膜性肾病合并脑梗死、抗磷脂抗体阳性1例并文献复习
A Case of Membranous Nephropathy Complicated by Cerebral Infarction and Antiphospholipid Antibody Positivity, with a Review of the Literature
摘要: 本文报告一例42岁男性抗PLA2R抗体阳性膜性肾病患者,在常规泼尼松联合环孢素治疗效果不佳且出现明显副作用后,改用利妥昔单抗治疗。患者首次RTX输注半月后突发脑梗死,实验室检查显示抗磷脂抗体阳性,后经抗凝治疗好转。随访中aPL及抗PLA2R抗体均转阴,蛋白尿明显缓解,肾功能稳定。结合临床表现及免疫学结果分析,该病例提出了一种可能的关联:RTX治疗早期可能通过B细胞清除与再生导致免疫重建过程中的短暂自身抗体谱紊乱,从而诱发aPL暂时性升高及血栓事件。RTX在MN治疗中虽总体安全有效,可有效实现B细胞介导的免疫调控和蛋白尿缓解,但需警惕早期短暂性免疫高凝状态,临床应加强治疗期间aPL及凝血功能监测,并根据患者情况个体化抗凝干预,以防范潜在血栓并发症。
Abstract: This report describes a 42-year-old male with PLA2R-antibody-positive membranous nephropathy. His initial treatment with prednisone combined with cyclosporine produced a poor therapeutic response and caused significant side effects, so his physicians switched him to rituximab (RTX). Half a month after his first RTX infusion, he suddenly developed a cerebral infarction. Laboratory tests at that time showed positive antiphospholipid antibodies (aPL), and his condition improved after anticoagulation therapy was initiated. During follow-up, both aPL and anti-PLA2R antibodies turned negative, his proteinuria markedly improved, and his renal function remained stable. Based on the clinical course and immunologic findings, this case suggests a possible association, in the early stage of RTX therapy, the depletion and subsequent regeneration of B cells may temporarily disturb the autoantibody profile, leading to a short-term rise in aPL and an increased risk of thrombosis. Although RTX is generally safe and effective for the treatment of membranous nephropathy—achieving B-cell-mediated immune modulation and reduction of proteinuria—clinicians should be aware of a possible transient hypercoagulable state early after treatment. Strengthened monitoring of aPL levels and coagulation parameters, together with individualized anticoagulation when appropriate, may help prevent thrombotic complications.
文章引用:周晓迪, 尚嘉祥, 侯淑婷, 赵心怡, 马瑞霞. 膜性肾病合并脑梗死、抗磷脂抗体阳性1例并文献复习[J]. 临床医学进展, 2026, 16(1): 455-461. https://doi.org/10.12677/acm.2026.161062

1. 引言

膜性肾病(MN)是一种自身免疫性疾病,是肾病综合征的常见病理类型[1],抗磷脂酶A2抗体(PLA2R)是原发性MN的诊断血清学标志物之一[2]。利妥昔单抗(RTX)目前已成为MN治疗的重要手段。抗磷脂抗体(aPL)阳性状态,即使未满足抗磷脂综合征(APS)的完整诊断标准,机体也可能存在血栓形成倾向,增加特定治疗背景下的血栓栓塞风险。本研究报道2024年4月8日我院收治的1例男性患者,经血清抗PLA2R抗体阳性确诊为MN患者,RTX输注后半月后突发脑梗死,实验室检查发现aPL阳性,经抗血小板聚集、抗凝、RTX治疗,最终aPL及抗PLA2R抗体转阴、MN临床完全缓解。本报道旨在通过分析该病例并结合文献,以期提升临床认识。

1.1. 临床表现和查体

患者司某,男性,42岁,2024年4月8日因双下肢及眼睑水肿4天就诊于我院。患者4天前出现眼睑及双下肢凹陷性水肿,伴泡沫尿,夜尿增多。入院前2 d外院查尿蛋白3+,潜血3+,红细胞计数为45.19个/ul,白蛋白为24.2 g/L,血肌酐为77 umol/l,总胆固醇为9.71 mmol/l,甘油三酯为3.44 mmol/l,遂于我院就诊。入院查体:T:36.2℃,P:83次/分,R:21次/分,BP:20.8/15.6 kPa (156/117 mmHg)。双眼睑浮肿,心肺查体未见明显异常,腹软,无压痛,Murphy征阴性,移动性浊音阴性,双下肢凹陷性水肿。神经系统查体未见异常。

