平卧位直接前方入路微创半髋关节置换治疗老年股骨颈骨折的早期临床疗效
Early Clinical Efficacy of Minimally Invasive Hemiarthroplasty via Direct Anterior Approach in the Supine Position for Elderly Patients with Femoral Neck Fracture
DOI: 10.12677/hjs.2026.151003, PDF, HTML, XML,   
作者: 张 洋, 朱天信, 张文远, 朱恒杰:扬州洪泉医院骨科,江苏 扬州;黎品泉, 黎观保*:玉林市中西医结合骨科医院髋关节一科,广西 玉林
关键词: 直接前方入路微创外科半髋关节置换术老年患者股骨颈骨折Direct Anterior Approach Minimally Invasive Surgery Total Hip Arthroplasty Elderly Patients Femoral Neck Fracture
摘要: 目的:探讨直接前方入路(DAA)微创半髋关节置换术对老年股骨颈骨折患者的早期临床应用效果。方法:回顾性分析2024年9月至2025年6月收治的19例老年股骨颈骨折患者临床资料,均采用平卧位DAA微创半髋关节置换术治疗。其中女性12例、男性7例,年龄72~85岁。记录手术切口长度、手术时长、术中出血量等手术相关指标,随访观察患者首次下床负重时间、并发症发生情况,并采用视觉模拟评分(VAS)及髋关节Harris评分评估术后疼痛与功能恢复状况。结果:所有患者手术切口均为10 cm,手术耗时1.25~2.4 h,术中出血量100~200 ml;术后影像学检查显示假体位置及匹配度均良好,首次下床负重时间3~9 d,随访6~12个月。末次随访时,VAS评分0~2分,髋关节Harris评分78~96分,优良率达84.2% (16/19);仅出现1例下肢深静脉血栓、1例切口近端愈合不良,经对症处理后好转,未发生神经损伤、股骨穿孔、假体脱位等严重并发症。结论:平卧位DAA微创半髋关节置换术治疗老年股骨颈骨折,具有软组织损伤轻、术中出血少、并发症发生率低、术后恢复快等优势,可促进患者早期功能锻炼,是一种安全可靠的微创治疗方案。
Abstract: Objective: To investigate the early clinical application effects of direct anterior approach (DAA) minimally invasive total hip arthroplasty in elderly patients with femoral neck fractures. Methods: A retrospective analysis was conducted on the clinical data of 19 elderly patients with femoral neck fractures admitted from September 2024 to June 2025, all of whom underwent supine DAA minimally invasive total hip arthroplasty. Among them, there were 12 female cases and 7 male cases, aged 72~85 years. Surgical-related indicators such as incision length, operative duration, and intraoperative blood loss were recorded. Follow-up observations included the first ambulation time and complication occurrence. Postoperative pain and functional recovery were assessed using visual analog scale (VAS) and Harris hip score. Results: All patients had a 10cm surgical incision, with a duration of 1.25 to 2.4 hours and intraoperative blood loss ranging from 100 to 200 ml. Postoperative imaging revealed satisfactory prosthetic positioning and fit. The first ambulation with weight-bearing was achieved within 3 to 9 days, and follow-up lasted 6 to 12 months. At the final follow-up, the VAS score ranged from 0 to 2, and the Harris score for the hip joint ranged from 78 to 96, with an excellent or good rate of 84.2% (16/19). Only one case of deep vein thrombosis in the lower extremity and one case of poor wound healing proximal to the incision occurred, both of which improved after symptomatic treatment. No serious complications such as nerve injury, femoral perforation, or prosthesis dislocation occurred. Conclusion: The supine DAA minimally invasive hemiarthroplasty for femoral neck fractures in elderly patients offers advantages such as minimal soft tissue damage, reduced intraoperative bleeding, low complication rate, and rapid postoperative recovery. It promotes early functional exercise and is a safe and reliable minimally invasive treatment option.
文章引用:张洋, 朱天信, 张文远, 朱恒杰, 黎品泉, 黎观保. 平卧位直接前方入路微创半髋关节置换治疗老年股骨颈骨折的早期临床疗效[J]. 外科, 2026, 15(1): 11-18. https://doi.org/10.12677/hjs.2026.151003

