一例水豚误食异物所致深层肌间脓肿的治疗报告
A Treatment Report on a Deep Intramuscular Abscess Caused by a Foreign Body Ingested by a Capybara
DOI: 10.12677/acrpvm.2026.152002, PDF, HTML, XML,   
作者: 刘玉权, 庞未华, 张兖乐, 陶玉静, 徐 旸, 王丛菊:山东省坤河旅游开发有限公司欧乐堡动物王国兽医院,山东 德州;赵洪淼:济南单大夫宠物医院,山东 济南
关键词: 水豚误食异物诊断治疗预后Capybara Foreign Body Ingestion Diagnosis Treatment Prognosis
摘要: 误食异物是动物临床上的常见病症,本文对欧乐堡动物王国的一例因误食铁钉导致深层肌肉间感染化脓的水豚病例进行了详细阐述,包括患病水豚的基本情况、临床症状、影像学及实验室诊断过程,以及涵盖异物取出、抗炎镇痛、营养支持等措施的综合治疗方案与预后效果。本病例展示了CT平扫与三维成像在动物误食异物诊疗中的独特优势,以及脓肿引流管对减少不易保定动物应激反应的显著效果,为兽医实践提供了有效参考。
Abstract: Ingestion of foreign objects is a common clinical condition in animals. This article elaborates on a case of a capybara at the All Love Park Animal Kingdom that suffered from deep intramuscular infection and suppuration due to ingesting iron nails. It includes the basic information, clinical symptoms, imaging and laboratory diagnosis process of the affected capybara, as well as the comprehensive treatment plan and prognosis effects, which cover measures such as foreign body removal, anti-inflammatory analgesia, and nutritional support. This case demonstrates the unique advantages of CT plain scan and three-dimensional imaging in the diagnosis and treatment of animal ingestion of foreign objects, as well as the significant effect of abscess drainage tube in reducing the stress response of animals that are difficult to restrain, providing an effective reference for veterinary practice.
文章引用:刘玉权, 赵洪淼, 庞未华, 张兖乐, 陶玉静, 徐旸, 王丛菊. 一例水豚误食异物所致深层肌间脓肿的治疗报告[J]. 亚洲兽医病例研究, 2026, 15(2): 9-17. https://doi.org/10.12677/acrpvm.2026.152002

1. 引言

水豚属于啮齿目豚鼠科动物,是现存体型最大的啮齿动物[1]。其门齿终生生长,故必须通过啃食树皮等坚硬植物磨牙,否则门齿过长会影响进食甚至危及生存[2]。基于这一特性,在圈养环境中水豚可能会出于本能啃咬其他物体,这就增加了误食异物的风险。

误食异物是动物临床中的常见情况,尤其对于水豚等正常状态下难以进行有效保定的中体型动物,诊治过程常面临许多挑战。本病例中采用了CT平扫与三维成像技术成功精确定位了被水豚误食入口中的铁钉及组织损伤位置,这一手段使我们能够在无创情况下详细了解异物大小、位置及其对周围组织的影响,极大提高了诊断的准确性。鉴于水豚难以保定,因此术中在其下颌处安装与口腔内创腔连接的脓肿引流管,确保术后兽医能够快捷安全地进行创口的定期冲洗,以减小感染风险加快术后恢复。该方法在保障兽医操作安全的同时,减少了动物应激反应和术后并发症的产生,同时配合细菌培养和药敏试验精确使用抗生素,最终达到了较好的治疗效果。

2. 病例资料

病例:水豚,雌性,年龄5岁,体重40 kg,未怀孕,无病史。自2025年10月25日起食欲轻微减退,单独饲养于园区笼舍内观察。11月3日见其采食量降至平日正常值的2/5,次日降至1/10,同时伴有流涎、被毛粗乱发焦、粪便稀软的症状。园区兽医初步检查发现其呼吸频率30次/min、体温35℃,粪便的涂片、压片检查也未见异常。采取的初步治疗措施为:肌注头孢曲松钠(罗氏芬) 1 g、复合维生素B注射液2 mL,口服维生素C片剂1片/d。用药2d后该水豚仍无采食欲望,园区兽医判断其口腔内部存在问题,考虑到长时间未进食的危险性及园内诊疗设施的局限性,遂11月6日中午将其置于动物运输笼送往济南单大夫宠物医院诊治。

