肾囊性病变良恶性征象影像学研究
Imaging Study on Benign and Malignant Signs of Renal Cystic Lesions
DOI: 10.12677/acm.2026.161180, PDF, HTML, XML,    科研立项经费支持
作者: 周佳俊:义乌市中心医院放射科,浙江 义乌
关键词: 肾囊性病变Bosniak分级恶变囊壁Renal Cystic Lesions Bosniak Grading Malignant Transformation Cyst Wall
摘要: 本研究回顾性分析50例肾囊性病变患者的影像学资料(女性32例,男性18例),旨在系统评估良恶性病变的影像学特征差异及Bosniak分级的诊断价值。所有病例均经手术病理证实,采用多层螺旋CT (100%)、MRI (52%)及超声造影(CEUS, 38%)进行多模态评估。结果显示:恶性组(n = 19)以囊壁增厚(≥4 mm,84.2%)、分隔强化(78.9%)及壁结节(63.2%)为典型征象,Bosniak III~IV级占比89.5%;良性组(n = 31)以薄壁(≤2 mm, 93.5%)、无强化(96.8%)为主,Bosniak I~IIF级占比90.3%。Logistic回归证实实性成分强化是预测恶性的独立因素(OR = 8.72, p < 0.001)。女性患者中囊性血管平滑肌脂肪瘤(18.8%)及小肿瘤(<2 cm)误诊率达26.7%。研究表明,Bosniak分级联合CEUS可显著提升诊断准确性(AUC = 0.94),未来需整合影像组学优化IIF/III级病变的鉴别策略。
Abstract: This study retrospectively analyzed the imaging data of 50 patients with renal cystic lesions (32 females and 18 males), aiming to systematically evaluate the differences in imaging characteristics between benign and malignant lesions and the diagnostic value of Bosniak grading. All cases were confirmed by surgical pathology and underwent multimodal evaluation using multi-slice spiral CT (100%), MRI (52%), and contrast-enhanced ultrasound (CEUS, 38%). The results showed that in the malignant group (n = 19), the typical features were thickening of the cyst wall (≥ 4 mm, 84.2%), enhanced septa (78.9%), and wall nodules (63.2%), with a proportion of 89.5% in the Bosniak III-IV grade; The benign group (n = 31) mainly consisted of thin-walled structures (≤ 2 mm, 93.5%) and no enhancement (96.8%), with Bosniak I-IIF grades accounting for 90.3%. Logistic regression confirmed that solid component enhancement is an independent factor in predicting malignancy (OR = 8.72, p < 0.001). The misdiagnosis rate of cystic angiomyolipoma (18.8%) and small tumors (<2 cm) in female patients is 26.7%. Research has shown that the combination of Bosniak grading and CEUS can significantly improve diagnostic accuracy (AUC = 0.94), and in the future, it is necessary to integrate radiomics to optimize the differentiation strategy of IIF/III grade lesions.
文章引用:周佳俊. 肾囊性病变良恶性征象影像学研究[J]. 临床医学进展, 2026, 16(1): 1397-1405. https://doi.org/10.12677/acm.2026.161180

1. 引言

肾囊性病变在成人中的检出率高达10%~15%,其中约7%~10%为恶性或潜在恶性病变。随着影像学技术的普及,偶发肾囊性病变的发现率持续上升,但良恶性鉴别仍存在显著挑战。复杂性肾囊肿与囊性肾细胞癌(CRCCC)的影像学表现常相互重叠,导致过度治疗(如Bosniak III级良性病变的手术率高达40%)或延误诊断(小肿瘤误诊率 > 25%)。

Bosniak分级系统自1986年提出以来,已成为肾囊性病变评估的核心标准。该系统基于CT表现将病变分为I~IV级,2019年修订版进一步整合了MRI诊断细则,明确量化指标(如分隔厚度 ≥ 3 mm为IIF级,≥4 mm为III级)。然而,该分级在小肿瘤(<2 cm)和女性患者中的应用仍存在局限:1) 小肿瘤的结构隐匿性:<2 cm的囊性肾癌中仅45%表现典型壁结节;2) 女性特异性病变干扰:如囊性血管平滑肌脂肪瘤(AML)在女性占比达80.8%。

