关于乳腺癌卵巢转移的1例报道并文献复习
A Case Report and Literature Review on Ovarian Metastasis of Breast Cancer
DOI: 10.12677/acm.2026.161249, PDF, HTML, XML,   
作者: 苏 芸:青岛大学青岛医学院,山东 青岛;刘婷婷, 车艳辞*:青岛大学附属医院妇科,山东 青岛
关键词: 乳腺癌盆腔肿物肿瘤转移卵巢癌Breast Cancer Pelvic Mass Tumor Metastasis Ovarian Cancer
摘要: 乳腺癌是女性最常见的癌症之一,发病率呈逐年上升趋势,乳腺癌的主要治疗手段是以手术治疗为主的综合治疗辅以放疗、化疗、内分泌治疗和靶向治疗等。卵巢癌是指发生于卵巢上的癌,其中90%~95%为卵巢原发性的癌,另外5%~10%为其它部位原发的癌转移到卵巢。乳腺癌可先局部扩展,后通过淋巴转移、血行转移至骨、肝、肺等,但卵巢转移极为罕见,且预后较差。有乳腺癌病史的患者发生原发性卵巢癌的可能性较继发性卵巢癌高,约为3~7倍。此篇文章主要对乳腺癌卵巢转移的病例进行讨论及文献复习,并为以后乳腺癌卵巢转移的治疗研究提供参考。
Abstract: Breast cancer is one of the most common malignant tumors in women, with its incidence showing an increasing trend year by year. The main treatment for breast cancer is a comprehensive approach centered on surgical treatment, supplemented by radiotherapy, chemotherapy, endocrine therapy, targeted therapy, and other modalities. Ovarian cancer refers to malignant tumors that arise in the ovaries. Among these, 90% to 95% are primary ovarian cancers, while the remaining 5% to 10% are secondary ovarian cancers, which are metastases from primary cancers originating in other parts of the body. Breast cancer can first spread locally, and then metastasize to the bones, liver, lungs, and other organs through lymphatic or hematogenous routes. However, ovarian metastasis of breast cancer is extremely rare, and the prognosis for patients with this condition is relatively poor. For patients with a history of breast cancer, the likelihood of developing primary ovarian cancer is higher than that of developing secondary ovarian cancer, with the former being approximately 3 to 7 times more common than the latter. This article mainly discusses cases of ovarian metastasis from breast cancer and conducts a literature review, aiming to provide a reference for future research on the treatment of ovarian metastasis from breast cancer.
文章引用:苏芸, 刘婷婷, 车艳辞. 关于乳腺癌卵巢转移的1例报道并文献复习[J]. 临床医学进展, 2026, 16(1): 1973-1978. https://doi.org/10.12677/acm.2026.161249

1. 病例资料

患者张某某,女,51岁,因“自扪及腹部包块2月余,发现盆腔肿物2月余”于2023-11-13入院。患者2月前自扪及下腹部包块,无腹痛及腹胀,无腰骶部不适,无头晕乏力,无不规则阴道流血,无尿频尿急及尿不尽感,无排便困难,于外院就诊,妇科超声示宫底上方不均回声团块,宫体左上方不均回声团块,子宫肌瘤(多发),建议手术,患者要求上级医院就诊,5天前于我院就诊,妇科超声示:子宫肌层内见多个低回声结节,大者:前壁5.1 × 4.9 × 4.1 cm (外突),盆腔偏右见14.7 × 11.8 × 8.1 cm低回声团,盆腔偏左见6.3 × 6.0 × 3.8 cm低回声团,形态欠规则,局部边界欠清,内回声不均匀,见小囊样无回声区,内见点条状血流信号;血清肿瘤标记物:CEA:29.80 ng/mL,CA125:304.30 U/mL,CA153:114.00 U/mL,其余肿瘤标记物均在正常范围内。