1.2. 实验室及影像学检查

尿液检查(2024年4月9日):① 尿液分析:隐血1+,尿蛋白2+,红细胞计数4.0/ul。② 24小时尿蛋白定量测定:24小时尿蛋白排泄量7.87 g/24小时(图1(A))。血液检查(2024年4月9日):① 血常规及血凝常规:血红蛋白148 g/L,白细胞6.14 × 109/L (图1(B)),血小板227 × 109/L (图1(C)),C-反应蛋白1.61 mg/L,D-二聚体1960 ng/mL,PT、APTT、TT、抗凝血酶III等未见明显异常。② 血液生化:游离甲状腺素12.500 pmol/L,总蛋白42.5 g/L,白蛋白21.7 g/L (图1(D)),谷丙转氨酶29 U/L (图1(E)),谷草转氨酶24 U/L (图1(F)),肌酐79 umol/L (图1(G)),尿素氮5.32 mmol/L,肾小球滤过率(eGFR) 105.28 ml/min/1.73m2,尿酸422 umol/L (图1(H)),甘油三酯2.25 mmol/L (图1(I)),胆固醇9.15 mmol/L (图1(J)),低密度脂蛋白5.96 mmol/L (图1(K)),血钙1.98 mmol/L。③ 免疫指标:PLA2R抗体检测100.05 RU/ml (图1(L)),抗核抗体及其滴度、抗中性粒细胞胞浆抗体均为阴性,血沉27.00 mm/60min,免疫球蛋白测定(血):免疫球蛋白G4.550 g/L,免疫球蛋白M 2.930 g/L,免疫球蛋白E 38.60 IU/mL,补体C4下降,为0.446 g/L。④ 淋巴细胞亚群计数:CD3总T细胞79.58%,CD4T辅助淋巴细胞52.94%。CD45+CD3+CD4+绝对计数973.00 cells/ul。⑤ 肿瘤标志物、粪便常规分析 + 隐血试验、传染性标志物均为阴性。心脏超声:LVEF63%。泌尿系统超声:双肾大小尚可,双肾表面光滑,实质回声无明显异常,皮髓质分界清。胸部CT:双肺散在少许微小结节、纵膈内未见明显肿大淋巴结。

1.3. 治疗和随访

Figure 1. Trends in laboratory test results. (A) 24-hour Urine Protein Excretion (g/24h); (B) White Blood Cell Count (×109/L); (C) Platelet Count (×109/L); (D) Albumin (g/L); (E) Alanine Aminotransferase (U/L); (F) Aspartate Aminotransferase (U/L); (G) Creatinine (μmol/L); (H) Uric Acid (μmol/L); (I) Triglycerides (mmol/L); (J) Cholesterol (mmol/L); (K) Low-Density Lipoprotein (mmol/L); (L) Anti-Phospholipase A2 Receptor (PLA2R) Antibody Detection (RU/mL); (M) CD19+CD45+ Absolute Count (cells/μL); (N) CD19⁺ B Cell Count (cells/μL); (O) Anti-Cardiolipin Antibody (IgG + M + A) (AU/mL); (P) Anti-Cardiolipin Antibody IgM (MPL U/mL)

1. 实验室检验结果变化趋势。(A) 24小时尿蛋白排泄量(g/24小时);(B) 白细胞(×109/L);(C) 血小板(×109/L);(D) 白蛋白(g/L);(E) 谷丙转氨酶(U/L);(F) 谷草转氨酶(U/L);(G) 肌酐(μmol/L);(H) 尿酸(μmol/L);(I) 甘油三酯(mmol/L);(J) 胆固醇(mmol/L);(K) 低密度脂蛋白(mmol/L);(L) 抗磷脂酶A2受体(PLA2R)抗体检测(RU/ml);(M) CD19+CD45+绝对计数(cells/μl);(N) CD19 B细胞数(cells/μl);(O) 抗心磷脂抗体(IgG + M + A) (AU/mL);(P) 抗心磷脂抗体IgM MPL (U/mL)

