reports the case of a 50-year-old female patient who was concurrently diagnosed with papillary thyroid carcinoma and malignant melanoma, accompanied by multiple regional lymph node metastases throughout the body. Based on the integration of the patient’s clinical data, morphological characteristics of the lesional tissue, and immunohistochemistry findings, this study reviews the relevant literature and conducts an in-depth analysis of the clinical features, diagnosis, and therapeutic advancements in this category of cases. The objective is to provide valuable insights to support diagnostic practices for clinical pathologists and inform the formulation of treatment strategies, while also contributing to the enrichment of clinicopathological documentation for such cases.
文章引用:陈君玉, 李维轩, 江怡如, 张博琳, 刘四君. 多原发恶性肿瘤(甲状腺乳头状癌与恶性黑色素瘤) 1例[J]. 临床医学进展, 2026, 16(3): 3720-3727. https://doi.org/10.12677/acm.2026.1631179

1. 引言

多原发恶性肿瘤(Multiple primary neoplasms, MPNs)指的是同一机体同时或先后发生两种及以上彼此独立的原发性恶性肿瘤,这些肿瘤可分别源自同一器官、成对器官、不同系统的不同器官,或是同一系统的不同器官[1]。目前,MPNs的发病因素及机制仍不明确,无统一的标准治疗方案。我国MPNs的好发部位多见于消化道、乳腺、生殖系统等[1]。甲状腺乳头状癌(Papillary thyroid carcinoma, PTC)与恶性黑色素瘤(Malignant melanoma, MM)同时发生的情况极为罕见,这两种疾病在病理起源和生物学行为方面存在显著差异。国内外有关二者并发的报道及相关文献数量有限[2] [3]。这对于临床诊断与治疗来说,无疑是一项重大挑战。

2. 病历资料

患者,女性,50周岁,以“发现右侧颈部肿物1月余”为主诉入院。患者1月余前右侧颈部无明显诱因出现蚕豆大小肿物,无触痛,仅有轻微压痛,质硬,活动度差,无发热、声嘶,无饮水呛咳、吞咽困难及呼吸困难,未予以重视及治疗。既往史无特殊。入院查体:甲状腺肿大,右颈部可扪及一大小约1.5 × 1.5 cm肿物,触痛(−),压痛(+),质硬,活动度差;左颈部可扪及一大小约1.0 × 0.5 cm肿物,触压痛(−),质软,活动度可。实验室检查显示:甲状腺相关激素水平以及肿瘤标志物均正常。甲状腺超声显示:甲状腺左侧叶及右侧叶可见数个结节,并伴有右侧颈部淋巴结肿大。同时对甲状腺左侧叶结节行细针穿刺(Fine needle aspiration, FNA),对右颈部肿大淋巴结行超声引导下粗针穿刺活检术。左侧甲状腺FNA示:细胞排列拥挤、重叠,呈片状,细胞核形态不规则,可见核沟及核内假包涵体(图1),诊断为PTC。而右侧颈部肿大的淋巴结在镜下未观察到典型转移性PTC的结构及细胞学特征,镜下可见肿瘤细胞呈巢状、片状分布,细胞异型性显著,核深染,可见病理性核分裂象(图2)。

此外,患者乳腺超声检查发现,左乳约10点钟方向可见一大小约为11 × 7 × 8 mm的结节。该结节呈不规则形状,边缘欠光滑且有成角现象。对左乳结节进行穿刺活检,镜下观察发现:肿瘤呈浸润性生长,细胞呈巢状、条索状或单个散在分布,细胞形态与右侧颈部肿大淋巴结内的肿瘤细胞形态一致(图3)。免疫组化结果表明:CK、GATA-3、TRPS-1 (图4)、E-cad、P120、TG、TTF-1、HMB-45呈阴性;Melan-A (图5)、S-100呈弥漫性强阳性。根据苏木精–伊红(Hematoxylin‑eosin, HE)染色形态学特征以及免疫组化结果,最终确诊左侧乳腺肿物及右侧颈部淋巴结病变均为MM。鉴于乳腺原发MM临床罕见[4] [5],诊断时需严格排除乳腺外原发MM转移。临床医生遂对患者进一步行全面系统的全身检查,包括详细的皮肤检查及胃肠镜检查。最终,在右上臂皮肤发现MM原发灶(已切除病检),同时胃肠镜检查未见异常,排除了消化道黏膜黑色素瘤。