1. 引言

股骨颈骨折是老年人群高发的骨科创伤性疾病,随着人口老龄化进程加快,其发病率呈逐年攀升趋势[1]。老年患者多伴随骨质疏松、心血管疾病、糖尿病等基础病症,骨折后长期卧床易诱发肺部感染、深静脉血栓、压疮等严重并发症,甚至危及生命[2]。因此,在保障手术安全的前提下,尽快恢复肢体功能、缩短卧床时间,是老年股骨颈骨折治疗的核心诉求。

髋关节置换术是目前治疗老年股骨颈骨折的优选方案,可快速缓解疼痛、恢复关节功能,显著提升患者生活质量[3]。手术入路的选择直接关系到手术创伤程度、术后恢复进度及并发症风险。传统后外侧入路虽术野开阔、操作相对简便,但需离断臀大肌等肌群,创伤较大,术后易出现髋关节脱位、慢性疼痛等问题[4]。近年来,微创外科技术在骨科领域的应用日益广泛,直接前方入路(DAA)通过肌肉自然间隙进入髋关节腔,无需切断肌肉肌腱,具备创伤小、出血少、术后恢复快等特点[5]。但该入路操作难度较高,对术者解剖认知及操作技巧要求严格,其在老年股骨颈骨折患者中的临床适用性仍需更多临床数据支撑。本研究通过分析19例采用DAA入路微创半髋关节置换术治疗的老年股骨颈骨折患者的临床资料及随访结果,探讨该术式的技术优势与安全性,为临床治疗方案的优化提供参考。

2. 材料与方法

2.1. 病例资料

选取2024年9月至2025年6月本院收治的老年股骨颈骨折患者19例,其中男性7例、女性12例,年龄72~85岁。骨折部位:左侧11例,右侧8例;均为新鲜闭合性骨折,Garden分型:Ⅱ型2例、Ⅲ型8例、Ⅳ型9例;致伤原因:摔伤15例,车祸伤4例。入院至手术时间1~6 d。所有患者均排除手术禁忌证,经医院伦理委员会批准(批准号:2025HQ1109),所有患者均知情同意。

2.2. 术前准备

入院后立即采取专科干预措施,包括绝对卧床、镇痛药物应用、静脉血栓预防,完善髋关节影像学检查及头胸部等全身评估检查。针对患者合并的高血压、糖尿病、脑梗等基础疾病,进行血压、血糖调控;纠正贫血、低蛋白血症等营养不良状态。组织多学科会诊评估手术风险,术前根据感染情况合理使用抗生素控制感染灶,降低术区血源性感染风险。同时完成术前护理宣教及物品准备工作。

2.3. 手术方法

患者采用全麻或腰硬联合麻醉,取平卧位置于改良“榻榻米”垫上,保护骨性突起部位。常规消毒铺单后,于患侧髋前外侧做纵行切口(髂前上棘与股骨大转子连线1/3起点指向腓骨小头方向),长度10 cm。依次切开皮肤、皮下组织,电凝止血后暴露阔筋膜张肌筋膜,切开后钝性分离进入缝匠肌–阔筋膜张肌间隙。在股骨颈上缘及股骨大转子外侧、前方放置拉钩,切开并分离股直肌、股外侧肌筋膜,显露旋股外侧动脉升支并结扎止血。清理关节囊前方脂肪组织,L型切开关节囊并挂线悬吊,显露股骨颈骨折端,摆锯截骨后取出股骨头,清理关节囊边缘、游离骨碎片及髋臼卵圆窝内部分圆韧带。助手协助患侧肢体内收外旋,分离股骨颈上方部分关节囊,以弯钝撬抬起股骨近端,开口器定位股骨髓腔方向后依次扩髓,注意避免股骨近端劈裂。安装股骨柄锉试模及标准颈股骨头试模,复位关节后,术中测量双下肢长度并透视确认假体位置,检测关节稳定性及间隙(5 mm~1 cm为适宜)。确认无误后安装对应型号股骨假体及股骨头假体,股骨柄近端采用自体松质骨填塞联合骨蜡密封止血。脉冲枪冲洗术区,根据出血情况放置负压引流管,倒刺线原位缝合关节囊,依次缝合阔筋膜张肌筋膜、皮下组织及皮肤,术区消毒后用愈邦辅料覆盖。