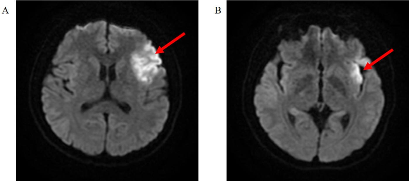
患者经抗PLA2R抗体阳性(100.05 RU/mL)确诊MN,依据KDIGO指南未行肾穿刺活检,予醋酸泼尼松30 mg qd + 环孢素软胶囊75 mg bid治疗,并辅以利伐沙班抗凝、硝苯地平 + 缬沙坦胶囊控制血压、阿法骨化醇软胶囊 + 碳酸钙D3片补钙等对症治疗。1个月后,患者出现手抖,醋酸泼尼松逐渐减量至20 mg qd;4个月后,患者出现牙龈增生、肿胀,复查24小时尿蛋白排泄量4.24 g/24小时(图1(A)),尿常规化学分析:隐血2+,尿蛋白3+。因患者应用醋酸泼尼松 + 环孢素副作用明显,且治疗效果差,遂再次入院评估RTX应用指征,完善化验示24小时尿蛋白排泄量6.08 g/24小时(图1(A)),PLA2R检测16.31 RU/ml (图1(L)),CD19+CD45+绝对计数及CD19 B细胞数均高于正常水平(图1(M)图1(N)),排除禁忌后于2024年9月22给予第一次RTX 600 mg治疗,输注过程顺利,无不良反应,准予出院,第一次RTX注射半月后,患者突发反应迟钝、站立不稳、言语重复,于我院急诊神经内科就诊,查体:记忆力、理解力、定向力、计算力下降,四肢肌力V级,肌张力正常,左侧共济运动欠稳准,双侧痛觉对称存在,四肢腱反射(++),NIHSS评分2分,饮水试验1级,ADL100分。完善颅脑MR示:左侧额叶、岛叶脑梗死(图2(A)图2(B)),右侧额叶深部、左侧小脑半球、斑片状异常信号影、考虑亚急性脑梗死可能性大;化验示抗心磷脂抗体(IgG + M + A):30.80 AU/mL (图1(O)),抗心磷脂抗体IgM:11.30 MPLu/mL (图1(P)),给予阿司匹林肠溶片100 mg qn、硫酸氢氯吡格雷片75mg qd、低分子量肝素钠注射液5000 IU皮下注射抗凝等治疗后好转出院,出院后规律应用华法林2.5 mg qd抗凝、阿托伐他汀钙片20 mg qn降脂。排除禁忌后,相继给予RTX 500 mg静脉滴注治疗3次,激素逐渐减停,2024年11月PLA2R及抗磷脂抗体转阴,2025年8月20日追加RTX 500 mg,(截至2025年8月20日累计应用RTX 2600 mg)。患者末次复查为2025年10月16日,并继续在门诊随访中。

Figure 2. Brain infarction cranial magnetic resonance imaging (DWI) images. (A) Frontal lobe cerebral infarction; (B) Insular lobe cerebral infarction

2. 脑梗死颅脑核磁共振(DWI)图像。(A) 额叶脑梗死;(B) 岛叶脑梗死

2. 讨论

MN是常见的肾病综合征类型之一,可见于各年龄段。2009年,Beck等人发现PLA2R是MN的主要靶点[2]。2019年KIDGO指南指出,抗PLA2R抗体具高度特异性,疾病进展风险低或活检相关风险高的患者可免于肾活检[3]。2021年KIDGO指南指出,肾病综合征和抗PLA2R抗体阳性的患者,无需肾活检即可诊断MN,但肾活检仍可提供多方面信息[4]。该患者24 h尿蛋白 > 3.5 g,血清白蛋白 < 30 g/L,甘油三酯、胆固醇升高,伴有高血压,符合肾病综合征的诊断,同时,该患者抗PLA2R抗体为阳性,MN的诊断成立。

