新生儿期起病的1例Leigh综合征并文献复习
A Rare Case of Neonatal-Onset Leigh Syndrome with a Comprehensive Literature Review
DOI: 10.12677/acm.2026.161073, PDF, HTML, XML,   
作者: 程秋阳*:青岛大学医学部,山东 青岛;丁艳洁:青岛大学附属烟台毓璜顶医院新生儿科,山东 烟台
关键词: Leigh综合征ND3m.10158T>C基因突变Leigh Syndrome ND3 m.10158T>C Gene Mutation
摘要: 目的:报告1例线粒体ND3基因上m.T10158C位点突变导致1例临床罕见、以重度肺动脉高压为突出表现的Leigh综合征的临床特点,丰富m.T10158C突变的临床表型谱。方法:回顾性分析1例经过基因检测确诊的新生儿期发病的Leigh综合征的临床资料,复习相关文献并探讨由线粒体ND3基因突变引起的相关疾病表型及特点。结果:该病例的先证者自新生儿期起病,主要表现为持续的重度肺动脉高压、喂养困难、高血糖、四肢肌张力低下、反应差、面色苍白等多系统退行性表现。头颅MRI弥散像示脑干、双侧基底节–放射冠区、胼胝体压部、额叶见片状高信号影,脑内多发异常信号,血清乳酸升高。以外周血标本行线粒体基因检测提示chrM-10158T>C基因突变,结合患儿的临床特点及基因分析,该患儿确诊疾病表型为Leigh Disease,后因治疗难度大、病情恶化在1月内死亡。结论:此次先证者发病极早,以持续重度肺动脉高压为核心表现,经治后仍难以纠正,病情不断恶化后死亡,为目前相关报道中,该突变所致疾病于新生儿期死亡的严重极端表型,是发病年龄最小的案例之一,警示医师的早期识别。复习以往文献,该位点基因突变表现出从新生儿期的Leigh综合征到成人MELAS综合征的巨大临床异质性,为探讨线粒体疾病的基因型–表型关系提供了有价值的案例资料。
Abstract: Objective: To present a case report of Leigh syndrome caused by the m.T10158C mutation in the mitochondrial ND3 gene, which manifested with a clinically rare and predominant presentation of severe pulmonary arterial hypertension. This report aims to enrich the clinical phenotypic spectrum associated with the m.T10158C mutation. Methods: A retrospective analysis was conducted on the clinical data of a neonate diagnosed with Leigh syndrome through genetic testing. Relevant literature was reviewed to investigate the disease phenotypes and features associated with mitochondrial ND3 gene mutations. Results: The proband presented with multi-system degenerative manifestations from the neonatal period, including persistent severe pulmonary hypertension, feeding difficulties, hyperglycemia, limb hypotonia, poor responsiveness, and pallor. Brain diffusion-weighted MRI revealed patchy high-signal intensities in the brainstem, bilateral basal ganglia and corona radiata, splenium of the corpus callosum, and frontal lobe, indicating multiple intracranial abnormalities. Serum lactate levels were elevated. Genetic testing of a peripheral blood sample identified an m.10158T>C mutation. Based on the clinical features and genetic analysis, the patient was diagnosed with Leigh syndrome. Unfortunately, the patient succumbed to the disease within one month due to rapid deterioration and treatment challenges. Conclusion: The proband in this case exhibited an extremely early onset, with refractory severe pulmonary arterial hypertension as the core manifestation. Despite treatment, the hypertension remained uncorrected, and the patient’s condition progressively deteriorated, resulting in death. This represents one of the most severe and extreme phenotypes reported for this mutation—neonatal fatality—and is among the youngest cases in terms of age of onset, highlighting the critical need for early recognition by clinicians. A review of the existing literature reveals that mutations at this site demonstrate considerable clinical heterogeneity, ranging from Leigh syndrome in the neonatal period to MELAS syndrome in adults. This case provides valuable material for exploring genotype-phenotype correlations in mitochondrial disorders.
文章引用:程秋阳, 丁艳洁. 新生儿期起病的1例Leigh综合征并文献复习[J]. 临床医学进展, 2026, 16(1): 538-545. https://doi.org/10.12677/acm.2026.161073

