Turner综合征女性在供卵试管婴儿后妊娠期发生HPV相关宫颈腺癌:病例报告
HPV-Related Cervical Adenocarcinoma during Pregnancy Following Donor Oocyte IVF in a Woman with Turner Syndrome: A Case Report
摘要: 目的:报告1例Turner综合征(TS)患者在供卵体外受精–胚胎移植技术(IVF)妊娠期间确诊人乳头瘤病毒(HPV)相关宫颈腺癌的病例,探讨高剂量外源性雌激素与妊娠期内源性激素增加对HPV相关病变进展的潜在影响,并强调辅助生殖前宫颈筛查的重要性。方法:回顾患者妊娠与围产期病历,包括既往HPV感染史、辅助生殖方案、孕期宫颈病理学检查、影像学、手术及术后随访资料;并结合相关文献进行分析。结果:患者为39岁TS女性,长期HPV16持续感染,采用供卵IVF妊娠。孕31周4天宫颈活检提示HPV相关腺癌,MRI示宫颈管内局灶性病变(16 × 13 mm)。孕36周行剖宫产联合广泛子宫切除及盆腔淋巴结清扫,病理示中分化HPV相关宫颈腺癌、Silva A型、FIGO IB1期。术后三个月复查未见残余或复发,CA-125降至正常。新生儿经治疗后顺利出院。结论:在持续高危HPV感染背景下,供卵IVF周期高剂量外源性雌激素与妊娠期内源性雌激素峰值可能共同促进宫颈腺上皮病变的快速进展。高危HPV阳性者在接受辅助生殖前应加强宫颈癌筛查,必要时进行宫颈管评估,以减少妊娠期延误诊断的风险。
Abstract: Objective: To report a case of human papillomavirus (HPV)-related cervical adenocarcinoma diagnosed during pregnancy in a woman with Turner syndrome (TS) following donor oocyte in vitro fertilization and embryo transfer (IVF-ET), to explore the potential impact of high-dose exogenous estrogen and pregnancy-related endogenous hormonal surges on the progression of HPV-associated lesions, and to emphasize the importance of cervical screening before assisted reproductive technology (ART). Methods: The clinical data of pregnancy and the perinatal period were retrospectively reviewed, including the history of persistent HPV infection, ART regimen, cervical pathological findings during pregnancy, imaging examinations, surgical treatment, and postoperative follow-up. Relevant literature was reviewed and analyzed. Results: A 39-year-old woman with Turner syndrome and long-term persistent HPV16 infection conceived through donor oocyte IVF. At 31 + 4 weeks of gestation, cervical biopsy revealed HPV-related adenocarcinoma. Pelvic magnetic resonance imaging demonstrated a focal lesion within the endocervical canal measuring 16 × 13 mm. At 36 weeks of gestation, cesarean section combined with radical hysterectomy and pelvic lymph node dissection was performed. Postoperative pathology confirmed moderately differentiated HPV-related cervical adenocarcinoma, Silva pattern A, FIGO stage IB1. No residual or recurrent disease was detected at the 3-month follow-up, and serum CA-125 levels returned to normal. The neonate recovered well and was discharged after treatment. Conclusion: In the background of persistent high-risk HPV infection, high-dose exogenous estrogen used during donor oocyte IVF cycles combined with peak endogenous estrogen levels during pregnancy may contribute to the rapid progression of cervical glandular lesions. Enhanced cervical cancer screening should be implemented before ART in women with high-risk HPV infection, with endocervical evaluation performed, when necessary, to reduce the risk of delayed diagnosis during pregnancy.
文章引用:徐小诺, 单玉萍, 殷广洁. Turner综合征女性在供卵试管婴儿后妊娠期发生HPV相关宫颈腺癌:病例报告[J]. 临床医学进展, 2026, 16(1): 566-570. https://doi.org/10.12677/acm.2026.161077

1. 引言

TS是一种由X染色体完全或部分单体性(45,X或结构变异)引起的染色体疾病[1]。临床表现包括身材矮小、原发性卵巢功能不全、青春期延迟、不孕、先天畸形、内分泌异常、自身免疫疾病及神经认知缺陷。卵巢功能障碍是主要临床难题之一,常需依赖辅助生殖技术(ART) [2]。供卵试管婴儿(IVF)使许多TS患者得以妊娠,但由于其基础心血管、代谢和内分泌风险,妊娠被视为高危,需要多学科管理。

宫颈癌是全球女性第二常见恶性肿瘤,与持续感染高危HPV密切相关。宫颈癌也是妊娠期最常见的妇科恶性肿瘤,占妊娠相关妇科癌症的约71%。妊娠是否加速HPV相关宫颈癌生长仍具争议。有研究提示,妊娠期的激素变化,尤其是雌激素、孕激素和HCG水平均升高,可能促进HPV持续感染及病毒致癌基因表达[3]。妊娠期盆腔血流增加、免疫调节以及宫颈重塑,也可能有利于疾病进展。