3. 诊断

3.1. 临床初步诊断

视诊下该患病水豚精神活力尚可,体况轻度消瘦,流涎不食,面部左右无明显差异,可见其右侧下颌处有一2 cm × 3 cm的弥漫性小溃疡灶;镇静触诊,腹部无明显异常。

内窥镜口腔检查见其牙面平整、无明显牙刺,舌面未见异常,颊黏膜有散在发炎发红的情况,未探查到最后几颗牙齿的颊黏膜。

3.2. 实验室检查

3.2.1. 血常规检查

隐静脉采血5 mL加入EDTA-K2抗凝管后轻轻摇匀,使血液与抗凝剂充分混合,将混匀后的血样放入安侣血液分析仪的进样区进行检测,检测结果见表1

Table 1. Blood routine test results of diseased capybara

1. 患病水豚血常规检测结果

检验项目

结果

参考范围

白细胞数/(109/L)

7.17

3.10~16.30

中性粒细胞百分比/%

0.70↓

7.00~32.00

淋巴细胞百分比/%

19.23↓

57.00~91.00

单核细胞百分比/%

10.84↑

2.00~5.00

嗜酸性粒细胞百分比/%

68.53↑

0.00~4.00

嗜碱性粒细胞百分比/%

0.70

0.00~3.00

红细胞数/(1012/L)

3.11

2.07~7.22

血红蛋白浓度/(g/L)

130.79

90~232

红细胞压积/%

32.13

31.60~52.00

平均红细胞体积/fL

103.31

平均红细胞血红蛋白含量/Pg

42.05

平均红细胞血红蛋白浓度/(g/L)

407.07

红细胞体积分布宽度/fL

44.00

红细胞体积分布宽度/%

12.52

红细胞血红蛋白分布宽度/(g/L)

21.00

红细胞血红蛋白分布宽度/%

14.38

血小板数/(109/L)

234.68

211~402

血小板压积/%

0.17

血小板平均体积/fL

7.28

大血小板比率/%

5.17

血小板体积分布宽度/fL

8.00

血小板体积分布宽度/%

99.50

注:参考值数据来源于International Species Information System。

表1可知,该患病水豚的白细胞总数和红细胞指标均在正常范围内,说明它的血液健康状况相对稳定。先前园区兽医已排除寄生虫感染,故嗜酸性粒细胞百分比的显著升高可能提示着出现过敏反应;单核细胞百分比升高提示可能存在慢性炎症;而中性粒细胞和淋巴细胞的分布改变的原因可能是慢性炎症状态引起的再分布或消耗。

3.2.2. 生化检查

隐静脉采血5 mL加入肝素锂抗凝管中,用移液枪向试剂盘中加入全血100 μL,再将试剂盘置于爱贝斯生化分析仪的指定位置,按下启动检测按钮进行检测,检测结果见表2

Table 2. Biochemical test results of diseased capybara

2. 患病水豚生化检测结果

项目

结果

参考值

白蛋白/(g/dL)

2.3↓

2.5~4.8

碱性磷酸酶/(U/L)

79

30~1130

丙氨酸转氨酶/(U/L)

16

5~174

淀粉酶/(U/L)

>4000↑↑

13.69~1645

总胆红素/(mg/dL)

0.3

0~17

尿素氮/(mg/dL)

11

8.58~77

钙离子/(mg/dL)

11.8

9.52~15.4

磷/(mg/dL)

5.6

0.65~5.91

肌酐/(mg/dL)

2.2

0.99~2.89

血糖/(mg/dL)

138

24.98~296

钠离子/(mmol/L)

132

127~155

钾离子/(mmol/L)

4.5

3.8~8.2

总蛋白/(g/dL)

7.6

4.4~7.9

球蛋白/(g/dL)

