巨大卵巢无性细胞瘤双侧发病一例
A Case of Bilateral Massive Ovarian Dysgerminoma
DOI: 10.12677/acm.2026.161040, PDF, HTML, XML,   
作者: 蔡 颖:吉首大学医学院,湖南 吉首;邹普润:吉首大学第一附属医院(湘西自治州人民医院)妇二科,湖南 吉首;林 彤*:吉首大学医学院,湖南 吉首;吉首大学第一附属医院(湘西自治州人民医院)妇二科,湖南 吉首
关键词: 无性细胞瘤巨大卵巢肿瘤生育力保护辅助治疗Dysgerminoma Massive Ovarian Tumor Fertility Preservation Adjuvant Therapy
摘要: 无性细胞瘤是一种和精原细胞同源的卵巢恶性生殖细胞肿瘤(MOGCT),通常发病年龄较年轻,本文通过阐述巨大肿块手术方式决策及术后辅助化疗的治疗方案的选择,对于年轻女性患者的生育力保护及延长患者生存期治疗方案提供参考依据。报告1例17岁青春期女性卵巢无性细胞瘤病例,患者因左腹持续性疼痛就诊于吉首大学第一附属医院妇科,腹部体查扪及肿块上缘达剑突、两侧达腋中线,质中,边界尚清,活动度可,CA125、β-HCG明显升高,CA199轻度升高,剖腹探查术中冰冻病例考虑双侧冰冰均卵巢无性细胞瘤,行左侧附件切除 + 右侧卵巢囊肿剥除术,术中切除左侧附件重量4.3 kg,术后EP方案依托泊苷(etoposide)、顺铂(cisplatin)方案化疗同时给予亮丙瑞林保护卵巢功能治疗。现已随访17个月,目前患儿生存状况良好,月经规律,未发现肿瘤复发或转移。
Abstract: Dysgerminoma is a malignant ovarian germcell tumor (MOGCT) that originates from primordial germ cells and typically occurs in young patients. This article discusses the decision-making process for surgical management of a massive tumor and the selection of postoperative adjuvant chemotherapy regimens, providing reference for fertility preservation and extending survival in young female patients. We report a case of a 17-year-old adolescent with ovarian dysgerminoma who presented with persistent left-abdominal pain and was admitted to the Gynecology Department of the First Affiliated Hospital of Jishou University. Physical examination revealed a palpable mass extending superiorly to the xiphoid process and laterally to the mid-axillary lines; the mass was of medium consistency, with relatively clear borders and good mobility. Serum markers showed markedly elevated CA-125 and β-hCG, with mildly increased CA19-9. Intra-operative frozen section suggested bilateral ovarian dysgerminoma. The patient underwent left salpingo-oophorectomy combined with right ovarian cystectomy; the left adnexal specimen weighed 4.3 kg. Postoperatively, she received EP chemotherapy (etoposide +  cisplatin) together with GnRH-agonist (leuprolide) for ovarian function protection. After 17 months of follow-up, the patient remains in good condition, with regular menstruation and no evidence of tumor recurrence or metastasis.
文章引用:蔡颖, 邹普润, 林彤. 巨大卵巢无性细胞瘤双侧发病一例[J]. 临床医学进展, 2026, 16(1): 267-273. https://doi.org/10.12677/acm.2026.161040

1. 引言

无性细胞瘤是最常见的卵巢恶性生殖细胞肿瘤,多发生于幼童及40岁以下年轻女性[1],约75%发生在10~30岁之间,多为I期且局限于一侧卵巢,若肿瘤破裂,易发生盆腔内种植且进展迅速,双侧无性细胞瘤发生率约占卵巢恶性肿瘤2‰ [2] [3],肿瘤平均直径13 cm [4],若肿瘤破裂,易发生盆腔内种植且进展迅速,导致患者预后不良[5]。本病例资料患者发病年龄小,肿块巨大,双侧卵巢发病,旨在通过分享手术方案选择及术后补充化疗方案为年轻女性患者生育力保护提供参考。