本文报告了一例TS患者在供卵IVF妊娠后,被诊断为HPV相关宫颈腺癌的罕见病例,并强调两个临床关注点:(1) 用于胚胎移植的高剂量外源性雌激素,加之妊娠期内源性雌激素升高,是否会加速HPV相关宫颈病变进展。(2) 在辅助生殖前进行严谨宫颈癌筛查的重要性,尤其是在高危HPV感染者中。

2. 病例介绍

患者女性,39岁,G2P1,原发性卵巢功能不全,核型46,X,i(X)(p10),为TS。孕31周4天因常规检查发现宫颈异常来院。既往月经稀发(1~2次/年),HPV16持续阳性超过4年,阴道镜未见明显异常。曾通过供卵IVF获得一次剖宫产分娩的健康婴儿。

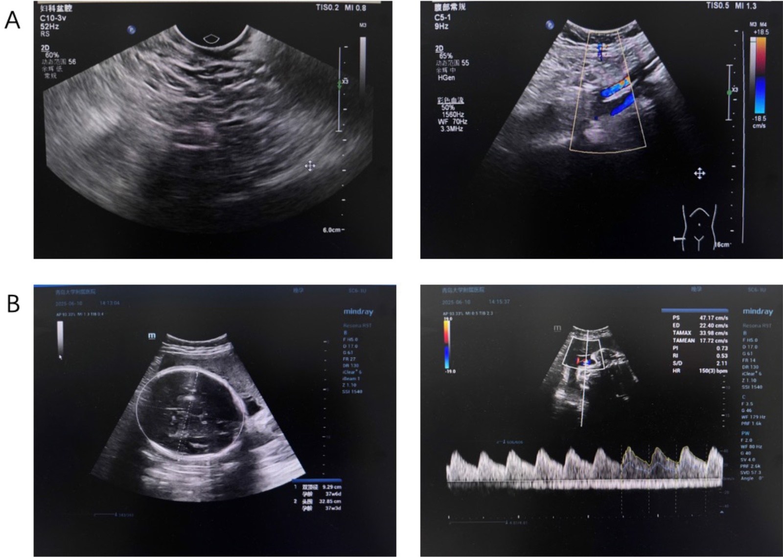
本次妊娠采用激素替代方案进行冻胚移植,使用口服雌二醇(4~6 mg/d)及黄体支持。孕31周4天复查阴道镜发现HPV相关宫颈腺样病变;活检证实为HPV相关腺癌,p16强阳性,Ki-67约80%。盆腔MRI显示宫颈管内16 × 13 mm病灶。实验室检查:CA-125 193 U/mL,CEA 10.2 U/mL,SCC与CA19-9正常。孕35周4天常规产检超声显示胎儿生长符合孕周,无结构异常(图1(A))。

多学科团队(MDT)建议待胎儿成熟后再手术。孕33周2天给予促胎肺成熟和神经保护治疗。孕36周行剖宫产 + 广泛性子宫切除术 + 双侧输卵管卵巢切除及盆腔淋巴结清扫。术中未见异常。术后病理确诊为中分化HPV相关宫颈腺癌(Silva A型),局限于宫颈,间质浅层浸润,切缘阴性,无阴道或参数侵犯,FIGO IB1期。免疫组化:p16强阳性,Ki-67高表达。早产儿转入NICU观察。

患者术后三个月复查:经阴道超声显示盆腔结构正常,无残余病灶(图1(B))。CA-125降至8.84 U/mL,已恢复正常范围。

分娩后,新生儿在新生儿科观察并支持治疗,病程平稳,于6月21日出院。

Figure 1. Imaging comparison of prenatal fetal ultrasound and postoperative transvaginal ultrasound. (A) Routine prenatal ultrasonography at 35 + 4 weeks of gestation showed fetal growth consistent with gestational age, with no structural abnormalities detected. (B) Postoperative follow-up transvaginal ultrasonography revealed no residual cervical lesions, and no abnormal findings were observed in the pelvic cavity

1. 产前胎儿超声与术后经阴道超声的影像学对比。(A) 孕35 + 4周行产前胎儿超声检查,结果提示胎儿生长发育与孕周相符,未发现明显结构性异常;(B) 术后复查经阴道超声,未见残余宫颈病变,盆腔未发现异常影像学表现

3. 讨论

该病例的独特之处在于:患者因TS和卵巢功能不全,完全依赖外源性激素进行内膜准备及早孕支持;随后由于胎盘产生大量雌激素,中晚孕期内源性雌激素显著升高,形成“双峰式”雌激素暴露。

患者既往HPV16持续感染,但在辅助生殖技术(ART)前缺乏间隔阴道镜随访。本例从既往检查正常到妊娠期发展为侵袭性腺癌的快速进展,引发了关于激素在宫颈癌发生过程中作用的重要问题。