患者于2025年1月接受了双侧甲状腺全切除术以及双侧颈部II~VI区及锁骨上淋巴结清扫术。术后,对切除组织进行了详尽的病理检查及免疫组化分析,证实(左侧甲状腺)为PTC,镜下可见典型磨玻璃样核特征及核沟(图6)。其中2枚锁骨上淋巴结内可见PTC转移灶(图7),9枚锁骨上淋巴结内可见MM转移灶(图8)。术后,患者采用口服替莫唑胺与顺铂进行联合化疗。在完善BRAF V600E基因检测后,发现患者存在基因突变,随后给予甲磺酸达拉非尼和曲美替尼进行联合靶向治疗。随访1年,目前PTC暂无复发迹象,左侧乳房的MM病灶相比之前有所缩小。

Figure 1. Cytological examination of the left thyroid fine-needle aspiration smear reveals crowded, overlapping cells arranged in sheets, with irregular nuclear contours, nuclear grooves, and intranuclear pseudoinclusions

1. 左侧甲状腺穿刺涂片细胞学检查示:细胞排列拥挤、重叠,呈片状,细胞核形态不规则,可见核沟及核内假包涵体

Figure 2. Histopathological examination of a core needle biopsy from an enlarged right cervical lymph node, stained with hematoxylin and eosin, reveals tumor cells arranged in nested and sheet-like patterns. These cells exhibit marked atypia, hyperchromatic nuclei, and readily identifiable pathological mitotic figures

2. 右侧颈部肿大淋巴结粗针穿刺活检苏木素–伊红(HE)染色示:肿瘤细胞呈巢状、片状分布,细胞异型性显著,核深染,可见病理性核分裂象

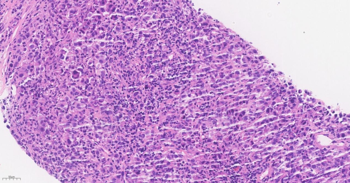
Figure 3. Histopathological examination of the core needle biopsy specimen from the left breast nodule with HE staining reveals an infiltrative growth pattern of the tumor cells, which are arranged in nests, trabeculae, or individually dispersed. The cytomorphology is consistent with that of the tumor cells observed in the enlarged lymph node on the right side of the neck

3. 左乳结节粗针穿刺活检HE染色示:肿瘤呈浸润性生长,细胞呈巢状、条索状或单个散在分布,细胞形态与右侧颈部肿大淋巴结内的肿瘤细胞形态高度一致

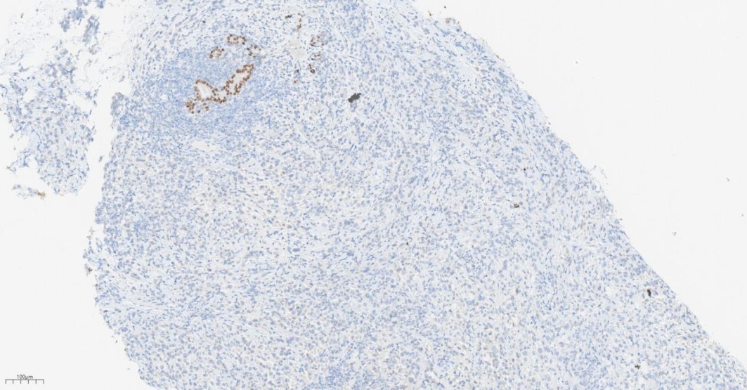
Figure 4. Immunohistochemical analysis of the left breast nodule core needle biopsy reveals: tumor cells negative for TRPS-1, with retained TRPS-1 positivity in the residual breast tissue