2.4. 术后处理

术后密切监测生命体征,患者取平卧位,患侧膝下垫枕垫高5~10 cm。预防性使用抗生素48 h,合并感染或营养不良者适当延长1~2 d;采用非甾体类抗炎药镇痛,必要时联合弱阿片类药物。根据引流量情况拔除引流管;血栓高风险患者术后12 h启动抗凝治疗,常规患者术后1 d开始抗凝。术后4 h给予能量饮料补充,6 h指导患者进行主动功能锻炼,家属协助完成被动活动。同时加强术后补液、维持水电解质平衡,并实施常规抗骨质疏松治疗。

2.5. 观察指标及疗效评价

① 手术相关指标:记录手术切口长度、手术时长、术中出血量;② 恢复及并发症指标:首次下床负重时间,术后髋关节脱位、切口感染、深静脉血栓、肺部感染等并发症发生情况;③ 疗效评价:随访期间采用VAS评分评估疼痛程度,采用Harris评分评估髋关节功能(包括疼痛44分、功能47分、畸形4分、活动度5分,总分100分,≥90分为优秀、80~89分为良好、<80分为差)。

3. 结果

19例患者均顺利完成手术,手术切口10 cm,手术时长1.25~2.4 h,术中出血量100~200 ml。术后影像学检查显示假体位置准确、匹配良好。患者首次下床负重时间3~9 d,随访6~12个月。末次随访时,VAS评分0~2分,仅3例患者长时间负重后出现轻度酸痛;髋关节Harris评分78~96分,其中优秀10例、良好6例、中等3例,优良率84.2% (16/19)。术后并发症:1例发生下肢深静脉血栓,无肺栓塞发生;1例切口近端愈合不良,无感染迹象,经换药处理后愈合。未出现股神经、股外侧皮神经损伤,无股骨穿孔、假体松动或脱位等严重并发症,双下肢长度无明显差异,无围手术期及恢复期死亡病例。