雌激素通过多种分子机制促进HPV介导的致癌作用。首先,雌激素主要通过ERα,尤其是ERα-36亚型,增强HPV E6/E7致癌基因的转录与表达,提高其致癌潜能[4]。动物研究显示,长期雌激素暴露可与HPV16 E6协同诱导宫颈癌,通过调控E2F靶基因并抑制肿瘤抑制因子p16 [5]。雌激素还可激活MAPK和PI3K/Akt等非基因组信号通路,促进细胞增殖、抑制凋亡、上调hEAG1钾通道表达,从而加速宫颈上皮恶变[6]。妊娠相关的免疫抑制及盆腔血流增加亦可能促进肿瘤进展[7]

在本例中,ART期间的外源性雌激素与妊娠期内源性雌激素激增,共同营造了富含激素的微环境,与HP16持续感染协同,促使潜伏病变迅速演变为侵袭性腺癌。

此外,患者4年的持续HPV16感染构成腺上皮病变高风险。宫颈腺癌常起源于宫颈管,仅靠细胞学难以检测。本例ART前缺乏阴道镜及宫颈管评估,导致早期恶变被遗漏,使妊娠期病变快速发展。提示高危人群应在ART前强化筛查。

4. 结论

尽管TS本身不会增加宫颈癌风险,且患者长期处于低雌激素状态,患宫颈癌的风险会大大降低,但其通过ART妊娠,其内源性与外源性雌激素暴露模式会发生显著改变。本病例提示,在持续高危HPV感染背景下,供卵IVF周期中使用的高剂量外源性雌激素联合妊娠期胎盘激素水平的显著升高,可能与宫颈腺上皮病变向侵袭性病变的进展存在一定关联,该关联尚需进一步研究加以证实。

对于TS患者及卵巢储备下降需依赖激素替代妊娠者,“激素驱动 × HPV持续感染”的双重风险可能显著增加。因此,ART前应实施更系统的宫颈筛查,包括HPV分型、细胞学、阴道镜及必要的宫颈管评估。加强孕前评估与孕期动态监测,有望减少妊娠期宫颈癌延误诊断风险,改善母婴预后。

本研究为单例病例报告,存在一定局限性。首先,病例数量有限,难以进行统计学分析,无法据此推断外源性雌激素暴露、妊娠期激素变化与HPV相关宫颈腺癌发生发展之间的因果关系。其次,患者既往存在持续高危HPV16感染,其在疾病发生中的基础作用无法与激素因素完全区分。再次,病例回顾性分析难以排除其他潜在混杂因素的影响,如个体免疫状态、宫颈局部微环境变化等。因此,本病例仅能提示上述因素之间可能存在关联,相关机制及其临床意义仍有待大样本前瞻性研究及基础研究进一步验证。

声 明

本病例报道已获得患者的知情同意,患者同意其相关临床资料及影像学资料用于学术发表,文中已对所有可识别的个人信息进行匿名化处理。

NOTES

*通讯作者。

参考文献

[1] Rivet, J., et al. (1984) Endocrine, Cytogenetic and Psychometric Features of Patients with X-Isochromosome 46, X, i(Xq) Turner’s Syndrome: A Preliminary Study in Nine Patients. Journal of Pediatric Endocrinology and Metabolism, 7, 135-141.
[2] Zhang, L., et al. (2024) Ovarian Fibrosis: Molecular Mechanisms and Potential Therapeutic Targets. Journal of Ovarian Research, 17, 142.
[3] 董伟, 刘勇, 李淑霞, 等. 妊娠期宫颈高级别鳞状上皮内病变的进展转归及对妊娠结局的影响[J]. 中华围产医学杂志, 2020, 23(5): 330-337.
[4] O’Neill, C.J., Monsonego, J., Sideri, M., et al. (2004) Detection of High-Risk Human Papillomavirus (HPV) E6 and E7 Oncogene Transcripts Increases the Specificity of the Detection of a Cervical Intraepithelial Neoplasia (CIN). Journal of Medical Virology, 74, 463-468.
[5] Song, S., Pitot, H.C. and Lambert, P.F. (2000) The Human Papillomavirus E6 Oncogene Dysregulates the Cell Cycle and Contributes to Cervical Carcinogenesis through Two Independent Activities. Cancer Research, 60, 3335-3342.
[6] Cázares-Ordoñez, V., González-Duarte, R.J., Díaz, L., Ishizawa, M., Uno, S., Ortíz, V., et al. (2015) A Cis-Acting Element in the Promoter of Human Ether À Go-Go 1 Potassium Channel Gene Mediates Repression by Calcitriol in Human Cervical Cancer Cells. Biochemistry and Cell Biology, 93, 94-101. [Google Scholar] [CrossRef] [PubMed]
[7] Lee, S.Y., Kim, J.H., Han, Y.H. and Cho, D.H. (2018) The Effect of Modulated Electro-Hyperthermia on Temperature and Blood Flow in Human Cervical Carcinoma. International Journal of Hyperthermia, 34, 953-960. [Google Scholar] [CrossRef] [PubMed]