4. 左乳结节粗针穿刺活检免疫组化检查示:肿瘤细胞TRPS-1阴性,残存的乳腺组织TRPS-1表达阳性

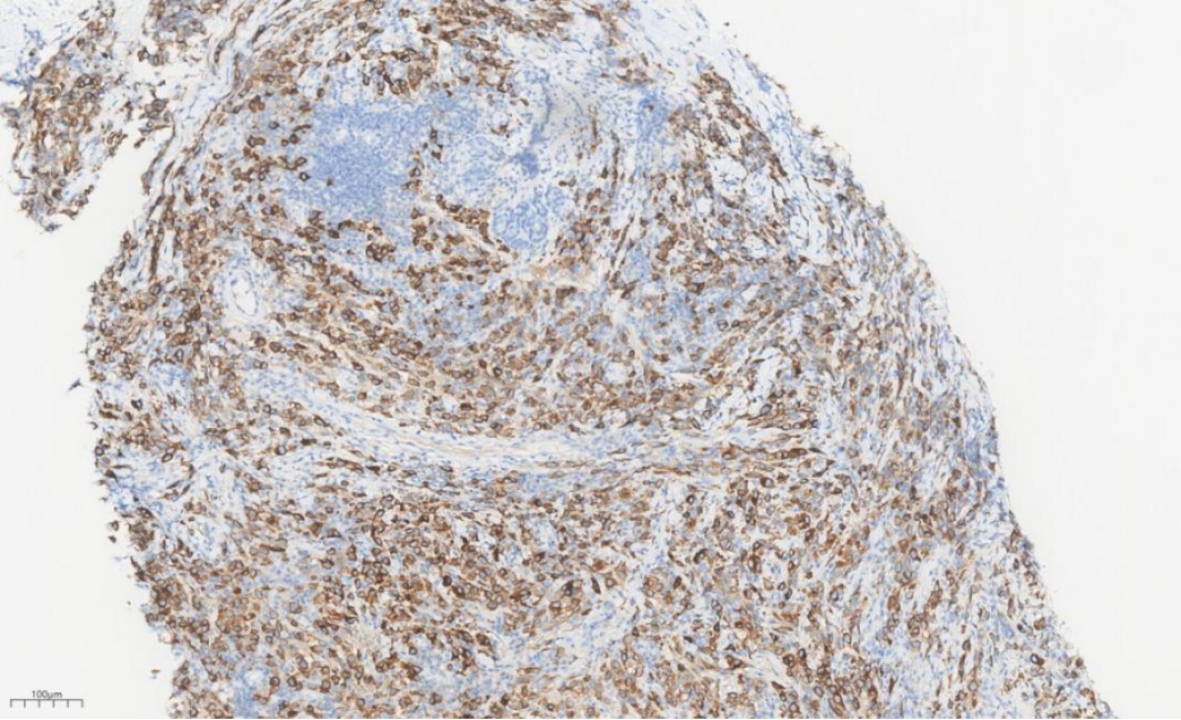
Figure 5. Immunohistochemical analysis of the core needle biopsy specimen from the left breast nodule demonstrates diffusely and intensely positive Melan-A staining in tumor cells

5. 左乳结节粗针穿刺活检免疫组化检查示:肿瘤细胞Melan-A表达弥漫强阳性

Figure 6. Left thyroid specimen HE staining reveals: classical ground-glass nuclear characteristics and nuclear grooves

6. 左侧甲状腺HE染色示:典型磨玻璃样核特征及核沟

Figure 7. HE staining of supraclavicular lymph node demonstrates metastatic foci of papillary thyroid carcinoma