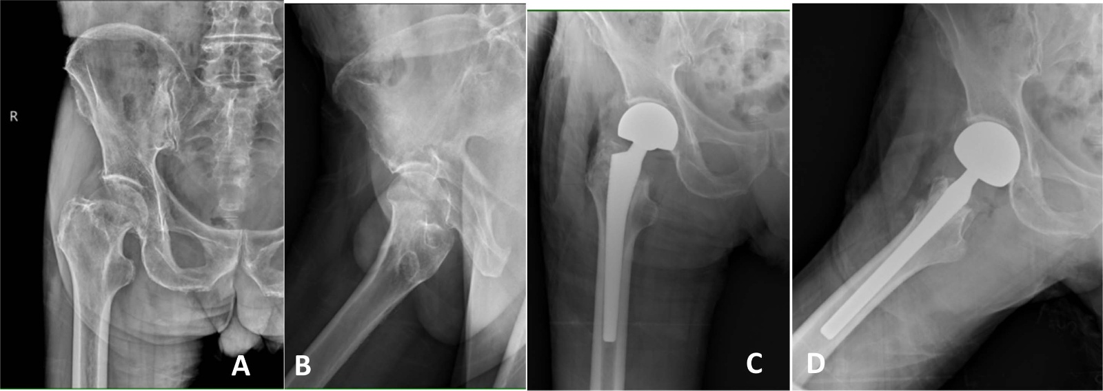
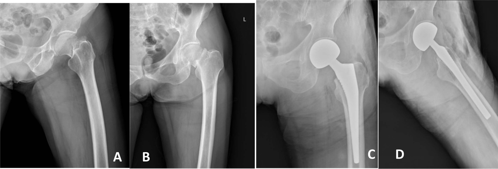
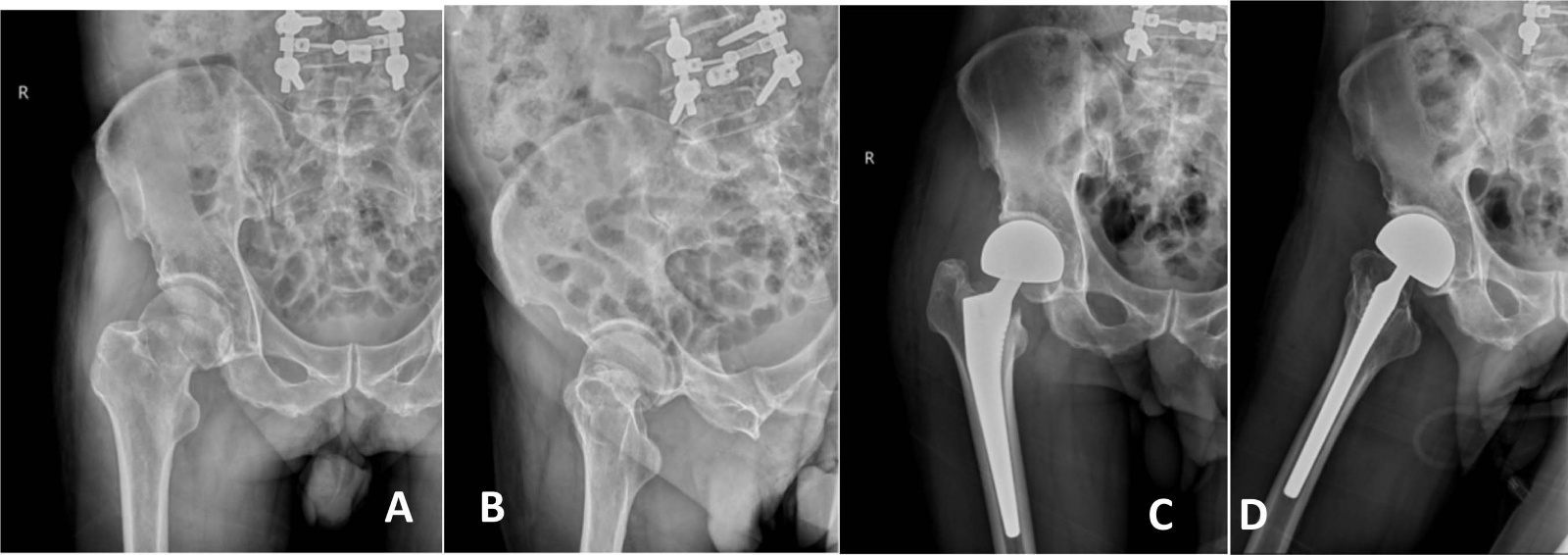
典型病例影像学表现见图1~5图1为76岁女性右侧股骨颈骨折(Garden Ⅲ型)患者,DAA入路半髋关节置换术前X线示骨折断端部分错位,术后X线示假体位置良好,股骨近端微裂予钢丝捆扎固定;图2为83岁女性左侧股骨颈骨折(Garden Ⅳ型)患者,术后X线示假体位置良好;图3为75岁男性右侧股骨颈骨折(Garden Ⅱ型)患者,术后假体位置满意;图4为73岁女性左侧股骨颈骨折(Garden Ⅲ型)患者,术后假体匹配良好;图5为80岁男性右侧股骨颈骨折(Garden Ⅱ型)患者,术后假体位置正常。

Figure 1. X-ray films before and after surgery of a 76-year-old female patient with right femoral neck fracture (Garden type III) A, B: Before surgery; C, D: After surgery