2. 病例报告

患者女性,17岁,因腹痛2天,检查发现盆腔肿物1天于2024年5月14日收住吉首大学第一附属医院(我院)。患者自诉2天前无明显诱因出现左侧持续性腹痛,5月13日入外院行B超示:盆腹腔内见一巨大低回声包块,上界达剑突下,两侧达锁骨中线,右侧附件区可见低回声结节(约51 × 41 mm)。5月14日入我院。患者平素月经规律,初潮14岁,经期5天,月经周期30天,末次月经2024年5月7日。我院完善:盆腔MRI:1. 腹盆腔内巨大肿块,病灶最大截面约115 mm × 191 mm × 274 mm,倾向右侧附件良性病变:卵泡膜纤维瘤可能性大。2. 左侧附件类圆形肿块,约34 mm × 47 mm × 49 mm,考虑卵泡膜纤维瘤。3. 腹盆腔积液。HE4:阴性。CA125:282.50 U/ml,CA199:71.05 U/ml,HCG:1859 IU/l,LDH455U/L,血浆D-二聚体:5.84 mg/L。体格检查:身高161 cm,体重53 Kg。腹肌稍紧,扪及巨大包块,上缘达剑突下两指,下缘达耻骨联合,左右达腋前线,质地硬,轻压痛,固定,表面光滑。专科情况:妇查:外阴未见明显异常,未婚未产式;未内诊。腹部(肝胆脾胰肾) + 泌尿系彩超提示双侧输尿管上段扩张、双肾轻度积水——考虑:包块压迫所致可能。下肢动脉血管彩超(双侧) 双下肢动、静脉结构及血流未见明显异常。电子肠镜 结肠镜检查所见大致正常。电子胃镜1、食管未见异常2、慢性非萎缩性胃炎3、胃体息肉经内镜下息肉摘除术4、十二指肠球降未见异常。

经科室病案讨论分析,患者于2024年5月17日行剖腹探查术,探查见盆腔无粘连形成,可见淡黄色积液约200 ml,盆腔包块巨大、来自左侧卵巢、上缘达剑突、两侧达腋中线、多房、实性、触似橡皮感、灰白色,表面未见破口、左侧输卵管水肿、子宫大小尚可、右侧卵巢亦实性增大如拳头大小、表面光滑、灰白色、右侧输卵管外观未见明显异常,网膜、腹膜、肠管、肝脏、胃表面未见结节,盆腹腔未扪及肿大淋巴结,行左侧附件切除 + 右侧卵巢囊肿剥除术,手术切除左侧附件重量4.3 kg,右侧卵巢肿瘤大小约6 * 5 * 4 cm,待快速冰冻病理回报提示双侧均考虑卵巢无性细胞瘤,(腹水):镜下见淋巴细胞、中性粒细胞、增生间皮细胞及异型细胞。病情告知家属,征求其意愿行保留生育功能手术及腹腔留管备热灌注化疗。术后诊断双侧卵巢无性细胞瘤。5月20日顺铂方案腹腔热灌注化疗。分别于6月18日、7月9日、8月5日、9月2日给予依托泊苷 + 顺铂(EP)辅助化疗同时注射亮丙瑞林去势保护卵巢功能治疗,共化疗4周期,术后复查各项肿瘤标志物及各项辅助检查均未见异常,已随访17个月,患者目前生存状况良好,按照卵巢恶性肿瘤随访提示长期随访中。

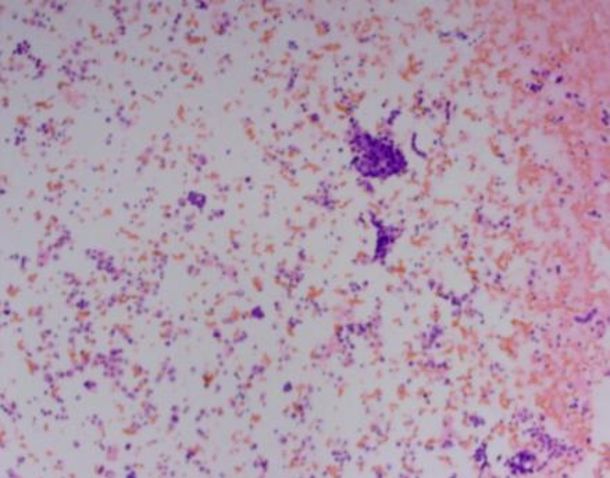
Figure 1. Intraoperative pathological image of pelvic effusion with HE staining