7. 锁骨上淋巴结HE染色示:可见甲状腺乳头状癌转移灶

Figure 8. HE staining of supraclavicular lymph node demonstrates metastatic foci of malignant melanoma

8. 锁骨上淋巴结HE染色示:可见恶性黑色素瘤转移灶

3. 讨论

PTC是一种起源于甲状腺滤泡上皮细胞的恶性肿瘤,约占全部甲状腺癌的90% [6]。PTC的主要分子学改变为BRAFRAS基因突变以及RET/PTC基因重排[7]RASBRAF基因突变在近70%的PTC中以相互排斥的方式出现,并导致MAPK或PI3K信号通路激活[7]。在PTC中,BRAF基因最为常见的突变是BRAF V600E突变,也就是第600位残基的谷氨酸被缬氨酸所取代。BRAF V600E突变在成人PTC中的检出率较高,从29%~83%不等[8]。PTC的临床表现通常为在体检时,经甲状腺触诊和颈部超声检查发现甲状腺结节。当合并甲状腺功能亢进或减退时,可以出现与之对应的临床症状。当晚期肿瘤侵犯周围器官时,还可能出现声音嘶哑、吞咽困难、咯血等症状。PTC在组织形态学上具备特征性的细胞核改变,具体表现为细胞核增大、核排列紧密且拥挤重叠、核轮廓不规则(核沟)、核内假包涵体以及毛玻璃样核等。PTC患者的总体生存率较好,主要采用外科手术治疗[6]。MM是一种起源于黑色素细胞的恶性肿瘤。根据发生部位的不同,可分为皮肤黑色素瘤、肢端黑色素瘤、黏膜黑色素瘤和眼部葡萄膜黑色素瘤[9]。MM的致病因素多种多样,涵盖日光暴晒、紫外线暴露、外伤刺激、免疫缺陷等。此外,基因突变同样与MM存在关联,例如CDKN2ABRAFNRASKIT等基因发生突变[10] [11]。手术切除是治疗临床区域淋巴结未受累的原发性皮肤MM的标准治疗方案。对于远处转移性MM,患者需接受组织学确诊,并进行全面的分期研究[11]。转移性MM的治疗方案包括放射治疗、靶向治疗、全身治疗等。

在临床案例中,MPNs发病率低,不少临床医生对这类疾病认识不足,很容易造成漏诊误诊,因此对病变进行全面的病理学检查是极为重要的。本例患者两种肿瘤同时确诊,分别起源于甲状腺滤泡上皮细胞与黑色素细胞,组织学形态及免疫组化表型完全不同,并非同一种肿瘤转移所致,符合MPNs诊断标准。PTC与MM双原发极为罕见,目前全球报道不足50例,其发病机制尚未明确,可能与遗传易感性、基因突变、免疫功能紊乱等因素相关。BRAF V600E突变是PTC与MM中最常见的致癌驱动突变。流行病学研究发现,MM幸存者后续发生甲状腺癌的风险显著升高,提示两者可能存在共享的遗传易感性[12]。Kim等报道的一例PTC与MM双原发患者进一步支持BRAF基因在两种肿瘤发生中均扮演关键角色[2]BRAF突变可能是连接PTC与MM双原发的重要分子基础[2] [12] [13]。本例患者同时检出BRAF V600E突变,提示该突变可能为两种肿瘤的共同驱动因素之一。

然而,MPNs的发生除体细胞突变外,亦需警惕潜在的胚系遗传背景。某些家族性肿瘤综合征可同时增加PTC与MM的发病风险。Cowden综合征是最值得关注者之一:该综合征由PTEN基因胚系突变引起,患者终生黑色素瘤风险超过5%,甲状腺癌风险约35% [14]。近期有病例报告显示,早发表浅扩散性黑色素瘤可作为Cowden综合征的首发表现,后续筛查可发现甲状腺结节及其他错构瘤性病变[15]。此外,家族性黑色素瘤相关基因胚系突变亦应纳入鉴别范围,携带者不仅黑色素瘤发病率升高,第二次黑色素瘤风险亦增加,且预后有更差趋势[16]。罕见病例报道中还可见RETCDKN2A双重突变导致PTC与MM同时发生的情况[17]

