鼻尤文肉瘤3例
Ewing’s Sarcoma of the Nose: A Report of Three Cases
DOI: 10.12677/jcpm.2026.52103, PDF, HTML, XML,   
作者: 朱加琚*, 董 念, 杨 帆, 李德民, 马 旭, 任宇荟:济宁医学院临床医学院(附属医院),山东 济宁;吴允刚, 张 辉#:济宁医学院附属医院耳鼻咽喉头颈外科,山东 济宁
关键词: 尤文肉瘤鼻内镜小圆细胞肿瘤鼻窦Ewing’s Sarcoma Nasal Endoscopy Small Round Cell Tumor Paranasal Sinuses
摘要: 目的:总结鼻部尤文肉瘤的临床特征,加深对该病的认识,制定更加完善临床诊疗方案。方法:对发生在鼻部的尤文肉瘤3例的临床表现、体格检查、影像学检查、实验室检查及治疗过程等进行回顾性分析并讨论。结果:本文报道3例发生于鼻部的尤文肉瘤(Ewing’s sarcoma),简称ES。2例发生在鼻腔及鼻窦区,均有鼻塞及头痛,其中例1合并反复左侧鼻腔出血及嗅觉减退,术前出现感染症状,例2伴流涕,2例查体鼻腔可见新生物,鼻部CT可示新生物,均在全身麻醉下行鼻内镜下鼻腔鼻窦肿物切除术 + 鼻窦开放术。另1例发生于鼻翼的尤文肉瘤,院外局麻下行鼻部肿物切除术。术后病理均示小圆细胞肿瘤,结合免疫组化考虑为骨外尤文肉瘤。例1患者术后接受化疗和放疗联合治疗,例2患者出院后未再于我院就诊,已电话随访,例3术后2年于我院就诊。至今均无复发及转移迹象。结论:肉眼观鼻部尤文肉瘤较难与恶性肿瘤鉴别,故加大了我们诊断的难度。需结合多学科联合诊疗,以采取更加完善的治疗方案,提高患者生存率,改善预后。
Abstract: Objective: To summarize the clinical features of nasal Ewing’s sarcoma in order to enhance understanding of this disease and develop more comprehensive clinical diagnosis and treatment strategies. Methods: A retrospective analysis was conducted on three cases of Ewing’s sarcoma located in the nasal region, including clinical manifestations, physical examination, imaging studies, laboratory findings, and treatment courses. Results: This article reports three cases of Ewing’s sarcoma (ES) occurring in the nose. Two cases involved the nasal cavity and paranasal sinuses, both presenting with nasal obstruction and headache. Case 1 also exhibited recurrent epistaxis from the left nasal cavity and hyposmia, with preoperative signs of infection, while Case 2 was accompanied by rhinorrhea. Physical examination revealed neoplastic masses in the nasal cavity in both cases, and nasal CT scans showed the presence of neoplasms. Both patients underwent endoscopic excision of the nasal and sinus mass + sinusotomy under general anesthesia. The third case involved Ewing’s sarcoma of the nasal ala, which had been excised under local anesthesia at another hospital. Postoperative pathological examination indicated small round cell tumors in all cases, and extraosseous Ewing’s sarcoma was confirmed based on immunohistochemical findings. The patient in Case 1 received combined chemotherapy and radiotherapy postoperatively, Case 2 was lost to follow-up at our hospital but was contacted via telephone, and Case 3 returned to our hospital two years after surgery. To date, there have been no signs of recurrence or metastasis in any of the cases. Conclusions: Macroscopically, nasal Ewing’s sarcoma is difficult to distinguish from other malignant tumors, which complicates diagnosis. Multidisciplinary collaboration is essential to formulate more effective treatment plans, improve patient survival rates, and enhance prognosis.
文章引用:朱加琚, 董念, 杨帆, 李德民, 马旭, 任宇荟, 吴允刚, 张辉. 鼻尤文肉瘤3例[J]. 临床个性化医学, 2026, 5(2): 79-85. https://doi.org/10.12677/jcpm.2026.52103