1. 术中盆腔积液病理图HE染色

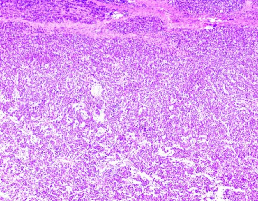
Figure 2. Postoperative pathological image of ovary with HE staining

2. 术后卵巢病理图HE染色

Figure 3. Ex vivo specimen of right ovarian tumor

3. 右侧卵巢肿瘤离体

3. 讨论

3.1. 术式选择

国外报道则认为无性细胞瘤是最常见的生殖细胞恶性肿瘤,约占35%~50% [6],国内资料显示其发病率居生殖细胞恶性肿瘤的第2~3位[7],鉴于目标疾病多发生于幼童及40岁以下年轻女性平均发病年龄为21.5岁,约占75% [8],生育力保护属于国家在人口健康与发展方面的重要战略方向[9],也是医患双方不可忽视的焦点。

手术是治疗卵巢无性细胞瘤的首选治疗方案,有生育要求的I期患者可行保留生育功能的手术,无生育要求或II-IV期均全子宫 + 双侧附件切除(BSO),必要时进行广泛的盆腔/腹部淋巴结清扫。对于需要保留生育功能的患者[10],手术过程中应尽量保留健康的卵巢组织,特别是对于卵巢无性细胞瘤患者的手术,应该重视术前及术中对双侧卵巢的评估,避免遗漏双侧发病的病例。

根据现行临床指南及专家共识,患者存在的实际生育要求,我们选择了左侧附件切除+右侧卵巢肿瘤剥除这一大胆但合理的手术方式,这完全符合当前国际和国内对生育功能保留手术的推荐[11] [12]。术中冰冻切片提示无性细胞瘤后,注意观察对侧卵巢的外观形态。MOGCT中,约10%~20%无性细胞瘤为双侧发生[13],有研究报道约有11.76% (2/17)的无性细胞瘤患者存在外观正常的卵巢隐匿性受累[14]。患者≤25岁,可不行全面分期术,术中对可疑组织多点活检即可。为避免不必要的医疗干预,不建议进行预防性淋巴结清扫[15] [16]

3.2. 术后辅助治疗

治疗方法包括手术治疗为主,化疗,放疗为辅,强调综合治疗。1A期以外或高危Ⅰ期(肿块>10 cm、破裂、血清LDH升高)均需要采取化疗。BEP(博来霉素 + 依托泊苷 + 顺铂)仍是NCCN 2024 版推荐的首选方案[17],卡铂  +  依托泊苷(Carboplatin +  Etoposide)、EP (依托泊苷 +  顺铂)、TIP (紫杉醇 + ifosfamide +  顺铂),均作为减毒改良方案兴起,一般化疗周期为3~4个疗程[17]或在血清肿瘤 标志物检测正常后再化疗2个疗程[18]

放疗可作为局部复发、手术不可切除的残余病灶、或化疗耐药后作为局部控制手段。部分靶向和免疫药物目前仍处于探索阶段,指南并无推荐。C-KIT (CD117)阳性是无性细胞瘤的常见分子特征。2023~2024年的早期临床研究显示伊马替尼(Imatinib)在部分c-KIT突变患者中可获得疾病稳定(SD)或部分缓解(PR) [19]

本病例肿瘤直径大于10 cm,双侧发病,为IB期。术后顺铂局部热灌注治疗。为了保护患者卵巢功能,后续采用EP (顺铂 + 依托泊苷)方案化疗4周期,避免博来霉素对患者的肺毒性,有助于保护卵巢功能,是目前最推荐的减毒化疗方案。但有研究指出,以顺铂为基础的化疗可增加约18%女性不孕的风险[20]。化疗后患儿肿瘤标志物下降趋势明显,目前生活质量较高,后续应该持续随访其卵巢内分泌恢复功能情况(如AMH、FSH),发现早期卵巢功能不全并干预,复查肿瘤标志物如CA125,兼顾生育力保存效果与肿瘤安全性。