由于本例为回顾性病例报告,患者未接受胚系基因检测,目前尚无法明确其双原发肿瘤是否与上述遗传综合征相关。我们建议,对于早发、多原发或有明确家族史的PTC/MM患者,应转诊至遗传咨询门诊,考虑进行包括PTENCDKN2ARET等基因在内的胚系检测,以明确遗传背景,指导患者本人及家属的肿瘤筛查与长期随访。

MPNs的治疗需兼顾两种肿瘤的生物学特性,一般需要多学科规范化的综合诊治过程,包括外科、病理科、影像诊断科、核医学科、放疗科、内分泌科、肿瘤内科等,针对不同的病人或者同一病人的不同治疗阶段应实施个体化精准治疗。本例患者全身多处区域有淋巴结转移,属于肿瘤晚期,预后较差,采用“手术切除 + 针对性辅助治疗”方案,治疗过程中未出现严重不良反应,经过1年随访,PTC无复发迹象,左侧乳房的MM病灶相比之前有所缩小。

MPNs患者的预后取决于两种肿瘤的分期、病理类型及治疗及时性。依据2024年国家癌症中心公布的数据,我国甲状腺癌的5年生存率约为92.9%,而皮肤黑色素瘤的5年生存率约为50.3% [18]。双原发患者的预后主要受MM分期影响。目前,国内外尚无针对PTC与MM双原发恶性肿瘤的专门随访指南。本例患者因同时存在两种恶性肿瘤,且BRAF V600E突变阳性,属于高危人群,故在单病种随访框架基础上,建议采取更为审慎的个体化随访方案:每3~6个月复查颈部超声及甲状腺功能,每12个月行全身PET-CT检查,以期早期发现复发、转移。

综上所述,PTC与MM双原发肿瘤临床罕见,诊断需结合病理形态学、免疫组化及影像学检查,避免误判。采用手术联合辅助治疗的综合方案可有效控制病情,长期密切随访对改善患者预后至关重要。鉴于这两种肿瘤在致病机制方面存在显著的基因组重叠,对于有BRAF阳性MM病史的患者,通过体格检查筛查甲状腺结节具有临床价值。同样地,对于有BRAF阳性PTC病史的患者,定期进行皮肤检查有助于早期发现可能发生的第二原发黑色素瘤。