MN的发病机制较为复杂,迄今尚未完全明确,多数学者认为免疫损伤是其发病的基本机制,自身抗体与靶抗原反应形成免疫复合体是主要诱因[5]。该病涉及免疫系统异常、遗传背景和环境因素等,仍需深入探索阐明。血栓事件频发是MN的一大临床特征,包括动脉血栓和静脉血栓,急性动脉血栓形成是MN患者较为严重的并发症之一,尤其是脑内动脉的梗塞可严重影响患者的预后。该患者在第一次输注RTX后半月后(确诊MN第5个月)突发脑梗死时完善化验示aPL阳性,后复查转阴,依据《美国风湿病学会/欧洲抗风湿病联盟抗磷脂抗体分类诊断标准(2023)》[6],APS的诊断要求aPL阳性持续至少12周。因此,对于首次阳性的患者,通常会在12周后复查以排除一过性阳性。该患者在初次入院时并未检查抗磷脂抗体,因此无法明确其当时的基线状态;在发生脑梗死后补充完善相关免疫学检查,结果显示aPL水平升高。值得注意的是,经过针对性治疗后患者的aPL在短期内迅速恢复至正常范围,这一动态变化更符合一过性aPL阳性的特征,而非支持持续性高滴度所提示的典型抗磷脂综合征。凝血与抗凝机制的障碍[7]、纤溶–抗纤溶系统的异常[8]、血小板活化与异常聚集、血流速度的改变[9]等均可导致血栓事件发生。但该患者除此之外,还有aPL的一过性升高,aPL阳性状态虽未满足APS的完整诊断标准,机体也可能存在血栓形成倾向,增加血栓栓塞风险。

MN患者出现aPL阳性可能反映了机体存在更为广泛的免疫失衡状态。首先,MN与aPL均由B细胞介导,其发生过程中B细胞活化及体液免疫异常可导致多克隆自身抗体生成,因而在疾病活动期可能出现抗PLA2R抗体与aPL的共表达。其次,免疫复合物的沉积及补体系统的激活可进一步促进抗原表位暴露和新抗体形成,形成免疫反应的“扩展”效应。此外,肾小球损伤后内皮细胞和磷脂相关抗原暴露,也可能诱导抗磷脂抗体的继发产生。另一方面,在B细胞靶向治疗(如RTX)过程中,B细胞清除与再生所引起的免疫重建可能暂时改变自身抗体谱,使部分患者出现短暂性aPL阳性。在RTX治疗初期,体内B细胞大量调亡,释放自身抗原与免疫复合物,可导致暂时性免疫紊乱[10] [11]。在这一阶段,若机体原本存在隐匿性自身免疫背景,可能因免疫调节不平衡而诱发aPL的产生或“显像化”。aPL通过激活内皮细胞、血小板及凝血系统,促进微血栓的形成,引发脑梗死事件。随着时间推移,浆细胞自然凋亡,而新的浆细胞因B细胞清除而无法再生,血液中抗体浓度随之逐渐下降,最终aPL与抗PLA2R抗体双双转阴。本例清楚地展示了RTX治疗B细胞介导性自身免疫病的“治本”机制及其起效特征。RTX清除了异常B细胞群体,从源头阻断了自身抗体的再生,最终实现长期缓解。