3.3. 生育力保护

在卵巢无性细胞瘤的治疗过程中,手术治疗和辅助化疗均会对卵巢功能造成影响。手术治疗是卵巢无性细胞瘤的首选方案,保留生育功能的手术过程中伴随附件切除或是卵巢肿瘤剥除后缝合形成新的卵巢实体,局部血供改变、组织切除和缝合后局部纤维化,进而影响剩余卵泡的血液供应和激素分泌。

有研究指出化疗药物对卵巢的毒性作用主要受到药物的作用机制及患者的年龄双重因素影响[21]。在化疗过程中,化疗药物具有细胞毒性,卵泡会被化疗药物损伤,而卵泡不可再生[22]。化疗药物还会影响卵巢基质和血管系统,这间接地影响生育能力和功能。Bedoschi [23]和Zhang [24]的研究等指出化学药物使卵巢基质细胞中血管密度存在剂量依赖性的下降和卵巢基质紊乱和卵巢萎缩。

卵巢中剩余的原始卵泡数量和卵母细胞的质量反映了女性当前的卵巢储备功能,常用窦卵泡计数(antral follicle count, AFC)和抗缪勒管激素(anti-Müllerian hormone, AMH)水平进行评估。通常对比术前和术后的妇科彩超行窦卵泡计数和AMH水平进行对比评估对卵巢功能影响程度。大多数MOGCT患者在化疗结束后12个月内月经周期基本恢复正常,进而恢复生育能力,未观察到化疗对患者月经和生育能力的持续性影响。Tamauchi [25]等人研究发现79.2%的患者月经恢复,且恢复时间的中位数为6个月。

目前尚未有指南或研究推荐卵巢无性细胞瘤患者术后的最佳准备妊娠时间,但一项纳入84例接受手术 + 化疗的卵巢卵黄囊瘤(yolk-sac tumour)患者的研究表明最佳准备妊娠的时机是最后1个化疗周期结束后24个月。这也同样给我们提供了参考价值。患者术后应按照规范进行随访,特别是年轻女性患者,应该规范评估患者的卵巢储备功能,在术前进行AMH、FSH及影像学评估,术后半年内复查AMH及妇科彩超,若术后一年内月经周期未恢复,AMH较术前进行性下降,下降至0.5 ng/ml以下时需要进一步进行内分泌检查,根据患者的生育要求评估是否需要进行激素替代治疗。必要时可建议患者生殖医学科专科评估。

患者抗缪勒氏管激素(AMH)变化情况见图4,考虑左侧附件切除 + 右侧卵巢囊肿剥除后,正常卵巢皮质部分过少,缝合形成新的卵巢实体难以提供足够的内分泌功能。

Figure 4. Anti-Müllerian Hormone variations

4. 抗缪勒氏管激素(AMH)变化

3.4. 卵巢无性细胞瘤的典型特征

卵巢无性细胞瘤是卵巢恶性生殖细胞肿瘤中最常见的,单侧发病居多,多累计右侧,约20%双侧发病。卵巢无性细胞瘤好发于幼童和年轻女性,约75%发生在10~30岁之间,卵巢无性细胞瘤的临床症状出现较早,大多数患者在发病早期被发现,常表现为腹痛腹胀、腹部包块和月经异常等,因肿瘤生长迅速,有完整包膜,部分患者可能因肿瘤破裂或蒂扭转出现发热和急腹症等症状[22]。多伴有LDH、ALP、NSE、甲胎蛋白或人绒毛膜促性腺激素的非特异性升高[27],该病是一种少见的中度恶性肿瘤,肿块通常较大,质地硬,活动度差,通常认为LDH升高为其特异性标志物,但LDH作用机制主要是作为酶广泛参与机体代谢,反应细胞损伤和肿瘤存在,且在其他的卵巢恶性生殖细胞肿瘤中亦会升高,笔者认为并特异性不高。但不可否认其存在一定的提示意义。通过妇科彩超及腹部CT作为辅助检查,病理诊断作为诊断金指标,免疫组化亦可帮助诊断。

