中西医结合治疗大疱性扁平苔藓1例
A Treatment of Bullous Lichen Planus Patient with Chinese Traditional Medicine and Modern Medication
DOI: 10.12677/jcpm.2025.41030, PDF, HTML, XML,   
作者: 朱雪萍, 黄 文, 黄彩菲, 肖 琳:云南中医药大学第一临床医学院,云南 昆明;孙 虹*:云南省中医医院皮肤科,云南 昆明
关键词: 大疱性扁平苔藓中西医结合治疗结果Bullous Lichen Planus Integrated Traditional Chinese and Western Medicine Treatment Outcome
摘要: 大疱性扁平苔藓(Bullous Lichen Planus, BLP)属扁平苔藓少见型,具体表现为扁平苔藓的典型皮损紫红色丘疹或斑块的基础上出现水疱、大疱亦或是血疱等,目前报道少见。我科于2024年3月收治1例患者,经实验室检查、皮肤病理检查,诊断为大疱性扁平苔藓,予中西医结合治疗。中西医结合治疗后全身皮疹渐平、颜色变暗,水疱消退,瘙痒症状缓解,舌、唇肿胀消失、糜烂面愈合,复查抗BP180抗体转阴,有显著治疗效果,现将病史资料整合并讨论报道如下。
Abstract: Bullous lichen planus (BLP) is a rare type of lichen planus, characterized by typical skin lesions such as purple red papules or plaques, followed by blisters, bullae, or blood blisters. Currently, reports on BLP are rare. Our department admitted one patient in March 2024. After laboratory examination and skin pathological examination, it was diagnosed as bullous lichen planus and treated with a combination of traditional Chinese and Western medicine. After the combination of traditional Chinese and Western medicine treatment, the rash on the whole body gradually flattened, the color became darker, the blisters disappeared, the itching symptoms were relieved, the swelling on the tongue and lips disappeared, and the eroded surface healed. The anti-BP180 antibody turned negative after re-examination, and there was a significant therapeutic effect. The medical history data is now integrated and discussed as follows.
文章引用:朱雪萍, 黄文, 黄彩菲, 肖琳, 孙虹. 中西医结合治疗大疱性扁平苔藓1例[J]. 临床个性化医学, 2025, 4(1): 192-198. https://doi.org/10.12677/jcpm.2025.41030

1. 前言

大疱性扁平苔藓(Bullous Lichen Planus, BLP)是一种罕见的慢性炎症性皮肤病,属于扁平苔藓的一种特殊亚型。由于其临床表现与多种自身免疫性大疱病相似,如大疱性类天疱疮(Bullous Pemphigoid, BP)和线状IgA大疱性皮病(Linear IgA Bullous Dermatosis, LABD),因此诊断上存在一定的挑战[1]。BLP的确诊依赖于临床表现、组织病理学检查、直接免疫荧光(Direct Immunofluorescence, DIF)和血清学检测[2]。在组织病理学上,BLP表现为表皮下大疱、胶体和广泛炎症浸润的形成,这些特征有助于与BP等其他大疱性疾病区分[3]。DIF检查中,BLP的基底膜带通常不显示IgG和C3的线状沉积,这与BP患者的表现不同[4]。此外,BP180作为BP的主要靶抗原,在BLP中并不起主要作用,这进一步强调了两者在病理机制上的差异[1]。本病例报道旨在详细描述一例大疱性扁平苔藓患者的临床表现、诊断过程和治疗反应,以期为临床实践提供参考,并促进对这一罕见疾病的进一步研究。

2. 临床资料

患者女性,38岁。4个月前无明显诱因下出现口腔黏膜糜烂,伴随明显疼痛和不适,症状逐渐加重,但患者未及时就医。2个月前,四肢逐渐新发大量红斑、丘疹及丘疱疹,伴随明显瘙痒加剧,同时双手指甲出现甲横沟和甲板萎缩。因病情持续恶化,患者为寻求进一步诊治来我院就诊。患者自诉口干口苦明显,性情急躁易怒,恶心欲呕、不欲饮食,大便干燥难解,小便短黄,睡眠差,多梦早醒;舌红有裂纹,苔白花剥,津液不足,脉弦细数。既往体健,无慢性疾病史,也无传染病史或家族遗传病史。