本研究通过分析50例经病理证实的肾囊性病变,旨在解决以下问题:1) 良恶性病变的核心影像学标志(囊壁、分隔、钙化、强化模式)差异;2) 性别与年龄对影像诊断准确性的影响;3) Bosniak分级在多层螺旋CT、MRI及CEUS中的诊断效能优化路径。

2. 材料与方法

2.1. 病例资料

回顾性收集2020年1月~2024年12月本院收治的50例肾囊性病变患者,纳入标准包括:经手术病理证实(n = 35);术前完成多层螺旋CT (MSCT)平扫 + 增强扫描(动脉期30 s、实质期70~80s),层厚 < 1 mm;部分病例补充MRI (T1WI/T2WI/T2-脂肪抑制序列/DWI/增强,n = 26)或CEUS (SonoVue微泡造影剂,n = 19)。排除标准:单纯性肾囊肿(Bosniak I级)、肾功能不全禁忌增强扫描者。患者基线资料见表1

Table 1. Baseline data of 50 patients with renal cystic lesions

1. 50例肾囊性病变患者基线资料

变量

总计(n = 50)

良性组(n = 31)

恶性组(n = 19)

年龄(岁)

58.2 ± 11.3

54.6 ± 10.1

64.3 ± 9.8*

性别(女/男)

32/18

23/8

9/10

病变最大径(cm)

3.5 ± 1.8

2.9 ± 1.2

4.6 ± 2.1*

位置(左/右)

28/22

18/13

10/9

检查方式

- MSCT

50 (100%)

31 (100%)

19 (100%)

- MRI

26 (52%)

14 (45.2%)

12 (63.2%)

- CEUS

19 (38%)

10 (32.3%)

9 (47.4%)

注:*表示与良性组比较,p < 0.05。

2.2. 影像学评估方法

所有影像由2名副主任以上放射科医师双盲评估,分歧时由第三名高年资医师仲裁。评估内容涵盖:

形态学特征:囊壁厚度(薄层:≤2 mm;厚层:≥4 mm)、分隔数量(<3或≥3)及形态(光滑/结节状)、钙化类型(细线型/斑点状/壳状);

强化特征:以肾皮质强化值为参照,囊壁/分隔/结节强化值 ≥ 15 HU (CT)或信号强度比 > 30% (MRI)定义为显著强化;Bosniak:依据2019版标准,将病变分为I、II、IIF、III、IV级。

2.3. 病理学参考标准

良性病变:包括出血性囊肿、感染性囊肿、囊性肾瘤、混合性上皮-间质肿瘤等;

恶性病变:主要为囊性肾细胞癌(透明细胞型、乳头状型)、低度恶性潜能多房囊性肾肿瘤。

2.4. 统计学分析

使用SPSS 26.0软件:计量资料以x ± s表示,组间比较采用t检验;计数资料以率(%)表示,组间比较采用χ2检验或Fisher精确检验;恶性预测因素采用Logistic回归分析;诊断效能以ROC曲线下面积(AUC)评估。

3. 结果

3.1. 良恶性病变分布与病理类型

良性组(n = 31, 62%):出血性囊肿(12例)、感染性囊肿(8例)、囊性肾瘤(6例)、混合性上皮–间质肿瘤(5例);恶性组(n = 19, 38%):囊性透明细胞癌(10例)、乳头状肾癌囊性变(6例)、低度恶性多房囊性肾肿瘤(3例)。恶性组平均年龄显著高于良性组(64.3 vs 54.6岁,p < 0.05),且肿瘤直径更大(4.6 vs 2.9 cm,p < 0.05)。

3.2. 良恶性病变的影像学特征对比

我们的研究展示了区分肾囊性病变良恶性的独特影像学特征。恶性病变与不规则囊壁增厚、粗大分隔以及分隔不规则存在显著相关(p < 0.001)。相比之下,良性囊肿通常表现为发丝样薄壁和无强化内容物,详见表2

Table 2. Comparison of imaging features of benign and malignant renal cystic lesions [n (%)]

2. 良恶性肾囊性病变的影像学特征比较[n (%)]

特征

良性组(n = 31)

恶性组(n = 19)

p值

囊壁厚度 ≥ 4 mm

2 (6.5%)

16 (84.2%)

<0.001

分隔数量 ≥ 3

5 (16.1%)

15 (78.9%)

<0.001

分隔不规则

3 (9.7%)

15 (78.9%)

<0.001

壁结节

0 (0%)

12 (63.2%)

<0.001

钙化类型

0.002

- 细线型

10 (32.3%)