5.2↑

1.6~4.8

白球比

0.44

血尿素氮/肌酐比

5.00

钠钾比

29.33

注:参考值数据来源于International Species Information System。

表2可知,该患病水豚血清淀粉酶指标显著升高,明显高于参考范围。该变化在动物临床中可见于多种情况,除胰腺疾病外,唾液腺炎症、消化道损伤、局部组织严重炎症及应激状态等亦可导致该指标异常升高。关于淀粉酶显著升高的具体原因,将在讨论部分结合病例特点作进一步分析。同时,该患病水豚白蛋白指标略低、球蛋白指标略高,提示机体可能存在持续性炎症反应或慢性炎症消耗。

3.2.3. CT影像检查

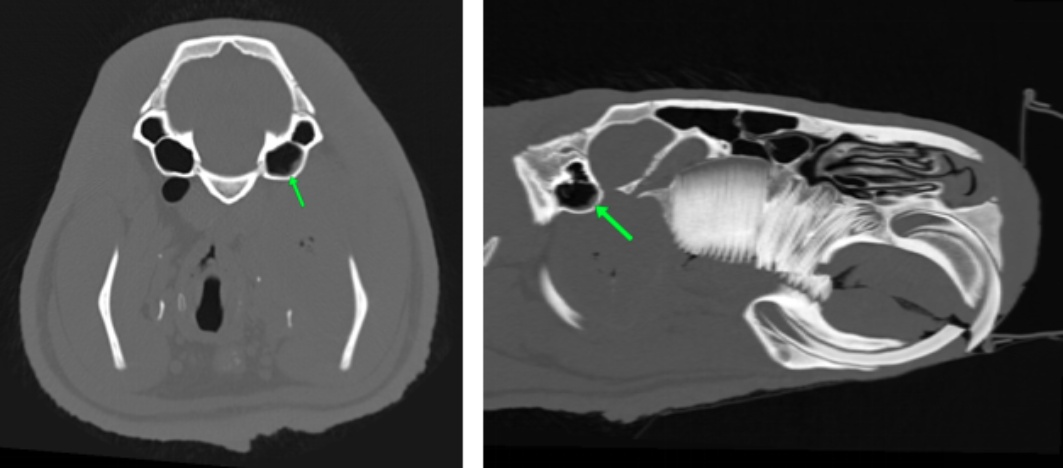
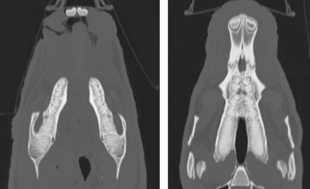
使用万东医疗的OpenCT机,将患病水豚以背卧位及侧卧位保定进行头部平扫和三维成像,影像结果见图1图2

图1(A)可知,其右侧喉咽部会厌水平处有一细棒状金属密度异物影,长度约1.8 cm,周围软组织密度降低,软组织内有多个小气泡影。由图1(B)可知其双侧颞下颌关节未有明显脱位。由图1(C)可知,其右侧鼓室重力侧有层状中等密度影,左侧鼓室内充满气体影,外耳道通畅,耳道壁有点状钙化灶。各牙齿密度正常,齿根处无明显骨质溶解,未有齿根过长,双侧切齿对合良好。脑中线居中,脑实质无明显异常密度影。鼻中隔居中,筛骨完整、对称,鼻腔内无明显渗出影。

(A)

(B)

(C)

Figure 1. CT image of diseased capybara

1. 患病水豚CT影像

Figure 2. Three-dimensional imaging of diseased capybara

2. 患病水豚三维成像

3.2.4. 药敏检测

基于以上实验室检查结果,为精确用药以避免患病水豚出现胃肠功能紊乱和营养吸收异常的情况,决定采集其口腔内创部脓液送至硕腾检测实验室进行需氧细菌培养及药敏试验。实验室采用了巧克力琼脂、血琼脂等多种培养基下的微生物培养法,结合质谱鉴定技术成功检测到两种主要菌群:非脱羧勒克菌(Leclercia adecarboxylata)和星座链球菌(Streptococcus constellatus)。图3为血琼脂培养基下的非脱羧勒克菌和星座链球菌。确定菌群种类后接着采用了MIC药敏法得到了其对不同抗生素的敏感性,如表3表4所示。根据检测结果决定术后以马波沙星为主要抗菌药物。