4. 总结

卵巢无性生殖细胞瘤作为中度恶性肿瘤,患者预后较好,但仍应重视术后随诊及患者生育力保护,必要时可以联合生殖医学建立多学科诊疗模式,为患者提供便捷的诊疗途径。在目前儿童性早熟年龄提前的大环境下,临床医生在过程中也应该更加重视对于患者的影响学检查,避免漏诊。

声 明

该病例报道已获得病人知情同意。

NOTES

*通讯作者。

参考文献

[1] Scott, A.R., Stoltzfus, K.C., Tchelebi, L.T., Trifiletti, D.M., Lehrer, E.J., Rao, P., et al. (2020) Trends in Cancer Incidence in US Adolescents and Young Adults, 1973-2015. JAMA Network Open, 3, e2027738. [Google Scholar] [CrossRef] [PubMed]
[2] Siegel, R.L., Miller, K.D. and Jemal, A. (2019) Cancer Statistics, 2019. CA: A Cancer Journal for Clinicians, 69, 7-34. [Google Scholar] [CrossRef] [PubMed]
[3] 杨洁, 杨佳欣, 王瑾晖, 等. 卵巢恶性生殖细胞肿瘤临床诊治中国专家共识[J]. 现代妇产科进展, 2024, 33(8): 561-568.
[4] Warnnissorn, M., Watkins, J.C. and Young, R.H. (2021) Dysgerminoma of the Ovary: An Analysis of 140 Cases Emphasizing Unusual Microscopic Findings and Resultant Diagnostic Problems. American Journal of Surgical Pathology, 45, 1009-1027. [Google Scholar] [CrossRef] [PubMed]
[5] 杨祝萍, 许程洁. 无性细胞瘤突发破裂1例围术期护理[J]. 中国乡村医药, 2019, 26(11): 75-76.
[6] 李飞飞, 王鑫, 韩长年. 卵巢无性细胞瘤28例的磁共振成像表现与病理特征回顾分析[J]. 山西医药杂志, 2021, 50(8): 1257-1259.
[7] 韩晓明, 李乐. 卵巢无性细胞瘤1例及其CT特征[J]. 中国CT和MRI杂志, 2023, 21(5): 183-184.
[8] 齐冬雪, 张春芳, 张昶, 等. SALL4、CD30、D2-40和glypican-3在卵巢生殖细胞肿瘤中的表达及应用[J]. 诊断病理学杂志, 2017, 24(5): 358-362.
[9] 乔杰. 加强生育力保护切实提高出生人口素质[J]. 人口与健康, 2025(1): 34-37.
[10] 孙丹, 范江涛, 张师前, 等. 卵巢恶性肿瘤保留生育功能的中国专家共识(2022年版) [J]. 中国实用妇科与产科杂志, 2022, 38(7): 705-713.
[11] National Comprehensive Cancer Network (2024) Ovarian Cancer Including Fallopian Tube Cancer and Primary Peritoneal Cancer. NCCN Clinical Practice Guidelines in Oncology, 2024, Version 1.
[12] 中国临床肿瘤学会指南工作委员会. 中国临床肿瘤学会(CSCO)卵巢癌诊疗指南2023 [M]. 北京: 人民卫生出版社, 2023.
[13] 中华医学会妇科肿瘤学分会, 中国医师协会妇产科医师分会妇科肿瘤学组. 卵巢恶性生殖细胞肿瘤临床诊治中国专家共识(2024 版) [EB/OL]. 2024.
https://www.obgy.cn/index/brand/details/id/11306.html, 2024-10-28.
[14] Torre, L.A., Trabert, B., DeSantis, C.E., Miller, K.D., Samimi, G., Runowicz, C.D., et al. (2018) Ovarian Cancer Statistics, 2018. CA: A Cancer Journal for Clinicians, 68, 284-296. [Google Scholar] [CrossRef] [PubMed]
[15] 卢淮武, 徐冬冬, 赵喜博, 等. 《2024 NCCN卵巢癌包括输卵管癌及原发性腹膜癌临床实践指南(第1版)》解读[J]. 中国实用妇科与产科杂志, 2024, 40(2): 187-197.
[16] 王珊. 儿童颅外生殖细胞肿瘤诊疗专家共识(CCCG-GCTs-2021) [J]. 中国小儿血液与肿瘤杂志, 2024, 29(1): 1-9.