1. 引言

尤文肉瘤(Ewing’s sarcoma, ES)是一类以小圆蓝色细胞为特征的一类恶性肿瘤的统称,包括骨及骨外尤文肉瘤、胸壁恶性小细胞瘤(Askin瘤)和外周原始神经外胚层肿瘤,它们拥有相似的病理组织学、免疫组织化学及遗传学特征。分子遗传学特征是染色体t (11; 22) (q12; q24)易位导致EWSR1和FLI1基因融合[1]-[4]。James Ewing于1921年首次将其描述为“弥漫性骨内皮瘤”,1928年Oberling将其命名为“尤文肉瘤”,最常见于长骨骨干和骨盆。“骨外尤文肉瘤”由M Tefft等人于1969年发现并报道,有文献称头颈部的骨和软组织尤文肉瘤占全身尤文肉瘤的1%~7% [5]-[7]

2. 临床资料

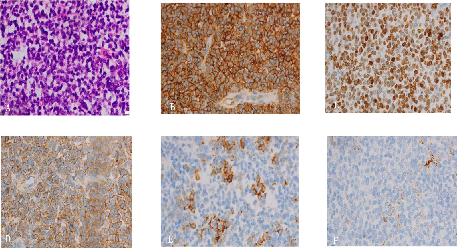
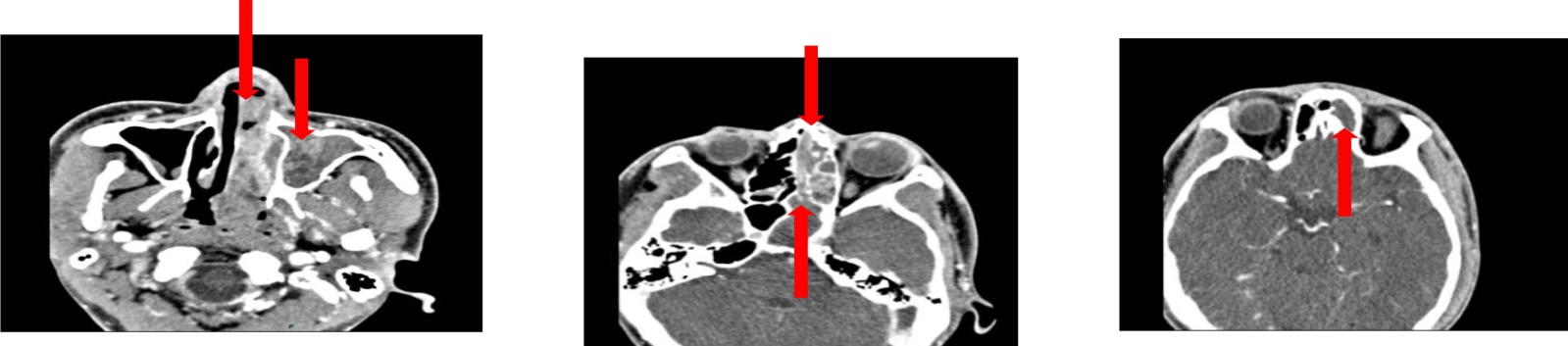
例1:患者男,22岁。因“鼻塞1年余,反复左侧鼻腔出血1个月”于2021年3月11日入院,伴嗅觉减退、头痛,无流涕,无体重减轻,无其他病史。查体:左侧鼻腔见新生物堵塞。鼻窦计算机断层扫描(Computed Tomography, CT):左侧鼻腔、鼻咽腔及左侧副鼻窦内软组织密度影,考虑鼻息肉;全组副鼻窦炎(见图1)。入院后反复发热,体温最高达38.5℃,伴咳嗽、咳痰,血常规示白细胞、中性粒细胞计数、C反应蛋白均升高,予以“头孢呋辛(1.5 g q8h)”静脉滴注,症状控制欠佳,后将抗生素升级为“头孢他啶(2.0 g q8h)”并采取止咳、降温等治疗,1周后病情稳定,遂行鼻内镜下鼻窦开放术 + 鼻腔鼻窦肿物切除术。术中发现该肿物触之易出血,完整切除后,依次开放左侧上颌窦、筛窦、额窦和蝶窦,发现新生物起源于上颌窦,上颌窦内侧壁明显硬化。术中出血量较大,约400 ml,术后血常规示红细胞、血红蛋白下降,其他实验室指标基本正常,考虑术中一过性出血,故未予以输血,仅积极补液。术后常规病理:(左侧鼻腔鼻窦)小圆细胞肿瘤,结合免疫组化考虑为骨外尤文肉瘤。免疫组化:肿瘤细胞CD99(+),F1i-1(+/-),NKX2.2(+),β-catenin浆(+),Ki-67(+, 30%~40%),Vimentin(+/-),CD56灶性(+),Syn灶性(+),CK(-),Desmin(-),LCA(-),CD3(-),CD20(-),CD21(-),MyoD1(-),INI-1无缺失,SMA(-),Pax-5(-),Myogenin(-),CD79a (-) (见图2)。故诊断为鼻腔鼻窦小圆细胞肿瘤(骨外尤文肉瘤T4N0M0)。化疗前后,行腹部、心脏彩超,鼻咽部、颈部磁共振成像(Magnetic Resonance Imaging, MRI)、胸部CT等检查,均未见复发与转移。目前患者术后4年余,电话随访无复发及转移。