1. 引言

Leigh综合征又称亚急性坏死性脑脊髓病,是线粒体内氧化磷酸化障碍引起能量代谢缺陷的一种进行性神经退行性疾病,以损害组织器官耗能量大的心脏、脑、肌肉、肾等器官为主,具有多种复杂表型,婴幼儿起病多见,可引起多系统的临床表现。发病率约为活产儿的1/40,000。目前以m.10158T>C基因突变在新生儿期起病的国内罕见报道,本文分析1例新生儿期的Leigh综合征的临床特点,并复习相关文献。

2. 临床资料

2.1. 基本情况

患儿,女,生后7天因反应欠佳、喂养困难就诊于烟台毓璜顶医院新生儿科,入院后表现为难以纠正的肺动脉高压、高血糖、进行性加重的呼吸衰竭、昏迷、血清高乳酸,多次血氧饱和度及血压难以维持,呼吸机参数持续上调,后期肺出血、少尿且水肿,经治1月后最终因呼吸衰竭死亡。

2.2. 出生史

患儿系第5胎,第2产,胎龄39+1周,剖宫产,无围产期缺氧,母亲否认高血压、糖尿病史,第2胎和第3胎因社会因素药物流产,第4胎因胎育停药物流产,有1个同母异父的哥哥(第1胎),1.5岁时因肌无力表现的疾病(未基因诊断)去世,有1个同父异母的哥哥,12岁,身体健康,母亲38岁,父亲42岁,父母非近亲婚配,双亲皆健康,否认家族性遗传病史。

2.3. 体格检查

出生体重3100克,入院体重2790克,营养不良,皮下脂肪少,反应差,面色苍黄,头颅五官无畸形,瞳孔对光反射存在,心肺腹部查体未见异常,四肢肌张力低,自主活动少,前臂回弹慢,四肢末梢温暖,腘窝角大于90˚,觅食反射减弱,握持反射减弱,拥抱反射不完全。

2.4. 实验室及影像学检查

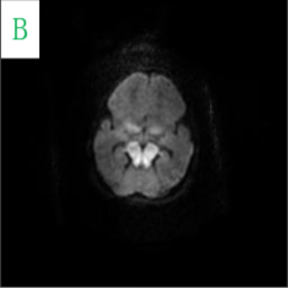
患儿血气分析乳酸升高明显,乳酸波动于2.8 mmol/L~14.1 mmol/L,治疗后曾有所下降,内环境呈代谢性酸中毒,最低BE为−11.72 mmol/L,血糖高,需要胰岛素治疗,血糖波动于3.1 mmol/L~21.6 mmol/L,血氨、心肌酶、凝血功能、肝肾功能等未见异常,血尿遗传代谢分析未见异常。头颅核磁弥散像示脑干、双侧基底节–放射冠区、胼胝体压部、额叶见片状高信号影(头颅MRI:图1(A)图1(B))。治疗后期颅脑超声提示双侧脑室增宽,后角增大明显,左侧后角斜径2.2厘米,右侧后角斜径2.0厘米,双侧丘脑回声明显增强。心脏超声提示房水平双向分流、重度肺动脉高压。

2.5. 治疗经过

患儿入院后积极给予纠正酸中毒、机械通气、降血糖、抗感染、维持血压、一氧化氮吸入控制肺动脉高压等对症治疗,疾病后期结合患儿临床特点、MRI及基因检测结果,诊断Leigh综合征明确,患儿疾病进行性发展恶化不可控,治疗难、预后差,最终死亡。