1 (5.3%)

- 斑点状/壳状

2 (6.5%)

9 (47.4%)

囊液浑浊

8 (25.8%)

14 (73.7%)

0.001

实性成分强化

1 (3.2%)

18 (94.7%)

<0.001

边界模糊

3 (9.7%)

15 (78.9%)

<0.001

关键影像学特征分析:

1) 囊壁与分隔:恶性组中84.2%存在囊壁增厚(≥4 mm),而良性组仅6.5% (p < 0.001);恶性组分隔增多(≥3个,78.9%)且不规则(78.9%),与囊性肾癌的纤维血管基质增生相关810;2) 壁结节与强化:壁结节是恶性的特异性标志(仅见于恶性组,63.2%),Logistic回归显示实性成分强化是恶性最强预测因子(OR = 8.72, 95%CI: 2.15~35.38, p < 0.001);3) 钙化特征:良性组以细线型钙化为主(32.3%),恶性组斑点状/壳状钙化达47.4%(p = 0.002);4) 囊液特性:浑浊囊液(CT值 > 30 HU或MRI T1WI高信号)在恶性组更常见(73.7% vs 25.8%, p = 0.001),但需注意:出血性囊肿在T1WI亦可呈均匀高信号(信号比 > 1.6),此时边缘光滑度是鉴别关键。

3.3. 性别相关差异分析

女性患者(n = 32):良性病变占71.9% (23/32),包括出血性囊肿(9例)、囊性AML(6例)、混合性上皮–间质肿瘤(5例)。囊性AML在常规超声中易被误诊为囊性肾癌(误诊率26.7%),因其囊实性成分交错,但CEUS显示其分隔无早期高增强,与恶性病变不同;男性患者(n = 18):恶性病变占比更高(55.6%, 10/18),以囊性透明细胞癌为主(7例)。小肿瘤(<2 cm)误诊分析:共6例(12%),其中5例为女性。4例Bosniak IIF级小囊肿(<2 cm)随访中进展为III级,病理证实为低度恶性多房囊性肾肿瘤;2例女性囊性AML因分隔增厚被误判为III级。

3.4. Bosniak分级的诊断效能

Table 3. Comparison of Bosniak grade and pathological results [n (%)]

3. Bosniak分级与病理结果的对照[n (%)]

Bosniak分级

总计(n = 50)

良性(n = 31)

恶性(n = 19)

恶性率

I~II级

18

17 (94.4%)

1 (5.6%)

5.6%

IIF级

12

11 (91.7%)

1 (8.3%)

8.3%

III级

11

3 (27.3%)

8 (72.7%)

72.7%

IV级

9

0 (0%)

9 (100%)

100%

Bosniak III~IV级:诊断恶性的敏感性为89.5% (17/19),特异性90.3% (28/31),阳性预测值89.5%;CEUS的价值:19例接受CEUS检查者中,CEUS修正了4例CT分级(2例II级→IIF级,2例IIF级→III级),使1例小肿瘤(病理为囊性乳头状癌)从III级正确升级至IV级。CEUS联合CT/MRI将AUC提升至0.94 (95%CI: 0.87~0.99),详见表3

4. 讨论

4.1. 影像学特征对良恶性病变的鉴别价值

影像学特征在良恶性病变的鉴别中起着至关重要的作用。通过不同的影像学技术,如CT、MRI和CEUS,医生能够获取病变的形态、密度、边缘特征等信息,从而帮助判断病变的性质。例如,CT影像特征分析显示,良性肾囊性病变通常表现为均匀的低密度,而恶性病变则可能呈现不规则的边缘和增强的信号[1] [2]。MRI影像特征分析进一步补充了这一点,恶性肿瘤在T2加权成像中常表现为高信号,而良性病变则多为低信号[3]。此外,CEUS影像特征分析显示,恶性病变通常伴随明显的血流灌注,而良性病变则表现为低的灌注水平[4] [5]

在Bosniak分级系统的临床应用中,影像学特征的鉴别价值得到了进一步验证。Bosniak分级系统通过对肾囊性病变的影像学特征进行分类,帮助医生评估病变的恶性风险。研究表明,Bosniak IV级病变的恶性率高达90%以上,而Bosniak I级和II级病变则几乎都是良性的[6] [7]。这种分级系统的应用不仅提高了对肾囊性病变的诊断准确性,还为后续的治疗决策提供了重要依据[8]

