腹膜后胚胎型横纹肌肉瘤1例并文献复习
Retroperitoneal Embryonal Rhabdomyosarcoma: A Case Report and Literature Review
摘要: 腹膜后胚胎型横纹肌肉瘤(eRMS)临床罕见,易侵犯周围血管。本文报道了1例10岁儿童因腹膜后eRMS包绕髂内动脉的病例,影像学检查显示腹膜后巨大混杂密度肿块,增强后边缘强化、中央坏死,数字减影血管造影(DSA)证实肿瘤血供丰富。通过术前行超选择性动脉栓塞减少术中出血,最终成功实施肿瘤切除术的一例诊疗过程。
Abstract: Retroperitoneal embryonal rhabdomyosarcoma (eRMS) is clinically rare and prone to invading surrounding vessels. This paper reports a case of a 10-year-old child with retroperitoneal eRMS encircling the internal iliac artery. Imaging revealed a large heterogeneous density mass in the retroperitoneum, demonstrating marginal enhancement and central necrosis after contrast administration. Digital subtraction angiography (DSA) confirmed abundant tumour blood supply. The diagnostic and therapeutic process is detailed, including preoperative superselective arterial embolisation to minimise intraoperative haemorrhage, culminating in successful tumour resection.
文章引用:杨永梅, 罗亮, 许俊锋. 腹膜后胚胎型横纹肌肉瘤1例并文献复习[J]. 临床医学进展, 2026, 16(1): 261-266. https://doi.org/10.12677/acm.2026.161039

1. 引言

横纹肌肉瘤(rhabdomyosarcoma, RMS)是起源于横纹肌组织或原始间叶细胞的软组织恶性肿瘤,可分为胚胎性、腺泡状、多形性及梭形细胞/硬化性横纹肌肉瘤等。其中,胚胎性横纹肌肉瘤(embryonal rhabdomyosarcoma,ERMS)是最常见的病理亚型,原发于腹膜后者罕见。该肿瘤恶性程度高,极易复发和转移,需高度重视。现报道我院收治的1例腹膜后ERMS并复习相关文献,提高对该病的认识。

2. 病例资料

患者,男,10岁,因“下腹部持续性胀痛2周”入院。查体:下腹部压痛、反跳痛及肌紧张,肠鸣音减弱。实验室检查提示糖类抗原125 (CA125)升高至61.31 U/ml,血红蛋白进行性下降(由107 g/L降至76 g/L)。全腹CT平扫示腹膜后巨大混杂密度肿块,大小约8.5 cm × 9.7 cm × 8.0 cm,边界欠清,内见低密度区及斑片状高密度影(图1(a)),肿块推挤左侧输尿管致左肾轻度积水。增强扫描动脉期边缘实性成分轻度强化(图1(b)),静脉期强化程度略增加,内见无强化液化坏死区(图1(c)),肿块包绕左侧髂内动脉,管腔未见狭窄(图1(d))。影像学初步诊断为:腹膜后恶性占位伴出血。为明确诊断,行CT引导下腹膜后肿块穿刺活检,镜下见大量血凝块及少许炎性细胞,未见明确肿瘤细胞。结合临床及影像学表现,仍高度怀疑恶性肿瘤。经多学科综合小组(MDT)讨论认为,肿瘤巨大、血供丰富且与重要血管关系密切,一期手术切除难度高、术中出血风险极大,决定先行介入动脉栓塞术。数字减影血管造影(DSA)示左侧髂内动脉及其分支为肿瘤主要供血动脉(图2(a)图2(b)),遂超选择性插管至其分支,采用350 μm明胶海绵颗粒栓塞,术后造影显示肿瘤染色范围显著减少(图2(c))。随后在全麻下行“腹膜后肿瘤切除术 + 双侧输

(a):平扫CT示腹膜后巨大混杂密度肿块,内见高密度出血(白星);(b):增强动脉期示肿块呈不均匀轻度强化;(c):增强静脉期示强化程度略有上升(箭头),内部低密度无强化区为坏死;(d):矢状位置建图像示肿块包绕左侧髂内动脉。

Figure 1. The above images show the patient’s preoperative abdomen plain CT scan and contrast-enhanced CT images

1. 患者术前腹部CT平扫及增强影像

(a),(b):栓塞前左侧髂内动脉造影见肿瘤染色丰富;(c):明胶海绵颗粒栓塞后造影见肿瘤染色减少。

Figure 2. The above images demonstrate the patient’s pre- and post-operative digital subtraction angiography (DSA) images