1. 76岁女性右侧股骨颈骨折(Garden Ⅲ型)患者手术前后X线片A、B:术前;C、D:术后

Figure 2. X-ray films before and after surgery of an 83-year-old female patient with left femoral neck fracture (Garden type IV) A, B: Before surgery; C, D: After surgery

2. 83岁女性左侧股骨颈骨折(Garden Ⅳ型)患者手术前后X线片A、B:术前;C、D:术后

Figure 3. X-rays before and after surgery of a 75-year-old male patient with right femoral neck fracture (Garden type II) A, B: Before surgery; C, D: After surgery

3. 75岁男性右侧股骨颈骨折(Garden Ⅱ型)患者手术前后X线片A、B:术前;C、D:术后

Figure 4. X-ray films before and after surgery of a 73-year-old female patient with left femoral neck fracture (Garden type III) A, B: Before surgery; C, D: After surgery

4. 73岁女性左侧股骨颈骨折(Garden Ⅲ型)患者手术前后X线片A、B:术前;C、D:术后

Figure 5. X-rays before and after surgery of an 80-year-old male patient with right femoral neck fracture (Garden type II) A, B: Before surgery; C, D: After surgery

5. 80岁男性右侧股骨颈骨折(Garden Ⅱ型)患者手术前后X线片A、B:术前;C、D:术后

4. 讨论

老年股骨颈骨折的临床治疗始终面临诸多挑战。老年患者生理机能衰退,合并症多,骨折后长期卧床极易引发多种严重并发症,导致死亡率升高[6]。因此,在确保手术安全的前提下,最大限度减轻手术创伤、降低并发症风险、促进患者早期功能恢复,是提升治疗效果的关键[7]。髋关节置换术凭借疼痛缓解迅速、功能恢复理想、再次手术率低等优势,已成为老年股骨颈骨折的首选治疗方式[8],而手术入路的合理选择是保障治疗效果的核心环节。

传统后外侧入路虽技术成熟,但需切断臀大肌等核心肌群,手术创伤较大,术后肌肉愈合不良易导致髋关节稳定性下降,脱位风险增加[9]。同时,较大的创伤会加重老年患者的全身应激反应,提升术后感染、深静脉血栓等并发症的发生概率,延长恢复周期[10]。相比之下,DAA入路通过股直肌与阔筋膜张肌之间的自然解剖间隙进入关节腔,无需离断肌肉肌腱,完美契合微创外科“以最小创伤获取最佳疗效”的核心原则[11],为老年股骨颈骨折的治疗提供了更优质的选择。

本研究结果充分印证了DAA入路的微创优势:19例患者术中出血量控制在100~200 mL,显著低于传统入路,主要原因在于该入路避免了肌肉组织的切断,减少了肌肉内血管的损伤;同时,微创操作对患者全身应激反应的影响较小,术后疼痛程度轻(VAS评分0~2分),为早期下床活动创造了条件,进而缩短了恢复时间。在并发症控制方面,仅1例出现下肢深静脉血栓,无严重肺栓塞发生,这与患者早期活动促进下肢血液循环密切相关;未发生假体脱位,得益于DAA入路保留了髋关节周围肌肉的完整性,维持了关节的生物力学稳定性[12];1例切口愈合不良经保守治疗好转,无感染发生,原因在于DAA切口位于髋部前方,远离臀部受压区域,且微创切口愈合能力更强[13]

本研究在技术实施中注重细节优化:通过筋膜下分离进入肌间隙,有效避免了股神经、股外侧皮神经的损伤;采用平卧位手术,便于术中对比双下肢长度,同时利于床旁X线检查,可实时确认假体位置,保障手术精度[14];此外,平卧位还简化了麻醉管理及术中护理操作,提升了手术安全性。在功能恢复方面,患者Harris评分优良率达84.2%,表明DAA入路的微创优势可促进患者早期康复训练,肌肉功能保留完好,进而实现髋关节功能的快速恢复[15],这对降低老年患者长期卧床相关并发症、提升生活质量具有重要意义。