[17] NCCN (2024) Clinical Practice Guidelines in Oncology-Ovarian Cancer Including Fallopian Tube Cancer and Primary Peritoneal Cancer, Version 1.
[18] 孙丹, 范江涛, 张师前, 等. 卵巢恶性肿瘤保留生育功能的中国专家共识(2022年版) [J]. 中国实用妇科与产科杂志, 2022, 38(7): 705-713.
[19] Shi, Z.Y., et al. (2025) Bola-Amphiphilic Dendrimer Empowers Imatinib to Target Metastatic Ovarian Cancer Stem Cells via β-Catenin-HRP2 Signaling Axis. CS Applied Materials & Interfaces, 17, 2884-2898.
[20] Gaffan, J., Holden, L., Newlands, E.S., Short, D., Fuller, S., Begent, R.H.J., et al. (2003) Infertility Rates Following POMB/ACE Chemotherapy for Male and Female Germ Cell Tumours—A Retrospective Long-Term Follow-Up Study. British Journal of Cancer, 89, 1849-1854. [Google Scholar] [CrossRef] [PubMed]
[21] Markowska, A., Antoszczak, M., Markowska, J. and Huczyński, A. (2024) Gynotoxic Effects of Chemotherapy and Potential Protective Mechanisms. Cancers, 16, Article No. 2288. [Google Scholar] [CrossRef] [PubMed]
[22] 李婧婧, 热孜宛古丽·艾斯凯尔, 李丹丹, 等. 不同治疗方案对卵巢恶性生殖细胞肿瘤患者生育能力影响的研究进展[J]. 吉林大学学报(医学版), 2023, 49(3): 816-822.
[23] Bedoschi, G., Navarro, P.A. and Oktay, K. (2016) Chemotherapy-Induced Damage to Ovary: Mechanisms and Clinical Impact. Future Oncology, 12, 2333-2344. [Google Scholar] [CrossRef] [PubMed]
[24] Zhang, S., Liu, Q., Chang, M., Pan, Y., Yahaya, B.H., Liu, Y., et al. (2023) Chemotherapy Impairs Ovarian Function through Excessive ROS-Induced Ferroptosis. Cell Death & Disease, 14, Article No. 340. [Google Scholar] [CrossRef] [PubMed]
[25] Tamauchi, S., Kajiyama, H., Yoshihara, M., Ikeda, Y., Yoshikawa, N., Nishino, K., et al. (2018) Reproductive Outcomes of 105 Malignant Ovarian Germ Cell Tumor Survivors: A Multicenter Study. American Journal of Obstetrics and Gynecology, 219, 385.e1-385.e7. [Google Scholar] [CrossRef] [PubMed]
[26] de La Motte Rouge, T., Pautier, P., Rey, A., Duvillard, P., Kerbrat, P., Troalen, F., et al. (2011) Prognostic Factors in Women Treated for Ovarian Yolk Sac Tumour: A Retrospective Analysis of 84 Cases. European Journal of Cancer, 47, 175-182. [Google Scholar] [CrossRef] [PubMed]
[27] Capito, C., Arnaud, A., Hameury, F., Fremond, B., Lardy, H., Leclair, M.D., et al. (2011) Dysgerminoma and Gonadal Dysgenesis: The Need for a New Diagnosis Tree for Suspected Ovarian Tumours. Journal of Pediatric Urology, 7, 367-372. [Google Scholar] [CrossRef] [PubMed]