2. 术前术后数字减影血管造影(DSA)图像

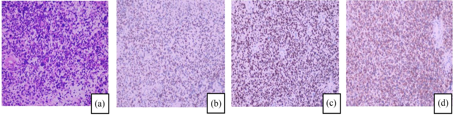
尿管支架置入术”,术中见左侧腹膜后巨大质硬肿瘤,分离结扎髂内血管分支后完成肿瘤大部切除,术中出血约1500 mL。术后病理:肿瘤切面呈“鱼肉样”,伴坏死及出血。镜下见肿瘤细胞弥漫性片状分布,呈梭形、圆形或卵圆形,异型性明显,核分裂象易见(图3(a))。免疫组化:Desmin (3+)、MyoD1 (3+)、myogenin (局灶1+) (图3(b)~(d))。病理诊断:(腹膜后)胚胎型横纹肌肉瘤(eRMS)。术后患者已转至上级医院接受系统放化疗。

病理镜下形态:肿瘤细胞弥漫片状分布,细胞形态多样,呈梭形、圆形或卵圆形,异型性明显,胞质嗜酸性,核分裂像易见,免疫组化MyoD1 (+), Desmin (+), myogenin (+) (HE, ×200, H)。

Figure 3. The above images display the patient’s histopathological and immunohistochemical images

3. 组织病理及免疫组化图像

3. 讨论

3.1. 流行病学和病因

横纹肌肉瘤(rhabdomyosarcoma, RMS)是起源于横纹肌细胞或向其分化的原始间叶组织的恶性肿瘤,好发于儿童和青少年,占软组织肉瘤2%~5%,最常见于头颈部、泌尿生殖道及四肢,原发于腹膜后者较为罕见[1] [2]。腹膜后间隙解剖位置深在,早期症状隐匿,随肿瘤增大压迫或侵犯临近结构时,可出现腹痛、腹胀等。本例患儿以“下腹部疼痛”为起病。RMS恶性程度高、进展迅速,易局部浸润及远处转移,肺和骨骼是最常见的转移部位[3]

根据2020年第5版WHO软组织和骨肿瘤分类,RMS分为胚胎性(eRMS)、腺泡性(aRMS)、多形性(pRMS)和梭形细胞/硬化性(ssRMS) [4]。其中eRMS最为常见,约占70%~80%,是儿童最常见的病理亚型[5]。eRMS可进一步分为梭形细胞型和葡萄簇型,前者好发于腹膜后及睾丸旁等部位,而aRMS多见于青少年四肢,预后较差;pRMS则罕见于儿童[6]。本例10岁儿童腹膜后肿瘤的年龄、部位符合梭形细胞型eRMS流行病学特征。eRMS的病因尚未完全明确,目前认为与RAS、TP53等基因突变相关,而aRMS则存在PAX/FOXO1基因融合[7]。此外,部分遗传综合征如RAS相关疾病(Costello综合征、神经纤维瘤病1型、Noonan综合征)、DICER1综合征、Beckwith-Wiedemann综合征和Li-Fraumeni综合征等,也会增加eRMS的患病风险[5]

3.2. 病理组织学诊断

eRMS大体病理常呈“鱼肉样”外观,伴出血、坏死及囊性变。镜下可见未分化的小圆细胞与不同分化阶段的横纹肌母细胞混合存在。低分化细胞分布于黏液样基质区,高分化细胞(蝌蚪/带状、嗜酸性、可见横纹)聚集于血管周围,形成血管周围增厚现象[8]。免疫组化是确诊关键,肿瘤细胞通常表达Desmin、MyoD1和Myogenin等肌源性标志物。本例免疫组化示MyoD1 (3+)、Desmin (3+)、myogenin (局灶弱+),符合典型的eRMS表型。分子层面,eRMS常见11号染色体缺失,且缺乏PAX3/7-FOXO1融合基因,有助于与aRMS鉴别[9]。TP53突变(见于约10%的病例)是公认的预后不良的标志[10]

3.3. 穿刺活检假阴性原因分析及启示

本例患者首次CT引导下穿刺活检仅见血凝块及炎性细胞,未检出肿瘤细胞。分析可能原因如下:(1)肿瘤内大量出血、坏死,导致活检标本中存活肿瘤细胞比例过低;(2) 穿刺针道偶然未取到肿瘤实质区;(3) 标本处理或病理切片过程中的技术局限性。这一结果提示我们,对于影像学高度怀疑恶性但穿刺活检阴性的腹膜后巨大肿块,不应轻易排除恶性肿瘤可能。当临床与影像学表现存在显著矛盾时,应考虑重复活检(可选择不同区域或在增强后强化明显的区域进行),或通过MDT讨论,结合肿瘤标志物趋势、影像学进展等综合判断,必要时可直接进行诊断性手术切除。