临床应用DAA入路治疗老年股骨颈骨折时,需重点关注以下要点:① 术前全面评估患者全身状况,严格控制基础疾病,尤其是血压、血糖水平,降低手术风险;② 根据患者骨质疏松程度、骨折分型,个体化选择假体类型及固定方式,对于严重骨质疏松患者,优先采用骨水泥固定以增强假体稳定性;③ 术中操作需轻柔精细,避免过度牵拉软组织,减少创伤;④ 术后制定个体化康复方案,在安全前提下逐步增加关节活动度及负重强度,促进功能恢复[16]。需要注意的是,手术入路的选择需遵循个体化原则:年轻、骨折移位不明显的患者可优先选择闭合复位内固定治疗以保留股骨头;而老年患者因股骨头血供差,内固定术后坏死、不愈合风险高,且长期卧床危害大,故更适合髋关节置换术[3]。临床经验显示,外科医师通常需完成30至50例临床病例操作,方可熟练掌控DAA的核心技术要点。在学习初期,易出现软组织分离不到位、假体安放位置偏差等问题,进而可能对手术效果及患者术后康复进程产生不利影响。基于此,医疗机构应针对性为外科医师搭建专项培训平台并提供充足的病例实践机会,助力其快速缩短学习曲线,保障手术治疗的安全性。与此同时,微创手术在特殊患者群体中的操作挑战亦需高度重视。对于肥胖患者,其髋部皮下脂肪层较厚、肌肉组织发达,会造成手术视野暴露受阻,不仅增加了软组织分离的操作难度与手术耗时,还会使术后切口愈合不良的风险有所升高;而针对重度骨质疏松患者,术中植入假体时,股骨近端骨质发生劈裂的风险显著增加,进而影响假体植入后的稳定性,术后假体松动、下沉等并发症的发生概率也会相应上升。因此,临床需结合此类患者的骨密度检测结果,针对性优化假体类型选择及固定方案设计。

微创化是现代外科的发展方向,其核心在于治疗疾病的同时最大限度减少机体损伤[17]。DAA入路髋关节置换术正是微创理念在骨科领域的具体实践,契合加速康复外科(ERAS)的核心要求[8],相比传统入路,更好地平衡了治疗效果与手术创伤的关系。但需警惕“微创绝对化”的误区,对于合并严重骨质疏松、骨折移位显著或解剖结构异常的高龄患者,DAA入路操作难度极大,可能导致手术时间延长、并发症增加,此时选择传统入路更为稳妥[18]。因此,临床需结合患者具体情况合理选择手术方案,以实现最佳治疗效果。

综上所述,平卧位DAA微创半髋关节置换术治疗老年股骨颈骨折,具有术中出血少、术后疼痛轻、并发症发生率低、功能恢复快等显著优势,安全性高、疗效可靠。尽管该术式对术者技术要求较高,但在熟练掌握解剖结构及操作技巧的前提下,值得临床推广应用。本研究仍存在部分局限性:首先,本研究属于回顾性分析,受研究设计本身限制,不可避免地存在选择偏倚,且部分临床资料的完整性可能受既往病历记录的详细程度影响;其次,本次研究的随访周期偏短,未能对患者术后中长期的治疗效果,如假体存活情况、远期并发症发生情况等进行系统评估;最后,本研究未设置对照研究组别(如传统手术入路对照组),无法通过直接对比进一步厘清该微创手术入路的相对临床优势。后续研究应采用前瞻性随机对照研究设计,延长随访时间,扩大研究样本规模,以此产出更高质量的循证医学证据,为老年股骨颈骨折患者的微创手术治疗提供更可靠的临床指导依据。