(A) 为T2FLAIR像双侧基底节、丘脑对称性异常高信号 (B) 为双侧脑干对称性异常高信号

(C) 先证者及家系基因测序结果

Figure 1. Cranial MRI and genetic sequencing results of the proband

1. 先证者颅脑核磁影像及基因测序结果图示

2.6. 基因检测

经父母双方签署知情同意书及伦理委员会同意,抽取先证者及其母亲外周血2 ml,先证者采用高通量测序分析,母亲以PCR-NGS验证,通过对疾病相关基因的测序分析,发现与疾病表型相关的高度可疑变异。行线粒体环基因全长panel (捕获),分析到chrM-10158有一个热点突变,为致病性变异(如图1(C)),先证者MT-ND3基因突变频率为1257/1257+8 (99.37%)。经家系验证分析,先证者之母该位点突变频率50/50+770 (6.10%),临床表型正常。

3. 文献复习

以“m.T10158C”OR“Leigh综合征and MT-ND3”为检索式检索PubMed、万方数据知识服务平台、中国期刊全文数据库自建库以来至2025年6月收录文献,共检索到由位点ND3上的m.T10158C突变引起的线粒体病19例,其中3例病例不详,有详细资料16例,以LS为表型的有5例(31%),以Melas及Melas样为表型的有8例(50%),以Leigh与Melas重叠综合征为表型的有2例(13%),以Melas/Merrf综合征为表型的有1例(6%)。其中表现为LS的平均起病年龄为3.9月,均在婴儿期起病,主要临床表现为发育落后(3例)、肌张力减退(2例)、眼神运动减少(2例),此外还有表现为抽搐、共济失调、意识障碍等表现。血清或脑脊液乳酸均升高,MRI主要累及丘脑、基底节,有3例已明确活检出组织异质,异质率均大于80%。以Melas表型的平均起病年龄为35岁,其中主要临床表现为中风样发作(6例)、癫痫(6例)、视力障碍(3例)、意识障碍(2例)、头痛(2例),还有偏瘫、语言障碍、认知障碍等表现,MRI主要累及枕叶、顶叶,部分可累及脑干、小脑、额叶、皮质、基底节等部位,4例血清或脑脊液乳酸升高,1例MRS可见乳酸峰,5例明确可检测出组织异质(13.9%~95%)。16例患者均检测出m.T10158C突变,2例LS/Melas中,1例表现出由年龄依赖的表型转变,1例症状与影像表现分离,症状表现为Melas特点,影像特点以LS表型的双侧基底节病变为主。16例中多数预后不详,有1例明确提到使用细胞氧化应激保护剂治疗后改善,随访4年存活,以上结果见表1

Table 1. Clinical features of 16 cases of mitochondrial disorders caused by the m.T10158C gene mutation

1. m.T10158C基因突变引起的线粒体疾病16例临床特点

序号

年龄

性别

表型

症状

MRI

异质率

乳酸

预后

1 [1]

4月

LS

抽搐、发育落后

基底节、额叶、 丘脑、大脑脚

-

升高

-

2 [1]

4月

LS

运动发育迟缓

丘脑、大脑桥、壳

-

升高

-

3 [2]

5月

LS

肌张力弱、眼球 运动少

双壳核、丘脑、 脑角和上小脑角

血液90%

升高

治疗后 改善

4 [3]

5月

LS

肌张力减退、眼球震颤、无眼神交流

基底节、丘脑、脑干

肌肉83%

升高

9月死亡

5 [4]

6周

LS

意识障碍、生长迟缓、共济失调

幕上白质、大脑半球、导水管周围灰质

肌肉91%

升高

6月死亡

6 [5]

55岁

MELAS

癫痫、认知障碍、 中风发作

双侧枕叶

肌肉76%

升高

-

7 [6]

52岁

MELAS

孤立中风发作、 偏瘫、癫痫

右顶叶

肌肉69.6%

MRS 乳酸峰

-

8 [7]

7岁

MELAS

卒中样发作、癫痫

左枕叶、左半球外侧区、脑干

肌肉95%

-

-

9 [8]

22岁

MELAS

偏头痛、偏盲、 意识障碍

右小脑半球、右枕叶、顶叶

-

升高

-

10 [9]

56岁

MELAS

卒中样发作、 语言障碍

左颞顶叶皮质梗死

尿液13.91%

-

-

11 [10]