3.4. 影像学诊断与鉴别诊断

影像学检查在腹膜后eRMS的全流程管理中至关重要,贯穿于定性诊断、临床分期、治疗方案制定、疗效评估及随访监测[7]。本例CT平扫腹膜后巨大混杂密度肿块(图1(a)),稍高密度区提示瘤细胞密集或急性出血,内部低密度区为坏死或陈旧出血;增强后肿瘤边缘实性成分轻中度强化,中央黏液基质及囊变坏死区无强化(图1(b)~(d)),并见左髂内动脉“血管包绕征”及输尿管侵犯致肾积水。DSA进一步证实其富血供特性(图2),为术前超选择性栓塞提供了依据。笔者结合本病例并复习相关文献[11] [12],总结腹膜后eRMS影像学特点:(1) 体积较大(直径常>5 cm),类圆形或分叶状,边界不清,呈浸润性生长;(2) CT平扫呈等或稍低于肌肉密度,因囊变、坏死或出血而密度混杂;MRI呈T1WI等或稍低信号(出血时呈高信号),T2WI不均匀高信号,DWI呈高信号;(3) 增强呈“葡萄簇”或环形强化,即边缘强化明显而内部富含黏液基质区无强化;(4) 易包绕或侵犯邻近大血管及输尿管等。(5) 可伴腹膜后淋巴结转移及远处(肺、肝、骨)转移。值得注意的是,RMS各组织学亚型间影像学表现无明显差异。

腹膜后eRMS需与以下儿童常见腹膜后肿瘤鉴别,其鉴别诊断要点如下表(见表1)。

Table 1. Key diagnostic differentials for common paediatric retroperitoneal tumours

1. 儿童腹膜后常见肿瘤的鉴别诊断要点

特征

eRMS

内胚窦瘤

神经母细胞瘤

恶性畸胎瘤

淋巴瘤

好发年龄

儿童,青少年

婴幼儿、儿童

婴幼儿(<5岁多见)

儿童多见

年长儿多见

血清标志物

无特异标志物

AFP显著升高

NSE、尿VMA/HVA 升高

AFP、HCG 可升高

LDH常升高

(CT/ MRI)

平扫密度/信号

混杂密度/信号,常见出血、坏死

密度不均,可伴出血、坏死

常见斑点状、 砂砾样钙化

含脂肪、 钙化、 软组织、囊性等多种成分

密度/信号相对 均匀,坏死少见

强化方式

轻–中度不均匀 强化,常见边缘环形强化

明显不均匀强化,可呈网状、分隔状

轻度至中度 不均匀强化

实性部分不均匀强化

轻中度均匀强化

血管关系

易包绕、侵犯邻近 大血管

可推移血管

常包绕血管(如腹腔干、肠系膜上动脉)

推移血管为主

常包绕血管形成“血管漂浮征”

其他特点

易侵犯输尿管致 肾积水

转移早,肝、肺常见

常跨越中线, 骨髓转移多见

边界相对较清,成分混杂

常伴多发淋巴结肿大,可融合 成团

值得注意的是,尽管存在一定的鉴别要点,但腹膜后肿瘤的影像学表现常有重叠,最终确诊必须依赖于病理组织学检查和免疫组化分析。

3.5. 治疗与预后

目前,eRMS尚无标准的治疗方案,临床上多采用手术切除联合放化疗的综合治疗模式。美国横纹肌肉瘤研究组(IRS)分期是最重要的预后评估指标[13],RMS的治疗尤其强调多学科协作(MDT)。近年来,生物免疫及分子靶向治疗成为研究热点,有望为个体化治疗提供新方向。本例因肿瘤较大、血供丰富伴瘤内出血,先行介入栓塞后手术切除,病理确诊后经MDT讨论推荐后续系统放化疗并严密随访。

3.6. 局限性

本研究作为单病例报告,存在固有的局限性。首先,基于单个病例的观察和经验总结,其结论无法推广至所有腹膜后eRMS患者。其次,缺乏对照组进行比较分析,难以量化评估介入栓塞等特定治疗手段的确切效益。第三,由于患者术后转至上级医院进行后续治疗,本报告未能提供长期的随访数据,无法评估其远期生存和复发情况。未来的研究需要更大样本量的多中心合作,并进行长期随访,以更全面地阐明该疾病的自然史和优化治疗策略。