NOTES

*通讯作者。

参考文献

[1] 高悠水. 2021年AAOS《老年髋部骨折的治疗: 基于循证的临床诊疗指南》解读[J]. 中国骨伤, 2023, 36(3): 279-283.
[2] 中华护理学会骨科护理专业委员会, 陈亚萍, 佟冰渡, 等. 老年髋部骨折综合管理与二次骨折预防的专家共识[J]. 中华创伤骨科杂志, 2020, 22(6): 461-469.
[3] 中华医学会骨科学分会创伤骨科学组, 中国医师协会骨科医师分会创伤专家工作委员会. 成人股骨颈骨折诊治指南[J]. 中华创伤骨科杂志, 2018, 20(11): 921-928.
[4] 赵海燕, 夏亚一, 康鹏德, 等. 直接前入路和后外侧入路全髋关节置换术早期功能康复的比较研究[J]. 中华骨科杂志, 2017, 37(19): 1185-1192.
[5] Berend, K.R., Lombardi Jr., A.V., Seng, B.E. and Adams, J.B. (2009) Enhanced Early Outcomes with the Anterior Supine Intermuscular Approach in Primary Total Hip Arthroplasty. Journal of Bone and Joint Surgery, American Volume, 91, 107-120. [Google Scholar] [CrossRef
[6] 裴福兴. 中国髋、膝关节置换的现状及展望[J]. 中国骨与关节杂志, 2012, 1(1): 4-8.
[7] 黄公怡, 胡建华, 高新生. 老年人股骨颈骨折治疗原则与治疗方法的选择[J]. 中华老年医学杂志, 1999, 18(6): 325-327.
[8] 中华医学会外科学分会, 中华医学会麻醉学分会. 加速康复外科中国专家共识暨路径管理指南(2018) [J]. 中华麻醉学杂志, 2018, 38(1): 8-13.
[9] 张先龙, 沈灏, 眭述平, 等. 双切口微创人工全髋关节置换术[J]. 中华骨科杂志, 2005, 25(5): 268-270.
[10] 中国老年医学学会骨与关节分会创伤骨科学术工作委员会. 老年髋部骨折诊疗专家共识(2017) [J]. 中华创伤骨科杂志, 2017, 19(11): 921-927.
[11] 李杰, 程治铭, 张瑗. 直接前方入路微创全髋关节置换术规范化方案[J]. 局解手术学杂志, 2023, 32(9): 790-795.
[12] 沈军, 卫晓恩. 髋、膝关节置换术围手术期快速康复新理念[J]. 上海医药, 2017, 38(8): 7-9+16.
[13] 黄轩, 汪滋民, 徐卫东. 直接前方入路(DAA)行全髋置换围手术期并发症的分析和处理[C]//中华医学会. 中华医学会第十八届骨科学术会议暨第十一届COA国际学术大会论文集. 2016: 1-1.
[14] Jin, Z., Wang, L., Qin, J., Hu, H. and Wei, Q. (2023) Direct Anterior appro3ach versus Posterolateral Approach for Total Hip Arthroplasty in the Treatment of Femoral Neck Fractures in Elderly Patients: A Meta-Analysis and Systematic Review. Annals of Medicine, 55, 1378-1392. [Google Scholar] [CrossRef] [PubMed]
[15] 吴国锋, 孙晓亮, 周剑, 等. 全髋关节置换前方直接入路与后外侧入路术后早期疗效比较[J]. 实用骨科杂志, 2016, 22(12): 1062-1064, 1068.
[16] 中华中医药学会骨伤科分会髋关节功能障碍诊疗指南制定工作组. 中医骨伤科临床诊疗指南·人工髋关节置换围手术期康复专家共识[J]. 康复学报, 2017, 27(4): 1-6.
[17] O’Connor, M.I. and Switzer, J.A. (2022) AAOS Clinical Practice Guideline Summary: Management of Hip Fractures in Older Adults. Journal of the American Academy of Orthopaedic Surgeons, 30, e1291-e1296. [Google Scholar] [CrossRef
[18] Chung, Y.Y., Lee, S.M., Baek, S.N. and Park, T.G. (2022) Direct Anterior Approach for Total Hip Arthroplasty in the Elderly with Femoral Neck Fractures: Comparison with Conventional Posterolateral Approach. Clinical Orthopaedics and Related Research, 14, 35-40. [Google Scholar] [CrossRef] [PubMed]