该患者既往有“乳腺癌”病史,2年前因“左侧乳腺癌”于我院行左侧乳腺全切术,术后病理提示:(左侧)根切乳腺组织中上象限、中外象限内见浸润性小叶癌(两灶,经典型,大小分别为6.9 * 5 * 3 cm、2.5 * 2 * 1.5 cm),肿瘤间质淋巴细胞浸润(TILs):2%,大者局灶侵透骨骼肌累及基底切缘;乳头(-),四周皮肤切缘(-),肿物表面皮肤(-),中下象限(-),中内象限(-);区域淋巴结:左侧腋窝淋巴结内癌转移(17/22),另见多灶癌结节;病理学分期:pT3N3Mx;免疫组化:ER (+) 5%,PR (+++) 10%,HER2 (1+),CK5/6 (-),CK14 (-),Ki-67 (+, 15%),P53 (+~++) 10%,E-Cadherin (-),P120Catenin (浆+),EGFR (-),Topo2 (I级),D2-40示脉管癌栓(-),AR (+) 60%。患者术后于乳腺科行化疗治疗,具体方案及疗程为:表柔比星140 mg+环磷酰胺800 mg 4周期、白蛋白紫杉醇400 mg 4周期,化疗结束后口服依西美坦3月后自行停药。该患者未行BRCA相关基因检测。

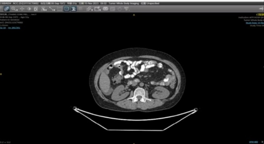
入院行妇科查体:子宫前位增大如孕3月大,质中,活动可,无压痛,右侧附件区扪及直径约15 cm肿物,有压痛,左侧附件区可扪及直径约6 cm肿物,有压痛,余未扪及明显异常。患者入院后完善相关辅助检查:实验室检查:血清肿瘤标记物:SCC:1.11 ng/mL,NSE:11.80 ng/mL,CA153:114.00 U/mL,CA 724:<1.50 U/mL胃泌素释放肽前体22.12 pg/mL;肝功:谷丙转氨酶35 U/L,谷草转氨酶37U/L;HPV:16型阳性;血常规、血凝常规、肾功、电解质检测等实验室检查未见明显异常。影像学检查:妇科超声:子宫肌层内见多个低回声结节,大者:前壁5.1 × 4.9 × 4.1 cm (外突),左侧壁6.4 × 6.3 × 5.6 cm (外突,推压内膜),右侧壁下段5.5 × 4.1 × 4.4 cm (明显推压内膜),盆腔偏右见14.7 × 11.8 × 8.1 cm、偏左见6.3 × 6.0 × 3.8 cm低回声团,形态欠规则,局部边界欠清,CDFI:内见点条状血流信号,腹盆腔内见液性暗区,腹腔较深处约2.8 cm,盆腔较深处约3.3 cm,透声可;PET-CT:1) 腹腔-盆腔内见2处不规则软组织密度肿块,内见低密度区,与双侧附件、部分肠管关系密切,不均匀代谢增高,SUVmax约4.8 (图1(a)图1(b));腹、盆腔积液;考虑肿瘤,附件或肠道来源可能性大,建议获得病理学诊断;2) ① 左肺下叶内前基底段磨玻璃密度结节,边界清,代谢略高于肺本底,SUVmax约1.0,不除外早期肺肿瘤,建议胸外科会诊;② 双肺数个小结节,未见异常代谢,建议CT随诊;③ 双肺慢性炎症;④ 右侧胸腔积液(少量);3) 左乳癌术后所见,局部未见复发征象;4) ① 左肾结石;② 子宫肌瘤;心脏超声:室间隔心肌肥厚(基底段),左室舒张功能减低;因HPV高危型阳性遂行宫颈活检病理:粘膜组织慢性炎,部分复鳞上皮呈低级别上皮内病变(LSIL/挖空细胞);下肢血管超声未见明显异常。