声 明

该病例报道已获得病人的知情同意。

NOTES

*通讯作者。

参考文献

[1] 中国抗癌协会多原发和不明原发肿瘤整合康复专业委员会, 陕西省抗癌协会罕见肿瘤专业委员会. 多原发肿瘤诊治中国专家共识(2024版) [J]. 中华消化外科杂志, 2024, 23(10): 1261-1276.
[2] Kim, C.Y., Lee, S.H. and Oh, C.W. (2010) Cutaneous Malignant Melanoma Associated with Papillary Thyroid Cancer. Annals of Dermatology, 22, 370-372. [Google Scholar] [CrossRef] [PubMed]
[3] Ozgun, A., Tuncel, T., Emirzeoglu, L., Celik, S., Bilgi, O., Haholu, A., et al. (2015) Malignant Melanoma and Papillary Thyroid Carcinoma That Were Diagnosed Concurrently and Treated Simultaneously: A Case Report. Oncology Letters, 9, 468-470. [Google Scholar] [CrossRef] [PubMed]
[4] 陈佳, 徐峰, 王海峰, 等. 乳房原发性恶性黑色素瘤伴复发转移1例[J]. 浙江医学, 2023, 45(20): 2212-2213.
[5] Hines, A.S., Campbell, E.H., Reinhart, J.P., Crum, O.M., Proffer, S.L., Brewer, J.D., et al. (2024) Primary Cutaneous Melanoma of the Breast Skin: Incidence, Characteristics, and Management. JAAD International, 17, 15-16. [Google Scholar] [CrossRef] [PubMed]
[6] 中华人民共和国国家卫生健康委员会. 甲状腺癌诊疗指南(2022年版) [J]. 中国实用外科杂志, 2022, 42(12): 1343-1357.
[7] 孙海林, 武振, 崔兆清. 甲状腺癌病因学研究现状[J]. 中华普通外科杂志, 2025, 40(4): 325-328.
[8] 张滢, 梁楠, 孙辉. 基因变异在儿童与成人甲状腺乳头状癌生物学行为差异中的作用[J]. 中国实用外科杂志, 2023, 43(2): 226-230.
[9] 中国临床肿瘤学会指南工作委员会. 中国临床肿瘤学会(CSCO)黑色素瘤诊疗指南[M]. 北京: 人民卫生出版社, 2019: 70.
[10] Schadendorf, D., Fisher, D.E., Garbe, C., Gershenwald, J.E., Grob, J., Halpern, A., et al. (2015) Melanoma. Nature Reviews Disease Primers, 1, Article No. 15003. [Google Scholar] [CrossRef] [PubMed]
[11] Schadendorf, D., van Akkooi, A.C.J., Berking, C., Griewank, K.G., Gutzmer, R., Hauschild, A., et al. (2018) Melanoma. The Lancet, 392, 971-984. [Google Scholar] [CrossRef] [PubMed]
[12] Goggins, W., Daniels, G.H. and Tsao, H. (2006) Elevation of Thyroid Cancer Risk among Cutaneous Melanoma Survivors. International Journal of Cancer, 118, 185-188. [Google Scholar] [CrossRef] [PubMed]
[13] Soares, P., Trovisco, V., Rocha, A.S., Lima, J., Castro, P., Preto, A., et al. (2003) BRAF Mutations and RET/PTC Rearrangements Are Alternative Events in the Etiopathogenesis of PTC. Oncogene, 22, 4578-4580. [Google Scholar] [CrossRef] [PubMed]
[14] Tan, M., Mester, J.L., Ngeow, J., Rybicki, L.A., Orloff, M.S. and Eng, C. (2012) Lifetime Cancer Risks in Individuals with Germline PTEN Mutations. Clinical Cancer Research, 18, 400-407. [Google Scholar] [CrossRef] [PubMed]
[15] Asharaff, F., Schirwani, S. and Lachlan, K. (2025) SG04 Early-Onset Superficial Spreading Melanoma and Macrocephaly: Think Cowden Syndrome. British Journal of Dermatology, 193, ljaf85-ljaf513. [Google Scholar] [CrossRef
[16] Taibo, A., Paradela, S., Suanzes-Hernández, J., Balboa-Barreiro, V., Amado-Bouza, J. and Fonseca, E. (2024) Prognosis of CDKN2A Germline Mutation in Patients with Familial Melanoma: A Systematic Review and Meta-Analysis. Melanoma Research, 34, 9-15. [Google Scholar] [CrossRef] [PubMed]
[17] Foppiani, L., Forzano, F., Ceccherini, I., Bruno, W., Ghiorzo, P., Caroli, F., et al. (2008) Uncommon Association of Germline Mutations of RET Proto-Oncogene and CDKN2A Gene. European Journal of Endocrinology, 158, 417-422. [Google Scholar] [CrossRef] [PubMed]
[18] Zeng, H., Zheng, R., Sun, K., Zhou, M., Wang, S., Li, L., et al. (2024) Cancer Survival Statistics in China 2019-2021: A Multicenter, Population-Based Study. Journal of the National Cancer Center, 4, 203-213. [Google Scholar] [CrossRef] [PubMed]