Figure 3. Leclercia adecarboxylata and Streptococcus constellatus in blood agar medium

3. 血琼脂培养基下的非脱羧勒克菌和星座链球菌

Table 3. MIC method detection results of Leclercia adecarboxylata

3. 非脱羧勒克菌的MIC法检测结果

药物

检测结果

敏感度

氨苄西林

≤2 μg/mL

敏感

头孢氨苄

≤4 μg/mL

敏感

头孢泊肟

≤0.25 μg/mL

敏感

头孢噻呋

≤1 μg/mL

敏感

阿米卡星

16 μg/mL

耐药

新霉素

≤2 μg/mL

敏感

马波沙星

≤0.5 μg/mL

敏感

多西环素

≤0.5 μg/mL

敏感

氯霉素

≤2 μg/mL

敏感

阿莫西林/克拉维酸

≤2 μg/mL

敏感

头孢噻吩

≤2 μg/mL

敏感

头孢维星

≤0.5 μg/mL

敏感

亚胺培南

≤0.25 μg/mL

敏感

庆大霉素

2 μg/mL

敏感

恩诺沙星

≤0.12 μg/mL

敏感

普多沙星

≤0.12 μg/mL

敏感

四环素

≤1 μg/mL

敏感

复方新诺明

≤20 μg/mL

敏感

Table 4. MIC method detection results of Streptococcus constellatus

4. 星座链球菌的MIC法检测结果

药物

检测结果

敏感度

头孢泊肟

≤2 μg/mL

敏感

恩诺沙星

≤0.5 μg/mL

敏感

马波沙星

≤1 μg/mL

敏感

红霉素

≤0.25 μg/mL

敏感

克林霉素

≤0.5 μg/mL

敏感

青霉素

≤0.12 μg/mL

敏感

四环素

≤2 μg/mL

敏感

多西环素

≤0.25 μg/mL

敏感

阿奇霉素

≤0.5 μg/mL

敏感

复方新诺明

≤0.5/9.5 μg/mL

敏感

万古霉素

≤1 μg/mL

敏感

4. 治疗

4.1. 术前准备

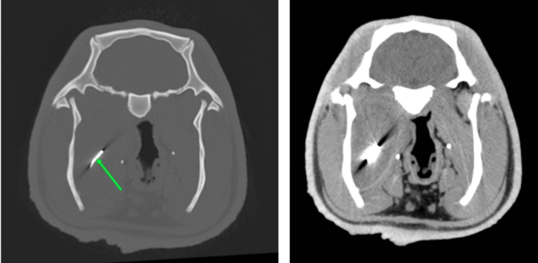
基于CT影像结果,计划进行异物取出手术。术前通过对患病水豚的DR检查重新定位异物位置,同时评估其胸腹部情况。影像学结果显示:金属异物位于右侧下颌骨后缘内侧,位置较深;胸腔未见明显异常改变;腹腔可见不同程度肠道积气。综合评估后确认具备手术指征。术前为其建立静脉通路并置入留置针,以2 mg/kg剂量的舒泰50进行初步镇静,诱导期约15 min。随后实施气管插管,采用异氟烷吸入麻醉维持,同时以200 mL/h的速度进行静脉补液。

4.2. 手术过程

采用仰卧位保定,对右侧下颌及咽喉区域进行备皮与常规手术区消毒。以术前影像为参考,将切口预定于右侧下颌骨后缘靠头侧区域。

常规铺巾隔离手术野,沿预定切口切开皮肤及皮下脂肪,继续向下分离将切口深度逐渐延伸至8~10 cm,可见一片与周围肌肉组织颜色明显不同的淡白色斑块,提示可能为炎性或脓性组织改变。继续钝性分离周围组织可见大量白色牙膏样脓性分泌物,并有金属丝状物暴露。扩大创口,将金属异物完整取出,清除大部分积脓后以大量生理盐水盥洗,同时配合吸引器充分清理残余分泌物及碎屑组织,以降低术后感染风险。