Figure 1. Nasal CT scan: soft tissue density shadows in the left nasal cavity, nasopharynx and left paranasal sinuses, suggestive of nasal polyps with pansinusitis

1. 鼻部CT左侧鼻腔、鼻咽腔及左侧鼻窦,可见软组织密度影,考虑为鼻息肉

Figure 2. Pathological and immunohistochemical findings of small round cell tumor:(A) Hematoxylin-eosin staining (HE ×40); (B)-(D) Positive immunoreactivity for CD99, NKX2.2 and β-catenin (IHC ×40); (E) (F) Focal positive staining for Syn and CD56 (IHC ×40)

2. 常规病理及免疫组化结果。(A) 小圆细胞肿瘤(HE ×40),(B)~(D) 抗CD99、NKX2.2和β-catenin抗体阳性染色(IHC ×40),(E) (F) Syn灶性(+)和CD56灶性(+) (IHC ×40)

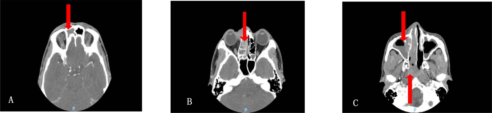
例2:患者男,34岁。因“鼻塞、流涕、头痛3月”2024年6月11日入院,无鼻腔出血或涕中带血,无嗅觉减退,无体重减轻,既往体健。查体:右侧鼻腔见新生物。副鼻窦CT平扫及增强扫描:右侧鼻腔–上颌窦累及眼眶内下部,鼻翼软组织增厚,考虑肿瘤性病变;鼻咽右侧壁稍厚;双侧上颌窦、蝶窦、筛窦及额窦炎(见图3)。余检查结果未见异常。于全麻下行鼻内镜下鼻窦开放术 + 鼻腔鼻窦肿物切除术。术中见右侧鼻腔弥漫性肿物,右侧鼻腔结构不清,向前达鼻前庭,向后至鼻咽部,累及右侧圆枕及咽隐窝,将鼻腔肿物切除后,送术中冰冻病理,提示:间叶源性肿瘤,待石蜡及免疫组化。遂进行多学科讨论,考虑恶性肿瘤可能性大,需待石蜡病理及免疫组化结果,再拟定下一步诊疗方案,术后常规病理示:(右鼻腔)小圆细胞恶性肿瘤,结合免疫组化倾向尤文肉瘤/PNET;免疫组化:CD99(+),F1i-1(+),INSM1(-),Ki-67(+, 60%),Vimentin(+),Myogenin(局灶+),CD3(-),S-100(-),CD20(-),CD79a(-),LCA(-),CK(-),Desmin(-),MyoD1(-),CD34(-),Syn(-),NKX2.2(-)。原位杂交:EBER(-) (见图4),未于我院行放化疗。现术后1年余,电话随访,诉于当地医院规律放化疗,现无复发及转移征象。