根据患者症状、体征及辅助检查,该患者入院诊断为:盆腔肿物性质待诊:卵巢肿瘤可能,子宫肌瘤,人乳头瘤病毒感染,腹水,左侧乳腺全切术后。患者现盆腔肿块性质不明,考虑卵巢癌可能性大,手术指征具备。已完善相关辅助检查,排除手术禁忌,遂在全麻下行经腹筋膜外全子宫切除术加双侧附件切除术加大网膜切除术,术中见:盆腔内淡黄色腹水约1000 ml,子宫增大,表面充血,下段与膀胱致密粘连,见多个肌瘤突起大者位于宫颈左侧壁,直径约8 cm,宫颈右前壁见直径约3 cm肌瘤,左侧卵巢增大,见大小约6 × 5 × 4 cm实性肿瘤,右侧卵巢见大小约16 × 12 × 12 cm肿瘤,双侧输卵管未见明显异常(图1(c)图1(d)),肝胆胰脾、胃肠表面未见明显异常,大网膜局部增厚,未见明显挛缩。术中冰冻病理示:((1) 左侧附件;(2) 右侧附件)双侧卵巢均见异型细胞列兵样排列,结合病史,意见为癌,首先考虑转移性癌,高度怀疑乳腺浸润性小叶癌转移。手术顺利。

患者术后恢复可,术后第三天复查血清肿瘤标记物:CA125:301.00 U/mL,CA153:58.30 U/mL,CEA:14.30 ng/mL。血清肿瘤标记物较术前明显降低,考虑手术治疗有效。

该患者术后石蜡病理为:(一) 全子宫标本:1、子宫平滑肌瘤;2、慢性子宫颈炎,部分复鳞上皮呈低级别上皮内病变(LSIL),可见挖空细胞,未累及阴道壁断端及双侧宫旁组织;3、萎缩状态子宫内膜;4、(腹水)涂片内未发现癌细胞;5、(大网膜)增生的脂肪及纤维组织内未见肿瘤累及;免疫组化结果:SMA (+),Caldesmon (+),CD10 (-),Ki-67 (+,约1%)。(二) 双侧卵巢及输卵管:卵巢组织内见异型细胞呈列兵样排列,结合免疫组化结果及既往病史,符合乳腺浸润性小叶癌转移;两侧输卵管组织,未见癌累及;免疫组化结果:4#:Myoglobin (+),GATA3 (+),ER (+~++, 80%),PR (+~++, 30%),HER2 (1+),Ki-67 (+, 10%),E-Cadherin (-),P120 Catenin (浆+),Pax-8 (-),WT-1 (-),CK (+),P53 (+,约20%),GCDFP-15 (-),AR (++, 70%)。8#:GATA3 (+)。11#:GATA3 (+),Calretinin (-),P16 (-),CK20 (-),CK7 (+)。术后石蜡切片病理结果结合既往乳腺癌病理免疫组化结果,考虑该患者卵巢癌为乳腺癌卵巢转移癌,原发灶来源于乳腺。该患者术后继续于乳腺科行内分泌治疗(来曲唑)。

(a) (b)

(c) (d)

Figure 1. Medical records

1. 病历资料

2. 讨论

原发性乳腺癌诊断的中位年龄为46.5岁 ± 10.4岁(范围25~69岁),乳腺癌易发生转移的部位包括肺、肝、骨、脑等,罕见的部位包括肾上腺、卵巢、膀胱、眼、甲状腺、胃、大网膜、胰腺、脾脏、输尿管等。原发性乳腺癌诊断后继发性卵巢癌的平均发生时间为62.9个月 ± 62.8个月,大多数女性接受了附件切除术(37.5%)或全子宫切除术联合附件切除术(37.5%) [1]。该患者接受的术式为开腹全子宫联合双侧附件切除术,符合“转移灶局限时优先手术切除”的原则,可减少肿瘤负荷并明确诊断。相较于卵巢,乳腺癌的子宫转移更为罕见,该患者的子宫术后病理并未见明显异常。

该患者系左侧乳房单纯切除 + 腋窝淋巴结清扫术术后2年,术后未定期复查妇科超声,因“自扪及腹部包块2月余,发现盆腔肿物2月余”入院,无腹痛、腹胀,无阴道流血,无尿频、尿急及尿不尽感等不适。该患者乳腺术后病理提示浸润性小叶癌。有数据表明,与全球乳腺癌人群相比,绝经前和激素受体阳性状态占主导地位,小叶浸润癌、双侧乳腺癌和易感遗传因素的患病率更高。卵巢疾病在乳腺癌后中5年被诊断出来。75%的患者无症状,41.5%的患者观察到晚期盆腔范围或腹外转移[2]。该患者属于乳腺癌卵巢转移的常见类型,卵巢及输卵管术后病理提示:卵巢组织内见异型细胞呈列兵样排列,结合免疫组化结果及既往病史,符合乳腺浸润性小叶癌转移;两侧输卵管组织,未见癌累及。术中及术后无盆腔转移或腹外转移的症状及证据。