26岁

MELAS

头痛、视力模糊、 癫痫、中风样发作

皮质受累迁移模式

肌肉89.5%

-

-

12 [11]

22岁

MELAS

意识丧失、头痛、 偏盲、抽搐

双枕叶、左顶叶和 上脑

-

升高

-

13 [12]

41岁

MELAS样

中风样发作、癫痫 发作、构音及步态 障碍

双侧皮质及皮质下病变,双侧红核、中脑顶盖受累

-

升高

-

14 [12]

2岁

LS转 MELAS

发育迟缓、癫痫

基底节、脑干、 白质病变

血液82%

升高

-

15 [13]

40岁

LS/MELAS

反复抽搐、 意识丧失

右额叶、 双侧基底节

肌肉70.0%

升高

-

16 [14]

12岁

Melas/Merrf

视力模糊、头痛、 抽搐

双侧丘脑及额颞顶 枕叶皮质下

血液45%

升高

-

注:-未知或未提及。

4. 讨论

LS由英国神经病理学家Denis Leigh于1951年首次报道[15]。儿童线粒体脑肌病的常见临床表型为Leigh综合征,其遗传异质性及临床表型复杂多样,线粒体呼吸链氧化磷酸化障碍,ATP供应不足,导致氧气需求量高的器官严重损伤,其特征表现是精神运动性发育迟缓、肌张力减退、智力缺陷、共济失调、视神经病变等。影像学表现以脑基底神经节、小脑、脑干、脊髓等部位对称性病变为特征。与泛醌氧化还原酶(NADH)相关的已发现的致病基因有MT-ND1、MT-ND2、MT-ND3、MT-ND4、MT-ND5、MT-ND6 [16],线粒体呼吸链中的5个酶复合物(I~V)缺陷及丙酮酸脱氢酶复合物缺陷均可引起Leigh综合征[17]。其中最常见的导致Leigh综合征的是复合物I的缺陷。30%的复合物I缺陷患者携带致病性mtDNA突变,尽管Leigh综合征和复合体I缺陷有多种遗传原因,ND基因突变可能是需考虑的罪魁祸首。在线粒体内,复合物I或烟酰胺腺嘌呤二核苷酸:泛醌氧化还原酶通过电子转移促进质子梯度,为40%的ATP合成提供动力。复合物I包括45个亚基,其中7个由线粒体基因(mtDNA;基因MT-ND1-6)编码,其余由核基因编码。国外相关研究提示,Leigh综合征核DNA异常占90% [18],线粒体DNA异常占约10%。在本例报道中,MT-ND3基因编码区的m.10158T>C异质突变,导致线粒体基因组第10158个碱基由胸腺嘧啶(T)突变为胞嘧啶(C),其编码蛋白质的第34位氨基酸由丝氨酸变为脯氨酸,据以往指南判定为致病突变,该异质水平影响复合体I活性,造成神经系统为表现的疾病。

线粒体是通过氧化磷酸化(OXPHOS)产生能量的细胞成分,承载能量产生反应的物质载体是各种复合物,肺血管稳态及胰岛β细胞是体内极端依赖线粒体氧化代谢以执行功能的细胞,对氧化还原失衡异常敏感,线粒体呼吸链复合物I功能的变化会影响ETC的整体活性[19]。除本身基因突变引起的线粒体呼吸链复合物I亚基异构造成的能量障碍,代谢途径中产生的活性氧及各种因子加速肺血管内皮细胞及平滑肌细胞的损伤,与缺氧性肺血管收缩(HPV)反应共同作用引起特征性持续的肺动脉高压的多重级联反应。但是涉及基因突变的复杂性complex I缺乏对肺及全身的血流动力学未能被明确研究。在线粒体功能障碍期间,糖酵解的ATP生成增加补偿氧化磷酸化介导的ATP损失,补偿途径引起丙酮酸转化为乳酸,引起细胞外环境酸化、高血糖反应。ATP调节胰岛素的分泌,高血糖刺激下ATP生成不足,引起GSIS信号途径耦合受损,反应钝化,体现为胰岛素整体分泌能力下降。与肺血管类似,胰岛β细胞抗氧化防御能力弱,各种因子的持续攻击最终激活线粒体依赖的细胞凋亡途径,肺血管及胰岛β细胞成为complex I功能障碍的靶点,在此先证者中表现为极度致死性且不可纠正的恶性循环。