2.1. 体格检查

患者一般状态良好,系统检查未发现明显异常。皮肤科检查显示:全身可见散在紫红色扁平丘疹及斑块,表面光泽明显,可见白色网格样纹理;双前臂及手足背部分布米粒至绿豆大小丘疱疹、水疱,皮疹以四肢为重,尼氏征阴性。双唇、口腔黏膜及舌部广泛糜烂并伴肿胀。双手及双足多个甲板可见点状凹陷、横沟及不同程度萎缩(见图1)。

2.2. 实验室检查

患者血常规、尿常规、粪便常规 + 隐血、肝肾功能、人类免疫缺陷病毒抗体、梅毒螺旋体抗体、抗核抗体谱、口腔黏膜真菌和细菌培养、皮损分泌物细菌培养及甲真菌镜检均未见异常。腹部彩超提示中度脂肪肝。其他异常指标详见表1

(a) (b) (c)

Figure 1. Patient’s skin lesions

1. 患者皮损

Table 1. Comparison of partial laboratory test results before and after treatment in patients

1. 患者治疗前后部分实验检查结果对比

IgG (7.0~12.6 g/L)

IgA (0.76~3.9 g/L)

血沉(<15 mm/h)

抗BP180抗体

(≥9 U/ml阳性,<9 U/ml阴性)

治疗前

17.23 g/L↑

7.16 g/L↑

66 mm/h↑

18.31 U/ml↑

治疗后

10.8 g/L

3.27 g/L

12.8 mm/h↑

7.65 U/ml↑

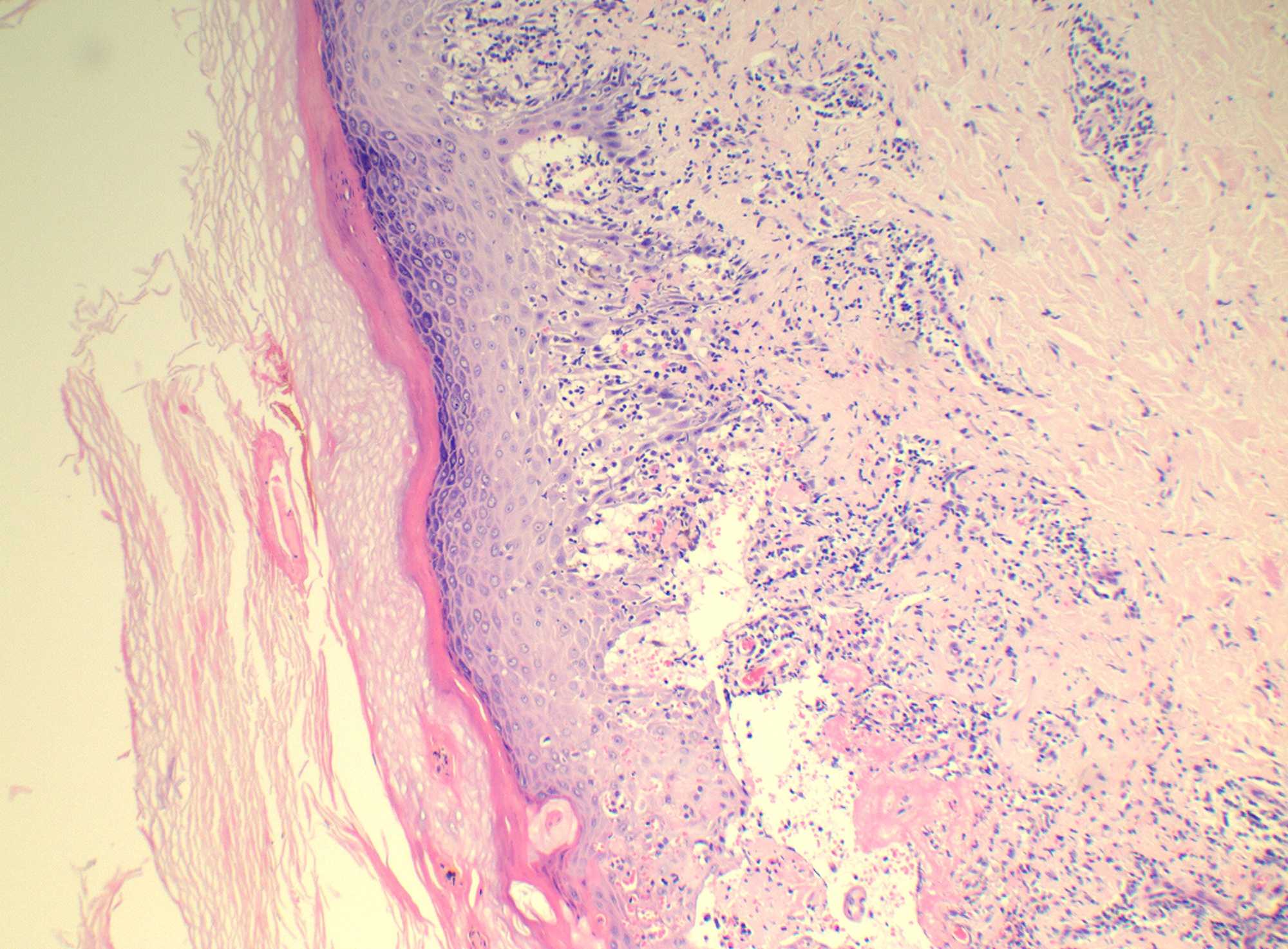
Figure 2. Histopathological image of skin lesion