在本次血栓事件的病因分析中,aPL滴度虽短暂升高,但aPL通过促进内皮激活、组织因子上调及补体放大等机制,能够在短时间内显著增强促凝状态,对易栓患者产生放大效应。因此,aPL很可能在本事件中发挥了触发性或加成性作用。然而,为确保分析的全面与平衡,仍需同时考虑MN本身的高凝基础以及抗凝管理的影响。MN的大量蛋白尿、低白蛋白血症和凝血/纤溶系统异常使患者即便在无aPL时亦处于高风险状态,综合来看,MN的固有高凝倾向、抗凝治疗充分性的差异、一过性aPL阳性的放大效应所引起的病理变化可能共同促成了此次血栓形成,对这些因素进行整体考量可使病因分析更为全面与平衡。基于此,抗凝治疗在该类患者中具有重要的临床意义与潜在优势。一方面,系统性抗凝可有效降低深静脉血栓、肾静脉血栓及肺栓塞等事件的发生率,减少高凝状态对肾功能的不良影响;另一方面,抗凝治疗可能通过改善肾小球微循环及减轻凝血–炎症–免疫的正反馈反应,对肾脏结构及功能产生保护作用。部分研究表明,在MN伴aPL阳性患者中早期抗凝干预可显著减少血栓事件而未显著增加出血风险,该策略在此类患者中的获益–风险比相对较高。然而,目前相关研究多为小样本回顾性分析,缺乏前瞻性证据支持,因此,抗凝治疗的具体指征、剂量及疗程仍需进一步的临床研究与循证验证,以期为MN伴aPL阳性患者的精准抗凝管理提供更明确的依据[12]

MN的当前治疗主要是针对肾病综合征对症治疗以及诱导蛋白尿缓解,除对症治疗及免疫抑制剂外,目前的研究聚焦于B细胞的调节,包括耗竭和功能调节等。RTX作为一种CD20单克隆抗体,可特异性结合细胞膜上的CD20抗原,通过抗体依赖和补体介导的细胞毒作用,靶向诱导B淋巴细胞凋亡,减少自身抗体的产生,进而减少尿蛋白、减轻水肿等,同时对肾功能影响较小[13] [14]。本例患者在RTX应用后16天出现脑梗死并伴aPL阳性,但根据现有指南及用药说明书并无明确预警,且在随后的RTX治疗过程中未再出现血管不良事件。该病例表明,RTX在MN患者中可有效实现B细胞介导的免疫调控和蛋白尿缓解,同时需关注治疗初期可能出现的短暂性aPL升高及血栓风险,但总体疗效和安全性仍可通过严格监测得到保障,为临床应用提供了可参考的经验。

3. 小结

本病例为一例42岁男性抗PLA2R阳性膜性肾病患者,在常规泼尼松联合环孢素治疗效果不佳且出现明显副作用后,改用利妥昔单抗(RTX)治疗。患者于首次RTX输注后第16天突发脑梗死,实验室检查显示抗磷脂抗体(aPL)阳性,后复查转阴。结合临床表现及免疫学结果,RTX早期可能诱发免疫重构过程中短暂的自身抗体紊乱,导致aPL暂时性升高及血栓事件发生。该患者的aPL阳性未持续超过12周,未达到抗磷脂综合征(APS)诊断标准,考虑为RTX治疗诱导的APS样反应。随着B细胞耗竭、免疫稳态恢复,患者抗PLA2R抗体与aPL均转阴,蛋白尿明显缓解,肾功能稳定。本病例提出以下可能的假说:① MN合并短暂aPL阳性及血栓事件可能与RTX治疗早期免疫重塑相关;② RTX在MN治疗中虽总体安全有效,但应警惕其可能诱发短暂性免疫高凝状态;③ 对MN患者的抗凝策略与免疫监测应个体化,以防范潜在的血栓并发症。

声 明

该病例报道已获得患者的知情同意。

基金项目

山东省自然科学基金面上项目(ZR2022MH161);青岛市医药卫生科研计划项目(2021-WJZD189);青岛市医疗卫生重点学科建设项目;青岛市临床重点专科。