Figure 3. Non-contrast and contrast-enhanced paranasal sinus CT scan: The right nasal cavity-maxillary sinus involving the inferomedial orbit with thickened soft tissue of the nasal ala, suggestive of a neoplastic lesion

3. 鼻部CT右侧鼻腔–上颌窦累及眼眶内下部,鼻翼软组织增厚,考虑肿瘤性病变

Figure 4. Pathological, immunohistochemical and in situ hybridization findings:(A) Small round cell malignant tumor (HE ×40); (B)-(E) CD99 (+), Fli-1 (+), CD79a (-), Ki-67 (+, 60%) (IHC ×40); (F) EBER(-) negative by in situ hybridization

4. 病理、免疫组化及原位杂交结果。(A) 小圆细胞肿瘤(HE ×40),(B)~(E) CD99(+),Fli-1(+),CD79a(-),Ki-67 (+, 60%) (IHC ×40),F原位杂交EBER(-)

例3:患者男,71岁,2年前因“发现左侧鼻翼肿物4年”于2023年3月6日入院,鼻部无疼痛,无肿物破溃,期间该肿物逐渐增大,无鼻塞、鼻腔出血,无嗅觉减退。查体:鼻翼无扇动,左侧鼻翼见一肿物,大小约2 cm × 2 cm,表面无破溃,质软,无压痛。入院后完善三大常规及生化检查无特殊,排除手术禁忌症,遂行鼻部肿物切除术,手术过程:局麻后于肿物最高处切开,钝性分离,分离肿物周围组织并游离肿物,肿物无蒂,与周围组织分界较清,无明显粘连,沿肿物边缘安全距离(约0.5 cm)并连同肿物,完整切除,见肿物无残留,冲洗术腔后间断缝合,并放置引流管。因初步考虑肿物为良性病变,故术中未送冰冻病理检查。术后常规病理示:(左侧鼻翼肿物)小圆细胞恶性肿瘤,结合免疫组化及FISH检测结果,符合骨外尤文肉瘤,免疫组化:CD99(+),F1i-1(+),CD56 (+),CKpan少量(+),Ki-67(+,约10%),CAM5.2(部分+),Syn灶性(+),Vimentin(+),S-100(-),Desmin(-),Myogenin(-),EMA(-),CD34(-),LCA(-),SMMHC(-)。FISH检测:EWSR1基因断裂检测阳性。术后无不适,常规拆线,术区恢复可,建议患者按骨外尤文肉瘤的常规治疗方案行放化疗,但患者拒绝,嘱定期随访。现患者术后2年余,复诊行鼻部MRI示:鼻翼尤文肉瘤术后,未见明确复发征象(见图5)。目前恢复尚可。

Figure 5. Nasal MRI scan: after surgical resection of nasal ala Ewing’s sarcoma: no definite signs of recurrence

5. 鼻部MRI鼻翼尤文肉瘤术后,未见明确复发征象

3. 讨论

类似例3的外鼻尤文肉瘤罕见,Howard DJ等人于1993年首次报道了鼻部的尤文肉瘤[8],相比之下,鼻腔鼻窦尤文肉瘤较多见,外鼻尤文肉瘤的报道到目前为止不超过5例,故我们将其与鼻腔鼻窦尤文肉瘤一起描述。鼻部鼻窦尤文肉瘤的发生与种族遗传因素相关,与生活环境关系似乎不大,它们更青睐白种人,亚洲和非洲人发病率较低[9]-[11]。男性发病率略高于女性,以儿童、青少年、青壮年人群为主,40岁前发病约占70% [12]。我们报道的3例均为男性,且2例在高发年龄段。