清创完毕后对脓肿腔室进行探查,测量其范围约为5 cm × 10 cm,根据脓腔形态及深度于腔内置入专用双通道引流系统(图4)。所用引流管为直径5.3 mm、全长30 cm的医用硅胶引流管,术中将其裁剪为长、短两段,分别约为原长度的2/3与1/3。两段引流管分别置入脓腔内不同方向,植入深度约10 cm。固定时采用结节缝合的方式,将缝线自皮肤一侧穿出后穿过引流管壁,再返回穿出皮肤并打结固定,使引流管稳固贴合皮肤,同时减少动物活动对引流管的牵拉。最终按肌层、皮下组织、皮肤的顺序进行分层缝合,确保切口张力均匀与引流通畅。

术后冲洗时,较长一段引流管作为注入通道,较短一段则作为流出通道,实现有效冲洗与双向引流,且两管在必要时亦可同时发挥引流作用,有助于减少腔内液体潴留及维持腔内压力平衡。术后进行疼痛管理,禁食水12 h,并在监护条件下运回恢复区继续观察。为防止水豚啃咬或破坏引流装置,定期对引流管外露部分进行适当的包扎固定。

Figure 4. Abscess drainage tube

4. 脓肿引流管

4.3. 术后用药

为防止患病水豚伤口感染,将其隔离于地面干净的笼舍内单独饲养,禁止下水。水豚有习惯性的水浴行为,故禁食水期结束后少量多次添水,以防其将头部浸于水盆中。饲喂前将饲料捣碎并添入适量温水制成流食,以便于咀嚼消化和减少对口腔内创口的刺激。

每日上午肌注美洛昔康注射液2 mL,下午肌注马波沙星4 mL,连用7 d。同时每两日进行一次清创:依次向脓肿引流管中注入生理盐水50 mL、洗必泰150 mL及甲硝唑注射液50 mL冲洗,再注入京万红、白灵金方和聚维酮碘的混合软膏,连用14 d。术后当晚患病水豚精神及采食饮水情况好转,但排便依旧较稀软,故于其饮食中加入双歧杆菌乳杆菌三联活菌片保健,连用7 d。半个月后麻醉复查,发现伤口愈合红肿消退,遂拆线复苏。

5. 讨论

在圈养条件下,如缺乏合适的磨牙材料或环境管理不当,水豚极易啃咬并误食非食源性异物,从而引发口腔损伤、继发感染甚至脓肿形成。在本病例中,铁钉误入并嵌顿于口腔下深层肌肉组织,造成了明显的局部炎症和脓肿。该情况具有一定的隐匿性和危险性,若未能及时、准确诊断和处理,可能进一步发展为深部感染甚至发生全身性并发症。故在饲养此类啮齿动物时所用的笼舍材质应尽量为木制,同时为其备好磨牙用具,以从根源上杜绝误食情况的出现。

在诊断方面,传统的口腔检查在中体型野生动物中存在明显局限性。一方面,水豚体型较大且性情敏感,常规保定难度较大,强行开口检查易引起明显应激反应,甚至增加兽医人员的操作风险;另一方面,部分异物位置较深,单纯依赖肉眼检查或普通X线检查,往往难以准确判断其具体位置、形态及其与周围组织的关系。本病例中采用CT平扫结合三维重建成像技术,不仅清晰显示了异物的大小、形态及空间位置,还直观反映了周围软组织的损伤程度和炎症范围,为术前评估和手术方案的制定提供了可靠依据。相比传统影像学方法,CT及三维成像在复杂口腔病例中的优势尤为明显,其无创性和高分辨性的特点显著提高了诊断的准确性和安全性。在实验室检查中,嗜酸性粒细胞指标和淀粉酶指标出现了严重升高,以下为针对该结果的合理分析:口腔黏膜是嗜酸性粒细胞极易聚集的组织之一[3],而铁钉在口腔内的长期摩擦导致了口腔局部的异物反应或过敏反应,故会引起嗜酸性粒细胞指标的升高。血清淀粉酶主要由两种同工酶构成,即胰腺来源的胰腺型淀粉酶和唾液腺来源的唾液型淀粉酶[4]。在正常生理状态下,唾液型淀粉酶通常占血清总淀粉酶的较大比例[5],而唾液腺的炎症或损伤可导致唾液型淀粉酶释放增加,从而引起了血清总淀粉酶的升高。值得一提的是,胰腺炎亦是导致血清淀粉酶升高的常见原因之一,但在本病例中,除淀粉酶异常外未见明显支持急性胰腺炎的临床症状或影像学特征。然而,本次检查中未同步检测血清脂肪酶(Lipase)水平,亦未进行胰腺特异性生物标志物检测,因此在实验室检查层面尚不能完全排除胰腺炎的可能性,这构成了本病例诊断中的一处局限性。综合临床表现、影像学检查结果及手术探查所见,更倾向于认为淀粉酶的升高与下颌及咽喉区域深层感染、唾液腺炎症相关,而非原发性胰腺疾病所致。