NOTES

*通讯作者。

参考文献

[1] Sethi, S. and Fervenza, F.C. (2025) Antigens in Membranous Nephropathy: Discovery and Clinical Implications. Nature Reviews Nephrology, 21, 653-670. [Google Scholar] [CrossRef] [PubMed]
[2] Beck, L.H., Bonegio, R.G.B., Lambeau, G., Beck, D.M., Powell, D.W., Cummins, T.D., et al. (2009) M-Type Phospholipase a2 Receptor as Target Antigen in Idiopathic Membranous Nephropathy. New England Journal of Medicine, 361, 11-21. [Google Scholar] [CrossRef] [PubMed]
[3] Floege, J., Barbour, S.J., Cattran, D.C., Hogan, J.J., Nachman, P.H., Tang, S.C.W., et al. (2019) Management and Treatment of Glomerular Diseases (Part 1): Conclusions from a Kidney Disease: Improving Global Outcomes (KDIGO) Controversies Conference. Kidney International, 95, 268-280. [Google Scholar] [CrossRef] [PubMed]
[4] Rovin, B.H., Adler, S.G., Barratt, J., Bridoux, F., Burdge, K.A., Chan, T.M., et al. (2021) Executive Summary of the KDIGO 2021 Guideline for the Management of Glomerular Diseases. Kidney International, 100, 753-779. [Google Scholar] [CrossRef] [PubMed]
[5] Gu, Y., Xu, H. and Tang, D. (2021) Mechanisms of Primary Membranous Nephropathy. Biomolecules, 11, Article 513. [Google Scholar] [CrossRef] [PubMed]
[6] Barbhaiya, M., Zuily, S., Hendry, A.M., Manneville, F., Guillemin, F., Costenbader, K.H., et al. (2024) Response to: Correspondence on ‘2023 ACR/EULAR Antiphospholipid Syndrome Classification Criteria’ by Tang Et Al. Annals of the Rheumatic Diseases, 83, e5-e6. [Google Scholar] [CrossRef] [PubMed]
[7] Tran, L., Pannier, B., Lacolley, P., Serrato, T., Benetos, A., London, G.M., et al. (2021) A Case-Control Study Indicates That Coagulation Imbalance Is Associated with Arteriosclerosis and Markers of Endothelial Dysfunction in Kidney Failure. Kidney International, 99, 1162-1172. [Google Scholar] [CrossRef] [PubMed]
[8] Tan, X., Chen, G., Liu, Y., Zhou, L., He, L., Liu, D., et al. (2017) Serum D-Dimer Is a Potential Predictor for Thromboembolism Complications in Patients with Renal Biopsy. Scientific Reports, 7, Article No. 4836. [Google Scholar] [CrossRef] [PubMed]
[9] Liu, W., Gao, C., Dai, H., Zheng, Y., Dong, Z., Gao, Y., et al. (2019) Immunological Pathogenesis of Membranous Nephropathy: Focus on PLA2R1 and Its Role. Frontiers in Immunology, 10, Article No. 1809. [Google Scholar] [CrossRef] [PubMed]
[10] Lee, D.S.W., Rojas, O.L. and Gommerman, J.L. (2021) B Cell Depletion Therapies in Autoimmune Disease: Advances and Mechanistic Insights. Nature Reviews Drug Discovery, 20, 179-199. [Google Scholar] [CrossRef] [PubMed]
[11] Scolari, F., Delbarba, E., Santoro, D., Gesualdo, L., Pani, A., Dallera, N., et al. (2021) Rituximab or Cyclophosphamide in the Treatment of Membranous Nephropathy: The RI-CYCLO Randomized Trial. Journal of the American Society of Nephrology, 32, 972-982. [Google Scholar] [CrossRef] [PubMed]
[12] Parker, K., Ragy, O., Hamilton, P., Thachil, J. and Kanigicherla, D. (2023) Thromboembolism in Nephrotic Syndrome: Controversies and Uncertainties. Research and Practice in Thrombosis and Haemostasis, 7, Article 102162. [Google Scholar] [CrossRef] [PubMed]
[13] Deng, L. and Xu, G. (2023) Update on the Application of Monoclonal Antibody Therapy in Primary Membranous Nephropathy. Drugs, 83, 507-530. [Google Scholar] [CrossRef] [PubMed]
[14] Guo, Y., Wang, L., Wang, Y., Li, X., Zhai, Z., Yu, L., et al. (2022) Rituximab in Patients with Membranous Nephropathy and Kidney Insufficiency. Frontiers in Pharmacology, 13, Article ID: 1002117. [Google Scholar] [CrossRef] [PubMed]