Leigh综合征有多种遗传方式,包括以线粒体DNA为异常的母系遗传(约20%)、常染色体隐性遗传、X染色体连锁遗传、常染色体显性遗传(后3种为核基因突变,约80%,遵循孟德尔遗传规律,其中常染色体隐性常见),其临床表型与基因突变类型及其致病性、异质载量水平等相关[20],异质突变负荷的分布取决于突变基因,线粒体疾病相关突变基因与特定临床表型[21]之间的发展之间的相关性不确定,多为多种复杂表型的交叉重叠,同一个位点基因突变可引起多种表型,同一个表型也可由不同基因突变导致,在本次病例报道中,先证者为母系遗传,表型为Leigh综合征,以往国内外报道的突变位于m.T10158C的引起线粒体病的表型有:MELAS、MELAS样综合征、LS综合征、LS样综合征、MELAS/LS综合征、MELAS/LS/MERRF、MELAS/MERRF。在这些表型里面,重叠综合征相对于单纯的某一种表型少见。本次研究分析的16例中,表现为Leigh/Melas表型的有2例,其中1例表现为年龄依赖的表型转变,以发育迟缓、癫痫为临床特点,国内关于该重叠综合征的突变点为m.T10158C的报道少见,可供临床研究的资料相对较少。张涵等人[21]此前报道过1例Leigh-MELAS综合征,6岁时起病,表现出眼球运动异常、视力减退、抽搐发作的症状。本例先证者以反应差、喂养困难起病,是现有报道发病年龄最小的以肺动脉高压为特点的LS综合征,最终死于呼吸衰竭。该型引起的临床症状复杂多变,每个病例都具有各自的特点,临床上往往难以确诊,希望本例能给临床医师提供一些的经验,避免漏诊误诊。

MELAS综合征多于40岁以前起病,各个年龄阶段均可发病,以儿童期更加常见,其常见共同特征为中风样发作、高乳酸血症,主要临床表现为突发卒中、偏头痛、反复癫痫发作、偏瘫、偏盲、呕吐等表现,多以母系遗传为主,其中超过80%的患者携带m.A3243G突变,头颅核磁特征表现为枕叶、颞叶和额叶的皮质和皮质下白质的不对称病变。Wang [22]等人总结了MELAS-LS叠加综合征可能存在3种发病模式,第一种:先以MELAS典型症状为主,后出现LS症状;第二种:早期以LS症状为主,数年后出现MELAS症状;第3种:LS与MELAS症状同时出现。表中研究分析的其中1例LS-MELAS综合征符合第2种发病模式,呈现出由LS症状转变为MELAS症状且随年龄依赖的特点。

Leigh综合征以发育迟缓、癫痫发作、肌张力减退为特征,颅脑核磁特征表现为基底神经节和脑干的双侧对称病变。多发病于婴儿期,发病年龄较同位点基因突变的其他临床表型小,多于2岁内发病,往往很快恶化死亡,预后差,且多为致死性,罕有发生在成年且唯一临床表现仅为脑部受累的情况[6]。本次研究分析中LS患者的发病年龄、常见症状与Chang等人[23]的一项关于385名Leigh综合征的荟萃分析的结果一致,多在婴儿期起病,常见症状为发育迟缓、肌张力减退、乳酸升高。本次报道案例生后7天即发病,1月后死亡,似乎发病越早,预后越差。