2. 皮损组织病理学图片

图2皮损组织病理学检查显示:表皮层出现角化过度现象,伴随有棘层的肥厚。颗粒层呈现出楔形增厚。基底层观察到液化变性,伴随色素失禁现象。真皮浅层可见淋巴细胞呈带状浸润。表皮下有水疱形成(HE × 100)。

(a) (b)

Figure 3. One month after treatment

3. 治疗1个月后

2.3. 病理检查

皮肤病理检查报告(取材自右上臂),病理检查结果显示,患者皮损部位存在以下显著病理学变化:① 表皮变化:观察到表皮角化过度,伴随显著的角化层增厚,显示明显的表皮异常增生特征。同时,表皮下层即棘层出现明显肥厚,提示表皮结构受到一定程度的病理性改变。② 颗粒层变化:颗粒层呈现楔形增厚,这是表皮结构异常增生的重要表现,进一步反映疾病活动性增强。③ 基底细胞变化:基底细胞层发现液化变性,显示细胞受损严重。液化变性伴随色素失禁现象,即黑色素细胞中的色素释放到周围组织中,导致皮肤组织色素沉着不均。这种改变提示炎症或其他病理因素的存在。④ 水疱形成:局部表皮下观察到水疱形成,可能与炎症反应或其他病理过程相关,这一发现与大疱性扁平苔藓的临床表现一致。⑤ 真皮浅层炎症反应:真皮浅层可见以淋巴细胞为主的炎性细胞浸润,呈带状分布特征,进一步支持炎症病理诊断(见图2)。此外,直接免疫荧光检查结果为阴性,有助于排除免疫相关疾病如类天疱疮或红斑狼疮等。

2.4. 诊断与治疗方案

根据患者的临床表现、病理检查结果以及实验室检查数据,最终确诊为大疱性扁平苔藓(BLP)。

西医治疗:① 系统用药:口服盐酸奥洛他定片,每次5 mg,每日2次,用以缓解瘙痒及抗过敏;沙利度胺片,每次50 mg,每日2次,主要用于抑制炎症反应及减轻皮损症状。② 局部治疗:针对皮损部位,采用卤米松/三氯生乳膏、夫西地酸乳膏及0.025%维A酸乳膏,每日2次封包治疗,以减少局部炎症,促进皮损愈合。③ 口腔护理:针对口腔黏膜糜烂,使用复方氯己定含漱液,于三餐前后含漱,以清除局部炎症并减轻症状。