该患者术前查血清肿瘤标记物提示:CEA 29.800 ng/mL,CA125 304.300 U/mL,SCC1.11 ng/mL,NSE11.80 ng/mL,CA153 114.00 U/mL,胃泌素释放肽前体22.12 pg/mL;术后查血清肿瘤标记物提示:CA125测定:301.00 U/mL,CA153测定:58.30 U/mL,CEA测定:14.30 ng/mL。显而易见,该患者血清CA153及CEA下降明显,但CA125并无明显下降。在发生卵巢肿瘤的乳腺癌患者中转移性卵巢乳腺癌有时难以与原发性卵巢癌相鉴别,在高比例的乳腺癌和卵巢癌中,CA125已被确定为卵巢癌的可能标志物。有数据表明,对39例转移性乳腺癌至卵巢癌、36例原发性乳腺癌和42例原发性卵巢癌进行免疫组化检测CA125、CEA的表达,大多数乳腺癌的CA125呈阴性,只有6例(16%)的原发性和5例(12%)的转移性乳腺癌表现出弱和局灶性阳性,9例(21%)卵巢癌、8例(22%)原发性乳腺癌和13例(33%)转移至卵巢的CEA呈阳性[3]。故可认为血清中CA125的水平可以作为判断乳腺癌患者发生的卵巢肿瘤是否为乳腺转移的依据之一。

患有乳腺癌的女性与一般人群相比,发生恶性卵巢病变的风险增加。因此,尽管患者仍然没有症状,但进行腹盆腔定期检查很重要。如果有怀疑盆腔肿物的影像图像,伴CA125升高,应进行手术评估[4]。该患者术前PET-CT提示:腹腔–盆腔内2处不规则软组织密度肿块,内见低密度区,与双侧附件、部分肠管关系密切,不均匀代谢增高,SUVmax约4.8;腹、盆腔积液;考虑肿瘤,附件或肠道来源可能性大。结合既往病史,考虑该肿瘤倾向于卵巢来源可能性大,遂行全麻下开腹探查术,术中证实该肿瘤为卵巢来源且术后病理为乳腺浸润性小叶癌转移。

乳腺和卵巢同为受激素影响明显的生殖系统器官,区别发生于乳腺癌患者的卵巢癌为双原发或继发性是临床的重要工作之一,也为后续治疗提供可靠方案及临床证据。个人认为,区别卵巢癌原发与否的重要证据之一是大体病理及免疫组化结果,但临床常常无法提前判断肿瘤具体来源。对于继发性卵巢癌,针对原发灶的治疗是主要治疗手段,包括手术切除、内分泌治疗、放化疗等,但通常来说,转移性卵巢癌常常提示原发病预后较差。该患者术后自行停止内分泌治疗,依从性差,可能是乳腺癌卵巢转移进展迅速的原因之一。目前,随着基因检测技术日益发展,研究显示约5%的乳腺癌和10%~25%卵巢癌与基因突变有关,乳腺癌1号基因(BRCA1)、乳腺癌2号基因(BRCA2)突变携带者乳腺癌、卵巢癌发病年龄较正常人更早,且在80岁前卵巢癌和乳腺癌的发病风险高达44%和72% [5]。卵巢癌是最具遗传倾向的癌症之一,其中乳腺癌易感基因BRCA1和BRCA2扮演着重要角色,约15%~20%的卵巢高级别浆液性癌(HGS)的发生与BRCA1/2致病突变相关,65%~75%的遗传性卵巢癌患者存在BRCA1/2致病突变[6]。BRCA基因的相关检测及结果在乳腺癌和卵巢癌的个人及后代治疗具有重要指导地位。乳腺癌患者的BRCA基因检测结果对预后判断有不可忽视的影响,近年来,携带BRCA1或BRCA2胚系突变的乳腺癌患者在专科医生建议下,越来越多的患者选择了行卵巢去势手术,且绝大多数患者预后较好。