目前尚无明确的根治方法,治疗多为对症支持,以改善症状及提高生存治疗为主要目的。包括补充线粒体氧化磷酸化的相关辅酶,比如采用“鸡尾酒”疗法,包括辅酶Q10、硫辛酸、肌酐、左旋肉碱、生物素、维生素B1、维生素B2等。尽管积极地对症支持,临床疗效不显著,预后较差,大多数最终会进行性进展至死亡,病死率高。国外研究报道,1位5月大的确诊Leigh脑病的患儿在使用1种名为EPI-743的细胞氧化应激保护剂后,明显改善临床症状及自然病程,生存期长达4年[2],该病例的有效结局为线粒体疾病的治疗提供了新的经验。总之,没有根治的治疗方法,但是逐渐进步的基因治疗,提示疾病改善的可能,同时,对于临床上出现乳酸高、反应低下、治疗难度大、难以纠正的疾病特征时,需要考虑到线粒体疾病的可能。

利益冲突

所有作者均声明不存在利益冲突。

NOTES

*通讯作者。

参考文献

[1] 林玛丽, 曹丽梅, 陈熙泼, 等. MT-ND3基因突变引发以癫癎为特征的Leigh综合征2例病例报告[J]. 中国循证儿科杂志, 2024, 19(1): 72-73.
[2] Kouga, T., Takagi, M., Miyauchi, A., Shimbo, H., Iai, M., Yamashita, S., et al. (2018) Japanese Leigh Syndrome Case Treated with EPI-743. Brain and Development, 40, 145-149. [Google Scholar] [CrossRef] [PubMed]
[3] Crimi, M., Papadimitriou, A., Galbiati, S., Palamidou, P., Fortunato, F., Bordoni, A., et al. (2004) A New Mitochondrial DNA Mutation in ND3 Gene Causing Severe Leigh Syndrome with Early Lethality. Pediatric Research, 55, 842-846. [Google Scholar] [CrossRef] [PubMed]
[4] McFarland, R., Kirby, D.M., Fowler, K.J., Ohtake, A., Ryan, M.T., Amor, D.J., et al. (2003) De Novo Mutations in the Mitochondrial nd3 Gene as a Cause of Infantile Mitochondrial Encephalopathy and Complex I Deficiency. Annals of Neurology, 55, 58-64. [Google Scholar] [CrossRef] [PubMed]
[5] Mezuki, S., Fukuda, K., Matsushita, T., Fukushima, Y., Matsuo, R., Goto, Y., et al. (2017) Isolated and Repeated Stroke-Like Episodes in a Middle-Aged Man with a Mitochondrial ND3 T10158C Mutation: A Case Report. BMC Neurology, 17, Article No. 217. [Google Scholar] [CrossRef] [PubMed]
[6] Fu, X.L., Zhou, X.X., Shi, Z., et al. (2019) Adult-Onset Mitochondrial Encephalopathy in Association with the MT-ND3 T10158C Mutation Exhibits Unique Characteristics: A Case Report. World Journal of Clinical Cases, 7, 1066-1072. [Google Scholar] [CrossRef] [PubMed]
[7] Grosso, S., Carluccio, M.A., Cardaioli, E., Cerase, A., Malandrini, A., Romano, C., et al. (2017) Complex I Deficiency Related to T10158C Mutation ND3 Gene: A Further Definition of the Clinical Spectrum. Brain and Development, 39, 261-265. [Google Scholar] [CrossRef] [PubMed]
[8] 王帅, 宋涛, 王素平. 罕见m.10158T>T/C突变致MELAS综合征一例[J]. 中华医学杂志, 2019, 99(38): 3031-3032.
[9] 闫少凤, 杨潇, 汪汉芳, 等. 尿液线粒体基因检测确诊线粒体脑病1例报告[J]. 中风与神经疾病杂志, 2025, 42(5): 467-469.
[10] Vodopivec, I., Cho, T.A., Rizzo, J.F., Frosch, M.P. and Sims, K.B. (2016) Mitochondrial Encephalopathy and Optic Neuropathy Due to M.10158 MT-ND3 Complex I Mutation Presenting in an Adult Patient: Case Report and Review of the Literature. The Neurologist, 21, 61-65. [Google Scholar] [CrossRef] [PubMed]
[11] Wang, S., Song, T. and Wang, S. (2020) Mitochondrial DNA 10158T>C Mutation in a Patient with Mitochondrial Encephalomyopathy with Lactic Acidosis, and Stroke-Like Episodes Syndrome. Medicine, 99, e20310. [Google Scholar] [CrossRef] [PubMed]