发生在鼻腔鼻窦,以患侧鼻塞为主要症状,伴鼻腔出血或涕中带血。与外鼻的尤文肉瘤相比,鼻腔鼻窦的病程较短且急,并可伴随其他症状,如头痛,若累及眼眶,可伴随视力下降,鼻腔一般可查见新生物,肉眼观与鼻息肉类似。而发生在外鼻的尤文肉瘤主要为缓慢增长的肿块,表面光滑,无明显破溃,皮温与周围组织无显著差异,质软,无压痛,例3与之相似[8] [13]。我们可以看出,发生在鼻部的尤文肉瘤缺乏明显的特异性体征,故给诊疗带来一定的困难。

鼻腔鼻窦尤文肉瘤的影像学也缺乏特征性表现。CT可见软组织肿块弥漫性强化和骨质破坏,MRI的T1WI稍低信号或等信号,T2WI高信号,也可出现出血和坏死灶[14] [15]。CT和MRI虽不能明确诊断,但有助于判断其病变范围,可协助治疗。由于其为恶性肿瘤,存在转移也不足为奇,最常见的转移部位是骨和肺[9] [12],正电子发射断层显像/X线计算机体层成像仪(Positron Emission Tomography/Computed Tomography, PET/CT)可观察全身转移情况。针对外鼻的尤文肉瘤报道有限,我们的例3术前也未完善相关的影像学检查,故可参考的资料甚少,此外在所有报道的文献中,随访期间并未发现转移。

术前通过针吸细胞学检查对诊断也具有重大意义。病理组织学、免疫组织化学和分子生物学分析是确诊的金标准[16]。镜下观呈单个小而圆的细胞,细胞核深染,核仁突出。免疫标志物最常见的是CD99(+)和Fli-1(+)。(Polymerase Chain Reaction, PCR)和荧光原位杂交技术(Fluorescence in situ hybridization, FISH)是最常用的分子检测工具,可检测到特征性融合基因EWS-FLI1 [17],但分子检测方法昂贵,并非所有的患者都进行此项检测。我们的3例中仅例3完善了FISH检测,结果与现存研究一致。因后续无法对例1、例2追加FISH检测及PCR检测,成为本研究的诊断局限性。因此本研究通过免疫组化指标联合检测排除其他小圆细胞恶性肿瘤,具体依据为:1) 淋巴瘤相关指标LCA、CD3、CD20、CD21、CD79a、Pax-5均为阴性;2) 横纹肌肉瘤相关指标Desmin、MyoD1、Myogenin均为阴性(例2仅Myogenin局灶阳性,不具备诊断意义);3) 上皮源性肿瘤相关指标CK、EMA、CAM5.2 (例3仅部分阳性)均为阴性;4) 黑色素瘤相关指标S-100为阴性;5) 血管源性肿瘤相关指标CD34为阴性;6) 原位杂交EBER阴性,排除EB病毒相关淋巴组织增生性疾病及恶性肿瘤。同时例1、例2均表现为尤文肉瘤特征性免疫标志物CD99阳性,结合组织形态学为小圆细胞肿瘤,故在缺乏分子检测的前提下,可高度诊断为尤文肉瘤。