综上所述,原发性乳腺癌(浸润性小叶癌)患者较易发生卵巢转移[7],卵巢转移主要见于预后因素差(肿瘤大、淋巴结阳性、高级别)和小叶组织学的原发性乳腺癌患者,平均在乳腺癌诊断后5年左右发生,临床症状轻微,但影像学、血清肿瘤标志物CA125和CA 153可作为诊断标准之一[8]。乳腺癌卵巢转移病灶局限时可以选择附件切除术或全子宫切除术联合附件切除术,该患者选择的治疗方案为开腹全子宫联合双侧附件切除术,术后肿瘤标记物除CA125均有明显下降,考虑手术治疗有效,患者术后继续于乳腺科接受内分泌治疗,侧面证明乳腺原发性浸润性小叶癌术后内分泌治疗的重要性,患者术后教育的开展和是否具有依从性在疾病治疗与进展中具有决定性作用。未发生转移的BRCA基因突变的乳腺癌也可行卵巢去势手术预防卵巢转移,改善预后。在接诊乳腺癌时,术前应关注年龄、家族史等,术后重视病理分型及相关蛋白的免疫组化结果,形成规范化妇科复查再评估体系[9]。有研究表明,有卵巢转移的乳腺癌患者的预后差 ,综合治疗可能是其最佳的治疗方法[10]

声 明

该病例报道已获得患者的知情同意。

NOTES

*通讯作者。

参考文献

[1] Wang, Y.A., Jian, J., Hung, C., Peng, H., Yang, C., Cheng, H.S., et al. (2018) Germline Breast Cancer Susceptibility Gene Mutations and Breast Cancer Outcomes. BMC Cancer, 18, Article No. 315. [Google Scholar] [CrossRef] [PubMed]
[2] Bigorie, V., Morice, P., Duvillard, P., Antoine, M., Cortez, A., Flejou, J.F., et al. (2009) Ovarian Metastases from Breast Cancer. Cancer, 116, 799-804. [Google Scholar] [CrossRef] [PubMed]
[3] Tornos, C., Soslow, R., Chen, S., Akram, M., Hummer, A.J., Abu-Rustum, N., et al. (2005) Expression of WT1, CA 125, and GCDFP-15 as Useful Markers in the Differential Diagnosis of Primary Ovarian Carcinomas versus Metastatic Breast Cancer to the Ovary. The American Journal of Surgical Pathology, 29, 1482-1489. [Google Scholar] [CrossRef] [PubMed]
[4] González-Macatangga, M., Herrera, M., De Santiago, J. and Zapardiel, I. (2014) [Management of Ovarian Metastasis from a Lobular Breast Carcinoma]. Ginecologia y obstetricia de Mexico, 82, 563-569.
[5] 孙智祥, 文苹频, 张小莉, 等. 乳腺癌1号/2号基因突变携带者乳腺癌和卵巢癌风险管理的证据总结[J]. 实用临床医药杂志, 2025, 29(10): 83-88.
[6] 曾凯, 范相成, 胡悦欣, 等. 卵巢癌BRCA1/2基因突变中的大片段重排——全面基因检测的重要性[J]. 中国实用妇科与产科杂志, 2025, 41(10): 1053-1056.
[7] 郑丽, 张丽娜, 顾林. 乳腺癌卵巢转移: 18例患者的临床特征及预后[J]. 肿瘤, 2015, 35(9): 1021-1025.
[8] Pimentel, C., Becquet, M., Lavoue, V., Henno, S., Leveque, J. and Ouldamer, L. (2016) Ovarian Metastases from Breast Cancer: A Series of 28 Cases. Anticancer Research, 36, 4195-4200.
[9] 黄梦琪, 王公道, 韩旭, 等. 乳腺浸润性导管癌单侧卵巢转移一例并文献复习[J]. 现代医学, 2014, 42(11): 1356-1358.
[10] 屈凤莲, 李志革, 李峻岭, 等. 乳腺癌卵巢转移17例报告[J]. 实用癌症杂志, 2000(4): 418-419.