在治疗策略上,如何在确保治疗效果的同时降低动物应激反应并保障兽医操作时的安全,是中体型野生动物临床治疗中的关键问题。术前在园区的治疗中,该患病水豚在兽医人员给药时展现了较强的警觉性与攻击性,而脓肿引流管的安置成功呈现了一条得以从外界干预到内部创腔的通道,有效减少了局部脓液和炎性渗出物的积聚,降低了继发感染的风险。搭配铁笼保定不仅保障了兽医人员的安全,还减少了反复操作对动物造成的应激,有助于其术后恢复。此外,本病例结合细菌培养及药敏试验进行针对性抗生素治疗,避免了经验性用药可能导致的疗效不佳或耐药问题。值得一提的是,头孢类抗生素在药敏试验结果中也显示出了对两种主要菌群的有效性,之所以未选用该类抗生素是因为其会破坏水豚等草食动物的盲肠、结肠厌氧菌群,易导致肠道菌群失衡,且该风险在口服给药时更高。而在术后冲洗时,考虑到本病例脓腔内感染的严重性和甲硝唑对厌氧菌的强效作用,故临床上仍然选择了甲硝唑进行冲洗处理。为了减少其对肠道菌群的负面影响,本病例中严格控制了甲硝唑的使用时间和剂量,同时配合饲喂益生菌以帮助患病水豚恢复肠道微生态平衡,需要注意的是,益生菌须在抗生素使用后至少两小时饲喂,以防二者产生拮抗。

6. 结论

CT平扫及三维成像技术在口腔疾病的诊断中具有显著优势,可作为此类病例的重要检查手段;而脓肿引流管的应用,为中体型动物口腔感染的术后管理提供了一种安全、有效且易操作的治疗手段;同时药敏试验下的精准用药,也是本病例获得良好预后的重要原因。本病例的成功治疗体现了现代影像技术与精细化外科处理在野生动物临床诊疗中的协同价值,也为今后水豚及其他类似动物误食异物所致口腔疾病的诊疗提供了有益参考。

参考文献

[1] Wilson, D.E. and Reeder, D.M. (2005) Mammal Species of the World: A Taxonomic and Geographic Reference. 3rd Edition. Johns Hopkins University Press.
[2] van Wettere, W.H.E.J., Klatte, H.J. and Böhmer, E. (2024) The Physiology of Tooth Growth and Wear in Hystricomorph Rodents: A Review. Journal of Animal Science, 102, skad399.
[3] Al-Azzawi, H.M.A., Paolini, R., Cirillo, N., O’Reilly, L.A., Mormile, I., Moore, C., Yap, T. and Celentano, A. (2024) Eosinophils in Oral Disease: A Narrative Review. International Journal of Molecular Sciences, 25, 4373. [Google Scholar] [CrossRef] [PubMed]
[4] Pieper-Bigelow, C., Strocchi, A. and Levitt, M.D. (1990) Where Does Serum Amylase Come From and Where Does It Go? Gastroenterology Clinics of North America, 19, 793-810. [Google Scholar] [CrossRef
[5] Akinfemiwa, O., Zubair, M. and Muniraj, T. (2025) Amylase. StatPearls Publishing.