对于鼻部尤文肉瘤目前国内外没有制定一个标准的治疗方案,但似乎手术辅以放化疗是现存的统一治疗方案。关于外鼻的尤文肉瘤,从有限的文献总结得出首选手术完整切除并辅以放化疗是目前较完善的治疗手段。然而鼻腔鼻窦尤文肉瘤不推荐手术切除为一线治疗,但我们查阅现存的文献可知:局限性的鼻腔鼻窦尤文肉瘤化疗联合手术治疗是现阶段的主要治疗方式。尽管目前并没有明确的研究证明放疗能明显提高生存率[18],但也有学者提出放疗有利于局部控制,特别是未能保证手术切缘阴性的患者[19]。影响尤文肉瘤预后的主要因素是肿瘤的部位、大小、是否转移以及肿瘤对放化疗的反应,而转移是预后不良的最大危险因素[20]。有研究表明,头颈部的尤文肉瘤2年和7年生存率分别为83%和71% [17]。而对于鼻腔鼻窦的尤文肉瘤,存在转移的5年生存率为22%,而无转移的5年生存率为86% [12]。对于外鼻的尤文肉瘤现缺乏足够的数据以分析其生存特征,但现存且可查阅的文献在随访期间均无复发、转移及死亡[8] [13]。由于老年及外鼻的尤文肉瘤发病更是罕见,针对老年患者的预后是否与其他年龄段不同有待进一步探究。另外例1术前感染症状是否与尤文肉瘤有关也有待商榷。

综上所述,发生在外鼻的尤文肉瘤诊疗缺乏大数据,且发病率极低,肉眼观极难与恶性肿瘤联系。鼻腔鼻窦尤文肉瘤肉眼观与鼻息肉相似,有一定的误导性,这也加大了我们诊断的难度。故临床耳鼻喉医生应对这类恶性肿瘤予以极大的重视,并结合多学科联合诊疗,以期采取更加完善的治疗方案,提高患者生存率,改善预后。