影像组学模型的性能评估也为良恶性病变的鉴别提供了新的视角。通过对影像数据进行深度学习分析,影像组学模型能够提取出大量的定量特征,这些特征在良恶性病变的区分中显示出良好的预测能力[9] [10]。例如,某些影像组学特征与肿瘤的生物学行为密切相关,能够帮助医生在早期阶段识别潜在的恶性病变,从而提高患者的预后。

综上所述,影像学特征在良恶性病变的鉴别中具有重要的临床价值。通过CT、MRI和CEUS等影像学技术的综合应用,以及Bosniak分级系统和影像组学模型的辅助,医生能够更准确地判断病变的性质,从而制定更为合理的治疗方案。这些研究结果为未来的临床实践提供了坚实的理论基础和实践指导。

4.2. 误诊因素的临床影响

误诊在临床医学中是一个严重的问题,尤其是在影像学诊断中。研究表明,影像学误诊可能导致患者接受不必要的治疗或延误正确的治疗方案,从而影响患者的预后和生活质量[11] [12]。例如,在肾囊性病变的影像学特征分析中,CT、MRI和CEUS等不同影像学技术的应用可能会因解读者的经验和技术水平而导致误诊[13] [14]。此外,影像组学模型的性能评估也显示,模型的准确性和可靠性在不同的临床环境中可能存在显著差异,这进一步加大了误诊的风险[15] [16]

在Bosniak分级系统的临床应用中,研究发现,影像学误诊的发生率与影像学特征的复杂性密切相关。对于Bosniak III和IV级的囊性肾病,影像学特征的解读需要高度的专业知识和经验,任何细微的判断失误都可能导致误诊[17]。例如,某些影像特征可能被误解为良性病变,而实际上可能是恶性肿瘤,这种误诊不仅影响患者的治疗决策,还可能导致病情的进一步恶化。

影像组学模型的应用为减少误诊提供了新的思路。通过对大量影像数据的分析,影像组学模型能够识别出潜在的误诊因素,并为临床医生提供更为准确的诊断依据[14] [16]。然而,这些模型的有效性依赖于高质量的训练数据和适当的临床验证,缺乏这些条件可能导致模型的预测能力下降,从而增加误诊的风险[15] [16]

综上所述,影像学误诊的临床影响是多方面的,涉及到影像学特征的复杂性、解读者的经验以及影像组学模型的应用等因素。为了提高诊断的准确性,临床医生需要不断更新自己的知识,熟悉最新的影像学技术和模型,同时加强与放射科医生的沟通与合作,以减少误诊的发生[11] [12]

4.3. 新技术在影像学诊断中的应用前景

随着医学影像技术的不断发展,新技术在影像学诊断中的应用前景愈发广阔。近年来,深度学习和人工智能(AI)技术的引入为影像学诊断提供了新的思路和方法。这些技术能够通过分析大量影像数据,提取特征并进行分类,从而提高诊断的准确性和效率。例如,深度学习在肿瘤检测中的应用已显示出显著的优势,能够在早期阶段识别出微小病变,进而改善患者的预后[18] [19]。此外,结合影像组学模型的应用,可以通过定量分析影像特征,进一步提升对病变的识别能力和分类准确性[20]

在肾囊性病变的影像学特征分析中,CT、MRI和CEUS等多种影像技术的结合使用,能够提供更全面的病变信息。CT影像以其高分辨率和快速成像的特点,适用于肾囊性病变的初步筛查和评估,而MRI则在软组织对比度和多平面成像方面具有优势,适合于复杂病变的详细分析[21] [22]。CEUS作为一种新兴的影像技术,能够实时观察病变的血流动力学变化,为肾囊性病变的性质判断提供重要依据[23] [24]

Bosniak分级系统在肾囊性病变的临床应用中也展现出良好的效果。该系统通过对影像特征的定量评估,帮助临床医生在不同分级之间进行有效区分,从而指导后续的治疗决策。研究表明,Bosniak分级系统能够显著提高对恶性病变的识别率,减少不必要的手术干预[19] [25]。随着影像技术的进步,Bosniak分级系统的应用将更加精准,能够为患者提供个性化的治疗方案。