4. 小结

综上所述,腹膜后eRMS侵袭性强且临床罕见,易致误诊,确诊依赖于病理形态学与免疫组化。以精准影像评估为基础、MDT为框架的个体化综合治疗是诊疗关键。儿童或青少年腹膜后出现巨大肿块,增强呈轻中度强化且周边强化明显伴浸润性生长时,应警惕eRMS可能,以期实现早期诊断、改善患者预后。

声 明

该病例报道已获得病人的知情同意。

基金项目

云南省大理州2025年度生物医药领域重点研发计划科技项目(20252903B030003)。

NOTES

*通讯作者。

参考文献

[1] Agaram, N.P. (2021) Evolving Classification of Rhabdomyosarcoma. Histopathology, 80, 98-108. [Google Scholar] [CrossRef] [PubMed]
[2] Zhang, Y., Huang, W., Li, L., Qiu, Y., Jiao, H., Chen, Z., et al. (2022) Retroperitoneal Alveolar Rhabdomyosarcoma Intruding into Spinal Canal: A Case Report and Literature Review. Frontiers in Medicine, 9, Article 1019964. [Google Scholar] [CrossRef] [PubMed]
[3] Oberlin, O., Rey, A., Lyden, E., Bisogno, G., Stevens, M.C.G., Meyer, W.H., et al. (2008) Prognostic Factors in Metastatic Rhabdomyosarcomas: Results of a Pooled Analysis from United States and European Cooperative Groups. Journal of Clinical Oncology, 26, 2384-2389. [Google Scholar] [CrossRef] [PubMed]
[4] Sbaraglia, M., Bellan, E. and Dei Tos, A.P. (2020) The 2020 WHO Classification of Soft Tissue Tumours: News and Perspectives. Pathologica, 113, 70-84. [Google Scholar] [CrossRef] [PubMed]
[5] Kim, J., Light, N., Subasri, V., Young, E.L., Wegman-Ostrosky, T., Barkauskas, D.A., et al. (2021) Pathogenic Germline Variants in Cancer Susceptibility Genes in Children and Young Adults with Rhabdomyosarcoma. JCO Precision Oncology, 5, 75-87. [Google Scholar] [CrossRef] [PubMed]
[6] 乔贵锋. 小儿腹盆腔横纹肌肉瘤的CT表现与病理对比研究[J]. 医学影像学杂志, 2016, 26(9): 1722-1725.
[7] de Vries, I.S.A., van Ewijk, R., Adriaansen, L.M.E., Bohte, A.E., Braat, A.J.A.T., Fajardo, R.D., et al. (2023) Imaging in rhabdomyosarcoma: a patient journey. Pediatric Radiology, 53, 788-812. [Google Scholar] [CrossRef] [PubMed]
[8] Dziuba, I., Kurzawa, P., Dopierała, M., Larque, A.B. and Januszkiewicz-Lewandowska, D. (2018) Rhabdomyosarcoma in Children—Current Pathologic and Molecular Classification. Polish Journal of Pathology, 69, 20-32. [Google Scholar] [CrossRef] [PubMed]
[9] 李艳, 颜彪磊, 谭一楠. 膀胱胚胎性横纹肌肉瘤1例[J]. 诊断病理学杂志, 2021, 28(6): 511-512.
[10] Shenoy, A., Alvarez, E., Chi, Y., Li, M., Shern, J.F., Khan, J., et al. (2021) The Prognostic Significance of Anaplasia in Childhood Rhabdomyosarcoma: A Report from the Children's Oncology Group. European Journal of Cancer, 143, 127-133. [Google Scholar] [CrossRef] [PubMed]
[11] 毛海英. 小儿腹盆部横纹肌肉瘤的CT、MRI表现[J]. 中国中西医结合影像学杂志, 2019, 17(3): 290-292.
[12] 石静, 杜隽, 吴伟, 等. 儿童腹部非脏器起源横纹肌肉瘤的临床及影像特征[J]. 中华肿瘤杂志, 2016, 38(11): 845-851.
[13] Ricciardi, E., Plett, H., Sangiorgio, V., Paderno, M., Landoni, F., Aletti, G., et al. (2020) Adult Primary Cervical Rhabdomyosarcomas: A Multicentric Cross-National Case Series. International Journal of Gynecological Cancer, 30, 21-28. [Google Scholar] [CrossRef] [PubMed]