作者贡献

朱加琚,董念,杨帆,李德民,马旭,任宇荟负责资料整理、论文撰写;吴允刚,张辉负责命题的提出、论文审读和修订。

利益冲突

所有作者声明不存在利益冲突。

该病例报道已获得患者的知情同意。

NOTES

*第一作者。

#通讯作者。

参考文献

[1] Durer, S., Gasalberti, D.P. and Shaikh, H. (2024) Ewing Sarcoma. StatPearls.
[2] Abboud, A., Masrouha, K., Saliba, M., Haidar, R., Saab, R., Khoury, N., et al. (2021) Extraskeletal Ewing Sarcoma: Diagnosis, Management and Prognosis (Review). Oncology Letters, 21, Article No. 354. [Google Scholar] [CrossRef] [PubMed]
[3] Grünewald, T.G.P., Cidre-Aranaz, F., Surdez, D., Tomazou, E.M., de Álava, E., Kovar, H., et al. (2018) Ewing Sarcoma. Nature Reviews Disease Primers, 4, Article No. 5. [Google Scholar] [CrossRef] [PubMed]
[4] Chen, X., Abraham‐Aggarwal, K. and Kutler, D.I. (2024) A Rare Case of Ewing Sarcoma of the Left Ethmoid Sinus with Orbital Extension. Head & Neck, 47, E23-E27. [Google Scholar] [CrossRef] [PubMed]
[5] Shah, P.U., Angadi, P. and Rao, S. (2025) Unusual Maxillary Swelling in a 21-Year-Old Male—A Case Report. Iranian Journal of Pathology, 20, 125-131. [Google Scholar] [CrossRef] [PubMed]
[6] Csokonai, L.V., Liktor, B., Arató, G. and Helffrich, F. (2001) Ewing’s Sarcoma in the Nasal Cavity. Otolaryngology–Head and Neck Surgery, 125, 665-667. [Google Scholar] [CrossRef] [PubMed]
[7] Tefft, M., Vawter, G.F. and Mitus, A. (1969) Paravertebral “Round Cell” Tumors in Children. Radiology, 92, 1501-1509. [Google Scholar] [CrossRef] [PubMed]
[8] Howard, D.J. and Daniels, H.A. (1993) Ewing’s Sarcoma of the Nose. Ear, Nose & Throat Journal, 72, 277-279. [Google Scholar] [CrossRef] [PubMed]
[9] Costa, I.E., Sousa Menezes, A., Lima, A.F. and Rodrigues, B. (2020) Extra-Skeletal Ewing’s Sarcoma of the Frontal Sinus: A Rare Disorder in Pediatric Age. BMJ Case Reports, 13, e232460. [Google Scholar] [CrossRef] [PubMed]
[10] Zucman-Rossi, J., Batzer, M.A., Stoneking, M., Delattre, O. and Thomas, G. (1997) Interethnic Polymorphism of EWS Intron 6: Genome Plasticity Mediated by Alu Retroposition and Recombination. Human Genetics, 99, 357-363. [Google Scholar] [CrossRef] [PubMed]
[11] Jawad, M.U., Cheung, M.C., Min, E.S., Schneiderbauer, M.M., Koniaris, L.G. and Scully, S.P. (2009) Ewing Sarcoma Demonstrates Racial Disparities in Incidence‐Related and Sex‐Related Differences in Outcome: An Analysis of 1631 Cases from the Seer Database, 1973-2005. Cancer, 115, 3526-3536. [Google Scholar] [CrossRef] [PubMed]
[12] Shaari, A.L., Ho, R., Patel, A.M., Haimowitz, S., Anderson Eloy, J. and Fang, C.H. (2024) Ewing Sarcoma of the Sinonasal Tract: A Scoping Review. The Laryngoscope, 135, 1571-1580. [Google Scholar] [CrossRef] [PubMed]
[13] Rizk, H., Khazzaka, A., Sebaaly, A., Cherfan, M., Tomb, R. and Sarkis, R. (2013) First Description of a Primitive Neuroectodermal Tumor Arising in the Nose. Case Reports in Medicine, 2013, Article ID: 512416. [Google Scholar] [CrossRef] [PubMed]
[14] Harman, M., Kıroğlu, F., Kösem, M. and Ünal, Ö. (2003) Primary Ewing’s Sarcoma of the Paranasal Sinus with Intracranial Extension: Imaging Features. Dentomaxillofacial Radiology, 32, 343-346. [Google Scholar] [CrossRef] [PubMed]
[15] Chin, E.W., Abu-Bakar, A.Z., Hitam, S., Kah-Wai, N. and Abdullah, M.A. (2019) Primary Extraosseous Ewing Sarcoma of the Maxillary Sinus in an Adult—A Rare Case Report. Iranian Journal of Otorhinolaryngology, 31, 391-397.
[16] Cherraqi, A., El Mandour, J., Dghoughi, B., Tbouda, M., El Kababri, M., Hessissen, L., et al. (2023) A Rare Case of Ewing’s Sarcoma of the Maxillary Sinus. Radiology Case Reports, 18, 4248-4252. [Google Scholar] [CrossRef] [PubMed]
[17] Spiguel, M.H., Schuch, L.F., Kovalski, L.N., Ribeiro, J.T., Só, B.B., Silveira, F.M., et al. (2023) Ewing’s Sarcoma of the Head and Neck: A Systematic Review. Oral Diseases, 30, 1784-1792. [Google Scholar] [CrossRef] [PubMed]
[18] Lin, J.K. and Liang, J. (2018) Sinonasal Ewing Sarcoma: A Case Report and Literature Review. The Permanente Journal, 22, 17-086. [Google Scholar] [CrossRef] [PubMed]
[19] Thorn, D., Mamot, C., Krasniqi, F., Metternich, F. and Prestin, S. (2016) Multimodality Treatment in Ewing’s Sarcoma Family Tumors of the Maxilla and Maxillary Sinus: Review of the Literature. Sarcoma, 2016, Article ID: 3872768. [Google Scholar] [CrossRef] [PubMed]
[20] Vidyasagar, M.S., Rao, S., Fernandes, D.J. and Ramanujam, A.S. (1998) A Rare Case of Primary Ewings Sarcoma of the Nasal Bone. Indian Journal of Otolaryngology and Head & Neck Surgery, 50, 69-72. [Google Scholar] [CrossRef] [PubMed]