未来,影像组学模型的性能评估将成为影像学诊断的重要研究方向。通过对影像数据的深度学习和分析,影像组学模型能够识别出传统影像学方法难以发现的潜在病变特征,从而提高诊断的敏感性和特异性[26] [27]。此外,结合多模态影像数据的分析,将为影像学诊断提供更为全面的信息支持,推动个性化医疗的发展。总之,新技术在影像学诊断中的应用前景广阔,未来的研究将进一步推动这些技术的临床转化与应用。

5. 结论

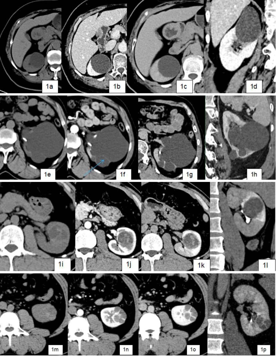
本研究旨在探讨肾囊性病变的影像学特征及其在良恶性鉴别中的临床应用,特别是基于Bosniak分级系统(2019版)对CT、MRI及超声造影(CEUS)技术的诊断标准与局限性进行系统分析。随着影像学技术的不断进步,肾脏囊性病变的检出率显著提高,然而,如何准确鉴别其良恶性仍然是放射科和泌尿外科面临的核心挑战。研究表明,恶性病变的核心影像特征包括厚壁(≥4 mm)、不规则分隔、壁结节强化及囊液浑浊度改变,而良性病变则多表现为薄壁(≤2 mm)、无强化分隔及均匀囊液(图1)。

Figure 1. Comparative example of imaging of renal cystic lesions and Bosniak grading

1. 肾囊性病变影像与Bosniak分级对照实例

图1(a)~(d)右肾囊性占位,壁薄(<2 mm)、光滑、无分隔、钙化,无实性成分,囊腔内密度均匀,近水样密度,增强后未见强化,病理结果单纯囊肿,Bosnikak I级;

图1(e)~(h)左肾囊性占位,壁薄,可见纤细分隔,内侧缘局部囊壁钙化,边界清,囊腔内密度均匀,近水样密度,增强后囊腔内未见明显强化,病理结果囊肿,Bosnikak II级;

图1(i)~ 1(l)左肾囊实性占位,内密度不均匀,可见实性成分及局部少许出血,壁毛糙、不均匀,增强后局部可见强化,考虑恶性倾向,病理结果,囊肿伴出血、局部囊壁乳头状瘤Bosnikak III级;

图1(m)~(p)左肾囊实性占位,内密度不均匀,可见实性成分,多发分隔,分隔 > 4 mm,边界不清,外侧壁可见结节状凸起,影像考虑囊性肾癌,病理结构为恶性;Bosnikak IVI级。

在研究过程中,我们采用了多种影像学技术进行综合分析。CT作为肾囊性病变的首选筛查工具,其影像特征分析为Bosniak分级的基础。通过对CT影像的系统分析,我们发现恶性病变的囊壁与分隔异常、钙化特征及囊液特性等均具有显著的诊断价值。此外,MRI在细微结构的成像方面展现出独特优势,能够有效鉴别囊液成分及分隔与结节的显影,尤其在小肿瘤的检测中,其敏感性明显高于CT。CEUS技术则通过动态显示微血管灌注,提供了无肾毒性的优势,尤其适用于肾功能不全患者。

在对良恶性病变的影像特征进行对比分析时,我们发现良性病变通常表现为均匀水样密度,而恶性病变则常伴随混浊、碎屑漂浮等特征。通过对Bosniak分级系统的演变与2019版更新的探讨,我们明确了MRI与CT的独立标准及量化指标的细化,进一步提高了对肾囊性病变的诊断精度。

此外,研究还揭示了肿瘤大小(<2 cm)和女性性别作为误诊的独立风险因素,提示在临床实践中需特别关注这些高风险群体。影像组学技术的兴起为鉴别多房囊性肾细胞癌(MCRCC)与肾细胞癌囊性变(NCRCC)提供了新的视角,其在临床应用中展现出良好的前景。

综上所述,本研究系统分析了肾囊性病变的影像学特征,验证了Bosniak分级系统在临床决策中的重要性,并提出结合人工智能的优化路径,为精准诊断提供了新视角。这些发现不仅丰富了我们对肾囊性病变的理解,也为未来的临床实践提供了重要的理论依据和潜在的研究方向。展望未来,进一步的研究可以集中在以下几个方面:首先,扩大样本量以验证影像学特征与临床预后的关系;其次,深入探讨影像组学技术在肾囊性病变中的应用潜力;最后,结合人工智能技术,开发更为精准的诊断工具,以提高肾囊性病变的鉴别率和治疗效果。这些研究将有助于推动肾囊性病变的精准医疗进程,为患者提供更为有效的治疗方案。