中医治疗:根据患者自述症状及中医辨证结果,诊断为“少阳不和证”,主要病因病机如下:外邪侵犯少阳胆经,导致胆经气机运行不畅,枢机不利,表现为胸胁苦满、情绪急躁易怒;邪热内郁,胆火上炎,影响脾胃,故口干口苦、大便干燥难解、小便短黄;热邪伤津,导致津液不足,表现为舌红有裂纹、苔白花剥、脉弦细数,以及睡眠差、多梦早醒;肝胆气郁,失于疏泄,胆汁外溢而口苦,症状表现为性情急躁易怒、胸胁胀满。辨证论治、四诊合参后以清化热毒、和解少阳、疏利三焦为治疗原则。开具小柴胡汤加减内服方,具体组方如下:柴胡40 g、黄芩15 g、干姜15 g、大枣15 g、北沙参30 g、制吴茱萸5 g、鬼箭羽30 g、乌梢蛇15 g、甘草15 g。方中柴胡为君药,疏肝解郁,和解少阳,使邪气得以外泄;黄芩苦寒,清胆经之热,与柴胡配合,清解少阳邪热;北沙参、甘草、大枣三药合用扶助正气;干姜、制吴茱萸和胃降逆,缓解呕吐、不欲饮食等症;北沙参滋阴润燥,缓解口干、大便干燥;鬼箭羽、乌梢蛇实为逐瘀通经,祛风止痒,加强疏通三焦之力;最后甘草调和诸药。

煎服方法:将上述中药材装入药袋,置于煎药机煎煮罐中,加入清水直至药袋完全浸没,静置浸泡30分钟。随后以120摄氏度、0.1 MPa压力煎煮30分钟,将煮好的药液按每袋150毫升分装,每剂装4袋。患者每日服用2次,每次1袋,餐后30分钟温服,每剂药材服用2日。

2.5. 中药熏洗治疗及后续治疗方案

为了进一步缓解患者的临床症状,改善皮损情况,配合我院特色中药熏洗治疗,其主要目的是针对患者皮损,以达到清热解毒、燥湿止痒、缓解皮损进一步发展之功效。熏洗用方具体如下:白头翁30 g、仙鹤草30 g、透骨草30 g、千里光30 g、龙胆草30 g、苦参30 g、香薷30 g、茵陈30 g、白鲜皮30 g。治疗步骤如下:① 准备阶段:准备2000毫升清水,用于浸泡及煎煮药材。② 浸泡:将上述药材加入清水中,浸泡1小时,使有效成分充分释放。③ 煎煮:将浸泡后的药材加热至沸腾,继续煎煮15分钟,以确保药材中的有效成分充分溶解于液体中。④ 过滤:煎煮完成后,用过滤装置去除药材残渣,保留药液。⑤ 取汁:将过滤后的药液浓缩至1500毫升,确保治疗液体量充足。⑥ 冷却:待药液冷却至42摄氏度,以避免高温对皮肤和患处的刺激。⑦ 使用:每日1次,用冷却至适宜温度的药液进行全身熏洗,着重于受损部位。