[12] Mukai, M., Nagata, E., Mizuma, A., Yamano, M., Sugaya, K., Nishino, I., et al. (2017) Adult-Onset Mitochondrial Myopathy, Encephalopathy, Lactic Acidosis, and Stroke (MELAS)-Like Encephalopathy Diagnosed Based on the Complete Sequencing of Mitochondrial DNA Extracted from Biopsied Muscle without Any Myopathic Changes. Internal Medicine, 56, 95-99. [Google Scholar] [CrossRef] [PubMed]
[13] 陈涓涓, 陈旭辉, 陈淮菁, 等. m.10158T>C致线粒体脑肌病伴高乳酸血症和卒中样发作叠加Leigh综合征一例临床、病理及基因特点[J]. 中华神经科杂志, 2017, 50(6): 435-439.
[14] 张彦, 冯建华, 程海瑛, 等. m.10158T>C基因突变致Melas/Merrf重叠综合征1例并文献复习[J]. 中华实用儿科临床杂志, 2019, 34(4): 303-306.
[15] Leigh, D. (1951) Subacute Necrotizing Encephalomyelopathy in an Infant. Journal of Neurology, Neurosurgery & Psychiatry, 14, 216-221. [Google Scholar] [CrossRef] [PubMed]
[16] McCormick, E.M., Keller, K., Taylor, J.P., Coffey, A.J., Shen, L., Krotoski, D., et al. (2023) Expert Panel Curation of 113 Primary Mitochondrial Disease Genes for the Leigh Syndrome Spectrum. Annals of Neurology, 94, 696-712. [Google Scholar] [CrossRef] [PubMed]
[17] Bénit, P., Slama, A., Cartault, F., Giurgea, I., Chretien, D., Lebon, S., et al. (2004) Mutant NDUFS3 Subunit of Mitochondrial Complex I Causes Leigh Syndrome. Journal of Medical Genetics, 41, 14-17. [Google Scholar] [CrossRef] [PubMed]
[18] Rahman, S., Blok, R.B., Dahl, H.M., Danks, D.M., Kirby, D.M., Chow, C.W., et al. (1996) Leigh Syndrome: Clinical Features and Biochemical and DNA Abnormalities. Annals of Neurology, 39, 343-351. [Google Scholar] [CrossRef] [PubMed]
[19] Schleifer, G., Marutani, E., Ferrari, M., Sharma, R., Skinner, O., Goldberger, O., et al. (2019) Impaired Hypoxic Pulmonary Vasoconstriction in a Mouse Model of Leigh Syndrome. American Journal of Physiology-Lung Cellular and Molecular Physiology, 316, L391-L399. [Google Scholar] [CrossRef] [PubMed]
[20] Na, J.H. and Lee, Y.M. (2023) Heteroplasmic Mutant Load Differences in Mitochondrial DNA-Associated Leigh Syndrome. Pediatric Neurology, 138, 27-32. [Google Scholar] [CrossRef] [PubMed]
[21] 张涵, 吴晔, 姜玉武. Leigh-MELAS重叠综合征一例[J]. 中国临床案例成果数据库, 2022(1): E00173-E.
[22] Wang, Z., Qi, X.K., Yao, S., Chen, B., Luan, X., Zhang, W., et al. (2010) Phenotypic Patterns of MELAS/LS Overlap Syndrome Associated with m.13513G>A Mutation, and Neuropathological Findings in One Autopsy Case. Neuropathology, 30, 606-614. [Google Scholar] [CrossRef] [PubMed]
[23] Chang, X., Wu, Y., Zhou, J., Meng, H., Zhang, W. and Guo, J. (2020) A Meta-Analysis and Systematic Review of Leigh Syndrome: Clinical Manifestations, Respiratory Chain Enzyme Complex Deficiency, and Gene Mutations. Medicine, 99, e18634. [Google Scholar] [CrossRef] [PubMed]