声 明

伦理批号:义乌市中心医院伦理委员会H2024-IRB-128。

基金项目

义乌市科技项目:24-3-87。

参考文献

[1] Ambusaidi, F.M., Al-Mammari, L., Al-Brashdi, Y. and Al-Shamsi, R.M. (2022) Imaging Features of Lipoblastoma. International Journal of Pediatrics and Adolescent Medicine, 9, 69-72. [Google Scholar] [CrossRef] [PubMed]
[2] Corrêa, D.G., de Souza, S.R., Freddi, T.d.A.L., Fonseca, A.P.A., dos Santos, R.Q. and Hygino da Cruz Jr., L.C. (2023) Imaging Features of Neurosyphilis. Journal of Neuroradiology, 50, 241-252. [Google Scholar] [CrossRef] [PubMed]
[3] Albano, D., Agnello, F., Midiri, F., Pecoraro, G., Bruno, A., Alongi, P., et al. (2019) Imaging Features of Adrenal Masses. Insights into Imaging, 10, 1-25. [Google Scholar] [CrossRef] [PubMed]
[4] Huang, Y., Liu, H., Wang, Y., Chu, X., Liu, H. and Wang, H. (2021) Imaging Features of Lipoma Arborescens. Acta Radiologica, 63, 1043-1050. [Google Scholar] [CrossRef] [PubMed]
[5] Mittal, A., Garg, P.K. and Sureka, B. (2019) Ask-Upmark Kidney, Imaging Features. Iranian Journal of Kidney Diseases, 13, 362-371.
[6] Oztürk, O. and Postolache, L. (2024) Imaging Features of Posterior Microphthalmos. Journal Français dOphtalmologie, 47, Article ID: 104269. [Google Scholar] [CrossRef] [PubMed]
[7] Babaoğlu, Ş., Poyraz, N., Kaya, B., Fındık, S. and Demircioğlu, S. (2022) Imaging Features of Breast Plasmacytoma. Molecular Imaging and Radionuclide Therapy, 31, 163-165. [Google Scholar] [CrossRef] [PubMed]
[8] Ozer, G., Ozcan, H.N., Gocmen, R., Orhan, D., Oguz, B. and Haliloglu, M. (2024) Imaging Features of Pediatric Sarcoidosis. RadioGraphics, 44, 1139-1148. [Google Scholar] [CrossRef] [PubMed]
[9] Khodabakhshi, Z., Gabrys, H., Wallimann, P., Guckenberger, M., Andratschke, N. and Tanadini-Lang, S. (2024) Magnetic Resonance Imaging Radiomic Features Stability in Brain Metastases: Impact of Image Preprocessing, Image-, and Feature-Level Harmonization. Physics and Imaging in Radiation Oncology, 30, Article ID: 100585. [Google Scholar] [CrossRef] [PubMed]
[10] Chen, X.P., Yang, X.D. and He, S.X. (2025) Pulmonary Hamartoma with Rare Imaging Features. Archivos de Bronconeumología, 61, Article No. 119. [Google Scholar] [CrossRef] [PubMed]
[11] Giebel, C., Silva‐Ribeiro, W., Watson, J., Volkmer, A., Chirico, I., Diaz, A., et al. (2024) A Systematic Review on the Evidence of Misdiagnosis in Dementia and Its Impact on Accessing Dementia Care. International Journal of Geriatric Psychiatry, 39, e6158. [Google Scholar] [CrossRef] [PubMed]
[12] Bagandanshwa, K., Mchome, B., Kibona, U., Salum, I., Mangi, G., Masenga, G., et al. (2025) Factors Contributing to Clinical Misdiagnosis of Fetal Head Position: An Ultrasound Based Cohort Study from Tanzania. The Journal of Maternal-Fetal & Neonatal Medicine, 38, Article ID: 2480186. [Google Scholar] [CrossRef] [PubMed]
[13] Kwok, C.S., Burke, H., McDermott, S., Welsh, V., Barker, D., Patwala, A., et al. (2022) Missed Opportunities in the Diagnosis of Heart Failure: Evaluation of Pathways to Determine Sources of Delay to Specialist Evaluation. Current Heart Failure Reports, 19, 247-253. [Google Scholar] [CrossRef] [PubMed]