在中医治疗中,同一疾病在不同阶段可能会使用不同的方剂,根据病情的变化和病人的体质状态来调整治疗方案。经过连续5天的中药熏洗治疗后,患者口腔黏膜糜烂和唇、舌部肿胀情况明显改善,全身水疱基本干涸结痂,皮损瘙痒较治疗前显著缓解。患者自述仍有烦躁、胸中发热感,伴口干欲饮,睡眠差,大便干结难解,小便短黄等症状。结合舌红少苔、津液不足及脉细数的表现,辨证为“上中二焦邪郁生热证”。随着病情的发展,热郁胸膈不解,此时单纯和解少阳已不足以解决问题,需要进一步清热解郁。凉膈散具有清热解郁、疏利三焦的作用,适用于患者当前情况。基于此,治疗方案调整为清热泻火、除烦止渴为主,予凉膈散加减内服。组方如下:连翘20 g、芒硝10 g、大黄10 g、栀子15 g、黄芩15 g、甘草15 g、薄荷10 g、淡竹叶10 g、半枝莲15 g、白花蛇舌草30 g、薏苡仁30 g。方中连翘轻清透散,长于清热解毒,透散上焦之热,故重用以为君;芒硝和大黄均具有泻下作用,能够荡涤中焦燥热内结,共为臣药,在方中起到泻火通便的作用,以清除中焦的实热;栀子通泻三焦,引火下行,协助芒硝和大黄清除三焦之热。黄芩清胸膈郁热,与栀子配合,增强清热泻火之力;甘草既能缓和芒硝、大黄峻泻之力,又能生津润燥,调和诸药;薄荷清头目,利咽喉,协助连翘、黄芩清彻上焦之火;淡竹叶清上焦之热,与薄荷协同作用,增强清上焦热邪之效;半枝莲、白花蛇舌草、薏苡仁合用清热解毒、活血祛瘀、健脾利湿,兼顾诸症。通过各药的协同作用,达到清上与泻下并行的治疗效果。煎服方法同前,继续配合外用药物治疗。

在凉膈散加减治疗5天后,患者全身皮疹逐渐平复,颜色由紫红转为暗褐,水疱完全消退,瘙痒感基本缓解。口腔黏膜糜烂完全愈合,舌及唇部肿胀消失。复查血液指标显示,抗BP180抗体转阴,提示免疫炎症反应已控制。患者临床症状显著改善,遂予带药出院,继续巩固治疗。患者出院后,继续服用前方凉膈散加减,疗程为2周。外用药物调整为卤米松/三氯生乳膏和0.025%维A酸乳膏,每晚1次外用,以维持局部皮损的愈合状态和防止复发。

出院后1个月,患者复诊时仅手背及双前臂遗留少量灰褐色陈旧性皮损,口腔黏膜糜烂未见复发,手足部甲板破坏无进一步加重。根据患者恢复情况,停止使用卤米松/三氯生乳膏,改用云南省中医医院院内制剂——黄金万红膏(又名紫连膏)进行治疗。紫连膏为院内自制中药外用制剂,其成分包括紫草、黄连、黄芩、黄柏、紫花地丁、蒲公英、龙胆、地黄、当归、虎杖、白蔹、冰片以及适量医用凡士林。紫连膏具有清热解毒、祛腐生肌的功效,特别适用于湿热毒盛引起的皮损和糜烂创面。患者每日2次将适量紫连膏涂擦患处,配合轻柔按摩以促进药物吸收。同时,晚间继续外用0.025%维A酸乳膏1次,加强角质层修复和炎症调控。经随访观察,患者整体症状持续改善,皮损逐渐消退,无明显复发迹象。

3. 讨论

3.1. 大疱性扁平苔藓(BLP)的病因与鉴别诊断

大疱性扁平苔藓(BLP)是扁平苔藓的一种少见分型,临床特征既包括典型的扁平苔藓皮损(如紫红色丘疹、斑块),又伴有水疱或大疱形成,这些特征使其诊断具有一定挑战性。有研究表明,遗传因素可能在BLP的发病中起到一定作用[4]。此外,免疫异常、精神压力、感染、吸烟、药物使用和缺氧等多种因素也可能与本病的发病相关。在非遗传性BLP病例中,药物诱发是较为常见的诱因,特别是在使用程序性细胞死亡蛋白-1及其配体抑制剂(PD-1/PD-L1抑制剂)等靶向抗肿瘤药后,相关病例报道逐渐增多[5]。严重的BLP患者常表现为口腔黏膜糜烂显著[6],伴随明显的水疱样皮损,容易与多形红斑、大疱性表皮松解症、类天疱疮及红斑狼疮等疾病混淆。因此,准确的鉴别诊断尤为重要。在BLP的鉴别诊断中,皮肤组织病理学检查和直接免疫荧光检查具有重要价值。BP180抗体和抗核抗体谱检测也为判断疾病类型及排除其他免疫相关性疾病提供了重要支持[7]。综合这些检查手段,有助于提高对BLP的诊断准确性,指导治疗决策。

3.2. 中医辨证施治的特点与疗效

关于大疱性扁平苔藓(BLP)在中医领域可归属于“紫癜风”“口蕈”等范畴。历代医家普遍认为,其病因病机主要与热毒、湿毒内停相关。热毒湿毒积聚于体内,损伤肌肤和黏膜,导致病症发生。本例患者素有情志不畅之状,长期肝气郁结,郁而化火,火毒沿肝经上炎,灼伤津液,进一步导致口腔黏膜及四肢皮损的出现。在整个治疗过程中,清热解毒之法贯穿始终,体现了中医治疗热毒性疾病的核心原则。

患者初诊时,舌苔白而不黄,提示热邪虽盛但未完全入里,表现为阳明里实证。依据《伤寒论》230条:“阳明病,胁下硬满,不大便而呕,舌上白苔者,可与小柴胡汤。上焦得通,津液得下,胃气因和,身濈然汗出而解。”患者符合小柴胡汤的使用条件,故以小柴胡汤加减治疗,药方组成为柴胡、黄芩、干姜、大枣、北沙参、制吴茱萸、鬼箭羽、乌梢蛇、甘草等药材,以疏解少阳郁热、调和内外为主,起到缓解炎症、通畅气机的作用。

治疗过程中,患者皮损逐渐好转,但仍出现明显的烦躁口渴、面赤唇焦、胸膈烦热、口舌生疮、睡卧不宁等表现,结合舌红苔黄、脉滑数的体征,辨证为上中二焦郁热证。针对这一阶段的病机,采用凉膈散加减治疗。《宋·太平惠民和剂局方》中记载,凉膈散主治“烦躁口渴,面赤唇焦,胸膈烦热,口舌生疮,睡卧不宁,谵语狂妄,或咽痛吐衄,便秘溲赤,或大便不畅,舌红苔黄,脉滑数”。该方擅长清热泻火、除烦解毒。根据患者具体病情,凉膈散加减用药包括芒硝、大黄、栀子、连翘、黄芩、甘草、薄荷、淡竹叶、半枝莲、白花蛇舌草、薏苡仁等药材,旨在清热解毒、泻火通便。

本例患者在治疗过程中,充分体现了中医辨证施治的特点。疾病初期热毒在表,治以调和少阳为主,使用小柴胡汤调整气机、清解郁热;病程进展中,热邪内陷,兼有津液耗损及毒火上炎,方用凉膈散加减以泻火解毒,调理上中二焦之郁热。两阶段治疗方案均符合中医理论依据,精准对症施治,疗效显著。

3.3. 中西医结合治疗的优势

大疱性扁平苔藓(BLP)作为一种少见疾病,目前国内外尚无统一的诊疗指南或共识,临床治疗主要依赖经验性用药[8]。针对皮损局限或仅累及口腔的患者,多采用局部治疗,可外用糖皮质激素制剂,或联合0.025%维A酸软膏以促进皮损愈合[9]。对于皮损广泛泛发的患者,通常需要系统使用糖皮质激素进行治疗。

对于激素治疗抵抗的患者,已有报道成功使用氨苯砜[10]、霉酚酸酯[11]、硫酸羟氯喹[12]及阿维A [13]等药物治疗。这些药物虽在部分病例中显示出良好疗效,但其应用存在局限性。首先,药物疗效和患者耐受性差异较大,不同个体的治疗反应可能显著不同。其次,部分药物价格昂贵或基层医疗中获取困难,限制了其使用。此外,这些药物副作用较多,治疗期间需密切监测相关生化指标以确保安全性,这些问题制约了其临床推广。