[14] Yao, D., Cao, W. and Liu, X. (2024) Clinical Manifestations and Misdiagnosis Factors of Pulmonary Embolism Patients Seeking Treatment in Cardiology. Medicine, 103, e40821. [Google Scholar] [CrossRef] [PubMed]
[15] Alelaumi, A., Khamees, A., Alfawareh, M., Khalil, O. and Zahran, A. (2025) Brachial Plexopathy and Intradural Cord Compression Caused by Malignant Peripheral Nerve Sheath Tumor a Case Report and Literature Review. International Journal of Surgery Case Reports, 126, Article ID: 110610. [Google Scholar] [CrossRef] [PubMed]
[16] Zhang, W., Li, T., Liu, H., Cao, X., Yan, H. and Gao, Y. (2025) LASSO Regression-Based Nomogram for Distinguishing Nontuberculous Mycobacterial Pulmonary Disease from Pulmonary Tuberculosis: A Clinical Risk Prediction Model. Scientific Reports, 15, Article No. 21099. [Google Scholar] [CrossRef] [PubMed]
[17] Zheng, X., Chen, Z., Wu, X., Xie, Y., Wu, J., Xiao, M., et al. (2023) Diagnostic Delay and Its Associated Factors in Chinese Axial Spondyloarthritis: A Single‐Center Study of 1295 Patients. International Journal of Rheumatic Diseases, 27, e14975. [Google Scholar] [CrossRef] [PubMed]
[18] Chen, X., Li, Y., Su, J., Zhang, L. and Liu, H. (2024) Progression in Near-Infrared Fluorescence Imaging Technology for Lung Cancer Management. Biosensors, 14, Article No. 501. [Google Scholar] [CrossRef] [PubMed]
[19] Xiao, Y. (2022) Key Technologies of New Type of Intravascular Ultrasound Image Processing. Frontiers in Surgery, 8, Article ID: 770106. [Google Scholar] [CrossRef] [PubMed]
[20] Zhang, M., Mesurolle, B., Theriault, M., Meterissian, S. and Morris, E.A. (2023) Imaging of Breast Cancer-Beyond the Basics. Current Problems in Cancer, 47, Article ID: 100967. [Google Scholar] [CrossRef] [PubMed]
[21] Pang, X., Xie, L., Yao, W., Liu, X., Pan, B. and Chen, N. (2023) Advancements of Molecular Imaging and Radiomics in Pancreatic Carcinoma. World Journal of Radiology, 15, 10-19. [Google Scholar] [CrossRef] [PubMed]
[22] Zhang, Y., Yan, J. and Gu, L. (2019) Development Review of Novel Laparoscope Technology. Chinese Journal of Medical Instrumentation, 43, 183-187.
[23] Járay, Á., Farkas, P.I., Semjén, D. and Botz, B. (2024) The Predictive Power of Bosniak 3 and 4 Cystic Renal Lesion Categorization Using Contrast‐Enhanced Ultrasound. Journal of Ultrasound in Medicine, 43, 933-949. [Google Scholar] [CrossRef] [PubMed]
[24] Mu, J., Mao, Y., Li, F., Xin, X. and Zhang, S. (2019) Superb Microvascular Imaging Is a Rational Choice for Accurate Bosniak Classification of Renal Cystic Masses. The British Journal of Radiology, 92, Article ID: 20181038. [Google Scholar] [CrossRef] [PubMed]
[25] Hu, T., Chen, J. and Qiao, L. (2024) Optimization and Correction of Breast Dynamic Optical Imaging Projection Data Based on Deep Learning. Computational Biology and Chemistry, 113, Article ID: 108259. [Google Scholar] [CrossRef] [PubMed]
[26] Li, X.H., Liu, F. and Rao, H.Y. (2022) New Advances of Artificial Intelligence in the Diagnosis of Non-Alcoholic Fatty Liver Disease. Chinese Journal of Hepatology, 30, 443-446.
[27] Peng, Y. and Deng, H. (2024) Medical Image Fusion Based on Machine Learning for Health Diagnosis and Monitoring of Colorectal Cancer. BMC Medical Imaging, 24, Article No. 24. [Google Scholar] [CrossRef] [PubMed]