本例患者未使用系统性糖皮质激素或免疫抑制剂,而是采用了中西医结合的综合治疗模式,取得了满意疗效。通过中药内服、外用结合局部封包治疗,有效缓解了患者症状,如皮损消退、糜烂愈合、瘙痒减轻等。中西医结合治疗成本低廉,经济负担较小,药物毒副作用少,安全性更高。该模式操作简单,易于推广,特别适用于缺乏先进治疗资源的地区。

本例治疗经验表明,中西医结合治疗具有减毒增效的特点,不仅对症治疗,还注重患者整体机能改善,验证了其在BLP治疗中的独特优势。未来应进一步探索此类治疗模式,为完善BLP诊疗策略提供参考依据。

声 明

该病例报道已获得病人的知情同意。

NOTES

*通讯作者。

参考文献

[1] 李锁, 冯素英. BP180相关自身免疫性水疱病的研究进展[J]. 中华皮肤科杂志, 2019, 52(1): 50-52.
[2] 中华医学会皮肤性病学分会, 中国医师协会皮肤科医师分会. 自身免疫性表皮下大疱病诊疗共识(2022) [J]. 中华皮肤科杂志, 2022, 55(1): 1-11.
[3] Hwang, J.K., Magro, C.M. and Lipner, S.R. (2023) Bullous Lichen Planus of the Nails: A Case Report and Review of the Literature. Case Reports in Dermatology, 15, 133-141.
https://doi.org/10.1159/000533386
[4] 朱青, 韩世新, 高明阳. 误诊为大疱性类天疱疮的大疱性扁平苔藓1例[J]. 承德医学院报, 2021, 38(6): 525-526.
[5] de Lorenzi, C., André, R., Vuilleumier, A., Kaya, G. and Abosaleh, M. (2020) Bullous Lichen Planus and Anti-Programmed Cell Death-1 Therapy: Case Report and Literature Review. Annales de Dermatologie et de Vénéréologie, 147, 221-227.
https://doi.org/10.1016/j.annder.2019.07.008
[6] Unsal, B., Gültekin, S.E., Bal, E., et al. (2003) Bullous Oral Lichen Planus: Report of Two Cases. Chinese Medical Journal, 116, 1594-1595.
[7] 王乐一, 陈喜雪. 误诊为天疱疮的大疱性扁平苔藓二例[J]. 中华皮肤科杂志, 2017, 50(6): 450-451.
[8] Lebwohl, M. (2014) Lichen Planus. In: Lebwohl, M., Heymann, W., Berth-Jones, J. and Coulson, I., Eds., Treatment of Skin Diseases Comprehensive Therapeutic Strategies (4th Edition), Elsevier, 395-398.
[9] Van Tuyll van Serooskerken, A., Van Marion, A.M.W., De Zwart‐Storm, E., Frank, J. and Poblete‐Gutiérrez, P. (2007) Lichen Planus with Bullous Manifestation on the Lip. International Journal of Dermatology, 46, 25-26.
https://doi.org/10.1111/j.1365-4632.2007.03506.x
[10] 赵瑞芳, 董广英. 氨苯砜治疗类天疱疮及类天疱疮样扁平苔藓[J]. 临床口腔医学杂志, 2002, 18(4): 302-303.
[11] Nousari, H.C. (1999) Successful Treatment of Resistant Hypertrophic and Bullous Lichen Planus with Mycophenolate Mofetil. Archives of Dermatology, 135, 1420-1421.
https://doi.org/10.1001/archderm.135.11.1420
[12] Chyl-Surdacka, K.M., Przepiórka-Kosińska, J., Gerkowicz, A., Krasowska, D. and Chodorowska, G. (2016) Application of Antimalarial Medications in the Treatment of Skin Diseases. Dermatology Review, 4, 316-322.
https://doi.org/10.5114/dr.2016.61782
[13] Babu, A., Chellaswamy, S., Muthukumar, S., Pandey, B., Jayaraj, M. and Francis, S. (2019) Bullous Lichen Planus: Case Report and Review. Journal of Pharmacy and Bioallied Sciences, 11, S499-S506.
https://doi.org/10.4103/jpbs.jpbs_58_19